Spitz Tumors and Melanoma in the Genomic Age: A Retrospective Look at Ackerman’s Conundrum
Abstract
:Simple Summary
Abstract
1. Introduction
2. Genetic Drivers in Spitz Tumors
3. Other Genomic Aberrations in Spitz Tumors
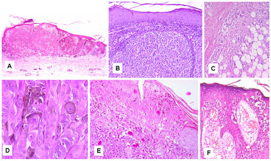
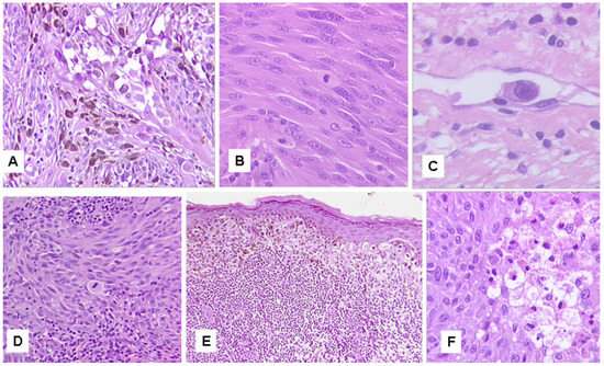
4. Morphologic Aspects of Spitz Tumors
5. A Retrospective Look at Ackerman’s Conundrum
6. Risk-Associated Parameters in Spitz Tumors
7. Conclusions and Future Directions
Funding
Conflicts of Interest
References
- Ackerman, A.B.; Miyauchi, Y.; Takeuchi, A.; Ohata, C. Melanomas that simulate Spitz’s nevi histopathologically (and viceversa): An exercise in differentiation based on dependable criteria. Dermatopathol. Pract. Concept. 1999, 5, 9–13. [Google Scholar]
- Mones, J.M.; Ackerman, A.B. “Atypical” Spitz’s nevus, “Malignant” Spitz’s nevus, and “Metastasizing” Spitz’s nevus: A critique in historical perspective of three concepts flawed fatally. Am. J. Dermatopathol. 2004, 26, 310–333. [Google Scholar] [CrossRef]
- Urso, C.; De Giorgi, V.; Massi, D. Conceptual evolution and current approach to Spitz tumors. Dermatopathology 2022, 9, 136–142. [Google Scholar] [CrossRef]
- Spitz, S. Melanoma of childhood. Am. J. Pathol. 1948, 24, 591–609. [Google Scholar]
- Allen, A.C. A reorientation of the histogenesis and clinical significance of cutaneous nevi and melanomas. Cancer 1949, 2, 28–56. [Google Scholar] [CrossRef]
- Kernen, J.A.; Ackerman, L.V. Spindle cell nevi and epithelioid cell nevi (so-called juvenile melanomas) in children and adults: A clinicopathologic study of 27 cases. Cancer 1960, 13, 612–625. [Google Scholar] [CrossRef]
- Echevarria, R.; Ackerman, L.V. Spindle and epithelioid cell nevi in the adult. Clinicopathologic report of 26 cases. Cancer 1967, 20, 175–189. [Google Scholar] [CrossRef]
- Mc Govern, V.L. Report of Australian committee of pathologists. Mole and malignant melanoma—Terminology and classification. Med. J. Aust. 1967, 1, 123–124. [Google Scholar]
- Okun, M.R. Melanoma resembling spindle and epithelioid cell nevus. Arch. Dermatol. 1979, 115, 1416–1420. [Google Scholar] [CrossRef]
- Smith, K.J.; Barrett, T.L.; Skelton, H.G.; Lupton, G.P.; Graham, J.H. Spindle cell and epithelioid cell nevi with atypia and metastasis (malignant Spitz nevus). Am. J. Surg. Pathol. 1989, 13, 931–939. [Google Scholar] [CrossRef]
- Barnhill, R.L.; Flotte, T.J.; Fleischli, M.; Perez-Atayde, A. Cutaneous melanoma and atypical Spitz tumors in children. Cancer 1995, 76, 1833–1845. [Google Scholar] [CrossRef]
- Barnhill, R.L.; Argenyi, Z.B.; From, L.; Glass, L.S.; Maize, J.C.; Mihm, M.C.; Rabkin, M.S.; Ronan, S.G.; White, W.L.; Piepkorn, M. Atypical Spitz nevi/tumors: Lack of consensus for diagnosis, discrimination from melanoma, and prediction of outcome. Hum. Pathol. 1999, 30, 513–520. [Google Scholar] [CrossRef]
- Shain, A.H.; Yeh, I.; Kovalyshyn, I.; Srharan, A.; Talevich, E.; Gagnon, A.; Dummer, R.; North, J.; Pincus, L.; Ruben, B.; et al. The genetic evolution of melanoma from precursor lesions. N. Engl. J. Med. 2015, 373, 1926–1936. [Google Scholar] [CrossRef]
- Wiesner, T.; Kutzner, H.; Cerroni, L.; Mihm, M.C.; Busam, K.J.; Murali, R. Genomic aberrations in spitzoid melanocytic tumours and their implications for diagnosis, prognosis and therapy. Pathology 2016, 48, 113–131. [Google Scholar] [CrossRef]
- Wiesner, T.; He, J.; Yelensky, R.; Esteve-Puig, R.; Botton, T.; Yeh, I.; Lipson, D.; Otto, G.; Brennan, K.; Murali, R.; et al. Kinase fusions are frequent in Spitz tumours and spitzoid melanomas. Nat. Commun. 2014, 5, 3116. [Google Scholar] [CrossRef]
- Yeh, I.; Botton, T.; Talevich, E.; Shain, A.H.; Sparatta A de la Fouchardiere, A.; Mully, T.W.; North, J.P.; Garrido, M.C.; Gagnon, A.; Vemula, S.S.; et al. Activating MET kinase rearrangements in melanoma and Spitz tumours. Nat. Commun. 2015, 6, 7174. [Google Scholar] [CrossRef]
- Yeh, I.; Tee, M.G.; Botton, T.; Shain, A.H.; Sparatta, A.; Gagnon, A.; Vemula, S.S.; Garrido, M.C.; Nakamaru, K.; Isoyama, T.; et al. NTRK3 kinase fusions in Spitz tumours. J. Pathol. 2016, 240, 282–290. [Google Scholar] [CrossRef]
- Atlas of Genetics and Cytogenetics in Oncology and Haematology. Available online: http://AtlasGeneticsOncology.org (accessed on 23 October 2023).
- de la Fouchardière, A.; Tee, M.K.; Peternel, S.; Valdebran, M.; Pissaloux, D.; Tirode, F.; Busam, K.J.; LeBoit, P.E.; McCalmont, T.H.; Bastian, B.C.; et al. Fusion partners of NTRK3 affect subcellular localization of the fusion kinase and cytomorphology of melanocytes. Mod Pathol 2021, 34, 735–747. [Google Scholar] [CrossRef] [PubMed]
- Cappellesso, R.; Nozzoli, F.; Zito Marino, F.; Simi, S.; Castiglione, F.; De Giorgi, V.; Cota, C.; Senetta, R.; Scognamiglio, G.; Anniciello, A.M.; et al. NTRK gene fusion detection in atypical Spitz tumors. Int. J. Mol. Sci. 2021, 22, 12332. [Google Scholar] [CrossRef] [PubMed]
- Hutchinson, K.E.; Lipson, D.; Stephens, P.J.; Otto, G.; Lehmann, B.D.; Lyle, P.L.; Vnencak-Jones, C.L.; Ross, J.S.; Pietenpol, J.A.; Sosman, J.A.; et al. BRAF fusions define a distinct molecular subset of melanomas with potential sensitivity to MEK inhibition. Clin. Cancer Res. 2013, 19, 6696–6702. [Google Scholar] [CrossRef] [PubMed]
- Newman, S.; Fan, L.; Pribnow, A.; Silkov, A.; Rice, S.V.; Lee, S.; Shao, Y.; Shaner, B.; Mulder, H.; Nakitandwe, J.; et al. Clinical genome sequencing uncovers potentially targetable truncations and fusions of MAP3K8 in spitzoid and other melanomas. Nat. Med. 2019, 25, 597–602. [Google Scholar] [CrossRef]
- Pappo, A.S.; McPherson, V.; Pan, H.; Wang, F.; Wang, L.; Wright, T.; Hussong, M.; Hawkins, D.; Kaste, S.C.; Davidoff, A.M.; et al. A prospective, comprehensive registry that integrates the molecular analysis of pediatric and adolescent melanocytic lesions. Cancer 2021, 127, 3825–3831. [Google Scholar] [CrossRef]
- Quan, V.L.; Zhang, B.; Zhang, Y.; Mohan, L.S.; Shi, K.; Wagner, A.; Kruse, L.; Taxter, T.; Beaubier, N.; White, K.; et al. Integrating Next-Generation Sequencing with morphology improves prognostic and biologic classification of Spitz neoplasms. J. Investig. Dermatol. 2020, 140, 1599–1608. [Google Scholar] [CrossRef]
- Goto, K.; Pissaloux, D.; Freitag, S.; Armini, M.; Vaucher, R.; Tirode, F.; de la Fouchardiere, A. RASGFR1-rearranged cutaneous melanocytic neoplasms with Spitzoid cytomorphology: A clinicopathologic and genetic study of 3 cases. Am. J. Surg. Pathol. 2022, 46, 655–663. [Google Scholar] [CrossRef]
- VandenBoom, T.; Quan, V.L.; Zhang, B.; Garfield, E.M.; Kong, B.Y.; Isales, M.C.; Panah, E.; Igartua, C.; Taxter, T.; Beaubier, N.; et al. Genomic fusions in pigmented spindle cell nevus of Reed. Am. J. Surg. Pathol. 2018, 42, 1042–1051. [Google Scholar] [CrossRef]
- van Dijk, M.C.; Bernsen, M.R.; Ruiter, D.J. Analysis of mutation in B-RAF, N-RAS, and H-RAS genes in the differential diagnosis of Spitz nevus and spitzoid melanoma. Am. J. Surg. Pathol. 2005, 29, 1145–1151. [Google Scholar] [CrossRef]
- Lezcano, C.; Yeh, I.; Eslamdoost, N.; Fang, Y.; LeBoit, P.E.; McCalmont, T.H.; Moy, A.P.; Zhang, Y.; Busam, K.J. Expanding the spectrum of microscopic and cytogenetic findings associated with Spitz tumors with 11p gains. Am. J. Surg. Pathol. 2021, 45, 277–285. [Google Scholar] [CrossRef]
- Kerckhoffs, K.G.P.; Aallali, T.; Ambarus, C.A.; Sigurdsson, V.; Jansen, A.M.L.; Blokx, W.A.M. Expanding spectrum of "spitzoid" lesions: A small series of 4 cases with MAP2K1 mutations. Virchows Arch. 2021, 479, 195–202. [Google Scholar] [CrossRef]
- Fumero-Velázquez, M.; Hagstrom, M.; Dhillon, S.; Geraminejad, T.; Olivares, S.; Donati, M.; Nosek, D.; Waldenbäck, P.; Kazakov, D.; Sheffield, B.S.; et al. Clinical, morphologic, and molecular features of benign and intermediate-grade melanocytic tumors with activating mutations in MAP2K1. Am. J. Surg. Pathol. 2023, 47, 1438–1448. [Google Scholar] [CrossRef]
- Newman, S.; Pappo, A.; Raimondi, S.; Zhang, J.; Barnhill, R.; Bahrami, A. Pathologic characteristics of Spitz melanoma with MAP3K8 fusion or truncation in a pediatric cohort. Am. J. Surg. Pathol. 2019, 43, 1631–1637. [Google Scholar] [CrossRef]
- Cheng, T.W.; Ahern, M.C.; Giubellino, A. The spectrum of Spitz melanocytic lesions: From morphologic diagnosis to molecular classification. Front. Oncol. 2022, 12, 889223. [Google Scholar] [CrossRef]
- Goto, K.; Pissaloux, D.; Durand, L.; Tirode, F.; Guillot, B.; de la Fouchardière, A. Novel three-way complex rearrangement of TRPM1-PUM1-LCK in a case of agminated Spitz nevi arising in a giant congenital hyperpigmented macule. Pigment Cell Melanoma Res. 2020, 33, 767–772. [Google Scholar] [CrossRef]
- Zhao, J.; Benton, S.; Zhang, B.; Olivares, S.; Asadbeigi, S.; Busam, K.; Gerami, P. Benign and intermediate-grade melanocytic tumors with BRAF mutations and Spitzoid morphology: A subset of melanocytic neoplasms distinct from melanoma. Am. J. Surg. Pathol. 2022, 46, 476–485. [Google Scholar] [CrossRef]
- Pollock, P.M.; Harper, U.L.; Hansen, K.S.; Yudt, L.M.; Stark, M.; Robbins, C.M.; Moses, T.Y.; Hostetter, G.; Wagner, U.; Kakareka, J.; et al. High frequency of BRAF mutations in nevi. Nat. Genet. 2003, 33, 19–20. [Google Scholar]
- Bauer, J.; Curtin, J.A.; Pinkel, D.; Bastian, B.C. Congenital melanocytic nevi frequently harbor NRAS mutations but no BRAF mutations. J. Investig. Dermatol. 2007, 127, 179–182. [Google Scholar] [CrossRef]
- Elder, D.E.; Bastian, B.C.; Cree, I.A.; Massi, D.; Scolyer, R.A. The 2018 World Health Organization classification of cutaneous, mucosal, and uveal melanoma: Detailed analysis of 9 distinct subtypes defined by their evolutionary pathway. Arch. Pathol. Lab. Med. 2020, 144, 500–522. [Google Scholar] [CrossRef]
- Bastian, B.C.; de la Fouchardiere, A.; Elder, D.E.; Gerami, P.; Lazar, A.J.; Massi, D.; Scolyer, R.A.; Yun, S.J. Genomic Landscape of Melanoma. In WHO Classification of Tumours Editorial Board. Skin Tumours, 5th ed.; WHO Classification of Tumours Series; International Agency for Research on Cancer: Lyon, France, 2023; Volume 12. [Google Scholar]
- Ostroverkhova, D.; Przytycka, T.M.; Panchenko, A.R. Cancer driver mutations: Predictions and reality. Trends Mol. Med. 2023, 29, 554–566. [Google Scholar] [CrossRef] [PubMed]
- Urso, C. Melanocytic skin neoplasms: What lesson from genomic aberrations? Am. J. Dermatopathol. 2019, 41, 623–629. [Google Scholar] [CrossRef]
- Bell, R.J.A.; Rube, H.T.; Xavier-Magalhães, A.; Costa, B.M.; Mancini, A.; Song, J.S.; Costello, J.F. Under-standing TERT promoter mutations: A common path to immortality. Mol. Cancer Res. 2016, 14, 315–323. [Google Scholar] [CrossRef] [PubMed]
- Read, J.; Wadt, K.A.; Hayward, N.K. Melanoma genetics. J. Med. Genet. 2016, 53, 1–14. [Google Scholar] [CrossRef]
- Aguissa-Touré, A.H.; Li, G. Genetic alterations of PTEN in human melanoma. Cell Mol. Life Sci. 2012, 69, 1475–1491. [Google Scholar] [CrossRef]
- Leroy, B.; Anderson, M.; Soussi, T. TP53 mutations in human cancer: Database reassessment and prospects for the next decade. Hum. Mutat. 2014, 35, 672–688. [Google Scholar] [CrossRef]
- Hegedüs, L.; Okumus, Ö.; Livingstone, E.; Baranyi, M.; Kovács, I.; Döme, B.; Tóvári, J.; Bánkfalvi, Á.; Schadendorf, D.; Aigner, C.; et al. Allosteric and ATP-competitive MEK-inhibition in a novel Spitzoid melanoma model with a RAF- and phosphorylation-independent mutation. Cancers 2021, 13, 829. [Google Scholar] [CrossRef]
- Müller, C.S.L.; Pföhler, C.; Wahl, M.; Bochen, F.; Körner, S.; Kühn, J.P.; Bozzato, A.; Schick, B.; Linxweiler, M. Expression of SEC62 oncogene in benign, malignant and borderline melanocytic tumors-unmasking the wolf in sheep’s clothing? Cancers 2021, 13, 1645. [Google Scholar] [CrossRef]
- Fusco, M.J.; West, H.; Walko, C.M. Tumor Mutation Burden and cancer treatment. JAMA Oncol. 2021, 7, 316. [Google Scholar] [CrossRef]
- Yeh, I.; de la Fouchardiere, A.; Pissaloux, D.; Mully, T.W.; Garrido, M.C.; Vemula, S.S.; Busam, K.J.; LeBoit, P.E.; McCalmont, T.H.; Bastian, B.C. Clinical, histopathologic, and genomic features of Spitz tumors with ALK fusions. Am. J. Surg. Pathol. 2015, 39, 581–591. [Google Scholar] [CrossRef]
- Amin, S.M.; Haugh, A.M.; Lee, C.Y.; Zhang, B.; Bubley, J.A.; Merkel, E.A.; Verzì, A.E.; Gerami, P. A Comparison of morphologic and molecular features of BRAF, ALK, and NTRK1 fusion Spitzoid neoplasms. Am. J. Surg. Pathol. 2017, 41, 491–498. [Google Scholar] [CrossRef]
- Gerami, P.; Kim, D.; Compres, E.V.; Zhang, B.; Khan, A.U.; Sunshine, J.C.; Quan, V.L.; Busam, K. Clinical, morphologic, and genomic findings in ROS1 fusion Spitz neoplasms. Mod. Pathol. 2021, 34, 348–357. [Google Scholar] [CrossRef] [PubMed]
- Yeh, I.; Busam, K.J.; McCalmont, T.H.; LeBoit, P.E.; Pissaloux, D.; Alberti, L.; de la Fouchardière, A.; Bastian, B.C. Filigree-like rete ridges, lobulated nests, rosette-like structures, and exaggerated maturation characterize Spitz tumors with NTRK1 fusion. Am. J. Surg. Pathol. 2019, 43, 737–746. [Google Scholar] [CrossRef] [PubMed]
- Kim, D.; Compres, E.V.; Zhang, B.; Khan, A.U.; Sunshine, J.C.; Quan, V.L.; Gerami, P. A series of RET fusion Spitz neoplasms with plaque-like silhouette and dyscohesive nesting of epithelioid melanocytes. Am. J. Dermatopathol. 2021, 43, 243–251. [Google Scholar] [CrossRef] [PubMed]
- Kim, D.; Khan, A.U.; Compres, E.V.; Zhang, B.; Sunshine, J.C.; Quan, V.L.; Gerami, P. BRAF fusion Spitz neoplasms; clinical morphological, and genomic findings in six cases. J. Cutan. Pathol. 2020, 47, 1132–1142. [Google Scholar] [CrossRef]
- Houlier, A.; Pissaloux, D.; Masse, I.; Tirode, F.; Karanian, M.; Pincus, L.B.; McCalmont, T.H.; LeBoit, P.E.; Bastian, B.C.; Yeh, I.; et al. Melanocytic tumors with MAP3K8 fusions: Report of 33 cases with morphological-genetic correlations. Mod. Pathol. 2020, 33, 846–857. [Google Scholar] [CrossRef] [PubMed]
- van Engen-van Grunsven, A.C.; van Dijk, M.C.; Ruiter, D.J.; Klaasen, A.; Mooi, W.J.; Blokx, W.A. HRAS-mutated Spitz tumors: A subtype of Spitz tumors with distinct features. Am. J. Surg. Pathol. 2010, 34, 1436–1441. [Google Scholar] [CrossRef]
- Sunshine, J.C.; Kim, D.; Zhang, B.; Compres, E.V.; Khan, A.U.; Busam, K.J.; Gerami, P. Melanocytic neoplasms with MAP2K1 in frame deletions and Spitz morphology. Am. J. Dermatopathol. 2020, 42, 923–931. [Google Scholar] [CrossRef] [PubMed]
- Jang, Y.H.; Lee, J.Y.; Kim, M.R.; Kim, S.C.; Kim, Y.C. Acral pigmented Spitz nevus that clinically mimicked acral lentiginous malignant melanoma. Ann. Dermatol. 2011, 23, 246–249. [Google Scholar] [CrossRef] [PubMed]
- Wiedemeyer, K.; Guadagno, A.; Davey, J.; Brenn, T. Acral Spitz nevi: A clinicopathologic study of 50 cases with immunohistochemical analysis of p16 and p21 expression. Am. J. Surg. Pathol. 2018, 42, 821–827. [Google Scholar] [CrossRef] [PubMed]
- Anju, K.; Nakamura, Y.; Okiyama, N.; Ishitsuka, Y.; Saito, A.; Watanabe, R.; Fujisawa, Y. Angiomatoid Spitz nevus with surrounding pagetoid melanocytic proliferation on the sole of the foot: An unusual case report with immunohistochemical studies for angiogenic factors. J. Dermatol. 2020, 47, 538–541. [Google Scholar] [CrossRef]
- Cerroni, L.; Barnhill, R.; Elder, D.; Gottlieb, G.; Heenan, P.; Kutzner, H.; LeBoit, P.E.; Mihm, M.; Rosai, J.; Kerl, H. Melanocytic tumors of uncertain malignant potential. Results of a tutorial held at the XXIX Symposium of International Society of Dermatopathology in Graz, October 2008. Am. J. Surg. Pathol. 2010, 34, 314–326. [Google Scholar] [CrossRef]
- Piepkorn, M. On the nature of histologic observations: The case of the Spitz nevus. J. Am. Acad. Dermatol. 1995, 32, 248–254. [Google Scholar] [CrossRef]
- Urso, C. Regole ed eccezioni nella diagnosi di melanoma. Pathologica 2005, 97, 323–334. [Google Scholar]
- Mooi, W.J.; Krausz, T. Spitz nevus versus Spitzoid melanoma. Diagnostic difficulties, conceptual controversies. Adv. Anat. Pathol. 2006, 13, 147–156. [Google Scholar] [CrossRef]
- Walsh, N.; Crotty, K.; Palmer, A.; McCarthy, S. Spitz nevus versus Spitzoid melanoma: An evaluation of the current distinguishing histopathologic criteria. Hum. Pathol. 1998, 29, 1105–1112. [Google Scholar] [CrossRef]
- Ackerman, A.B.; Magana-Garcia, M. Naming acquired melanocytic nevi. Unna’s, Miescher’s, Spitz’s, Clark’s. Am. J. Dermatopathol. 1990, 12, 193–209. [Google Scholar] [CrossRef] [PubMed]
- Ackerman, A.B. Malignant melanoma: A unifying concept. Hum. Pathol. 1980, 11, 591–595. [Google Scholar] [CrossRef] [PubMed]
- Urso, C. Diagnostic problems in Spitzoid neoplasms. Pathology 2017, 49, 325–326. [Google Scholar] [CrossRef] [PubMed]
- McWhorter, H.E.; Woolner, L.B. Pigmented nevi, juvenile melanomas, and malignant melanomas in children. Cancer 1954, 7, 564–585. [Google Scholar] [CrossRef] [PubMed]
- Urso, C. A new perspective for spitz tumors? Am. J. Dermatopathol. 2005, 27, 364–366. [Google Scholar] [CrossRef] [PubMed]
- Urso, C. Spitzoid neoplasms: The double simulation theory in the time of genomic alterations. Pathology 2020, 52, 268–269. [Google Scholar] [CrossRef] [PubMed]
- Yeh, I.; Busam, K.J. Spitz melanocytic tumours—A review. Histopathology 2022, 80, 122–134. [Google Scholar] [CrossRef]
- Barnhill, R.L.; Bahami, A.; Bastian, B.C.; Busam, K.J.; Cerroni, L.; de la Fouchardiere, A.; Elder, D.E.; Gerami, P.; Lazova, R.; Schmidt, B.; et al. Malignant Spitz tumour (Spitz melanoma). In WHO Classification of Skin Tumours, 4th ed.; Elder, D.E., Massi, D., Scolyer, R.A., Willemze, R., Eds.; IARC: Lyon, France, 2018; p. 109. [Google Scholar]
- Farmer, E.R.; Gonin, R.; Hanna, M.P. Discordance in the histopathologic diagnosis of melanoma and melanocytic neoplasms between expert pathologists. Hum. Pathol. 1996, 27, 528–531. [Google Scholar] [CrossRef]
- Gerami, P.; Busam, K.; Cochran, A.; Cook, M.G.; Duncan, L.M.; Elder, D.E.; Fullen, D.R.; Guitart, J.; LeBoit, P.E.; Mihm, M.C., Jr.; et al. Histomorphologic assessment and interobserver diagnostic reproducibility of atypical spitzoid melanocytic neoplasms with long-term follow-up. Am. J. Surg. Pathol. 2014, 38, 934–940. [Google Scholar] [CrossRef]
- Spatz, A.; Calonje, E.; Handfield-Jones, S.; Barnhill, R.L. Spitz tumors in children: A grading system for risk stratification. Arch. Dermatol. 1999, 135, 282–285. [Google Scholar] [CrossRef]
- Urso, C. Time to reconsider Spitzoid neoplasms? Dermatol. Pract. Concept 2016, 6, 8. [Google Scholar] [CrossRef]
- Gerami, P.; Scolyer, R.A.; Xu, X.; Elder, D.E.; Abraham, R.M.; Fullen, D.; Prieto, V.G.; Leboit, P.E.; Barnhill, R.L.; Cooper, C.; et al. Risk assessment for atypical spitzoid melanocytic neoplasms using FISH to identify chromosomal copy number aberrations. Am. J. Surg. Pathol. 2013, 37, 676–684. [Google Scholar] [CrossRef]
- Shen, L.; Cooper, C.; Bajaj, S.; Liu, P.; Pestova, E.; Guitart, J.; Gerami, P. Atypical Spitz tumors with 6q23 deletions: A clinical, histological, and molecular study. Am. J. Dermatopathol. 2013, 35, 804–812. [Google Scholar] [CrossRef]
- Lee, S.; Barnhill, R.L.; Dummer, R.; Dalton, J.; Wu, J.; Pappo, A.; Bahrami, A. TERT promoter mutations are predictive of aggressive clinical behavior in patients with Spitzoid melanocytic neoplasms. Sci. Rep. 2015, 5, 11200. [Google Scholar] [CrossRef]
- Church, A.J.; Moustafa, D.; Pinches, R.S.; Hawryluk, E.B.; Schmidt, B.A.R. Genomic comparison of malignant melanoma and atypical Spitz tumor in the pediatric population. Pediatr. Dermatol. 2022, 39, 409–419. [Google Scholar] [CrossRef]
- Hagstrom, M.; Fumero-Velasquez, M.; Dhillon, S.; Olivares, S.; Gerami, P. An update on genomic aberrations in Spitz naevi and tumours. Pathology 2022, 55, 196–205. [Google Scholar] [CrossRef]
- Suyama, T.; Nishimura, T.; Yokoyama, M.; Matsuki, Y.; Kishi, Y.; Sato, T.; Ono, Y.; Ban, S.; Arai, E.; Ogata, D.; et al. Paediatric spitzoid melanoma diagnosed with the aid of fluorescence in situ hybridization and mutation analysis. Eur. J. Dermatol. 2022, 32, 134–135. [Google Scholar]
- Roth, A.; Lampley, N., 3rd; Boutko, A.; Zhao, J.; Benton, S.; Olivares, S.; Zembowicz, A.; Gerami, P. Next-generation sequencing improves agreement and accuracy in the diagnosis of Spitz and spitzoid melanocytic lesions. J. Cutan. Pathol. 2022, 49, 868–874. [Google Scholar] [CrossRef]
- Benton, S.; Zhao, J.; Zhang, B.; Bahrami, A.; Barnhill, R.L.; Busam, K.; Cerroni, L.; Cook, M.G.; de la Fouchardière, A.; Elder, D.E.; et al. Impact of next-generation sequencing on interobserver agreement and diagnosis of spitzoid neoplasms. Am. J. Surg. Pathol. 2021, 45, 1597–1605. [Google Scholar] [CrossRef]
- Barnhill, R.L.; Elder, D.E.; Piepkorn, M.W.; Knezevich, S.R.; Reisch, L.M.; Eguchi, M.M.; Bastian, B.C.; Blokx, W.; Bosenberg, M.; Busam, K.J.; et al. Revision of the melanocytic pathology assessment tool and hierarchy for diagnosis classification schema for melanocytic lesions: A consensus statement. JAMA Netw. Open 2023, 6, e2250613. [Google Scholar] [CrossRef]


| Type of Alteration | Gene (HGNC Name) | Location | Partners Genes |
|---|---|---|---|
| Fusion | ALK | 2p23 | TMP3, DCTN1, MLPH |
| Fusion | ROS1 | 6q22 | PWWP2A, TMP3 |
| Fusion | NTRK1 | 1q23 | LMNA, TP53, TMP3 |
| Fusion | NTRK2 | 9q21 | |
| Fusion | NTRK3 | 15q25 | ETV6, MYO5A, MYH9 |
| Fusion | RET | 10q11 | GOLGA5, KIF5B |
| Fusion | MET | 7q31 | |
| Fusion | BRAF | 7q34 | CEP89, LSM14A, AKAP9, MAD1L1 |
| Fusion | MAP3K8 | 10p11 | SVIL, UBL3, SPECC1, STX7, GNG2, DIP2C, PRKACB, CUBN |
| Fusion | ARAF | Xp11 | |
| Fusion | MITF | 3p14 | |
| Fusion | PRKCA | 17q24 | |
| Fusion | PRKCB | 16p12 | |
| Fusion | RASGRF1 | 15q25 | |
| Fusion | PRKDC | 8q11 | |
| Fusion | FGFR1 | 8p11 | |
| Fusion | ERBB4 | 2q34 | |
| Fusion | RAF1 | 3p25 | |
| Fusion | MAP3K3 | 17q23 | |
| Fusion | MERTK | 2q13 | |
| Fusion | LCK | 1p35 | TRPM1, PUM1 |
| Mutation | HRAS | 11p15 | |
| Mutation | MAP3K8 | 10p11 | |
| Mutation | MAP2K1 | 15q22 |
| Gene, Alteration | Clinical Features | Histopathological Features |
|---|---|---|
| ALK, fusion | Amelanotic dome-shaped or polypoid lesions, located on the extremities, young patients | Dermal tumors with plexiform fascicles of spindle cells, epithelioid melanocytes and prominent nucleoli |
| ROS1, fusion | Papular or dome-shaped lesions, frequently of the lower extremities | Nodules of large atypical epithelioid and spindle cells with vesicular nuclei; no specific histological features |
| NTRK1-3, fusion | Symmetric exophitic/verrucuous lesions | Compound or intradermal lesions with pleomorphic spindle cells, with elongated rete ridges, lobulated dermal nests, rosette-like structures, exaggerated maturation and Kamino bodies |
| MET, fusion | Symmetric, dome-shaped lesions | Compound or intradermal tumors with epidermal hyperplasia and large nests of epithelioid and/or spindle cells |
| RET, fusion | Symmetric plaque-like lesions | Symmetric compound lesions with large nests of epithelioid cells, mild-moderate nuclear atypia and cell dyscohesion |
| BRAF, fusion | Pink papular lesions on the lower extremities, young patients | Intradermal nodular, plaque-like or wedge-shaped lesions with cellular sheets of moderately or severely atypical epithelioid and/or spindle melanocytes, vesicular nuclei, prominent nucleoli and dermal sclerosis |
| MAP3K8, fusion or mutation | Pigmented asymmetric exophytic nodules on the lower extremities | Nodular lesions composed of severely atypical epithelioid cells, sometimes multinucleated |
| HRAS, mutation | Symmetrical nodular, plaque-like or wedge-shaped lesions, on head, neck or extremities | Nodular lesions composed of epithelioid and/or spindle melanocytes with pleomorphic vesicular nuclei, ample cytoplasm and desmoplastic stroma |
| MAP2K1, mutation | Pigmented lesions on the lower extremities, young and female patients | Tumors composed of large nests of epithelioid melanocytes with atypical vesicular nuclei, plexiform arrangement, convergence of nests around the adnexa and neurovascular bundles |
| Patient’s age > 40 year-old |
| Tumors size ≥ 10 mm |
| Solid nodular growth |
| deep dermis/subcutaneous fat extension |
| marked nuclear pleomorphism/atypia |
| marked asymmetry |
| high number of suprabasal melanocytes |
| epidermal ulceration |
| dermal mitoses ≥ 2 per mm2 |
| deep/marginal mitoses |
| abundant melanin in deep cells |
| cellular necrosis |
| cells in lymphatic vessels |
| heavy inflammatory infiltrate |
| BRAF fusion |
| MAP3K8 fusion/truncation |
| 6p25 (RREB1) gain |
| 11q13 (CCND1) gain |
| 6q23 (MYB) loss |
| 9p21 (CDKN2A) biallelic loss |
| TERT promoter mutation |
| High TMB > 5 mut/Mb |
| BRAF mutation ^° |
| NRAS mutation ^ |
| NF1 mutation ^ |
| ST1—Spitz tumor with minimal/very low risk | No risk-associated parameters |
| ST2—Spitz tumor with low/moderate risk | One or more risk-associated parameters |
| ST3—Spitz tumor with high/very high risk | One or more risk-associated parameters, including one or more of the following: mitoses ≥ 4/mm2, deep/marginal mitoses, heavy inflammatory infiltrate, biallelic deletion of 9p21 (CDKN2A), MAP3K8 fusion/truncation, TERT-p mutation, high TMB, BRAF/NRAS/NF1 mutations |
Disclaimer/Publisher’s Note: The statements, opinions and data contained in all publications are solely those of the individual author(s) and contributor(s) and not of MDPI and/or the editor(s). MDPI and/or the editor(s) disclaim responsibility for any injury to people or property resulting from any ideas, methods, instructions or products referred to in the content. |
© 2023 by the author. Licensee MDPI, Basel, Switzerland. This article is an open access article distributed under the terms and conditions of the Creative Commons Attribution (CC BY) license (https://creativecommons.org/licenses/by/4.0/).
Share and Cite
Urso, C. Spitz Tumors and Melanoma in the Genomic Age: A Retrospective Look at Ackerman’s Conundrum. Cancers 2023, 15, 5834. https://doi.org/10.3390/cancers15245834
Urso C. Spitz Tumors and Melanoma in the Genomic Age: A Retrospective Look at Ackerman’s Conundrum. Cancers. 2023; 15(24):5834. https://doi.org/10.3390/cancers15245834
Chicago/Turabian StyleUrso, Carmelo. 2023. "Spitz Tumors and Melanoma in the Genomic Age: A Retrospective Look at Ackerman’s Conundrum" Cancers 15, no. 24: 5834. https://doi.org/10.3390/cancers15245834
APA StyleUrso, C. (2023). Spitz Tumors and Melanoma in the Genomic Age: A Retrospective Look at Ackerman’s Conundrum. Cancers, 15(24), 5834. https://doi.org/10.3390/cancers15245834

