Bronchopleural Fistula after Lobectomy for Lung Cancer: How to Manage This Life-Threatening Complication Using Both Old and Innovative Solutions
Abstract
Simple Summary
Abstract
1. Introduction
2. Materials and Methods
2.1. Patients
2.2. Algorithm for Treatment of BPF at the European Institute of Oncology
2.2.1. Early Fistula
2.2.2. Late Fistula
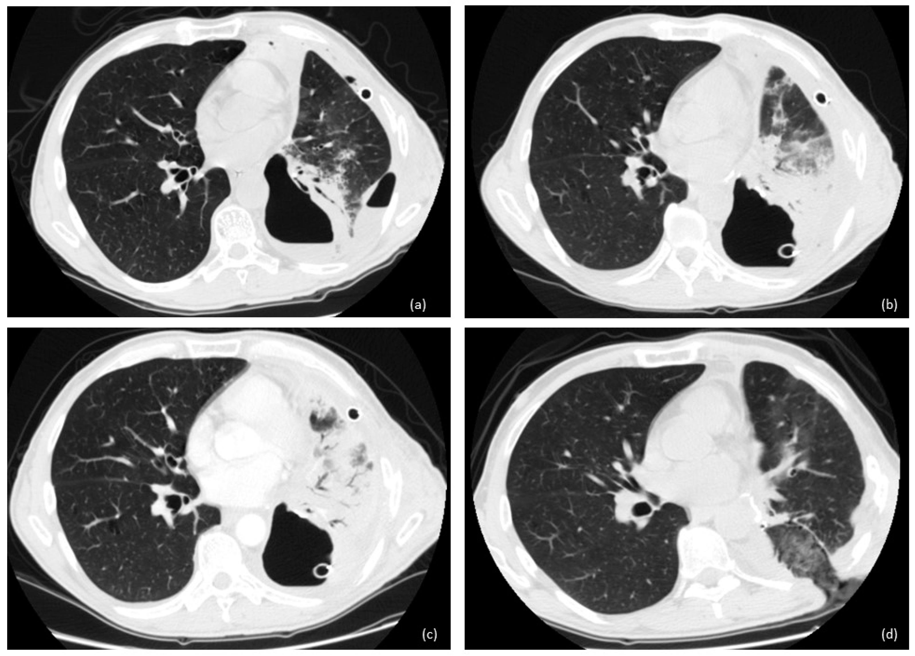
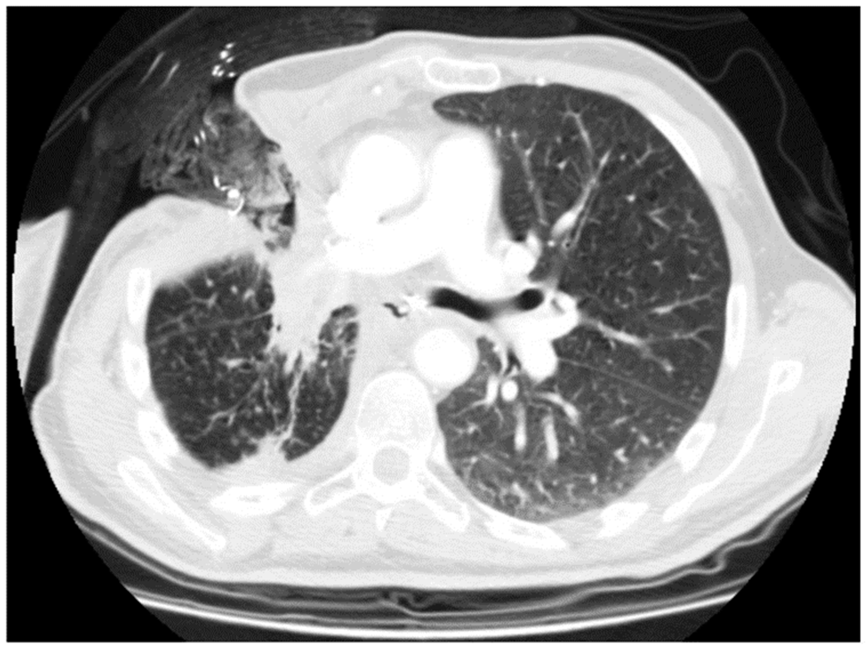
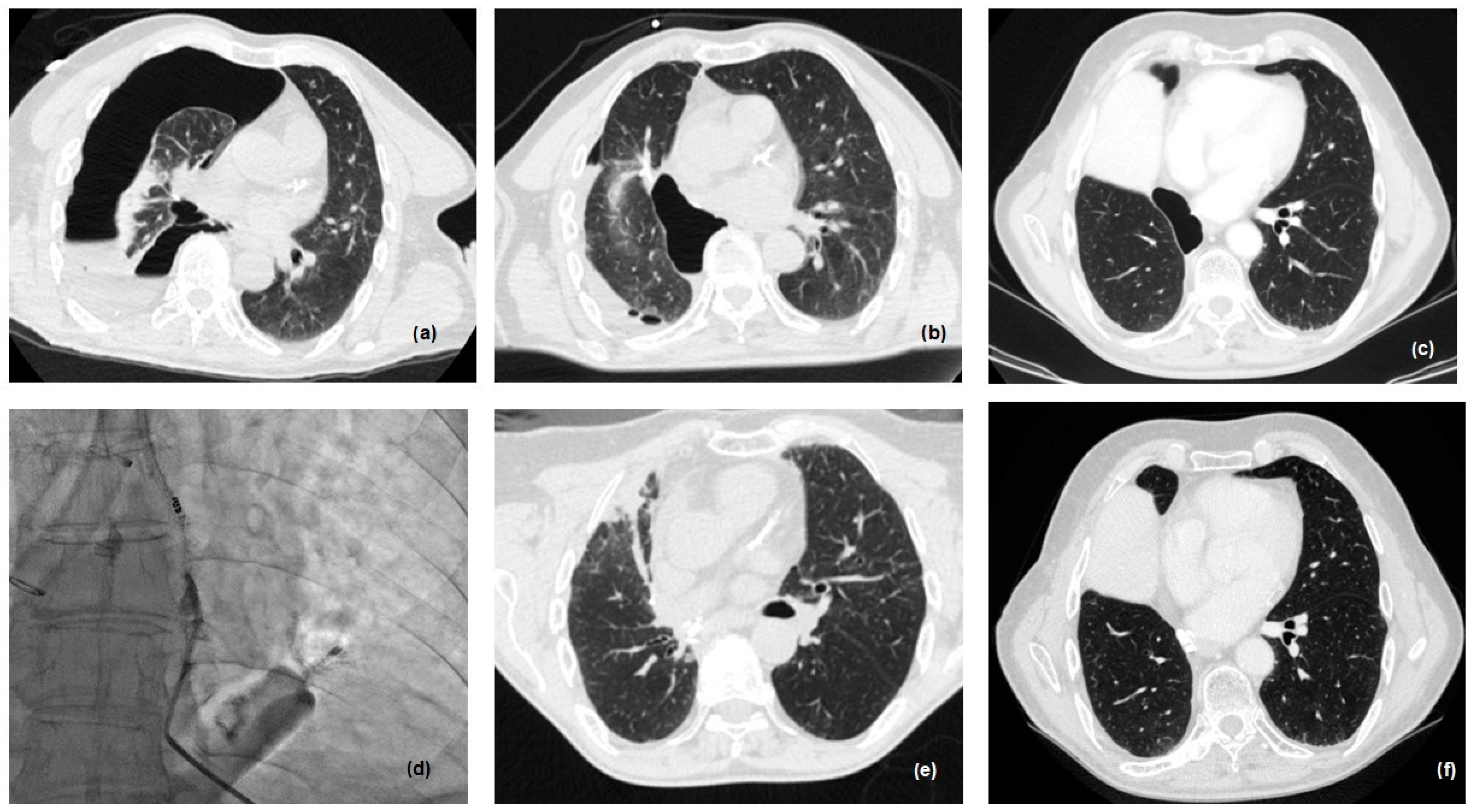
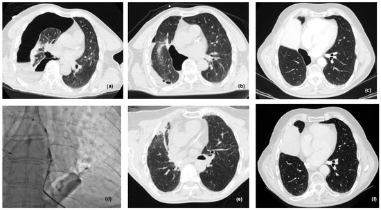
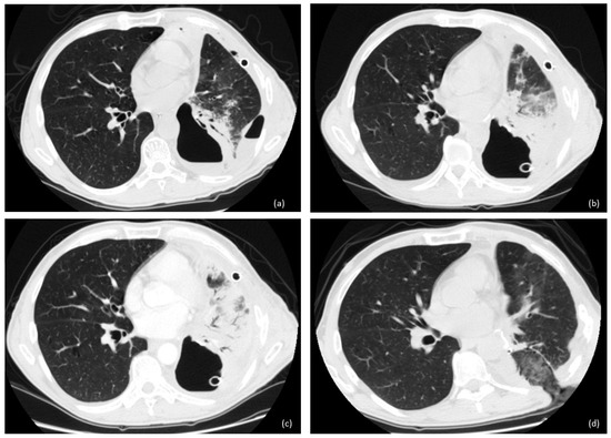
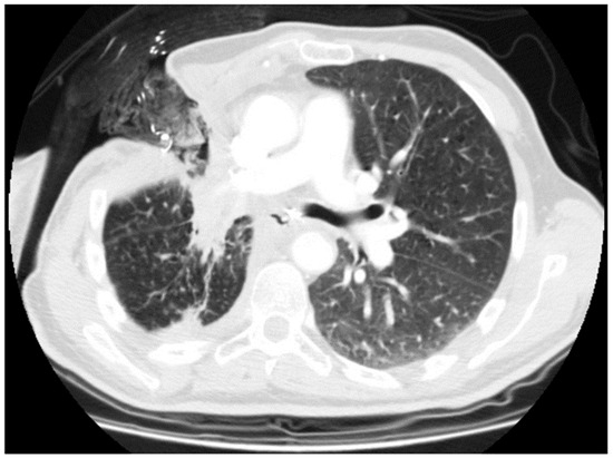
2.3. New Therapeutic Horizons: Percutaneous Treatment of Small and Late BPF
2.4. Patient Follow-Up
3. Results
4. Discussion
5. Conclusions
Author Contributions
Funding
Institutional Review Board Statement
Informed Consent Statement
Data Availability Statement
Acknowledgments
Conflicts of Interest
References
- Okuda, M.; Go, T.; Yokomise, H. Risk factor of bronchopleural fistula after general thoracic surgery: Review article. Gen. Thorac. Cardiovasc. Surg. 2017, 65, 679–685. [Google Scholar] [CrossRef]
- Mazzella, A.; Bertolaccini, L.; Sedda, G.; Prisciandaro, E.; Loi, M.; Iacono, G.L.; Spaggiari, L. Pneumonectomy and broncho-pleural fistula: Predicting factors and stratification of the risk. Updates Surg. 2022, 74, 1471–1478. [Google Scholar] [CrossRef]
- Mazzella, A.; Pardolesi, A.; Maisonneuve, P.; Petrella, F.; Galetta, D.; Gasparri, R.; Spaggiari, L. Bronchopleural Fistula after Pneumonectomy: Risk Factors and Management, Focusing on Open-Window Thoracostomy. Semin Thorac. Cardiovasc. Surg. 2018, 30, 104–113. [Google Scholar] [CrossRef]
- Fuso, L.; Varone, F.; Nachira, D.; Leli, I.; Salimbene, I.; Congedo, M.T.; Margaritora, S.; Granone, P. Incidence and Management of Post-Lobectomy and Pneumonectomy Bronchopleural Fistula. Lung 2016, 194, 299–305. [Google Scholar] [CrossRef]
- Jichen, Q.V.; Chen, G.; Jiang, G.; Ding, J.; Gao, W.; Chen, C. Risk factor comparison and clinical analysis of early and late bronchopleural fistula after non-small cell lung cancer surgery. Ann. Thorac. Surg. 2009, 88, 1589–1593. [Google Scholar] [CrossRef] [PubMed]
- Hu, X.F.; Duan, L.; Jiang, G.N.; Wang, H.; Liu, H.C.; Chen, C. A clinical risk model for the evaluation of bronchopleural fistula in non-small cell lung cancer after pneumonectomy. Ann. Thorac. Surg. 2013, 96, 419–424. [Google Scholar] [CrossRef] [PubMed]
- Uramoto, H.; Hanagiri, T. The development of bronchopleural fistula in lung cancer patients after major surgery: 31 years of experience with 19 cases. Anticancer. Res. 2011, 31, 619–624. [Google Scholar] [PubMed]
- Li, S.; Fan, J.; Zhou, J.; Ren, Y.; Shen, C.; Che, G. Residual disease at the bronchial stump is positively associated with the risk of bronchoplerual fistula in patients undergoing lung cancer surgery: A meta-analysis. Interact. Cardiovasc. Thorac. Surg. 2016, 22, 327–335. [Google Scholar] [CrossRef] [PubMed]
- Kobayashi, S.; Karube, Y.; Nishihira, M.; Inoue, T.; Araki, O.; Maeda, S.; Sado, T.; Matsumura, Y.; Chida, M. Postoperative pyothorax a risk factor for acute exacerbation of idiopathic interstitial pneumonia following lung cancer resection. Gen. Thorac. Cardiovasc. Surg. 2016, 64, 476–480. [Google Scholar] [CrossRef]
- Sirbu, H.; Busch, T.; Aleksic, I.; Schreiner, W.; Oster, O.; Dalichau, H. Bronchopleural stula in the surgery of non-small cell lung cancer: Incidence, risk factors, and management. Ann. Thorac. Cardiovasc. Surg. 2001, 7, 330–336. [Google Scholar] [PubMed]
- Sonobe, M.; Nakagawa, M.; Ichinose, M.; Ikegami, N.; Nagasawa, M.; Shindo, T. Analysis of risk factors in bronchopleural fistula after pulmonary resection for primary lung cancer. Eur. J. Cardiothorac. Surg. 2000, 18, 519–523. [Google Scholar] [CrossRef]
- Vallières, E. Management of empyema after lung resections (pneumonectomy/lobectomy). Chest Surg. Clin. N. Am. 2002, 12, 571–585. [Google Scholar] [CrossRef]
- Nagahiro, I.; Aoe, M.; Sano, Y.; Date, H.; Andou, A.; Shimizu, N. Bronchopleural fistula after lobectomy for lung cancer. Asian Cardiovasc. Thorac. Ann. 2007, 15, 45–48. [Google Scholar] [CrossRef] [PubMed]
- Vandenbroucke, J.P.; von Elm, E.; Altman, D.G.; Gøtzsche, P.C.; Mulrow, C.D.; Pocock, S.J.; Poole, C.; Schlesselman, J.J.; Egger, M. Strengthening the reporting of observational studies in epidemiology (STROBE): Explanation and elaboration. Int. J. Surg. 2014, 12, 1500–1524. [Google Scholar] [CrossRef]
- Lois, M.; Noppen, M. Bronchopleural fistulas: An overview of the problem with special focus on endoscopic management. Chest 2005, 128, 3955–3965. [Google Scholar] [CrossRef] [PubMed]
- Liberman, M.; Cassivi, S.D. Bronchial stump dehiscence: Update on prevention and management. Semin Thorac. Cardiovasc. Surg. 2007, 19, 366–373. [Google Scholar] [CrossRef] [PubMed]
- Grunenwald, D.; Spaggiari, L. Technique for early bronchopleural fistula repair after lung resection. Ann. Thorac. Surg. 1997, 63, 1214–1215. [Google Scholar]
- Regnard, J.F.; Icard, P.; Magdeleinat, P.; Jauffret, B.; Farés, E.; Levasseur, P. Completion pneumonectomy: Experience in eighty patients. J. Thorac. Cardiovasc. Surg. 1999, 117, 1095–1101. [Google Scholar] [CrossRef] [PubMed]
- Puri, V.; Tran, A.; Bell, J.M.; Crabtree, T.D.; Kreisel, D.; Krupnick, A.S.; Patterson, G.A.; Meyers, B.F. Completion pneumonectomy: Outcomes for benign and malignant indications. Ann. Thorac. Surg. 2013, 95, 1885–1890; discussion 1890–1891. [Google Scholar] [CrossRef] [PubMed]
- Cardillo, G.; Galetta, D.; van Schil, P.; Zuin, A.; Filosso, P.; Cerfolio, R.J.; Forcione, A.R.; Carleo, F. Completion pneumonectomy: A multicentre international study on 165 patients. Eur. J. Cardiothorac. Surg. 2012, 42, 405–409. [Google Scholar] [CrossRef]
- Lim, D.Y.; Wang, M.; Chokkappan, K.; Lee, K.A.; Leong, S.; Ng, K.S.; Too, C.W. Percutaneous Treatments for Persistent Bronchopleural and Alveolar-Pleural Fistulae. J. Vasc. Interv. Radiol. 2022, 33, 410–415.e1. [Google Scholar] [CrossRef]
- Shahrouki, P.; Barclay, J.; Khan, S.; Genshaft, S.; Abtin, F.; McGraw, C.; Baek, D.; Nickel, B.; Suh, R. Treatment of Post-Ablation Bronchopleural Fistula Using Percutaneous Synthetic Hydrogel Surgical Sealant: Initial Experience of Safety and Efficacy. Cardiovasc. Interv. Radiol. 2021, 44, 325–332. [Google Scholar] [CrossRef]
- Satoh, Y.; Okumura, S.; Nakagawa, K.; Horiike, A.; Ohyanagi, F.; Nishio, M.; Horai, T.; Ishikawa, Y. Postoperative ischemic change in bronchial stumps after primary lung cancer resection. Eur. J. Cardiothorac. Surg. 2006, 30, 172–176. [Google Scholar] [CrossRef]
- Yamamoto, R.; Tada, H.; Kishi, A.; Tojo, T. Effects of preoperative chemotherapy and radiation therapy on human bronchial blood flow. J. Thorac. Cardiovasc. Surg. 2000, 119, 939–945. [Google Scholar] [CrossRef]
- Benhamed, L.; Bellier, J.; Fournier, C.; Akkad, R.; Mathieu, D.; Kipnis, E.; Porte, H. Postoperative ischemic bronchitis after lymph node dissection and primary lung cancer resection. Ann. Thorac. Surg. 2011, 91, 355–359. [Google Scholar] [CrossRef] [PubMed]
- Wotton, R.; Garner, M.; Salem, A.; Buderi, S. Is open window thoracostomy the only method to control infection in patients with an empyema following pulmonary resection for primary lung cancer? Interact. Cardiovasc. Thorac. Surg. 2021, 32, 928–932. [Google Scholar] [CrossRef] [PubMed]
- Regnard, J.F.; Alifano, M.; Puyo, P.; Fares, E.; Magdeleinat, P.; Levasseur, P. Open window thoracostomy followed by intrathoracic flap transposition in the treatment of empyema complicating pulmonary resection. J. Thorac. Cardiovasc. Surg. 2000, 120, 270–275. [Google Scholar] [CrossRef] [PubMed]
- Massera, F.; Robustellini, M.; Della Pona, C.; Rossi, G.; Rizzi, A.; Rocco, G. Open window thoracostomy for pleural empyema complicating partial lung resection. Ann. Thorac. Surg. 2009, 87, 869–873. [Google Scholar] [CrossRef] [PubMed]
- Sziklavari, Z.; Ried, M.; Zeman, F.; Grosser, C.; Szöke, T.; Neu, R.; Schemm, R.; Hofmann, H.S. Short-term and long-term outcomes of intrathoracic vacuum therapy of empyema in debilitated patients. J. Cardiothorac. Surg. 2016, 11, 148. [Google Scholar] [CrossRef] [PubMed]
- Miller, D.L.; Deschamps, C.; Jenkins, G.D.; Bernard, A.; Allen, M.S.; Pairolero, P.C. Completion pneumonectomy: Factors affecting operative mortality and cardiopulmonary morbidity. Ann. Thorac. Surg. 2002, 74, 876–883; discussion 883–884. [Google Scholar] [CrossRef] [PubMed]
- Guggino, G.; Doddoli, C.; Barlesi, F.; Acri, P.; Chetaille, B.; Thomas, P.; Giudicelli, R.; Fuentes, P. Completion pneumonectomy in cancer patients: Experience with 55 cases. Eur. J. Cardiothorac. Surg. 2004, 25, 449–455. [Google Scholar] [CrossRef] [PubMed]
- Chataigner, O.; Fadel, E.; Yildizeli, B.; Achir, A.; Mussot, S.; Fabre, D.; Mercier, O.; Dartevelle, P.G. Factors affecting early and long-term outcomes after completion pneumonectomy. Eur. J. Cardiothorac. Surg. 2008, 33, 837–843. [Google Scholar] [CrossRef] [PubMed]
- Jin, L.; Li, Y. Bronchoscopic interventions for bronchopleural fistulas. Ther. Adv. Respir Dis. 2023, 17, 17534666231164541. [Google Scholar]
- Gulkarov, I.; Paul, S.; Altorki, N.K.; Lee, P.C. Use of Amplatzer device for endobronchial closure of bronchopleural fistulas. Interact. Cardiovasc. Thorac. Surg. 2009, 9, 901–902. [Google Scholar] [CrossRef][Green Version]
- Bai, Y.; Li, Y.; Chi, J.; Guo, S. Endobronchial closure of the bronchopleural fistula with the ventricular septal defect occluder: A case series. BMC Pulm. Med. 2021, 21, 313. [Google Scholar] [CrossRef]
- Petrella, F.; Toffalorio, F.; Brizzola, S.; De Pas, T.M.; Rizzo, S.; Barberis, M.; Pelicci, P.; Spaggiari, L.; Acocella, F. Stem cell transplantation effectively occludes bronchopleural fistula in an animal model. Ann. Thorac. Surg. 2014, 97, 480–483. [Google Scholar] [CrossRef] [PubMed]




| Patient | Sex | Age | Original Intervention | Onset Fistula (Days) | Dimensions Fistula (mm) | Type of Operation | 30-Day Mortality | 90-Day Mortality | FUP |
|---|---|---|---|---|---|---|---|---|---|
| 1 | M | 53 | LUL | 12 | 20 | Surgical repair | No | No | Death (4 months) |
| 2 | F | 69 | SLEEVE RUL | 47 | 10 | OWT post-lob. | No | No | Death (7 months) |
| 3 | M | 68 | RLL | 7 | 30 | Surgical repair | No | No | Alive (110 months) |
| 4 | M | 57 | SLEEVE LUL | 7 | 8 | Fibrin glue | No | No | Death (10 months) |
| 5 | M | 63 | RUL | 12 | 20 | Surgical repair | No | Yes | Death (2 months) |
| 6 | M | 56 | SLEEVE RUL | 7 | 5 | Surgical repair (sleeve) | No | No | Alive (60 months) |
| 7 | M | 67 | RLL | 45 | 15 | CP and OWT | No | No | Death (6 months) |
| 8 | M | 65 | RLL | 12 | 5 | Fibrin glue | No | No | Alive (18 months) |
| 9 | M | 57 | RUL | 150 | 20 | OWT post-lob. | No | No | Death (13 months) |
| 10 | M | 59 | LLL | 35 | 20 | OWT post-lob. | No | No | Alive (24 months) |
| 11 | M | 83 | RUL | 30 | 40 | CP | No | Yes | Death (2 months) |
| 12 | F | 45 | SLEEVE RUL | 23 | 30 | CP | No | No | Alive (48 months) |
| 13 | M | 44 | RUL | 13 | 15 | Surgical repair | No | No | Alive (60 months) |
| 14 | M | 74 | RLL | 14 | 15 | Extra-middle lobectomy and OWT | No | No | Alive (132 months) |
| 15 | F | 73 | SLEEVE RUL | 32 | 3 | Chest tube | Yes | Yes | Death hemoptysis (0 months) |
| 16 | F | 69 | RLL | 45 | na | Chest tube | Yes | Yes | Death ARDS (0 months) |
| 17 | M | 56 | RUL | 25 | na | Chest tube | Yes | Yes | Death hemoptysis (0 months) |
| 18 | M | 57 | RUL | 150 | na | OWT post-lob. | No | No | Death (7 months) |
| 19 | M | 71 | Robotic LUL | 90 | 20 | OWT post-lob. | No | No | Alive (156 months) |
| 20 | M | 68 | RLL | 350 | 2 | Chest tube | No | No | Alive (36 months) |
| 21 | M | 52 | SLEEVE RUL | 20 | na | - | Yes | Yes | Death (0 months) |
| 22 | M | 69 | RLL | 50 | 3 | Surgical repair | No | No | Alive (30 months) |
| 23 | M | 69 | RLL | 150 | 2 | Chest tube | No | No | Alive (24 months) |
| 24 | M | 74 | RLL | 25 | 2 | CP | Yes | Yes | Death (1 months) |
| 25 | F | 68 | RLL | 90 | 2 | Chest tube | No | No | Death (72 months) |
| 26 | M | 63 | RUL | 16 | 2 | CP | No | No | Alive (36 months) |
| 27 | M | 67 | RUL | 50 | 30 | CP | No | No | Death (48 months) |
| 28 | M | 64 | RLL | 10 | 20 | Extra-middle lobectomy, CP, and OWT | No | No | Alive (84 months) |
| 29 | M | 71 | LUL | 12 | 2 | Chest tube | No | No | Death (38 months) |
| 30 | F | 60 | Robotic RLL | 35 | 10 | Surgical repair | No | No | Alive (60 months) |
| 31 | M | 81 | Robotic RUL | 20 | 10 | Surgical repair | No | No | Alive (15 months) |
| 32 | F | 49 | Robotic RLL | 30 | 2 | Observation | No | No | Alive (48 months) |
| 33 | M | 59 | LUL | 60 | na | - | Yes | Yes | Death (0 months) |
| 34 | M | 52 | RUL | 350 | 10 | CP and OWT | No | No | Death (12 months) |
| 35 | M | 75 | Robotic RUL | 22 | 15 | Surgical repair | No | No | Alive (48 months) |
| 36 | M | 79 | RUL | 17 | 15 | Chest tube | Yes | Yes | Death (0 months) |
| 37 | F | 69 | RLL | 18 | 20 | CP and OWT | No | No | Alive (28 months) |
| 38 | M | 79 | Robotic RUL | 60 | 8 | OWT post-lob. | No | No | Death (6 months) |
| 39 | M | 63 | Lower bilobectomy | 18 | 25 | CP and OWT | No | No | Death (4 months) |
| 40 | M | 74 | SLEEVE RUL | 2 | 20 | CP (tracheal sleeve pneumonectomy) | No | No | Alive (14 months) |
| 41 | F | 57 | Lower bilob. | 47 | 6 | Percutaneous injection of glue | No | No | Alive (18 months) |
| 42 | M | 70 | SLEEVE LUL | 7 | 20 | CP and OWT | No | No | Alive (6 months) |
| 43 | M | 76 | LLL | 20 | 20 | Extra middle lobectomy | Yes | Yes | Death (1 month) |
| 44 | M | 70 | Lower bilob. | 12 | 5 | Percutaneous injection of glue | No | No | Alive (7 months) |
Disclaimer/Publisher’s Note: The statements, opinions and data contained in all publications are solely those of the individual author(s) and contributor(s) and not of MDPI and/or the editor(s). MDPI and/or the editor(s) disclaim responsibility for any injury to people or property resulting from any ideas, methods, instructions or products referred to in the content. |
© 2024 by the authors. Licensee MDPI, Basel, Switzerland. This article is an open access article distributed under the terms and conditions of the Creative Commons Attribution (CC BY) license (https://creativecommons.org/licenses/by/4.0/).
Share and Cite
Mazzella, A.; Casiraghi, M.; Uslenghi, C.; Orlandi, R.; Lo Iacono, G.; Bertolaccini, L.; Varano, G.M.; Orsi, F.; Spaggiari, L. Bronchopleural Fistula after Lobectomy for Lung Cancer: How to Manage This Life-Threatening Complication Using Both Old and Innovative Solutions. Cancers 2024, 16, 1146. https://doi.org/10.3390/cancers16061146
Mazzella A, Casiraghi M, Uslenghi C, Orlandi R, Lo Iacono G, Bertolaccini L, Varano GM, Orsi F, Spaggiari L. Bronchopleural Fistula after Lobectomy for Lung Cancer: How to Manage This Life-Threatening Complication Using Both Old and Innovative Solutions. Cancers. 2024; 16(6):1146. https://doi.org/10.3390/cancers16061146
Chicago/Turabian StyleMazzella, Antonio, Monica Casiraghi, Clarissa Uslenghi, Riccardo Orlandi, Giorgio Lo Iacono, Luca Bertolaccini, Gianluca Maria Varano, Franco Orsi, and Lorenzo Spaggiari. 2024. "Bronchopleural Fistula after Lobectomy for Lung Cancer: How to Manage This Life-Threatening Complication Using Both Old and Innovative Solutions" Cancers 16, no. 6: 1146. https://doi.org/10.3390/cancers16061146
APA StyleMazzella, A., Casiraghi, M., Uslenghi, C., Orlandi, R., Lo Iacono, G., Bertolaccini, L., Varano, G. M., Orsi, F., & Spaggiari, L. (2024). Bronchopleural Fistula after Lobectomy for Lung Cancer: How to Manage This Life-Threatening Complication Using Both Old and Innovative Solutions. Cancers, 16(6), 1146. https://doi.org/10.3390/cancers16061146

