Sorbent and Photocatalytic Potentials of Local Clays for the Removal of Organic Xenobiotic: Case of Crystal Violet
Abstract
:1. Introduction
2. Material and Methods
2.1. Reagents
2.2. Preparation of Clays
2.3. Characterization
2.4. Batch Adsorption Experiments
2.5. Photocatalytic Experiments
3. Results and Discussion
3.1. Physicochemical Characterization
3.1.1. Fourier Transformed Infrared (FTIR) Analysis
3.1.2. X-ray Diffraction (XRD) Analysis
3.1.3. X-ray Fluorescence (XRF) Analysis
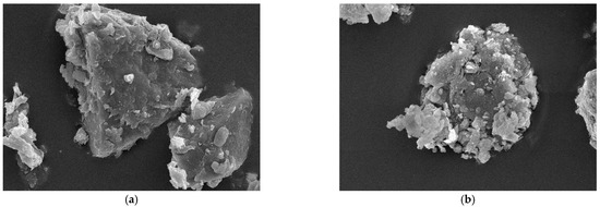
3.1.4. SEM Analysis
3.2. Adsorption Tests
3.2.1. Effect of Contact Time
3.2.2. Effect of Adsorbent Dose
3.2.3. Effect of pH
3.2.4. Effect of Initial Dye Concentration
3.2.5. Potential Interference of Inorganic Salts
3.3. Kinetics Modelling Analysis
3.4. Modelling of Adsorption Isotherms
3.5. Adsorption Thermodynamics
3.6. Reuse Test
3.7. Coupled Adsorption-Photocatalytic Experiments
4. Conclusions
Author Contributions
Funding
Acknowledgments
Conflicts of Interest
References
- Churchman, G.J.; Gates, W.P.; Theng, B.K.G.; Yuan, G. Clays and clay minerals for pollution control. Dev. Clay Sci. 2006, 1, 625–675. [Google Scholar]
- Hamidzadeh, S.; Torabbeigi, M.; Shahtaheri, S.J. Removal of crystal violet from water by magnetically modified activated carbon and nanomagnetic iron oxide. J. Environ. Health Sci. Eng. 2015, 13, 8. [Google Scholar] [CrossRef]
- Mohamed, S.K.; Hegazy, S.H.; Abdelwahab, N.A.; Ramadan, A.M. Coupled adsorption-photocatalytic degradation of crystal violet under sunlight using chemically synthesized grafted sodium alginate/ZnO/Graphene oxide composite. Int. J. Biol. Macromol. 2018, 108, 1185–1198. [Google Scholar] [CrossRef] [PubMed]
- Asencios, Y.J.; Quijo, M.V.; Marcos, F.C.; Nogueira, A.E.; Rocca, R.R.; Assaf, E.M. Photocatalytic activity of Nb heterostructure (NaNbO3/Na2Nb4O11) and Nb/clay materials in the degradation of organic compounds. Sol. Energy 2019, 194, 37–46. [Google Scholar] [CrossRef]
- Lupi, L.; Bedmar, F.; Puricelli, M.; Marino, D.; Aparicio, V.C.; Wunderlin, D.; Miglioranza, K.S. Glyphosate runoff and its occurrence in rainwater and subsurface soil in the nearby area of agricultural fields in Argentina. Chemosphere 2019, 225, 906–914. [Google Scholar] [CrossRef]
- Lin, S.; Sun, S.; Shen, K.; Tan, D.; Zhang, H.; Dong, F.; Fu, X. Photocatalytic microreactors based on nano TiO2-containing clay colloidosomes. Appl. Clay Sci. 2018, 159, 42–49. [Google Scholar] [CrossRef]
- Assadi, A.A.; Bouzaza, A.; Wolbert, D. Study of synergetic effect by surface discharge plasma/TiO2 combination for indoor air treatment: Sequential and continuous configurations at pilot scale. J. Photochem. Photobiol. A Chem. 2015, 310, 148. [Google Scholar] [CrossRef]
- Paumo, H.K.; Dalhatou, S.; Katata-Seru, L.M.; Kamdem, B.P.; Tijani, J.O.; Vishwanathan, V.; Bahadur, I. TiO2 assisted photocatalysts for degradation of emerging organic pollutants in water and wastewater. J. Mol. Liq. 2021, 331, 115458. [Google Scholar] [CrossRef]
- Dlamini, M.C.; Maubane-Nkadimeng, M.S.; Moma, J.A. The use of TiO2/clay heterostructures in the photocatalytic remediation of water containing organic pollutants: A review. J. Environ. Chem. Eng. 2021, 9, 106546. [Google Scholar] [CrossRef]
- Chkirida, S.; Zari, N.; Achour, R.; Hassoune, H.; Lachehab, A.; Bouhfid, R. Highly synergic adsorption/photocatalytic efficiency of Alginate/Bentonite impregnated TiO2 beads for wastewater treatment. J. Photochem. Photobiol. A Chem. 2021, 412, 113215. [Google Scholar] [CrossRef]
- Mbouga, M.N.; Ngassoum, M.B.; Kamga, R.; Cretin, M. Characterization of acidic and alkali treated Kaolinite and montmorillonite clay from Adamawa and far-north region of Cameroon. J. Appl. Chem. Sci. Int. 2018, 9, 26–38. [Google Scholar]
- Guimaraes, V.; Teixeira, A.R.; Lucas, M.S.; Silva, A.M.; Peres, J.A. Pillared interlayered natural clays as heterogeneous photocatalysts for H2O2-assisted treatment of a winery wastewater. Sep. Purif. Technol. 2019, 228, 115768. [Google Scholar] [CrossRef]
- Mubiayi, M.P.; Muleja, A.A.; Nzaba, S.K.; Mamba, B.B. Geochemical and Physicochemical Characteristics of Clay Materials from Congo with Photocatalytic Activity on 4-Nitrophenol in Aqueous Solutions. ACS Omega 2020, 5, 29943–29954. [Google Scholar] [CrossRef]
- Nayak, P.S.; Singh, B.K. Instrumental characterization of clay by XRF, XRD and FTIR. Bull. Mater. Sci. 2007, 30, 235–238. [Google Scholar] [CrossRef]
- Ravindra Reddy, T.; Kaneko, S.; Endo, T.; Lakshmi Reddy, S. Spectroscopic characterization of bentonite. J. Lasers Opt. Photonics 2017, 4, 1–4. [Google Scholar]
- Weber, W.J., Jr.; Morris, J.C. Kinetics of adsorption on carbon from solution. J. Sanit. Eng. Div. 1963, 89, 31–59. [Google Scholar] [CrossRef]
- Ray, S.S.; Gusain, R.; Kuma, N. Adsorption equilibrium isotherms, kinetics and thermodynamics. Carbon Nanomater.-Based Adsorbents Water Purif. 2020, 405, 101–118. [Google Scholar]
- Ho, Y.S.; McKay, G. Pseudo-second order model for sorption processes. Process Biochem. 1999, 34, 451–465. [Google Scholar] [CrossRef]
- Langmuir, I. The adsorption of gases on plane surfaces of glass, mica and platinum. J. Am. Chem. Soc. 1918, 40, 1361–1403. [Google Scholar] [CrossRef]
- Freundlich, H. Uber die adsorption in losungen, zeitschrift fur phtsikalische chemie. Z. Fur Phys. Chem. 1906, 62, 121–125. [Google Scholar]
- Radushkevich, M.D.L. The equation of the characteristic curve of the activated charcoal USSR Phys. Chem Sect 1947, 55, 331. [Google Scholar]
- Semerciöz, A.S.; Göğüş, F.; Çelekli, A.; Bozkurt, H. Development of carbonaceous material from grapefruit peel with microwave implemented-low temperature hydrothermal carbonization technique for the adsorption of Cu (II). J. Clean. Prod. 2017, 165, 599–610. [Google Scholar] [CrossRef]
- Hadjltaief, H.B.; Ameur, S.B.; Da Costa, P.; Zina, M.B.; Galvez, M.E. Photocatalytic decolorization of cationic and anionic dyes over ZnO nanoparticle immobilized on natural Tunisian clay. Appl. Clay Sci. 2018, 152, 148–157. [Google Scholar] [CrossRef]
- Baaloudj, O.; Assadi, I.; Nasrallah, N.; El, A.; Khezami, L. Simultaneous removal of antibiotics and inactivation of antibiotic-resistant bacteria by photocatalysis: A review. J. Water Process Eng. 2021, 42, 102089. [Google Scholar] [CrossRef]
- Baaloudj, O.; Nasrallah, N.; Kebir, M.; Guedioura, B.; Amrane, A.; Nguyen-Tri, P.; Nanda, S.; Assadi, A.A. Artificial neural network modeling of cefixime photodegradation by synthesized CoBi2O4 nanoparticles. Environ. Sci. Pollut. Res. 2020, 28, 15436–15452. [Google Scholar] [CrossRef]
- Lou, W.; Kane, A.; Wolbert, D.; Rtimi, S.; Assadi, A.A. Study of a photocatalytic process for removal of antibiotics from wastewater in a falling film photoreactor: Scavenger study and process intensification feasibility. Chem. Eng. Process. Process Intensif. 2017, 122, 213–221. [Google Scholar] [CrossRef]
- Baaloudj, O.; Nasrallah, N.; Kebir, M.; Khezami, L.; Amrane, A.; Assadi, A.A. A comparative study of ceramic nanoparticles synthesized for antibiotic removal: Catalysis characterization and photocatalytic performance modeling. Environ. Sci. Pollut. Res. 2020, 28, 13900–13912. [Google Scholar] [CrossRef]
- Baaloudj, O.; Nasrallah, N.; Bouallouche, R.; Kenfoud, H.; Khezami, L.; Assadi, A.A. High efficient Cefixime removal from water by the sillenite Bi12TiO20: Photocatalytic mechanism and degradation pathway. J. Clean. Prod. 2022, 330, 129934. [Google Scholar] [CrossRef]
- Baaloudj, O.; Assadi, A.A.; Azizi, M.; Kenfoud, H.; Trari, M.; Amrane, A.; Assadi, A.A.; Nasrallah, N. Synthesis and Characterization of ZnBi2O4 Nanoparticles: Photocatalytic Performance for Antibiotic Removal under Different Light Sources. Appl. Sci. 2021, 11, 3975. [Google Scholar] [CrossRef]
- Baaloudj, O.; Nasrallah, N.; Kenfoud, H.; Algethami, F.; Modwi, A.; Guesmi, A.; Assadi, A.A.; Khezami, L. Application of Bi12ZnO20 Sillenite as an Efficient Photocatalyst for Wastewater Treatment: Removal of Both Organic and Inorganic Compounds. Materials 2021, 14, 5409. [Google Scholar] [CrossRef]
- Song, X.; Qin, G.; Cheng, G.; Jiang, W.; Chen, X.; Dai, W.; Fu, X. Oxygen defect-induced NO− intermediates promoting NO deep oxidation over Ce doped SnO2 under visible light. Appl. Catal. B Environ. 2021, 284, 119761. [Google Scholar] [CrossRef]
- Zeghioud, H.; Assadi, A.A.; Khellaf, N.; Djelal, H.; Amrane, A.; Rtimi, S. Photocatalytic performance of CuxO/TiO2 deposited by HiPIMS on polyester under visible light LEDs: Oxidants, ions effect, and reactive oxygen species investigation. Materials 2019, 12, 412. [Google Scholar] [CrossRef] [PubMed]
- Creţescu, I.; Lutic, D. Advanced removal of crystal violet dye from aqueous solutions by photocatalysis using commercial products containing titanium dioxide. C. R. Chim. 2022, 25, 1–12. [Google Scholar] [CrossRef]














| Structure/Properties | Crystal Violet |
|---|---|
| Structure | ![]() |
| Nature | Cationic |
| C.I name | Basic violet 3 |
| C.I number | 42,555 |
| Chemical formula | C25H30N3Cl |
| Molecular Weight | 407.979 ± 0.025 |
| λmax | 590 nm |
| Samples | Y-Clay | L-Clay |
|---|---|---|
| SiO2 | 51.31 | 38.78 |
| Al2O3 | 14.88 | 9.44 |
| Fe2O3 | 5.31 | 4.08 |
| CaO | 0.71 | 1.72 |
| MgO | 0.35 | 0.70 |
| SO3 | 0.03 | 0.09 |
| K2O | 2.85 | 2.47 |
| Na2O | 0.03 | 1.18 |
| P2O5 | 0.05 | 0.14 |
| LOI | 8.82 | 9.91 |
| Other | 15.66 | 31.49 |
| Adsorbents | qe (mg/g) | Pseudo-First Order | Pseudo-Second Order | Intraparticle Diffusion | ||||||
|---|---|---|---|---|---|---|---|---|---|---|
| k1 (L/min) | qe(calc.) (mg/g) | R2 | K2 (g/mg min) | qe(calc.) (mg/g) | R2 | C (mg·g−1) | kint (mg·L·min−1/2) | R2 | ||
| Y. clay | 9.15 | 0.03 | 1.02 | 0.08 | 0.15 | 8.88 | 0.99 | 5.25 | 0.60 | 0.46 |
| L. clay | 12.15 | 0.02 | 0.69 | 0.02 | 0.14 | 11.90 | 0.99 | 8.56 | 0.53 | 0.61 |
| Isotherm Model | Equation | References |
|---|---|---|
| Langmuir | [19] Langmuir, 1918 | |
| Freundlich | [20] Freundlich, 1906 | |
| Temkin | [21] Radushkevich, 1947 |
| Models | Langmuir | Freundlich | Temkin | |||||||
|---|---|---|---|---|---|---|---|---|---|---|
| Parameters | qm, exp | RL | qe, cal | R2 | KF | n | R2 | bT | AT | R2 |
| Y. clay | 18.40 | 0.33 | 3.46 | 0.97 | 1.71 | 0.72 | 0.99 | 1.25 | 6.18 | 0.79 |
| L. clay | 20.40 | 0.37 | 3.40 | 0.96 | 1.46 | 0.65 | 0.98 | 1.17 | 7.88 | 0.88 |
| T (K) | ΔG° (KJ/mol) | ΔH° (kJ mol−1) | ΔS° (J mol−1 K−1) | |
|---|---|---|---|---|
| Y. Clay | 303.15 | −12.6 | 36.271 | 159.21 |
| 313.15 | −12.26 | |||
| 323.15 | −15.87 | |||
| L. Clay | 303.15 | −10.68 | −13.180 | −8.97 |
| 313.15 | −9.93 | |||
| 323.15 | −10.53 |
Publisher’s Note: MDPI stays neutral with regard to jurisdictional claims in published maps and institutional affiliations. |
© 2022 by the authors. Licensee MDPI, Basel, Switzerland. This article is an open access article distributed under the terms and conditions of the Creative Commons Attribution (CC BY) license (https://creativecommons.org/licenses/by/4.0/).
Share and Cite
Dalhatou, S.; Sali, M.; Tetteh, S.; Boubakari, A.; Talami, B.; Zeghioud, H.; Kane, A.; El Jery, A.; Assadi, A.A.; Obada, D.O. Sorbent and Photocatalytic Potentials of Local Clays for the Removal of Organic Xenobiotic: Case of Crystal Violet. Catalysts 2022, 12, 899. https://doi.org/10.3390/catal12080899
Dalhatou S, Sali M, Tetteh S, Boubakari A, Talami B, Zeghioud H, Kane A, El Jery A, Assadi AA, Obada DO. Sorbent and Photocatalytic Potentials of Local Clays for the Removal of Organic Xenobiotic: Case of Crystal Violet. Catalysts. 2022; 12(8):899. https://doi.org/10.3390/catal12080899
Chicago/Turabian StyleDalhatou, Sadou, Mouhamadou Sali, Samuel Tetteh, Abdoulaye Boubakari, Bouba Talami, Hicham Zeghioud, Abdoulaye Kane, Atef El Jery, Aymen Amin Assadi, and David Olubiyi Obada. 2022. "Sorbent and Photocatalytic Potentials of Local Clays for the Removal of Organic Xenobiotic: Case of Crystal Violet" Catalysts 12, no. 8: 899. https://doi.org/10.3390/catal12080899
APA StyleDalhatou, S., Sali, M., Tetteh, S., Boubakari, A., Talami, B., Zeghioud, H., Kane, A., El Jery, A., Assadi, A. A., & Obada, D. O. (2022). Sorbent and Photocatalytic Potentials of Local Clays for the Removal of Organic Xenobiotic: Case of Crystal Violet. Catalysts, 12(8), 899. https://doi.org/10.3390/catal12080899


