Next Article in Journal
Brightly Visualizing Pancreatic Cancer Margins in Orthotopic Mouse Models with an Anti-CA19-9 Antibody Conjugated to a Near-Infrared Fluorophore
Previous Article in Journal
Risk Stratification of Thyroid Nodules Using Ultrasound Cine-Loop Video Sequences
 
 
Font Type:
Arial Georgia Verdana
Font Size:
Aa Aa Aa
Line Spacing:
Column Width:
Background:
Article

Evaluating the Diagnostic Performance of PET/MR Versus CECT in Determining Resectability in Ovarian Cancer

1
Department of Radiology, University of Florida, Jacksonville, FL 32209, USA
2
Department of Diagnostic Radiology, MD Anderson Cancer Center, Houston, TX 77030, USA
3
Department of Biostatistics, MD Anderson Cancer Center, Houston, TX 77030, USA
*
Author to whom correspondence should be addressed.
Cancers 2025, 17(16), 2612; https://doi.org/10.3390/cancers17162612
Submission received: 14 June 2025 / Revised: 9 July 2025 / Accepted: 7 August 2025 / Published: 9 August 2025
(This article belongs to the Section Cancer Causes, Screening and Diagnosis)

Simple Summary

The aim of this research is to evaluate and compare the diagnostic performance of hybrid PET/MR imaging and contrast-enhanced computed tomography (CECT) in preoperative assessment of resectability among patients with ovarian cancer. Existing imaging modalities exhibit notable variability in sensitivity and specificity for detecting peritoneal and extraperitoneal disease, particularly within challenging anatomical regions. By conducting a systematic, site-based comparison of PET/MR and CECT findings against intraoperative and pathological standards, we aim to delineate the relative strengths and limitations of these modalities. The results are intended to delineate whether the integration of functional and anatomical imaging via PET/MR offers a significant advantage over standard multi-detector CT and potentially enhances treatment approaches in advanced ovarian cancer.

Abstract

Objective: This study aimed to compare the diagnostic accuracy of whole-body PET/MR imaging and contrast-enhanced CT for detecting metastatic disease in patients undergoing surgical resection, using pathology as the reference standard. Materials and Methods: Nineteen patients with suspected metastatic involvement (including four who received neoadjuvant therapy before surgery) underwent both FDG PET/MR and contrast-enhanced CT scans. Imaging was reviewed for metastases at defined sites (e.g., perihepatic region, hepatic parenchyma, mesentery, bowel serosa, colon surface, and nodal basins). Findings on each modality were compared to surgical pathology results per site. Sensitivity, specificity, accuracy, positive predictive value (PPV), and negative predictive value (NPV) were calculated for PET/MR and CT, with pathology as the reference standard. Results: Overall, PET/MR achieved approximately 55.5% sensitivity, 89.5% specificity, 82.5% accuracy, 57.6% positive predictive value (PPV), and 88.6% negative predictive value (NPV). In contrast, CT demonstrated 75.0% sensitivity, 72.3% specificity, 72.9% accuracy, 42% PPV, and 91.5% NPV. No significant correlations were observed between semi-quantitative PET/MR measures, such as SUV or MR ADC values, and patient survival outcomes; therefore, these metrics were excluded from further analysis. Notably, PET/MR imaging findings changed clinical management in 3/6 chemotherapy patients. PET/MR demonstrated greater sensitivity in detecting nodal metastases, 75% compared to CT (25%), and identified small bowel serosal lesions in 1 of 1 case (100% sensitivity) versus none with CT. CT showed slightly higher specificity (81%) for colon serosal involvement than PET/MR (75%). Conclusions: CT demonstrates higher sensitivity, whereas PET/MR offers greater specificity and negative predictive value. When used together, the two modalities may provide a more reliable and comprehensive assessment of metastatic disease.

1. Introduction

Ovarian cancer is one of the most lethal gynecologic malignancies [1]. Accurate staging and comprehensive assessment of disease extent are pivotal in guiding management strategies and optimizing patient outcomes. While diagnostic laparoscopy is considered the gold standard for lesion detection and surgical planning, it is invasive and resource-intensive, necessitating the evaluation of non-invasive imaging modalities that can offer comparable diagnostic accuracy [2].
Traditionally, contrast-enhanced computed tomography (CECT) has been the imaging cornerstone in evaluating ovarian cancer due to its widespread availability and established role in oncologic imaging [3]. It has been used to predict suboptimal resection, with a sensitivity ranging from 28% to 87% and a specificity ranging from 43% to 100% [4]. One recent study showed high predictability of suboptimal debulking using CT [5]. However, emerging hybrid imaging techniques like positron emission tomography/magnetic resonance imaging (PET/MR) have shown promise in oncologic imaging, combining the functional capabilities of PET with the superior soft-tissue contrast of MR [6]. This dual capability positions PET/MR as a potentially superior modality for detecting peritoneal and small-volume disease, critical for accurate staging and treatment planning in ovarian cancer (Figure 1).
The primary objective of this study is to compare the diagnostic accuracy of PET/MR and contrast-enhanced CT in patients with advanced-stage serous ovarian cancer or those with a high clinical suspicion of ovarian malignancy undergoing a planned upfront debulking procedure. Using diagnostic laparoscopy as the gold standard, this study seeks to evaluate the performance of these imaging modalities for lesion detection, aiming to identify the strengths and limitations of each technique. By advancing our understanding of imaging efficacy in this context, this research could inform clinical decision-making, improve non-invasive diagnostic approaches for patients with ovarian cancer, and help predict optimal debulking.

2. Methods

2.1. Patient Data Collection

All patients enrolled in the study underwent PET/MRI and CECT scans. The CECT was sometimes performed before enrollment, but both imaging studies occurred within 17.5 days (±12 days) before the scheduled laparoscopy or surgical cytoreduction. Patients who did not undergo immediate surgical cytoreduction were reimaged with PET/MRI and CECT after completing chemotherapy. The PET/MR was performed 3.9 days (±2.5) for patients who underwent optimal debulking surgery, and the second PET/MR was performed 106 days (±29.4) before surgery in patients who underwent neoadjuvant platinum-based chemotherapy. All patients had serous carcinoma, with the following breakdown: 13 high-grade serous, 1 granulosa cell tumor, 1 mucinous adenocarcinoma, 1 Müllerian high-grade, 1 clear cell carcinoma, and 2 peritoneal cancers. Most patients presented with advanced-stage disease (FIGO stage III or IV), as our inclusion criteria focused on those undergoing evaluation for cytoreductive surgery. The mean age was 49.1 years (39.6–75.1 years).

2.2. Surgical and Imaging Assessments

All participants underwent diagnostic laparoscopy to assess tumor location and the potential for cytoreduction. The size and location of tumor implants were meticulously documented and scored based on a predefined system that evaluated various anatomical sites.
The scoring methodology systematically evaluated tumor spread across multiple anatomical sites by assigning specific point values, including small bowel mesentery (1 point), mesocolon (1 point), hepatic parenchyma (1 point), hepatic hilum or surface involvement (1 point), supracolic and infracolic omental extensions (1 point), gastrosplenic ligament involvement (1 point), splenic surface involvement (1 point), diaphragmatic involvement (1 point), peritoneal thickening (1 point), macroscopic peritoneal implants ≥2 cm (1 point), miliary visceral peritoneum implants (1 point), massive ascites (1 point), suprarenal para-aortic lymph nodes ≥1 cm (1 point), anterior diaphragmatic lymph nodes (1 point), and pleural effusion (1 point). Pelvic sidewall involvement and/or hydroureter were assigned 0 points based on the Fagotti scoring system (Table 1). This scoring system enabled the radiologists and gynecologic oncologists to assess the extent of the disease comprehensively, evaluate the feasibility of surgical cytoreduction, and document tumor implant characteristics systematically for treatment planning, prognostic assessment, and research purposes. A score of >8 resulted in the patient receiving neoadjuvant chemotherapy. This scoring system was applied to all patients who underwent upfront surgical debulking and neoadjuvant chemotherapy.

2.3. Materials and Methods

All studies were performed on the GE 3.0T PET/MR HD 750w scanner (GE Healthcare, Waukesha, WI, USA). The same technologists performed the study for each patient. The patient was asked to void before the exam. The MRI portion of the PETM included a fat-saturated T1 pre-contrast, T1 fastest post-contrast, DWI, and T2 FSE fat-sat sequence through the chest, abdomen, and pelvis. Small FOV T2 fat-sat, Sagittal and axial FOV DWI, and 3D Sagittal post-contrast images were obtained through the pelvis. All patients received ultrasound gel in the vagina before imaging. Gadavist (Gadavist, Bayer Healthcare Pharmaceuticals, Leverkusen, Germany) was used as a contrast agent. PET/MRI data were acquired in LIST mode and reformatted into multiple image frames for analysis. The imaging data were reconstructed using OSEM with TOF and PSF techniques. The images were sent to the MIM workstation 7.1.4 and were interpreted by a radiologist specializing in gynecologic imaging for the past 20 years (PB). The SUV was documented. The ADC values were reported on the PACs workstation. The lowest ADC value and the highest SUV value were documented , including the primary tumor and the metastatic disease. For lymph node assessment, FDG-avid lymph nodes were considered positive for metastases, regardless of whether the size of CT lymph nodes >1 cm in the short axis, which were considered metastatic.
CT imaging was performed through the chest, abdomen, and pelvis. The images were obtained in the PV phase of contrast enhancement. Sagittal and coronal reformats were obtained. Omnipaque 350 (GE Healthcare, Waukesha, WI, USA) was a contrast agent. The CT images were interpreted on a PACS workstation by a radiologist with 10 years of experience (SJ), and the PET/MR images were interpreted by a radiologist (PB) with 20 years of experience and specializes in gynecologic oncology. Both radiologists were ignorant of the other radiologist’s interpretation. The data was collected on an Excel sheet by a research assistant (AA) who worked with the interpreting radiologist. Surgical pathology was considered the gold standard. Correlation was available only for the abdominal and pelvic disease.
All patients underwent laparoscopic evaluation despite the disease seen on imaging findings per protocol. They independently scored the implants, and the decision for neoadjuvant therapy was based on laparoscopic findings. Twelve patients who were deemed to be resectable during laparoscopy underwent upfront optimal debulking surgery.
Resectability in ovarian cancer is determined through clinical, imaging, and surgical assessments. PET/MR and CT were used to evaluate disease spread to critical anatomical sites (e.g., small bowel mesentery, hepatic surface, lymph nodes). We applied the Fagotti scoring system, which assigns points to disease involvement at specific sites. A score >8 was considered predictive of unresectability and guides the decision for neoadjuvant chemotherapy. All patients underwent diagnostic laparoscopy, which remains the gold standard for assessing resectability and guiding management.

2.4. Inclusion/Exclusion Criteria

Patients enrolled in the prospective trial were aged over 18 years, had ovarian cancer or were highly suspected of having it, and were deemed suitable for laparoscopic evaluation for resectability. Inclusion also required an estimated glomerular filtration rate (eGFR) greater than 30. Exclusion criteria included a known allergy to gadolinium, eGFR below 30, presence of a cardiac pacemaker, age under 18 years, body weight over 180 kg, blood glucose levels above 200 mg/dL, and pregnancy.

2.5. Statistical Analysis

Lesion detection was summarized using frequencies and percentages by modality. Sites of metastases were summarized using frequencies and percentages. Metastases diagnosed by PET/MR or CT were cross-tabulated. Statistical analysis was performed using R (version 4.3.1, R Development Core Team).
Overall Survival (OS) is defined as the duration from the date of diagnosis to the date of death or loss to follow-up. Recurrence-Free Survival (RFS) is defined as the duration from the date of diagnosis to the recurrent event or death or to loss to follow-up. OS and RFS were estimated using the Kaplan–Meier method.
Cox regression was used to associate the candidate variables (SUV and ADC) with OS. All tests were two-sided, and p-values of 0.05 or less were considered statistically significant. Statistical analysis was performed using R (version 4.3.1, R Development Core Team).

3. Results

The average age of patients was 49.1 years (max 75.1, and min 39.6). Thirteen patients had serous cancers. One patient had an adult granulosa cell tumor, one patient had moderately differentiated adenocarcinoma with mucinous differentiation, one patient had high-grade mullerian cancer, one patient had clear cell cancer, and two patients had peritoneal cancer. Six patients were deemed unresectable either based on scoring >8 on imaging or laparoscopic assessment or based on PET/MR, and they received Taxol and carboplatin. Of six patients who received chemotherapy, three patients (50%) experienced management changes based on PET/MR findings and based on identification of metastatic supraclavicular and mediastinal adenopathy (anterior diaphragmatic and internal mammary) FDG-avid adenopathy. The remaining three showed extensive disease on both imaging modalities, specifically on laparoscopy, and one patient has had liver infiltration, one patient had lesser sac disease, and one patient had extensive diaphragmatic infiltration. Four patients had a score of ≥8 both on CT and the PET/MR, which correlated with the laparascopy and received neoadjuvant therapy.
On a per-patient basis, PET/MR scored higher than CT. Two patients scored <8 but had adenopathy outside the abdomen, and one had a perihepatic infiltrating large implant detected on PET/MR. One patient with a CT score of 8 and a PET/MR score of 7 underwent upfront debulking surgery (positive anterior diaphragmatic adenopathy was the trigger to give chemotherapy). None of the patients had hydroureter, hydronephrosis, or pelvic sidewall involvement.

Metastases Detected on CT and PET/MR

PET/MR imaging demonstrated moderate sensitivity in detecting metastases across anatomical sites (Table 2). Supracolic omental disease was seen in 36.8% of cases (7/19), and infracolic omental disease in 42.1% (8/19). PET/MR reported small bowel mesenteric disease in 5.3% of patients (1/19), while perihepatic disease was found in 26.3% (5/19). On PET/MR, colon involvement and pelvic adenopathy were noted in 26.3% (5/19) and 10.5% (2/19) of cases, respectively.
On CT, infracolic omental disease was reported in 89.5% of patients (17/19), and supracolic omental disease in 52.6% (10/19). CT identified small bowel mesenteric disease in 36.8% (7/19) and perihepatic disease in 36.8% (7/19). CT detected colon involvement in 31.6% (6/19) and pelvic adenopathy in 5.3% (1/19).
PET/MR detected perihepatic metastases in one of the three patients and overestimated in four patients, with a PPV of 20% and a NPV of 86% (Table 3). PET/MR correctly identified one of the two patients for small bowel mesenteric disease. PET/MR overestimated small bowel mesenteric involvement in 1 patient, with a PPV of 100% and a NPV of 89%. It correctly identified small bowel involvement in 1 patient and overestimated in 1 patient, with a PPV of 50%, and a NPV of 100%. The missed colon involvement by PET/MR in 2 of 3 patients, overestimated colonic involvement in 4 patients, and had a PPV of 20% and a NPV of 86% . Also, the missed metastatic adenopathy by PET/MR in 1 of 4 patients had a PPV of 100% and a NPV of 94%.  CT identified two of the three patients correctly with perihepatic disease and overestimated in five patients, with a PPV of 29% and a NPV of 92%. CT correctly identified three patients with small bowel mesenteric disease and overestimated four patients, with a PPV of 43% and a NPV of 100%. CT missed one patient with small bowel serosal disease and overestimated two patients, with a PPV of 0% and a NPV of 94%. CT overestimated three patients with colonic involvement and correctly identified three patients with colonic involvement, with a PPV of 50% and a NPV of 100%. Of the four patients with adenopathy, one was correctly identified and three were missed. CT overestimated adenopathy in 2 patients, had a PPV of 33%, and a NPV of 81%.
Compared to the gold standard of pathology, PET/MR’s sensitivity for small bowel mesenteric disease was 33% (1/3), with a specificity of 100% (16/16). CT achieved perfect sensitivity (100%) for the same site but a lower specificity of 75% (12/16). For perihepatic disease, PET/MR had a sensitivity of 33% (1/3) and specificity of 75% (12/16), while CT showed a sensitivity of 67% (2/3) and a specificity of 69% (11/16). For colon involvement, PET/MR sensitivity was 33% (1/3) and specificity was at 75%, while CT had a sensitivity of 100% and specificity at 81% (Table 4). These findings affirm PET/MR’s strength in avoiding false positives and CT’s advantage in catching more true positives. The overall survival was 93% at 1 year, 79% at 2 years, and 79% at 3 years. The recurrence-free survival at 1 year was 81.2%, 45.1% at 2 years, and 33.8% at 3 years. Nine patients recurred post-treatment.
The pretreatment ADC and SUV did not impact overall survival (p = 0.394 and p = 0.774) or recurrence-free survival (p = 0.287 and p = 0.443).

4. Discussion

This study represents one of the first direct comparisons between PET/MR and CT for evaluating suboptimal resectability in ovarian cancer. Both modalities demonstrated equivalent diagnostic accuracy (68%) in detecting perihepatic disease. PET/MR exhibited superior performance for small bowel involvement with an accuracy of 95%, compared to 84% for CT. In contrast, CT demonstrated higher accuracy for colonic participation (84%) versus PET/MR (74%).
These findings are consistent with Tsuyoshi et al., who reported higher diagnostic accuracy of PET/MRI (92.5%) compared to contrast-enhanced MRI (80.6%) and superior performance in M staging (100% vs. 30.8%), while maintaining comparable accuracy for T and N staging [7]. In our cohort, PET/MR outperformed CT in detecting metastatic disease, with 82% and 72.9% accuracy rates, respectively.
In our cohort, PET/MR demonstrated 88.6% negative predictive value (NPV) compared to CT’s 91.5% NPV. However, both modalities had limitations in detecting certain types of metastatic disease. Our study found that PET/MR missed 1 of 4 patients with metastatic adenopathy and had 33% sensitivity for perihepatic disease. CT missed 3 of 4 patients with adenopathy but showed 100% sensitivity for small bowel mesenteric disease. For patients with negative imaging but high clinical suspicion, diagnostic laparoscopy remains the gold standard, as demonstrated by our protocol, where all patients underwent laparoscopic evaluation regardless of imaging findings. Clinical management should consider the probability of false negatives based on the specific anatomical sites and tumor characteristics, with consideration for diagnostic laparoscopy in cases where imaging is discordant with clinical suspicion.
A meta-analysis evaluating contrast-enhanced CT versus PET/CT in stage III ovarian cancer across 15 studies (n = 918) found no statistically significant difference in sensitivity between CT (82%) and PET/CT (87%) (p = 0.29). However, PET/CT demonstrated significantly higher specificity (90% vs. 72%, p < 0.01) [8]. Similarly, Tsili et al. conducted a systematic review and meta-analysis comparing MDCT, MRI, and FDG PET/CT for peritoneal metastases detection. MRI (82.7%) and FDG PET/CT (93.7%) outperformed MDCT (79.7%) in sensitivity on a per-patient basis. On a per-region basis, MRI showed the highest sensitivity (92.6%) compared to MDCT (70.1%) and FDG PET/CT (58.3%) [3]. These findings suggest that while PET/CT enhances diagnostic specificity, MRI may be the most sensitive modality for comprehensive peritoneal disease assessment due to its superior soft-tissue contrast, and incorporating PET and MRI can be beneficial for detecting metastatic disease. Khiewvan et al. [9] emphasized the diagnostic strength of PET/CT (sensitivity and specificity of 92–95%) in detecting metastases and recurrence, influencing treatment in up to 60% of cases. They also highlighted the emerging role of PET/MRI and the potential application of non-FDG PET tracers. In our study, PET/MR demonstrated a sensitivity of 100% for small bowel serosal involvement, compared to 75% for CT. This aligns with findings from Xi et al., who showed PET/MR had higher sensitivity than PET/CT in detecting gastrointestinal invasion (75% vs. 50%) %. [10]. However, systematic reviews by Suppiah et al. [11] and Li et al. [12] have further validated the performance of PET/CT, reporting a pooled sensitivity of 92%, specificity of 88%, and an AUC of 0.96 for detecting metastatic disease. MRI achieved high sensitivity (0.95) but comparatively lower specificity (0.81) [11].
In our data, PET/MR demonstrated higher specificity for perihepatic disease (75%) compared to CT (69%), albeit lower than previously reported by Xi et al. (PET/CT: 90.9%; PET/MR: 81.8%) [10]. Accurate identification of perihepatic disease is clinically significant, as the size and extent of hepatic implants directly impact surgical planning. MRI may provide better contrast resolution in identifying perihepatic disease.
PET/MR also showed superior performance in detecting metastatic adenopathy with sensitivity and specificity of 75% and 100%, respectively, compared to CT (25% and 87%). However, these values are slightly lower than the 100% sensitivity and specificity reported by Xi et al. for both PET/CT and PET/MR [10]. The ability of PET/MR to assess both metabolic activity and anatomical size confers an advantage in detecting early nodal metastasis. While effective in detecting morphological changes, CT lacks metabolic data, limiting its sensitivity in early disease.
Avesani et al. (2020) retrospectively analyzed 297 ovarian cancer patients [13]. They found that CT-based Peritoneal Cancer Index (CT-PCI) correlated with residual disease post-surgery (OR = 1.04, p = 0.003), though its utility as a triage tool was limited (AUC = 0.64) [13]. Fagotti scoring applied to CT and PET/MRI effectively predicted resectability in our dataset. However, in one instance, a CT-based score of 8 and a PET/MRI score of 7, with anterior diaphragmatic adenopathy and receiving neoadjuvant chemotherapy, demonstrated the utility of PET/MR.
In our cohort, PET/MR and CT showed comparable accuracy for diaphragmatic involvement (78% vs. 74%). Hynninen et al. reported higher accuracy for PET/CT (78%) than CT (55%) in detecting diaphragmatic involvement [14]. PET/CT was superior to CT for detecting carcinomatosis in certain areas (accuracy of 78% vs. 55% for the diaphragm) [14]. Both modalities, however, demonstrated poor sensitivity for small bowel mesenteric disease (74% vs. 51%) in their study, slightly lower than our findings (PET/MR: 89%; CT: 79%). Additionally, PET/CT identified more cases of extra-abdominal metastasis than CT (32 vs. 25 patients). In our study, PET/MR detected extra-abdominal metastasis in 3 of 19 patients.
Tozzi et al. evaluated bowel involvement detection in stage IIIC–IV ovarian cancer using CT and exploratory laparoscopy (EXL), finding that CT alone had low sensitivity (56.7%) and specificity (72.4%). Combining CT with EXL improved sensitivity to 87.5% and accuracy to 79.6%, with EXL alone achieving the highest sensitivity (84.4%) and specificity (93.8%) [15]. The study concluded that CT alone has limited diagnostic power, but combining CT with EXL increases diagnostic accuracy for planning bowel resections. Onda et al. conducted a study on 147 patients with ovarian cancer to evaluate the accuracy of preoperative CT in diagnosing stage III disease [16]. In our research, when benchmarked against findings from exploratory laparotomy and debulking procedures, CT demonstrated a sensitivity of 100% and specificity of 89%.
In contrast, PET/MR showed a markedly lower sensitivity of 33% but comparable specificity of 89%. These results indicate that PET/MR is more effective in detecting metabolically active lesions, while CT provides superior identification of morphologically advanced metastases owing to its higher spatial resolution. Therefore, a combined imaging approach leveraging the metabolic sensitivity of PET/MR and the anatomical detail of CT may offer a more comprehensive and accurate assessment for preoperative staging and surgical planning in ovarian cancer.

5. Strengths and Weaknesses

This study comparing PET/MR and CT for detecting ovarian cancer metastases demonstrates several strengths and weaknesses. A key strength is its comprehensive approach, evaluating multiple anatomical sites and providing a nuanced understanding of each modality’s performance across different regions. The use of pathology as the gold standard ensures high diagnostic validity. This study highlights the complementary nature of PET/MR and CT, suggesting the potential benefits of a combined approach in clinical practice.
However, this study is limited by its small sample size of only 19 patients, which may compromise statistical power and generalizability. The inclusion criteria for patients with ovarian cancer or high suspicion of ovarian malignancy could introduce selection bias, potentially affecting the applicability of results to a broader patient population. Additionally, the study lacks information on inter-observer variability and does not include a cost-effectiveness analysis, an essential consideration for clinical implementation. The absence of long-term follow-up data also limits insights into the clinical impact of using these imaging modalities for treatment planning and patient outcomes. Also, this study did not stratify diagnostic performance by histological subtype, ascites volume, diagnostic SUV threshold, or diffusion-weighted MRI findings.

6. Implications for Practice and Future Research

The findings of this study have significant implications for clinical practice and future research in ovarian cancer imaging. The complementary strengths of PET/MR and CT suggest that a combined imaging approach could optimize the detection and characterization of metastatic sites. In practice, clinicians may consider using PET/MR for its superior sensitivity in detecting subtle metastases, particularly in areas like perihepatic disease and small bowel involvement. This dual-modality strategy could enhance the accuracy of preoperative staging and improve treatment planning. Future research should focus on developing standardized protocols for integrating PET/MR and CT in ovarian cancer evaluation and investigating the cost-effectiveness and impact of this combined approach on patient outcomes. Additionally, prospective studies with larger sample sizes are needed to validate these findings and further explore the potential of advanced image analysis techniques, such as artificial intelligence, to improve the diagnostic performance of these imaging modalities.

7. Conclusions

This study emphasizes the complementary diagnostic strengths of PET/MR and contrast-enhanced CT (CECT) in evaluating ovarian cancer metastases. PET/MR correctly identified all unresectable patients and demonstrated superior accuracy in detecting small bowel mesenteric disease, serosal involvement, and pelvic adenopathy. It also revealed metastases missed on CT, reflecting greater sensitivity in several regions. Conversely, CECT performed better in assessing colonic serosal invasion. Both modalities, however, exhibited discrepancies when compared with exploratory laparotomy findings.
While PET/MR offers advantages in functional imaging and helps minimize overdiagnosis, it has a better specificity and NPV; CT has a better sensitivity. Integrating both modalities can enhance preoperative staging accuracy and guide optimal treatment planning. Due to the study’s small sample size, preliminary findings, and larger, prospective studies, they are warranted to validate these findings and further explore with larger prospective trials.

Author Contributions

Conceptualization, M.V. and P.B.; Formal analysis, J.S.; Data curation, A.A. and T.D.; Writing—original draft, M.V. and P.B.; Writing—review & editing, M.V., S.J., R.I., D.G. and P.B. All authors have read and agreed to the published version of the manuscript.

Funding

This research received no external funding.

Institutional Review Board Statement

The study was conducted in accordance with the Declaration of Helsinki and approved by the M D Anderson Cancer Center Institutional Review Board (2017-0442_MOD004).

Informed Consent Statement

Informed consent was obtained from all subjects involved in the study.

Data Availability Statement

The original contributions presented in this study are included in the article. Further inquiries can be directed to the corresponding author.

Conflicts of Interest

The authors declare no conflict of interest.

References

  1. Siegel, R.L.; Giaquinto, A.N.; Jemal, A. Cancer statistics, 2024. CA Cancer J. Clin. 2024, 74, 12–49. [Google Scholar]
  2. Lee, Y.J.; Chung, Y.S.; Lee, J.-Y.; Nam, E.J.; Kim, S.W.; Kim, Y.T.; Kim, S. Role of diagnostic laparoscopy in deciding primary treatment in advanced-stage ovarian cancer. J. Gynecol. Oncol. 2022, 34, e17. [Google Scholar]
  3. Tsili, A.C.; Alexiou, G.; Tzoumpa, M.; Siempis, T.; Argyropoulou, M.I. Imaging of Peritoneal Metastases in Ovarian Cancer Using MDCT, MRI, and FDG PET/CT: A Systematic Review and Meta-Analysis. Cancers 2024, 16, 1467. [Google Scholar]
  4. Kang, S.; Park, S.Y. To predict or not to predict? The dilemma of predicting the risk of suboptimal cytoreduction in ovarian cancer. Ann. Oncol. 2011, 22 (Suppl. 8), viii23–viii28. [Google Scholar] [CrossRef]
  5. Cortes Garcia, B.Y.; Sollozo-Dupont, I.; Torres Gomez, E.A.; Perez-Plasencia, C.; Prada, D.; Umana Brenes, A.A.; Villasenor Navarro, Y.; Cantu-De Leon, D. Computed tomography-based prediction of interval cytoreduction in advanced ovarian cancer. Int. J. Gynecol. Cancer 2025, 35, 100011. [Google Scholar] [CrossRef]
  6. Virarkar, M.; Ganeshan, D.; Gulati, A.T.; Palmquist, S.; Iyer, R.; Bhosale, P. Diagnostic performance of PET/CT and PET/MR in the management of ovarian carcinoma—A literature review. Abdom. Radiol. 2021, 46, 2323–2349. [Google Scholar]
  7. Tsuyoshi, H.; Tsujikawa, T.; Yamada, S.; Okazawa, H.; Yoshida, Y. Diagnostic value of [18 F] FDG PET/MRI for staging in patients with ovarian cancer. EJNMMI Res. 2020, 10, 117. [Google Scholar]
  8. Wilson, M.P.; Sorour, S.; Bao, B.; Murad, M.H.; Man, V.; Krill, M.; Low, G. Diagnostic accuracy of contrast-enhanced CT versus PET/CT for advanced ovarian cancer staging: A comparative systematic review and meta-analysis. Abdom. Radiol. 2024, 49, 2135–2144. [Google Scholar]
  9. Khiewvan, B.; Torigian, D.A.; Emamzadehfard, S.; Paydary, K.; Salavati, A.; Houshmand, S.; Werner, T.J.; Alavi, A. An update on the role of PET/CT and PET/MRI in ovarian cancer. Eur. J. Nucl. Med. Mol. Imaging 2017, 44, 1079–1091. [Google Scholar]
  10. Xi, Y.; Sun, L.; Che, X.; Huang, X.; Liu, H.; Wang, Q.; Meng, H.; Miao, Y.; Qu, Q.; Hai, W.; et al. A comparative study of [(68)Ga]Ga-FAPI-04 PET/MR and [(18)F]FDG PET/CT in the diagnostic accuracy and resectability prediction of ovarian cancer. Eur. J. Nucl. Med. Mol. Imaging 2023, 50, 2885–2898. [Google Scholar] [CrossRef]
  11. Suppiah, S.; Chang, W.; Hassan, H.; Kaewput, C.; Asri, A.; Saad, F.; Nordin, A.; Vinjamuri, S. Systematic review on the accuracy of positron emission tomography/computed tomography and positron emission tomography/magnetic resonance imaging in the management of ovarian cancer: Is functional information really needed? World J. Nucl. Med. 2017, 16, 176–185. [Google Scholar]
  12. Li, X.; Wang, L.; Guo, P.; Sun, Q.; Zhang, Y.; Chen, C.; Zhang, Y. Diagnostic performance of noninvasive imaging using computed tomography, magnetic resonance imaging, and positron emission tomography for the detection of ovarian cancer: A meta-analysis. Ann. Nucl. Med. 2023, 37, 541–550. [Google Scholar]
  13. Avesani, G.; Arshad, M.; Lu, H.; Fotopoulou, C.; Cannone, F.; Melotti, R.; Aboagye, E.; Rockall, A. Radiological assessment of Peritoneal Cancer Index on preoperative CT in ovarian cancer is related to surgical outcome and survival. La Radiol. Medica 2020, 125, 770–776. [Google Scholar]
  14. Hynninen, J.; Kemppainen, J.; Lavonius, M.; Virtanen, J.; Matomäki, J.; Oksa, S.; Carpén, O.; Grénman, S.; Seppänen, M.; Auranen, A. A prospective comparison of integrated FDG-PET/contrast-enhanced CT and contrast-enhanced CT for pretreatment imaging of advanced epithelial ovarian cancer. Gynecol. Oncol. 2013, 131, 389–394. [Google Scholar]
  15. Tozzi, R.; Traill, Z.; Campanile, R.G.; Kilic, Y.; Baysal, A.; Giannice, R.; Morotti, M.; Valenti, G. Diagnostic flow-chart to identify bowel involvement in patients with stage IIIC-IV ovarian cancer: Can laparoscopy improve the accuracy of CT scan? Gynecol. Oncol. 2019, 155, 207–212. [Google Scholar]
  16. Onda, T.; Tanaka, Y.O.; Kitai, S.; Manabe, T.; Ishikawa, M.; Hasumi, Y.; Miyamoto, K.; Ogawa, G.; Satoh, T.; Saito, T. Stage III disease of ovarian, tubal and peritoneal cancers can be accurately diagnosed with pre-operative CT. Japan Clinical Oncology Group Study JCOG0602. Jpn. J. Clin. Oncol. 2021, 51, 205–212. [Google Scholar]
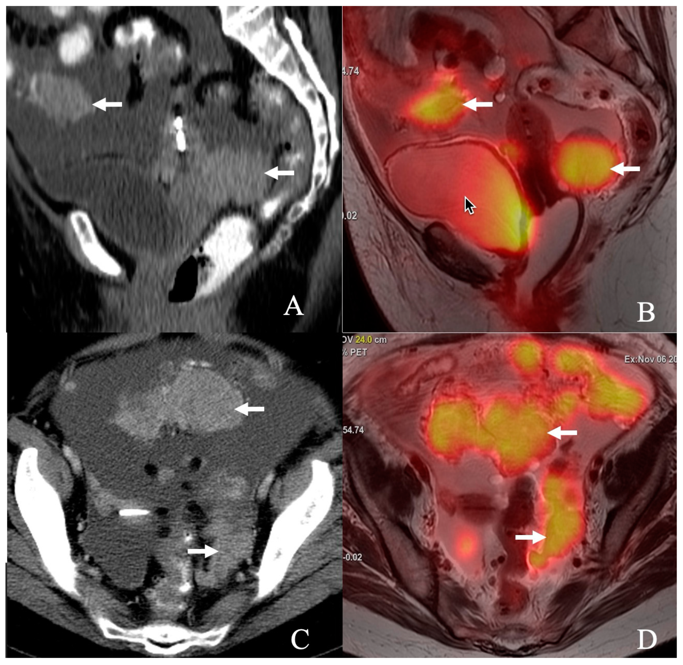
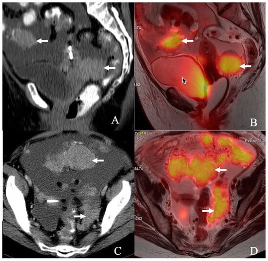
Figure 1. A 68-year-old female presents with adenocarcinoma, Mullerian primary/high-grade serous-type ovarian carcinoma with peritoneal carcinomatosis. (A) Sagittal, (C) axial contrast-enhanced CT, and (B) sagittal, (D) axial T2-weighted PET/MR images show FDG-avid peritoneal masses (arrow) in the pelvis and diffuse ascites.
Figure 1. A 68-year-old female presents with adenocarcinoma, Mullerian primary/high-grade serous-type ovarian carcinoma with peritoneal carcinomatosis. (A) Sagittal, (C) axial contrast-enhanced CT, and (B) sagittal, (D) axial T2-weighted PET/MR images show FDG-avid peritoneal masses (arrow) in the pelvis and diffuse ascites.
Cancers 17 02612 g001
Table 1. Fagotti score for metastases based on CT and PET/MR baseline imaging.
Table 1. Fagotti score for metastases based on CT and PET/MR baseline imaging.
PET/MR ScoreStudy CT ScoreNeoadjuvant ChemotherapyReason
43  
01  
1110Yes *Extensive disease, supraclavicular adenopathy on PET/MR
118YesExtensive disease
00  
54  
108YesExtensive disease
78Yes *Anterior diaphragmatic adenopathy on PET/MR
55  
00  
98YesExtensive disease
67  
12  
56  
02  
41  
32  
43Yes *Supraclavicular adenopathy on PET/MR
22  
* Patients obtained a biopsy of the nodes.
Table 2. Summary of metastases detected by PETMR and CT (Overall N = 19).
Table 2. Summary of metastases detected by PETMR and CT (Overall N = 19).
SitePET/MRCT
Absent (n, %)Present (n, %)Absent (n, %)Present (n, %)
Supraclavicular Adenopathy16 (88.9%)2 (11.1%)18 (94.7%)1 (5.3%)
Chest Adenopathy17 (89.5%)2 (10.5%)19 (100.0%) 
Lung Nodules19 (100.0%) 19 (100.0%) 
Pleural Effusion16 (84.2%)3 (15.8%)18 (94.7%)1 (5.3%)
Diaphragmatic Involvement17 (89.5%)2 (10.5%)11 (57.9%)8 (42.1%)
Perihepatic Disease14 (73.7%)5 (26.3%)12 (63.2%)7 (36.8%)
Hepatic Metastases19 (100.0%) 19 (100%) 
Perisplenic Metastases16 (84.2%)3 (15.8%)14 (73.7%)5 (26.3%)
Supracolic Omental Disease12 (63.2%)7 (36.8%)9 (47.4%)10 (52.6%)
Infracolic Omental Disease11 (57.9%)8 (42.1%)2 (10.5%)17 (89.5%)
Retroperitoneal Adenopathy16 (84.2%)3 (15.8%)16 (84.2%)3 (15.8%)
Small Bowel Mesenteric Disease18 (94.7%)1 (5.3%)12 (63.2%)7 (36.8%)
Small Bowel Involvement17 (89.5%)2 (10.5%)17 (89.5%)2 (10.5%)
Colon Involvement14 (73.7%)5 (26.3%)13 (68.4%)6 (31.6%)
Pelvic Adenopathy17 (89.5%)2 (10.5%)18 (94.7%)1 (5.3%)
Table 3. Diagnostic performance metrics for PET and CT.
Table 3. Diagnostic performance metrics for PET and CT.
SiteStatistic PETMRCT
Perihepatic DiseaseSensitivity33%67%
Specificity75%69%
Accuracy68%68%
Positive Predictive Value20%29%
Negative Predictive Value86%92%
Small Bowel Mesenteric DiseaseSensitivity33%100%
Specificity100%75%
Accuracy89%79%
Positive Predictive Value100%43%
Negative Predictive Value89%100%
Small Bowel InvolvementSensitivity100%0%
Specificity94%89%
Accuracy95%84%
Positive Predictive Value50%-
Negative Predictive Value100%94%
Colon InvolvementSensitivity33%100%
Specificity75%81%
Accuracy68%84%
Positive Predictive Value20%50%
Negative Predictive Value86%100%
Pelvic AdenopathySensitivity75%25%
Specificity100%87%
Accuracy95%74%
Positive Predictive Value100%33%
Negative Predictive Value94%81%
Diaphragmatic involvementSensitivity33%71%
Specificity100%75%
Accuracy78%74%
Positive Predictive Value100%63%
Negative Predictive Value75%82%
OmentumSensitivity85.71%100.00%
Specificity83.33%16.67%
Accuracy84.21%47.37%
Positive Predictive Value75.00%41.18%
Negative Predictive Value90.91%100.00%
Table 4. Table outlining the criteria for determining resectability/non-resectability based on CT and PET/MR data.
Table 4. Table outlining the criteria for determining resectability/non-resectability based on CT and PET/MR data.
Site/CriteriaCT Criteria for Non-ResectabilityPET/MR Criteria for Non-ResectabilityResults
Small bowel mesentery involvement>1 site, >2 cm implantsFDG-avid lesions, >2 cm, DWI-positivePET/MR higher specificity
Hepatic surface/parenchymal disease>1 cm implant, multifocalMetabolic activity + anatomical sizePET/MR better for small lesions
Lymph node metastasis>1 cm short axisFDG-avid regardless of sizePET/MR higher sensitivity
Colon serosal involvement>2 cm implantMetabolic activity, DWI-positiveCT higher sensitivity
Diaphragmatic involvement>2 cm implant, thickeningFDG-avid, DWI-positiveComparable accuracy
Fagotti score>8>8Used for both modalities
Disclaimer/Publisher’s Note: The statements, opinions and data contained in all publications are solely those of the individual author(s) and contributor(s) and not of MDPI and/or the editor(s). MDPI and/or the editor(s) disclaim responsibility for any injury to people or property resulting from any ideas, methods, instructions or products referred to in the content.

Share and Cite

MDPI and ACS Style

Virarkar, M.; Javadi, S.; Aziz, A.; Sun, J.; Iyer, R.; Ganeshan, D.; Dauod, T.; Bhosale, P. Evaluating the Diagnostic Performance of PET/MR Versus CECT in Determining Resectability in Ovarian Cancer. Cancers 2025, 17, 2612. https://doi.org/10.3390/cancers17162612

AMA Style

Virarkar M, Javadi S, Aziz A, Sun J, Iyer R, Ganeshan D, Dauod T, Bhosale P. Evaluating the Diagnostic Performance of PET/MR Versus CECT in Determining Resectability in Ovarian Cancer. Cancers. 2025; 17(16):2612. https://doi.org/10.3390/cancers17162612

Chicago/Turabian Style

Virarkar, Mayur, Sanaz Javadi, Aatiqah Aziz, Jia Sun, Revathy Iyer, Dhakshinamoorthy Ganeshan, Taher Dauod, and Priya Bhosale. 2025. "Evaluating the Diagnostic Performance of PET/MR Versus CECT in Determining Resectability in Ovarian Cancer" Cancers 17, no. 16: 2612. https://doi.org/10.3390/cancers17162612

APA Style

Virarkar, M., Javadi, S., Aziz, A., Sun, J., Iyer, R., Ganeshan, D., Dauod, T., & Bhosale, P. (2025). Evaluating the Diagnostic Performance of PET/MR Versus CECT in Determining Resectability in Ovarian Cancer. Cancers, 17(16), 2612. https://doi.org/10.3390/cancers17162612

Note that from the first issue of 2016, this journal uses article numbers instead of page numbers. See further details here.

Article Metrics

Back to TopTop