Reply to Krupenko et al. Comment on “Lee et al. The Combination of Loss of ALDH1L1 Function and Phenformin Treatment Decreases Tumor Growth in KRAS-Driven Lung Cancer Cancers 2020, 12, 1382”
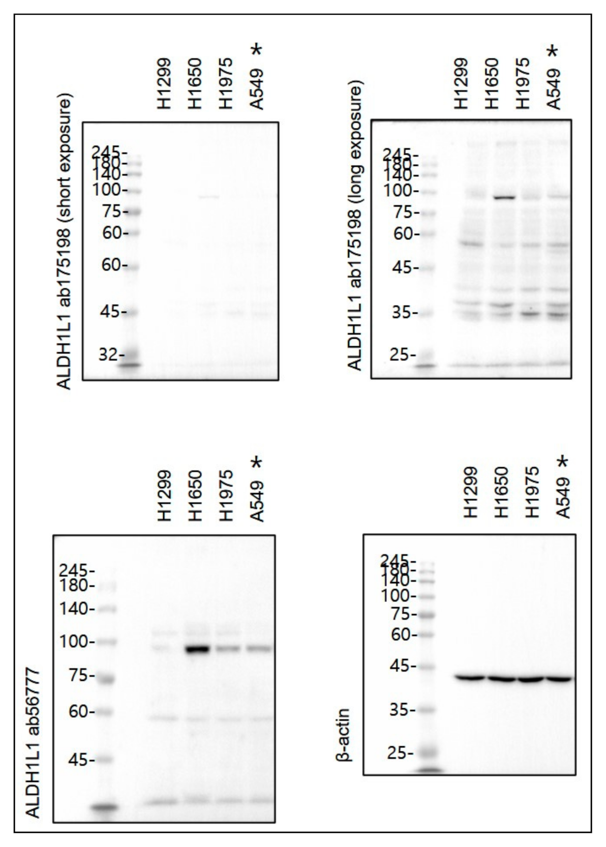
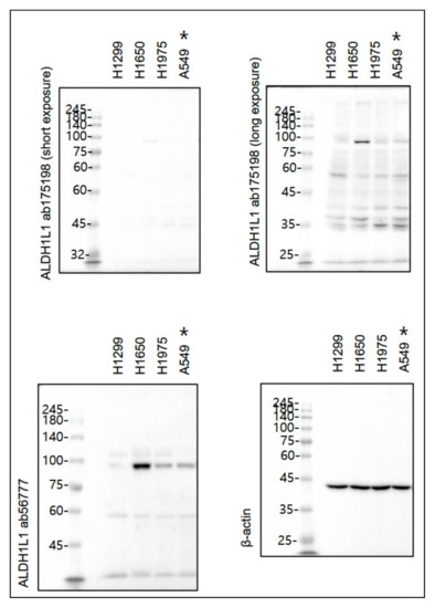
- ALDH1L1 expression was suppressed by siRNA of KRAS in NSCLC cell lines.
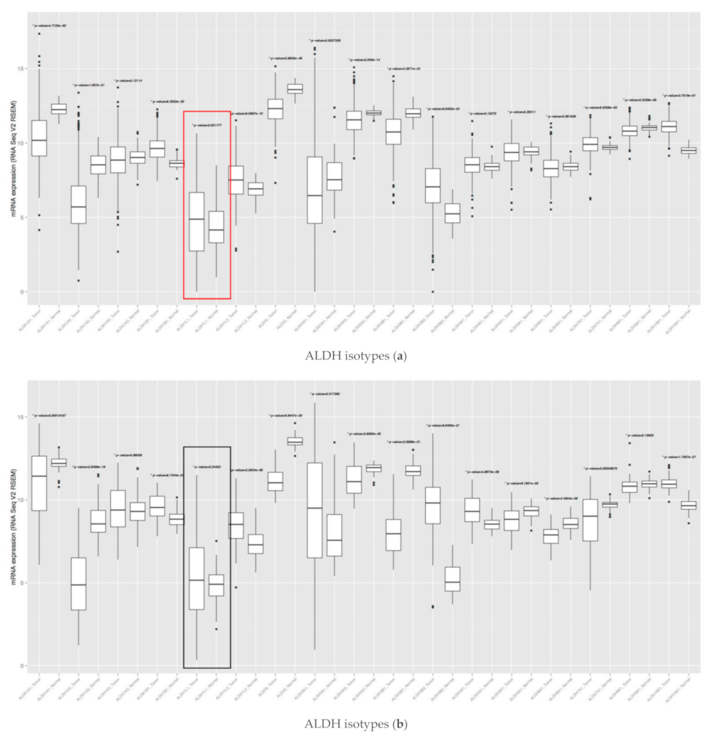
- ALDH1L1 expression was induced by KRAS mutation in NSCLC cell lines.
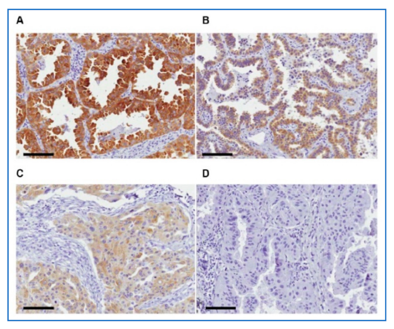
- In the spontaneous lung cancer model by Kras mutation, the ALDH1L1 protein level was increased following to the oncogenesis of adenocarcinoma.
Supplementary Materials
Author Contributions
Funding
Conflicts of Interest
References
- Lee, S.H.; Jeon, Y.; Kang, J.H.; Jang, H.; Lee, H.; Kim, S.Y. The Combination of Loss of ALDH1L1 Function and Phenformin Treatment Decreases Tumor Growth in KRAS-Driven Lung Cancer. Cancers 2020, 12, 1382. [Google Scholar] [CrossRef] [PubMed]
- Kang, J.H.; Lee, S.H.; Hong, D.; Lee, J.S.; Ahn, H.S.; Ahn, J.H.; Seong, T.W.; Lee, C.H.; Jang, H.; Hong, K.M.; et al. Aldehyde dehydrogenase is used by cancer cells for energy metabolism. Exp. Mol. Med. 2016, 48, e272. [Google Scholar] [CrossRef] [PubMed]
- Kang, J.H.; Lee, S.H.; Lee, J.S.; Nam, B.; Seong, T.W.; Son, J.; Jang, H.; Hong, K.M.; Lee, C.; Kim, S.Y. Aldehyde dehydrogenase inhibition combined with phenformin treatment reversed NSCLC through ATP depletion. Oncotarget 2016, 7, 49397–49410. [Google Scholar] [CrossRef] [PubMed]
- Cline, M.S.; Craft, B.; Swatloski, T.; Goldman, M.; Ma, S.; Haussler, D.; Zhu, J. Exploring TCGA Pan-Cancer Data at the UCSC Cancer Genomics Browser. Sci. Rep. 2013, 3, 2652. [Google Scholar] [CrossRef] [PubMed]
- Li, X.; Wan, L.; Geng, J.; Wu, C.L.; Bai, X. Aldehyde dehydrogenase 1A1 possesses stem-like properties and predicts lung cancer patient outcome. J. Thorac. Oncol. 2012, 7, 1235–1245. [Google Scholar] [CrossRef] [PubMed]
- Jiang, F.; Qiu, Q.; Khanna, A.; Todd, N.W.; Deepak, J.; Xing, L.; Wang, H.; Liu, Z.; Su, Y.; Stass, S.A.; et al. Aldehyde dehydrogenase 1 is a tumor stem cell-associated marker in lung cancer. Mol. Cancer Res. 2009, 7, 330–338. [Google Scholar] [CrossRef] [PubMed]
- Krupenko, S.A. FDH: An aldehyde dehydrogenase fusion enzyme in folate metabolism. Chem. Biol. Interact. 2009, 178, 84–93. [Google Scholar] [CrossRef] [PubMed]
- Krupenko, S.A.; Wagner, C.; Cook, R.J. Expression, purification, and properties of the aldehyde dehydrogenase homologous carboxyl-terminal domain of rat 10-formyltetrahydrofolate dehydrogenase. J. Biol. Chem. 1997, 272, 10266–10272. [Google Scholar] [CrossRef] [PubMed]
- Veech, R.L.; Eggleston, L.V.; Krebs, H.A. The redox state of free nicotinamide-adenine dinucleotide phosphate in the cytoplasm of rat liver. Biochem. J. 1969, 115, 609–619. [Google Scholar] [CrossRef] [PubMed]
- Lin, S.J.; Guarente, L. Nicotinamide adenine dinucleotide, a metabolic regulator of transcription, longevity and disease. Curr. Opin. Cell Biol. 2003, 15, 241–246. [Google Scholar] [CrossRef]













Publisher’s Note: MDPI stays neutral with regard to jurisdictional claims in published maps and institutional affiliations. |
© 2021 by the authors. Licensee MDPI, Basel, Switzerland. This article is an open access article distributed under the terms and conditions of the Creative Commons Attribution (CC BY) license (https://creativecommons.org/licenses/by/4.0/).
Share and Cite
Lee, S.-H.; Jeon, Y.; Kang, J.-H.; Jang, H.; Hong, K.-M.; Hong, D.; Lee, H.; Kim, S.-Y. Reply to Krupenko et al. Comment on “Lee et al. The Combination of Loss of ALDH1L1 Function and Phenformin Treatment Decreases Tumor Growth in KRAS-Driven Lung Cancer Cancers 2020, 12, 1382”. Cancers 2021, 13, 2238. https://doi.org/10.3390/cancers13092238
Lee S-H, Jeon Y, Kang J-H, Jang H, Hong K-M, Hong D, Lee H, Kim S-Y. Reply to Krupenko et al. Comment on “Lee et al. The Combination of Loss of ALDH1L1 Function and Phenformin Treatment Decreases Tumor Growth in KRAS-Driven Lung Cancer Cancers 2020, 12, 1382”. Cancers. 2021; 13(9):2238. https://doi.org/10.3390/cancers13092238
Chicago/Turabian StyleLee, Seon-Hyeong, Yoon Jeon, Joon-Hee Kang, Hyonchol Jang, Kyeong-Man Hong, Dongwan Hong, Ho Lee, and Soo-Youl Kim. 2021. "Reply to Krupenko et al. Comment on “Lee et al. The Combination of Loss of ALDH1L1 Function and Phenformin Treatment Decreases Tumor Growth in KRAS-Driven Lung Cancer Cancers 2020, 12, 1382”" Cancers 13, no. 9: 2238. https://doi.org/10.3390/cancers13092238
APA StyleLee, S.-H., Jeon, Y., Kang, J.-H., Jang, H., Hong, K.-M., Hong, D., Lee, H., & Kim, S.-Y. (2021). Reply to Krupenko et al. Comment on “Lee et al. The Combination of Loss of ALDH1L1 Function and Phenformin Treatment Decreases Tumor Growth in KRAS-Driven Lung Cancer Cancers 2020, 12, 1382”. Cancers, 13(9), 2238. https://doi.org/10.3390/cancers13092238

