Simple Summary
Magnetic resonance imaging (MRI) has several advantages over computerized tomography (CT) in the treatment planning of central nervous system (CNS) malignancies. The adoption of hybrid MRI and linear accelerators (MRLs) has allowed for more effective tumor control and reduced unnecessary neurotoxicity through precise daily adaptations. In this review, we provide a summary of the evidence for MRLs in the management of various CNS tumors. Additionally, we discuss the potential of multiparametric MRI and genomically guided radiotherapy to enhance patient outcomes.
Abstract
Magnetic resonance imaging (MRI) provides excellent visualization of central nervous system (CNS) tumors due to its superior soft tissue contrast. Magnetic resonance-guided radiotherapy (MRgRT) has historically been limited to use in the initial treatment planning stage due to cost and feasibility. MRI-guided linear accelerators (MRLs) allow clinicians to visualize tumors and organs at risk (OARs) directly before and during treatment, a process known as online MRgRT. This novel system permits adaptive treatment planning based on anatomical changes to ensure accurate dose delivery to the tumor while minimizing unnecessary toxicity to healthy tissue. These advancements are critical to treatment adaptation in the brain and spinal cord, where both preliminary MRI and daily CT guidance have typically had limited benefit. In this narrative review, we investigate the application of online MRgRT in the treatment of various CNS malignancies and any relevant ongoing clinical trials. Imaging of glioblastoma patients has shown significant changes in the gross tumor volume over a standard course of chemoradiotherapy. The use of adaptive online MRgRT in these patients demonstrated reduced target volumes with cavity shrinkage and a resulting reduction in radiation dose to uninvolved tissue. Dosimetric feasibility studies have shown MRL-guided stereotactic radiotherapy (SRT) for intracranial and spine tumors to have potential dosimetric advantages and reduced morbidity compared with conventional linear accelerators. Similarly, dosimetric feasibility studies have shown promise in hippocampal avoidance whole brain radiotherapy (HA-WBRT). Next, we explore the potential of MRL-based multiparametric MRI (mpMRI) and genomically informed radiotherapy to treat CNS disease with cutting-edge precision. Lastly, we explore the challenges of treating CNS malignancies and special limitations MRL systems face.
Keywords:
radiation therapy; RT; ultra-hypofractionated radiation therapy; ablative radiation therapy; adaptive radiation therapy; image-guided radiotherapy; magnetic resonance imaging; MRI; MR-guided radiation therapy; MRgRT; stereotactic body radiotherapy; SRS; stereotactic radiosurgery; SRT; stereotactic radiation therapy; plan optimization; tumor motion management; multiparametric MRI; mpMRI 1. Introduction
Central nervous system (CNS) tumors pose unique and significant challenges for oncologists. As the understanding of CNS tumors continues to improve, innovative approaches and advancements in radiotherapy techniques are needed to take advantage of these insights to improve patient outcomes. The integration of magnetic resonance imaging (MRI) with linear accelerators (MRLs) has allowed for adaptive magnetic resonance-guided radiotherapy (MRgRT), which has emerged as a promising modality for increased personalization in radiation therapy for treating CNS tumors.
MRI plays a central role in both the diagnosis and evaluation of CNS tumors due to its excellent soft tissue imaging and ability to visualize the boundaries between the tumor and normal tissues [1,2]. High-resolution anatomical and parametric imaging techniques have significantly improved the accuracy of target delineation [3,4]. Thus, the integration of MRI into treatment planning has become more prevalent, leading to better disease control and fewer toxicities [5,6].
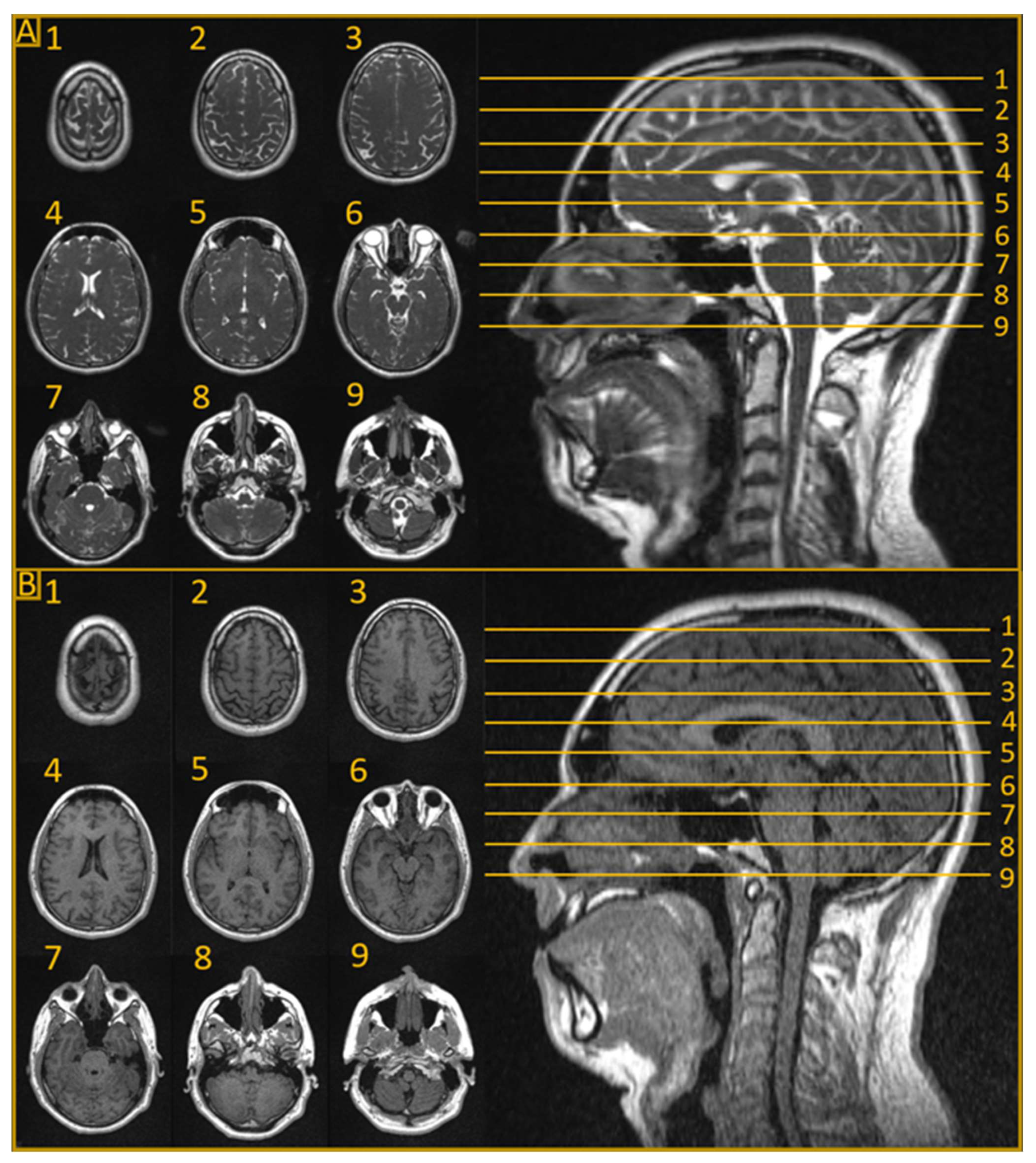
The advent of MRLs marked a revolutionary step in the field of MRgRT for CNS tumors [6,7]. In addition to their soft tissue imaging advantages, MRLs also enable adaptation of treatment plans based on daily intrafraction anatomical changes. These advantages work together to effectively expand the therapeutic window for CNS RT by improving dose delivery to the tumor and minimizing the exposure of surrounding healthy tissue [8,9]. The two commercially available MRLs are the ViewRay MRIdian (ViewRay Technologies Inc., Oakwood Village, Ohio) and Elekta Unity (Elekta AB, Stockholm, Sweden) systems [10]. These systems make up the majority of clinical MRL implementations and have been used with great efficacy to treat tumors across the body [10,11]. The MRIdian system integrates a 0.35 T field strength split-bore magnet MRI with a 6 MV flattening filter-free (FFF) linear accelerator [12], while the Elekta Unity combines a 1.5 T MRI with a 7 MV FFF linear accelerator [13]. As an example of the imaging capabilities of the low-field MRIdian unit, Figure 1 demonstrates a T2 fluid-attenuated inversion recovery (FLAIR) sequence and a true fast imaging with steady-state free precession (TRUFI) sequence [14] of a healthy brain. The Unity system’s conventional strength MRI generates images of similar quality to a 1.5 T diagnostic MRI unit, and the system has access to all clinically available sequences on Philips MR systems. Although both systems have their unique strengths and limitations, they share the same advantages over conventional computerized tomography (CT)-based radiation therapy in the treatment of CNS tumors. These advantages are actively being explored in several innovative trials. Table 1 lists currently active trials exploring CNS radiation therapy on an MRL that are registered on ClinicalTrials.gov (8 August 2023).
Figure 1.
Magnetic resonance imaging (MRI) sequences on a 0.35 T combination MRI and linear accelerator (MRL) without contrast. (A) A true fast imaging with steady-state free precession (TRUFI) sequence of a healthy brain. The in-plane resolution and acquisition time for the TRUFI sequence were 1.5 mm and 1 min and 40 s, respectively. The TRUFI sequence provides contrast that is a combination of T1 and T2 weighting and is the sequence used for planning on the 0.35 T MRL. (B) T2 fluid-attenuated inversion recovery (FLAIR) sequence of a healthy brain. The in-plane resolution and acquisition time for the FLAIR sequence were 0.75 mm and 12 min and 6 s, respectively. Both sets of images (FLAIR and TRUFI) have a slice thickness of 1.5 mm and were acquired using a six-channel phased-array receiver head coil.
Table 1.
Ongoing MRL CNS clinical trials registered on ClinicTrials.gov (8 August 2023).
In the subsequent sections, we discuss the unique challenges and limitations associated with treating adult patients with CNS tumors using traditional radiotherapy methods and how MRgRT offers a potential solution to address these issues. Specifically, we explore the role of MRgRT in the treatment of glioblastoma (GBM) and the unique ability of MRLs to detect subtle soft tissue changes and plan adaptation to improve tumor targeting and reduce dose to surrounding healthy tissue [15]. Furthermore, we will examine the dosimetric feasibility and potential advantages of delivering stereotactic radiotherapy (SRT) on an MRL for intracranial [16,17,18,19,20] and spine [21,22,23] lesions. We review recent studies and highlight the ongoing clinical trials that aim to further evaluate the clinical benefits and challenges of these approaches. We also discuss the potential role of MRL-based hippocampal avoidance whole brain radiation therapy (HA-WBRT), a promising technique that strives to balance effective tumor control and minimize neurotoxicity for patients undergoing WBRT [24,25,26]. By providing enhanced target delineation and facilitating daily adaptive treatment to account for therapeutic tumor response throughout therapy, MRLs demonstrate potential to optimize HA-WBRT [15,27]. Additionally, we discuss the future direction of biologically adaptive radiation therapy for CNS tumors and provide a general introduction to how multiparametric MRI (mpMRI) and genomics may pave the path towards this paradigm shifting approach [28,29,30,31]. Finally, we will review the limitations and challenges that MRLs have in general, as well as the specific challenges in the treatment of CNS tumors [32,33].
2. Clinical Applications
2.1. Glioblastoma
In accordance with the guidelines established by the Radiation Therapy Oncology Group (RTOG), the postoperative GBM target includes both the surgical cavity and the adjacent edema [34]. This approach is supported by autopsy data [35] and stereotactic biopsies [36], which reveal tumor cells infiltrating up to and beyond the edges of FLAIR hyperintensity. As a result, target volumes are generated using preoperative and postoperative MRI to delineate the tumor resection cavity, residual enhancement, and surrounding edema [37]. However, these features continue to evolve postoperatively and during radiation treatment, leading to discrepancies between the actual and pre-RT anatomy [37,38].
Although conducting MRI scans throughout RT to account for these changes would be ideal, it is not feasible due to limited scanner availability and cost constraints. Unfortunately, CT-guided radiotherapy (CTgRT) does not adequately account for parenchymal changes because of its inadequate soft tissue contrast. MRLs may offer a solution, as they allow for superior soft tissue contrast to detect subtle geometric changes and for online plan adaptation to account for tumor and post-operative bed changes during therapy. The need for geometric plan adaptation is highlighted in a prospective study involving 61 GBM patients who underwent chemoradiotherapy (CRT) and received diagnostic brain MRIs at planning, fraction 10, fraction 20, and one-month post-CRT. Significant anatomical changes were observed throughout therapy [39]. The study demonstrated that targets experienced both changes in volume and migration throughout treatment [39]. Furthermore, a case series of three GBM patients who underwent standard CRT on an MRL demonstrated significant changes in edema and cavity volume throughout treatment [40].
A recent study investigated the potential benefits of adaptive radiotherapy for GBM patients using an MRL system [15]. The study evaluated the dosimetric differences between non-adapted versus weekly plan-adapted RT of GBM patients treated with CRT of 60 Gy on a 0.35 T MRL. Weekly plan adaptation demonstrated mean improvements in uninvolved hippocampi and normal brain dose of 8.4 versus 12.5 Gy and 18.7 (p = 0.036) versus 20.6 Gy (p = 0.005), respectively [15]. Multiple additional studies summarized in Table 2 demonstrate how MRLs can be leveraged to account for GBM target evolution throughout therapy to improve target coverage and spare normal tissue.
Table 2.
MRL GBM Studies.
In summary, treatment of GBMs with MRLs is associated with improvements in dosimetry and treatment planning due to its ability to detect subtle soft tissue changes and facilitate plan adaptation. Additionally, MRLs can account for changes in the tumor and tumor bed throughout treatment to ensure better target coverage while minimizing unnecessary dose to normal brain parenchyma. Future studies are needed to determine if this translates into better disease control durability and if better normal tissue sparing results in quality-of-life improvements for these patients.
2.2. Stereotactic Radiation Therapy for Intracranial Tumors
SRT is an important modality in the management of brain metastases and other intracranial tumors [45]. An MRL offers several advantages over conventional linear accelerators, including enhanced target delineation, real-time tumor tracking, and adaptive treatment planning [10]. The superior soft-tissue contrast provided by MRI allows for improved identification of tumor boundaries, while real-time imaging enables accurate monitoring of tumor motion during treatment, potentially reducing unnecessary radiation exposure to healthy brain tissue [46].
Several studies have explored the dosimetric feasibility of MRgRT for intracranial SRT [16,17,18,19,20]. One early study investigated the dosimetric feasibility of MRL for brain metastases and the impact of the magnetic field, concluding that MRL-generated stereotactic radiation plans meeting clinical requirements were feasible, and that the dosimetric impact of the magnetic field, including the electron return effect (ERE) at tissue–air boundaries, was minor and did not negatively affect target conformity or dose gradient [16]. Another study evaluated the systematic localization accuracy, treatment planning capability, and delivery accuracy of an MRL platform for stereotactic radiosurgery (SRS), finding that excellent plan quality and delivery accuracy was achievable for concurrent treatment of multiple brain metastases with a single isocenter [17]. A comparative study assessed the dosimetric feasibility of brain SRT, comparing a 0.35 T MRL and a conventional linear accelerator. It was revealed that the MRL could generate clinically acceptable SRS plans for spherical intracranial lesions with a diameter ≤ 2.25 cm [18]. However, larger lesions (>2.25 cm) did not meet normal tissue dosimetric constraints [18]. Additionally, caution and extra thought should be given when treating patients who have undergone systemic therapies that may exhibit pseudo-progression/treatment effect phenomena [47] between simulation and treatment, as these can falsely increase the volumetric appearance and lead to excess normal tissue doses.
Another study examined the dosimetric feasibility of direct post-operative MRL-based SRT for resection cavities of brain metastases, concluding that direct post-operative MRL-based SRT is dosimetrically acceptable, with benefits including increased patient comfort and logistics [19]. Streamlining workflow in this way may prove beneficial in the setting of postoperative SRT, given that delay in the delivery of radiotherapy following resection of brain metastases has been associated with a decrement in local control [48]. The study suggests that the clinical benefit of this workflow should be investigated given its dosimetric plausibility. Lastly, a study investigated changes in the clinical target volume (CTV) and associated clinical implications of an MRL during hypofractionated SRT to resected brain metastases, finding statistically significant reductions in cavity CTV during SRT, which supports the use of MRgRT and treatment adaptation to mitigate toxicity [20]. Another potential application of MRgRT is in preoperative SRT, a modality which has recently gained traction, particularly for larger tumors [49]. Particularly in patients who may have symptomatic brain metastases, carefully planned use of MRgRT may expedite treatment and facilitate a shorter interval from diagnosis through resection.
Collectively, the above studies indicate that MRgRT using an MRL has the potential to offer dosimetric and logistical advantages over conventional linear accelerators for intracranial SRT treatment. However, further clinical investigations are necessary to evaluate the clinical benefit of this technology.
2.3. Stereotactic Radiation Therapy for Spine Tumors
Spine SRT plays a critical role in managing metastatic disease by alleviating pain, preventing pathological fractures, and reducing neurological morbidity. Stereotactic body radiotherapy (SBRT) has been shown to provide improved efficacy compared with conventional radiotherapy methods [50]. For spine SBRT, fusion with either a planning MRI or CT myelogram is necessary to accurately delineate the spinal cord and establish a 1–2 mm planning organ-at-risk volume (PRV), potentially reducing disease coverage [51]. CTgRT relies on bony structures for daily setup; however, it cannot visualize the spinal cord, leading to the requirement of a cord PRV for daily motion management.
MRLs offer several advantages over CTgRT, including MR imaging in treatment position to allow for easier fusion with the planning CT and superior spinal cord delineation during setup compared with cone-beam CT (CBCT) [21,23]. Dosimetric feasibility studies indicate that daily MRgRT can lower the dose to the spinal cord [22]. MRLs enable daily direct registration to the spinal cord, eliminating the need for cord PRVs while also allowing for improved tumor coverage with reduced margin size. In addition, low-field MRLs suffer from less image distortion from implanted metallic devices [52]. MRI protocols outside of the radiation oncology department can often create challenges to performing an accurate fusion due to differences in slice thicknesses and patient positions [53]; simulation and treatment planning using MRLs may address these issues [23]. These advantages increase the therapeutic ratio and may allow for dose escalation.
Several clinical trials are currently investigating the use of MRL in spine SRS/SBRT. These studies will provide valuable insights into the feasibility and effectiveness of this technique for spine treatment. For example, a phase I/II trial is examining the use of Stereotactic MR-guided Adaptive Radiotherapy (SMART) for treating various disease sites, including the spine (NCT04115254). Additionally, the Pilot Study of Same-session MR-only Simulation and Treatment with SMART for Oligometastases of the Spine (NCT03878485) focuses specifically on spine treatment.
As more clinical data emerge from these studies, the potential benefits of MRL in spine SRT will become clearer. The integration of MRI with linear accelerators for spine treatment may lead to improved tumor targeting, reduced normal tissue exposure, and better patient outcomes. Ultimately, these advancements may help optimize radiotherapy for patients with metastatic spine disease and contribute to the ongoing evolution of spine SRT techniques.
2.4. Hippocampal Avoidance Whole Brain Radiotherapy
HA-WBRT is a promising technique that aims to achieve the local control benefits of whole brain RT for both macro- and micro-metastatic lesions, while reducing neurotoxicity by specifically avoiding the hippocampus [54]. HA-WBRT requires fusion of a planning MRI with CT simulation imaging to create a hippocampal avoidance structure, while ensuring a homogenous treatment plan for the remaining brain parenchyma [55]. HA-WBRT using MRgRT could facilitate adaptive treatment based on the intra-therapeutic tumor response, potentially improving the local control probability with sequential stereotactic boosts to nonresponding lesions. A dosimetric feasibility study compared twelve HA-WBRT volumetric modulated arc therapy (VMAT) plans versus intensity modulated radiation therapy (IMRT) plans created using the 0.35 T MRL treatment planning system (TPS) [27]. In all cases, the researchers were able to generate plans that met RTOG 0933 treatment plan standards. As anticipated, the VMAT plans exhibited superior homogeneity and delivery times compared with the IMRT plans.
Particularly for patients with numerous brain metastases of radioresistant histology, HA-WBRT with a simultaneous integrated boost to gross disease may be an effective strategy [14,56], one that may be further facilitated using MRgRT. Additional investigation through clinical trials is necessary to determine the clinical feasibility and safety of HA-WBRT. This approach could optimize the balance between effective tumor control and minimizing neurotoxicity for patients undergoing whole brain radiotherapy.
3. Future Directions
One of the fundamental goals of radiotherapy is maximizing the dose to target tissue while minimizing the dose to surrounding OARs. In a significant first step towards this aim, MRLs have facilitated treatment plan adaptation to observable anatomic changes throughout therapy. MRLs, however, may be able to enable biological plan adaptation by leveraging MRI’s capability to track biological and physiological changes through advanced mpMRI techniques. These techniques may allow radiation oncologists further insight into a tumor’s biology as it responds to RT over the course of treatment.
The treatment paradigm of radiotherapy has traditionally been based on empirical large cohort data rather than individual biology, resulting in a one-size-fits-all approach. However, recent advancements in genomics and radiomics have begun to pave the way towards a more personalized approach based upon individual tumor biology. The synergy between genomically informed radiotherapy, treatment of high-risk sub-volumes based on extraction of radiographic data, and daily mpMRI-guided plan adaptation has the potential to usher in a new treatment paradigm in radiation oncology. Pre-treatment genomic and radiomic analyses of the tumor may improve patient selection for MRL-based dose escalation [30,57,58]. Daily mpMRI delta radiomic analysis can then be used to detect subtle biomarkers of treatment response in tumors, which hint at radiation-induced genomic plasticity, thereby allowing for even greater personalized adaptive treatment strategies [59,60,61,62].
The currently active phase II Habitat Escalated Adaptive Therapy (HEAT), With Neoadjuvant Radiation for Soft Tissue Sarcoma (NCT05301283) is an example of a cutting-edge study utilizing genomic and mpMRI radiomic biomarkers to guide the initial treatment and adaptive treatment approach for high-grade soft tissue sarcomas. Utilizing a similar approach for CNS tumors appears to be technically feasible currently. For example, genomic-adjusted radiation therapy (GARD) could be similarly utilized to identify GBM patients who could benefit from higher doses [63] with MRI perfusion [64] and FLAIR [65,66] sequences, which could identify tumor subpopulations to target with simultaneous integrated boosts.
MRL is poised to take a central role at the forefront of this paradigm shift to allow for plan adaptation based not only upon geometric shifts but also on a tumor’s evolving treatment response throughout therapy. An ultra-personalized treatment approach like this allows for total dose, dose distribution (i.e., dose painting), and fractionation changes throughout the course of therapy to improve clinical outcomes for patients.
Radiomic- and Genomic-Guided Adaptive Radiation Therapy for CNS Tumors
Historically, daily MRgRT plan adaptation has been utilized to manage interfractional geometric changes. However, MRI is also capable of assessing biological and physiological information using advanced mpMRI techniques [28,67,68,69]. These techniques have the potential to be particularly beneficial for CNS tumors treated on an MRL.
One such technique is diffusion-weighted imaging (DWI), which enables the detection of water mobility changes [70]. These alterations are associated with tumor growth [71] or necrosis [72]. By mapping a parameter known as the apparent diffusion coefficient (ADC), clinicians can monitor the response to radiation therapy [73]. ADC mapping is especially appealing in adaptive radiotherapy, as changes in ADC can be observed before morphological alterations in the tumor [74]. This feature could guide dose escalation strategies or biologically driven radiation plan adaptation [58,75]. DWI has been applied on a 1.5 T MRI-guided linear accelerator [76,77,78] and on a 0.35 T tri-cobalt system [79,80]. When the 0.35 T MRgRT system transitioned from a tri-cobalt system to an MRL, technical challenges emerged [81]. However, recent applications of DWI on a 0.35 T MRL show promise [10].
Dynamic contrast-enhanced (DCE) MRI is another functional imaging technique that investigates perfusion by dynamically evaluating changes in the T1 relaxation time following a bolus injection of gadolinium [82,83]. This process allows for the examination of gadolinium transport across the capillary endothelium [68]. DCE has demonstrated prognostic value in identifying patient subpopulations with hypoxia-related resistance to chemoradiation in cervical cancer [84]. As a result, DCE has the potential to provide information that may aid in personalizing radiation dose delivery for CNS tumors [77]. DCE has been implemented on the 1.5 T MRL, although its quantification was shown to be less reproducible than that of T1, T2, and ADC [76]. While DCE has not yet been implemented on a 0.35 T MRL, initial experiences have demonstrated the feasibility of gadolinium injection on the tri-cobalt version of this system [85].
Additional MR-based techniques, such as magnetic resonance spectroscopic imaging (MRSI) [86], chemical exchange saturation transfer (CEST) [87,88], and hyperpolarized dynamic magnetic resonance spectroscopy [89], can interrogate metabolic processes in tumors [90]. These techniques could potentially offer valuable information for the adaptive radiotherapy of CNS tumors on an MRL. MRSI has been applied to create high-resolution metabolite maps in gliomas [91] and to map lactate in GBM [92]. Furthermore, MRSI has been employed to map intra- and extracellular pH in tumors using phosphorus [93]. However, integrating MRSI into online MRgRT still faces technical limitations, such as relatively long scan times [94] and low sensitivity on conventional magnetic field strength systems [95]. Hyperpolarizing the nucleus can counteract the low sensitivity, resulting in a significant gain in sensitivity for a short period of time [96]. The primary application of hyperpolarization has been to observe the dynamic conversion of pyruvate into lactate in tumors [97]. CEST, on the other hand, enables the indirect detection of low-concentration solutes via their effect on the water MR signal [98]. CEST has been shown to predict chemoradiotherapeutic response in tumors [29,99]. Moreover, it has been shown to be capable of noninvasively determining IDH mutation and MGMT methylation status in vivo [100]. While these techniques show promise, further development and optimization are necessary to fully harness their potential in guiding adaptive radiotherapy for CNS tumors on an MRL.
Although none of the CNS-specific trials within Table 1 have reported results yet, the multi-disease site “MR-BIO: A Study to Evaluate Changes in MR Imaging and Biological Parameters (MR-BIO)” (PMID: NCT04903236) have published results within their head and neck patient cohort which demonstrated that a 1.5 T MRL can reliably be used to detect tumor hypoxia via oxygen-enhanced MRI (OE-MRI) [101]. OE-MRI is another example of a powerful MR technique that detects oxygenation in both normal tissues and tumors after inhalation of 100% oxygen or carbogen, which allows for the quantification and mapping of hypoxia over the course of radiotherapy [102,103,104,105].
Genomics provides another powerful avenue towards personalized radiation treatment, which when combined with the advances in image guidance listed above, may provide an even more sophisticated approach for challenging malignancies such as GBM. Several such signatures have been introduced as a potential means for genomically guided RT [57,63,106,107,108,109,110]. Genomics offers a biological framework for guiding RT, giving better context to the radiomic changes observed during treatment, and fostering research into predictive biomarkers. This combination may allow for novel advanced and better-informed approaches to dose escalation in high-grade glioma, a strategy which has been largely unsuccessful in the past [111,112,113,114].
In summary, MRL can be leveraged by incorporating genomically guided RT and mpMRI radiomics to enable a biologically adaptive RT paradigm. Various mpMRI techniques, including DWI, DCE, MRSI, and CEST, have the potential to offer valuable insights into tumor biology and physiology, ultimately leading to more personalized and effective treatment strategies. Using these technologies to identify intratumoral heterogeneity and tumoral sub-volumes at risk may allow for focal dose escalation or avoidance, respectively. As research and development continues in this area, we expect significant advancements in the application of these techniques, potentially revolutionizing the management of CNS tumors.
4. Barriers and Limitations in CNS Radiation Therapy on MRL
4.1. General Limitations
MRgRT offers significant advancements for image-guided radiation therapy (IGRT) and personalized oncology in CNS tumor treatment, but there are certain limitations to be considered. These include substantial financial and time investments for training and operation, development of MR-safety protocols, and unique physical challenges related to the concurrent use of MR and external beam radiotherapy [115,116,117]. Additionally, the daily online adaptive radiotherapy process can be time-consuming, and patient selection is crucial, as some patients may have difficulty tolerating the treatment due to claustrophobia, large body habitus, or MR-incompatible implanted devices [118].
4.2. Unique Challenges in Treating CNS Tumors on an MRL
Treating CNS tumors on an MRL presents several unique challenges. The complex anatomy of the CNS, with its highly radiosensitive normal tissues, requires precise targeting and dose delivery. The proximity of critical structures, such as the optic nerves, brainstem, and spinal cord, demands meticulous treatment planning and delivery. Furthermore, CNS tumors often exhibit infiltrative growth patterns, making it almost impossible to accurately delineate tumor boundaries.
MRL systems suffer the same limitations as diagnostic MRIs. As such, they’re sensitive to the magnetic susceptibility artifacts that arise from air–tissue [119] and bone–tissue [120] interfaces in the skull base, sinuses, and mastoid air cells, which can affect image quality and accuracy for CNS tumor localization. Moreover, the blood–brain barrier (BBB) influences the performance of MRI techniques, such as DCE MRI. The BBB’s integrity may affect the permeability of gadolinium-based contrast agents and, consequently, the accuracy of DCE-derived parameters [121]. These challenges require further research and the development of advanced MRI techniques to address them.
Geometric distortion represents one of the most difficult challenges to account for with any MRgRT. Geometric distortion occurs due to imperfections in the magnetic field, gradient nonlinearities, and magnetic susceptibility differences at tissue interfaces [122]. This can lead to inaccuracies in the target delineation and treatment planning of CNS tumors. Additionally, geometric distortion can make it difficult to accurately account for small radiosensitive structures, such as the optic nerves, cochlea, pituitary gland, and hippocampus. Both 1.5 T and low-field MR systems experience varying degrees of geometric distortion. Typically, 1.5 T MR systems exhibit larger distortions than low-field systems due to larger field inhomogeneities and increased susceptibility effects at higher field strengths [120]. However, even low-field MR systems may present geometric distortion challenges, particularly at air–tissue interfaces and near metal implants. Addressing the issue of geometric distortion in MRgRT for CNS tumors requires further development of advanced MRI techniques and correction algorithms.
5. Conclusion
Treatment of CNS tumors on MRLs represents a promising direction for the advancement of personalized cancer care. MRLs provide excellent soft tissue visualization, real-time monitoring of targets and normal tissues with gating capabilities, and the ability for daily plan adaptation. These unique advantages hold the potential to improve radiation delivery to patients with intracranial or spine tumors. Clinical trials are currently underway and seek to clarify the role of MRLs in the treatment of CNS malignancies. Future clinical studies are needed to explore the integration of mpMRIs and genomics to develop a biologically adapted radiation therapy paradigm for CNS tumors.
Author Contributions
Conceptualization, J.M.B. and D.E.O.; methodology, J.M.B.; writing—original draft preparation, J.M.B. and A.D.; writing—review and editing, J.M.B., A.D., J.W., R.C.-C., I.M.O., J.A., J.G., G.R., K.L., V.F., S.A.R., H.-H.M.Y. and D.E.O.; visualization, J.M.B., J.W. and R.C.-C.; supervision, S.A.R., H.-H.M.Y. and D.E.O.; project administration, J.M.B. and D.E.O.; funding acquisition, not applicable. All authors have read and agreed to the published version of the manuscript.
Funding
This research received no external funding.
Conflicts of Interest
Stephen Rosenberg has received research grants from ViewRay, Inc. He also received an honorarium and has served on the Lung Research Consortium Advisory Board for ViewRay, Inc. Vladimir Feygelman and Kujtim Latifi have received consulting fees from ViewRay, Inc. No other author has any conflict of interest to declare.
References
- Ostrom, Q.T.; Gittleman, H.; Truitt, G.; Boscia, A.; Kruchko, C.; Barnholtz-Sloan, J.S. CBTRUS Statistical Report: Primary Brain and Other Central Nervous System Tumors Diagnosed in the United States in 2011–2015. Neuro. Oncol. 2018, 20 (Suppl. S4), iv1–iv86. [Google Scholar] [CrossRef] [PubMed]
- Bogdanov, A., Jr.; Mazzanti, M.L. Molecular magnetic resonance contrast agents for the detection of cancer: Past and present. Semin. Oncol. 2011, 38, 42–54. [Google Scholar] [CrossRef] [PubMed]
- Jena, R.; Price, S.J.; Baker, C.; Jefferies, S.J.; Pickard, J.D.; Gillard, J.H.; Burnet, N.G. Diffusion tensor imaging: Possible implications for radiotherapy treatment planning of patients with high-grade glioma. Clin. Oncol. 2005, 17, 581–590. [Google Scholar] [CrossRef] [PubMed]
- Paulson, E.S.; Schmainda, K.M. Comparison of dynamic susceptibility-weighted contrast-enhanced MR methods: Recommendations for measuring relative cerebral blood volume in brain tumors. Radiology 2008, 249, 601–613. [Google Scholar] [CrossRef]
- Lagendijk, J.J.; Raaymakers, B.W.; van Vulpen, M. The magnetic resonance imaging-linac system. Semin. Radiat. Oncol. 2014, 24, 207–209. [Google Scholar] [CrossRef] [PubMed]
- Mutic, S.; Dempsey, J.F. The ViewRay system: Magnetic resonance-guided and controlled radiotherapy. Semin. Radiat. Oncol. 2014, 24, 196–199. [Google Scholar] [CrossRef]
- Keall, P.J.; Barton, M.; Crozier, S.; Australian MRI-Linac Program, including contributors from the Ingham Institute, Illawarra Cancer Care Centre, Liverpool Hospital, Stanford University, Universities of Newcastle, Queensland, Sydney, Western Sydney, and Wollongong. The Australian magnetic resonance imaging-linac program. Semin. Radiat. Oncol. 2014, 24, 203–206. [Google Scholar] [CrossRef] [PubMed]
- Raaymakers, B.W.; Jurgenliemk-Schulz, I.M.; Bol, G.H.; Glitzner, M.; Kotte, A.; van Asselen, B.; de Boer, J.C.J.; Bluemink, J.J.; Hackett, S.L.; Moerland, M.A.; et al. First patients treated with a 1.5 T MRI-Linac: Clinical proof of concept of a high-precision, high-field MRI guided radiotherapy treatment. Phys. Med. Biol. 2017, 62, L41–L50. [Google Scholar] [CrossRef]
- Finazzi, T.; Palacios, M.A.; Spoelstra, F.O.B.; Haasbeek, C.J.A.; Bruynzeel, A.M.E.; Slotman, B.J.; Lagerwaard, F.J.; Senan, S. Role of On-Table Plan Adaptation in MR-Guided Ablative Radiation Therapy for Central Lung Tumors. Int. J. Radiat. Oncol. Biol. Phys. 2019, 104, 933–941. [Google Scholar] [CrossRef]
- Bryant, J.M.; Weygand, J.; Keit, E.; Cruz-Chamorro, R.; Sandoval, M.L.; Oraiqat, I.M.; Andreozzi, J.; Redler, G.; Latifi, K.; Feygelman, V.; et al. Stereotactic Magnetic Resonance-Guided Adaptive and Non-Adaptive Radiotherapy on Combination MR-Linear Accelerators: Current Practice and Future Directions. Cancers 2023, 15, 2081. [Google Scholar] [CrossRef]
- Chin, S.; Eccles, C.L.; McWilliam, A.; Chuter, R.; Walker, E.; Whitehurst, P.; Berresford, J.; Van Herk, M.; Hoskin, P.J.; Choudhury, A. Magnetic resonance-guided radiation therapy: A review. J. Med. Imaging Radiat. Oncol. 2020, 64, 163–177. [Google Scholar] [CrossRef]
- Kluter, S. Technical design and concept of a 0.35 T MR-Linac. Clin. Transl. Radiat. Oncol. 2019, 18, 98–101. [Google Scholar] [CrossRef] [PubMed]
- Raaymakers, B.W.; Lagendijk, J.J.; Overweg, J.; Kok, J.G.; Raaijmakers, A.J.; Kerkhof, E.M.; van der Put, R.W.; Meijsing, I.; Crijns, S.P.; Benedosso, F.; et al. Integrating a 1.5 T MRI scanner with a 6 MV accelerator: Proof of concept. Phys. Med. Biol. 2009, 54, N229–N237. [Google Scholar] [CrossRef]
- Scheffler, K.; Lehnhardt, S. Principles and applications of balanced SSFP techniques. Eur. Radiol. 2003, 13, 2409–2418. [Google Scholar] [CrossRef] [PubMed]
- Guevara, B.; Cullison, K.; Maziero, D.; Azzam, G.A.; De La Fuente, M.I.; Brown, K.; Valderrama, A.; Meshman, J.; Breto, A.; Ford, J.C.; et al. Simulated Adaptive Radiotherapy for Shrinking Glioblastoma Resection Cavities on a Hybrid MRI-Linear Accelerator. Cancers 2023, 15, 1555. [Google Scholar] [CrossRef]
- Tseng, C.L.; Eppinga, W.; Seravalli, E.; Hackett, S.; Brand, E.; Ruschin, M.; Lee, Y.K.; Atenafu, E.G.; Sahgal, A. Dosimetric feasibility of the hybrid Magnetic Resonance Imaging (MRI)-linac System (MRL) for brain metastases: The impact of the magnetic field. Radiother. Oncol. 2017, 125, 273–279. [Google Scholar] [CrossRef] [PubMed]
- Wen, N.; Kim, J.; Doemer, A.; Glide-Hurst, C.; Chetty, I.J.; Liu, C.; Laugeman, E.; Xhaferllari, I.; Kumarasiri, A.; Victoria, J.; et al. Evaluation of a magnetic resonance guided linear accelerator for stereotactic radiosurgery treatment. Radiother. Oncol. 2018, 127, 460–466. [Google Scholar] [CrossRef] [PubMed]
- Slagowski, J.M.; Redler, G.; Malin, M.J.; Cammin, J.; Lobb, E.C.; Lee, B.H.; Sethi, A.; Roeske, J.C.; Flores-Martinez, E.; Stevens, T.; et al. Dosimetric feasibility of brain stereotactic radiosurgery with a 0.35 T MRI-guided linac and comparison vs a C-arm-mounted linac. Med. Phys. 2020, 47, 5455–5466. [Google Scholar] [CrossRef]
- Seravalli, E.; Sierts, M.; Brand, E.; Maspero, M.; David, S.; Philippens, M.E.P.; Voormolen, E.H.J.; Verhoeff, J.J.C. Dosimetric feasibility of direct post-operative MR-Linac-based stereotactic radiosurgery for resection cavities of brain metastases. Radiother. Oncol. 2023, 179, 109456. [Google Scholar] [CrossRef]
- Tan, H.; Stewart, J.; Ruschin, M.; Wang, M.H.; Myrehaug, S.; Tseng, C.L.; Detsky, J.; Husain, Z.; Chen, H.; Sahgal, A.; et al. Inter-fraction dynamics during post-operative 5 fraction cavity hypofractionated stereotactic radiotherapy with a MR LINAC: A prospective serial imaging study. J. Neuro-Oncol. 2022, 156, 569–577. [Google Scholar] [CrossRef]
- Noel, C.E.; Parikh, P.J.; Spencer, C.R.; Green, O.L.; Hu, Y.; Mutic, S.; Olsen, J.R. Comparison of onboard low-field magnetic resonance imaging versus onboard computed tomography for anatomy visualization in radiotherapy. Acta Oncol. 2015, 54, 1474–1482. [Google Scholar] [CrossRef]
- Redler, G.; Stevens, T.; Cammin, J.; Malin, M.; Green, O.; Mutic, S.; Pitroda, S.; Aydogan, B. Dosimetric Feasibility of Utilizing the ViewRay Magnetic Resonance Guided Linac System for Image-guided Spine Stereotactic Body Radiation Therapy. Cureus 2019, 11, e6364. [Google Scholar] [CrossRef] [PubMed]
- Spieler, B.; Samuels, S.E.; Llorente, R.; Yechieli, R.; Ford, J.C.; Mellon, E.A. Advantages of Radiation Therapy Simulation with 0.35 Tesla Magnetic Resonance Imaging for Stereotactic Ablation of Spinal Metastases. Pract. Radiat. Oncol. 2020, 10, 339–344. [Google Scholar] [CrossRef]
- Gondi, V.; Pugh, S.L.; Tome, W.A.; Caine, C.; Corn, B.; Kanner, A.; Rowley, H.; Kundapur, V.; DeNittis, A.; Greenspoon, J.N.; et al. Preservation of memory with conformal avoidance of the hippocampal neural stem-cell compartment during whole-brain radiotherapy for brain metastases (RTOG 0933): A phase II multi-institutional trial. J. Clin. Oncol. 2014, 32, 3810–3816. [Google Scholar] [CrossRef] [PubMed]
- Brown, P.D.; Gondi, V.; Pugh, S.; Tome, W.A.; Wefel, J.S.; Armstrong, T.S.; Bovi, J.A.; Robinson, C.; Konski, A.; Khuntia, D.; et al. Hippocampal Avoidance during Whole-Brain Radiotherapy plus Memantine for Patients with Brain Metastases: Phase III Trial NRG Oncology CC001. J. Clin. Oncol. 2020, 38, 1019–1029. [Google Scholar] [CrossRef] [PubMed]
- Gondi, V.; Tome, W.A.; Mehta, M.P. Why avoid the hippocampus? A comprehensive review. Radiother. Oncol. 2010, 97, 370–376. [Google Scholar] [CrossRef]
- Graham, J.A.; Redler, G.; Delozier, K.B.; Yu, H.M.; Oliver, D.E.; Rosenberg, S.A. Dosimetric feasibility of hippocampal avoidance whole brain radiotherapy with an MRI-guided linear accelerator. J. Appl. Clin. Med. Phys. 2022, 23, e13587. [Google Scholar] [CrossRef]
- Maziero, D.; Straza, M.W.; Ford, J.C.; Bovi, J.A.; Diwanji, T.; Stoyanova, R.; Paulson, E.S.; Mellon, E.A. MR-Guided Radiotherapy for Brain and Spine Tumors. Front. Oncol. 2021, 11, 626100. [Google Scholar] [CrossRef]
- Regnery, S.; Adeberg, S.; Dreher, C.; Oberhollenzer, J.; Meissner, J.E.; Goerke, S.; Windschuh, J.; Deike-Hofmann, K.; Bickelhaupt, S.; Zaiss, M.; et al. Chemical exchange saturation transfer MRI serves as predictor of early progression in glioblastoma patients. Oncotarget 2018, 9, 28772–28783. [Google Scholar] [CrossRef]
- Scott, J.G.; Sedor, G.; Ellsworth, P.; Scarborough, J.A.; Ahmed, K.A.; Oliver, D.E.; Eschrich, S.A.; Kattan, M.W.; Torres-Roca, J.F. Pan-cancer prediction of radiotherapy benefit using genomic-adjusted radiation dose (GARD): A cohort-based pooled analysis. Lancet Oncol. 2021, 22, 1221–1229. [Google Scholar] [CrossRef]
- Mirjolet, C.; Boidot, R.; Saliques, S.; Ghiringhelli, F.; Maingon, P.; Crehange, G. The role of telomeres in predicting individual radiosensitivity of patients with cancer in the era of personalized radiotherapy. Cancer Treat. Rev. 2015, 41, 354–360. [Google Scholar] [CrossRef] [PubMed]
- Fraass, B.A.; McShan, D.L.; Diaz, R.F.; Ten Haken, R.K.; Aisen, A.; Gebarski, S.; Glazer, G.; Lichter, A.S. Integration of magnetic resonance imaging into radiation therapy treatment planning: I. Technical considerations. Int. J. Radiat. Oncol. Biol. Phys. 1987, 13, 1897–1908. [Google Scholar] [CrossRef] [PubMed]
- Weygand, J.; Fuller, C.D.; Ibbott, G.S.; Mohamed, A.S.; Ding, Y.; Yang, J.; Hwang, K.P.; Wang, J. Spatial Precision in Magnetic Resonance Imaging-Guided Radiation Therapy: The Role of Geometric Distortion. Int. J. Radiat. Oncol. Biol. Phys. 2016, 95, 1304–1316. [Google Scholar] [CrossRef]
- Cabrera, A.R.; Kirkpatrick, J.P.; Fiveash, J.B.; Shih, H.A.; Koay, E.J.; Lutz, S.; Petit, J.; Chao, S.T.; Brown, P.D.; Vogelbaum, M.; et al. Radiation therapy for glioblastoma: Executive summary of an American Society for Radiation Oncology Evidence-Based Clinical Practice Guideline. Pract. Radiat. Oncol. 2016, 6, 217–225. [Google Scholar] [CrossRef]
- Burger, P.C.; Dubois, P.J.; Schold, S.C., Jr.; Smith, K.R., Jr.; Odom, G.L.; Crafts, D.C.; Giangaspero, F. Computerized tomographic and pathologic studies of the untreated, quiescent, and recurrent glioblastoma multiforme. J. Neurosurg. 1983, 58, 159–169. [Google Scholar] [CrossRef]
- Earnest, F.t.; Kelly, P.J.; Scheithauer, B.W.; Kall, B.A.; Cascino, T.L.; Ehman, R.L.; Forbes, G.S.; Axley, P.L. Cerebral astrocytomas: Histopathologic correlation of MR and CT contrast enhancement with stereotactic biopsy. Radiology 1988, 166, 823–827. [Google Scholar] [CrossRef]
- Champ, C.E.; Siglin, J.; Mishra, M.V.; Shen, X.; Werner-Wasik, M.; Andrews, D.W.; Mayekar, S.U.; Liu, H.; Shi, W. Evaluating changes in radiation treatment volumes from post-operative to same-day planning MRI in High-grade gliomas. Radiat. Oncol. 2012, 7, 220. [Google Scholar] [CrossRef]
- Yang, Z.; Zhang, Z.; Wang, X.; Hu, Y.; Lyu, Z.; Huo, L.; Wei, R.; Fu, J.; Hong, J. Intensity-modulated radiotherapy for gliomas:dosimetric effects of changes in gross tumor volume on organs at risk and healthy brain tissue. OncoTargets Ther. 2016, 9, 3545–3554. [Google Scholar] [CrossRef]
- Stewart, J.; Sahgal, A.; Lee, Y.; Soliman, H.; Tseng, C.L.; Detsky, J.; Husain, Z.; Ho, L.; Das, S.; Maralani, P.J.; et al. Quantitating Interfraction Target Dynamics during Concurrent Chemoradiation for Glioblastoma: A Prospective Serial Imaging Study. Int. J. Radiat. Oncol. Biol. Phys. 2021, 109, 736–746. [Google Scholar] [CrossRef]
- Mehta, S.; Gajjar, S.R.; Padgett, K.R.; Asher, D.; Stoyanova, R.; Ford, J.C.; Mellon, E.A. Daily Tracking of Glioblastoma Resection Cavity, Cerebral Edema, and Tumor Volume with MRI-Guided Radiation Therapy. Cureus 2018, 10, e2346. [Google Scholar] [CrossRef] [PubMed]
- Jones, K.K.; Dooley, S.; Maziero, D.; Ford, J.C.; Stoyanova, R.; Goryawala, M.; Diwanji, T.; Mellon, E.A. MRI-guided Radiotherapy Identifies Early Pseudoprogression of Glioblastoma. Res. Sq. 2020. [Google Scholar] [CrossRef]
- Tseng, C.L.; Chen, H.; Stewart, J.; Lau, A.Z.; Chan, R.W.; Lawrence, L.S.P.; Myrehaug, S.; Soliman, H.; Detsky, J.; Lim-Fat, M.J.; et al. High grade glioma radiation therapy on a high field 1.5 Tesla MR-Linac—Workflow and initial experience with daily adapt-to-position (ATP) MR guidance: A first report. Front. Oncol. 2022, 12, 1060098. [Google Scholar] [CrossRef] [PubMed]
- Wang, M.H.; Kim, A.; Ruschin, M.; Tan, H.; Soliman, H.; Myrehaug, S.; Detsky, J.; Husain, Z.; Atenafu, E.G.; Keller, B.; et al. Comparison of Prospectively Generated Glioma Treatment Plans Clinically Delivered on Magnetic Resonance Imaging (MRI)-Linear Accelerator (MR-Linac) Versus Conventional Linac: Predicted and Measured Skin Dose. Technol. Cancer Res. Treat. 2022, 21, 15330338221124695. [Google Scholar] [CrossRef] [PubMed]
- Cullison, K.; Maziero, D.; Azzam, G.; Ford, J.; Meshman, J.J.; Prieto, P.; De La Fuente, M.; Mellon, E.A. Interfractional Dynamics of Glioblastoma Treated on MRI-Linac. Int. J. Radiat. Oncol. 2022, 114, S79. [Google Scholar] [CrossRef]
- Chin, L.S.; Regine, W.F. Principles and Practice of Stereotactic Radiosurgery, 2nd ed.; Springer: New York, NY, USA, 2014. [Google Scholar]
- Derks, S.; van der Veldt, A.A.M.; Smits, M. Brain metastases: The role of clinical imaging. Br. J. Radiol. 2022, 95, 20210944. [Google Scholar] [CrossRef]
- Lehrer, E.J.; Kowalchuk, R.O.; Gurewitz, J.; Bernstein, K.; Kondziolka, D.; Niranjan, A.; Wei, Z.; Lunsford, L.D.; Fakhoury, K.R.; Rusthoven, C.G.; et al. Concurrent Administration of Immune Checkpoint Inhibitors and Single Fraction Stereotactic Radiosurgery in Patients With Non-Small Cell Lung Cancer, Melanoma, and Renal Cell Carcinoma Brain Metastases. Int. J. Radiat. Oncol. Biol. Phys. 2023, 116, 858–868. [Google Scholar] [CrossRef] [PubMed]
- Minniti, G.; Niyazi, M.; Andratschke, N.; Guckenberger, M.; Palmer, J.D.; Shih, H.A.; Lo, S.S.; Soltys, S.; Russo, I.; Brown, P.D.; et al. Current status and recent advances in resection cavity irradiation of brain metastases. Radiat. Oncol. 2021, 16, 73. [Google Scholar] [CrossRef] [PubMed]
- Perlow, H.K.; Ho, C.; Matsui, J.K.; Prasad, R.N.; Klamer, B.G.; Wang, J.; Damante, M.; Upadhyay, R.; Thomas, E.; Blakaj, D.M.; et al. Comparing pre-operative versus post-operative single and multi-fraction stereotactic radiotherapy for patients with resectable brain metastases. Clin. Transl. Radiat. Oncol. 2023, 38, 117–122. [Google Scholar] [CrossRef]
- Sahgal, A.; Myrehaug, S.D.; Siva, S.; Masucci, G.L.; Maralani, P.J.; Brundage, M.; Butler, J.; Chow, E.; Fehlings, M.G.; Foote, M.; et al. Stereotactic body radiotherapy versus conventional external beam radiotherapy in patients with painful spinal metastases: An open-label, multicentre, randomised, controlled, phase 2/3 trial. Lancet Oncol. 2021, 22, 1023–1033. [Google Scholar] [CrossRef]
- Redmond, K.J.; Robertson, S.; Lo, S.S.; Soltys, S.G.; Ryu, S.; McNutt, T.; Chao, S.T.; Yamada, Y.; Ghia, A.; Chang, E.L.; et al. Consensus Contouring Guidelines for Postoperative Stereotactic Body Radiation Therapy for Metastatic Solid Tumor Malignancies to the Spine. Int. J. Radiat. Oncol. Biol. Phys. 2017, 97, 64–74. [Google Scholar] [CrossRef]
- Stradiotti, P.; Curti, A.; Castellazzi, G.; Zerbi, A. Metal-related artifacts in instrumented spine. Techniques for reducing artifacts in CT and MRI: State of the art. Eur. Spine J. 2009, 18 (Suppl. S1), 102–108. [Google Scholar] [CrossRef] [PubMed]
- Paulson, E.S.; Erickson, B.; Schultz, C.; Allen Li, X. Comprehensive MRI simulation methodology using a dedicated MRI scanner in radiation oncology for external beam radiation treatment planning. Med. Phys. 2015, 42, 28–39. [Google Scholar] [CrossRef]
- Caine, C.; Deshmukh, S.; Gondi, V.; Mehta, M.; Tome, W.; Corn, B.W.; Kanner, A.; Rowley, H.; Kundapur, V.; DeNittis, A.; et al. CogState computerized memory tests in patients with brain metastases: Secondary endpoint results of NRG Oncology RTOG 0933. J. Neurooncol. 2016, 126, 327–336. [Google Scholar] [CrossRef]
- Andreas, J.J.M.; Kundapur, V. Hippocampus Avoidance Whole-brain Radiation Therapy: A Practical Intensity-modulated Radiation Therapy Planning and Delivery Approach to RTOG 0933. J. Med. Imaging Radiat. Sci. 2015, 46, 78–84. [Google Scholar] [CrossRef] [PubMed]
- Popp, I.; Grosu, A.L.; Fennell, J.T.; Fischer, M.; Baltas, D.; Wiehle, R. Optimization of hippocampus sparing during whole brain radiation therapy with simultaneous integrated boost-tutorial and efficacy of complete directional hippocampal blocking. Strahlenther. Onkol. 2022, 198, 537–546. [Google Scholar] [CrossRef]
- Scott, J.G.; Berglund, A.; Schell, M.J.; Mihaylov, I.; Fulp, W.J.; Yue, B.; Welsh, E.; Caudell, J.J.; Ahmed, K.; Strom, T.S.; et al. A genome-based model for adjusting radiotherapy dose (GARD): A retrospective, cohort-based study. Lancet Oncol. 2017, 18, 202–211. [Google Scholar] [CrossRef]
- Park, J.E.; Kim, H.S.; Jo, Y.; Yoo, R.E.; Choi, S.H.; Nam, S.J.; Kim, J.H. Radiomics prognostication model in glioblastoma using diffusion- and perfusion-weighted MRI. Sci. Rep. 2020, 10, 4250. [Google Scholar] [CrossRef]
- Gillies, R.J.; Kinahan, P.E.; Hricak, H. Radiomics: Images Are More than Pictures, They Are Data. Radiology 2016, 278, 563–577. [Google Scholar] [CrossRef]
- Kocher, M.; Ruge, M.I.; Galldiks, N.; Lohmann, P. Applications of radiomics and machine learning for radiotherapy of malignant brain tumors. Strahlenther. Onkol. 2020, 196, 856–867. [Google Scholar] [CrossRef] [PubMed]
- Nardone, V.; Reginelli, A.; Grassi, R.; Boldrini, L.; Vacca, G.; D’Ippolito, E.; Annunziata, S.; Farchione, A.; Belfiore, M.P.; Desideri, I.; et al. Delta radiomics: A systematic review. Radiol. Med. 2021, 126, 1571–1583. [Google Scholar] [CrossRef]
- Persi, E.; Wolf, Y.I.; Horn, D.; Ruppin, E.; Demichelis, F.; Gatenby, R.A.; Gillies, R.J.; Koonin, E.V. Mutation-selection balance and compensatory mechanisms in tumour evolution. Nat. Rev. Genet. 2021, 22, 251–262. [Google Scholar] [CrossRef]
- Ahmed, K.A.; Chinnaiyan, P.; Fulp, W.J.; Eschrich, S.; Torres-Roca, J.F.; Caudell, J.J. The radiosensitivity index predicts for overall survival in glioblastoma. Oncotarget 2015, 6, 34414–34422. [Google Scholar] [CrossRef] [PubMed]
- Cao, Y.; Tsien, C.I.; Nagesh, V.; Junck, L.; Ten Haken, R.; Ross, B.D.; Chenevert, T.L.; Lawrence, T.S. Survival prediction in high-grade gliomas by MRI perfusion before and during early stage of RT [corrected]. Int. J. Radiat. Oncol. Biol. Phys. 2006, 64, 876–885. [Google Scholar] [CrossRef] [PubMed]
- Chang, P.D.; Chow, D.S.; Yang, P.H.; Filippi, C.G.; Lignelli, A. Predicting Glioblastoma Recurrence by Early Changes in the Apparent Diffusion Coefficient Value and Signal Intensity on FLAIR Images. AJR Am. J. Roentgenol. 2017, 208, 57–65. [Google Scholar] [CrossRef]
- Rathore, S.; Akbari, H.; Doshi, J.; Shukla, G.; Rozycki, M.; Bilello, M.; Lustig, R.; Davatzikos, C. Radiomic signature of infiltration in peritumoral edema predicts subsequent recurrence in glioblastoma: Implications for personalized radiotherapy planning. J. Med. Imaging 2018, 5, 021219. [Google Scholar] [CrossRef] [PubMed]
- Wang, J.; Weygand, J.; Hwang, K.P.; Mohamed, A.S.; Ding, Y.; Fuller, C.D.; Lai, S.Y.; Frank, S.J.; Zhou, J. Magnetic Resonance Imaging of Glucose Uptake and Metabolism in Patients with Head and Neck Cancer. Sci. Rep. 2016, 6, 30618. [Google Scholar] [CrossRef]
- Salzillo, T.C.; Mawoneke, V.; Weygand, J.; Shetty, A.; Gumin, J.; Zacharias, N.M.; Gammon, S.T.; Piwnica-Worms, D.; Fuller, G.N.; Logothetis, C.J.; et al. Measuring the Metabolic Evolution of Glioblastoma throughout Tumor Development, Regression, and Recurrence with Hyperpolarized Magnetic Resonance. Cells 2021, 10, 2621. [Google Scholar] [CrossRef]
- Dutta, P.; Perez, M.R.; Lee, J.; Kang, Y.; Pratt, M.; Salzillo, T.C.; Weygand, J.; Zacharias, N.M.; Gammon, S.T.; Koay, E.J.; et al. Combining Hyperpolarized Real-Time Metabolic Imaging and NMR Spectroscopy To Identify Metabolic Biomarkers in Pancreatic Cancer. J. Proteome Res. 2019, 18, 2826–2834. [Google Scholar] [CrossRef]
- Sugahara, T.; Korogi, Y.; Kochi, M.; Ikushima, I.; Shigematu, Y.; Hirai, T.; Okuda, T.; Liang, L.; Ge, Y.; Komohara, Y.; et al. Usefulness of diffusion-weighted MRI with echo-planar technique in the evaluation of cellularity in gliomas. J. Magn. Reson. Imaging 1999, 9, 53–60. [Google Scholar] [CrossRef]
- Ellingson, B.M.; Malkin, M.G.; Rand, S.D.; Connelly, J.M.; Quinsey, C.; LaViolette, P.S.; Bedekar, D.P.; Schmainda, K.M. Validation of functional diffusion maps (fDMs) as a biomarker for human glioma cellularity. J. Magn. Reson. Imaging 2010, 31, 538–548. [Google Scholar] [CrossRef] [PubMed]
- Hein, P.A.; Eskey, C.J.; Dunn, J.F.; Hug, E.B. Diffusion-weighted imaging in the follow-up of treated high-grade gliomas: Tumor recurrence versus radiation injury. AJNR Am. J. Neuroradiol. 2004, 25, 201–209. [Google Scholar] [PubMed]
- Decker, G.; Murtz, P.; Gieseke, J.; Traber, F.; Block, W.; Sprinkart, A.M.; Leitzen, C.; Buchstab, T.; Lutter, C.; Schuller, H.; et al. Intensity-modulated radiotherapy of the prostate: Dynamic ADC monitoring by DWI at 3.0 T. Radiother. Oncol. 2014, 113, 115–120. [Google Scholar] [CrossRef] [PubMed]
- Bains, L.J.; Zweifel, M.; Thoeny, H.C. Therapy response with diffusion MRI: An update. Cancer Imaging 2012, 12, 395–402. [Google Scholar] [CrossRef] [PubMed]
- McGarry, S.D.; Hurrell, S.L.; Kaczmarowski, A.L.; Cochran, E.J.; Connelly, J.; Rand, S.D.; Schmainda, K.M.; LaViolette, P.S. Magnetic Resonance Imaging-Based Radiomic Profiles Predict Patient Prognosis in Newly Diagnosed Glioblastoma before Therapy. Tomography 2016, 2, 223–228. [Google Scholar] [CrossRef] [PubMed]
- Kooreman, E.S.; van Houdt, P.J.; Nowee, M.E.; van Pelt, V.W.J.; Tijssen, R.H.N.; Paulson, E.S.; Gurney-Champion, O.J.; Wang, J.; Koetsveld, F.; van Buuren, L.D.; et al. Feasibility and accuracy of quantitative imaging on a 1.5 T MR-linear accelerator. Radiother. Oncol. 2019, 133, 156–162. [Google Scholar] [CrossRef]
- Thorwarth, D.; Ege, M.; Nachbar, M.; Monnich, D.; Gani, C.; Zips, D.; Boeke, S. Quantitative magnetic resonance imaging on hybrid magnetic resonance linear accelerators: Perspective on technical and clinical validation. Phys. Imaging Radiat. Oncol. 2020, 16, 69–73. [Google Scholar] [CrossRef]
- Habrich, J.; Boeke, S.; Nachbar, M.; Nikolaou, K.; Schick, F.; Gani, C.; Zips, D.; Thorwarth, D. Repeatability of diffusion-weighted magnetic resonance imaging in head and neck cancer at a 1.5 T MR-Linac. Radiother. Oncol. 2022, 174, 141–148. [Google Scholar] [CrossRef]
- Yang, Y.; Cao, M.; Sheng, K.; Gao, Y.; Chen, A.; Kamrava, M.; Lee, P.; Agazaryan, N.; Lamb, J.; Thomas, D.; et al. Longitudinal diffusion MRI for treatment response assessment: Preliminary experience using an MRI-guided tri-cobalt 60 radiotherapy system. Med. Phys. 2016, 43, 1369–1373. [Google Scholar] [CrossRef]
- Shaverdian, N.; Yang, Y.; Hu, P.; Hart, S.; Sheng, K.; Lamb, J.; Cao, M.; Agazaryan, N.; Thomas, D.; Steinberg, M.; et al. Feasibility evaluation of diffusion-weighted imaging using an integrated MRI-radiotherapy system for response assessment to neoadjuvant therapy in rectal cancer. Br. J. Radiol. 2017, 90, 20160739. [Google Scholar] [CrossRef]
- Lewis, B.; Guta, A.; Mackey, S.; Gach, H.M.; Mutic, S.; Green, O.; Kim, T. Evaluation of diffusion-weighted MRI and geometric distortion on a 0.35T MR-LINAC at multiple gantry angles. J. Appl. Clin. Med. Phys. 2021, 22, 118–125. [Google Scholar] [CrossRef]
- Tofts, P.S.; Kermode, A.G. Measurement of the blood-brain barrier permeability and leakage space using dynamic MR imaging. 1. Fundamental concepts. Magn. Reson. Med. 1991, 17, 357–367. [Google Scholar] [CrossRef] [PubMed]
- Tofts, P.S.; Brix, G.; Buckley, D.L.; Evelhoch, J.L.; Henderson, E.; Knopp, M.V.; Larsson, H.B.; Lee, T.Y.; Mayr, N.A.; Parker, G.J.; et al. Estimating kinetic parameters from dynamic contrast-enhanced T(1)-weighted MRI of a diffusable tracer: Standardized quantities and symbols. J. Magn. Reson. Imaging 1999, 10, 223–232. [Google Scholar] [CrossRef]
- Halle, C.; Andersen, E.; Lando, M.; Aarnes, E.K.; Hasvold, G.; Holden, M.; Syljuasen, R.G.; Sundfor, K.; Kristensen, G.B.; Holm, R.; et al. Hypoxia-induced gene expression in chemoradioresistant cervical cancer revealed by dynamic contrast-enhanced MRI. Cancer Res. 2012, 72, 5285–5295. [Google Scholar] [CrossRef]
- Wojcieszynski, A.P.; Rosenberg, S.A.; Brower, J.V.; Hullett, C.R.; Geurts, M.W.; Labby, Z.E.; Hill, P.M.; Bayliss, R.A.; Paliwal, B.; Bayouth, J.E.; et al. Gadoxetate for direct tumor therapy and tracking with real-time MRI-guided stereotactic body radiation therapy of the liver. Radiother. Oncol. 2016, 118, 416–418. [Google Scholar] [CrossRef]
- Posse, S.; Otazo, R.; Dager, S.R.; Alger, J. MR spectroscopic imaging: Principles and recent advances. J. Magn. Reson. Imaging 2013, 37, 1301–1325. [Google Scholar] [CrossRef]
- van Zijl, P.C.; Yadav, N.N. Chemical exchange saturation transfer (CEST): What is in a name and what isn’t? Magn. Reson. Med. 2011, 65, 927–948. [Google Scholar] [CrossRef]
- Wu, B.; Warnock, G.; Zaiss, M.; Lin, C.; Chen, M.; Zhou, Z.; Mu, L.; Nanz, D.; Tuura, R.; Delso, G. An overview of CEST MRI for non-MR physicists. EJNMMI Phys. 2016, 3, 19. [Google Scholar] [CrossRef] [PubMed]
- Ardenkjaer-Larsen, J.H.; Fridlund, B.; Gram, A.; Hansson, G.; Hansson, L.; Lerche, M.H.; Servin, R.; Thaning, M.; Golman, K. Increase in signal-to-noise ratio of >10,000 times in liquid-state NMR. Proc. Natl. Acad. Sci. USA 2003, 100, 10158–10163. [Google Scholar] [CrossRef]
- Weygand, J.; Carter, S.; Salzillo, T.; Moussalli, M.; Dai, B.; Zuo, X.; Flemming, J.; Shureiqi, I.; Bhattacharya, P. Can an Organoid Recapitulate the Metabolome of its Parent Tissue? A Pilot NMR Spectroscopy Study. J. Cancer Prev. Curr. Res. 2017, 8, 00307. [Google Scholar] [CrossRef][Green Version]
- Hangel, G.; Cadrien, C.; Lazen, P.; Furtner, J.; Lipka, A.; Heckova, E.; Hingerl, L.; Motyka, S.; Gruber, S.; Strasser, B.; et al. High-resolution metabolic imaging of high-grade gliomas using 7T-CRT-FID-MRSI. Neuroimage Clin. 2020, 28, 102433. [Google Scholar] [CrossRef] [PubMed]
- De Feyter, H.M.; Behar, K.L.; Corbin, Z.A.; Fulbright, R.K.; Brown, P.B.; McIntyre, S.; Nixon, T.W.; Rothman, D.L.; de Graaf, R.A. Deuterium metabolic imaging (DMI) for MRI-based 3D mapping of metabolism in vivo. Sci. Adv. 2018, 4, eaat7314. [Google Scholar] [CrossRef]
- Korzowski, A.; Weinfurtner, N.; Mueller, S.; Breitling, J.; Goerke, S.; Schlemmer, H.P.; Ladd, M.E.; Paech, D.; Bachert, P. Volumetric mapping of intra- and extracellular pH in the human brain using (31) P MRSI at 7T. Magn. Reson. Med. 2020, 84, 1707–1723. [Google Scholar] [CrossRef] [PubMed]
- Bogner, W.; Otazo, R.; Henning, A. Accelerated MR spectroscopic imaging-a review of current and emerging techniques. NMR Biomed. 2021, 34, e4314. [Google Scholar] [CrossRef] [PubMed]
- Henning, A.; Fuchs, A.; Murdoch, J.B.; Boesiger, P. Slice-selective FID acquisition, localized by outer volume suppression (FIDLOVS) for (1)H-MRSI of the human brain at 7 T with minimal signal loss. NMR Biomed. 2009, 22, 683–696. [Google Scholar] [CrossRef]
- Hovener, J.B.; Schwaderlapp, N.; Lickert, T.; Duckett, S.B.; Mewis, R.E.; Highton, L.A.; Kenny, S.M.; Green, G.G.; Leibfritz, D.; Korvink, J.G.; et al. A hyperpolarized equilibrium for magnetic resonance. Nat. Commun. 2013, 4, 2946. [Google Scholar] [CrossRef] [PubMed]
- Nelson, S.J.; Kurhanewicz, J.; Vigneron, D.B.; Larson, P.E.; Harzstark, A.L.; Ferrone, M.; van Criekinge, M.; Chang, J.W.; Bok, R.; Park, I.; et al. Metabolic imaging of patients with prostate cancer using hyperpolarized [1-(1)(3)C]pyruvate. Sci. Transl. Med. 2013, 5, 198ra108. [Google Scholar] [CrossRef]
- Zhou, J.Y.; van Zijl, P.C.M. Chemical exchange saturation transfer imaging and spectroscopy. Prog. Nucl. Mag. Res. Sp. 2006, 48, 109–136. [Google Scholar] [CrossRef]
- Meissner, J.E.; Korzowski, A.; Regnery, S.; Goerke, S.; Breitling, J.; Floca, R.O.; Debus, J.; Schlemmer, H.P.; Ladd, M.E.; Bachert, P.; et al. Early response assessment of glioma patients to definitive chemoradiotherapy using chemical exchange saturation transfer imaging at 7 T. J. Magn. Reson. Imaging 2019, 50, 1268–1277. [Google Scholar] [CrossRef]
- Paech, D.; Windschuh, J.; Oberhollenzer, J.; Dreher, C.; Sahm, F.; Meissner, J.E.; Goerke, S.; Schuenke, P.; Zaiss, M.; Regnery, S.; et al. Assessing the predictability of IDH mutation and MGMT methylation status in glioma patients using relaxation-compensated multipool CEST MRI at 7.0 T. Neuro Oncol. 2018, 20, 1661–1671. [Google Scholar] [CrossRef]
- Dubec, M.J.; Buckley, D.L.; Berks, M.; Clough, A.; Gaffney, J.; Datta, A.; McHugh, D.J.; Porta, N.; Little, R.A.; Cheung, S.; et al. First-in-human technique translation of oxygen-enhanced MRI to an MR Linac system in patients with head and neck cancer. Radiother. Oncol. 2023, 183, 109592. [Google Scholar] [CrossRef]
- Dewhirst, M.W.; Birer, S.R. Oxygen-Enhanced MRI Is a Major Advance in Tumor Hypoxia Imaging. Cancer Res. 2016, 76, 769–772. [Google Scholar] [CrossRef]
- O’Connor, J.P.; Jackson, A.; Buonaccorsi, G.A.; Buckley, D.L.; Roberts, C.; Watson, Y.; Cheung, S.; McGrath, D.M.; Naish, J.H.; Rose, C.J.; et al. Organ-specific effects of oxygen and carbogen gas inhalation on tissue longitudinal relaxation times. Magn. Reson. Med. 2007, 58, 490–496. [Google Scholar] [CrossRef]
- O’Connor, J.P.; Boult, J.K.; Jamin, Y.; Babur, M.; Finegan, K.G.; Williams, K.J.; Little, R.A.; Jackson, A.; Parker, G.J.; Reynolds, A.R.; et al. Oxygen-Enhanced MRI Accurately Identifies, Quantifies, and Maps Tumor Hypoxia in Preclinical Cancer Models. Cancer Res. 2016, 76, 787–795. [Google Scholar] [CrossRef]
- Salem, A.; Little, R.A.; Latif, A.; Featherstone, A.K.; Babur, M.; Peset, I.; Cheung, S.; Watson, Y.; Tessyman, V.; Mistry, H.; et al. Oxygen-enhanced MRI Is Feasible, Repeatable, and Detects Radiotherapy-induced Change in Hypoxia in Xenograft Models and in Patients with Non-small Cell Lung Cancer. Clin. Cancer Res. 2019, 25, 3818–3829. [Google Scholar] [CrossRef] [PubMed]
- Torres-Roca, J.F.; Eschrich, S.; Zhao, H.; Bloom, G.; Sung, J.; McCarthy, S.; Cantor, A.B.; Scuto, A.; Li, C.; Zhang, S.; et al. Prediction of radiation sensitivity using a gene expression classifier. Cancer Res. 2005, 65, 7169–7176. [Google Scholar] [CrossRef]
- Speers, C.; Zhao, S.; Liu, M.; Bartelink, H.; Pierce, L.J.; Feng, F.Y. Development and Validation of a Novel Radiosensitivity Signature in Human Breast Cancer. Clin. Cancer Res. 2015, 21, 3667–3677. [Google Scholar] [CrossRef]
- Sjöström, M.; Staaf, J.; Edén, P.; Wärnberg, F.; Bergh, J.; Malmström, P.; Fernö, M.; Niméus, E.; Fredriksson, I. Identification and validation of single-sample breast cancer radiosensitivity gene expression predictors. Breast Cancer Res. 2018, 20, 64. [Google Scholar] [CrossRef]
- Ferrandon, S.; Saultier, P.; Carras, J.; Battiston-Montagne, P.; Alphonse, G.; Beuve, M.; Malleval, C.; Honnorat, J.; Slatter, T.; Hung, N.; et al. Telomere profiling: Toward glioblastoma personalized medicine. Mol. Neurobiol. 2013, 47, 64–76. [Google Scholar] [CrossRef] [PubMed]
- Luxton, J.J.; McKenna, M.J.; Lewis, A.M.; Taylor, L.E.; Jhavar, S.G.; Swanson, G.P.; Bailey, S.M. Telomere Length Dynamics and Chromosomal Instability for Predicting Individual Radiosensitivity and Risk via Machine Learning. J. Pers. Med. 2021, 11, 188. [Google Scholar] [CrossRef] [PubMed]
- Souhami, L.; Seiferheld, W.; Brachman, D.; Podgorsak, E.B.; Werner-Wasik, M.; Lustig, R.; Schultz, C.J.; Sause, W.; Okunieff, P.; Buckner, J.; et al. Randomized comparison of stereotactic radiosurgery followed by conventional radiotherapy with carmustine to conventional radiotherapy with carmustine for patients with glioblastoma multiforme: Report of Radiation Therapy Oncology Group 93-05 protocol. Int. J. Radiat. Oncol. Biol. Phys. 2004, 60, 853–860. [Google Scholar] [CrossRef] [PubMed]
- Chan, J.L.; Lee, S.W.; Fraass, B.A.; Normolle, D.P.; Greenberg, H.S.; Junck, L.R.; Gebarski, S.S.; Sandler, H.M. Survival and failure patterns of high-grade gliomas after three-dimensional conformal radiotherapy. J. Clin. Oncol. 2002, 20, 1635–1642. [Google Scholar] [CrossRef] [PubMed]
- Laperriere, N.J.; Leung, P.M.; McKenzie, S.; Milosevic, M.; Wong, S.; Glen, J.; Pintilie, M.; Bernstein, M. Randomized study of brachytherapy in the initial management of patients with malignant astrocytoma. Int. J. Radiat. Oncol. Biol. Phys. 1998, 41, 1005–1011. [Google Scholar] [CrossRef] [PubMed]
- Selker, R.G.; Shapiro, W.R.; Burger, P.; Blackwood, M.S.; Arena, V.C.; Gilder, J.C.; Malkin, M.G.; Mealey, J.J., Jr.; Neal, J.H.; Olson, J.; et al. The Brain Tumor Cooperative Group NIH Trial 87-01: A randomized comparison of surgery, external radiotherapy, and carmustine versus surgery, interstitial radiotherapy boost, external radiation therapy, and carmustine. Neurosurgery 2002, 51, 343–355; discussion 355–347. [Google Scholar] [CrossRef] [PubMed]
- Botman, R.; Tetar, S.U.; Palacios, M.A.; Slotman, B.J.; Lagerwaard, F.J.; Bruynzeel, A.M.E. The clinical introduction of MR-guided radiation therapy from a RTT perspective. Clin. Transl. Radiat. Oncol. 2019, 18, 140–145. [Google Scholar] [CrossRef]
- Mittauer, K.; Paliwal, B.; Hill, P.; Bayouth, J.E.; Geurts, M.W.; Baschnagel, A.M.; Bradley, K.A.; Harari, P.M.; Rosenberg, S.; Brower, J.V.; et al. A New Era of Image Guidance with Magnetic Resonance-guided Radiation Therapy for Abdominal and Thoracic Malignancies. Cureus 2018, 10, e2422. [Google Scholar] [CrossRef]
- Kueng, R.; Guyer, G.; Volken, W.; Frei, D.; Stabel, F.; Stampanoni, M.F.M.; Manser, P.; Fix, M.K. Development of an extended Macro Monte Carlo method for efficient and accurate dose calculation in magnetic fields. Med. Phys. 2020, 47, 6519–6530. [Google Scholar] [CrossRef] [PubMed]
- Bryant, J.M.; Sim, A.J.; Feygelman, V.; Latifi, K.; Rosenberg, S.A. Adaptive hypofractionted and stereotactic body radiotherapy for lung tumors with real-time MRI guidance. Front. Oncol. 2023, 13, 1061854. [Google Scholar] [CrossRef]
- Kauczor, H.U.; Kreitner, K.F. Contrast-enhanced MRI of the lung. Eur. J. Radiol. 2000, 34, 196–207. [Google Scholar] [CrossRef]
- Farahani, K.; Sinha, U.; Sinha, S.; Chiu, L.C.; Lufkin, R.B. Effect of field strength on susceptibility artifacts in magnetic resonance imaging. Comput. Med. Imaging Graph. 1990, 14, 409–413. [Google Scholar] [CrossRef] [PubMed]
- Zikou, A.; Sioka, C.; Alexiou, G.A.; Fotopoulos, A.; Voulgaris, S.; Argyropoulou, M.I. Radiation Necrosis, Pseudoprogression, Pseudoresponse, and Tumor Recurrence: Imaging Challenges for the Evaluation of Treated Gliomas. Contrast Media Mol. Imaging 2018, 2018, 6828396. [Google Scholar] [CrossRef] [PubMed]
- Joint, H.; Neck Radiotherapy, M.R.I.D.C. Prospective analysis of in vivo landmark point-based MRI geometric distortion in head and neck cancer patients scanned in immobilized radiation treatment position: Results of a prospective quality assurance protocol. Clin. Transl. Radiat. Oncol. 2017, 7, 13–19. [Google Scholar] [CrossRef]
Disclaimer/Publisher’s Note: The statements, opinions and data contained in all publications are solely those of the individual author(s) and contributor(s) and not of MDPI and/or the editor(s). MDPI and/or the editor(s) disclaim responsibility for any injury to people or property resulting from any ideas, methods, instructions or products referred to in the content. |
© 2023 by the authors. Licensee MDPI, Basel, Switzerland. This article is an open access article distributed under the terms and conditions of the Creative Commons Attribution (CC BY) license (https://creativecommons.org/licenses/by/4.0/).
