Immunochemical Recognition of Bothrops rhombeatus Venom by Two Polyvalent Antivenoms
Abstract
1. Introduction
2. Results
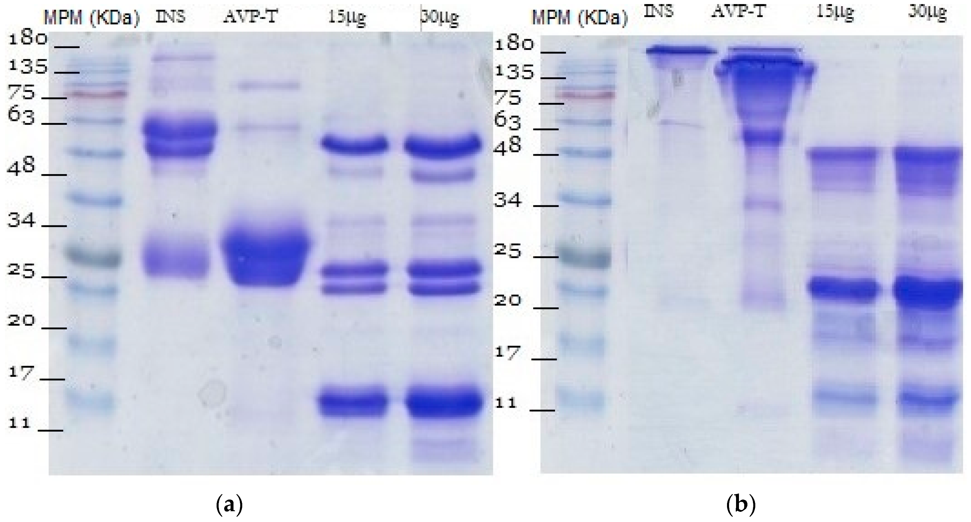
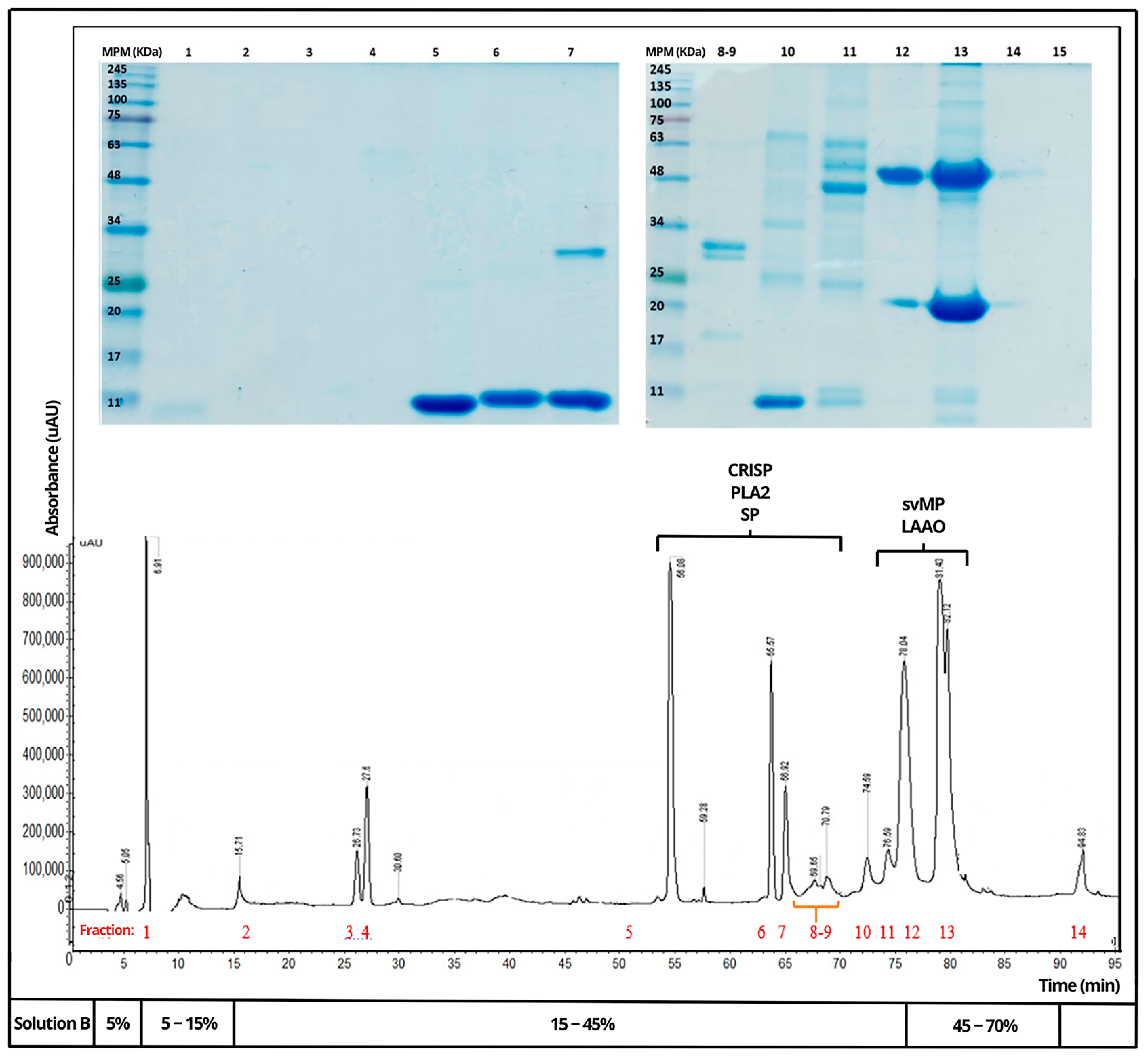
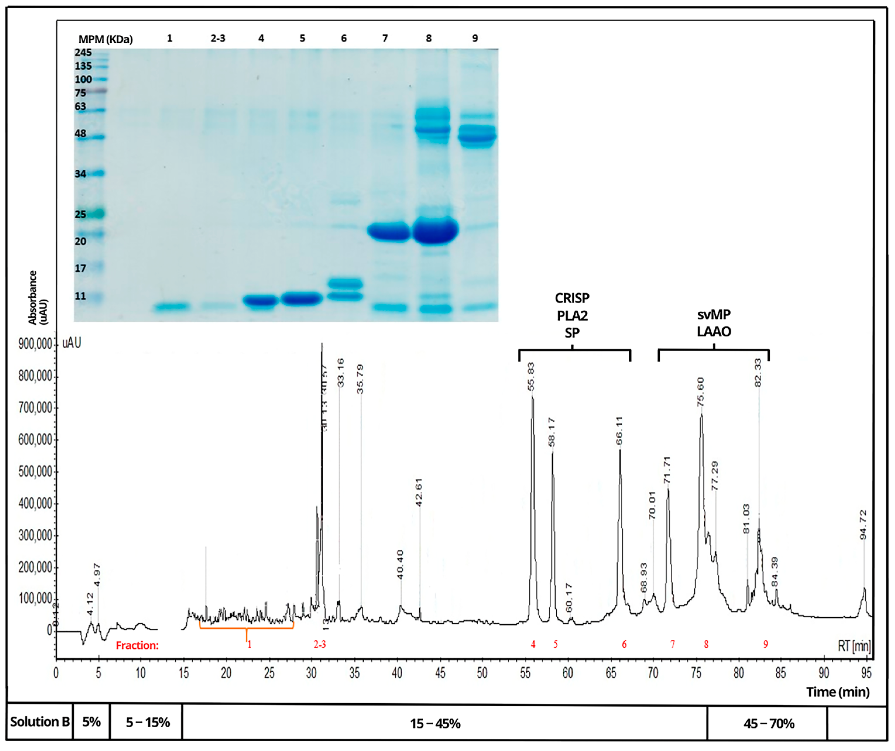
2.1. Protein Profile of Venoms and Antivenoms
2.2. Immunochemical Recognition
2.3. Median Lethal Dose of the Venoms
2.4. Median Effective Dose of the Antivenoms
3. Discussion
4. Conclusions
5. Materials and Methods
5.1. Venoms
5.2. Antivenoms
5.3. Electrophoresis (SDS-PAGE)
5.4. RP-HPLC Reverse-Phase High-Performance Liquid Chromatography
5.5. Titers by ELISA
5.6. Western Blot
5.7. Affinity Chromatography
5.8. In Vivo Biological Activities
5.8.1. Median Lethal Dose
5.8.2. Median Effective Dose
5.9. Statistical Analysis
6. Limitations
Supplementary Materials
Author Contributions
Funding
Institutional Review Board Statement
Informed Consent Statement
Data Availability Statement
Conflicts of Interest
References
- World Health Organization (WHO). Report of the Tenth Meeting of the WHO Strategic and Technical Advisory Group for Neglected Tropical Diseases (Issue March). 2017. Available online: https://www.who.int/publications/m/item/tenth-report-of-the-strategic-and-technical-advisory-group-for-neglected-tropical-diseases-(stag-ntd) (accessed on 9 August 2023).
- Ministerio de Ambiente, Vivienda y Desarrollo Territorial (Minambiente). Programa Nacional para la Conservación de Serpientes en Colombia, 2nd ed.; Corantioquia: Medellín, Colombia, 2013; p. 77. [Google Scholar]
- Instituto Nacional de Salud (INS). Informe de Evento—Accidente ofídico. 2021. Available online: https://www.ins.gov.co/buscador-eventos/Informesdeevento/ACCIDENTE OFIDICO PE XIII 2021.pdf (accessed on 10 August 2023).
- Otero-Patiño, R. Snake Bites in Colombia. In Clinical Toxinology in Australia, Europe, and Americas. Toxinology; Springer: Dordrecht, The Netherlands, 2018. [Google Scholar] [CrossRef]
- Folleco-Fernandez, A. Taxonomía del complejo Bothrops asper (Serpientes Viperidae) en el sudoeste de Colombia. Revalidación de la especie Bothrops rhombeatus (García, 1896) y descripción de una nueva especie. Rev. Noved. Colomb. 2010, 10, 33–70. Available online: https://revistas.unicauca.edu.co/index.php/novedades/article/view/1177 (accessed on 15 October 2022).
- Calvete, J. Proteomic tools against the neglected pathology of snake bite envenoming. Expert Rev. Proteom. 2011, 8, 739–758. [Google Scholar] [CrossRef] [PubMed]
- Avila, A.; Cortés, J.; Moreno, A. Accidente Ofídico. In Toxicología en Urgencias, 1st ed.; CELSUS: Bogotá, Colombia, 2015; p. 595. [Google Scholar]
- World Health Organization (WHO). Annex 5. Guidelines for the Production, Control and Regulation of Snake Antivenom Immunoglobulins. Replacement of Annex 2 of WHO Technical Report Series, No. 964. 2013. Available online: https://cdn.who.int/media/docs/default-source/biologicals/blood-products/document-migration/antivenomglrevwho_trs_1004_web_annex_5.pdf?sfvrsn=ef4b2aa5_3&download=true (accessed on 10 August 2023).
- Instituto Nacional de Salud (INS). Circular 3-0870. 2010. Available online: http://calisaludable.cali.gov.co/seg_social/2010_Plan_Emergencias/Emergencias_Desastres/Estado_de_emergencia_sanitaria_en_accidente_ofidico.pdf (accessed on 10 August 2023).
- Ministerio de Salud y Protección Social (Minsalud). Decreto 386 de 2018. 2018. Available online: https://www.funcionpublica.gov.co/eva/gestornormativo/norma.php?i=85424 (accessed on 10 August 2023).
- Instituto Nacional de Salud (INS). Inserto Suero Antiofídico Polivalente. 2017. Available online: https://www.ins.gov.co/Direcciones/Produccion/Paginas/Suero-antiofidico-polivalente.aspx (accessed on 10 August 2023).
- Bioclon. Faboterápico Polivalente Antiofídico Antivipmyn. 2017. Available online: http://consultaregistro.invima.gov.co:8082/Consultas/consultas/consreg_encabcum.jsp (accessed on 1 August 2023).
- Medical Kit Ltda. ANTIVIPMYN TRI ®. 2021. Available online: https://www.medicalkit.org/our-doctors/faboterapia/30-hola-kimi.html (accessed on 1 August 2022).
- Benard-Valle, M.; Neri-Castro, E.; Fry, B.G.; Boyer, L.; Cochran, C.; Alam, M.; Jackson, T.N.W.; Paniagua, D.; Olvera, F.; Koludarov, I.; et al. Antivenom Research and Development—Chapter 3. In Venomous Reptiles and Their Toxins: Evolution, Pathophysiology and Biodiscovery, 1st ed.; Fry, B.G., Ed.; Oxford University Press: Oxford, UK, 2015; p. 91. [Google Scholar]
- Calvete, J. Antivenomics and venom phenotyping: A marriage of convenience to address the performance and range of clinical use of antivenoms. Toxicon 2010, 56, 1284–1291. [Google Scholar] [CrossRef]
- Calvete, J.; Juárez, P.; Sanz, L. Snake venomics. Strategy and applications. J. Mass Spectrom. 2007, 42, 1405–1414. [Google Scholar] [CrossRef]
- Guerra-Duarte, C.; Lopes-Peixoto, J.; Fonseca-De-Souza, B.R.; Stransky, S.; Oliveira, D.; Schneider, F.S.; Lopes-De-Souza, L.; Bonilla, C.; Silva, W.; Tintaya, B.; et al. Partial in vitro analysis of toxic and antigenic activities of eleven Peruvian pitviper snake venoms. Toxicon 2015, 108, 84–96. [Google Scholar] [CrossRef] [PubMed]
- Saldarriaga, M.; Otero, R.; Núñez, V.; Toro, M.F.; Díaz, A.; Gutiérrez, J.M. Ontogenetic variability of Bothrops atrox and Bothrops asper snake venoms from Colombia. Toxicon 2003, 42, 405–411. [Google Scholar] [CrossRef] [PubMed]
- Mora-Obando, D.; Pla, D.; Lomonte, B.; Guerrero-Vargas, J.A.; Ayerbe, S.; Calvete, J.J. Antivenomics and in vivo preclinical efficacy of six Latin American antivenoms towards south-western Colombian Bothrops asper lineage venoms. PLoS Neglect. Trop. Dis. 2021, 15, e0009073. [Google Scholar] [CrossRef] [PubMed]
- Niño, R. Análisis Comparativo del Contenido Proteico de Venenos de Serpientes de la Familia Viperidae de Diferentes Regiones de Colombia Mediante el Empleo de Cromatografía Líquida y Electroforesis. Master’s Thesis, Universidad Nacional de Colombia, Bogotá, Colombia, 2018. Available online: https://repositorio.unal.edu.co/handle/unal/63530 (accessed on 10 June 2019).
- Vélez, S.M.; Salazar, M.; Acosta de Patiño, H.; Gómez, L.; Rodriguez, A.; Correa, D.; Saldaña, J.; Navarro, D.; Lomonte, B.; Otero-Patiño, R.; et al. Geographical variability of the venoms of four populations of Bothrops asper from Panama: Toxicological analysis and neutralization by a polyvalent antivenom. Toxicon 2017, 132, 55–61. [Google Scholar] [CrossRef] [PubMed]
- Bourke, L.A.; Zdenek, C.N.; Neri-Castro, E.; Bénard-Valle, M.; Alagón, A.; Gutiérrez, J.M.; Sanchez, E.F.; Aldridge, M.; Fry, B.G. Pan-American Lancehead Pit-Vipers: Coagulotoxic Venom Effects and Antivenom Neutralisation of Bothrops asper and B. atrox Geographical Variants. Toxins 2021, 13, 78. [Google Scholar] [CrossRef] [PubMed]
- Neri, E. Reconocimiento Inmunoquímico de Venenos de Viperidos Norteamericanos por Antivipmyn y CroFab. Master’s Thesis, Universidad Autónoma del Estado de Morelos, Cuernavaca, Mexico, 2010. [Google Scholar]
- Sarmiento, K.; Torres, I.; Ríos, C.; Salazar, J.; Baracaldo, A.; Zambrano, J.; Ramírez-forero, G.; Hernández, D.; Pérez, L.; Castaño, D.; et al. Comparison of Neutralization of Two Experimental Monovalent Antivenoms of Colombia’ s Bothrops asper from Different Localities. J. Pharmacol. Toxicol. 2019, 15, 8–15. [Google Scholar] [CrossRef][Green Version]
- Scovino, S.; Sarmiento, K.; Castiblanco, A.-L.; Aristizabal, F.A. Analysis of the protein profile of the venoms of snakes Bothrops asper, Bothrocophias myersi and Crotalus durissus from the Colombian Andean Region obtained by RP-HPLC. Rev. Colomb. Biotecnol. 2021, 23, 24–31. [Google Scholar] [CrossRef]
- Alape-giron, A.; Sanz, L.; Flores-dı, M.; Madrigal, M.; Sasa, M.; Calvete, J.J.; Rica, C. Snake Venomics of the Lancehead Pitviper Bothrops asper: Geographic, Individual, and Ontogenetic Variations. J. Proteome Res. 2008, 7, 3556–3571. [Google Scholar] [CrossRef] [PubMed]
- Snakedatabase.org. LD50 of Venomous Snakes: Bothrops Asper—Lethal Dose. Available online: http://snakedb.org/ld50 (accessed on 9 August 2023).
- García, P.; Yarlequé, A.; Bonilla-Ferreyra, C.; Pessah, S.; Vivas, D.; Saldoval, G.A.; Lazo, F. Características bioquímicas y evaluación preclínica de un antiveneno botrópico liofilizado contra el veneno de la serpiente Bothrops atrox. Rev. Peru Med. Exp. Salud Publica 2008, 25, 386–390. Available online: http://search.ebscohost.com/login.aspx?direct=true&db=a9h&AN=41036032&lang=es&site=ehost-live (accessed on 20 March 2020).
- Otero Patiño, R.; Núñez, V.; Barona Acevedo, M.J.; Díaz Cadavid, A.; Saldarriaga, M. Características bioquímicas y capacidad neutralizante de cuatro antivenenos polivalentes frente a los efectos farmacológicos y enzimáticos del veneno de Bothrops asper y Porthidium nasutum de Antioquia y Chocó. Iatreia 2002, 15, 5–15. Available online: http://www.scielo.org.co/scielo.php?script=sci_arttext&pid=S0121-07932002000100001 (accessed on 20 January 2019). [CrossRef]
- Sánchez, L.V.; Pla, D.; Herrera, M.; Chippaux, J.P.; Calvete, J.J.; Gutiérrez, J.M. Evaluation of the preclinical efficacy of four antivenoms, distributed in sub-Saharan Africa, to neutralize the venom of the carpet viper, Echis ocellatus, from Mali, Cameroon, and Nigeria. Toxicon 2015, 106, 97–107. [Google Scholar] [CrossRef] [PubMed]








| Venom Species | Antivenom | μg/mL | 95% Confidence Interval |
|---|---|---|---|
| B. rhombeatus | INS 1 | 4.089 | 3.633–4.602 |
| AVP-T 2 | 2.513 | 2.097–3.011 | |
| B. asper | INS | 1.982 | 1.830–2.147 |
| AVP-T | 3.993 | 2.743–5.812 | |
| B. atrox | INS | 5.183 | 4.228–6.352 |
| AVP-T | 1.647 | 1.441–1.883 |
| Venom Species | Antivenom | Non-Joined Venom (mg) | Joined Venom (mg) | Coupling Percentage (%) |
|---|---|---|---|---|
| B. rhombeatus | INS | 2.2 | 37.7 | 94.2 |
| AVP-T | 3.5 | 32.5 | 90.4 | |
| B. asper | INS | 2.9 | 37.1 | 92.7 |
| AVP-T | 1.2 | 34.8 | 96.6 |
| Electrophoresis Bands (kDa) | Protein Fractions Possibly Recognized | AVP-T’s Level of Recognition (Intensity) | INS’s Level of Recognition (Intensity) |
|---|---|---|---|
| 10–15 | PLA2 | Middle | Middle |
| 20–25 | CRISP, svMP I, and SP | High | High |
| 48–55 | svMP II | High | High |
| 60–90 | svMP III | High | -- |
| Venom | Inoculation Pathway | LD50 μg/Mouse CD1 1 | LD50 mg/kg 2 | 95% CI 3 |
|---|---|---|---|---|
| B. rhombeatus | IP 4 | 132.7 | 6.6 | 119.9–146.9 |
| B. asper | IP | 128.1 | 6.4 | 120.9–135.7 |
| B. atrox | IP | 134.7 | 6.7 | 121.9–148.8 |
| Venom Species | Antivenom | μlAV/3LD50 1 | 95% CI 2 | mlAV/mgV 3 | mgV/10 mL 4 |
|---|---|---|---|---|---|
| B. rhombeatus | INS | 119.7 | 116.3–123.2 | 0.30 | 33.3 |
| AVP-T | 270.2 | 258.2–282.7 | 0.68 | 14.7 | |
| B. asper | INS | 62.7 | 56.04–70.25 | 0.15 | 66.6 |
| AVP-T | 143.8 | 112.9–168.4 | 0.36 | 27.7 | |
| B. atrox | INS | 75.15 | 72.3–78.06 | 0.18 | 55.5 |
| AVP-T | 190.2 | 164.1–220.4 | 0.47 | 21.2 |
| Antivenom | 280 nm Absorbance |
|---|---|
| INS | 44.3 mg/mL |
| AVP-T | 12.6 mg/mL |
| Antivenom | Neutralizing Capacity | Liquid Amount of Antivenom |
|---|---|---|
| INS | 10 mg of Crotalus sp. venom and 70 mg of Bothrops sp. venom. By cross-reaction, each vial neutralizes at least 15 mg of Lachesis muta venom (Amazonian ecoregion) and 50 mg of Lachesis acrochorda venom (Pacific and Inter-Andean valley ecoregion) 1 | 10 mL |
| AVP-T | 30 mg of Bothrops sp. venom, 15 mg of Crotalus sp. venom, and 7 mg of Lachesis sp. venom 2 | 10 mL |
Disclaimer/Publisher’s Note: The statements, opinions and data contained in all publications are solely those of the individual author(s) and contributor(s) and not of MDPI and/or the editor(s). MDPI and/or the editor(s) disclaim responsibility for any injury to people or property resulting from any ideas, methods, instructions or products referred to in the content. |
© 2024 by the authors. Licensee MDPI, Basel, Switzerland. This article is an open access article distributed under the terms and conditions of the Creative Commons Attribution (CC BY) license (https://creativecommons.org/licenses/by/4.0/).
Share and Cite
Sarmiento, K.; Zambrano, J.; Galvis, C.; Molina-Olivares, Á.; Villadiego-Molinares, M.M.; Ramírez-Martínez, J.A.; Castiblanco, A.L.; Aristizabal, F.A. Immunochemical Recognition of Bothrops rhombeatus Venom by Two Polyvalent Antivenoms. Toxins 2024, 16, 152. https://doi.org/10.3390/toxins16030152
Sarmiento K, Zambrano J, Galvis C, Molina-Olivares Á, Villadiego-Molinares MM, Ramírez-Martínez JA, Castiblanco AL, Aristizabal FA. Immunochemical Recognition of Bothrops rhombeatus Venom by Two Polyvalent Antivenoms. Toxins. 2024; 16(3):152. https://doi.org/10.3390/toxins16030152
Chicago/Turabian StyleSarmiento, Karen, Jorge Zambrano, Carlos Galvis, Álvaro Molina-Olivares, Marisol Margarita Villadiego-Molinares, Johanna Alejandra Ramírez-Martínez, Ana Lucía Castiblanco, and Fabio A. Aristizabal. 2024. "Immunochemical Recognition of Bothrops rhombeatus Venom by Two Polyvalent Antivenoms" Toxins 16, no. 3: 152. https://doi.org/10.3390/toxins16030152
APA StyleSarmiento, K., Zambrano, J., Galvis, C., Molina-Olivares, Á., Villadiego-Molinares, M. M., Ramírez-Martínez, J. A., Castiblanco, A. L., & Aristizabal, F. A. (2024). Immunochemical Recognition of Bothrops rhombeatus Venom by Two Polyvalent Antivenoms. Toxins, 16(3), 152. https://doi.org/10.3390/toxins16030152

