Development of Monoclonal Antibodies Targeting Canine PD-L1 and PD-1 and Their Clinical Relevance in Canine Apocrine Gland Anal Sac Adenocarcinoma
Abstract
Simple Summary
Abstract
1. Introduction
2. Materials and Methods
2.1. Study Population
2.2. Histological Analysis
2.3. Generation of Anti-PD-1 and Anti-PD-L1 Monoclonal Antibodies
2.4. ELISA–PD-L1
2.5. ELISA–PD-1
2.6. Western Blotting
2.7. Flow Cytometry
2.8. Immunohistochemistry
2.9. Immunohistochemical Scoring
2.10. Statistical Analysis
3. Results
3.1. Study Population
3.2. Generation and Validation of Anti-PD-1 and Anti-PD-L1 Monoclonal Antibodies
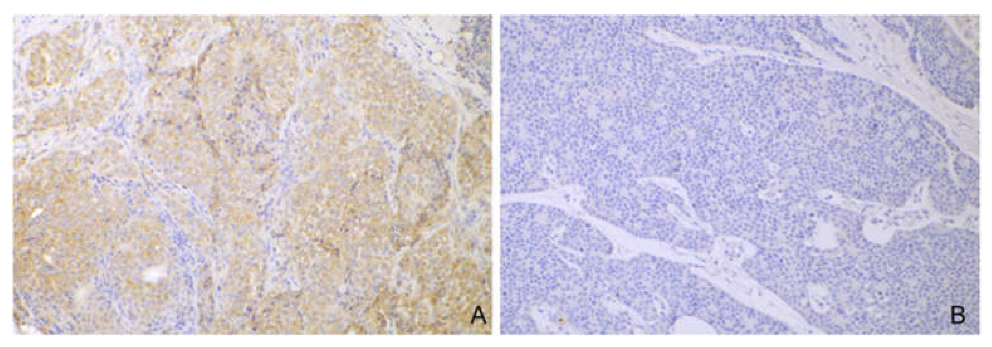
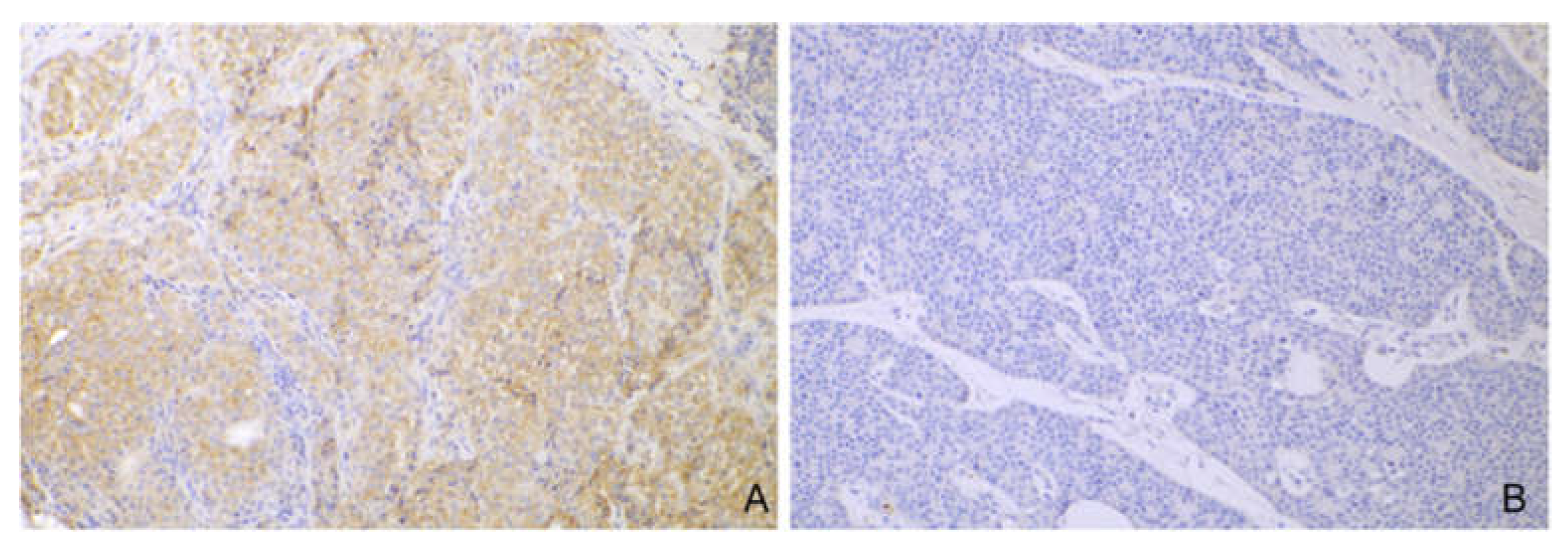
3.3. Histopathology and Immunohistochemistry
3.4. Survival Analysis
4. Discussion
5. Conclusions
Supplementary Materials
Author Contributions
Funding
Institutional Review Board Statement
Informed Consent Statement
Data Availability Statement
Acknowledgments
Conflicts of Interest
References
- Polton, G.A.; Brearley, M.J. Clinical Stage, Therapy, and Prognosis in Canine Anal Sac Gland Carcinoma. J. Vet. Intern. Med. 2007, 21, 274–280. [Google Scholar] [CrossRef] [PubMed]
- Barnes, D.C.; Demetriou, J.L. Surgical Management of Primary, Metastatic and Recurrent Anal Sac Adenocarcinoma in the Dog: 52 Cases. J. Small Anim. Pract. 2017, 58, 263–268. [Google Scholar] [CrossRef]
- Wouda, R.M.; Borrego, J.; Keuler, N.S.; Stein, T. Evaluation of Adjuvant Carboplatin Chemotherapy in the Management of Surgically Excised Anal Sac Apocrine Gland Adenocarcinoma in Dogs. Vet. Comp. Oncol. 2016, 14, 67–80. [Google Scholar] [CrossRef] [PubMed]
- Potanas, C.P.; Padgett, S.; Gamblin, R.M. Surgical Excision of Anal Sac Apocrine Gland Adenocarcinomas with and without Adjunctive Chemotherapy in Dogs: 42 Cases (2005–2011). J. Am. Vet. Med. Assoc. 2015, 246, 877–884. [Google Scholar] [CrossRef] [PubMed]
- Valenti, P.; Menicagli, F.; Baldi, A.; Barella, G.; Catalucci, C.; Attorri, V.; Spugnini, E.P. Evaluation of Electrochemotherapy in the Management of Apocrine Gland Anal Sac Adenocarcinomas in Dogs: A Retrospective Study. Open Vet. J. 2021, 11, 100–106. [Google Scholar] [CrossRef] [PubMed]
- Meier, V.; Besserer, J.; Roos, M.; Rohrer Bley, C. A Complication Probability Study for a Definitive-Intent, Moderately Hypofractionated Image-Guided Intensity-Modulated Radiotherapy Protocol for Anal Sac Adenocarcinoma in Dogs. Vet. Comp. Oncol. 2019, 17, 21–31. [Google Scholar] [CrossRef] [PubMed]
- McQuown, B.; Keyerleber, M.A.; Rosen, K.; McEntee, M.C.; Burgess, K.E. Treatment of Advanced Canine Anal Sac Adenocarcinoma with Hypofractionated Radiation Therapy: 77 Cases (1999–2013). Vet. Comp. Oncol. 2017, 15, 840–851. [Google Scholar] [CrossRef]
- Williams, C.; Parys, M.; Handel, I.; Serra, J.C.; Lawrence, J. Minimal Late Radiation Toxicity and Transient Early Toxicity Following Postoperative Definitive Intent Conformal Radiation Therapy (20 × 2.5 Gy) for Canine Apocrine Gland Anal Sac Adenocarcinoma. Vet. Radiol. Ultrasound 2022, 63, 224–233. [Google Scholar] [CrossRef]
- Swan, M.; Morrow, D.; Grace, M.; Adby, N.; Lurie, D. Pilot Study Evaluating the Feasibility of Stereotactic Body Radiation Therapy for Canine Anal Sac Adenocarcinomas. Vet. Radiol. Ultrasound 2021, 62, 621–629. [Google Scholar] [CrossRef]
- Wouda, R.M.; Hocker, S.E.; Higginbotham, M.L. Safety Evaluation of Combination Carboplatin and Toceranib Phosphate (Palladia) in Tumour-Bearing Dogs: A Phase I Dose Finding Study. Vet. Comp. Oncol. 2018, 16, E52–E60. [Google Scholar] [CrossRef]
- London, C.; Mathie, T.; Stingle, N.; Clifford, C.; Haney, S.; Klein, M.K.; Beaver, L.; Vickery, K.; Vail, D.M.; Hershey, B.; et al. Preliminary Evidence for Biologic Activity of Toceranib Phosphate (Palladia®®) in Solid Tumours. Vet. Comp. Oncol. 2012, 10, 194–205. [Google Scholar] [CrossRef] [PubMed]
- Elliott, J.W. Response and Outcome Following Toceranib Phosphate Treatment for Stage Four Anal Sac Apocrine Gland Adenocarcinoma in Dogs: 15 Cases (2013–2017). J. Am. Vet. Med. Assoc. 2019, 254, 960–966. [Google Scholar] [CrossRef] [PubMed]
- Heaton, C.M.; Fernandes, A.F.A.; Jark, P.C.; Pan, X. Evaluation of Toceranib for Treatment of Apocrine Gland Anal Sac Adenocarcinoma in Dogs. J. Vet. Intern. Med. 2020, 34, 873–881. [Google Scholar] [CrossRef] [PubMed]
- Pradel, J.; Berlato, D.; Dobromylskyj, M.; Rasotto, R. Prognostic Significance of Histopathology in Canine Anal Sac Gland Adenocarcinomas: Preliminary Results in a Retrospective Study of 39 Cases. Vet. Comp. Oncol. 2018, 16, 518–528. [Google Scholar] [CrossRef]
- Simeonov, R.; Simeonova, G. Quantitative Analysis in Spontaneous Canine Anal Sac Gland Adenomas and Carcinomas. Res. Vet. Sci. 2008, 85, 559–562. [Google Scholar] [CrossRef]
- Mosca, A.; Restif, O.; Dobson, J.; Hughes, K. Expression of Phosphorylated Signal Transducer and Activator of Transcription 3 and Its Prognostic Significance in Canine Anal Sac Adenocarcinoma. J. Comp. Pathol. 2021, 182, 15–21. [Google Scholar] [CrossRef]
- Skorupski, K.A.; Alarcón, C.N.; de Lorimier, L.-P.; LaDouceur, E.E.B.; Rodriguez, C.O.; Rebhun, R.B. Outcome and Clinical, Pathological, and Immunohistochemical Factors Associated with Prognosis for Dogs with Early-Stage Anal Sac Adenocarcinoma Treated with Surgery Alone: 34 Cases (2002–2013). J. Am. Vet. Med. Assoc. 2018, 253, 84–91. [Google Scholar] [CrossRef]
- Wong, H.; Byrne, S.; Rasotto, R.; Drees, R.; Taylor, A.; Priestnall, S.L.; Leo, C. A Retrospective Study of Clinical and Histopathological Features of 81 Cases of Canine Apocrine Gland Adenocarcinoma of the Anal Sac: Independent Clinical and Histopathological Risk Factors Associated with Outcome. Animals 2021, 11, 3327. [Google Scholar] [CrossRef]
- Morello, E.M.; Cino, M.; Giacobino, D.; Nicoletti, A.; Iussich, S.; Buracco, P.; Martano, M. Prognostic Value of Ki67 and Other Clinical and Histopathological Factors in Canine Apocrine Gland Anal Sac Adenocarcinoma. Animals 2021, 11, 1649. [Google Scholar] [CrossRef]
- Yamazaki, H.; Tanaka, T.; Mie, K.; Nishida, H.; Miura, N.; Akiyoshi, H. Assessment of Postoperative Adjuvant Treatment Using Toceranib Phosphate against Adenocarcinoma in Dogs. J. Vet. Intern. Med. 2020, 34, 1272–1281. [Google Scholar] [CrossRef]
- Ariyarathna, H.; Thomson, N.A.; Aberdein, D.; Perrott, M.R.; Munday, J.S. Increased Programmed Death Ligand (PD-L1) and Cytotoxic T-Lymphocyte Antigen-4 (CTLA-4) Expression Is Associated with Metastasis and Poor Prognosis in Malignant Canine Mammary Gland Tumours. Vet. Immunol. Immunopathol. 2020, 230, 110142. [Google Scholar] [CrossRef] [PubMed]
- Aresu, L.; Ferraresso, S.; Marconato, L.; Cascione, L.; Napoli, S.; Gaudio, E.; Kwee, I.; Tarantelli, C.; Testa, A.; Maniaci, C.; et al. New Molecular and Therapeutic Insights into Canine Diffuse Large B-Cell Lymphoma Elucidates the Role of the Dog as a Model for Human Disease. Haematologica 2019, 104, e256–e259. [Google Scholar] [CrossRef] [PubMed]
- Aresu, L.; Marconato, L.; Martini, V.; Fanelli, A.; Licenziato, L.; Foiani, G.; Melchiotti, E.; Nicoletti, A.; Vascellari, M. Prognostic Value of PD-L1, PD-1 and CD8A in Canine Diffuse Large B-Cell Lymphoma Detected by RNAscope. Vet. Sci. 2021, 8, 120. [Google Scholar] [CrossRef]
- Igase, M.; Nemoto, Y.; Itamoto, K.; Tani, K.; Nakaichi, M.; Sakurai, M.; Sakai, Y.; Noguchi, S.; Kato, M.; Tsukui, T.; et al. A Pilot Clinical Study of the Therapeutic Antibody against Canine PD-1 for Advanced Spontaneous Cancers in Dogs. Sci. Rep. 2020, 10, 18311. [Google Scholar] [CrossRef] [PubMed]
- Maekawa, N.; Konnai, S.; Takagi, S.; Kagawa, Y.; Okagawa, T.; Nishimori, A.; Ikebuchi, R.; Izumi, Y.; Deguchi, T.; Nakajima, C.; et al. A Canine Chimeric Monoclonal Antibody Targeting PD-L1 and Its Clinical Efficacy in Canine Oral Malignant Melanoma or Undifferentiated Sarcoma. Sci. Rep. 2017, 7, 8951. [Google Scholar] [CrossRef] [PubMed]
- Maekawa, N.; Konnai, S.; Nishimura, M.; Kagawa, Y.; Takagi, S.; Hosoya, K.; Ohta, H.; Kim, S.; Okagawa, T.; Izumi, Y.; et al. PD-L1 Immunohistochemistry for Canine Cancers and Clinical Benefit of Anti-PD-L1 Antibody in Dogs with Pulmonary Metastatic Oral Malignant Melanoma. npj Precis. Oncol. 2021, 5, 10. [Google Scholar] [CrossRef] [PubMed]
- Choi, J.W.; Withers, S.S.; Chang, H.; Spanier, J.A.; Trinidad, V.L.D.L.; Panesar, H.; Fife, B.T.; Sciammas, R.; Sparger, E.E.; Moore, P.F.; et al. Development of Canine PD-1/PD-L1 Specific Monoclonal Antibodies and Amplification of Canine T Cell Function. PLoS ONE 2020, 15, e0235518. [Google Scholar] [CrossRef] [PubMed]
- Jiang, X.; Wang, J.; Deng, X.; Xiong, F.; Ge, J.; Xiang, B.; Wu, X.; Ma, J.; Zhou, M.; Li, X.; et al. Role of the Tumor Microenvironment in PD-L1/PD-1-Mediated Tumor Immune Escape. Mol. Cancer 2019, 18, 10. [Google Scholar] [CrossRef]
- Vojtĕsek, B.; Bártek, J.; Midgley, C.A.; Lane, D.P. An Immunochemical Analysis of the Human Nuclear Phosphoprotein P53. New Monoclonal Antibodies and Epitope Mapping Using Recombinant P53. J. Immunol. Methods 1992, 151, 237–244. [Google Scholar] [CrossRef]
- Pinard, C.J.; Hocker, S.E.; Poon, A.C.; Inkol, J.M.; Matsuyama, A.; Wood, R.D.; Wood, G.A.; Woods, J.P.; Mutsaers, A.J. Evaluation of PD-1 and PD-L1 Expression in Canine Urothelial Carcinoma Cell Lines. Vet. Immunol. Immunopathol. 2022, 243, 110367. [Google Scholar] [CrossRef]
- Hartley, G.; Faulhaber, E.; Caldwell, A.; Coy, J.; Kurihara, J.; Guth, A.; Regan, D.; Dow, S. Immune Regulation of Canine Tumour and Macrophage PD-L1 Expression. Vet. Comp. Oncol. 2017, 15, 534–549. [Google Scholar] [CrossRef] [PubMed]
- Nagaya, T.; Okuyama, S.; Ogata, F.; Maruoka, Y.; Knapp, D.W.; Karagiannis, S.N.; Fazekas-Singer, J.; Choyke, P.L.; LeBlanc, A.K.; Jensen-Jarolim, E.; et al. Near Infrared Photoimmunotherapy Targeting Bladder Cancer with a Canine Anti-Epidermal Growth Factor Receptor (EGFR) Antibody. Oncotarget 2018, 9, 19026–19038. [Google Scholar] [CrossRef] [PubMed][Green Version]
- Li, C.-W.; Lim, S.-O.; Xia, W.; Lee, H.-H.; Chan, L.-C.; Kuo, C.-W.; Khoo, K.-H.; Chang, S.-S.; Cha, J.-H.; Kim, T.; et al. Glycosylation and Stabilization of Programmed Death Ligand-1 Suppresses T-Cell Activity. Nat. Commun. 2016, 7, 12632. [Google Scholar] [CrossRef] [PubMed]
- Li, S.-M.; Zhou, J.; Wang, Y.; Nie, R.-C.; Chen, J.-W.; Xie, D. Recent Findings in the Posttranslational Modifications of PD-L1. J. Oncol. 2020, 2020, 5497015. [Google Scholar] [CrossRef] [PubMed]
- Chen, D.S.; Mellman, I. Oncology Meets Immunology: The Cancer-Immunity Cycle. Immunity 2013, 39, 1–10. [Google Scholar] [CrossRef]
- Chen, D.S.; Mellman, I. Elements of Cancer Immunity and the Cancer–Immune Set Point. Nature 2017, 541, 321–330. [Google Scholar] [CrossRef]
- Von Rueden, S.K.; Fan, T.M. Cancer-Immunity Cycle and Therapeutic Interventions—Opportunities for Including Pet Dogs With Cancer. Front. Oncol. 2021, 11, 4853. [Google Scholar] [CrossRef]
- Haake, A.F.H.; Langenhagen, A.K.; Jovanovic, V.M.; Andreotti, S.; Gruber, A.D. ‘Hot Versus Cold’—Can Transcriptome Analysis of Canine Perianal Tumours Help Illustrate Their Distinct Immunophenotypic Landscapes? J. Comp. Pathol. 2022, 191, 14. [Google Scholar] [CrossRef]
- Marconato, L.; Frayssinet, P.; Rouquet, N.; Comazzi, S.; Leone, V.F.; Laganga, P.; Rossi, F.; Vignoli, M.; Pezzoli, L.; Aresu, L. Randomized, Placebo-Controlled, Double-Blinded Chemoimmunotherapy Clinical Trial in a Pet Dog Model of Diffuse Large B-Cell Lymphoma. Clin. Cancer Res. 2014, 20, 668–677. [Google Scholar] [CrossRef]
- Riccardo, F.; Tarone, L.; Camerino, M.; Giacobino, D.; Iussich, S.; Barutello, G.; Arigoni, M.; Conti, L.; Bolli, E.; Quaglino, E.; et al. Antigen Mimicry as an Effective Strategy to Induce CSPG4-Targeted Immunity in Dogs with Oral Melanoma: A Veterinary Trial. J. Immunother. Cancer 2022, 10, e004007. [Google Scholar] [CrossRef]
- Alonso-Miguel, D.; Valdivia, G.; Guerrera, D.; Perez-Alenza, M.D.; Pantelyushin, S.; Alonso-Diez, A.; Beiss, V.; Fiering, S.; Steinmetz, N.F.; Suarez-Redondo, M.; et al. Neoadjuvant in Situ Vaccination with Cowpea Mosaic Virus as a Novel Therapy against Canine Inflammatory Mammary Cancer. J. Immunother. Cancer 2022, 10, e004044. [Google Scholar] [CrossRef] [PubMed]
- Cascio, M.J.; Whitley, E.M.; Sahay, B.; Cortes-Hinojosa, G.; Chang, L.-J.; Cowart, J.; Salute, M.; Sayour, E.; Dark, M.; Sandoval, Z.; et al. Canine Osteosarcoma Checkpoint Expression Correlates with Metastasis and T-Cell Infiltrate. Vet. Immunol. Immunopathol. 2021, 232, 110169. [Google Scholar] [CrossRef] [PubMed]
- Shosu, R. Programmed Cell Death Ligand 1 Expression in Canine Cancer. In Vivo 2016, 10, 195–204. [Google Scholar]
- Doroshow, D.B.; Bhalla, S.; Beasley, M.B.; Sholl, L.M.; Kerr, K.M.; Gnjatic, S.; Wistuba, I.I.; Rimm, D.L.; Tsao, M.S.; Hirsch, F.R. PD-L1 as a Biomarker of Response to Immune-Checkpoint Inhibitors. Nat. Rev. Clin. Oncol. 2021, 18, 345–362. [Google Scholar] [CrossRef] [PubMed]
- Li, H.; Kuang, X.; Liang, L.; Ye, Y.; Zhang, Y.; Li, J.; Ma, F.; Tao, J.; Lei, G.; Zhao, S.; et al. The Beneficial Role of Sunitinib in Tumor Immune Surveillance by Regulating Tumor PD-L1. Adv. Sci. (Weinh.) 2021, 8, 2001596. [Google Scholar] [CrossRef] [PubMed]



Publisher’s Note: MDPI stays neutral with regard to jurisdictional claims in published maps and institutional affiliations. |
© 2022 by the authors. Licensee MDPI, Basel, Switzerland. This article is an open access article distributed under the terms and conditions of the Creative Commons Attribution (CC BY) license (https://creativecommons.org/licenses/by/4.0/).
Share and Cite
Minoli, L.; Licenziato, L.; Kocikowski, M.; Cino, M.; Dziubek, K.; Iussich, S.; Fanelli, A.; Morello, E.; Martano, M.; Hupp, T.; et al. Development of Monoclonal Antibodies Targeting Canine PD-L1 and PD-1 and Their Clinical Relevance in Canine Apocrine Gland Anal Sac Adenocarcinoma. Cancers 2022, 14, 6188. https://doi.org/10.3390/cancers14246188
Minoli L, Licenziato L, Kocikowski M, Cino M, Dziubek K, Iussich S, Fanelli A, Morello E, Martano M, Hupp T, et al. Development of Monoclonal Antibodies Targeting Canine PD-L1 and PD-1 and Their Clinical Relevance in Canine Apocrine Gland Anal Sac Adenocarcinoma. Cancers. 2022; 14(24):6188. https://doi.org/10.3390/cancers14246188
Chicago/Turabian StyleMinoli, Lucia, Luca Licenziato, Mikolaj Kocikowski, Marzia Cino, Katarzyna Dziubek, Selina Iussich, Antonella Fanelli, Emanuela Morello, Marina Martano, Ted Hupp, and et al. 2022. "Development of Monoclonal Antibodies Targeting Canine PD-L1 and PD-1 and Their Clinical Relevance in Canine Apocrine Gland Anal Sac Adenocarcinoma" Cancers 14, no. 24: 6188. https://doi.org/10.3390/cancers14246188
APA StyleMinoli, L., Licenziato, L., Kocikowski, M., Cino, M., Dziubek, K., Iussich, S., Fanelli, A., Morello, E., Martano, M., Hupp, T., Vojtesek, B., Parys, M., & Aresu, L. (2022). Development of Monoclonal Antibodies Targeting Canine PD-L1 and PD-1 and Their Clinical Relevance in Canine Apocrine Gland Anal Sac Adenocarcinoma. Cancers, 14(24), 6188. https://doi.org/10.3390/cancers14246188

