Abstract
Monolepta hieroglyphica Motschulsky, a major agricultural pest in China, causes considerable economic damage to crops, such as maize. In this study, a Bacillus thuringiensis (Bt) strain was discovered to exhibit insecticidal activity against M. hieroglyphica. A novel Bt gene, vpb4Fa1, with toxicity against both adults and larvae of M. hieroglyphica was cloned. The Vpb4Fa1 protein causes damage to the midgut of adult M. hieroglyphica, disrupting their normal growth and development and ultimately leading to death. To further enhance the insecticidal activity of the vpb4Fa1 gene, a random mutation library was established. A total of 75 mutants with amino acid mutations were generated, among which 7 mutants demonstrated significantly enhanced activity relative to the wild-type gene. Notably, three mutants, C9, 6C2, and 6A7, exhibited the highest activity, with LC50 values for adult M. hieroglyphica of 10.21, 9.45, and 9.83 µg/g, respectively. The mutants C9, 6C2, and 6A7 each harbored nine, three, and six amino acid mutations, respectively, mainly located in Domains I, II, and III. The novel insecticidal gene vpb4Fa1 and its mutants offer valuable genetic resources for the biological control of M. hieroglyphica and the development of Bt transgenic maize.
Key Contribution:
In this study; we present the initial identification of a Bacillus thuringiensis (Bt) gene that demonstrates insecticidal activity against M. hieroglyphica, along with the development of mutants exhibiting an LC50 of approximately 10 µg/g. This finding provides a valuable reference for the investigation of novel Bt genes and contributes to the availability of strains and genetic resources for the sustainable control of pests.
1. Introduction
Corn is the top staple crop in China, with an annual production of approximately 500 million tons, accounting for about 10% of the country’s total grain output. It plays a strategic role in ensuring national food security [1]. In recent years, the spread and extent of damage caused by Monolepta hieroglyphica Motschulsky have been increasing, making it one of the key pests of crops such as corn in various regions of China [2]. During peak infestation periods, the damage rate can reach up to 100%, resulting in a severe decline in corn yields, with complete crop failure occurring under severe infestation conditions [3,4,5,6]. M. hieroglyphica belongs to the Galerucinae subfamily of the Chrysomelidae family within the Coleoptera order. This pest is widely distributed across China, and is a polyphagous insect with a broad host range, primarily feeding on plants from the Poaceae, Brassicaceae, and Fabaceae families [7,8]. Key characteristics of this pest include its gregarious behavior, extended damage period, rapid reproduction, and short-distance migration. Both the larvae and adults of M. hieroglyphica cause significant damage to corn. The larvae live in the soil, feeding on the corn roots, while the adults exhibit a gregarious feeding behavior [9].
Currently, chemical pesticides are the primary method for controlling M. hieroglyphica, with commonly employed agents including chlorpyrifos, thiamethoxam, deltamethrin, and fipronil [2,10]. However, the long-term overuse of chemical pesticides poses risks such as environmental pollution and the development of pesticide resistance in target pests. Presently, there have been few reports on the biological control of M. hieroglyphica. Effective biopesticides include abamectin and the entomopathogenic fungus Metarhizium anisopliae strain CQMa421 [11,12]. Natural enemies of M. hieroglyphica include ladybugs, spiders, and parasitic wasps, but they have not been widely applied in field control [13]. Due to the lack of a well-established indoor rearing system and bioassay protocols for M. hieroglyphica, no effective insecticidal genes have been reported so far.
Bacillus thuringiensis (Bt) is a Gram-positive bacterium belonging to the Bacillaceae family. It is commonly found in natural environments such as soil, water, insects, and plant surfaces [14,15]. During its growth, Bt produces various insecticidal proteins including insecticidal crystal proteins (ICPs) such as Cry and Cyt proteins, which are formed during the late stage of sporulation [16]; vegetative insecticidal proteins (Vip) produced during the vegetative growth phase [17]; and secreted proteins (Sip) [18]. Bt exhibits insecticidal activity against a wide range of insects, including Lepidoptera, Coleoptera, Hymenoptera, and Diptera, as well as against mites and nematodes [19,20]. Currently, Cry3 [21], Cry5, Cry7, Cry8 [22], Cry18, Vip1/Vip2 [23], and Vpb4 have been reported to exhibit insecticidal activity against Coleopteran pests.
The vpb4 gene family consists six genes, including four model genes: vpb4Aa1, vpb4Ba1, vpb4Ca1, and vpb4Da1. There are limited reports on the Vpb4 protein, among which the Vpb4Da2 protein contains four structural domains: the PA14 domain, and the Binary_toxB, toxB_2, and toxB_3 domains. Vpb4Da2 exhibits specific insecticidal activity against the western corn rootworm (WCR), Diabrotica virgifera virgifera (LeConte), which also belongs to the Galerucinae subfamily of the Chrysomelidae family within the order of Coleoptera. At a concentration of 31.25 µg/cm2, Vpb4Da2 showed strong growth inhibition and significant insecticidal activity against WCR larvae. The cultivation of Vpb4Da2 transgenic corn has been shown to reduce root damage caused by WCR larvae and lowers both the survival rate and emergence rate of WCR [24]. Feeding WCR with the Vpb4Da2 protein caused structural damage to the midgut epithelial cells, including the rupture of the apical microvilli, with detachment of lumen cellular debris [25].
Error-prone PCR is one of the most commonly used method for inducing random mutations. This method primarily relies on the use of Taq DNA polymerase during PCR amplification. By adjusting reaction conditions, such as modifying the magnesium ion concentration, incorporating manganese ions, and altering the number of PCR cycles, the probability of incorrect base incorporation is increased, thereby inducing random mutations in the target gene. Shu et al. used error-prone PCR to create a random mutation library of Cry8Ca, resulting in two mutants, M100 (E642G) and M102 (Q439P, E884G), which showed 4-fold and 4.5-fold increases in toxicity against Anomala corpulenta Motschulsky (Coleoptera: Scarabaeidae), respectively [26]. Kumar et al. constructed a random mutation library of Cry1Ac and identified mutants with a 3-fold increase in toxicity against Manduca sexta Joh. (Lepidoptera: Sphingidae) and Helicoverpa assulta Guenée (Lepidoptera: Noctuidae) [27].
In this study, a wild-type Bt strain, B14D2, with insecticidal activity against both adults and larvae of M. hieroglyphica, was obtained from a Bt library stored in our lab. The novel vpb4Fa1 gene was cloned, and the protein caused damage to the midgut of adult M. hieroglyphica. A random mutation library of Vpb4Fa1 was successfully constructed, and seven mutants with significantly enhanced insecticidal activity against M. hieroglyphica were selected, providing a new strategy for the control of this pest.
2. Results
2.1. Insecticidal Activity of Bt B14D2 Strain Against M. hieroglyphica
The Bt B14D2 cells were collected, and a bioassay was performed at a concentration of 108 cfu/mL on M. hieroglyphica. The corrected mortality rate for adult M. hieroglyphica was 22.2%, while the larvae exhibited insecticidal activity with a corrected mortality rate of 40.4%. Further analysis of the insecticidal spectrum revealed that the B14D2 strain showed high toxicity against Mythimna separata Walker (Lepidoptera: Noctuidae), Helicoverpa armigera Hübner (Lepidoptera: Noctuidae), and Plutella xylostella Linnaeus (Lepidoptera: Plutellidae) (Table 1).
Table 1.
Insecticidal activity of Bt B14D2 strain against different pests.
2.2. Whole Genome Sequencing Analysis of Bt B14D2 Strain
Whole genome sequencing of the Bt B14D2 strain was performed (Figure 1). The assembly resulted in two circular contigs and four linear contigs, consisting of one circular chromosome and five plasmids. The genome size is 5.48 Mb, with a total of 6,405,341 base pairs and a GC content of 34.99%. The Bt B14D2 strain contains 6789 coding genes, of which 6487 are protein-coding sequences (CDS). Phylogenetic analysis using the genome data of Bt B14D2 and 37 reference strains was performed with CVTree (Figure 2). The results indicated that Bt B14D2 belongs to the Bt subsp. kenyae.
Figure 1.
Circos plot of B14D2. The layers, progressing from the outermost to the innermost, are as follows: tRNA-related genes; COG annotations of forward-strand genes, distinguished by different colors (refer to the right-side description for details); positions of forward-strand genes; rRNA genes; coordinates of reverse-strand genes; COG annotations of reverse-strand genes; GC content, with the average GC content as the baseline—protruding outward indicates values above the average, while protruding inward indicates values below the average; the innermost circle represents the GC skew values, where purple indicates values less than 0 and green indicates values greater than 0.
Figure 2.
CVTree phylogenetic analysis of Bt B14D2 strain.
Further annotation of the whole genome sequence of Bt B14D2 was performed for insecticidal genes (Table 2), identifying four insecticidal genes. Sequence alignment revealed that Bt B14D2 contains cry1Ea3, cry2Ab4, vip3Aa59, and a novel vpb4 gene. The protein encoded by the vpb4 gene shares 53.50% amino acid similarity with Vpb4Da2, which has been reported to exhibit specific insecticidal activity against WCR larvae [24].
Table 2.
Insecticidal gene annotation of Bt B14D2 strain.
2.3. Expression and Bioassay Analysis of Vpb4Fa1 Protein
A novel vpb4 gene was cloned, and a 114 kDa protein was successfully expressed in Escherichia coli BL21. The protein was subsequently desalted and purified (Figure 3A). According to the SDS-PAGE results, the purity of Vpb4Fa1 protein is 92.8%. The gene was submitted to BPPRC (https://www.bpprc-db.org/view_cart/, accessed on 23 October 2024), and according to the system for naming Bt proteins, it was designated as Vpb4Fa1 (GenBank No: PQ478524). Analysis of the amino acid sequence of the Vpb4Fa1 protein revealed that it contains the following domains, PA14, Binary_toxB, toxB_2, and toxB_3, located at amino acid residues 45–170, 210–286, 288–502, and 508–609, respectively. These domains are consistent with those found in Vpb4Da2, a protein previously reported to exhibit insecticidal activity against WCR. The Vpb4Fa1 protein model was constructed using the SWISS-MODEL online software (https://swissmodel.expasy.org/, accessed on 10 October 2024, Figure 3B), with reference to the Vpb4Da2 domain structure [25]. Based on this, the Vpb4Fa1 protein can be roughly divided into six domains: Domain I (amino acids 1–299), Domain II (amino acids 300–517), Domain III (amino acids 518–627), Domain IV (amino acids 628–764), Domain V (amino acids 765–854), and Domain VI (amino acids 855–950). The bioassay results showed that at a concentration of 40 µg/g, the Vpb4Fa1 protein exhibited a corrected mortality rate of 43.5% against M. hieroglyphica adults (Figure 3C) and a corrected mortality rate of 19.2% against larvae (Figure 3D).
Figure 3.
Purification and bioassay of Vpb4Fa1 protein. (A) Purification of Vpb4Fa1 protein. Maker: 26614; (B) 3D structure prediction of Vpb4Fa1 protein (SWISS-MODEL), blue represents α-helix, light pink represents loops, and dark pink represents β-sheet. (C) Bioassay of Vpb4Fa1 protein against M. hieroglyphica adults. (D) Bioassay of Vpb4Fa1 protein against M. hieroglyphica larvae. CK: M. hieroglyphica adults were fed with 20 mM Tris-HCL; the concentration of Vpb4Fa1 protein is 40 μg/g. The original data were presented in Table S4.
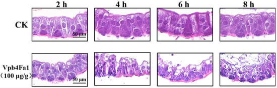
After feeding M. hieroglyphica adults with Vpb4Fa1 protein at a concentration of 100 µg/g, the midgut of the adults was dissected at different time points. Significant damage to the midgut was observed (Figure 4). In the control group, the midgut epithelial cells of M. hieroglyphica, which were not fed with Bt protein, appeared oval-shaped and were arranged in a dense, orderly pattern. After 2 h of Vpb4Fa1 protein treatment, the cells elongated, began to deform, and were arranged in a disordered pattern. After 4–6 h, tissue damage intensified, with cells becoming more loosely arranged and disorganized, and vacuolation began to appear. After 8 h, cell morphology became difficult to distinguish, with extensive vacuolation and rupture of the epithelial cells. After 10 h, part of the apical microvilli layer was disrupted.
Figure 4.
A temporal sequence of histopathological effects induced by Vpb4Fa1 protein on the midgut of M. hieroglyphica. CK: M. hieroglyphica adults were fed with 20 mM Tris-HCL. The microscope models are Pannoramic MIDI (3DHISTECH, Budapest, Hungary), Pannoramic 250FLASH, and Pannoramic DESK (Observations were made using a 20× objective lens).
2.4. Establishment of the Vpb4Fa1 Random Mutant Library
Excessive numbers of mutated bases can result in a high frequency of nonsense mutations. To increase the proportion of sense mutations, we set the number of mutated bases to two. Using a formula, we determined that 26 PCR cycles were required to induce mutations in two bases. The initial template amount for constructing the mutant library was set at 4 ng, as determined by gradient PCR. A random Vpb4Fa1 mutant library containing 103 single clones was constructed, yielding 102 mutants with altered nucleotide sequences, resulting in a base mutation rate of 99.1%. Statistical analysis of the mutation sites in the Vpb4Fa1 random mutant library showed a relatively uniform distribution. A total of three mutation hotspots were identified: base 666 changed from A to G in 75 mutants, base 931 changed from T to C in 73 mutants, and base 2292 changed from T to C in 73 mutants. Amino acid sequence analysis revealed a mutation rate of 99.1%, with nonsense mutations accounting for 30.3% (33 mutants in total), missense mutations accounting for 68.6% (75 mutants in total), and one mutant remaining unchanged.
The mutants were introduced into E. coli BL21 competent cells for protein expression. SDS-PAGE results showed that 75 mutants successfully expressed a 114 kDa protein (Figure S1). When the mutant proteins were fed to M. hieroglyphica adults at a concentration of 10 µg/g, initial screening revealed seven mutants with significantly increased insecticidal activity (Table S5). The seven mutants were further analyzed, and the corrected mortality rate for adults ranged from 60.7% to 82.1% (Table 3). Based on the bioassay results, three mutants were selected for further testing on M. hieroglyphica adults to determine the lethal concentration (LC50). Specifically, mutant C9 was tested at concentrations of 1, 2, 4, 8, 16, and 32 µg/g, while mutants 6A7 and 6C2 were evaluated at concentrations of 1.75, 2.25, 4.5, 9, 18, and 36 µg/g. As in the previous experiments, 20 mM Tris-HCl was used as the control. The LC50 for mutant C9 was 10.21 µg/g (95% confidence interval: 5.06–21.26 µg/g), for mutant 6C2 was 9.45 µg/g (95% confidence interval: 7.86–11.35 µg/g), and for mutant 6A7 was 9.83 µg/g (95% confidence interval: 7.14–13.52 µg/g) (Table S6). The toxicity of these three mutants against M. hieroglyphica larvae was also analyzed. At a protein concentration of 10 µg/g, the corrected mortality rates for mutants C9, 6C2, and 6A7 were 41.7%, 50%, and 36.1% (Table S7), respectively. The three-dimensional structural models of these three proteins were constructed using PyMOL. The mutation sites were primarily located in Domains I, II, and III (Figure 5). These domains play key roles in the protein’s function and stability. Therefore, the distribution of mutation sites may significantly impact on the protein’s activity and conformational stability, affecting its interactions with target molecules and consequently altering its insecticidal activity.
Table 3.
Bioassay of adult M. hieroglyphica (partial).
Figure 5.
PyMOL 3D structure prediction of Vpb4Fa1 mutant proteins. (A) C9. (B) 6C2. (C) 6A7. Dark blue: 3D structure of Vpb4Fa1; light blue: 3D structure of mutant proteins; red: mutation sites.
3. Discussion
The damage caused by M. hieroglyphica on maize has been increasingly severe, gradually becoming an important emerging pest in maize production in regions such as southern Shandong and Shanxi. In this study, the strain B14D2 exhibits insecticidal activity against both adult and larval M. hieroglyphica, a discovery that not only enriches the Bt strain library, but also provides new resources for biological control. Furthermore, this study demonstrates the efficacy of the strain B14D2 against P. xylostella, H. armigera, and M. separata. Currently, most Bacillus thuringiensis (Bt) strains demonstrate insecticidal activity against a single target pest, either Coleopteran or Lepidopteran. To broaden the insecticidal spectrum, recombinant Bt strains have been developed, such as G033A, which exhibits dual insecticidal activity against both Lepidopteran and Coleopteran pests [28]. Furthermore, the total protein extract derived from the wild-type strain B14D2 has shown insecticidal activity against both the Coleopteran pest M. hieroglyphica and the Lepidopteran pest P. xylostella. These findings offer valuable strain resources for overcoming the limitations of Bt’s insecticidal spectrum and hold significant promise for biological control and integrated pest management (IPM).
According to the latest nomenclature, Vpb proteins are classified into four groups based on amino acid homology, with similarity thresholds set at 45%, 78%, and 95% [29]. Currently, the vpb4 gene family consists of six genes, including four model genes: vpb4Aa1, vpb4Ba1, vpb4Ca1, and vpb4Da1. The novel vpb4 gene cloned in this study encodes a protein with 53.5% amino acid similarity to the Vpb4Da protein. This gene has been submitted to BPPRC and designated as a new model gene, vpb4Fa1. Additionally, the identification of the novel vpb4Fa1 gene and mutations showed high toxicity, offering a new research direction for controlling M. hieroglyphica. Numerous studies have demonstrated that insecticidal proteins expressed by Bt strains do not negatively impact non-target insects, such as pollinators, natural enemies, and soil-dwelling insects. For example, the Bt insecticidal genes cry1Ab and cry1Ac, which are widely used in transgenic insect-resistant crops, have been shown to have no adverse effects on the growth and development of pollinators [30,31]. However, whether the Vpb4Fa1 protein affects non-target insects remains uncertain, highlighting the need for further laboratory validation. The discovery of this novel gene provides a valuable genetic resource for controlling M. hieroglyphica and offers new research avenues for managing D. virgifera virgifera while also helping to delay the development of pest resistance. The toxicity of Vpb4Fa1 against D. virgifera virgifera needs further analysis.
After being ingested by insects, Bt insecticidal proteins are activated in their bodies and bind to target sites on the midgut epithelial cells. This binding causes cell perforation, typically leading to pathological ultrastructural changes in the insect’s midgut. These changes are characterized by cell deformation, the widening of intercellular spaces, and the swelling and detachment of microvilli. [32,33]. After feeding on Vpb4Fa1 protein, M. hieroglyphica adults exhibited noticeable deformation of midgut epithelial cells. Vacuolization was observed between the cells, and in cases of severe damage, the cell boundaries became unclear, with midgut epithelial cells detaching into the gut lumen. In the Coleoptera order, Cry3A protein feeding by Zygogramma bicolorata Pallister [34], Bt strains HD8E and HD8G feeding by Phyllophaga crinite Burmeister [35], and Bt strain HBF-1 feeding by Anomala cuprea Hope all resulted in midgut pathological changes, consistent with those observed in this study [36].
Bt insecticidal proteins can be modified through random mutagenesis, and high-throughput sequencing combined with bioassays can be used to screen and identify mutants with enhanced activity. This study performed random mutagenesis on the vpb4Fa1 gene to obtain mutants with a low number of base mutations and enhanced toxicity. Sequencing results revealed a total of 75 mutants with amino acid sequence changes. Corresponding proteins were extracted, and bioassays on M. hieroglyphica adults identified seven mutants with significantly enhanced activity. The high-activity mutants showed mutations mainly located in Domains I, II, and III, while mutants with reduced activity had mutations in Domains I, II, and VI. According to Kouadio’s study, Domains I and III of Vpb4Da2 protein are involved in protein oligomerization, while Domain II acts as a potential pore-forming region, playing a crucial role in membrane pore formation. Domains IV, V, and VI play a crucial role play a crucial role in insecticidal activity. The deletion of these three domains reduces the insecticidal activity of Vpb4Da2 [25]. Based on the structural and functional similarities between Vpb4Fa1 and Vpb4Da2, mutations in Domains I and III likely enhance insecticidal activity by improving the protein’s oligomerization properties. Meanwhile, Domain II, as a potential pore-forming region, may alter the protein’s interaction with membranes, thereby enhancing its pore-forming ability. This ultimately results in the leakage of cellular contents and insect mortality. Mutations in Domain VI directly lead to the loss of insecticidal activity. While the current study sheds light on the potential mechanisms of these proteins, the specific molecular mechanisms still require further exploration.
This study first identifies the novel Vpb4Fa1 protein as having high insecticidal activity against M. hieroglyphica, capable of inducing pathological changes in the insect’s midgut. To further enhance its toxicity, we applied random mutagenesis to modify the vpb4Fa1 gene and successfully obtained mutants with significantly improved insecticidal activity. However, several issues remain to be addressed: (1) The binding receptor of Vpb4Fa1 protein with the M. hieroglyphica is still unclear; (2) The molecular mechanisms linking the mutated sites in the protein to the enhanced insecticidal activity require further investigation. While Vpb4Fa1 demonstrates significant insecticidal potential, it also provides a new genetic resource for the development of Bt transgenic plants. (3) The activity spectrum and potential on non-target organisms are still uncertain. Overall, Vpb4Fa1 not only shows great insecticidal promise, but also offers new avenues for the development of Bt-based transgenic crops.
4. Conclusions
In this study, a Bt strain, B14D2, was found to exhibit insecticidal activity against both adult and larvae of M. hieroglyphica. High-throughput sequencing identified a novel vpb4Fa1 gene, which demonstrated high insecticidal activity against M. hieroglyphica. This gene causes damage to the midgut of adult M. hieroglyphica. To enhance the insecticidal activity of the vpb4Fa1 gene, a random mutagenesis library was constructed, and seven mutants with improved activity were obtained. These findings contribute to expanding the genetic resources of Bt insecticidal proteins and provide new approaches for developing novel biopesticides. Furthermore, they offer new research directions and technological solutions for controlling M. hieroglyphica.
5. Materials and Methods
5.1. Bacterial Strains and Culture Conditions
The bacterial strain B14D2 was cultured on 1/2 LB solid medium at 30 °C for 48 h, followed by plate counting. The bacterial cells were collected when the concentration reached 108 cfu/mL. E. coli strains were cultured in LB liquid medium at 37 °C with shaking at 220 rpm for 12 h.
5.2. Genomic DNA Extraction and Sequencing
Genomic DNA was extracted using the CTAB method [37]. The whole genome was sequenced by Sinobiocore (Beijing, China) using the PacBio sequencing platform. Assembly was carried out with HGAP [38]. CDS prediction was carried out using Prodigal [39]. A GC plot was generated based on the genome sequence. The distribution of COG-annotated genes on the genome was mapped according to the COG annotation results [40] and the positional information of the genes.
The Bt insecticidal protein database, which includes publicly available Bt insecticidal protein sequences from NCBI, was established using BioEdit (v7.2.6.1). The predicted amino acid sequences of the strains were input into BLAST for local alignment, with an E-value cutoff set at 10−5, to annotate the strain’s amino acid sequences.
5.3. Establishment of the Random Mutation Library for the vpb4Fa1 Gene and Protein Extraction
The bacterial strain was inoculated into an LB liquid medium and cultured at 30 °C, 220 rpm for 8–12 h. Plasmid extraction was performed using the Plasmid Mini Kit Ι (OMEGA, Guangzhou, China). The plasmid concentration was adjusted to 4 ng/µL, and 1 µL of plasmid was used as the PCR template. Primers were designed based on the vpb4Fa1 gene sequence, forward primer: TGGTGGTGGTGGTGGTGCTCGAGAATGAAATTAAAAA GTATATTTA, reverse primer: GCGGATATTTTTATCCATTTAAAAGTCGACGGAGCT CGAATTCGGATCCGC. PCR amplification was performed using 2× Taq PCR MasterMix (Biomed, Beijing, China). The PCR cycling conditions were as follows: initial denaturation at 94 °C for 10 min, denaturation at 94 °C for 30 s, annealing at 55 °C for 30 s, extension at 72 °C for 3 min and 10 s, 26 cycles, and final extension at 72 °C for 5 min. The amplified vpb4Fa1 gene was ligated into the pET-28a vector and sent to Beijing Qingke Technology Co., Ltd. (Beijing, China) and Genechem Biotech (Shanghai, China) Co., Ltd. for sequencing. After sequencing was completed, the mutant strains with the expected mutations were transformed into E. coli BL21 (DE3) competent cells.
When the bacterial culture reached an OD600 of 0.6, 0.5 mM isopropyl-β-D-thiogalactopyranoside (IPTG) was added to induce expression at 16 °C for 36 h. The culture was centrifuged at 8000× g for 10 min to obtain the pellet, which was resuspended in 20 mM Tris-HCl buffer. The suspension was sonicated, and the supernatant was collected. After purification using a Ni-affinity column, desalting was performed using an AKTA system to obtain pure Vpb4Fa1 protein. The protein was then analyzed by 10% SDS-PAGE.
5.4. Histopathological Changes in the Midgut of M. hieroglyphica
The adults of M. hieroglyphica were fed with 100 µg/g of Vpb4Fa1 protein, with adults fed with a control diet containing 20 mM Tris-HCl serving as the negative control. The adult M. hieroglyphica were reared in an artificial climate chamber with a temperature of (25 ± 1) °C, 60% relative humidity, and a light/dark cycle of 16:8. After 2, 4, 6, and 8 h of feeding, dissections were performed to isolate the midgut. The samples were stored in 4% tissue fixative and sent to Jiaves (Wuhan) Biopharmaceutical Co., Ltd. (Wuhan, China) for paraffin embedding and hematoxylin and eosin (H&E) staining. Midgut tissues differences were examined using a panoramic slice scanner (Pannoramic DESK/MIDI/250).
5.5. Bioassay Analysis
Strain B14D2 was cultured on 1/2 LB at 30 °C until more than 50% of the bacterial cell lysis was completed. The bacterial cells were scraped into a sterile 50 mL centrifuge tube, thoroughly washed with sterile water, and 4 mL of pre-cooled 50 mmol/L Na2CO3 (pH 10.0) was added. For the bioassay of M. separata, the protein concentrations of 0.0625, 0.125, 0.25, 0.5, and 1 µg/g were used. For the bioassay of H. armigera and P. xylostella, protein concentrations of 10 µg/g were used. The control group was fed with 50 mmol/L Na2CO3 (pH 10.0). The aforementioned protein concentrations were determined based on a 130 kDa protein. For the bioassay of M. hieroglyphica, a concentration of 108 cfu/mL of the B14D2 strain was used, and the control group was fed with sterile water. The Vpb4Fa1 and mutant proteins were purified for the bioassay of M. hieroglyphica and the control group was fed with 20 mM Tris-HCL.
The bioassay for P. xylostella was conducted following the leaf-dipping method described by Gao [41]. P. xylostella was initially collected from Langfang, China, and has been continuously reared in our laboratory. Cabbage leaves were dipped in a sample suspension containing 0.1% surfactant (Solabio, Beijing, China) for 5 min and air-dried in a Petri dish. Each cabbage leaf was inoculated with 30 first-instar larvae, with each treatment repeated three times. Mortality was recorded after 48 h. The Petri dishes were placed in an artificial climate chamber set at 26 °C, 50% relative humidity, and a light/dark cycle of 16:8.
M. separata and H. armigera were initially collected from Jilin, China, and were reared by the Jilin Academy of Agricultural Sciences. The bioassay method for M. separata and H. armigera was adapted from Xue et al. [42]. Artificial diets containing soy flour, wheat bran, yeast, and vitamins were used [43]. After the moisture evaporated at room temperature for 30 min, the diet was evenly distributed into a 24-well plate with a width of 8 cm, a length of 12 cm, and each well having a diameter of 2 cm. The 24 first-instar larvae were introduced into each well and covered with paper towels and lids. Each treatment was replicated three times, with 24 larvae per replicate. The larvae and diets were observed daily, and the corrected mortality rate was calculated after 7 days. The Petri dishes were placed in an artificial climate chamber set at 26 °C, 50% relative humidity, and a light/dark cycle of 16:8.
M. hieroglyphica were initially collected from Shanxi, China, and reared by the Plant Protection Research Institute of the Cangzhou Academy of Agricultural and Forestry Sciences. The artificial diet for adult M. hieroglyphica contains 5.54% corn flour, 4.77% yeast powder, 1.26% sucrose, 0.30% ascorbic acid, 0.15% ethyl paraben, 0.15% sorbic acid, and 1% agar, which is then mixed and dissolved in 1 L of water, while the larval diet was a mixture of the WCR larval diet WCRMO-2 and F9800B (Frontier Agricultural Sciences, Newark, NJ, USA). The artificial diet was placed in each Petri dish, and the test solution was mixed with the diet. After the moisture evaporated, the diet was evenly distributed. Transparent plastic jars, with a height of 10 cm and a diameter of 8.5 cm, were used for rearing adult insects, while Petri dishes with a diameter of 6 cm were used for rearing larvae. M. hieroglyphica of similar size and good health were selected. Each treatment was replicated three times, with 15 adults or first-instar larvae per replicate. The transparent plastic jars or Petri dishes were placed in an artificial climate chamber set at (25 ± 1) °C, with 60% relative humidity and a light/dark cycle of 16:8. The insects and diets were monitored daily, and the corrected mortality rate was calculated after 7 days.
The LC50 value was calculated using SPSS (version 19.0) based on Finney’s probit analysis method [44]. Other statistical analyses were performed using GraphPad Prism 9.0 software. Corrected mortality = [(treatment mortality − control mortality)/(100 − control mortality)] × 100. Detailed bioassay data are provided in the Supplementary Tables.
Supplementary Materials
The following supporting information can be downloaded at: https://www.mdpi.com/article/10.3390/toxins17040167/s1. Table S1: Insecticidal activity of Bt B14D2 strain against M. hieroglyphica; Table S2: Insecticidal activity of Bt B14D2 strain against M. hieroglyphica; Table S3: Insecticidal activity of Bt B14D2 strain against Plutella xylostella; Table S4: Bioassay of Vpb4Fa1 protein against M. hieroglyphica; Table S5: Bioassay of adult M. hieroglyphica; Table S6: LC50 bioassay of Vpb4Fa1 mutant protein against adult M. hieroglyphica; Table S7: Bioassay of larvae M. hieroglyphica; Table S8: Bioassay of adult M. hieroglyphica; Table S9: Bioassay of adult M. hieroglyphica; Table S10: Bioassay of adult M. hieroglyphica; Table S11: Bioassay of adult M. hieroglyphica; Table S12: Bioassay of adult M. hieroglyphica; Table S13: Bioassay of adult M. hieroglyphica; Figure S1: Supernatant of 75 Vpb4 Mutant Proteins by SDS-PAGE.
Author Contributions
Conceptualization, L.G. and J.Z.; methodology, Y.Z.; software, Y.Z., P.X. and W.H.; formal analysis, Y.Z.; investigation, Y.Z.; resources, P.X. and J.W.; data curation, Y.Z., R.S. and C.L.; writing—original draft preparation, L.G. and Y.Z.; writing—review and editing, L.G.; supervision, L.G. and C.S.; project administration, L.G.; funding acquisition, L.G. and J.Z. All authors have read and agreed to the published version of the manuscript.
Funding
This research was supported by Hainan Seed Industry Laboratory and China National Seed Group (project of B23CQ158P).
Institutional Review Board Statement
Not applicable.
Informed Consent Statement
Not applicable.
Data Availability Statement
The assembled sequences can be found with CNGBdb accession numbers of CNA0146545, CNA0146546, CNA0146547, and CNA0146548.
Conflicts of Interest
Wei Huang is an employee of China National Seed Group Co., Ltd., Sanya and National Center of Technology Innovation for Maize. The authors declare no conflict of interest.
Correction Statement
This article has been republished with a minor correction to a gene accession number. This change does not affect the scientific content of the article.
References
- Wang, Y.; Shao, Y.; Zhao, X.; Pei, Q.; Nan, N.; Zhang, F.; Jiang, X.; Li, X. High-efficiency fungicide screening and field control efficacy of maize southern corn rust. Crop Prot. 2025, 187, 106997. [Google Scholar]
- Zheng, F.; Jiang, H.; Jia, J.; Wang, R.; Zhang, Z.; Xu, H. Effect of dimethoate in controlling Monolepta hieroglyphica (Motschulsky) and its distribution in maize by drip irrigation. Pest Manag. Sci. 2020, 76, 1523–1530. [Google Scholar] [PubMed]
- Li, H.; Ma, D.; Ma, J. Overview and research status of the occurrence and research status of the leaf beetle of Diplopathic longum in Xinjiang. Xinjiang Agric. Sci. Technol. 2016, 5, 35–36. [Google Scholar]
- Zhao, X.; Zheng, X.; Guo, J.; Liu, Y.; Luo, B.; Wang, L.; Wang, L.; Liu, Y.; Li, Q.; Wang, Z. Occurrence of Monolepta hieroglyphica adults in cornfields in Qiqihar. Chin. J. Appl. Entomol. 2021, 58, 979–984. [Google Scholar]
- Zhao, Y.; Zhao, W. Analysis the causes and control measures of corn northern leaf blight and Monolepta hieroglyphica (Motschulsky) insect pest. Chin. Agric. Inf. 2013, 25, 112. [Google Scholar]
- Zhao, X.; Zheng, X.; Guo, J.; Wang, L.; Luo, B.; Wang, L.; Li, Q.; Liu, Y.; Han, Y.; Wang, Z. Influences of damaged silks by Monolepta hieroglyphica (Motschulsky) on corn yield. Plant Prot. 2021, 47, 109–114. [Google Scholar]
- Meissle, M.; Knecht, S.; Waldburger, M.; Romeis, J. Sensitivity of the cereal leaf beetle Oulema melanopus (Coleoptera: Chrysomelidae) to Bt maize-expressed Cry3Bb1 and Cry1Ab. Arthropod-Plant Interact. 2012, 6, 203–211. [Google Scholar]
- Bieńkowski, A.O.; Orlova-Bienkowskaja, M.J. Alien leaf beetles (Coleoptera, Chrysomelidae) of European Russia and some general tendencies of leaf beetle invasions. PLoS ONE 2018, 13, e0203561. [Google Scholar]
- Ramzan, M.; Khashaveh, A.; Yi, C.; Shan, S.; Tang, Z.; Liu, W.; Khan, K.A.; Zhang, Y. Biology, ecology, host range, and management approaches for Monolepta spp. (Coleoptera: Chrysomelidae), emerging threats to crops. J. Integr. Pest Manag. 2024, 15, 24. [Google Scholar]
- Yan, W.; Zheng, Q.; Yang, L.; Zhu, S.; Zhang, Z.; Xu, H. Efficacy of drip irrigation with thiamethoxam on control of Monolepta hieroglyphica, and uptake, translocation and dietary risk of thiamethoxam in maize. Pest Manag. Sci. 2023, 79, 4931–4941. [Google Scholar]
- Chang, X.; Zhang, G.; Sun, L.; Gao, Y.; Sun, W.; Wang, Y.; Li, L.; Zhou, S.; Zhang, Y.; Zhou, J.; et al. Integrated pests control pesticides selection aimed mainly at Monolepta hieroglyphica at corn middle to later growing stage. J. Maize Sci. 2022, 30, 171–176. [Google Scholar]
- Chen, Y.; Liu, P.; Du, Y.; Wang, K.; Ma, Y.; Dong, H. Screening of the insecticides against Monolepta hieroglyphica (Motschulsky) of maize. Agrochemicals 2021, 60, 143–146. [Google Scholar]
- Lan, Y.; Zhao, X.; Liu, Y.; Li, Q.; Wang, L.; Liu, Y. Research progress on comprehensive management of Monolepta hieroglyphica (Motschulsky). Heilongjiang Agric. Sci. 2022, 12, 100–105. [Google Scholar]
- Vilas-Bôas, G.T.; Peruca, A.P.; Arantes, O.M. Biology and taxonomy of Bacillus cereus, Bacillus anthracis, and Bacillus thuringiensis. Can. J. Microbiol. 2007, 53, 673–687. [Google Scholar]
- Raymond, B.; Johnston, P.R.; Nielsen-LeRoux, C.; Lereclus, D.; Crickmore, N. Bacillus thuringiensis: An impotent pathogen? Trends Microbiol. 2010, 18, 189–194. [Google Scholar]
- Schnepf, E.; Crickmore, N.; Van Rie, J.; Lereclus, D.; Baum, J.; Feitelson, J.; Zeigler, D.R.; Dean, D.H. Bacillus thuringiensis and its pesticidal crystal proteins. Microbiol. Mol. Biol. Rev. 1998, 62, 775–806. [Google Scholar]
- Estruch, J.J.; Warren, G.W.; Mullins, M.A.; Nye, G.J.; Craig, J.A.; Koziel, M.G. Vip3A, a novel Bacillus thuringiensis vegetative insecticidal protein with a wide spectrum of activities against Lepidopteran insects. Proc. Natl. Acad. Sci. USA 1996, 93, 5389–5394. [Google Scholar]
- Donovan, W.P.; Engleman, J.T.; Donovan, J.C.; Baum, J.A.; Bunkers, G.J.; Chi, D.J.; Clinton, W.P.; English, L.; Heck, G.R.; Ilagan, O.M.; et al. Discovery and characterization of Sip1A: A novel secreted protein from Bacillus thuringiensis with activity against Coleopteran larvae. Appl. Microbiol. Biotechnol. 2006, 72, 713–719. [Google Scholar]
- Luo, H.; Xiong, J.; Zhou, Q.; Xia, L.; Yu, Z. The effects of Bacillus thuringiensis Cry6A on the survival, growth, reproduction, locomotion, and behavioral response of Caenorhabditis elegans. Appl. Microbiol. Biotechnol. 2013, 97, 10135–10142. [Google Scholar]
- Jouzani, G.S.; Valijanian, E.; Sharafi, R. Bacillus thuringiensis: A successful insecticide with new environmental features and tidings. Appl. Microbiol. Biotechnol. 2017, 101, 2691–2711. [Google Scholar]
- Yu, Y.; Yuan, Y.; Gao, M. Construction of an environmental safe Bacillus thuringiensis engineered strain against Coleoptera. Appl. Microbiol. Biotechnol. 2016, 100, 4027–4034. [Google Scholar] [PubMed]
- Park, Y.; Hua, G.; Taylor, M.D.; Adang, M.J. A coleopteran cadherin fragment synergizes toxicity of Bacillus thuringiensis toxins Cry3Aa, Cry3Bb, and Cry8Ca against lesser mealworm, Alphitobius diaperinus (Coleoptera: Tenebrionidae). J. Invertebr. Pathol. 2014, 123, 1–5. [Google Scholar] [PubMed]
- Bi, Y.; Zhang, Y.; Shu, C.; Crickmore, N.; Wang, Q.; Du, L.; Song, F.; Zhang, J. Genomic sequencing identifies novel Bacillus thuringiensis Vip1/Vip2 binary and Cry8 toxins that have high toxicity to Scarabaeoidea larvae. Appl. Microbiol. Biotechnol. 2015, 99, 753–760. [Google Scholar] [PubMed]
- Yin, Y.; Flasinski, S.; Moar, W.; Bowen, D.; Chay, C.; Milligan, J.; Kouadio, J.L.; Pan, A.; Werner, B.; Buckman, K.; et al. A new Bacillus thuringiensis protein for western corn rootworm control. PLoS ONE 2020, 15, e0242791. [Google Scholar]
- Kouadio, J.L.; Zheng, M.; Aikins, M.; Duda, D.; Duff, S.; Chen, D.; Zhang, J.; Milligan, J.; Taylor, C.; Mamanella, P.; et al. Structural and functional insights into the first Bacillus thuringiensis vegetative insecticidal protein of the Vpb4 fold, active against western corn rootworm. PLoS ONE 2021, 16, e0260532. [Google Scholar]
- Shu, C.; Liu, R.; Wang, R.; Zhang, J.; Feng, S.; Huang, D.; Song, F. Improving toxicity of Bacillus thuringiensis strain contains the cry8Ca gene specific to Anomala corpulenta larvae. Curr. Microbiol. 2007, 55, 492–496. [Google Scholar]
- Kumar, A.S.; Aronson, A.I. Analysis of mutations in the pore-forming region essential for insecticidal activity of a Bacillus thuringiensis delta-endotoxin. J. Bacteriol. 1999, 181, 6103–6107. [Google Scholar]
- Wang, G.; Zhang, J.; Song, F.; Wu, J.; Feng, S.; Huang, D. Engineered Bacillus thuringiensis GO33A with broad insecticidal activity against Lepidopteran and coleopteran pests. Appl. Microbiol. Biotechnol. 2006, 72, 924–930. [Google Scholar]
- Crickmore, N.; Berry, C.; Panneerselvam, S.; Mishra, R.; Connor, T.R.; Bonning, B.C. A structure-based nomenclature for Bacillus thuringiensis and other bacteria-derived pesticidal proteins. J. Invertebr. Pathol. 2021, 186, 107438. [Google Scholar]
- Babendreier, D.; Kalberer, N.M.; Romeis, J.; Fluri, P.; Mulligan, E.; Bigler, F. Influence of Bt-transgenic pollen, Bt-toxin and protease inhibitor (SBTI) ingestion on development of the hypopharyngeal glands in honeybees. Apidologie 2005, 36, 585–594. [Google Scholar]
- Sims, S.R. Bacillus thuringiensis var. kurstaki (CryIA (C)) protein expressed in transgenic cotton: Effects on beneficial and other non-target insects. Southwest. Entomol. 1995, 20, 493–500. [Google Scholar]
- Sousa, M.E.; Santos, F.A.; Wanderley-Teixeira, V.; Teixeira, A.A.; de Siqueira, H.; Alves, L.C.; Torres, J.B. Histopathology and ultrastructure of midgut of Alabama argillacea (Hübner) (Lepidoptera: Noctuidae) fed Bt-cotton. J. Insect Physiol. 2010, 56, 1913–1919. [Google Scholar]
- da Cunha, F.M.; Caetano, F.H.; Wanderley-Teixeira, V.; Torres, J.B.; Teixeira, A.A.; Alves, L.C. Ultra-structure and histochemistry of digestive cells of Podisus nigrispinus (Hemiptera: Pentatomidae) fed with prey reared on bt-cotton. Micron 2012, 43, 245–250. [Google Scholar]
- Gong, C.; Qu, C.; Wei, Y.; Wang, R.; Luo, C.; Shi, W. Pathological changes in the midgut of Phyllotreta striolata adults after feeding on Cry3Aa. Plant Prot. 2023, 49, 159–163+171. [Google Scholar]
- Wei, H.; Tan, S.; Cao, Y.; Yan, J.; Li, K.; Shu, C.; Yin, J. Pathological changes in the midgut of Holotrichia parallela larvae after feeding on HD8E and HD8G. Chin. J. Appl. Entomol. 2017, 54, 1015–1022. [Google Scholar]
- Gea, F.J.; Navarro, M.J.; Santos, M.; Diánez, F.; Herraiz-Peñalver, D. Screening and evaluation of essential oils from mediterranean aromatic plants against the mushroom cobweb Disease, Cladobotryum mycophilum. Agronomy 2019, 9, 656. [Google Scholar] [CrossRef]
- Lakshita, N.; Yulani, R.A.; Wijonarko, A.; Indarti, S. Genomic DNA extraction methods and phylogenetic analysis of Beauveria bassiana from Central Java, Indonesia, and its toxicity against the fall armyworm, Spodoptera frugiperda J.E. Smith (Lepidoptera: Noctuidae). Egypt. J. Biol. Pest Control 2024, 34, 59. [Google Scholar]
- Chin, C.S.; Alexander, D.H.; Marks, P.; Klammer, A.A.; Drake, J.; Heiner, C.; Clum, A.; Copeland, A.; Huddleston, J.; Eichler, E.E.; et al. Nonhybrid, finished microbial genome assemblies from long-read SMRT sequencing data. Nat. Methods 2013, 10, 563–569. [Google Scholar]
- Hyatt, D.; Chen, G.L.; Locascio, P.F.; Land, M.L.; Larimer, F.W.; Hauser, L.J. Prodigal: Prokaryotic gene recognition and translation initiation site identification. BMC Bioinform. 2010, 11, 119. [Google Scholar]
- Powell, S.; Forslund, K.; Szklarczyk, D.; Trachana, K.; Roth, A.; Huerta-Cepas, J.; Gabaldón, T.; Rattei, T.; Creevey, C.; Kuhn, M.; et al. eggNOG v4.0: Nested orthology inference across 3686 organisms. Nucleic Acids Res. 2014, 42, D231–D239. [Google Scholar]
- Gao, Y.; Jurat-Fuentes, J.L.; Oppert, B.; Fabrick, J.A.; Liu, C.; Gao, J.; Lei, Z. Increased toxicity of Bacillus thuringiensis Cry3Aa against Crioceris quatuordecimpunctata, Phaedon brassicae and Colaphellus bowringi by a Tenebrio molitor cadherin fragment. Pest Manag. Sci. 2011, 67, 1076–1081. [Google Scholar] [CrossRef] [PubMed]
- Xue, B.; Wang, M.; Wang, Z.; Shu, C.; Geng, L.; Zhang, J. Analysis of synergism between extracellular polysaccharide from Bacillus thuringensis subsp. kurstaki HD270 and insecticidal proteins. Toxins 2023, 15, 590. [Google Scholar] [CrossRef] [PubMed]
- Liang GeMei, L.G.; Tan WeiJia, T.W.; Guo YuYuan, G.Y. An improvement in the technique of artificial rearing of the cotton bollworm. Plant Prot. 1999, 25, 15–17. [Google Scholar]
- Yang, J.; Zeng, H.M.; Lin, H.F.; Yang, X.F.; Liu, Z.; Guo, L.H.; Yuan, J.J.; Qiu, D.W. An insecticidal protein from Xenorhabdus budapestensis that results in prophenoloxidase activation in the wax moth, Galleria mellonella. J. Invertebr. Pathol. 2012, 110, 60–67. [Google Scholar]
Disclaimer/Publisher’s Note: The statements, opinions and data contained in all publications are solely those of the individual author(s) and contributor(s) and not of MDPI and/or the editor(s). MDPI and/or the editor(s) disclaim responsibility for any injury to people or property resulting from any ideas, methods, instructions or products referred to in the content. |
© 2025 by the authors. Licensee MDPI, Basel, Switzerland. This article is an open access article distributed under the terms and conditions of the Creative Commons Attribution (CC BY) license (https://creativecommons.org/licenses/by/4.0/).




