Rare Neuronal, Glial and Glioneuronal Tumours in Adults
Abstract
Simple Summary
Abstract
1. Introduction
2. Neuronal Tumours
2.1. Dysplastic Cerebellar Gangliocytoma (Lhermitte–Duclos Disease, DCG)
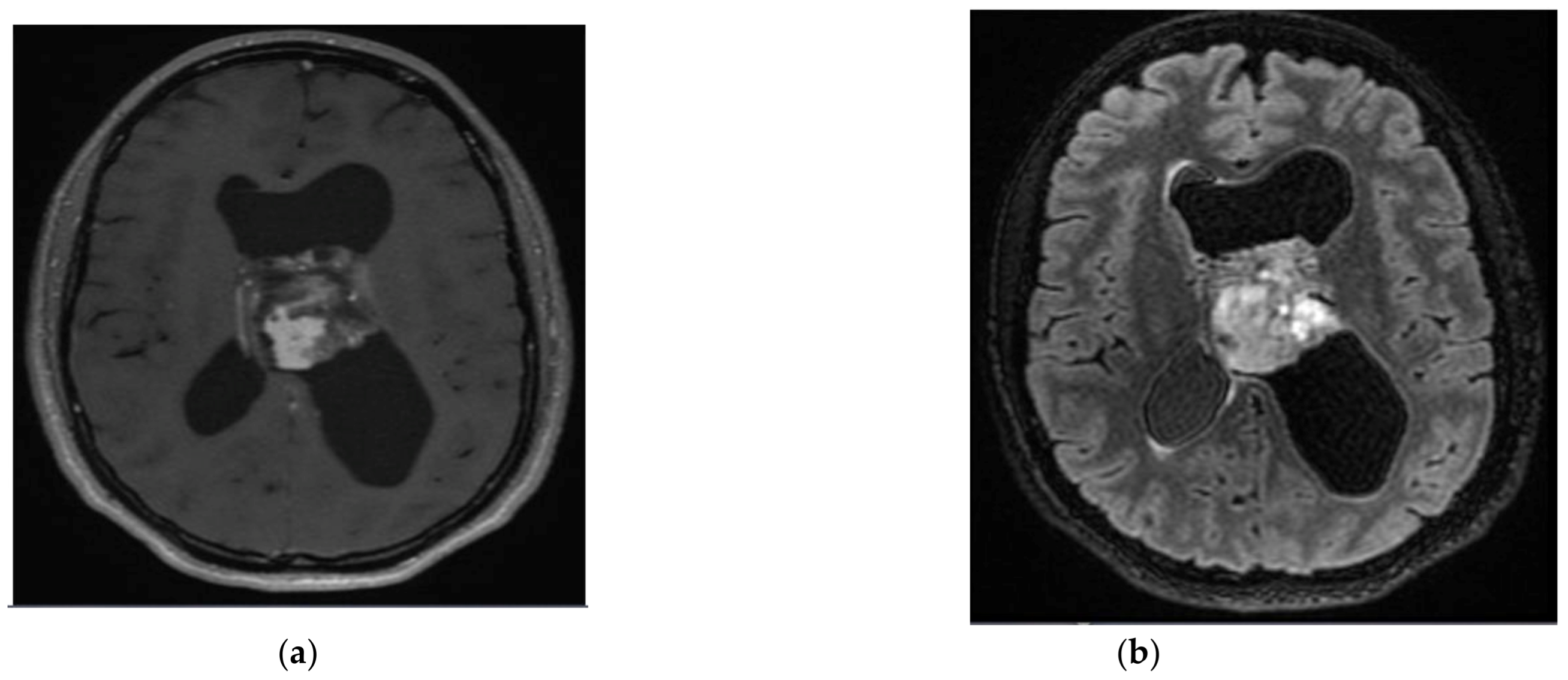
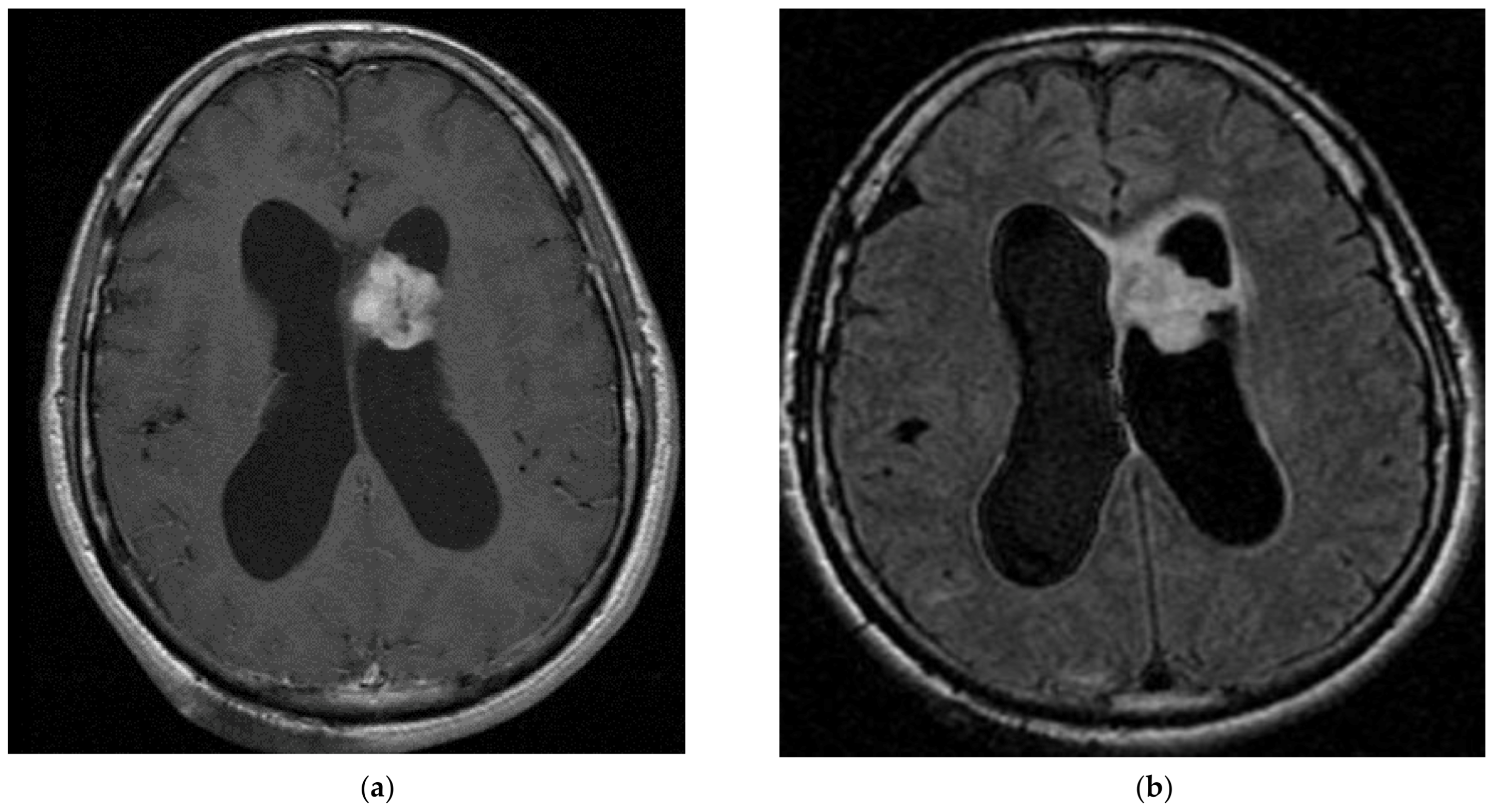
2.2. Central Neurocytoma
2.3. Extraventricular Neurocytoma
3. Glioneuronal Tumours
| Tumour | Median Age (Years)/ Sex | Localisation | Immunohisto Chemistry | Specific Mutations | Histology | Symptoms | Treatment | MRI Particularities |
|---|---|---|---|---|---|---|---|---|
| Multinodular and vacuolating neuronal tumours | 40 y, M > F [31] | Temporal/frontal lobes, | OLIG2+, synaptophysin-, CD34-, GFAP-. NeuN- [32] | MAPK pathway mutations of MAP2K1 and of BRAF (excluding BRAFV600E) [33]. FGFR2 fusion | Purely neuronal (non-neurocytic and no neoplastic glial cells). Absence of mitoses. | Mainly seizures [34] Sometimes incidental finding. | Observation preferred. Surgery only if refractory epilepsy [35]. Molecular targeted therapy *. | Small superficial cortical cystic lesions, sometimes in clusters [31]. |
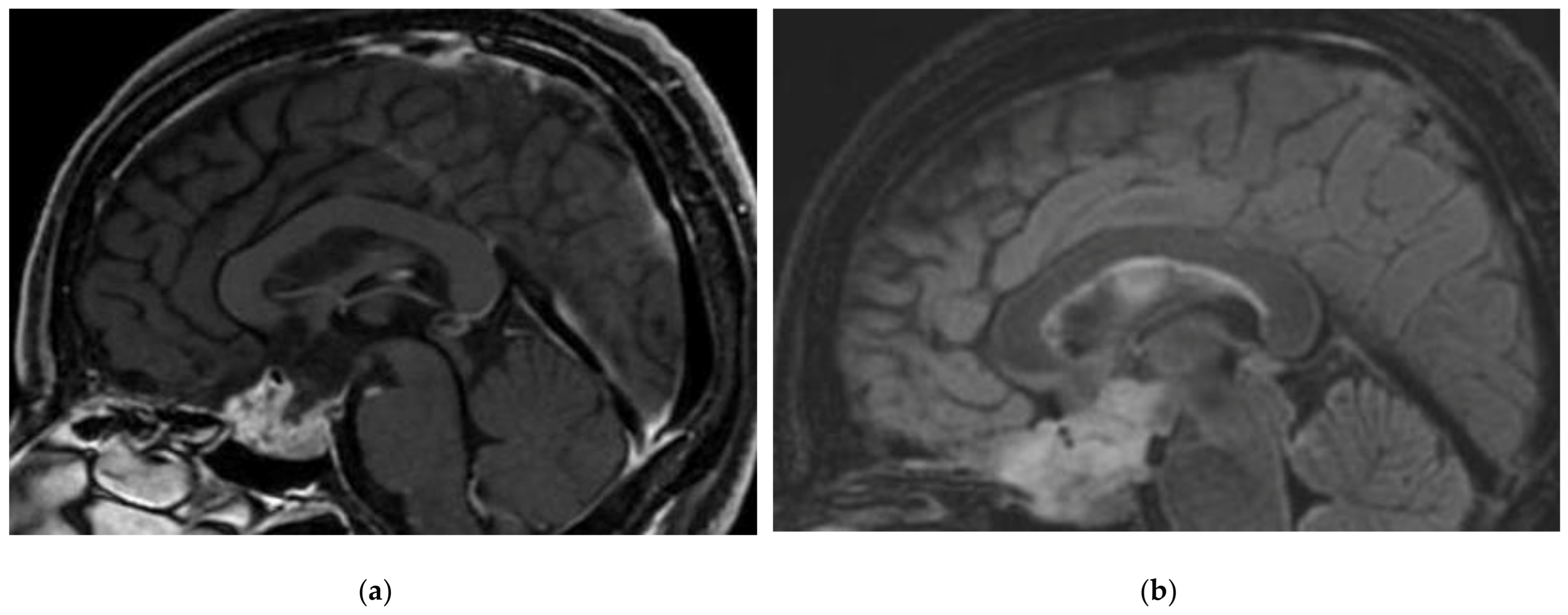
| Rosette-forming glioneuronal tumour (Figure 2) | 20 y | Midline structures in proximity of the 4th ventricle and the aqueduct of Sylvius | Neurocytes: Olig2+, rosettes: synaptophysin+, Glial cells: GFAP+, S100+ | FGFR1 mutations are very common, associated with PIK3CA, PIK3R1 or NF1 mutations [36] | Biphasic tumour with a component of neurocytes forming rosettes and/or pseudorosettes, and a glial component (often pilocytic astrocytes). | Progressive brainstem/cerebellar signs and visual disturbance. | Surgical resection is preferred [37]. If aggressive features and/or leptomeningeal infiltration, spinal metastasis: RT and chemotherapy [38] can be discussed in an adjuvant manner after surgery. Molecular targeted therapy*. | Mix of cystic and solid lesions, strong gadolinium enhancement. “Green bell pepper sign” [39]. |
| Papillary glioneuronal tumour | 25 y | Supratentorial: mainly temporal and frontal lobes | Neurocytes: Olig2+, synaptophysin+, Astrocytic cells of papilla: GFAP+ | PRKCA gene fusions, mostly SLC44A1:PRKCA fusion [40,41] | biphasic organisation with astrocytic papillas around hyalinized vessels and a neuronal component (most often neurocytic). | Headaches [42] and seizures. Incidental finding if small enough. Often characterized by an indolent course [43]. | Surgical resection alone is preferred: with very rare recurrences [44]. RT and/or chemotherapy if high Ki-67 in recurrence or other features of aggressiveness [45]. | Solid and a cystic component [46]. Septations can be quite specific. Calcifications are frequent. |
| Myxoid glioneuronal tumour (previously DNT of the septum pellucidum) | 20–25 years | Septum pellucidum, periventricular locations, corpus callosum [47]. | OLIG2+, SOX10+, GFAP+ | dinucleotide mutation at codon p.K385 in the PDGFRA gene [47] | Histologically similar to DNT or RGNT. | Hydrocephalus the most frequent initial clinical presentation, incidental findings not rare. | Gross surgical resection alone is preferred. In case of relapse and/or dissemination, RT [48] and/or chemotherapy (TMZ, CCNU) [47] can be considered. | No contrast enhancement, nor diffusion restriction. Partially suppressed Flair in centre, no oedema [48,49]. |
| Gangliocytoma | Children, young adults | Mainly temporal lobe [50]. Sellar locations also seen [51]. | chromogranin A+, synaptophysin+, neurofilament+, GFAP- | BRAFV600E mutation of alternative MAPK pathway alterations [52]. | multinucleated ganglionic neuronal tumour cells. | Seizures due to temporal/cortical locations [50,53]. Sometimes headaches, brainstem signs. | Surgical resection [53]. Relapse after resection remains very rare [54]. Chemotherapy has no place, neither radiotherapy. Molecular targeted therapy*. | Strong Gd enhancement, cystic images, perilesional oedema, calcifications [54]. |
| Diffuse glioneuronal tumour with oligodendroglioma-like features and nuclear clusters | Young adults, children | Supratentorial locations. | Synaptophysin+, NeuN+, MAP2+, Olig2+, GFAP- | Monosomy 14. Distinct methylation profile [55]. | Pseudo-oligodendroglial cells infiltrating cerebral cortex and forming nuclear clusters. Low number of mitosis. | Unspecific. | No standard treatment. Gross total surgery followed by radiotherapy may be a good option [56]. | None or only discrete Gd enhancement, no oedema. |
3.1. Ganglioglioma
3.2. Dysembryoplastic Neuroepithelial Tumour (DNET)
3.3. Diffuse Leptomeningeal Glioneuronal Tumour (DLGNT)
3.4. Cerebellar Liponeurocytoma
3.5. Subependymal Giant Cell Astrocytoma (SEGA)
4. Glial Tumours
4.1. Pilocytic Astrocytomas
4.2. High-Grade Astrocytoma with Piloid Features (HGAP)
4.3. Astroblastoma MN1 Altered
4.4. Chordoid Gliomas
4.5. Pleomorphic Xanthoastrocytoma (PXA)
5. Conclusions
Author Contributions
Funding
Acknowledgments
Conflicts of Interest
References
- Louis, D.N.; Perry, A.; Wesseling, P.; Brat, D.J.; Cree, I.A.; Figarella-Branger, D.; Hawkins, C.; Ng, H.K.; Pfister, S.M.; Reifenberger, G.; et al. The 2021 WHO Classification of Tumors of the Central Nervous System: A summary. Neuro-Oncology 2021, 23, 1231–1251. [Google Scholar] [CrossRef] [PubMed]
- Arnautovic, A.; Billups, C.; Broniscer, A.; Gajjar, A.; Boop, F.; Qaddoumi, I. Delayed diagnosis of childhood low-grade glioma: Causes, consequences, and potential solutions. Childs Nerv. Syst. 2015, 31, 1067–1077. [Google Scholar] [CrossRef] [PubMed]
- Sherman, S.J.; Tanaka, R.; Qaddoumi, I. Psychiatric symptoms in children with low-grade glioma and craniopharyngioma: A systematic review. J. Psychiatr. Res. 2022, 148, 240–249. [Google Scholar] [CrossRef] [PubMed]
- Ghods, A.J.; Ruban, D.S.; Wallace, D.; Byrne, R.W. Differentiating Ictal Panic with Low-Grade Temporal Lobe Tumors from Psychogenic Panic Attacks. J. Clin. Psychiatry 2013, 74, 1071–1075. [Google Scholar] [CrossRef]
- Rudà, R.; Capper, D.; Waldman, A.D.; Pallud, J.; Minniti, G.; Kaley, T.J.; Bouffet, E.; Tabatabai, G.; Aronica, E.; Jakola, A.S.; et al. EANO–EURACAN–SNO Guidelines on circumscribed astrocytic gliomas, glioneuronal, and neuronal tumors. Neuro-Oncology 2022, 24, 2015–2034. [Google Scholar] [CrossRef]
- Kaley, T.; Touat, M.; Subbiah, V.; Hollebecque, A.; Rodon, J.; Lockhart, A.C.; Keedy, V.; Bielle, F.; Hofheinz, R.-D.; Joly, F.; et al. BRAF Inhibition in BRAF V600 -Mutant Gliomas: Results From the VE-BASKET Study. J. Clin. Oncol. 2018, 36, 3477–3484. [Google Scholar] [CrossRef]
- Preusser, M.; Bienkowski, M.; Birner, P. BRAF inhibitors in BRAF-V600 mutated primary neuroepithelial brain tumors. Expert Opin. Investig. Drugs 2016, 25, 7–14. [Google Scholar] [CrossRef]
- Berzero, G.; Bellu, L.; Baldini, C.; Ducray, F.; Guyon, D.; Eoli, M.; Silvani, A.; Dehais, C.; Idbaih, A.; Younan, N.; et al. Sustained Tumor Control with MAPK Inhibition in BRAF V600–Mutant Adult Glial and Glioneuronal Tumors. Neurology 2021, 97, e673–e683. [Google Scholar] [CrossRef]
- Boyer, J.; Birzu, C.; Bielle, F.; Goulas, C.; Savatovsky, J.; Karachi, C.; Idbaih, A. Dramatic response of STRN-NTRK -fused malignant glioneuronal tumor to larotrectinib in adult. Neuro-Oncology 2021, 23, 1200–1202. [Google Scholar] [CrossRef]
- Magaña, M.; Landeta-Sa, A.P.; López-Flores, Y. Cowden Disease: A Review. Am. J. Dermatopathol. 2022, 44, 705–717. [Google Scholar] [CrossRef]
- Dragoo, D.; Taher, A.; Wong, V.; Elsaiey, A.; Consul, N.; Mahmoud, H.; Mujtaba, B.; Stanietzky, N.; Elsayes, K. PTEN Hamartoma Tumor Syndrome/Cowden Syndrome: Genomics, Oncogenesis, and Imaging Review for Associated Lesions and Malignancy. Cancers 2021, 13, 3120. [Google Scholar] [CrossRef] [PubMed]
- Dhamija, R.; Wood, C.P.; Porter, A.B.; Hu, L.S.; Weindling, S.M.; Hoxworth, J.M. Updated Imaging Features of Dysplastic Cerebellar Gangliocytoma. J. Comput. Assist. Tomogr. 2019, 43, 277–281. [Google Scholar] [CrossRef] [PubMed]
- Joo, G.J.; Doumanian, J. Radiographic Findings of Dysplastic Cerebellar Gangliocytoma (Lhermitte-Duclos Disease) in a Woman with Cowden Syndrome: A Case Study and Literature Review. J. Radiol. Case Rep. 2020, 14, 1–6. [Google Scholar] [CrossRef] [PubMed]
- Zak, M.; Ledbetter, M.; Maertens, P. Infantile Lhermitte-Duclos Disease Treated Successfully with Rapamycin. J. Child Neurol. 2017, 32, 322–326. [Google Scholar] [CrossRef]
- Karakula-Juchnowicz, H.; Morylowska-Topolska, J.; Juchnowicz, D.; Korzeniowska, A.; Krukow, P.; Rola, R. Paranoid Syndrome as the First Sign of Central Neurocytoma: A Case Report. J. Psychiatr. Pract. 2018, 24, 359–363. [Google Scholar] [CrossRef]
- Kaloshi, G.; Alikaj, V.; Rroji, A.; Vreto, G.; Petrela, M. Visual and auditory hallucinations revealing cerebellar extraventricular neurocytoma: Uncommon presentation for uncommon tumor in uncommon location. Gen. Hosp. Psychiatry 2013, 35, 680.e1–680.e3. [Google Scholar] [CrossRef]
- Pan, D.H.-C.; Lee, C.-C. The Management of Incidental Central Neurocytoma. Neurosurg. Clin. N. Am. 2015, 26, 57–66. [Google Scholar] [CrossRef]
- Li, X.; Guo, L.; Sheng, S.; Xu, Y.; Ma, L.; Xiao, X.; Si, Z.; Chen, Y.; Wu, Y. Diagnostic value of six MRI features for central neurocytoma. Eur. Radiol. 2018, 28, 4306–4313. [Google Scholar] [CrossRef]
- Niiro, T.; Tokimura, H.; Hanaya, R.; Hirano, H.; Fukukura, Y.; Sugiyma, K.; Eguchi, K.; Kurisu, K.; Yoshioka, H.; Arita, K. MRI findings in patients with central neurocytomas with special reference to differential diagnosis from other ventricular tumours near the foramen of Monro. J. Clin. Neurosci. 2012, 19, 681–686. [Google Scholar] [CrossRef]
- Steinsiepe, V.K.; Frick, H.; Jochum, W.; Fournier, J.Y. Differential Diagnosis of Central Neurocytoma: Two Cases. J. Neurol. Surg. Part Cent. Eur. Neurosurg. 2021, 82, 599–603. [Google Scholar] [CrossRef]
- Barani, I.J.; Raleigh, D.R.; Larson, D. The Management of Central Neurocytoma. Neurosurg. Clin. N. Am. 2015, 26, 45–56. [Google Scholar] [CrossRef] [PubMed]
- Mozes, P.; Szanto, E.; Tiszlavicz, L.; Barzo, P.; Cserhati, A.; Fodor, E.; Hideghety, K. Clinical Course of Central Neurocytoma with Malignant Transformation—An Indication for Craniospinal Irradiation. Pathol. Oncol. Res. 2014, 20, 319–325. [Google Scholar] [CrossRef] [PubMed]
- Narayanan, V.; Julius, K.; Mbogo, J. Long-term follow-up of lateral ventricular central neurocytoma treated with subtotal resection followed by concurrent chemoradiotherapy and add on chemotherapy—Case report from a Tertiary Kenyan Cancer Hospital. Surg. Neurol. Int. 2020, 11, 272. [Google Scholar] [CrossRef] [PubMed]
- Von Koch, C.S.; Schmidt, M.H.; Uyehara-Lock, J.H.; Berger, M.S.; Chang, S.M. The role of PCV chemotherapy in the treatment of central neurocytoma: Illustration of a case and review of the literature. Surg. Neurol. 2003, 60, 560–565. [Google Scholar] [CrossRef]
- Johnson, M.O.; Kirkpatrick, J.P.; Patel, M.P.; Desjardins, A.; Randazzo, D.M.; Friedman, H.S.; Ashley, D.M.; Peters, K.B. The role of chemotherapy in the treatment of central neurocytoma. CNS Oncol. 2019, 8, CNS41. [Google Scholar] [CrossRef]
- Leenstra, J.L.; Rodriguez, F.J.; Frechette, C.M.; Giannini, C.; Stafford, S.L.; Pollock, B.E.; Schild, S.E.; Scheithauer, B.W.; Jenkins, R.B.; Buckner, J.C.; et al. Central neurocytoma: Management recommendations based on a 35-year experience. Int. J. Radiat. Oncol. 2007, 67, 1145–1154. [Google Scholar] [CrossRef]
- Patil, A.S.; Menon, G.; Easwer, H.V.; Nair, S. Extraventricular neurocytoma, a comprehensive review. Acta Neurochir. 2014, 156, 349–354. [Google Scholar] [CrossRef]
- Xu, L.; Ouyang, Z.; Wang, J.; Liu, Z.; Fang, J.; Du, J.; He, Y.; Li, G. A clinicopathologic study of extraventricular neurocytoma. J. Neurooncol. 2017, 132, 75–82. [Google Scholar] [CrossRef]
- Romano, N.; Federici, M.; Castaldi, A. Imaging of extraventricular neurocytoma: A systematic literature review. Radiol. Med. 2020, 125, 961–970. [Google Scholar] [CrossRef]
- Sievers, P.; Stichel, D.; Schrimpf, D.; Sahm, F.; Koelsche, C.; Reuss, D.E.; Wefers, A.K.; Reinhardt, A.; Huang, K.; Ebrahimi, A.; et al. FGFR1:TACC1 fusion is a frequent event in molecularly defined extraventricular neurocytoma. Acta Neuropathol. 2018, 136, 293–302. [Google Scholar] [CrossRef]
- Buffa, G.B.; Chaves, H.; Serra, M.M.; Stefanoff, N.I.; Gagliardo, A.S.; Yañez, P. Multinodular and Vacuolating Neuronal Tumor of the Cerebrum (MVNT): A case series and review of the literature. J. Neuroradiol. 2020, 47, 216–220. [Google Scholar] [CrossRef] [PubMed]
- Choi, E.; Kim, S.-I.; Won, J.-K.; Chung, C.K.; Kim, S.K.; Choi, S.-H.; Choi, S.; Han, B.; Ahn, B.; Im, S.-W.; et al. Clinicopathological and molecular analysis of multinodular and vacuolating neuronal tumors of the cerebrum. Hum. Pathol. 2019, 86, 203–212. [Google Scholar] [CrossRef] [PubMed]
- Srinivasa, K.; Cross, K.A.; Dahiya, S. BRAF Alteration in Central and Peripheral Nervous System Tumors. Front. Oncol. 2020, 10, 574974. [Google Scholar] [CrossRef] [PubMed]
- Thom, M.; Liu, J.; Bongaarts, A.; Reinten, R.J.; Paradiso, B.; Jäger, H.R.; Reeves, C.; Somani, A.; An, S.; Marsdon, D.; et al. Multinodular and vacuolating neuronal tumors in epilepsy: Dysplasia or neoplasia?: MNVT: Dysplasia or Neoplasia. Brain Pathol. 2018, 28, 155–171. [Google Scholar] [CrossRef]
- Huse, J.T.; Edgar, M.; Halliday, J.; Mikolaenko, I.; Lavi, E.; Rosenblum, M.K. Multinodular and Vacuolating Neuronal Tumors of the Cerebrum: 10 Cases of a Distinctive Seizure-Associated Lesion: Multinodular and Vacuolating Neuronal Tumors. Brain Pathol. 2013, 23, 515–524. [Google Scholar] [CrossRef]
- Wilson, C.P.; Chakraborty, A.R.; E Pelargos, P.; Shi, H.H.; Milton, C.K.; Sung, S.; McCoy, T.; Peterson, J.E.; Glenn, C.A. Rosette-forming glioneuronal tumor: An illustrative case and a systematic review. Neuro-Oncol. Adv. 2020, 2, vdaa116. [Google Scholar] [CrossRef]
- Anyanwu, C.T.; Robinson, T.M.; Huang, J.H. Rosette-forming glioneuronal tumor: An update. Clin. Transl. Oncol. 2020, 22, 623–630. [Google Scholar] [CrossRef]
- Hockman, J.T.; El Tecle, N.E.; Urquiaga, J.F.; Alexopoulos, G.; Guzman, M.A.; Coppens, J. Dissemination Patterns and Short-Term Management of Multifocal Rosette-Forming Glioneuronal Tumors. World Neurosurg. 2021, 149, 86–93. [Google Scholar] [CrossRef]
- Gao, L.; Han, F.; Jin, Y.; Xiong, J.; Lv, Y.; Yao, Z.; Zhang, J. Imaging features of rosette-forming glioneuronal tumours. Clin. Radiol. 2018, 73, 275–282. [Google Scholar] [CrossRef]
- Hou, Y.; Pinheiro, J.; Sahm, F.; Reuss, D.E.; Schrimpf, D.; Stichel, D.; Casalini, B.; Koelsche, C.; Sievers, P.; Wefers, A.K.; et al. Papillary glioneuronal tumor (PGNT) exhibits a characteristic methylation profile and fusions involving PRKCA. Acta Neuropathol. 2019, 137, 837–846. [Google Scholar] [CrossRef]
- Pages, M.; Lacroix, L.; Tauziede-Espariat, A.; Castel, D.; Daudigeos-Dubus, E.; Ridola, V.; Gilles, S.; Fina, F.; Andreiuolo, F.; Polivka, M.; et al. Papillary glioneuronal tumors: Histological and molecular characteristics and diagnostic value of SLC44A1-PRKCA fusion. Acta Neuropathol. Commun. 2015, 3, 85. [Google Scholar] [CrossRef] [PubMed]
- Li, D.; Wang, J.M.; Li, G.L.; Hao, S.Y.; Yang, Y.; Wu, Z.; Zhang, J.T. Clinical, radiological, and pathological features of 16 papillary glioneuronal tumors. Acta Neurochir. 2014, 156, 627–639. [Google Scholar] [CrossRef]
- Atri, S.; Sharma, M.C.; Sarkar, C.; Garg, A.; Suri, A. Papillary glioneuronal tumour: A report of a rare case and review of literature. Childs Nerv. Syst. 2007, 23, 349–353. [Google Scholar] [CrossRef] [PubMed]
- Schlamann, A.; von Bueren, A.O.; Hagel, C.; Zwiener, I.; Seidel, C.; Kortmann, R.-D.; Müller, K. An Individual Patient Data Meta-Analysis on Characteristics and Outcome of Patients with Papillary Glioneuronal Tumor, Rosette Glioneuronal Tumor with Neuropil-Like Islands and Rosette Forming Glioneuronal Tumor of the Fourth Ventricle. PLoS ONE 2014, 9, e101211. [Google Scholar] [CrossRef] [PubMed]
- Goethe, E.A.; Youssef, M.; Patel, A.J.; Jalali, A.; Goodman, J.C.; Mandel, J.J. Recurrent Papillary Glioneuronal Tumor. World Neurosurg. 2019, 128, 127–130. [Google Scholar] [CrossRef] [PubMed]
- Rocka, S.; Neverauskiene, L.; Nelson, E.L.; Burneikiene, S. Papillary Glioneuronal Tumour: A Case Report. Cureus 2019, 11, e4215. [Google Scholar] [CrossRef]
- Lucas CH, G.; Villanueva-Meyer, J.E.; Whipple, N.; Oberheim Bush, N.A.; Cooney, T.; Chang, S.; Solomon, D.A. Myxoid glioneuronal tumor, PDGFRA p.K385-mutant: Clinical, radiologic, and histopathologic features. Brain Pathol. 2020, 30, 479–494. [Google Scholar] [CrossRef]
- Chiang, J.C.H.; Harreld, J.H.; Tanaka, R.; Li, X.; Wen, J.; Zhang, C.; Boué, D.R.; Rauch, T.M.; Boyd, J.T.; Chen, J.; et al. Septal dysembryoplastic neuroepithelial tumor: A comprehensive clinical, imaging, histopathologic, and molecular analysis. Neuro-Oncology 2019, 21, 800–808. [Google Scholar] [CrossRef]
- Narvaez, E.D.O.; Inada, B.S.Y.; de Almeida, P.R.S.F.; Freitas, L.F.; Soldatelli, M.D.; Costa, D.M.C.; Marussi, V.H.R.; Campos, C.S.; Araujo, J.L.V.; Junior, H.C.; et al. Myxoid glioneuronal tumour—Report of three cases of a new tumour in a typical location and review of literature. BJRcase Rep. 2021, 7, 20200139. [Google Scholar] [CrossRef]
- Blumcke, I.; Spreafico, R.; Haaker, G.; Coras, R.; Kobow, K.; Bien, C.G.; Pfäfflin, M.; Elger, C.; Widman, G.; Schramm, J.; et al. Histopathological Findings in Brain Tissue Obtained during Epilepsy Surgery. N. Engl. J. Med. 2017, 377, 1648–1656. [Google Scholar] [CrossRef]
- Sakata, K.; Fujimori, K.; Komaki, S.; Furuta, T.; Sugita, Y.; Ashida, K.; Nomura, M.; Morioka, M. Pituitary Gangliocytoma Producing TSH and TRH: A Review of “Gangliocytomas of the Sellar Region. J. Clin. Endocrinol. Metab. 2020, 105, 3109–3121. [Google Scholar] [CrossRef] [PubMed]
- Alarifi, N.; Del Bigio, M.R.; Beiko, J. Adult gangliocytoma arising within the lateral ventricle: A case report and review of the literature. Surg. Neurol. Int. 2022, 13, 11. [Google Scholar] [CrossRef]
- García-Fernández, M.; Castillo, C.F.-D.; Ugalde-Canitrot, A.; Pérez-Jiménez, Á.; Álvarez-Linera, J.; De Prada-Vicente, I.; Suárez-Rodríguez, J.; Bernabeu-Verdú, J.; Villarejo-Ortega, F. Epilepsy surgery in children with developmental tumours. Seizure 2011, 20, 616–627. [Google Scholar] [CrossRef] [PubMed]
- Menon, G.; Patro, S.N.; Krishnakumar, K.; Kesavadas, C.; Nair, S.; Radhakrishnan, V.V. Subfrontal gangliocytoma masquerading as olfactory groove meningioma. Br. J. Neurosurg. 2009, 23, 79–82. [Google Scholar] [CrossRef]
- Deng, M.Y.; Sill, M.; Sturm, D.; Stichel, D.; Witt, H.; Ecker, J.; Wittmann, A.; Schittenhelm, J.; Ebinger, M.; Schuhmann, M.U.; et al. Diffuse glioneuronal tumour with oligodendroglioma-like features and nuclear clusters (DGONC)—A molecularly defined glioneuronal CNS tumour class displaying recurrent monosomy 14. Neuropathol. Appl. Neurobiol. 2020, 46, 422–430. [Google Scholar] [CrossRef] [PubMed]
- Pickles, J.C.; Mankad, K.; Aizpurua, M.; Paine, S.M.; Bridges, L.R.; Carceller, F.; Szychot, E.; Walker, M.; Fairchild, A.R.; Mistry, T.; et al. A case series of Diffuse Glioneuronal Tumours with Oligodendroglioma-like features and Nuclear Clusters (DGONC). Neuropathol. Appl. Neurobiol. 2021, 47, 464–467. [Google Scholar] [CrossRef] [PubMed]
- Andrews, J.P.; Wozny, T.A.; Yue, J.K.; Wang, D.D. Improved psychotic symptoms following resection of amygdalar low-grade glioma: Illustrative case. J. Neurosurg. Case Lessons 2022, 4, CASE22362. [Google Scholar] [CrossRef]
- Kulason, K.O.; Schneider, J.R.; Rahme, R.; Pramanik, B.; Chong, D.; Boockvar, J.A. Lesional Temporal Lobe Epilepsy: Beware the Deceitful “Panic Attack”. World Neurosurg. 2018, 111, 197–200. [Google Scholar] [CrossRef]
- Tamburin, S.; Cacciatori, C.; Bonato, C.; Zanette, G. Cingulate Gyrus Tumor Presenting as Panic Attacks. Am. J. Psychiatry 2008, 165, 651–652. [Google Scholar] [CrossRef]
- Leclerc, A.; Le Hello-Regnier, E.; Faisant, M.; Bernard, A.L.; Emery, E.; Ferracci, F.X.; Gaberel, T. Ganglioglioma revealed by spontaneous intracerebral hematoma: A cohort study. Neurochirurgie 2022, 68, e8–e15. [Google Scholar] [CrossRef]
- Rolston, J.D.; Han, S.J.; Cotter, J.A.; El-Sayed, I.H.; Aghi, M.K. Gangliogliomas of the optic pathway. J. Clin. Neurosci. 2014, 21, 2244–2249. [Google Scholar] [CrossRef] [PubMed]
- Melián, K.A.; López, F.J.D.; Imbroda, J.M.M.; Betancor, D.R.; Pons, D.R. Ganglioglioma espinal intramedular: Caso clínico y revisión comparativa de la literatura. Neurocirugía 2021, 32, 124–133. [Google Scholar] [CrossRef] [PubMed]
- Adachi, Y.; Yagishita, A. Gangliogliomas: Characteristic imaging findings and role in the temporal lobe epilepsy. Neuroradiology 2008, 50, 829–834. [Google Scholar] [CrossRef] [PubMed]
- Lin, X.; Huang, R.; Zhang, P.; Sun, J.; Dong, G.; Huang, Y.; Tian, X. Low-grade gangliogliomas in adults: A population-based study. Cancer Med. 2021, 10, 416–423. [Google Scholar] [CrossRef] [PubMed]
- Southwell, D.G.; Garcia, P.A.; Berger, M.S.; Barbaro, N.M.; Chang, E.F. Long-term Seizure Control Outcomes After Resection of Gangliogliomas. Neurosurgery 2012, 70, 1406–1414. [Google Scholar] [CrossRef]
- Zhang, S.; Wang, X.; Liu, X.; Ju, Y.; Hui, X. Brainstem gangliogliomas: A retrospective series: Clinical article. J. Neurosurg. 2013, 118, 884–888. [Google Scholar] [CrossRef]
- Song, J.Y.; Kim, J.H.; Cho, Y.H.; Kim, C.J.; Lee, E.J. Treatment and Outcomes for Gangliogliomas: A Single-Center Review of 16 Patients. Brain Tumor Res. Treat. 2014, 2, 49–55. [Google Scholar] [CrossRef]
- Chatrath, A.; Mastorakos, P.; Mehta, G.U.; Wildeman, M.; Moosa, S.; Jane, J.A., Jr. Ganglioglioma Arising from the Septum Pellucidum: Case Report and Review of the Literature. Pediatr. Neurosurg. 2019, 54, 36–45. [Google Scholar] [CrossRef]
- Liauw, S.L.; Byer, J.E.; Yachnis, A.T.; Amdur, R.J.; Mendenhall, W.M. Radiotherapy after subtotally resected or recurrent ganglioglioma. Int. J. Radiat. Oncol. 2007, 67, 244–247. [Google Scholar] [CrossRef]
- Rosselló, A.; Plans, G.; Vidal-Sarró, N.; Fernández-Coello, A.; Gabarrós, A. Ganglioglioma Progression to Combined Anaplastic Ganglioglioma and Anaplastic Pleomorphic Xanthoastrocytoma. Case Report and Literature Review. World Neurosurg. 2017, 108, 996.e17–996.e25. [Google Scholar] [CrossRef]
- Fujii, Y.; Hatae, R.; Hata, N.; Suzuki, S.O.; Sangatsuda, Y.; Takigawa, K.; Funakoshi, Y.; Fujioka, Y.; Kuga, D.; Mizoguchi, M.; et al. A case of ganglioglioma grade 3 with H3 K27M mutation arising in the medial temporal lobe in an elderly patient. Neuropathology 2022, 42, 197–203. [Google Scholar] [CrossRef]
- Vajramani, G.V.; Dambatta, S.; Walker, M.; Grundy, P.L. Multiple gangliogliomas of the optic pathway. Br. J. Neurosurg. 2006, 20, 428–430. [Google Scholar] [CrossRef] [PubMed]
- Hassall, T.E.G.; Mitchell, A.E.; Ashley, D.M. Carboplatin chemotherapy for progressive intramedullary spinal cordlow-grade gliomas in children: Three case studies and a review of the literature. Neuro-Oncology 2001, 3, 251–257. [Google Scholar] [CrossRef] [PubMed]
- Slegers, R.J.; Blumcke, I. Low-grade developmental and epilepsy associated brain tumors: A critical update 2020. Acta Neuropathol. Commun. 2020, 8, 27. [Google Scholar] [CrossRef] [PubMed]
- Chamberlain, M.C. Recurrent ganglioglioma in adults treated with BRAF inhibitors. CNS Oncol. 2016, 5, 27–29. [Google Scholar] [CrossRef] [PubMed]
- Terrier, L.-M.; Bauchet, L.; Rigau, V.; Amelot, A.; Zouaoui, S.; Filipiak, I.; Caille, A.; Almairac, F.; Aubriot-Lorton, M.-H.; Bergemer-Fouquet, A.-M.; et al. Natural course and prognosis of anaplastic gangliogliomas: A multicenter retrospective study of 43 cases from the French Brain Tumor Database. Neuro-Oncology 2016, 19, 678–688. [Google Scholar] [CrossRef]
- Mallick, S.; Benson, R.; Melgandi, W.; Giridhar, P.; Rath, G.K. Impact of surgery, adjuvant treatment, and other prognostic factors in the management of anaplastic ganglioglioma. Childs Nerv. Syst. 2018, 34, 1207–1213. [Google Scholar] [CrossRef]
- Lucas, J.T.; Huang, A.J.; Mott, R.T.; Lesser, G.J.; Tatter, S.B.; Chan, M.D. Anaplastic ganglioglioma: A report of three cases and review of the literature. J. Neurooncol. 2015, 123, 171–177. [Google Scholar] [CrossRef]
- Bruno, F.; Pellerino, A.; Bertero, L.; Soffietti, R.; Rudà, R. Targeted Therapies in Rare Brain Tumours. Int. J. Mol. Sci. 2021, 22, 7949. [Google Scholar] [CrossRef]
- Pasqualetti, F.; Restante, G.; Gonnelli, A.; Rofi, E.; Molinari, A.; Crucitta, S.; Paiar, F.; Rudà, R.; Danesi, R.; Soffietti, R.; et al. Dabrafenib treatment in a patient with BRAF V600E ganglioglioma: Circulating exosome-derived cancer RNA supports treatment choice and clinical monitoring. Neuro-Oncology 2019, 21, 1610–1611. [Google Scholar] [CrossRef]
- Touat, M.; Gratieux, J.; Auliac, S.C.; Sejean, K.; Aldea, S.; Savatovsky, J.; Perkins, G.; Blons, H.; Ligon, K.L.; Idbaih, A.; et al. Vemurafenib and cobimetinib overcome resistance to vemurafenib in BRAF -mutant ganglioglioma. Neurology 2018, 91, 523–525. [Google Scholar] [CrossRef] [PubMed]
- Landais, A.; Crespel, A.; Moulis, J.-L.; Coubes, P.; Gelisse, P. Psychiatric comorbidity in temporal DNET and improvement after surgery. Neurochirurgie 2016, 62, 165–170. [Google Scholar] [CrossRef] [PubMed]
- Luzzi, S.; Elia, A.; Del Maestro, M.; Elbabaa, S.K.; Carnevale, S.; Guerrini, F.; Caulo, M.; Morbini, P.; Galzio, R. Dysembryoplastic Neuroepithelial Tumors: What You Need to Know. World Neurosurg. 2019, 127, 255–265. [Google Scholar] [CrossRef] [PubMed]
- Razek, A.A.K.A.; Elsebaie, N.A.; Zamora, C.; Castillo, M. Imaging of Neuronal and Mixed Glioneuronal Tumors. J. Comput. Assist. Tomogr. 2020, 44, 356–369. [Google Scholar] [CrossRef]
- Rivera, B.; Gayden, T.; Carrot-Zhang, J.; Nadaf, J.; Boshari, T.; Faury, D.; Zeinieh, M.; Blanc, R.; Burk, D.L.; Fahiminiya, S.; et al. Germline and somatic FGFR1 abnormalities in dysembryoplastic neuroepithelial tumors. Acta Neuropathol. 2016, 131, 847–863. [Google Scholar] [CrossRef] [PubMed]
- Isler, C.; Cetin, O.E.; Ugurlar, D.; Ozkara, C.; Comunoglu, N.; Kizilkilic, O.; Oz, B.; Kayadibi, Y.; Tanriverdi, T.; Uzan, M. Dysembryoplastic neuroepithelial tumours: Clinical, radiological, pathological features and outcome. Br. J. Neurosurg. 2018, 32, 436–441. [Google Scholar] [CrossRef]
- Englot, D.J.; Berger, M.S.; Barbaro, N.M.; Chang, E.F. Factors associated with seizure freedom in the surgical resection of glioneuronal tumors: Seizures after Glioneuronal Tumor Resection. Epilepsia 2012, 53, 51–57. [Google Scholar] [CrossRef]
- Moazzam, A.A.; Wagle, N.; Shiroishi, M.S. Malignant transformation of DNETs: A case report and literature review. NeuroReport 2014, 25, 894–899. [Google Scholar] [CrossRef]
- Appay, R.; Pages, M.; Colin, C.; Jones, D.T.W.; Varlet, P.; Figarella-Branger, D. Diffuse leptomeningeal glioneuronal tumor: A double misnomer? A report of two cases. Acta Neuropathol. Commun. 2020, 8, 95. [Google Scholar] [CrossRef]
- Wiśniewski, K.; Brandel, M.G.; Gonda, D.D.; Crawford, J.R.; Levy, M.L. Prognostic factors in diffuse leptomeningeal glioneuronal tumor (DLGNT): A systematic review. Childs Nerv. Syst. 2022, 38, 1663–1673. [Google Scholar] [CrossRef]
- Lee, J.K.; Ko, H.; Choi, J.; Lee, Y.S.; Son, B. A Case of Diffuse Leptomeningeal Glioneuronal Tumor Misdiagnosed as Chronic Tuberculous Meningitis without Brain Biopsy. Case Rep. Neurol. Med. 2018, 2018, 1391943. [Google Scholar] [CrossRef] [PubMed]
- Lyle, M.R.; Dolia, J.N.; Fratkin, J.; Nichols, T.A.; Herrington, B.L. Newly Identified Characteristics and Suggestions for Diagnosis and Treatment of Diffuse Leptomeningeal Glioneuronal/Neuroepithelial Tumors: A Case Report and Review of the Literature. Child Neurol. Open 2015, 2, 2329048X1456753. [Google Scholar] [CrossRef] [PubMed]
- Deng, M.Y.; Sill, M.; Chiang, J.; Schittenhelm, J.; Ebinger, M.; Schuhmann, M.U.; Monoranu, C.-M.; Milde, T.; Wittmann, A.; Hartmann, C.; et al. Molecularly defined diffuse leptomeningeal glioneuronal tumor (DLGNT) comprises two subgroups with distinct clinical and genetic features. Acta Neuropathol. 2018, 136, 239–253. [Google Scholar] [CrossRef] [PubMed]
- Tu, J.; Wang, L.; Liu, L.; Han, H.; Fu, Y.; Piao, Y.; Lu, D.; Teng, L. Clinicopathological features of diffuse leptomeningeal glioneuronal tumor. Zhonghua Bing Li Xue Za Zhi 2021, 50, 876–881. [Google Scholar] [CrossRef] [PubMed]
- Yamasaki, T.; Sakai, N.; Shinmura, K.; Kawaji, H.; Koizumi, S.; Samashima, T.; Namba, H. Anaplastic changes of diffuse leptomeningeal glioneuronal tumor with polar spongioblastoma pattern. Brain Tumor Pathol. 2018, 35, 209–216. [Google Scholar] [CrossRef]
- Abongwa, C.; Cotter, J.; Tamrazi, B.; Dhall, G.; Davidson, T.; Margol, A. Primary diffuse leptomeningeal glioneuronal tumors of the central nervous system: Report of three cases and review of literature. Pediatr. Hematol. Oncol. 2020, 37, 248–258. [Google Scholar] [CrossRef] [PubMed]
- Pellerino, A. Successful use of bevacizumab in an adult primary diffuse leptomeningeal glioneuronal tumor. J. Neurosurg. Sci. 2018, 62, 229–232. [Google Scholar] [CrossRef]
- Lu, V.M.; Di, L.; Gernsback, J.; Eichberg, D.G.; Luther, E.M.; Shah, A.H.; Daniels, D.J.; Maher, O.M.; Niazi, T.N. Contemporary outcomes of diffuse leptomeningeal glioneuronal tumor in pediatric patients: A case series and literature review. Clin. Neurol. Neurosurg. 2022, 218, 107265. [Google Scholar] [CrossRef]
- Al-Umran, M.R.; Al-Umran, S.R.; Arab, A.F.; Dababo, M.A.; Alotaibi, F.A. Lateral ventricular liponeurocytoma: Review of literature and case illustration. Neurochirurgie 2021, 67, 579–586. [Google Scholar] [CrossRef]
- Gembruch, O.; Junker, A.; Mönninghoff, C.; Ahmadipour, Y.; Oppong, M.D.; Sure, U.; El Hindy, N.; Lemonas, E. Liponeurocytoma: Systematic Review of a Rare Entity. World Neurosurg. 2018, 120, 214–233. [Google Scholar] [CrossRef]
- Kakkar, A.; Sable, M.; Suri, V.; Sarkar, C.; Garg, A.; Satyarthee, G.D.; Sharma, M.C. Cerebellar Liponeurocytoma, an Unusual Tumor of the Central Nervous System—Ultrastructural Examination. Ultrastruct. Pathol. 2015, 39, 419–423. [Google Scholar] [CrossRef]
- Xu, L.; Du, J.; Wang, J.; Fang, J.; Liu, Z.; He, Y.; Li, G. The clinicopathological features of liponeurocytoma. Brain Tumor Pathol. 2017, 34, 28–35. [Google Scholar] [CrossRef] [PubMed]
- Zuo, P.; Sun, T.; Gu, G.; Li, X.; Jiang, Z.; Pan, C.; Xu, C.; Wu, Z.; Zhang, J.; Zhang, L. Surgical management and clinical outcomes of cerebellar liponeurocytomas—A report of seven cases and a pooled analysis of individual patient data. Neurosurg. Rev. 2022, 45, 1747–1757. [Google Scholar] [CrossRef] [PubMed]
- Jóźwiak, S.; Nabbout, R.; Curatolo, P. Management of subependymal giant cell astrocytoma (SEGA) associated with tuberous sclerosis complex (TSC): Clinical recommendations. Eur. J. Paediatr. Neurol. 2013, 17, 348–352. [Google Scholar] [CrossRef] [PubMed]
- Konakondla, S.; Jayarao, M.; Skrade, J.; Giannini, C.; Workman, M.J.; Morgan, C.J. Subependymal giant cell astrocytoma in a genetically negative tuberous sclerosis complex adult: Case report. Clin. Neurol. Neurosurg. 2016, 150, 177–180. [Google Scholar] [CrossRef] [PubMed]
- Habib, S.L.; Al-Obaidi, N.Y.; Nowacki, M.; Pietkun, K.; Zegarska, B.; Kloskowski, T.; Zegarski, W.; Drewa, T.; Medina, E.A.; Zhao, Z.; et al. Is mTOR Inhibitor Good Enough for Treatment All Tumors in TSC Patients? J. Cancer 2016, 7, 1621–1631. [Google Scholar] [CrossRef]
- Jóźwiak, S.; Mandera, M.; Młynarski, W. Natural History and Current Treatment Options for Subependymal Giant Cell Astrocytoma in Tuberous Sclerosis Complex. Semin. Pediatr. Neurol. 2015, 22, 274–281. [Google Scholar] [CrossRef]
- Roth, J.; Roach, E.S.; Bartels, U.; Jóźwiak, S.; Koenig, M.K.; Weiner, H.L.; Franz, D.N.; Wang, H.Z. Subependymal giant cell astrocytoma: Diagnosis, screening, and treatment. Recommendations from the International Tuberous Sclerosis Complex Consensus Conference 2012. Pediatr. Neurol. 2013, 49, 439–444. [Google Scholar] [CrossRef]
- Ryoo, J.S.; Khalid, S.I.; Chaker, A.N.; Behbahani, M.; Nunna, R.S.; Mehta, A.I. Trends in survival and treatment of SEGA: National Cancer Database Analysis. Neuro-Oncol. Pract. 2021, 8, 98–105. [Google Scholar] [CrossRef]
- Ebrahimi-Fakhari, D.; Franz, D.N. Pharmacological treatment strategies for subependymal giant cell astrocytoma (SEGA). Expert Opin. Pharmacother. 2020, 21, 1329–1336. [Google Scholar] [CrossRef]
- Frassanito, P.; Noya, C.; Tamburrini, G. Current trends in the management of subependymal giant cell astrocytomas in tuberous sclerosis. Childs Nerv. Syst. 2020, 36, 2527–2536. [Google Scholar] [CrossRef]
- Fogarasi, A.; De Waele, L.; Bartalini, G.; Jozwiak, S.; Laforgia, N.; Verhelst, H.; Petrak, B.; Pedespan, J.-M.; Witt, O.; Castellana, R.; et al. EFFECTS: An expanded access program of everolimus for patients with subependymal giant cell astrocytoma associated with tuberous sclerosis complex. BMC Neurol. 2016, 16, 126. [Google Scholar] [CrossRef] [PubMed]
- Bobeff, K.; Krajewska, K.; Baranska, D.; Kotulska, K.; Jozwiak, S.; Mlynarski, W.; Trelinska, J. Maintenance Therapy with Everolimus for Subependymal Giant Cell Astrocytoma in Patients with Tuberous Sclerosis—Final Results from the EMINENTS Study. Front. Neurol. 2021, 12, 581102. [Google Scholar] [CrossRef] [PubMed]
- Mingarelli, A.; Vignoli, A.; La Briola, F.; Peron, A.; Giordano, L.; Banderali, G.; Canevini, M.P. Dramatic relapse of seizures after everolimus withdrawal. Eur. J. Paediatr. Neurol. 2018, 22, 203–206. [Google Scholar] [CrossRef] [PubMed]
- Salles, D.; Laviola, G.; de Moraes Malinverni, A.C.; Stávale, J.N. Pilocytic Astrocytoma: A Review of General, Clinical, and Molecular Characteristics. J. Child Neurol. 2020, 35, 852–858. [Google Scholar] [CrossRef] [PubMed]
- Gregory, T.A.; Chumbley, L.B.; Henson, J.W.; Theeler, B.J. Adult pilocytic astrocytoma in the molecular era: A comprehensive review. CNS Oncol. 2021, 10, CNS68. [Google Scholar] [CrossRef]
- Prasad, G.L.; Nandeesh, B.N.; Menon, G.R. Hemorrhagic presentation of intracranial pilocytic astrocytomas: Literature review. Neurosurg. Rev. 2019, 42, 97–106. [Google Scholar] [CrossRef]
- Gaudino, S.; Martucci, M.; Russo, R.; Visconti, E.; Gangemi, E.; D’Argento, F.; Verdolotti, T.; Lauriola, L.; Colosimo, C. MR imaging of brain pilocytic astrocytoma: Beyond the stereotype of benign astrocytoma. Childs Nerv. Syst. 2017, 33, 35–54. [Google Scholar] [CrossRef]
- Wade, A.; Hayhurst, C.; Amato-Watkins, A.; Lammie, A.; Leach, P. Cerebellar pilocytic astrocytoma in adults: A management paradigm for a rare tumour. Acta Neurochir. 2013, 155, 1431–1435. [Google Scholar] [CrossRef]
- Zhang, L.; Li, T.; Qiao, G.; Yang, W.; Shang, A.; Yu, X. Clinical characteristics and long-term surgical outcomes of spinal pilocytic astrocytoma: A report of twenty cases. Acta Neurochir. 2021, 163, 3005–3013. [Google Scholar] [CrossRef]
- Bond, K.M.; Hughes, J.D.; Porter, A.L.; Orina, J.; Fang, S.; Parney, I.F. Adult Pilocytic Astrocytoma: An Institutional Series and Systematic Literature Review for Extent of Resection and Recurrence. World Neurosurg. 2018, 110, 276–283. [Google Scholar] [CrossRef]
- Theeler, B.J.; Ellezam, B.; Sadighi, Z.S.; Mehta, V.; Tran, M.D.; Adesina, A.M.; Bruner, J.M.; Puduvalli, V.K. Adult pilocytic astrocytomas: Clinical features and molecular analysis. Neuro-Oncology 2014, 16, 841–847. [Google Scholar] [CrossRef] [PubMed]
- Parsons, M.W.; Whipple, N.S.; Poppe, M.M.; Mendez, J.S.; Cannon, D.M.; Burt, L.M. The use and efficacy of chemotherapy and radiotherapy in children and adults with pilocytic astrocytoma. J. Neurooncol. 2021, 151, 93–101. [Google Scholar] [CrossRef]
- Jager, B.; Schuhmann, M.U.; Schober, R.; Kortmann, R.-D.; Meixensberger, J. Induction of Gliosarcoma and Atypical Meningeoma 13 Years after Radiotherapy of Residual Pilocytic Astrocytoma in Childhood. Pediatr. Neurosurg. 2008, 44, 153–158. [Google Scholar] [CrossRef]
- Lizarraga, K.J.; Gorgulho, A.; Lee, S.P.; Rauscher, G.; Selch, M.T.; DeSalles, A.A.F. Stereotactic radiation therapy for progressive residual pilocytic astrocytomas. J. Neurooncol. 2012, 109, 129–135. [Google Scholar] [CrossRef] [PubMed]
- Ishkanian, A.; Laperriere, N.J.; Xu, W.; Millar, B.-A.; Payne, D.; Mason, W.; Sahgal, A. Upfront observation versus radiation for adult pilocytic astrocytoma. Cancer 2011, 117, 4070–4079. [Google Scholar] [CrossRef] [PubMed]
- Murphy, E.S.; Parsai, S.; Kano, H.; Sheehan, J.P.; Martinez-Alvarez, R.; Martinez-Moreno, N.; Kondziolka, D.; Simonova, G.; Liscak, R.; Mathieu, D.; et al. Outcomes of stereotactic radiosurgery for pilocytic astrocytoma: An international multiinstitutional study. J. Neurosurg. 2021, 134, 162–170. [Google Scholar] [CrossRef] [PubMed]
- Trunin, Y.; Golanov, A.; Konovalov, A.; Pronin, I.; Zagirov, R.; Ryzhova, M.; Kadyrov, S.; Igoshina, E. Stereotactic irradiation in the complex treatment of patients with intracranial pilocytic astrocytoma. Vopr. Neirokhirurgii Im. NN Burdenko 2021, 85, 34–46. [Google Scholar] [CrossRef]
- Niranjan, A.; Faramand, A.; Lunsford, L.D. Stereotactic Radiosurgery for Low-Grade Gliomas. In Progress in Neurological Surgery; Niranjan, A., Lunsford, L.D., Kano, H., Eds.; Karger AG: Basel, Switzerland, 2019; Volume 34, pp. 184–190. [Google Scholar] [CrossRef]
- Mazloom, A.; Hodges, J.C.; Teh, B.S.; Chintagumpala, M.; Paulino, A.C. Outcome of Patients with Pilocytic Astrocytoma and Leptomeningeal Dissemination. Int. J. Radiat. Oncol. 2012, 84, 350–354. [Google Scholar] [CrossRef] [PubMed]
- Wasilewski, A.; Mohile, N. Durable response to bevacizumab in adults with recurrent pilocytic astrocytoma. CNS Oncol. 2018, 7, CNS26. [Google Scholar] [CrossRef]
- Carabenciov, I.D.; Bhargav, A.G.; Uhm, J.H.; Ruff, M.W. Bevacizumab Use in Refractory Adult Pilocytic Astrocytoma: A Single-Center Case Series. Neurologist 2019, 24, 87–89. [Google Scholar] [CrossRef] [PubMed]
- Chua, J.; Nafziger, E.; Leung, D. Evidence-Based Practice: Temozolomide Beyond Glioblastoma. Curr. Oncol. Rep. 2019, 21, 30. [Google Scholar] [CrossRef] [PubMed]
- Fangusaro, J.; Onar-Thomas, A.; Poussaint, T.Y.; Wu, S.; Ligon, A.H.; Lindeman, N.; Campagne, O.; Banerjee, A.; Gururangan, S.; Kilburn, L.B.; et al. A phase II trial of selumetinib in children with recurrent optic pathway and hypothalamic low-grade glioma without NF1: A Pediatric Brain Tumor Consortium study. Neuro-Oncology 2021, 23, 1777–1788. [Google Scholar] [CrossRef] [PubMed]
- Fangusaro, J.; Onar-Thomas, A.; Poussaint, T.Y.; Wu, S.; Ligon, A.H.; Lindeman, N.; Banerjee, A.; Packer, R.J.; Kilburn, L.B.; Goldman, S.; et al. Selumetinib in paediatric patients with BRAF-aberrant or neurofibromatosis type 1-associated recurrent, refractory, or progressive low-grade glioma: A multicentre, phase 2 trial. Lancet Oncol. 2019, 20, 1011–1022. [Google Scholar] [CrossRef]
- Kondyli, M.; Larouche, V.; Saint-Martin, C.; Ellezam, B.; Pouliot, L.; Sinnett, D.; Legault, G.; Crevier, L.; Weil, A.; Farmer, J.-P.; et al. Trametinib for progressive pediatric low-grade gliomas. J. Neurooncol. 2018, 140, 435–444. [Google Scholar] [CrossRef]
- Miller, C.; Guillaume, D.; Dusenbery, K.; Clark, H.B.; Moertel, C. Report of effective trametinib therapy in 2 children with progressive hypothalamic optic pathway pilocytic astrocytoma: Documentation of volumetric response. J. Neurosurg. Pediatr. 2017, 19, 319–324. [Google Scholar] [CrossRef]
- Mustansir, F.; Mushtaq, N.; Darbar, A. Dabrafenib in BRAFV600E mutant pilocytic astrocytoma in a pediatric patient. Childs Nerv. Syst. 2020, 36, 203–207. [Google Scholar] [CrossRef]
- Capone, S.; Ketonen, L.; Weathers, S.-P.; Subbiah, V. Activity of Pemigatinib in Pilocytic Astrocytoma and FGFR1 N546K Mutation. JCO Precis. Oncol. 2022, 6, e2100371. [Google Scholar] [CrossRef]
- Reinhardt, A.; Stichel, D.; Schrimpf, D.; Sahm, F.; Korshunov, A.; Reuss, D.E.; Capper, D. Anaplastic astrocytoma with piloid features, a novel molecular class of IDH wildtype glioma with recurrent MAPK pathway, CDKN2A/B and ATRX alterations. Acta Neuropathol. 2018, 136, 273–291. [Google Scholar] [CrossRef]
- Bender, K.; Perez, E.; Chirica, M.; Onken, J.; Kahn, J.; Brenner, W.; Ehret, F.; Euskirchen, P.; Koch, A.; Capper, D.; et al. High-grade astrocytoma with piloid features (HGAP): The Charité experience with a new central nervous system tumor entity. J. Neurooncol. 2021, 153, 109–120. [Google Scholar] [CrossRef]
- Kurokawa, R.; Baba, A.; Kurokawa, M.; Ota, Y.; Hassan, O.; Capizzano, A.; Kim, J.; Johnson, T.; Srinivasan, A.; Moritani, T. Neuroimaging of astroblastomas: A case series and systematic review. J. Neuroimaging 2022, 32, 201–212. [Google Scholar] [CrossRef] [PubMed]
- Hirose, T.; Nobusawa, S.; Sugiyama, K.; Amatya, V.J.; Fujimoto, N.; Sasaki, A.; Mikami, Y.; Kakita, A.; Tanaka, S.; Yokoo, H. Astroblastoma: A distinct tumor entity characterized by alterations of the X chromosome and MN1 rearrangement. Brain Pathol. 2018, 28, 684–694. [Google Scholar] [CrossRef]
- Merfeld, E.C.; Dahiya, S.; Perkins, S.M. Patterns of care and treatment outcomes of patients with astroblastoma: A National Cancer Database analysis. CNS Oncol. 2018, 7, CNS13. [Google Scholar] [CrossRef] [PubMed]
- Mhatre, R.; Sugur, H.S.; Nandeesh, B.N.; Chickabasaviah, Y.; Saini, J.; Santosh, V. MN1 rearrangement in astroblastoma: Study of eight cases and review of literature. Brain Tumor Pathol. 2019, 36, 112–120. [Google Scholar] [CrossRef] [PubMed]
- Sanda, N.; Mircea, C.-N.; Bernier, M.; Safran, A.B.; Aldea, S. Chordoid Glioma Infiltrating Optic Structures. J. Neuroophthalmol. 2019, 39, 408–410. [Google Scholar] [CrossRef] [PubMed]
- Calanchini, M.; Cudlip, S.; Hofer, M.; Byrne, J.; Fabbri, A.; Grossman, A. Chordoid glioma of the third ventricle: A patient presenting with SIADH and a review of this rare tumor. Pituitary 2016, 19, 356–361. [Google Scholar] [CrossRef] [PubMed]
- Yang, B.; Yang, C.; Du, J.; Fang, J.; Li, G.; Wang, S.; Xu, Y. Chordoid glioma: An entity occurring not exclusively in the third ventricle. Neurosurg. Rev. 2020, 43, 1315–1322. [Google Scholar] [CrossRef] [PubMed]
- Johannes, W.; Claudia, G.; Kasra, S.; Torben, S.; Volker, H.; Joachim, G.; Paul, K. Chordoid glioma of the third ventricle: A systematic review and single-center experience. Interdiscip. Neurosurg. 2019, 18, 100515. [Google Scholar] [CrossRef]
- Yao, K.; Duan, Z.; Du, Z.; Fan, X.; Qu, Y.; Zhang, M.; Wang, Y.; Liu, H.; Sun, L.; Qi, X. PRKCA D463H Mutation in Chordoid Glioma of the Third Ventricle: A Cohort of 16 Cases, Including Two Cases Harboring BRAFV600E Mutation. J. Neuropathol. Exp. Neurol. 2020, 79, 1183–1192. [Google Scholar] [CrossRef]
- Zhang, G.-B.; Huang, H.-W.; Li, H.-Y.; Zhang, X.-K.; Wang, Y.-G.; Lin, S. Intracranial chordoid glioma: A clinical, radiological and pathological study of 14 cases. J. Clin. Neurosci. 2020, 80, 267–273. [Google Scholar] [CrossRef]
- Yang, D.; Xu, Z.; Qian, Z.; Wang, L.; Nie, Q.; Ge, J.; Qiu, Y.; Wang, G. Chordoid Glioma: A Neoplasm Found in the Anterior Part of the Third Ventricle. J. Craniofac. Surg. 2021, 32, e311–e313. [Google Scholar] [CrossRef] [PubMed]
- Kobayashi, T.; Tsugawa, T.; Hashizume, C.; Arita, N.; Hatano, H.; Iwami, K.; Nakazato, Y.; Mori, Y. Therapeutic Approach to Chordoid Glioma of the Third Ventricle—Three Case Reports and Review of the Literature. Neurol. Med. Chir. 2013, 53, 249–255. [Google Scholar] [CrossRef] [PubMed]
- Chen, X.; Zhang, B.; Pan, S.; Sun, Q.; Bian, L. Chordoid Glioma of the Third Ventricle: A Case Report and a Treatment Strategy to This Rare Tumor. Front. Oncol. 2020, 10, 502. [Google Scholar] [CrossRef] [PubMed]
- Liu, W.-P.; Cheng, J.-X.; Yi, X.-C.; Zhen, H.-N.; Fei, Z.; Li, Q.; Zhang, X. Chordoid Glioma: A Case Report and Literature Review. Neurologist 2011, 17, 52–56. [Google Scholar] [CrossRef]
- Vanhauwaert, D.J.; Clement, F.; Van Dorpe, J.; Deruytter, M.J. Chordoid glioma of the third ventricle. Acta Neurochir. 2008, 150, 1183–1191. [Google Scholar] [CrossRef]
- Navahi, R.A.; Babaheidarian, P.; Sedaghat, A.; Naseripour, M.; Aghai, G.; Mardani, A.; Ahangarani, M. Retinal anaplastic pleomorphic xanthoastrocytoma unassociated with phakomatosis. J. Curr. Ophthalmol. 2019, 31, 234–237. [Google Scholar] [CrossRef]
- Shaikh, N.; Brahmbhatt, N.; Kruser, T.J.; Kam, K.L.; Appin, C.L.; Wadhwani, N.; Chandler, J.; Kumthekar, P.; Lukas, R.V. Pleomorphic xanthoastrocytoma: A brief review. CNS Oncol. 2019, 8, CNS39. [Google Scholar] [CrossRef]
- Dhawan, S.; Patil, C.G.; Chen, C.; Venteicher, A.S. Early versus delayed postoperative radiotherapy for treatment of low-grade gliomas. Cochrane Database Syst. Rev. 2020, 1, CD009229. [Google Scholar] [CrossRef] [PubMed]
- Koga, T.; Morita, A.; Maruyama, K.; Tanaka, M.; Ino, Y.; Shibahara, J.; Louis, D.N.; Reifenberger, G.; Itami, J.; Hara, R.; et al. Long-term control of disseminated pleomorphic xanthoastrocytoma with anaplastic features by means of stereotactic irradiation. Neuro-Oncology 2009, 11, 446–451. [Google Scholar] [CrossRef] [PubMed]
- Dono, A.; Lopez-Rivera, V.; Chandra, A.; Lewis, C.T.; Abdelkhaleq, R.; Sheth, S.A.; Ballester, L.Y.; Esquenazi, Y. Predictors of outcome in pleomorphic xanthoastrocytoma. Neuro-Oncol. Pract. 2021, 8, 222–229. [Google Scholar] [CrossRef]
- Detti, B.; Scoccianti, S.; Maragna, V.; Lucidi, S.; Ganovelli, M.; Teriaca, M.A.; Caini, S.; Desideri, I.; Agresti, B.; Greto, D.; et al. Pleomorphic Xanthoastrocytoma: A single institution retrospective analysis and a review of the literature. Radiol. Med. 2022, 127, 1134–1141. [Google Scholar] [CrossRef] [PubMed]
- Thomas, A.A.; Tucker, S.M.; Nelson, C.J.; Nickerson, J.P.; Durham, S.R.; Homans, A.C. Anaplastic pleomorphic xanthoastrocytoma with leptomeningeal dissemination responsive to BRAF inhibition and bevacizumab. Pediatr. Blood Cancer 2019, 66, e27465. [Google Scholar] [CrossRef]
- Pratt, D.; Sahm, F.; Aldape, K. DNA methylation profiling as a model for discovery and precision diagnostics in neuro-oncology. Neuro-Oncology 2021, 23 (Suppl. 5), S16–S29. [Google Scholar] [CrossRef] [PubMed]
- Rydenhag, B.; Flink, R.; Malmgren, K. Surgical outcomes in patients with epileptogenic tumours and cavernomas in Sweden: Good seizure control but late referrals. J. Neurol. Neurosurg. Psychiatry 2013, 84, 49–53. [Google Scholar] [CrossRef] [PubMed]
- Bale, T.A. FGFR- gene family alterations in low-grade neuroepithelial tumors. Acta Neuropathol. Commun. 2020, 8, 21. [Google Scholar] [CrossRef]







Disclaimer/Publisher’s Note: The statements, opinions and data contained in all publications are solely those of the individual author(s) and contributor(s) and not of MDPI and/or the editor(s). MDPI and/or the editor(s) disclaim responsibility for any injury to people or property resulting from any ideas, methods, instructions or products referred to in the content. |
© 2023 by the authors. Licensee MDPI, Basel, Switzerland. This article is an open access article distributed under the terms and conditions of the Creative Commons Attribution (CC BY) license (https://creativecommons.org/licenses/by/4.0/).
Share and Cite
Crainic, N.; Furtner, J.; Pallud, J.; Bielle, F.; Lombardi, G.; Rudà, R.; Idbaih, A. Rare Neuronal, Glial and Glioneuronal Tumours in Adults. Cancers 2023, 15, 1120. https://doi.org/10.3390/cancers15041120
Crainic N, Furtner J, Pallud J, Bielle F, Lombardi G, Rudà R, Idbaih A. Rare Neuronal, Glial and Glioneuronal Tumours in Adults. Cancers. 2023; 15(4):1120. https://doi.org/10.3390/cancers15041120
Chicago/Turabian StyleCrainic, Nicolas, Julia Furtner, Johan Pallud, Franck Bielle, Giuseppe Lombardi, Roberta Rudà, and Ahmed Idbaih. 2023. "Rare Neuronal, Glial and Glioneuronal Tumours in Adults" Cancers 15, no. 4: 1120. https://doi.org/10.3390/cancers15041120
APA StyleCrainic, N., Furtner, J., Pallud, J., Bielle, F., Lombardi, G., Rudà, R., & Idbaih, A. (2023). Rare Neuronal, Glial and Glioneuronal Tumours in Adults. Cancers, 15(4), 1120. https://doi.org/10.3390/cancers15041120

