Dosimetric Comparison Study of Proton Therapy Using Line Scanning versus Passive Scattering and Volumetric Modulated Arc Therapy for Localized Prostate Cancer
Abstract
Simple Summary
Abstract
1. Introduction
2. Materials and Methods
2.1. Patients
2.2. Computed Tomography (CT) Simulation and Contouring
2.3. Dose Constraints
2.4. Treatment Equipment
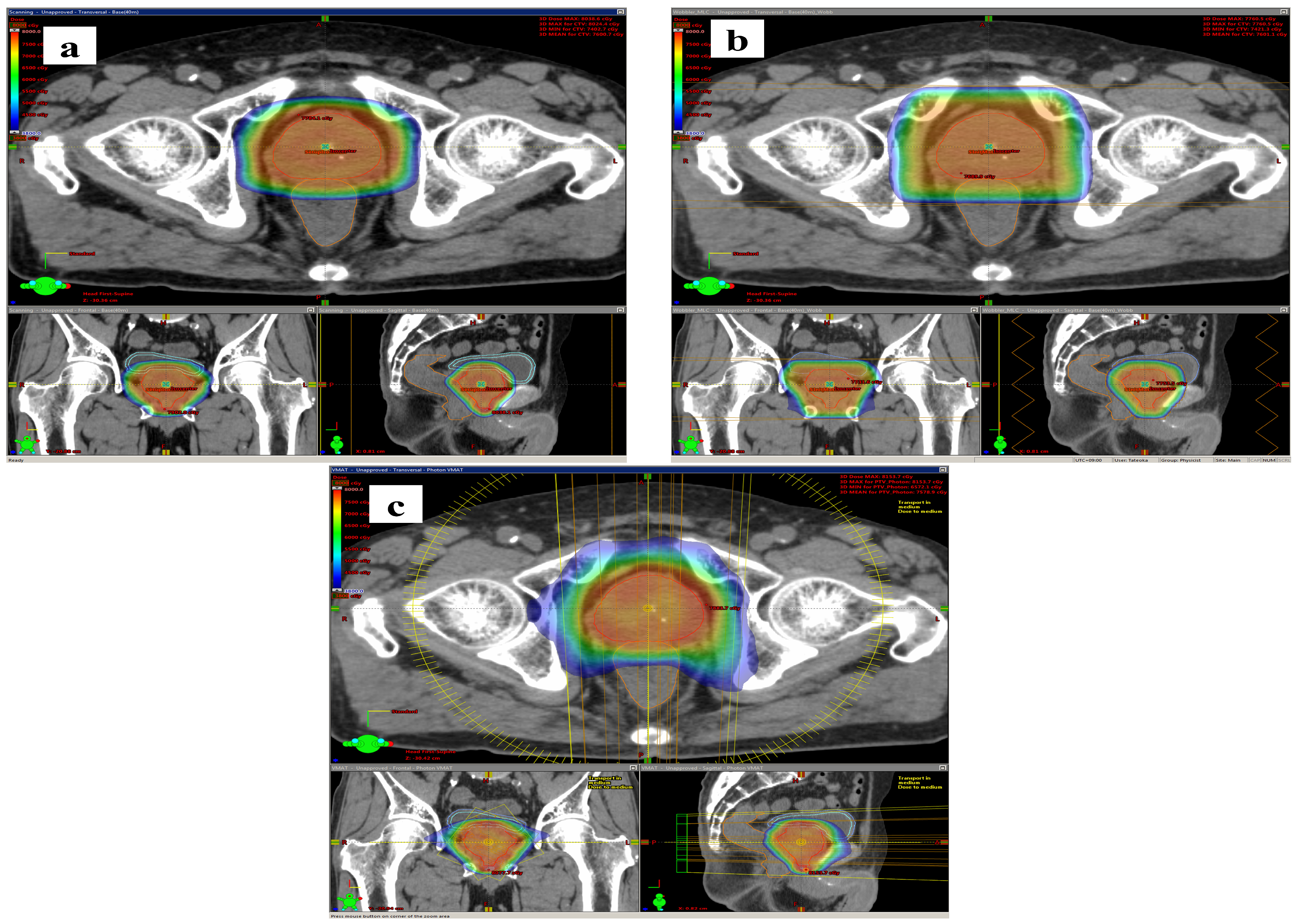
2.4.1. LS Method
2.4.2. PS Method
2.4.3. VMAT
2.5. Treatment Plan Comparison and Statistical Analysis
3. Results
3.1. Overall Results
3.2. CTV
3.3. Rectal Wall
3.4. Bladder Wall
4. Discussion
4.1. Rectal Dose and GI Toxicities
4.2. Bladder and Urethral Dose and GU Toxicities
4.3. Comparison of Proton Therapy and IMRT
4.4. Comparison of the LS Method and the PS Method
4.5. Strengths and Limitations
5. Conclusions
Author Contributions
Funding
Institutional Review Board Statement
Informed Consent Statement
Data Availability Statement
Conflicts of Interest
References
- Hamdy, F.C.; Donovan, J.L.; Lane, J.A.; Mason, M.; Metcalfe, C.; Holding, P.; Davis, M.; Peters, T.J.; Turner, E.L.; Martin, R.M.; et al. 10-year outcomes after monitoring, surgery, or radiotherapy for localized prostate cancer. N. Engl. J. Med. 2016, 375, 1415–1424. [Google Scholar] [CrossRef] [PubMed]
- Wolff, R.F.; Ryder, S.; Bossi, A.; Briganti, A.; Crook, J.; Henry, A.; Karnes, J.; Potters, L.; de Reijke, T.; Stone, N.; et al. A systematic review of randomised controlled trials of radiotherapy for localised prostate cancer. Eur. J. Cancer 2015, 51, 2345–2367. [Google Scholar] [CrossRef] [PubMed]
- Jacobs, B.L.; Zhang, Y.; Schroeck, F.R.; Skolarus, T.A.; Wei, J.T.; Montie, J.E.; Gilbert, S.M.; Strope, S.A.; Dunn, R.L.; Miller, D.C.; et al. Use of advanced treatment technologies among men at low risk of dying from prostate cancer. JAMA 2013, 309, 2587–2595. [Google Scholar] [CrossRef]
- Sheets, N.C.; Goldin, G.H.; Meyer, A.M.; Wu, Y.; Chang, Y.; Sturmer, T.; Holmes, J.A.; Reeve, B.B.; Godley, P.A.; Carpenter, W.R.; et al. Intensity-modulated radiation therapy, proton therapy, or conformal radiation therapy and morbidity and disease control in localized prostate cancer. JAMA 2012, 307, 1611–1620. [Google Scholar] [CrossRef]
- Takagi, M.; Demizu, Y.; Fujii, O.; Terashima, K.; Niwa, Y.; Daimon, T.; Tokumaru, S.; Fuwa, N.; Hareyama, M.; Okimoto, T. Proton therapy for localized prostate cancer: Long-term results from a single-center experience. Int. J. Radiat. Oncol. Biol. Phys. 2021, 109, 964–974. [Google Scholar] [CrossRef]
- Iwata, H.; Ishikawa, H.; Takagi, M.; Okimoto, T.; Murayama, S.; Akimoto, T.; Wada, H.; Arimura, T.; Sato, Y.; Araya, M.; et al. Long-term outcomes of proton therapy for prostate cancer in japan: A multi-institutional survey of the japanese radiation oncology study group. Cancer Med. 2018, 7, 677–689. [Google Scholar] [CrossRef] [PubMed]
- Takagi, M.; Demizu, Y.; Terashima, K.; Fujii, O.; Jin, D.; Niwa, Y.; Daimon, T.; Murakami, M.; Fuwa, N.; Okimoto, T. Long-term outcomes in patients treated with proton therapy for localized prostate cancer. Cancer Med. 2017, 6, 2234–2243. [Google Scholar] [CrossRef] [PubMed]
- Bryant, C.; Smith, T.L.; Henderson, R.H.; Hoppe, B.S.; Mendenhall, W.M.; Nichols, R.C.; Morris, C.G.; Williams, C.R.; Su, Z.; Li, Z.; et al. Five-year biochemical results, toxicity, and patient-reported quality of life after delivery of dose-escalated image guided proton therapy for prostate cancer. Int. J. Radiat. Oncol. Biol. Phys. 2016, 95, 422–434. [Google Scholar] [CrossRef] [PubMed]
- Mendenhall, N.P.; Hoppe, B.S.; Nichols, R.C.; Mendenhall, W.M.; Morris, C.G.; Li, Z.; Su, Z.; Williams, C.R.; Costa, J.; Henderson, R.H. Five-year outcomes from 3 prospective trials of image-guided proton therapy for prostate cancer. Int. J. Radiat. Oncol. Biol. Phys. 2014, 88, 596–602. [Google Scholar] [CrossRef]
- Smith, A.; Gillin, M.; Bues, M.; Zhu, X.R.; Suzuki, K.; Mohan, R.; Woo, S.; Lee, A.; Komaki, R.; Cox, J.; et al. The M. D. Anderson proton therapy system. Med. Phys. 2009, 36, 4068–4083. [Google Scholar] [CrossRef]
- Wilson, R.R. Radiological use of fast protons. Radiology 1946, 47, 487–491. [Google Scholar] [CrossRef]
- Slater, J.M.; Archambeau, J.O.; Miller, D.W.; Notarus, M.I.; Preston, W.; Slater, J.D. The proton treatment center at loma linda university medical center: Rationale for and description of its development. Int. J. Radiat. Oncol. Biol. Phys. 1992, 22, 383–389. [Google Scholar] [CrossRef]
- Kawachi, K.; Kanai, T.; Matsuzawa, H.; Inada, T. Three dimensional spot beam scanning method for proton conformation radiation therapy. Acta Radiol. Suppl. 1983, 364, 81–88. [Google Scholar]
- Sakurai, H.; Ishikawa, H.; Okumura, T. Proton beam therapy in japan: Current and future status. Jpn. J. Clin. Oncol. 2016, 46, 885–892. [Google Scholar] [CrossRef] [PubMed]
- Chu, W.; Ludewigt, B.; Renner, T. Instrumentation for treatment of cancer using proton and light-ion beams. Rev. Sci. Instrum. 1993, 64, 2055–2122. [Google Scholar] [CrossRef]
- Han, Y. Current status of proton therapy techniques for lung cancer. Radiat. Oncol. J. 2019, 37, 232–248. [Google Scholar] [CrossRef]
- Klimpki, G.; Zhang, Y.; Fattori, G.; Psoroulas, S.; Weber, D.C.; Lomax, A.; Meer, D. The impact of pencil beam scanning techniques on the effectiveness and efficiency of rescanning moving targets. Phys. Med. Biol. 2018, 63, 145006. [Google Scholar] [CrossRef] [PubMed]
- Schätti, A.; Meer, D.; Lomax, A.J. First experimental results of motion mitigation by continuous line scanning of protons. Phys. Med. Biol. 2014, 59, 5707–5723. [Google Scholar] [CrossRef] [PubMed]
- Unkelbach, J.; Chan, T.C.; Bortfeld, T. Accounting for range uncertainties in the optimization of intensity modulated proton therapy. Phys. Med. Biol. 2007, 52, 2755–2773. [Google Scholar] [CrossRef]
- Liu, W.; Zhang, X.; Li, Y.; Mohan, R. Robust optimization of intensity modulated proton therapy. Med. Phys. 2012, 39, 1079–1091. [Google Scholar] [CrossRef]
- Pflugfelder, D.; Wilkens, J.J.; Oelfke, U. Worst case optimization: A method to account for uncertainties in the optimization of intensity modulated proton therapy. Phys. Med. Biol. 2008, 53, 1689–1700. [Google Scholar] [CrossRef]
- Park, P.C.; Zhu, X.R.; Lee, A.K.; Sahoo, N.; Melancon, A.D.; Zhang, L.; Dong, L. A beam-specific planning target volume (ptv) design for proton therapy to account for setup and range uncertainties. Int. J. Radiat. Oncol. Biol. Phys. 2012, 82, e329–e336. [Google Scholar] [CrossRef] [PubMed]
- Moyers, M.F.; Miller, D.W.; Bush, D.A.; Slater, J.D. Methodologies and tools for proton beam design for lung tumors. Int. J. Radiat. Oncol. Biol. Phys. 2001, 49, 1429–1438. [Google Scholar] [CrossRef] [PubMed]
- Otto, K. Volumetric modulated arc therapy: Imrt in a single gantry arc. Med. Phys. 2008, 35, 310–317. [Google Scholar] [CrossRef] [PubMed]
- Jolnerovski, M.; Salleron, J.; Beckendorf, V.; Peiffert, D.; Baumann, A.S.; Bernier, V.; Huger, S.; Marchesi, V.; Chira, C. Intensity-modulated radiation therapy from 70gy to 80gy in prostate cancer: Six- year outcomes and predictors of late toxicity. Radiat. Oncol. 2017, 12, 99. [Google Scholar] [CrossRef] [PubMed]
- Dearnaley, D.; Syndikus, I.; Mossop, H.; Khoo, V.; Birtle, A.; Bloomfield, D.; Graham, J.; Kirkbride, P.; Logue, J.; Malik, Z.; et al. Conventional versus hypofractionated high-dose intensity-modulated radiotherapy for prostate cancer: 5-year outcomes of the randomised, non-inferiority, phase 3 chhip trial. Lancet Oncol. 2016, 17, 1047–1060. [Google Scholar] [CrossRef] [PubMed]
- Fiorino, C.; Alongi, F.; Perna, L.; Broggi, S.; Cattaneo, G.M.; Cozzarini, C.; Di Muzio, N.; Fazio, F.; Calandrino, R. Dose–volume relationships for acute bowel toxicity in patients treated with pelvic nodal irradiation for prostate cancer. Int. J. Radiat. Oncol. Biol. Phys. 2009, 75, 29–35. [Google Scholar] [CrossRef]
- Michalski, J.M.; Gay, H.; Jackson, A.; Tucker, S.L.; Deasy, J.O. Radiation dose–volume effects in radiation-induced rectal injury. Int. J. Radiat. Oncol. Biol. Phys. 2010, 76, S123–S129. [Google Scholar] [CrossRef]
- Colaco, R.J.; Hoppe, B.S.; Flampouri, S.; McKibben, B.T.; Henderson, R.H.; Bryant, C.; Nichols, R.C.; Mendenhall, W.M.; Li, Z.; Su, Z.; et al. Rectal toxicity after proton therapy for prostate cancer: An analysis of outcomes of prospective studies conducted at the university of florida proton therapy institute. Int. J. Radiat. Oncol. Biol. Phys. 2015, 91, 172–181. [Google Scholar] [CrossRef]
- Wilkins, A.; Naismith, O.; Brand, D.; Fernandez, K.; Hall, E.; Dearnaley, D.; Gulliford, S. Derivation of dose/volume constraints for the anorectum from clinician- and patient-reported outcomes in the chhip trial of radiation therapy fractionation. Int. J. Radiat. Oncol. Biol. Phys. 2020, 106, 928–938. [Google Scholar] [CrossRef]
- Gulliford, S.L.; Partridge, M.; Sydes, M.R.; Andreyev, J.; Dearnaley, D.P. A comparison of dose–volume constraints derived using peak and longitudinal definitions of late rectal toxicity. Radiother. Oncol. J. Eur. Soc. Ther. Radiol. Oncol. 2010, 94, 241–247. [Google Scholar] [CrossRef]
- Fiorino, C.; Rancati, T.; Fellin, G.; Vavassori, V.; Cagna, E.; Casanova Borca, V.; Girelli, G.; Menegotti, L.; Monti, A.F.; Tortoreto, F.; et al. Late fecal incontinence after high-dose radiotherapy for prostate cancer: Better prediction using longitudinal definitions. Int. J. Radiat. Oncol. Biol. Phys. 2012, 83, 38–45. [Google Scholar] [CrossRef] [PubMed]
- Hatiboglu, G.; Pinkawa, M.; Vallée, J.P.; Hadaschik, B.; Hohenfellner, M. Application technique: Placement of a prostate-rectum spacer in men undergoing prostate radiation therapy. BJU Int. 2012, 110, E647–E652. [Google Scholar] [CrossRef]
- Hamstra, D.A.; Mariados, N.; Sylvester, J.; Shah, D.; Karsh, L.; Hudes, R.; Beyer, D.; Kurtzman, S.; Bogart, J.; Hsi, R.A.; et al. Continued benefit to rectal separation for prostate radiation therapy: Final results of a phase iii trial. Int. J. Radiat. Oncol. Biol. Phys. 2017, 97, 976–985. [Google Scholar] [CrossRef] [PubMed]
- Thompson, A.B.; Hamstra, D.A. Rectal spacer usage with proton radiation therapy for prostate cancer. Int. J. Radiat. Oncol. Biol. Phys. 2020, 108, 644–648. [Google Scholar] [CrossRef] [PubMed]
- Viswanathan, A.N.; Yorke, E.D.; Marks, L.B.; Eifel, P.J.; Shipley, W.U. Radiation dose–volume effects of the urinary bladder. Int. J. Radiat. Oncol. Biol. Phys. 2010, 76, S116–S122. [Google Scholar] [CrossRef] [PubMed]
- Rancati, T.; Palorini, F.; Cozzarini, C.; Fiorino, C.; Valdagni, R. Understanding urinary toxicity after radiotherapy for prostate cancer: First steps forward. Tumori 2017, 103, 395–404. [Google Scholar] [CrossRef]
- Malmsten, U.G.; Molander, U.; Peeker, R.; Irwin, D.E.; Milsom, I. Urinary incontinence, overactive bladder, and other lower urinary tract symptoms: A longitudinal population-based survey in men aged 45-103 years. Eur. Urol. 2010, 58, 149–156. [Google Scholar] [CrossRef]
- Landoni, V.; Fiorino, C.; Cozzarini, C.; Sanguineti, G.; Valdagni, R.; Rancati, T. Predicting toxicity in radiotherapy for prostate cancer. Phys. Med. 2016, 32, 521–532. [Google Scholar] [CrossRef]
- Zelefsky, M.J.; Kollmeier, M.; Cox, B.; Fidaleo, A.; Sperling, D.; Pei, X.; Carver, B.; Coleman, J.; Lovelock, M.; Hunt, M. Improved clinical outcomes with high-dose image guided radiotherapy compared with non-igrt for the treatment of clinically localized prostate cancer. Int. J. Radiat. Oncol. Biol. Phys. 2012, 84, 125–129. [Google Scholar] [CrossRef]
- Heemsbergen, W.D.; Al-Mamgani, A.; Witte, M.G.; van Herk, M.; Pos, F.J.; Lebesque, J.V. Urinary obstruction in prostate cancer patients from the dutch trial (68 gy vs. 78 gy): Relationships with local dose, acute effects, and baseline characteristics. Int. J. Radiat. Oncol. Biol. Phys. 2010, 78, 19–25. [Google Scholar] [CrossRef] [PubMed]
- Pederson, A.W.; Fricano, J.; Correa, D.; Pelizzari, C.A.; Liauw, S.L. Late toxicity after intensity-modulated radiation therapy for localized prostate cancer: An exploration of dose–volume histogram parameters to limit genitourinary and gastrointestinal toxicity. Int. J. Radiat. Oncol. Biol. Phys. 2012, 82, 235–241. [Google Scholar] [CrossRef] [PubMed]
- Muren, L.P.; Smaaland, R.; Dahl, O. Organ motion, set-up variation and treatment margins in radical radiotherapy of urinary bladder cancer. Radiother. Oncol. J. Eur. Soc. Ther. Radiol. Oncol. 2003, 69, 291–304. [Google Scholar] [CrossRef] [PubMed]
- Leeman, J.E.; Chen, Y.H.; Catalano, P.; Bredfeldt, J.; King, M.; Mouw, K.W.; D’Amico, A.V.; Orio, P.; Nguyen, P.L.; Martin, N. Radiation dose to the intraprostatic urethra correlates strongly with urinary toxicity after prostate stereotactic body radiation therapy: A combined analysis of 23 prospective clinical trials. Int. J. Radiat. Oncol. Biol. 2022, 112, 75–82. [Google Scholar] [CrossRef]
- Magli, A.; Farneti, A.; Faiella, A.; Ferriero, M.; Landoni, V.; Giannarelli, D.; Moretti, E.; de Paula, U.; Gomellini, S.; Sanguineti, G. Toxicity at 1 year after stereotactic body radiation therapy in 3 fractions for localized prostate cancer. Int. J. Radiat. Oncol. Biol. Phys. 2021, 111, 93–100. [Google Scholar] [CrossRef] [PubMed]
- Vainshtein, J.; Abu-Isa, E.; Olson, K.B.; Ray, M.E.; Sandler, H.M.; Normolle, D.; Litzenberg, D.W.; Masi, K.; Pan, C.; Hamstra, D.A. Randomized phase ii trial of urethral sparing intensity modulated radiation therapy in low-risk prostate cancer: Implications for focal therapy. Radiat. Oncol. 2012, 7, 82. [Google Scholar] [CrossRef] [PubMed]
- Zilli, T.; Achard, V.; Guevelou, J.L. Intraprostatic urethra: The new kid on the block for prostate cancer radiation therapy? Int. J. Radiat. Oncol. Biol. Phys. 2022, 113, 92–95. [Google Scholar] [CrossRef]
- Wolff, D.; Stieler, F.; Welzel, G.; Lorenz, F.; Abo-Madyan, Y.; Mai, S.; Herskind, C.; Polednik, M.; Steil, V.; Wenz, F.; et al. Volumetric modulated arc therapy (vmat) vs. Serial tomotherapy, step-and-shoot imrt and 3d-conformal rt for treatment of prostate cancer. Radiother. Oncol. 2009, 93, 226–233. [Google Scholar] [CrossRef]
- Trofimov, A.; Nguyen, P.L.; Coen, J.J.; Doppke, K.P.; Schneider, R.J.; Adams, J.A.; Bortfeld, T.R.; Zietman, A.L.; Delaney, T.F.; Shipley, W.U. Radiotherapy treatment of early-stage prostate cancer with imrt and protons: A treatment planning comparison. Int. J. Radiat. Oncol. Biol. Phys. 2007, 69, 444–453. [Google Scholar] [CrossRef]
- Vargas, C.; Fryer, A.; Mahajan, C.; Indelicato, D.; Horne, D.; Chellini, A.; McKenzie, C.; Lawlor, P.; Henderson, R.; Li, Z.; et al. dose–volume comparison of proton therapy and intensity-modulated radiotherapy for prostate cancer. Int. J. Radiat. Oncol. Biol. Phys. 2008, 70, 744–751. [Google Scholar] [CrossRef]
- Mock, U.; Bogner, J.; Georg, D.; Auberger, T.; Potter, R. Comparative treatment planning on localized prostate carcinoma conformal photon- versus proton-based radiotherapy. Strahlenther. Onkol. Organ Dtsch. Rontgenges. 2005, 181, 448–455. [Google Scholar] [CrossRef]
- Gray, P.J.; Paly, J.J.; Yeap, B.Y.; Sanda, M.G.; Sandler, H.M.; Michalski, J.M.; Talcott, J.A.; Coen, J.J.; Hamstra, D.A.; Shipley, W.U.; et al. Patient-reported outcomes after 3-dimensional conformal, intensity-modulated, or proton beam radiotherapy for localized prostate cancer. Cancer 2013, 119, 1729–1735. [Google Scholar] [CrossRef] [PubMed]
- Yu, J.B.; Soulos, P.R.; Herrin, J.; Cramer, L.D.; Potosky, A.L.; Roberts, K.B.; Gross, C.P. Proton versus intensity-modulated radiotherapy for prostate cancer: Patterns of care and early toxicity. J. Natl. Cancer Inst. 2013, 105, 25–32. [Google Scholar] [CrossRef]
- Fang, P.; Mick, R.; Deville, C.; Both, S.; Bekelman, J.E.; Christodouleas, J.P.; Guzzo, T.J.; Tochner, Z.; Hahn, S.M.; Vapiwala, N. A case-matched study of toxicity outcomes after proton therapy and intensity-modulated radiation therapy for prostate cancer. Cancer 2015, 121, 1118–1127. [Google Scholar] [CrossRef] [PubMed]
- Vapiwala, N.; Wong, J.K.; Handorf, E.; Paly, J.; Grewal, A.; Tendulkar, R.; Godfrey, D.; Carpenter, D.; Mendenhall, N.P.; Henderson, R.H.; et al. A pooled toxicity analysis of moderately hypofractionated proton beam therapy and intensity modulated radiation therapy in early-stage prostate cancer patients. Int. J. Radiat. Oncol. Biol. Phys. 2021, 110, 1082–1089. [Google Scholar] [CrossRef] [PubMed]
- Tran, A.; Zhang, J.; Woods, K.; Yu, V.; Nguyen, D.; Gustafson, G.; Rosen, L.; Sheng, K. Treatment planning comparison of impt, vmat and 4π radiotherapy for prostate cases. Radiat. Oncol. 2017, 12, 10. [Google Scholar] [CrossRef] [PubMed]
- Mishra, M.V.; Khairnar, R.; Bentzen, S.M.; Larson, G.; Tsai, H.; Sinesi, C.; Vargas, C.; Laramore, G.; Rossi, C.; Rosen, L.; et al. Patient reported outcomes following proton pencil beam scanning vs. Passive scatter/uniform scanning for localized prostate cancer: Secondary analysis of pcg 001-09. Clin. Transl. Radiat. Oncol. 2020, 22, 50–54. [Google Scholar] [CrossRef]
- Mishra, M.V.; Khairnar, R.; Bentzen, S.M.; Larson, G.; Tsai, H.; Sinesi, C.; Vargas, C.; Laramore, G.; Rossi, C.; Rosen, L.; et al. Proton beam therapy delivered using pencil beam scanning vs. Passive scattering/uniform scanning for localized prostate cancer: Comparative toxicity analysis of pcg 001-09. Clin. Transl. Radiat. Oncol. 2019, 19, 80–86. [Google Scholar] [CrossRef] [PubMed]



| Variable | Level | N | % |
|---|---|---|---|
| Number | 30 | 100 | |
| T classification | T1c | 14 | 46.7 |
| T2a/b/c | 5/2/5 | 16.7/6.7/16.7 | |
| T3a/b | 3/1 | 10/3.3 | |
| Gleason score | 6 | 6 | 20 |
| 3 + 4 | 7 | 23.3 | |
| 4 + 3 | 5 | 16.7 | |
| 8 | 6 | 20 | |
| 9 | 4 | 13.3 | |
| 10 | 2 | 6.7 | |
| NCCN risk group | Low | 5 | 16.7 |
| Intermediate | 10 | 33.3 | |
| High | 10 | 33.3 | |
| Very High | 5 | 16.7 | |
| ADT | Yes | 15 | 50 |
| No | 15 | 50 | |
| Variable | Median | Range | |
| Age (year) | 70.5 | 59–86 | |
| iPSA (ng/mL) | 8.3 | 4.1–116.1 | |
| Positive core (%) | 25 | 5.3–100 | |
| ADT period (month) | 30 | 4–112 | |
| Prostate volume (cm3) | 30.5 | 15.6–94.6 | |
| CTV volume (cm3) | 32.2 | 17.8–117.5 | |
| Rectal wall volume (cm3) | 21.4 | 16.1–31.0 | |
| Bladder wall volume (cm3) | 38.8 | 24.8–62.6 | |
| Structure | Dose Metric | LS | PS | VMAT | p |
|---|---|---|---|---|---|
| CTV | D98 {Gy (RBE), median (range)} | 74.9 (73.9–75.3) | 75.0 (73.3–76.0) | 74.2 (73.0–77.1) | (a) 1.000 (b) <0.001 (c) <0.001 |
| D50 {Gy (RBE), median (range)} | 76.0 (75.9–76.0) | 76.0 (75.3–77.1) | 75.9 (75.4–76.5) | 0.393 | |
| D02 {Gy (RBE), median (range)} | 77.3 (76.6–78.5) | 77.1 (76.4–79.3) | 77.8 (76.5–78.7) | (a) 1.000 (b) 0.009 (c) 0.014 | |
| Dmax {Gy (RBE), median (range)} | 79.3 (77.5–82.0) | 77.7 (76.7–80.6) | 79.5 (77.8–81.0) | (a) <0.001 (b) 1.000 (c) <0.001 | |
| Heterogeneity index {median (range)} | 0.029 (0.018–0.049) | 0.028 (0.019–0.048) | 0.072 (0.047–0.097) | (a) 0.905 (b) <0.001 (c) <0.001 | |
| Rectal wall | V10 {%, median (range)} | 37.1 (23.2–46.3) | 52.0 (31.7–73.5) | 70.1 (63.9–87.2) | (a) <0.001 (b) <0.001 (c) 0.060 |
| V20 {%, median (range)} | 29.5 (18.6–36.3) | 41.5 (26.2–60.8) | 49.3 (40.3–80.8) | (a) <0.001 (b) <0.001 (c) 0.014 | |
| V30 {%, median (range)} | 24.4 (15.5–30.5) | 35.5 (22.3–50.7) | 35.3 (24.2–66.4) | (a) <0.001 (b) <0.001 (c) 1.000 | |
| V40 {%, median (range)} | 20.4 (13.0–26.1) | 29.2 (18.6–44.1) | 26.2 (16.2–51.9) | (a) <0.001 (b) <0.001 (c) 0.014 | |
| V50 {%, median (range)} | 16.9 (10.6–22.0) | 24.3 (14.6–37.4) | 20.2 (9.5–41.6) | (a) <0.001 (b) <0.001 (c) 0.001 | |
| V60 {%, median (range)} | 13.1 (8.1–17.8) | 18.4 (10.6–29.0) | 15.1 (6.1–35.4) | (a) <0.001 (b) <0.001 (c) <0.001 | |
| V65 {%, median (range)} | 10.6 (6.5–15.5) | 15.0 (8.0–25.4) | 12.7 (4.9–32.2) | (a) <0.001 (b) 0.085 (c) 0.002 | |
| V70 {%, median (range)} | 7.9 (4.1–12.5) | 10.1 (4.2–21.2) | 10.1 (3.6–28.5) | (a) 0.014 (b) <0.001 (c) 0.590 | |
| V75 {%, median (range)} | 1.7 (0.2–7.7) | 0.8 (0–12.2) | 3.4 (0.5–16.0) | (a) 0.006 (b) 0.736 (c) <0.001 | |
| Dmax {Gy (RBE), median (range)} | 77.2 (75.5–79.2) | 75.9 (74.3–78.0) | 77.8 (76.8–79.5) | (a) 0.002 (b) 0.072 (c) <0.001 | |
| Dmean {Gy (RBE), median (range)} | 17.6 (11.2–22.2) | 24.4 (15.5–34.1) | 27.5 (21.9–44.1) | (a) <0.001 (b) <0.001 (c) 0.014 | |
| Bladder wall | V10 {%, median (range)} | 40.8 (24.5–57.0) | 54.4 (35.3–73.4) | 60.8 (41.6–84.9) | (a) <0.001 (b) <0.001 (c) 0.060 |
| V20 {%, median (range)} | 34.7 (20.5–47.2) | 47.5 (31.9–64.7) | 50.5 (35.1–66.5) | (a) <0.001 (b) <0.001 (c) 0.590 | |
| V30 {%, median (range)} | 30.6 (17.7–42.5) | 43.0 (29.2–58.2) | 42.0 (27.0–52.4) | (a) <0.001 (b) <0.001 (c) 0.117 | |
| V40 {%, median (range)} | 26.7 (15.3–36.7) | 39.3 (26.7–52.3) | 32.8 (20.7–41.3) | (a) <0.001 (b) <0.001 (c) 0.001 | |
| V50 {%, median (range)} | 23.5 (13.1–32.4) | 35.3 (23.9–46.8) | 26.0 (16.5–35.3) | (a) <0.001 (b) <0.001 (c) 0.001 | |
| V60 {%, median (range)} | 20.2 (10.8–28.2) | 30.8 (20.9–40.8) | 21.7 (13.5–30.1) | (a) <0.001 (b) <0.001 (c) 0.001 | |
| V65 {%, median (range)} | 18.4 (9.5–24.8) | 28.3 (18.9–38.0) | 19.7 (12.2–27.4) | (a) 0.001 (b) <0.001 (c) 0.001 | |
| V70 {%, median (range)} | 15.9 (8.0–20.3) | 24.0 (15.7–33.8) | 17.4 (10.8–24.4) | (a) 0.001 (b) <0.001 (c) 0.001 | |
| V75 {%, median (range)} | 9.3 (0.1–14.0) | 11.6 (2.1–26.4) | 12.1 (4.7–16.6) | (a) <0.001 (b) <0.001 (c) 1.000 | |
| Dmax {Gy (RBE), median (range)} | 78.1 (76.5–79.4) | 76.8 (75.9–78.8) | 79.0 (77.4–79.6) | (a) 0.014 (b) <0.001 (c) 0.004 | |
| Dmean {Gy (RBE), median (range)} | 21.8 (12.8–29.2) | 31.0 (20.7–41.0) | 30.0 (20.0–37.6) | (a) <0.001 (b) <0.001 (c) 0.590 |
Disclaimer/Publisher’s Note: The statements, opinions and data contained in all publications are solely those of the individual author(s) and contributor(s) and not of MDPI and/or the editor(s). MDPI and/or the editor(s) disclaim responsibility for any injury to people or property resulting from any ideas, methods, instructions or products referred to in the content. |
© 2024 by the authors. Licensee MDPI, Basel, Switzerland. This article is an open access article distributed under the terms and conditions of the Creative Commons Attribution (CC BY) license (https://creativecommons.org/licenses/by/4.0/).
Share and Cite
Takagi, M.; Hasegawa, Y.; Tateoka, K.; Takada, Y.; Hareyama, M. Dosimetric Comparison Study of Proton Therapy Using Line Scanning versus Passive Scattering and Volumetric Modulated Arc Therapy for Localized Prostate Cancer. Cancers 2024, 16, 403. https://doi.org/10.3390/cancers16020403
Takagi M, Hasegawa Y, Tateoka K, Takada Y, Hareyama M. Dosimetric Comparison Study of Proton Therapy Using Line Scanning versus Passive Scattering and Volumetric Modulated Arc Therapy for Localized Prostate Cancer. Cancers. 2024; 16(2):403. https://doi.org/10.3390/cancers16020403
Chicago/Turabian StyleTakagi, Masaru, Yasuhiro Hasegawa, Kunihiko Tateoka, Yu Takada, and Masato Hareyama. 2024. "Dosimetric Comparison Study of Proton Therapy Using Line Scanning versus Passive Scattering and Volumetric Modulated Arc Therapy for Localized Prostate Cancer" Cancers 16, no. 2: 403. https://doi.org/10.3390/cancers16020403
APA StyleTakagi, M., Hasegawa, Y., Tateoka, K., Takada, Y., & Hareyama, M. (2024). Dosimetric Comparison Study of Proton Therapy Using Line Scanning versus Passive Scattering and Volumetric Modulated Arc Therapy for Localized Prostate Cancer. Cancers, 16(2), 403. https://doi.org/10.3390/cancers16020403

