Nodal Elective Volume Selection and Definition during Radiation Therapy for Early Stage (T1–T2 N0 M0) Perianal Squamous Cell Carcinoma: A Narrative Clinical Review and Critical Appraisal
Abstract
:Simple Summary
Abstract
1. Introduction
2. Materials and Methods
3. Results
3.1. Treatment
3.2. Radiotherapy Volumes
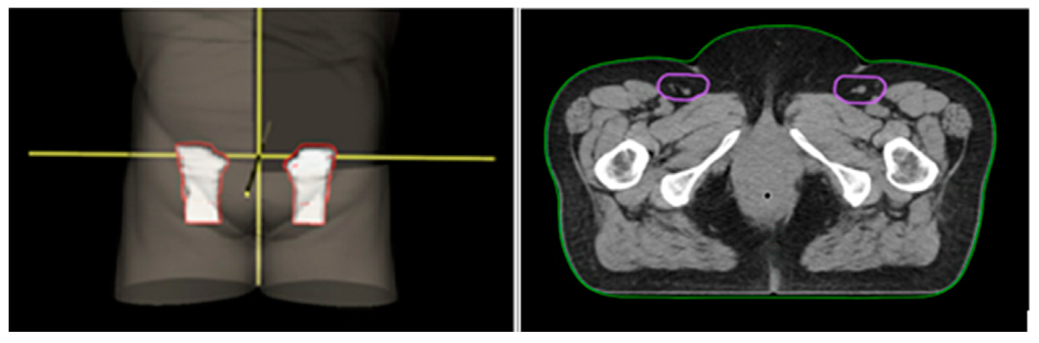
3.2.1. Inguinal Nodes
3.2.2. Ano-Inguinal Lymphatic Vessels
3.2.3. Superior Pelvic Border
3.2.4. External Iliac Level
3.2.5. Pararectal, Presacral, and Internal Iliac Nodes
4. Suggested Radiotherapy Elective Volumes in Perianal Squamous Cell Carcinomas
- The perineal skin and the superficial perineal accessory pelvic pathway (all the soft tissues of the perineum comprising those below the outer fascial sheath of the urogenital diaphragm, the inferior part of canal anal below the ano-cutaneous line, and the caudal part of the vagina below the hymen) should be included.
- The ano-inguinal lymphatic drainage (AILD) that is located in the subcutaneous adipose tissue of the proximal medial thigh can be considered as a risk volume. We do not recommend the routine inclusion of the ‘true’ AILD in the contouring volume for pSCCs, but we highlight the fact that the management of this anatomical region remains an issue to be investigated and considered on a case-by-case basis.
- We suggest including the inguinal nodes within the elective volumes. Nevertheless, the omission of inguinal irradiation for SCCs of anal canal cancers < 1 cm could be an option.
- The external iliac node station should remain as a part of the adjuvant treatment, at least for patients with larger tumors (T2 or bigger).
5. Conclusions
Author Contributions
Funding
Data Availability Statement
Conflicts of Interest
Appendix A. Search Strategy
Appendix B. Prisma Flowchart

References
- Sahai, A.; Kodner, I.J. Premalignant Neoplasms and Squamous Cell Carcinoma of the Anal Margin. Clin. Colon. Rectal. Surg. 2006, 19, 88–93. [Google Scholar] [CrossRef] [PubMed]
- Newlin, H.E.; Zlotecki, R.A.; Morris, C.G.; Hochwald, S.N.; Riggs, C.E.; Mendenhall, W.M. Squamous cell carcinoma of the anal margin. J. Surg. Oncol. 2004, 86, 55–62. [Google Scholar] [CrossRef]
- Bjørge, T.; Engeland, A.; Luostarinen, T.; Mork, J.; Gislefoss, R.E.; Jellum, E.; Koskela, P.; Lehtinen, M.; Pukkala, E.; Thoresen, S.; et al. Human papillomavirus infection as a risk factor for anal and perianal skin cancer in a prospective study. Br. J. Cancer 2002, 87, 61–64. [Google Scholar] [CrossRef]
- Gervasoni, J.E.; Wanebo, H.J. Cancers of the Anal Canal and Anal Margin. Cancer Investig. 2003, 21, 452–464. [Google Scholar] [CrossRef]
- Wietfeldt, E.; Thiele, J. Malignancies of the Anal Margin and Perianal Skin. Clinic. Colon Rectal Surg. 2009, 22, 127–135. [Google Scholar] [CrossRef]
- Edge, S.B.; Byrd, D.R. AJCC Cancer Staging Manual, 7th ed; Springer: Chicago, IL, USA, 2010; pp. 165–174. [Google Scholar]
- Shida, D.; Kanemitsu, Y.; Hamaguchi, T.; Shimada, Y. Introducing the eighth edition of the tumor-node-metastasis classification as relevant to colorectal cancer, anal cancer and appendiceal cancer: A comparison study with the seventh edition of the tumor-node-metastasis and the Japanese Classification of Colorectal, Appendiceal, and Anal Carcinoma. Jpn. J. Clin. Oncol. 2019, 49, 321–328. [Google Scholar] [PubMed]
- Rouviere, M.; Tobias, M.J. Anatomy of the Human Lymphatic System, 1st ed.; Edwards Brothers Inc.: Ann Arbor, MI, USA, 1938; pp. 209–210. [Google Scholar]
- Khanfir, K.; Özsahin, M.; Bieri, S.; Cavuto, C.; Mirimanoff, R.O.; Zouhair, A. Patterns of Failure and Outcome in Patients with Carcinoma of the Anal Margin. Ann. Surg. Oncol. 2008, 15, 1092–1098. [Google Scholar] [CrossRef]
- Chapet, O.; Gérard, J.-P.; Mornex, F.; Goncalves-Tavan, S.; Ardiet, J.-M.; D’Hombres, A.; Favrel, V.; Romestaing, P. Prognostic factors of squamous cell carcinoma of the anal margin treated by radiotherapy: The Lyon experience. Int. J. Colorectal Dis. 2006, 22, 191–199. [Google Scholar] [CrossRef]
- Balamucki, C.J.; Zlotecki, R.A.; Rout, W.R.; Newlin, H.E.; Morris, C.G.; Kirwan, J.; George, T.J.; Mendenhall, W.M. Squamous Cell Carcinoma of the Anal Margin: The University of Florida Experience. Am. J. Clin. Oncol. 2011, 34, 406–410. [Google Scholar] [CrossRef]
- Papillon, J.; Chassard, J.L. Respective roles of radiotherapy and surgery in the management of epidermoid carcinoma of the anal margin: Series of 57 patients. Dis. Colon Rectum 1992, 35, 422–429. [Google Scholar] [CrossRef]
- Liberati, A.; Altman, D.G.; Tetzlaff, J.; Mulrow, C.D.; Gøtzsche, P.C.; Ioannidis, J.P.A.; Clarke, M.; Devereaux, P.J.; Kleijnen, J.; Moher, D. The PRISMA statement for reporting systematic reviews and meta-analyses of studies that evaluate healt care interventetions: Explanationand elaboration. J. Clin. Epidemiol. 2009, 62, e1-34. [Google Scholar] [CrossRef]
- Rao, S.; Guren, M.G.; Khan, K.; Brown, G.; Renehan, A.G.; Steigen, S.E.; Deutsch, E.; Martinelli, E.; Arnold, D. Anal cancer: ESMO Clinical Practice Guidelines for diagnosis, treatment and follow-up. Ann. Oncol. 2021, 32, 1087–1100. [Google Scholar] [CrossRef]
- Greenall, M.J.; Quan, S.H.Q.; Stearns, M.W.; Urmacher, C.; DeCosse, J.J. Epidermoid cancer of the anal margin. Am. J. Surg. 1985, 149, 95–101. [Google Scholar] [CrossRef]
- Leon, O.; Hagberg, O.; Johnsson, A. Primary surgery with or without postoperative radiotherapy in early stage squamous cell carcinoma in the anal canal and anal margin. Acta Oncol. 2018, 57, 1209–1215. [Google Scholar] [CrossRef] [PubMed]
- Renehan, A.G.; Muirhead, R.; Berkman, L.; McParland, L.; Sebag-Montefiore, D. The PLATO trial management group. Early stage anal margin cancer: Towards evidence-based management. Colorectal Dis. 2019, 21, 387–391. [Google Scholar] [CrossRef] [PubMed]
- Glynne-Jones, R.; Nilsson, P.J.; Aschele, C.; Goh, V.; Peiffert, D.; Cervantes, A.; Arnold, D. Anal cancer: ESMO–ESSO–ESTRO clinical practice guidelines for diagnosis, treatment and follow-up. Radiother. Oncol. 2014, 111, 330–339. [Google Scholar] [CrossRef] [PubMed]
- NCCN. NCCN Clinical Practice Guidelines in Oncology, Anal Carcinoma; Version 3; NCCN: Plymouth Meeting, PA, USA, 2023. [Google Scholar]
- Chai, C.; Cao, H.S.T.; Awad, S.S.; Massarweh, N.N. Management of Stage I Squamous Cell Carcinoma of the Anal Canal. JAMA Surg. 2018, 53, 209. [Google Scholar] [CrossRef] [PubMed]
- Muirhead, R.; Partridge, M.; Hawkins, M.A. A tumor control probability model for anal squamous cell carcinoma. Radiother. Oncol. 2015, 116, 192–196. [Google Scholar] [CrossRef]
- PLATO, Persona Lising Anal Cancer Radio Therapy dOseS. PLATO. Available online: https://www.isrctn.com/ISRCTN88455282 (accessed on 22 November 2023).
- Hardy, K.J. The Lymphatic Drainage of the Anal Margin. ANZ J. Surg. 1971, 40, 367–369. [Google Scholar] [CrossRef]
- Lengelé, B.; Scalliet, P. Anatomical bases for the radiological delineation of lymph node areas. Part III: Pelvis and lower limbs. Radiother. Oncol. 2009, 92, 22–33. [Google Scholar] [CrossRef]
- Damico, N.; Meyer, J.E.; Das, P.; Murphy, J.D.; Miller, E.D.; Koontz, B.F.; Hall, W.A.; McBride, M.L.; Pereira, G.; Catalano, P.; et al. ECOG-ACRIN Guideline for Contouring and Treatment of Early Stage Anal Cancer Using IMRT/IGRT. Pract. Radiat. Oncol. 2022, 12, 335–347. [Google Scholar] [CrossRef]
- Sekhar, H.; Zwahlen, M.; Trelle, S.; Malcomson, L.; Kochhar, R.; Saunders, M.; Sperrin, M.; Van Herk, M.; Sebag-Montefiore, D.; Egger, M.; et al. Nodal stage migration and prognosis in anal cancer: A systematic review, meta-regression, and simulation study. Lancet Oncol. 2017, 18, 1348–1359. [Google Scholar] [CrossRef] [PubMed]
- Nilsson, M.; Undseth, C.; Albertsson, P.; Eidem, M.; Havelund, B.M.; Jóhannsson, J.; Johnsson, A.; Radu, C.; Serup-Hansen, E.; Spindler, K.G.; et al. Nordic anal cancer (NOAC) group consensus guidelines for risk-adapted delineation of the elective clinical target volume in anal cancer. Acta Oncol. 2023, 62, 897–906. [Google Scholar] [CrossRef] [PubMed]
- Peiffert, D.; Bey, P.; Pernot, M.; Hoffstetter, S.; Marchal, C.; Beckendorf, V.; Guillemin, F. Conservative treatment by irradiation of epidermoid carcinomas of the anal margin. Int. J. Radiat. Oncol. Biol. Phys. 1997, 39, 57–66. [Google Scholar] [CrossRef] [PubMed]
- Cutuli, B.; Fenton, J.; Labib, A.; Bataini, J.P.; Mathieu, G. Anal margin carcinoma: 21 cases treated at the Institut Curie by exclusive conservative radiotherapy. Radioth. Oncol. 1988, 11, 1–6. [Google Scholar] [CrossRef] [PubMed]
- Touboul, E.; Schlienger, M.; Buffat, L.; Lefkopoulos, D.; Yao, X.; Parc, R.; Tiret, E.; Gallot, D.; Malafosse, M.; Laugier, A. Epidermoid carcinoma of the anal margin: 17 cases treated with curative-intent radiation therapy. Radioth. Oncol. 1995, 34, 195–202. [Google Scholar] [CrossRef]
- Bieri, S.; Allal, A.S.; Kurtz, J.M. Sphincter-conserving treatment of carcinomas of the anal margin. Acta Oncol. 2001, 40, 29–33. [Google Scholar] [PubMed]
- Ortholan, C.; Resbeut, M.; Hannoun-Lévi, J.; Teissier, É.; Gérard, J.-P.; Ronchin, P.; Zaccariotto, A.; Minsat, M.; Bénézery, K.; François, Ε.; et al. Anal canal cancer: Management of inguinal nodes and benefit of prophylactic inguinal irradiation (CORS-03 Study). Int. J. Radiat. Oncol. Biol. Phys. 2012, 82, 1988–1995. [Google Scholar] [CrossRef]
- Matthews, J.; Burmeister, B.; Borg, M.; Anne, L.; Joseph, D.; Thompson, K.M.; Thompson, P.; Harvey, J.A.; Spry, N. T1-2 anal carcinoma requires elective inguinal radiation treatment—The results of Trans Tasman Radiation Oncology Group study TROG 99.02. Radioth. Oncol. 2011, 98, 93–98. [Google Scholar] [CrossRef]
- Tomaszewski, J.M.; Link, E.; Leong, T.; Heriot, A.G.; Vazquez, M.D.; Chander, S.; Chu, J.; Foo, M.; Lee, M.T.; Lynch, C.; et al. Twenty-Five-Year Experience with Radical Chemoradiation for Anal Cancer. Int. J. Radiat. Oncol. Biol. Phys. 2012, 83, 552–558. [Google Scholar] [CrossRef] [PubMed]
- Zilli, T.; Betz, M.; Bieri, S.; Ris, F.; Roche, B.; Roth, A.; Allal, A.S. Elective Inguinal Node Irradiation in Early-Stage T2N0 Anal Cancer: Prognostic Impact on Locoregional Control. Int. J. Radiat. Oncol. Biol. Phys. 2013, 87, 60–66. [Google Scholar] [CrossRef]
- Ortholan, C.; Ramaioli, A.; Peiffert, D.; Lusinchi, A.; Romestaing, P.; Chauveinc, L.; Touboul, E.; Peignaux, K.; Bruna, A.; Lagrange, J.; et al. Anal canal carcinoma: Early-stage tumors ≤ 10 mm (T1 or Tis): Therapeutic options and original pattern of local failure after radiotherapy. Int. J. Radiat. Oncol. Biol. Phys. 2005, 62, 479–485. [Google Scholar] [CrossRef] [PubMed]
- Frennered, A.; Scherman, J.; Buchwald, P.; Johnsson, A.; Sartor, H.; Zackrisson, S.; Trägårdh, E.; Nilsson, M. Patterns of Pathologic Lymph Nodes in Anal Cancer: A PET-CT-Based Analysis with Implications for Radiotherapy Treatment Volumes. BMC Cancer 2021, 21, 447. [Google Scholar] [CrossRef] [PubMed]
- Dapper, H.; Schiller, K.; Münch, S.; Peeken, J.C.; Borm, K.J.; Weber, W.; Combs, S.E. Have We Achieved Adequate Recommendations for Target Volume Definitions in Anal Cancer? A PET Imaging Based Patterns of Failure Analysis in the Context of Established Contouring Guidelines. BMC Cancer 2019, 19, 742. [Google Scholar] [CrossRef] [PubMed]
- Garda, A.E.; Navin, P.J.; Merrell, K.W.; Martenson, J.A.; Wittich, M.A.N.; Haddock, M.G.; Sio, T.T.; Rule, W.G.; Ashman, J.B.; Sheedy, S.P.; et al. Patterns of Inguinal Lymph Node Metastases in Anal Canal Cancer and Recommendations for Elective Clinical Target Volume (CTV) Delineation. Radiother. Oncol. 2020, 149, 128–133. [Google Scholar] [CrossRef] [PubMed]
- Dapper, H.; Habl, G.; Hirche, C.; Münch, S.; Oechsner, M.; Mayinger, M.; Sauter, C.; Combs, S.E.; Habermehl, D. Dosimetric quantification of the incidental irradiation of the ‘true’ (deep) ano-inguinal lymphatic drainage of anal cancer patients not described in conventional contouring guidelines. Acta Oncol. 2018, 57, 825–830. [Google Scholar] [CrossRef] [PubMed]
- Nilsson, M.; Nilsson, E.; Johnsson, A.; Leon, O.; Gunnlaugsson, A.; Scherman, J. Patterns of recurrence in anal cancer: A detailed analysis. Radiat. Oncol. 2020, 15, 125. [Google Scholar] [CrossRef] [PubMed]
- Slørdahl, K.S.; Klotz, D.; Olsen, J.; Skovlund, E.; Undseth, C.; Abildgaard, H.L.; Brændengen, M.; Nesbakken, A.; Larsen, S.G.; Hanekamp, B.; et al. Treatment outcomes and prognostic factors after chemoradiotherapy for anal cancer. Acta Oncol. 2021, 3, 921–930. [Google Scholar] [CrossRef]
- Tallberg, L. Anatomical Location of Metastatic Lymph Nodes in Anal Carcinoma. Master’s Thesis, University of Gothenburg, Gothenburg, Sweden, 2018. [Google Scholar]
- Franco, P.; Arcadipane, F.; Ragona, R.; Mistrangelo, M.; Cassoni, P.; Racca, P.; Morino, M.; Numico, G.; Ricardi, U. Hematologic toxicity in anal cancer patients during combined chemo-radiation: A radiation oncologist perspective. Expert Rev. Anticancer Ther. 2017, 17, 335–345. [Google Scholar] [CrossRef]




| Primary Tumor (T) | |
| Tx | Primary tumor cannot be assessed |
| T0 | No evidence of primary tumor |
| Tis | High-grade squamous intraepithelial lesion (previously termed carcinoma in situ, Bowen disease, anal intraepithelial neoplasia II–III, or high-grade anal intraepithelial neoplasia) |
| T1 | Tumor ≤ 2 cm in greatest dimension |
| T2 | Tumor > 2 cm but ≤5 cm in greatest dimension |
| T3 | Tumor > 5 cm in greatest dimension |
| T4 | Tumor of any size invades adjacent organ(s) (e.g., vagina, urethra, bladder) |
| Regional lymph nodes (N) | |
| Nx | Regional lymph nodes cannot be assessed |
| N0 | No regional lymph node metastasis |
| N1 | Metastasis in inguinal, mesorectal, internal iliac, or external iliac nodes |
| N1a—Metastasis in inguinal, mesorectal, or internal iliac lymph nodes | |
| N1b—Metastasis in external iliac lymph nodes | |
| N1c—Metastasis in external iliac with any N1a nodes | |
| Distant Metastasis (M) | |
| M0 | No distant metastasis |
| M1 | Distant metastasis |
| Study | N° of Patients | Stage | Elective Volume | Total Dose Gy | Concomitant CHT | Inguinal Relapse | Pelvic Nodal Recurrence | LF | DSS | OS | Fecal Inconti- nence | Anal Sphincter Preservation Rate |
|---|---|---|---|---|---|---|---|---|---|---|---|---|
| Balamucki, 2011 [11] | 26 | Mostly T2 N0 | External iliac and inguinal LNs, except for T > 2 where the pelvis is included | 59 | 19% T2, 100% T3 | 9% (pts not irradiated on inguinal LN) | 3.8% (only one pt, with AIDS) | 9% | 92% 10 y | 56% 10 y | 12% | 88% |
| Newlin, 2004 [2] | 19 | Mostly T2 N0 | The external iliac LNs and inguinal LNs, except for T > 3 where the pelvis is included | 50–65 | 5% T2, 100% T3 | 5% (1 pt not irradiated in inguinal LN) | 0% | 0% | 95% 10 y | 74% 10 y | 21% | N/A |
| Papillon, 1992 [12] | 57 | Mostly T2 N0 | No prophylactic nodal RT | 60 | only T3 | 16% | N/A | 12.5% | 81.5% 5 y | 59.2% 5 y | N/A | N/A |
| Peiffert, 1997 [28] | 32 | Mostly T2 N0 | No prophylactic nodal RT | 60.5 | No | 8% | N/A | 23% 5 y | 89% 5 y | 65% 5 y | N/A | 84% |
| Cutuli, 1988 [29] | 21 | 50% T1–T2 N0 | Inguinal nodes 50% | 65 | No | 15% (none received inguinal prophylactic irradiation) | N/A | N/A | 62% 5 y | 52% 5 y | N/A | 90% |
| Toubul, 1995 [30] | 17 | Mostly T2 N0 | Pelvic + inguinal nodes 41% | 65 | No | 8% | N/A | 13.5% 5 y | 72% 5 y | 48% 5 y | N/A | 82% 5y |
| Bieri, 2001 [31] | 24 | Mostly T2 N0 | 58% pelvic + inguinal, 70% inguinal | 57.8 | 58% | 0% | 0% | 29% 5 y | 69.5% 5 y | 56% 5 y | 4% | N/A |
| Perineal Skin and Superficial Perineal Accessory Pelvic Pathway | Ano-Inguinal Lymphatic Vessels (AILD) | Inguinal Nodes | External Iliac Level | Pararectal and Presacral and Internal Iliac Nodes | |
|---|---|---|---|---|---|
| T1 N0 | Yes | No | Yes, may be omitted in pSCCs <1 cm | May be omitted | May be omitted * ++ |
| T2 N0 ‘small’ (<4 cm) | Yes | To be considered (<5% risk of recurrence in anal canal series) | Yes | Yes | May be omitted * ++ |
| T2 N0 ‘large’ | Yes | To be considered (<5% risk of recurrence in anal canal series) | Yes | Yes | Yes, maintaining the cranial limit at the inferior face of SiIJ could be considered |
Disclaimer/Publisher’s Note: The statements, opinions and data contained in all publications are solely those of the individual author(s) and contributor(s) and not of MDPI and/or the editor(s). MDPI and/or the editor(s) disclaim responsibility for any injury to people or property resulting from any ideas, methods, instructions or products referred to in the content. |
© 2023 by the authors. Licensee MDPI, Basel, Switzerland. This article is an open access article distributed under the terms and conditions of the Creative Commons Attribution (CC BY) license (https://creativecommons.org/licenses/by/4.0/).
Share and Cite
Spinelli, L.; Martini, S.; Solla, S.D.; Vigna Taglianti, R.; Olivero, F.; Gianello, L.; Reali, A.; Merlotti, A.M.; Franco, P. Nodal Elective Volume Selection and Definition during Radiation Therapy for Early Stage (T1–T2 N0 M0) Perianal Squamous Cell Carcinoma: A Narrative Clinical Review and Critical Appraisal. Cancers 2023, 15, 5833. https://doi.org/10.3390/cancers15245833
Spinelli L, Martini S, Solla SD, Vigna Taglianti R, Olivero F, Gianello L, Reali A, Merlotti AM, Franco P. Nodal Elective Volume Selection and Definition during Radiation Therapy for Early Stage (T1–T2 N0 M0) Perianal Squamous Cell Carcinoma: A Narrative Clinical Review and Critical Appraisal. Cancers. 2023; 15(24):5833. https://doi.org/10.3390/cancers15245833
Chicago/Turabian StyleSpinelli, Lavinia, Stefania Martini, Salvatore Dario Solla, Riccardo Vigna Taglianti, Francesco Olivero, Luca Gianello, Alessia Reali, Anna Maria Merlotti, and Pierfrancesco Franco. 2023. "Nodal Elective Volume Selection and Definition during Radiation Therapy for Early Stage (T1–T2 N0 M0) Perianal Squamous Cell Carcinoma: A Narrative Clinical Review and Critical Appraisal" Cancers 15, no. 24: 5833. https://doi.org/10.3390/cancers15245833
APA StyleSpinelli, L., Martini, S., Solla, S. D., Vigna Taglianti, R., Olivero, F., Gianello, L., Reali, A., Merlotti, A. M., & Franco, P. (2023). Nodal Elective Volume Selection and Definition during Radiation Therapy for Early Stage (T1–T2 N0 M0) Perianal Squamous Cell Carcinoma: A Narrative Clinical Review and Critical Appraisal. Cancers, 15(24), 5833. https://doi.org/10.3390/cancers15245833

