Updated Review and Clinical Recommendations for the Diagnosis and Treatment of Patients with Retroperitoneal Sarcoma by the Spanish Sarcoma Research Group (GEIS)
Abstract
Simple Summary
Abstract
1. Introduction
2. Methodology
3. Warning Signs and Indications for Referral to Specialist Sarcoma Centers—What Can the Reference Center Offer?
- Recommendation
- In the case of a suspected RPS, patients should be referred promptly to a sarcoma expert center or reference network (IV, A).
4. Diagnostic Approach to RPS: Imaging and Pathology Diagnosis
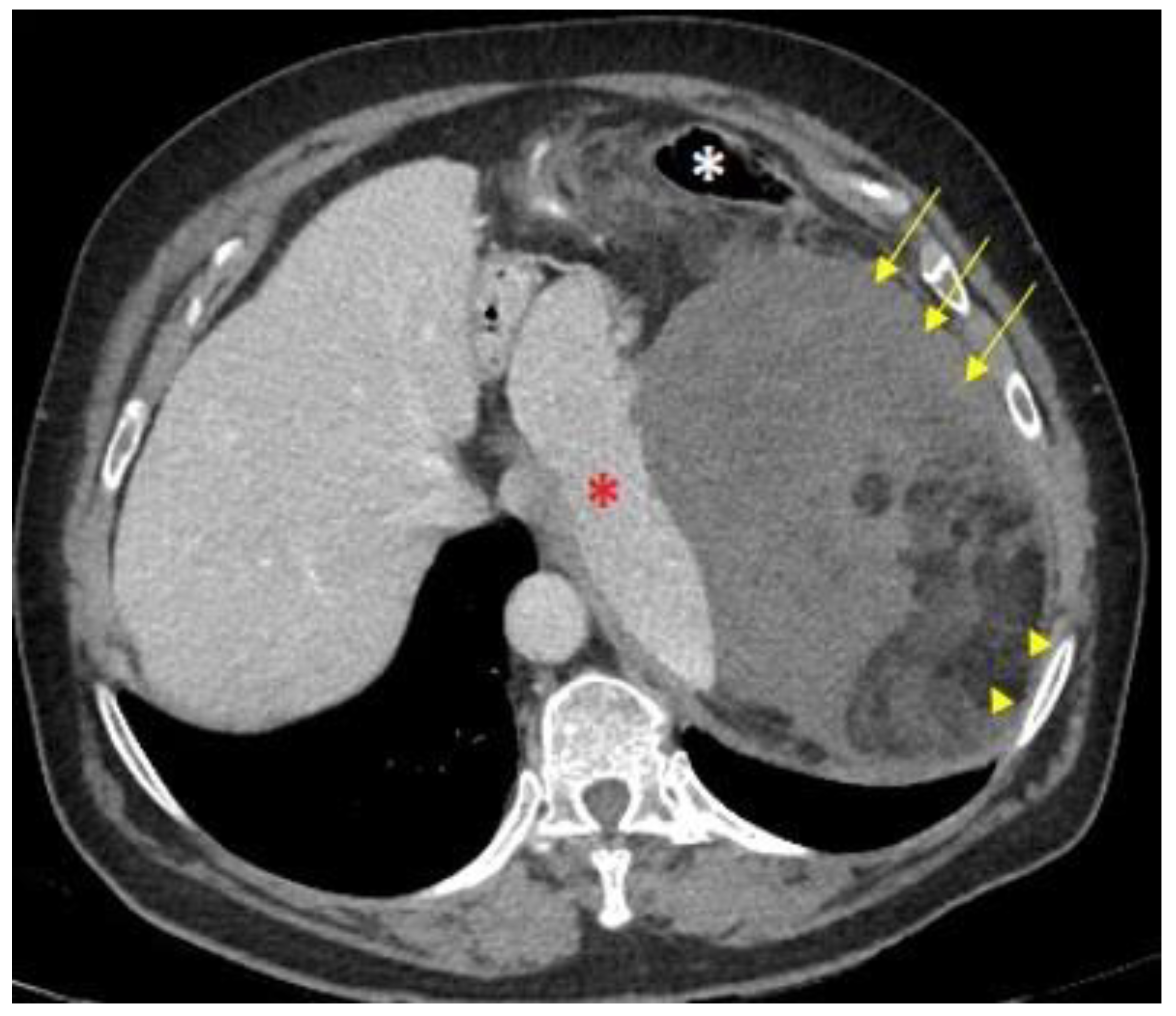
4.1. Imaging Diagnosis
- Recommendations
- A CT scan is the imaging technique of choice for the diagnosis and evaluation of resection of retroperitoneal sarcomas (IV, A).
- MRI is also recommended to evaluate pelvic tumors (IV, A).
4.2. Biopsy
- Recommendations
- Before any treatment for a suspected RPS, a core needle biopsy should be performed (IV, A).
- It should be directed to the most “dedifferentiated” solid areas (IV, A).
- In RPS with metastases, a biopsy of the metastatic sites could be considered to reach a histological diagnosis if they are more easily accessible (V, B).
4.3. Pathological Diagnosis of Soft Tissue Sarcomas—Indication of Molecular Studies
- A macroscopic description: measurements of the surgical specimen, type of surgical specimen, and identification of the tissues and organs included.
- Description of the tumor: size, appearance, location, presence of necrosis, and invasion of neighboring structures.
- Resection margins: the distance of the tumor to the margins should be measured and those that are less than 2 cm should be specified. It should be indicated whether the margin is formed by fascia, visceral, adventitial, or periosteal tissue.
- Presence and description of satellite nodules.
- Lymph nodes: although lymph node involvement is rare in STS (except for rhabdomyosarcoma (RMS), angiosarcoma, or epithelioid sarcoma), the status of any lymph nodes present should be included.
- Any additional techniques performed should be reported: IHC, reverse transcriptase-polymerase chain reaction (RT-PCR), next generation sequencing (NGS), multiplex ligation-dependent probe amplification (MLPA), fluorescence in situ hybridization (FISH), and their results.
- Recommendations
- Detection of MDM2 amplification by FISH is currently the gold standard for the diagnosis of WD/DDLPS (I, A).
- Molecular testing has no diagnostic role in leiomyosarcoma, SFT, or MPNST (I, A).
5. Preoperative Functional Assessment
- Recommendations
- Perioperative assessment and support are recommended when surgical resection is planned (IV, A).
- Renal function and nutritional status should be evaluated during surgical planning (IV, A).
6. Staging and Risk Assessment
- Recommendation
- The use of nomograms as predictive tools for survival and risk of relapse may be useful in adjuvant treatment decision-making and patient selection for clinical trials (III, C).
7. Treatment of Resectable Localized Disease
7.1. The Primary Surgical Approach in Localized Disease—Adapting the Surgical Approach to the Histological Subtype
- Recommendations
- RPS surgery should be performed in referral centers by experienced surgeons (III, A).
- In LPS, it is recommended to remove all adipose tissue in the affected retroperitoneal space “en bloc” following a policy of “liberal organ resection” (III, A).
- In “non-liposarcoma” LPS, surgery should attempt to achieve a macroscopically complete resection in a single piece encompassing the tumor and contiguous affected organs (III, A).
- The decision to preserve specific organs should be individualized, taking into account the biology of the tumor, its extent, and the patient’s characteristics (V, A).
7.2. Management after Simple Excision (with Residual Macroscopic Disease)
- Recommendations
- Unplanned, grossly incomplete resection should be avoided (III, A).
- Patients with RPS undergoing inadequate primary surgery should be referred to specialized sarcoma centers, and complete surgery may be considered (IV, A).
- The extent of resection should be as required to achieve complete gross resection (IV, B).
7.3. Preoperative or Postoperative Radiotherapy
- Recommendations
- Preoperative RT should not be routinely performed in resectable RPS (I, C).
- Neoadjuvant RT may be considered in primary low/intermediate grade retroperitoneal LPS (II, B).
- Postoperative RT is generally discouraged due to the high risk of toxicity (IV, D).
- As a dose-escalation technique, IORT after maximal stress surgery may reduce the risk of microscopic residual disease areas, improving local disease control (II, B).
7.4. Adjuvant/Neoadjuvant Chemotherapy
- Recommendations
- Neoadjuvant or adjuvant CT is not recommended in a non-selected RPS population (II, C).
- However, preoperative CT could be considered in selected patients, mainly in unresectable or borderline resectable cases with grade 3 DDLPS (with anthracycline-ifosfamide) and LMS (with anthracycline-dacarbazine) (IV, C).
- Preoperative targeted therapy could be considered for some specific, rare histotypes (III, C).
8. Treatment of Local Recurrence
- -
- If the primary surgery was a marginal surgery in a non-reference center without an expert MDT, extended en bloc resection should be considered in cases with isolated recurrences (especially in LPS and above all WDLPS) and tumor growth rates < 1 cm/month.
- -
- If the primary surgery was extended and complete, surgery should be offered if macroscopic resection is possible, with favorable histology and a previous disease-free interval >1 year.
- -
- In the particular case of WDLPS, it is advisable to monitor the initial evolution of the recurrence and avoid very early intervention [62].
- Recommendations
- Surgical treatment decided by an experienced MDT is the treatment of choice for the first resectable LR (IV, A).
- Neoadjuvant therapy should be considered, especially in recurrent RPS with high-grade, borderline complete resection, a short disease-free interval, or high surgical morbidity (V, B) [41].
9. Treatment of Localized Unresectable Disease
- Recommendations
- Patients with technically unresectable RPS with an acceptable PS, and especially high-grade, and sensitive histologies should be treated with CT (IV, B). In the case of an objective response, surgical possibilities should be reconsidered (IV, B).
- In unresectable RPS with chemoresistant histologies (e.g., WDLPS) and in patients who are not candidates for CT (PS or comorbidity), RT may be an effective option (i.e., SFT) (IV, B).
- Palliative RT, less aggressive CT, and BSC are options that should be considered to alleviate symptoms in patients with poor PS or severe comorbidities (IV, B).
10. Treatment of Advanced Disease
10.1. Surgical Treatment of Advanced Disease
- Recommendations
- In metastatic PRS disease, prior evaluation by a MDT is essential to properly establish the surgical indications (IV, B).
- Surgery in oligometastatic disease may be considered in selected patients with good PS and favorable tumor biology (DFS greater than 12 months) or prolonged control (ORR or SD) of disease with systemic CT therapy (IV, B).
10.2. Radiotherapy Treatment in Advanced Disease
- Recommendations
- SBRT should be considered an option in the management of oligometastatic disease in patients who are not candidates for surgical management (IV, B).
- RT may be used for the purpose of relieving RPS-related symptoms. (IV, A).
10.3. Systemic Treatment of Advanced Disease
- Recommendations
- In low-grade RPS, especially in asymptomatic patients, active surveillance may be a good option (IV, C).
- Anthracycline-based chemotherapy is the standard first-line treatment of advanced disease (II, A). Anthracycline-based combinations (II, A) can be evaluated in fit patients, when surgical salvage is the goal, and in patients in whom a dimensional response might improve symptoms.
- Several second-line and subsequent treatments are available for the treatment of patients after progression or in those who are ineligible for first-line, and the decision is based on histology, toxicity profile, and patient preference (IV, C):
- Although there is additional evidence of trabectedin activity in L-sarcomas (I, A) it can be considered in the treatment of all sarcoma subtypes (III, B).
- Pazopanib is indicated in the treatment of non-LPS (II, A).
- Eribulin is an alternative in the treatment of LPS (I, A).
- GZT combinations, preferably with DTIC, due to a better tolerability profile, are an especially useful alternative in LMS (II, B).
- High-dose ifosfamide is an option, particularly in synovial sarcoma (III, B).
- Inclusion in clinical trials should always be considered in this situation (IV, B).
11. New and Upcoming Therapies
- Recommendations
- Inclusion in clinical trials for advanced disease patients is highly recommended (V, A).
- NGS and other -omics are needed to increase knowledge, to select patients for clinical trials, and identify potential driven treatments (V, A).
12. Follow-Up
- Recommendations
- Postoperative follow-up of patients at high/intermediate risk of recurrence should be performed with thoracic and abdominopelvic CT every 3–4 months for the first 2–3 years, every 6 months for the next 3 years, and once a year thereafter (V, B).
- Patients at low risk of recurrence can be followed with abdominopelvic CT and chest X-ray every 4–6 months for the first 3–5 years, then once a year thereafter (V, B).
- Long-term follow-up of patients beyond 5–10 years is recommended (IV, B).
13. Conclusions
Author Contributions
Funding
Conflicts of Interest
References
- Gronchi, A.; Miah, A.B.; Dei Tos, A.P.; Abecassis, N.; Bajpai, J.; Bauer, S.; Biagini, R.; Bielack, S.; Blay, J.Y.; Bolle, S.; et al. Soft tissue and visceral sarcomas: ESMO-EHURACAN-GENTURIS Clinical Practice Guidelines for diagnosis, treatment, and follow-up. Ann. Oncol. 2021, 32, 1348–1365. [Google Scholar] [CrossRef] [PubMed]
- De Juan Ferré, A.; Álvarez Álvarez, R.; Casado Herráez, A.; Cruz Jurado, J.; Estival González, A.; Morales, C.V. SEOM Clinical Guideline of management of soft-tissue sarcoma (2020). Clin. Transl. Oncol. 2021, 23, 922–930. [Google Scholar] [CrossRef] [PubMed]
- WHO Classification of Tumours Editorial Board. WHO Classification of Tumors of Soft Tissue and Bone, 5th ed.; IARC WHO Classification of Tumors, No. 3; WHO: Geneva, Switzerland, 2020; ISBN 978-9-28324-502-5.
- Gamboa, A.C.; Gronchi, A.; Cardona, K. Soft-tissue sarcoma in adults: An update on the current state of histiotype-specific management in an era of personalized medicine. CA Cancer J. Clin. 2020, 70, 200–229. [Google Scholar] [CrossRef] [PubMed]
- Dykewicz, C.A. Summary of the guidelines for preventing opportunistic infections among hematopoietic stem cell transplant recipients. Clin. Infect. Dis. 2001, 33, 139–144. [Google Scholar] [CrossRef]
- Bonvalot, S.; Gaignard, E.; Stoeckle, E.; Meeus, P.; Decanter, G.; Carrere, S.; Honore, C.; Delhorme, J.B.; Fau, M.; Tzanis, D.; et al. Survival Benefit of the Surgical Management of Retroperitoneal Sarcoma in a Reference Center: A Nationwide Study of the French Sarcoma Group from the NetSarc Database. Ann. Surg. Oncol. 2019, 26, 2286–2293. [Google Scholar] [CrossRef]
- Villano, A.M.; Zeymo, A.; Chan, K.S.; Shara, N.; Al-Refaie, W.B. Identifying the Minimum Volume Threshold for Retroperitoneal Soft Tissue Sarcoma Resection: Merging National Data with Consensus Expert Opinion. J. Am. Coll. Surg. 2020, 230, 151–160.e2. [Google Scholar] [CrossRef]
- Blay, J.Y.; Soibinet, P.; Penel, N.; Bompas, E.; Duffaud, F.; Stoeckle, E.; Mir, O.; Adam, J.; Chevreau, C.; Bonvalot, S.; et al. Improved survival using specialized multidisciplinary board in sarcoma patients. Ann. Oncol. 2017, 28, 2852–2859. [Google Scholar] [CrossRef]
- Andritsch, E.; Beishon, M.; Bielack, S.; Bonvalot, S.; Casali, P.; Crul, M.; Delgado-Bolton, R.; Donati, D.M.; Douis, H.; Haas, R.; et al. ECCO essential requirements for quality cancer care: Soft tissue sarcoma in adults and bone sarcoma. A critical review. Crit. Rev. Oncol. Hematol. 2017, 110, 94–105. [Google Scholar] [CrossRef]
- Pham, V.; Henderson-Jackson, E.; Doepker, M.P.; Caracciolo, J.T.; Gonzalez, R.J.; Druta, M.; Ding, Y.; Bui, M.M. Practical issues for retroperitoneal sarcoma. Cancer Control 2016, 23, 249–264. [Google Scholar] [CrossRef]
- Al-Dasugi, K.; Irshaid, L.; Mathur, M. Radiologic-pathologic correlation of primary retroperitoneal neoplasms. Radiographics 2020, 40, 1631–1657. [Google Scholar] [CrossRef]
- Messiou, C.; Moskovic, E.; Vanel, D.; Morosi, C.; Benchimol, R.; Strauss, D.; Miah, A.; Douis, H.; van Houdt, W.; Bonvalot, S. Primary retroperitoneal soft tissue sarcoma: Imaging appearances, pitfalls and diagnostic algorithm. Eur. J. Surg. Oncol. 2017, 43, 1191–1198. [Google Scholar] [CrossRef] [PubMed]
- Mullinax, J.E.; Zager, J.S.; Gonzalez, R.J. Current diagnosis and management of retroperitoneal sarcoma. Cancer Control 2011, 18, 177–187. [Google Scholar] [CrossRef]
- Ionnadis, J.P.; Lau, J. 18F-FDG PET for the diagnosis and grading of soft-tissue sarcoma: A meta-analysis. J. Nucl. Med. 2003, 44, 717–724. [Google Scholar]
- Almond, L.M.; Tirotta, F.; Tattersall, H.; Hodson, J.; Cascella, T.; Barisella, M.; Marchianò, A.; Greco, G.; Desai, A.; Ford, S.J.; et al. Diagnostic accuracy of percutaneous biopsy in retroperitoneal sarcoma. Br. J. Surg. 2019, 106, 395–403. [Google Scholar] [CrossRef]
- Straker, R.J., 3rd; Song, Y.; Shannon, A.B.; Marcinak, C.T.; Miura, J.T.; Fraker, D.L.; Karakousis, G.C. Preoperative Biopsy in Patients with Retroperitoneal Sarcoma: Usage and Outcomes in a National Cohort. Ann. Surg. Oncol. 2021, 28, 6868–6879. [Google Scholar] [CrossRef]
- Tirotta, F.; Morosi, C.; Hodson, J.; Desai, A.; Barisella, M.; Ford, S.J.; Gronchi, A.; Almond, L.M.; Fiore, M. Improved Biopsy Accuracy in Retroperitoneal Dedifferentiated Liposarcoma. Ann. Surg. Oncol. 2020, 27, 4574–4581. [Google Scholar] [CrossRef]
- Van Houdt, W.J.; Schrijver, A.M.; Cohen-Hallaleh, R.B.; Memos, N.; Fotiadis, N.; Smith, M.J.; Hayes, A.J.; Van Coevorden, F.; Strauss, D.C. Needle tract seeding following core biopsies in retroperitoneal sarcoma. Eur. J. Surg. Oncol. 2017, 43, 1740–1745. [Google Scholar] [CrossRef]
- Berger-Richardson, D.; Burtenshaw, S.M.; Ibrahim, A.M.; Gladdy, R.A.; Auer, R.; Beecroft, R.; Dickson, B.C.; Purgina, B.; Ambacher, K.; Nessim, C.; et al. Early and Late Complications of Percutaneous Core Needle Biopsy of Retroperitoneal Tumors at Two Tertiary Sarcoma Centers. Ann. Surg. Oncol. 2019, 26, 4692–4698. [Google Scholar] [CrossRef] [PubMed]
- Choi, J.H.; Ro, J.Y. Retroperitoneal Sarcomas: An Update on the Diagnostic Pathology Approach. Diagnostics 2020, 10, 642. [Google Scholar] [CrossRef] [PubMed]
- Fritchie, K.J. Diagnostically Challenging “Fatty” Retroperitoneal Tumors. Surg. Pathol. Clin. 2015, 8, 375–397. [Google Scholar] [CrossRef] [PubMed]
- Wardelmann, E.; Haas, R.L.; Bovée, J.V.; Terrier, P.; Lazar, A.; Messiou, C.; LePechoux, C.; Hartmann, W.; Collin, F.; Fisher, C.; et al. Evaluation of response after neoadjuvant treatment in soft tissue sarcomas; the European Organization for Research and Treatment of Cancer-Soft Tissue and Bone Sarcoma Group (EORTC-STBSG) recommendations for pathological examination and reporting. Eur. J. Cancer. 2016, 53, 84–95. [Google Scholar] [CrossRef] [PubMed]
- Stahl, C.C.; Schwartz, P.B.; Ethun, C.G.; Marka, N.; Krasnick, B.A.; Tran, T.B.; Poultsides, G.A.; Roggin, K.K.; Fields, R.C.; Clarke, C.N.; et al. Renal Function After Retroperitoneal Sarcoma Resection with Nephrectomy: A Matched Analysis of the United States Sarcoma Collaborative Database. Ann. Surg. Oncol. 2021, 28, 1690–1696. [Google Scholar] [CrossRef] [PubMed]
- Zanello, M. Linee guida SINPE per la Nutrizione Artificiale Ospedaliera 2002. Riv. Ital. Nutr. Parenter. Enter. 2022, 20 (Suppl. S5), S9–S11. [Google Scholar]
- Previtali, P.; Fiore, M.; Colombo, J.; Arendar, I.; Fumagalli, L.; Pizzocri, M.; Colombo, C.; Rampello, N.N.; Mariani, L.; Gronchi, A.; et al. Malnutrition and Perioperative Nutritional Support in Retroperitoneal Sarcoma Patients: Results from a Prospective Study. Ann. Surg. Oncol. 2020, 27, 2025–2032. [Google Scholar] [CrossRef] [PubMed]
- Kirov, K.M.; Xu, H.P.; Crenn, P.; Goater, P.; Tzanis, D.; Bouhadiba, M.T.; Abdelhafidh, K.; Kirova, Y.M.; Bonvalot, S. Role of nutritional status in the early postoperative prognosis of patients operated for retroperitoneal liposarcoma (RLS): A single center experience. Eur. J. Surg. Oncol. 2019, 45, 261–267. [Google Scholar] [CrossRef]
- Callegaro, D.; Miceli, R.; Gladdy, R.A. Prognostic models for RPS patients-Attempting to predict patient outcomes. J. Surg. Oncol. 2018, 117, 69–78. [Google Scholar] [CrossRef]
- Gronchi, A.; Miceli, R.; Shurell, E.; Eilber, F.C.; Eilber, F.R.; Anaya, D.A.; Kattan, M.W.; Honoré, C.; Lev, D.C.; Colombo, C.; et al. Outcome prediction in primary resected retroperitoneal soft tissue sarcoma: Histology-specific overall survival and disease-free survival nomograms built on major sarcoma center data sets. J. Clin. Oncol. 2013, 31, 1649–1655. [Google Scholar] [CrossRef] [PubMed]
- Callegaro, D.; Barretta, F.; Swallow, C.J.; Strauss, D.C.; Bonvalot, S.; Honorè, C.; Stoeckle, E.; van Coevorden, F.; Haas, R.; Rutkowski, P.; et al. Longitudinal prognostication in retroperitoneal sarcoma survivors: Development and external validation of two dynamic nomograms. Eur. J. Cancer. 2021, 157, 291–300. [Google Scholar] [CrossRef]
- Tan, M.C.; Brennan, M.F.; Kuk, D.; Agaram, N.P.; Antonescu, C.R.; Qin, L.X.; Moraco, N.; Crago, A.M.; Singer, S. Histology-based Classification Predicts Pattern of Recurrence and Improves Risk Stratification in Primary Retroperitoneal Sarcoma. Ann. Surg. 2016, 263, 593–600. [Google Scholar] [CrossRef]
- Zhuang, A.; Wu, Q.; Lu, W.; Tong, H.; Zhang, Y. Prognostic Factor Analysis and Nomogram Construction of Primary Retroperitoneal Liposarcoma: A Review of 10 Years of Treatment Experience in a Single Asian Cohort of 211 Cases. Front. Oncol. 2022, 11, 777647. [Google Scholar] [CrossRef]
- Li, Y.; Wu, G.; Zhang, Y.; Yang, W.; Wang, X.; Duan, L.; Niu, L.; Chen, J.; Zhou, W.; Liy, J.; et al. Development and Validation of a Prognostic Model to Predict the Prognosis of Patients with Retroperitoneal Liposarcoma: A Large International Population-Based Cohort Study. Front. Oncol. 2022, 12, 857827. [Google Scholar] [CrossRef]
- Raut, C.P.; Callegaro, D.; Miceli, R.; Barretta, F.; Rutkowski, P.; Blay, J.Y.; Lahat, G.; Strauss, D.C.; Gonzalez, R.; Ahuja, N.; et al. Predicting Survival in Patients Undergoing Resection for Locally Recurrent Retroperitoneal Sarcoma: A Study and Novel Nomogram from TARPSWG. Clin. Cancer Res. 2019, 25, 2664–2671. [Google Scholar] [CrossRef]
- Callegaro, D.; Raut, C.P.; Swallow, C.J.; Gronchi, A. Retroperitoneal sarcoma: The Transatlantic Australasian Retroperitoneal Sarcoma Working Group Program. Curr. Opin. Oncol. 2021, 33, 301–308. [Google Scholar] [CrossRef]
- Munoz, P.; Bretcha-Boix, P.; Artigas, V.; Asencio, J.M. Surgical Principles of Primary Retroperitoneal Sarcoma in the Era of Personalized Treatment: A Review of the Frontline Extended Surgery. Cancers 2022, 14, 4091. [Google Scholar] [CrossRef] [PubMed]
- Asencio Pascual, J.M.; Fernandez Hernandez, J.A.; Blanco Fernandez, G.; Muñoz Casares, C.; Álvarez Álvarez, R.; Fox Anzorena, B.; Lozano Borbalas, A.; Rodriguez Blanco, M.; Cantin Blázquez, S.; Artigas Raventós, V. Update in pelvic and retroperitoneal sarcoma management: The role of compartment surgery. Cir. Esp. Engl. Ed. 2019, 97, 480–488, (In English, Spanish). [Google Scholar] [CrossRef] [PubMed]
- Swallow, C.J.; Strauss, D.C.; Bonvalot, S.; Rutkowski, P.; Desai, A.; Gladdy, R.A.; Gonzalez, R.; Gyorki, D.E.; Fairweather, M.; van Houdt, W.J.; et al. Management of Primary Retroperitoneal Sarcoma (RPS) in the Adult: An Updated Consensus Approach from the Transatlantic Australasian RPS Working Group. Ann. Surg. Oncol. 2021, 28, 7873–7888. [Google Scholar] [CrossRef]
- Kasper, B.; Baldi, G.G.; Loong, H.H.; Trent, J. EJSO educational Special issue from the TARPSWG—Standard medical treatment and new options in retroperitoneal sarcoma. Eur. J. Surg. Oncol. 2021, 49, 1133–1139. [Google Scholar] [CrossRef]
- Carbone, F.; Pizzolorusso, A.; Di Lorenzo, G.; Di Marzo, M.; Cannella, L.; Barretta, M.L.; Delrio, P.; Tafuto, S. Multidisciplinary Management of Retroperitoneal Sarcoma: Diagnosis, Prognostic Factors and Treatment. Cancers 2021, 13, 4016. [Google Scholar] [CrossRef]
- Maurice, M.J.; Yih, J.M.; Ammori, J.B.; Abouassaly, R. Predictors of surgical quality for retroperitoneal sarcoma: Volume matters. J. Surg. Oncol. 2017, 116, 766–774. [Google Scholar] [CrossRef]
- Trans-Atlantic RPS Working Group. Management of recurrent retroperitoneal sarcoma (RPS) in the adult: A consensus approach from the Trans-Atlantic RPS Working Group. Ann. Surg. Oncol. 2016, 23, 3532–3540. [Google Scholar]
- Kirane, A.; Crago, A.M. The importance of surgical margins in retroperitoneal sarcoma. J. Surg. Oncol. 2016, 113, 270–276. [Google Scholar] [CrossRef]
- Anaya, D.A.; Lev, D.C.; Pollock, R.E. The role of surgical margin status in retroperitoneal sarcoma. J. Surg. Oncol. 2008, 98, 607–610. [Google Scholar] [CrossRef]
- Nizri, E.; Fiore, M.; Colombo, C.; Radaelli, S.; Callegaro, D.; Sanfilippo, R.; Sangalli, C.; Collini, P.; Morosi, C.; Stacchiotti, S.; et al. Completion surgery of residual disease after primary inadequate surgery of retroperitoneal sarcomas can salvage a selected subgroup patients—A propensity score analysis. J. Surg. Oncol. 2019, 119, 318–323. [Google Scholar] [CrossRef] [PubMed]
- Hamilton, T.D.; Cannell, A.J.; Kim, M.; Catton, C.N.; Blackstein, M.E.; Dickson, B.C.; Gladdy, R.A.; Swallow, C.J. Results of Resection for Recurrent or Residual Retroperitoneal Sarcoma After Failed Primary Treatment. Ann. Surg. Oncol. 2017, 24, 211–218. [Google Scholar] [CrossRef] [PubMed]
- Nussbaum, D.P.; Rushing, C.N.; Lane, W.O.; Cardona, D.M.; Kirsch, D.G.; Peterson, B.L.; Blazer, D.G., 3rd. Preoperative or postoperative radiotherapy versus surgery alone for retroperitoneal sarcoma: A case-control, propensity score-matched analysis of a nationwide clinical oncology database. Lancet Oncol. 2016, 17, 966–975. [Google Scholar] [CrossRef]
- Bonvalot, S.; Gronchi, A.; Le Péchoux, C.; Swallow, C.J.; Strauss, D.; Meeus, P.; van Coevorden, F.; Stoldt, S.; Stoeckle, E.; Rutkowski, P.; et al. Preoperative radiotherapy plus surgery versus surgery alone for patients with primary retroperitoneal sarcoma (EORTC-62092: STRASS): A multicentre, open-label, randomised, phase 3 trial. Lancet Oncol. 2020, 21, 1366–1377. [Google Scholar] [CrossRef] [PubMed]
- Callegaro, D.; Raut, C.P.; Ajayi, T.; Strauss, D.; Bonvalot, S.; Ng, D.; Stoeckle, E.; Fairweather, M.; Rutkowski, P.; van Houdt, W.J.; et al. Preoperative Radiotherapy in Patients with Primary Retroperitoneal Sarcoma: EORTC-62092 Trial (STRASS) Versus Off-trial (STREXIT) Results. Ann. Surg. 2022; epub ahead of print. [Google Scholar] [CrossRef]
- Baldini, E.H.; Wang, D.; Haas, R.L.; Catton, C.N.; Indelicato, D.J.; Kirsch, D.G.; Roberge, D.; Salerno, K.; Deville, C.; Guadagnolo, B.A.; et al. Treatment Guidelines for Preoperative Radiation Therapy for Retroperitoneal Sarcoma: Preliminary Consensus of an International Expert Panel. Int. J. Radiat. Oncol. Biol. Phys. 2015, 92, 602–612. [Google Scholar] [CrossRef]
- DeLaney, T.F.; Chen, Y.L.; Baldini, E.H.; Wang, D.; Adams, J.; Hickey, S.B.; Yeap, B.Y.; Hahn, S.M.; De Amorim Bernstein, K.; Nielsen, G.P.; et al. Phase 1 trial of preoperative image guided intensity modulated proton radiation therapy with simultaneously integrated boost to the high risk margin for retroperitoneal sarcomas. Adv. Radiat. Oncol. 2017, 2, 85–93. [Google Scholar] [CrossRef]
- Bates, J.E.; Dhakal, S.; Mazloom, A.; Constine, L.S. The Benefit of Adjuvant Radiotherapy in High-grade Nonmetastatic Retroperitoneal Soft Tissue Sarcoma: A SEER Analysis. Am. J. Clin. Oncol. 2018, 41, 274–279. [Google Scholar] [CrossRef]
- Sindelar, W.F.; Kinsella, T.J.; Chen, P.W.; DeLaney, T.F.; Tepper, J.E.; Rosenberg, S.A.; Glatstein, E. Intraoperative radiotherapy in retroperitoneal sarcomas. Final results of a prospective, randomized, clinical trial. Arch. Surg. 1993, 128, 402–410. [Google Scholar] [CrossRef] [PubMed]
- Roeder, F.; Krempien, R. Intraoperative radiation therapy (IORT) in soft-tissue sarcoma. Radiat. Oncol. 2017, 12, 20. [Google Scholar] [CrossRef]
- Gronchi, A.; Palmerini, E.; Quagliuolo, V.; Martin Broto, J.; Lopez Pousa, A.; Grignani, G.; Brunello, A.; Blay, J.Y.; Tendero, O.; Diaz Beveridge, R.; et al. Neoadjuvant Chemotherapy in High-Risk Soft Tissue Sarcomas: Final Results of a Randomized Trial from Italian (ISG), Spanish (GEIS), French (FSG), and Polish (PSG) Sarcoma Groups. J. Clin. Oncol. 2020, 38, 2178–2186. [Google Scholar] [CrossRef] [PubMed]
- Ma, S.J.; Oladeru, O.T.; Farrugia, M.K.; Shekher, R.; Iovoli, A.J.; Singh, A.K. Evaluation of Preoperative Chemotherapy or Radiation and Overall Survival in Patients with Nonmetastatic, Resectable Retroperitoneal Sarcoma. JAMA Netw. Open. 2020, 3, e2025529. [Google Scholar] [CrossRef]
- Li, X.; Wu, T.; Xiao, M.; Wu, S.; Min, L.; Luo, C. Adjuvant therapy for retroperitoneal sarcoma: A meta-analysis. Radiat. Oncol. 2021, 16, 196. [Google Scholar] [CrossRef]
- Gronchi, A.; Strauss, D.C.; Miceli, R.; Bonvalot, S.; Swallow, C.J.; Hohenberger, P.; Van Coevorden, F.; Rutkowski, P.; Callegaro, D.; Hayes, A.J.; et al. Variability in Patterns of Recurrence After Resection of Primary Retroperitoneal Sarcoma (RPS): A Report on 1007 Patients from the Multi-institutional Collaborative RPS Working Group. Ann. Surg. 2016, 263, 1002–1009. [Google Scholar] [CrossRef]
- Tseng, W.W.; Barretta, F.; Conti, L.; Grignani, G.; Tolomeo, F.; Albertsmeier, M.; Angele, M.K.; Rutkowski, P.; Skoczylas, J.; De Paoli, A.; et al. Defining the role of neoadjuvant systemic therapy in high-risk retroperitoneal sarcoma: A multi-institutional study from the Transatlantic Australasian Retroperitoneal Sarcoma Working Group. Cancer 2021, 127, 729–738. [Google Scholar] [CrossRef]
- Schöffski, P.; Kubickova, M.; Wozniak, A.; Blay, J.Y.; Strauss, S.J.; Stacchiotti, S.; Switaj, T.; Bücklein, V.; Leahy, M.G.; Italiano, A.; et al. Long-term efficacy update of crizotinib in patients with advanced, inoperable inflammatory myofibroblastic tumour from EORTC trial 90101 CREATE. Eur. J. Cancer 2021, 156, 12–23. [Google Scholar] [CrossRef]
- Martin-Broto, J.; Hindi, N.; Lopez-Pousa, A.; Peinado-Serrano, J.; Alvarez, R.; Alvarez-Gonzalez, A.; Italiano, A.; Sargos, P.; Cruz-Jurado, J.; Isern-Verdum, J.; et al. Assessment of Safety and Efficacy of Combined Trabectedin and Low-Dose Radiotherapy for Patients with Metastatic Soft-Tissue Sarcomas: A Nonrandomized Phase 1/2 Clinical Trial. JAMA Oncol. 2020, 6, 535–541. [Google Scholar] [CrossRef] [PubMed]
- MacNeill, A.J.; Miceli, R.; Strauss, D.C.; Bonvalot, S.; Hohenberger, P.; Van Coevorden, F.; Rutkowski, P.; Callegaro, D.; Hayes, A.J.; Honoré, C.; et al. Post-relapse outcomes after primary extended resection of retroperitoneal sarcoma: A report from the Trans-Atlantic RPS Working Group. Cancer 2017, 123, 1971–1978. [Google Scholar] [CrossRef]
- Ikoma, N.; Roland, C.L.; Torres, K.E.; Chiang, Y.J.; Wang, W.L.; Somaiah, N.; Mann, G.N.; Hunt, K.K.; Cormier, J.N.; Feig, B.W. Salvage surgery for recurrent retroperitoneal well-differentiated liposarcoma: Early reoperation may not provide benefit. Ann. Surg. Oncol. 2018, 25, 2193–2200. [Google Scholar] [CrossRef]
- Yang, J.Y.; Kong, S.H.; Ahn, H.S.; Lee, H.J.; Jeong, S.Y.; Ha, J.; Yang, H.-K.; Park, K.J.; Lee, K.U.; Choe, K.J.; et al. Prognostic factors for reoperation of recurrent retroperitoneal sarcoma: The role of clinicopathological factors other than histologic grade. J. Surg. Oncol. 2015, 111, 165–172. [Google Scholar] [CrossRef]
- Van Houdt, W.J.; Fiore, M.; Barretta, F.; Rutkowski, P.; Blay, J.Y.; Lahat, G.; Strauss, D.; Gonzalez, R.J.; Ahuja, N.; Grignani, G.; et al. Patterns of recurrence and survival probability after second recurrence of retroperitoneal sarcoma: A study from TARPSWG. Cancer 2020, 126, 4917–4925. [Google Scholar] [CrossRef]
- Cheng, H.; Miura, J.T.; Lalehzari, M.; Rajeev, R.; Donahue, A.E.; Bedi, M.; Gamblin, T.C.; Turaga, K.; Johnston, F.M. Neoadjuvant radiotherapy for retroperitoneal sarcoma: A systematic review. J. Surg. Oncol. 2016, 113, 628–634. [Google Scholar] [CrossRef]
- Perhavec, A.; Provenzano, S.; Baia, M.; Sangalli, C.; Morosi, C.; Barisella, M.; Colombo, C.; Radaelli, S.; Pasquali, S.; Callegaro, D.; et al. Inoperable Primary Retroperitoneal Sarcomas: Clinical Characteristics and Reasons against Resection at a Single Referral Institution. Ann. Surg. Oncol. 2021, 28, 1151–1157. [Google Scholar] [CrossRef]
- Park, J.O.; Qin, L.X.; Prete, F.P.; Antonescu, C.; Brennan, M.F.; Singer, S. Predicting outcome by growth rate of locally recurrent retroperitoneal liposarcoma: “The one centimeter per month rule”. Ann. Surg. 2009, 250, 977–982. [Google Scholar] [CrossRef]
- Livingston, J.A.; Bugano, D.; Barbo, A.; Lin, H.; Madewell, J.E.; Wang, W.L.; Lazar, A.J.; Tseng, W.W.; Roland, C.L.; Feig, B.W.; et al. Role of chemotherapy in dedifferentiated liposarcoma of the retroperitoneum: Defining the benefit and challenges of the standard. Sci. Rep. 2017, 7, 11836. [Google Scholar] [CrossRef] [PubMed]
- Sobiborowicz, A.; Spałek, M.J.; Czarnecka, A.M.; Rutkowski, P. Definitive Radiotherapy in the Management of Non-Resectable or Residual Retroperitoneal Sarcomas: Institutional Cohort Analysis and Systematic Review. Cancer Control 2021, 28, 1073274820983028. [Google Scholar] [CrossRef] [PubMed]
- Naghavi, A.O.; Fernandez, D.C.; Mesko, N.; Juloori, A.; Martinez, A.; Scott, J.; Shah, C.; Harrison, L. American Brachytherapy Society consensus statement for soft tissue sarcoma brachytherapy. Brachytherapy 2017, 16, 466–489. [Google Scholar] [CrossRef] [PubMed]
- Hayashi, K.; Yamamoto, N.; Shirai, T.; Takeuchi, A.; Kimura, H.; Miwa, S.; Higuchi, T.; Abe, K.; Taniguchi, Y.; Aiba, H.; et al. Sequential histological findings and clinical response after carbon ion radiotherapy for unresectable sarcoma. Clin. Transl. Radiat. Oncol. 2017, 2, 41–45. [Google Scholar] [CrossRef]
- Serizawa, I.; Kagei, K.; Kamada, T.; Imai, R.; Sugahara, S.; Okada, T.; Tsuji, H.; Ito, H.; Tsujii, H. Carbon ion radiotherapy for unresectable retroperitoneal sarcomas. Int. J. Radiat. Oncol. Biol. Phys. 2009, 75, 1105–1110. [Google Scholar] [CrossRef]
- Spalek, M.; Koseła-Paterczyk, H.; Borkowska, A.; Wągrodzki, M.; Szumera-Ciećkiewicz, A.; Cieszanowski, A.; Castaneda-Wysocka, P.; Świtaj, T.; Dudzisz-Śledź, M.; Czarnecka, A.; et al. OC-0069 5x5 Gy with chemotherapy in borderline resectable soft tissue sarcomas: Early results of a trial. Radiother. Oncol. 2019, 133, S31–S32. [Google Scholar] [CrossRef]
- Kepka, L.; DeLaney, T.F.; Suit, H.D.; Goldberg, S.I. Results of radiation therapy for unresected soft-tissue sarcomas. Int. J. Radiat. Oncol. Biol. Phys. 2005, 63, 852–859. [Google Scholar] [CrossRef] [PubMed]
- Toulmonde, M.; Bonvalot, S.; Ray-Coquard, I.; Stoeckle, E.; Riou, O.; Isambert, N.; Bompas, E.; Penel, N.; Delcambre-Lair, C.; Saada, E.; et al. Retroperitoneal sarcomas: Patterns of care in advanced stages, prognostic factors and focus on main histological subtypes: A multicenter analysis of the French Sarcoma Group. Ann. Oncol. 2014, 25, 730–734. [Google Scholar] [CrossRef] [PubMed]
- Trans-Atlantic Retroperitoneal Sarcoma Working Group (TARPSWG). Management of metastatic retroperitoneal sarcoma: A consensus approach from the Trans-Atlantic Retroperitoneal Sarcoma Working Group (TARPSWG). Ann Oncol. 2018, 29, 857–871. [Google Scholar] [CrossRef]
- Rehders, A.; Hosch, S.B.; Scheunemann, P.; Stoecklein, N.H.; Knoefel, W.T.; Peiper, M. Benefit of surgical treatment of lung metastasis in soft tissue sarcoma. Arch. Surg. 2007, 142, 70–75. [Google Scholar] [CrossRef]
- Ptrella, F.; Diotti, C.; Spaggiari, L. Pulmonary metastasectomy: An overview. J. Thorac. Dis. 2017, 9 (Suppl. S12), S1291–S1298. [Google Scholar] [CrossRef]
- Palussière, J.; Marcet, B.; Descat, E.; Deschamps, F.; Rao, P.; Ravaud, A.; Brouste, V.; de Baère, T. Lung tumors treated with percutaneous radiofrequency ablation: Computed tomography imaging follow-up. Cardiovasc. Interv. Radiol. 2011, 34, 989–997. [Google Scholar] [CrossRef] [PubMed]
- Grimme, F.; Seesing, M.F.; Van Hillegersberg, R.; Van Coevorden, F.; De Jong, K.P.; Nagtegaal, I.D.; Verhoef, C.; de Wilt, J.H.W. Liver resection for hepatic metastasis from soft tissue sarcoma: A nationwide study. Dig. Surg. 2019, 36, 479–486. [Google Scholar] [CrossRef]
- Tree, A.C.; Khoo, V.S.; Eeles, R.A.; Ahmed, M.; Dearnaley, D.P.; Hawkins, M.A.; Huddart, R.A.; Nutting, C.M.; Ostler, P.J.; van As, N.J. Stereotactic body radiotherapy for oligometastases. Lancet Oncol. 2013, 14, e28–e37. [Google Scholar] [CrossRef]
- Seddon, B.; Strauss, S.J.; Whelan, J.; Leahy, M.; Woll, P.J.; Cowie, F.; Rothermundt, C.; Wood, Z.; Benson, C.; Ali, N.; et al. Gemcitabine and docetaxel versus doxorubicin as first-line treatment in previously untreated advanced unresectable or metastatic soft-tissue sarcomas (GeDDiS): A randomized controlled phase 3 trial. Lancet Oncol. 2017, 18, 1397–1410. [Google Scholar] [CrossRef]
- Tanaka, K.; Kawano, M.; Iwasaki, T.; Itonaga, I.; Tsumura, H. A meta-analysis of randomized controlled trials that compare standard doxorubicin with other first-line chemotherapies for advanced/metastatic soft tissue sarcomas. PLoS ONE 2019, 14, e0210671. [Google Scholar] [CrossRef]
- Judson, I.; Verweij, J.; Gelderblom, H.; Hartmann, J.T.; Schöffski, P.; Blay, J.-Y.; Kerst, J.M.; Sufliarsky, J.; Whelan, J.; Hohenberger, P.; et al. Doxorubicin alone versus intensified doxorubicin plus ifosfamide for first-line treatment of advanced or metastatic soft-tissue sarcoma: A randomized controlled phase 3 trial. Lancet Oncol. 2014, 15, 415–423. [Google Scholar] [CrossRef]
- Pautier, P.; Italiano, A.; Piperno-Neumann, S.; Chevreau, C.; Penel, N.; Cupissol, D.; Rouquette, P.B.; Bertucci, F.; Balleyguier, C.; Lebrun-Ly, V.; et al. LMS-04 study: A randomized, multicenter, phase III study comparing doxorubicin alone versus doxorubicin with trabectedin followed by trabectedin in non-progressive patients as first-line therapy, in patients with metastatic or unresectable leiomyosarcoma—A French Sarcoma Group study. Ann. Oncol. 2021, 32 (Suppl. S5), S1283–S1346. [Google Scholar]
- D’Ambrosio, L.; Touati, N.; Blay, J.Y.; Grignani, G.; Flippot, R.; Czarnecka, A.M.; Piperno-Neumann, S.; Martin-Broto, J.; Sanfilippo, R.; Katz, D.; et al. Doxorubicin plus dacarbazine, doxorubicin plus ifosfamide, or doxorubicin alone as a first-line treatment for advanced leiomyosarcoma: A propensity score matching analysis from the European Organization for Research and Treatment of Cancer Soft Tissue and Bone Sarcoma Group. Cancer 2020, 126, 2637–2647. [Google Scholar]
- Sleijfer, S.; Ouali, M.; van Glabbeke, M.; Krarup-Hansen, A.; Rodenhuis, S.; Le Cesne, A.; Hogendoorn, P.C.; Verweij, J.; Blay, J.-Y. Prognostic and predictive factors for outcome to first-line ifosfamide-containing chemotherapy for adult patients with advanced soft tissue sarcomas: An exploratory, retrospective analysis on large series from the European Organization for Research and Treatment of Cancer-Soft Tissue and Bone Sarcoma Group (EORTC-STBSG). Eur. J. Cancer 2010, 46, 72–83. [Google Scholar]
- Schöffski, P.; Chawla, S.; Maki, R.G.; Italiano, A.; Gelderblom, H.; Choy, E.; Grignani, G.; Camargo, V.; Bauer, S.; Rha, S.Y.; et al. Eribulin versus dacarbazine in previously treated patients with advanced liposarcoma or leiomyosarcoma: A randomized, open-label, multicentre, phase 3 trial. Lancet 2016, 387, 1629–1637. [Google Scholar] [CrossRef]
- Demetri, G.D.; von Mehren, M.; Jones, R.L.; Hensley, M.L.; Schuetze, S.M.; Staddon, A.; Milhem, M.; Elias, A.; Ganjoo, K.; Tawbi, H.; et al. Efficacy and Safety of Trabectedin or Dacarbazine for Metastatic Liposarcoma or Leiomyosarcoma After Failure of Conventional Chemotherapy: Results of a Phase III Randomized Multicenter Clinical Trial. J. Clin. Oncol. 2016, 34, 786–793. [Google Scholar] [CrossRef]
- Van der Graaf, W.T.; Blay, J.Y.; Chawla, S.P.; Kim, D.W.; Bui-Nguyen, B.; Casali, P.G.; Schöffski, P.; Aglietta, M.; Staddon, A.P.; Beppu, Y.; et al. Pazopanib for metastatic soft-tissue sarcoma (PALETTE): A randomized, double-blind, placebo-controlled phase 3 trial. Lancet 2012, 379, 1879–1886. [Google Scholar] [CrossRef]
- Sanfilippo, R.; Bertulli, R.; Marrari, A.; Fumagalli, E.; Pilotti, S.; Morosi, C.; Messina, A.; Tos, A.P.D.; Gronchi, A.; Casali, P.G. High-dose continuous-infusion ifosfamide in advanced well-differentiated/dedifferentiated liposarcoma. Clin. Sarcoma Res. 2014, 4, 16. [Google Scholar] [CrossRef]
- García-Del-Muro, X.; López-Pousa, A.; Maurel, J.; Martín, J.; Martínez-Trufero, J.; Casado, A.; Gómez-España, A.; Fra, J.; Cruz, J.; Poveda, A.; et al. Randomized phase II study comparing gemcitabine plus dacarbazine versus dacarbazine alone in patients with previously treated soft tissue sarcoma: A Spanish Group for Research on Sarcomas study. J. Clin. Oncol. 2011, 29, 2528–2533. [Google Scholar] [CrossRef]
- Maki, R.G.; Wathen, J.K.; Patel, S.R.; Priebat, D.A.; Okuno, S.H.; Samuels, B.; Fanucchi, M.; Harmon, D.C.; Schuetze, S.M.; Reinke, D.; et al. Randomized phase II study of gemcitabine and docetaxel compared with gemcitabine alone in patients with metastatic soft tissue sarcomas: Results of sarcoma alliance for research through collaboration study 002. J. Clin. Oncol. 2007, 25, 2755–2763. [Google Scholar] [CrossRef]
- Pautier, P.; Floquet, A.; Penel, N.; Piperno-Neumann, S.; Isambert, N.; Rey, A.; Bompas, E.; Cioffi, A.; Delcambre, C.; Cupissol, D.; et al. Randomized multicenter and stratified phase II study of gemcitabine alone versus gemcitabine and docetaxel in patients with metastatic or relapsed leiomyosarcomas: A Federation Nationale des Centres de Lutte Contre le Cancer (FNCLCC) French Sarcoma Group Study (TAXOGEM study). Oncologist 2012, 17, 1213–1220. [Google Scholar]
- Ray Coquard, I.; Blay, J.Y.; Italiano, A.; Le Cesne, A.; Penel, N.; Zhi, J.; Heil, F.; Rueger, R.; Graves, B.; Ding, M.; et al. Effect of the MDM2 antagonist RG7112 on the p53 pathway in patients with MDM2-amplified, well-differentiated or dedifferentiated liposarcoma: An exploratory proof of mechanism study. Lancet Oncol. 2012, 13, 1133–1140. [Google Scholar] [CrossRef]
- Dickson, M.A.; Tap, W.D.; Keohan, M.L.; D’Angelo, S.P.; Gounder, M.M.; Antonescu, C.R.; Landa, J.; Qin, L.-X.; Rathbone, D.D.; Condy, M.M.; et al. Phase II trial of the CDK4 inhibitor PD0332991 in patients with advanced CDK4-amplified well-differentiated or dedifferentiated liposarcoma. J. Clin. Oncol. 2013, 31, 2024–2028. [Google Scholar] [CrossRef]
- Gounder, M.M.; Razak, A.A.; Somaiah, N.; Martin-Broto, J.; Schuetze, S.; Grignani, G.; Chawla, S.P.; Chmielowski, B.; Vincenzi, B.; Stacchiotti, S. A phase 2/3, randomized, double-blind, crossover, study of Selinexor versus placebo in advanced unresectable de-differentiated liposarcoma (DDLS). In Proceedings of the Connective Tissue Oncology Society (CTOS) Annual Meeting, Virtual, 18–21 November 2020. [Google Scholar]
- Sanfilippo, R.; Hayward, R.L.; Musoro, J.; Benson, C.; Leahy, M.G.; Brunello, A.; Blay, J.-Y.; Steeghs, N.; Desar, I.; Ali, N.; et al. Updated results of European Organization for Research and Treatment of Cancer (EORTC) phase 2 trial 1202 cabazitaxel in patients with metastatic or inoperable locally advanced dedifferentiated liposarcoma. J. Clin. Oncol. 2021, 39 (Suppl. S15), 11518. [Google Scholar] [CrossRef]
- Grignani, G.; D’Ambrosio, L.; Pignochino, Y.; Palmerini, E.; Zucchetti, M.; Boccone, P.; Aliberti, S.; Stacchiotti, S.; Bertulli, R.; Piana, R.; et al. Trabectedin and olaparib in patients with advanced and non-resectable bone and soft tissue sarcoma: An open-label. Phase 1b study from the Italian Sarcoma Group. Lancet Oncol. 2018, 19, 1360–1371. [Google Scholar] [CrossRef]
- Issels, R.D.; Lindner, L.H.; Verweij, J.; Wessalowski, R.; Reichardt, P.; Wust, P.; Ghadjar, P.; Hohenberger, P.; Angele, M.; Salat, C.; et al. Effect of Neoadjuvant Chemotherapy Plus Regional Hyperthermia on Long-term Outcomes Among Patients with Localized High-Risk Soft Tissue Sarcoma: The EORTC 62961-ESHO 95 Randomized Clinical Trial. JAMA Oncol. 2018, 4, 483–492. [Google Scholar] [CrossRef]
- Wong, L.C.K.; Li, Z.; Fan, Q.; Tan, J.W.; Tan, Q.X.; Wong, J.S.M.; Ong, C.J.; Chia, C.S. Cytoreductive surgery (CRS) with hyperthermic intraperitoneal chemotherapy (HIPEC) in peritoneal sarcomatosis-A systematic review and meta-analysis. Eur. J. Surg. Oncol. 2022, 48, 640–648. [Google Scholar] [CrossRef]
- Keung, E.Z.-Y.; Nassif, E.F.; Lin, H.Y.; Lazar, A.J.; Torres, K.E.; Wang, W.-L.; Guadagnolo, B.A.; Bishop, A.J.; Hunt, K.; Feig, B.W.; et al. Randomized phase II study of neoadjuvant checkpoint blockade for surgically resectable undifferentiated pleomorphic sarcoma (UPS) and dedifferentiated liposarcoma (DDLPS): Survival results after 2 years of follow-up and intratumoral B-cell receptor (BCR) correlates. J. Clin. Oncol. 2022, 40 (Suppl. S17), LBA11501. [Google Scholar]
- Pestana, R.C.; Serrano, C. Analysis of histology-agnostic targets among soft tissue and bone sarcomas in the AACR GENIE database. Front. Oncol. 2023, 12, 1079909. [Google Scholar] [CrossRef]
- Singer, S.; Antonescu, C.R.; Riedel, E.; Brennan, M.F. Histologic subtype and margin of resection predict pattern of recurrence and survival for retroperitoneal liposarcoma. Ann. Surg. 2003, 238, 358–370; discussion 370–371. [Google Scholar] [CrossRef]
- Stoeckle, E.; Coindre, J.M.; Bonvalot, S.; Kantor, G.; Terrier, P.; Bonichon, F.; Nguyen Bui, B. Prognostic factors in retroperitoneal sarcoma: A multivariate analysis of a series of 165 patients of the French Cancer Center Federation Sarcoma Group. Cancer 2001, 92, 359–368. [Google Scholar] [CrossRef]
- Zaidi, M.Y.; Canter, R.; Cardona, K. Post-operative surveillance in retroperitoneal soft tissue sarcoma: The importance of tumor histology in guiding strategy. J. Surg. Oncol. 2018, 117, 99–104. [Google Scholar] [CrossRef]


| Levels of Evidence | |
|---|---|
| I | Evidence from at least one large, randomized, controlled trial of good methodological quality (low potential for bias), or meta-analyses of well-conducted randomized trials without heterogeneity |
| II | Small randomized trials or large randomized trials with a suspicion of bias (lower methodological quality), or meta-analyses of such trials or of trials with demonstrated heterogeneity |
| III | Prospective cohort studies |
| IV | Retrospective cohort studies or case-control studies |
| V | Studies without a control group, case reports, and experts’ opinions |
| Grades of recommendation | |
| A | Strong evidence for efficacy with a substantial clinical benefit, strongly recommended |
| B | Strong or moderate evidence for efficacy but with a limited clinical benefit, generally recommended |
| C | Insufficient evidence for efficacy or benefit does not outweigh the risk or the disadvantages (adverse events, costs…), optional |
| Recommendation for Immunohistochemistry in Adipocytic Tumors or Tumor with Fatty Areas in Retroperitoneum | |
|---|---|
| MDM2/CDK4 | To distinguish between benign and malignant adipocytic tumors or to subclassify LPS |
| HMB-45/STAT-6 | Angiomyolipoma or SFT |
| MYOGENIN | Allows recognition of rhabdomioblastic differentiation in DD-LPS |
| Immunohistochemistry techniques to consider in retroperitoneal fusocellular tumors | |
| MDM2/CDK4 | LPS (DD-LPS or WD-LPS), IS, MPNST |
| SMA/Desmin/H-Caldesmon | LMS or IS |
| CD34/STAT6 | SFT |
| S100/SOX10/H3K27me3 | MPNST/neural tumor |
| CKIT/DOG-1 | GIST |
| SS18-SSX/TLE-1/EMA | SS |
| HMB-45/MELAN-A | PEComa or metastatic melanoma |
| MYOGENIN | RMS or rhabdomyoblastic differentiation in other STS |
| Author, Center (Year) | Selection Criteria | Timeframe | Number of Patients | Predicted Outcomes | Covariates Included | External Validation | Concordance Index | Observations |
|---|---|---|---|---|---|---|---|---|
| Gronchi, INT, UCLA, MDACC, (2013) [28] | Primary Localized Resected | 1999–2009 | 523 | 7-year OS | Grade Size Histology Age Multifocality Extent of resection | Yes | 0.74 | Digital version available in the Sarculator app (www.sarculator.com) |
| 475 | 7-year DFS | Grade Size Histology Multifocality | Yes | 0.71 | ||||
| Tan, MSKCC (2016) [30] | Primary Localized Resected | 1982–2010 | 632 | 3, 5, 10-year DSD | Histology Extent of resection Number organs resected Size Radiation associated | Yes | 0.71 (0.66–0.74) | Available web-based calculator |
| 574 | 3, 5, 10-year LR rate | Histology Size Age Resection Location Vascular resection Number organs resected | No | 0.71 (0.67–0.75) | ||||
| 632 | 3, 5, 10-year DR rate | Histology Number organs resected Size Radiation associated Vascular resection | No | 0.74 (0.69–0.77) | ||||
| Callegaro, Multi-institutional (2021) [29] | Primary Localized Resected | 2002–2017 | 1309 | 5-year OS | Age Landmark time Grade Resection Occurrence of LR/DR | Yes | 0.75–0.85 | Dynamic nomogram for longitudinal prognostication 4 centers in 4 countries Digital version available in the Sarculator app (www.sarculator.com) |
| 5-year DFS | Landmark time Histology Size Grade Multifocality Interaction between all but histology | Yes | 0.64–0.72 | |||||
| Raut, TARPSWG (2019) [33] | Recurrent Resected No metastatic | 2002–2011 | 602 | 6-year OS | Multifocality Grade Quality of 2nd surgery Histology Age Radiotherapy * Number organs resected * | No | 0.7 | 22 centers in 8 countries * After first surgery |
| 6-year DFS | Multifocality Grade Quality of 2nd surgery Histology Chemotherapy * Radiotherapy * Number organs resected * | No | 0.67 | |||||
| Zhuang, SHZH (2022) [31] | Primary Localized Resected Liposarcoma | 2009–2021 | 211 | 1, 2, 5-year OS | Symptoms Needle biopsy Histology LOS | No | 0.702 | Asian population |
| 1, 2, 5-year PFS | ASA Score Histology CD classification | No | 0.757 | |||||
| Yiding Li, SEER database (2022) [32] | Primary Localized Resected Liposarcoma | 2004–2015 | 1392 | 1, 3, 5-year OS | Age Grade Classification SEER stage Surgery | Yes | 0.754–0.863 | Public database |
| 1, 3, 5-year CSS | Age Classification SEER Stage AJCC Stage Surgery Tumor Size | 0.753–0.829 |
| Subtype | Follow Up | LR% | DR% | CT Torax | X-ray | CT/MR Abdomen |
|---|---|---|---|---|---|---|
| WDLPS | Every 4–6 m for 5 y, then annualy | 60 | 8 | no | yes | yes |
| DDLPS Grade I–II | Every 4–6 m for 5 y, then annualy | 62 | 28 | no | yes | yes |
| DDLPS Grade III | Every 3–4 m 2–3 y, every 6 m × 2–3 y, then annualy | 26 | 58 | yes | no | yes |
| Pleomorphic LPS | Every 3–4 m 2–3 y, every 6 m × 2–3 y, then annualy | 30 | 50 | yes | no | yes |
| LMS | Every 3–4 m 2–3 y, every 6 m × 2–3 y, then annualy | 24 | 56 | yes | no | yes |
| MPNST | Every 3–4 m 2–3 y, every 6 m × 2–3 y, then annualy | 35 | 15 | yes | no | yes |
| SFT | Every 3–4 m 2–3 y, every 6 m × 2–3 y, then annualy | 8 | 40 | yes | no | yes |
| Other high grade | Every 3–4 m 2–3 y, every 6 m × 2–3 y, then annualy | 45 | 25 | yes | no | yes |
Disclaimer/Publisher’s Note: The statements, opinions and data contained in all publications are solely those of the individual author(s) and contributor(s) and not of MDPI and/or the editor(s). MDPI and/or the editor(s) disclaim responsibility for any injury to people or property resulting from any ideas, methods, instructions or products referred to in the content. |
© 2023 by the authors. Licensee MDPI, Basel, Switzerland. This article is an open access article distributed under the terms and conditions of the Creative Commons Attribution (CC BY) license (https://creativecommons.org/licenses/by/4.0/).
Share and Cite
Álvarez Álvarez, R.; Manzano, A.; Agra Pujol, C.; Artigas Raventós, V.; Correa, R.; Cruz Jurado, J.; Fernandez, J.A.; Garcia del Muro, X.; Gonzalez, J.A.; Hindi, N.; et al. Updated Review and Clinical Recommendations for the Diagnosis and Treatment of Patients with Retroperitoneal Sarcoma by the Spanish Sarcoma Research Group (GEIS). Cancers 2023, 15, 3194. https://doi.org/10.3390/cancers15123194
Álvarez Álvarez R, Manzano A, Agra Pujol C, Artigas Raventós V, Correa R, Cruz Jurado J, Fernandez JA, Garcia del Muro X, Gonzalez JA, Hindi N, et al. Updated Review and Clinical Recommendations for the Diagnosis and Treatment of Patients with Retroperitoneal Sarcoma by the Spanish Sarcoma Research Group (GEIS). Cancers. 2023; 15(12):3194. https://doi.org/10.3390/cancers15123194
Chicago/Turabian StyleÁlvarez Álvarez, Rosa, Aránzazu Manzano, Carolina Agra Pujol, Vicente Artigas Raventós, Raquel Correa, Josefina Cruz Jurado, Juan Angel Fernandez, Xavier Garcia del Muro, Jose Antonio Gonzalez, Nadia Hindi, and et al. 2023. "Updated Review and Clinical Recommendations for the Diagnosis and Treatment of Patients with Retroperitoneal Sarcoma by the Spanish Sarcoma Research Group (GEIS)" Cancers 15, no. 12: 3194. https://doi.org/10.3390/cancers15123194
APA StyleÁlvarez Álvarez, R., Manzano, A., Agra Pujol, C., Artigas Raventós, V., Correa, R., Cruz Jurado, J., Fernandez, J. A., Garcia del Muro, X., Gonzalez, J. A., Hindi, N., Lozano Lominchar, P., Martínez-Trufero, J., Méndez, R., Muñoz, M., Muñoz Casares, C., Orbis Castellanos, F., Orellana Fernandez, R., Paniagua González, M., Redondo, A., ... Asencio, J. M. (2023). Updated Review and Clinical Recommendations for the Diagnosis and Treatment of Patients with Retroperitoneal Sarcoma by the Spanish Sarcoma Research Group (GEIS). Cancers, 15(12), 3194. https://doi.org/10.3390/cancers15123194

