Preliminary Insights of Brazilian Snake Venom Metalloproteomics
Abstract
:1. Introduction
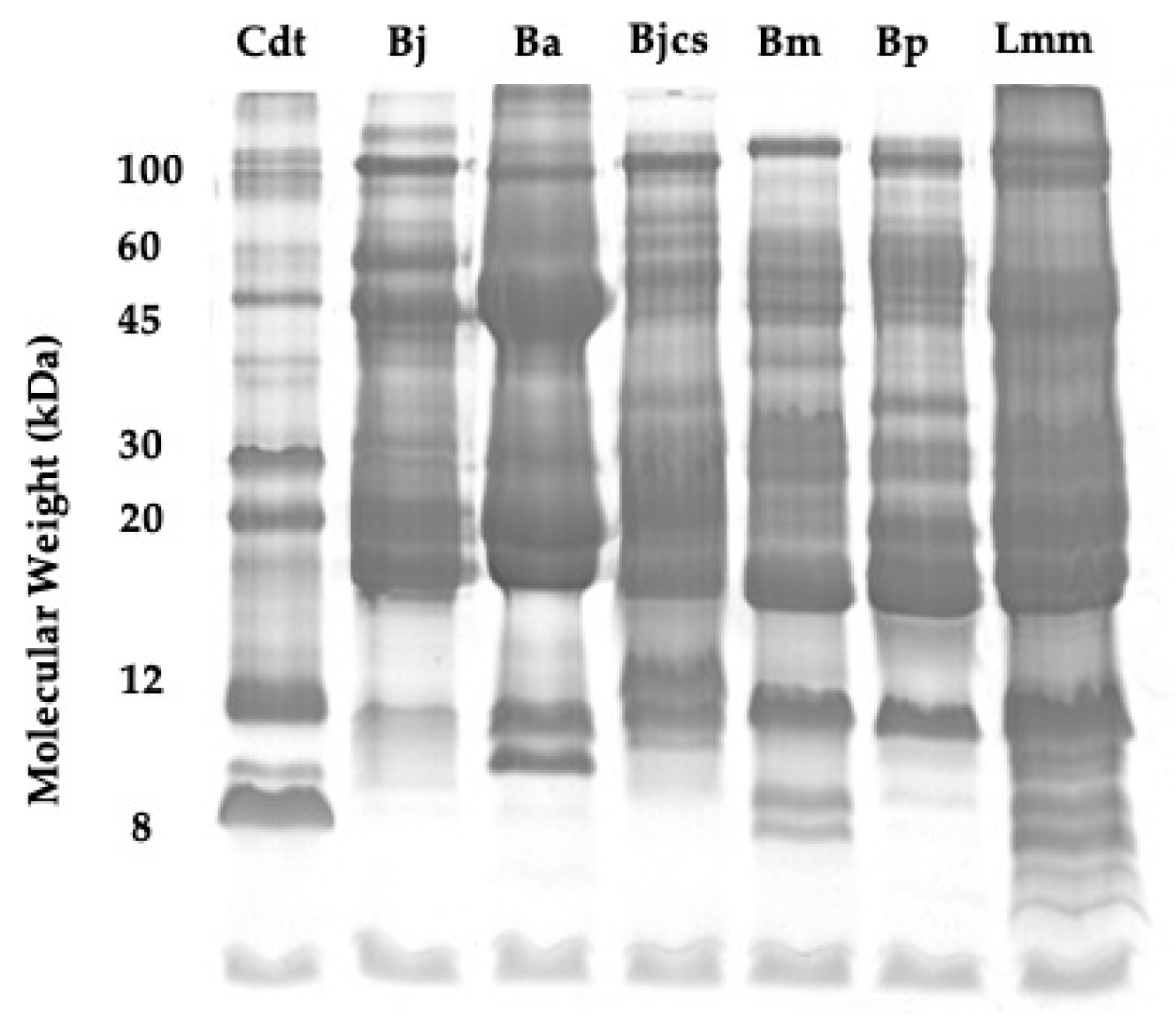
2. Results
3. Discussion
4. Conclusions
5. Materials and Methods
Supplementary Materials
Author Contributions
Funding
Institutional Review Board Statement
Informed Consent Statement
Acknowledgments
Conflicts of Interest
References
- Gutiérrez, J.M.; Calvete, J.J.; Habib, A.G.; Harrison, R.A.; Williams, D.J.; Warrell, D.A. Snakebite envenoming. Nat. Rev. Dis. Primers 2017, 14, 17079. [Google Scholar] [CrossRef] [PubMed]
- SINAN. Sistema de Informação de Agravos de Notificação. Ministério da Saúde do Brasil, 2023. Available online: http://portalsinan.saude.gov.br/dados-epidemiologicos-sinan (accessed on 29 August 2023).
- WHO (World Health Organization). Snakebite Envenoming: A Strategy for Prevention and Control; World Health Organization: Geneva, Switzerland, 2019; Available online: https://www.who.int/publications/i/item/9789241515641 (accessed on 10 June 2023).
- Saravia, P.; Rojas, E.; Arce, V.; Guevara, C.; López, J.C.; Chaves, E.; Velásquez, R.; Rojas, G.; Gutiérrez, J.M. Geographic and ontogenic variability in the venom of the neotropical rattlesnake Crotalus durissus: Pathophysiological and therapeutic implications. Rev. Biol. Trop. 2002, 50, 337–346. [Google Scholar] [PubMed]
- Larréché, S.; Chippaux, J.P.; Chevillard, L.; Mathé, S.; Résière, D.; Siguret, V.; Mégarbane, B. Bleeding and thrombosis: Insights into pathophysiology of Bothrops venom-related hemostasis disorders. Int. J. Mol. Sci. 2021, 22, 9643. [Google Scholar] [CrossRef] [PubMed]
- Cavalcante, J.D.S.; de Almeida, C.A.S.; Clasen, M.A.; da Silva, E.L.; de Barros, L.C.; Marinho, A.D.; Rossini, B.C.; Marino, C.L.; Carvalho, P.C.; Jorge, R.J.B.; et al. A fingerprint of plasma proteome alteration after local tissue damage induced by Bothrops leucurus snake venom in mice. J. Proteom. 2022, 253, 104464. [Google Scholar] [CrossRef]
- Cavalcante, J.S.; Brito, I.M.D.C.; De Oliveira, L.A.; De Barros, L.C.; Almeida, C.; Rossini, B.C.; Sousa, D.L.; Alves, R.S.; Jorge, R.J.B.; Santos, L.D.D. Experimental Bothrops atrox Envenomation: Blood Plasma Proteome Effects after Local Tissue Damage and Perspectives on Thromboinflammation. Toxins 2022, 14, 613. [Google Scholar] [CrossRef]
- Seifert, S.A.; Armitage, J.O.; Sanchez, E.E. Snake envenomation. N. Engl. J. Med. 2022, 386, 68–78. [Google Scholar] [CrossRef]
- Calvete, J.J.; Lomonte, B.; Saviola, A.J.; Calderón Celis, F.; Ruiz Encinar, J. Quantification of snake venom proteomes by mass spectrometry: Considerations and perspectives. Mass Spectrom. Rev. 2023, 1–21. [Google Scholar] [CrossRef]
- Lovell, M.A.; Robertson, J.D.; Teesdale, W.J.; Campbell, J.L.; Markesbery, W.R. Copper, iron and zinc in Alzheimer’s disease senile plaques. J. Neurol. Sci. 1998, 158, 47–52. [Google Scholar] [CrossRef]
- Fu, D.; Finney, L. Metalloproteomics: Challenges and prospective for clinical research applications. Expert Rev. Proteom. 2014, 11, 13–19. [Google Scholar] [CrossRef]
- James, S.A.; Churches, Q.I.; de Jonge, M.D.; Birchall, I.E.; Streltsov, V.; McColl, G.; Adlard, P.A.; Hare, D.J. Iron, Copper, and Zinc Concentration in Aβ Plaques in the APP/PS1 Mouse Model of Alzheimer’s Disease Correlates with Metal Levels in the Surrounding Neuropil. ACS Chem. Neurosci. 2017, 8, 629–637. [Google Scholar] [CrossRef]
- Cavecci-Mendonça, B.; Vieira, J.C.S.; Lima, P.M.; Leite, A.L.; Buzalaf, M.A.R.; Zara, L.F.; Padilha, P.M. Study of proteins with mercury in fish from the Amazon region. Food Chem. 2020, 309, 125460. [Google Scholar] [CrossRef] [PubMed]
- Steel, T.R.; Hartinger, C.G. Metalloproteomics for molecular target identification of protein-binding anticancer metallodrugs. Metallomics 2020, 12, 1627–1636. [Google Scholar] [CrossRef] [PubMed]
- Mahan, B.; Chung, R.S.; Pountney, D.L.; Moynier, F.; Turner, S. Isotope metallomics approaches for medical research. Cell. Mol. Life Sci. 2020, 77, 3293–3309. [Google Scholar] [CrossRef] [PubMed]
- Wang, Y.; Li, H.; Sun, H. Metalloproteomics for Unveiling the Mechanism of Action of Metallodrugs. Inorg. Chem. 2019, 58, 13673–13685. [Google Scholar] [CrossRef] [PubMed]
- Zhou, Y.; Li, H.; Sun, H. Metalloproteomics for Biomedical Research: Methodology and Applications. Annu. Rev. Biochem. 2022, 291, 449–473. [Google Scholar] [CrossRef]
- Queiroz, G.P.; Pessoa, L.A.; Portaro, F.C.; Furtado, M.F.; Tambourgi, D.V. Interspecific variation in venom composition and toxicity of Brazilian snakes from Bothrops genus. Toxicon 2008, 52, 842–851. [Google Scholar] [CrossRef]
- de Oliveira, I.S.; Cardoso, I.A.; Bordon, K.D.C.F.; Carone, S.E.I.; Boldrini-França, J.; Pucca, M.B.; Zoccal, K.F.; Faccioli, L.H.; Sampaio, S.V.; Rosa, J.C.; et al. Global proteomic and functional analysis of Crotalus durissus collilineatus individual venom variation and its impact on envenoming. J. Proteom. 2019, 191, 153–165. [Google Scholar] [CrossRef]
- Del-Rei, T.H.M.; Sousa, L.F.; Rocha, M.M.T.; Freitas-de-Sousa, L.A.; Travaglia-Cardoso, S.R.; Grego, K.; Sant’Anna, S.S.; Chalkidis, H.M.; Moura-da-Silva, A.M. Functional variability of Bothrops atrox venoms from three distinct areas across the Brazilian Amazon and consequences for human envenomings. Toxicon 2019, 164, 61–70. [Google Scholar] [CrossRef]
- Farias, I.B.; Morais-Zani, K.; Serino-Silva, C.; Sant’Anna, S.S.; Rocha, M.M.T.D.; Grego, K.F.; Andrade-Silva, D.; Serrano, S.M.T.; Tanaka-Azevedo, A.M. Functional and proteomic comparison of Bothrops jararaca venom from captive specimens and the Brazilian Bothropic Reference Venom. J. Proteom. 2018, 174, 36–46. [Google Scholar] [CrossRef]
- Galizio, N.D.C.; Serino-Silva, C.; Stuginski, D.R.; Abreu, P.A.E.; Sant’Anna, S.S.; Grego, K.F.; Tashima, A.K.; Tanaka-Azevedo, A.M.; Morais-Zani, K. Compositional and functional investigation of individual and pooled venoms from long-term captive and recently wild-caught Bothrops jararaca snakes. J. Proteom. 2018, 186, 56–70. [Google Scholar] [CrossRef]
- Tasima, L.J.; Hatakeyama, D.M.; Serino-Silva, C.; Rodrigues, C.F.B.; de Lima, E.O.V.; Sant’Anna, S.S.; Grego, K.F.; de Morais-Zani, K.; Sanz, L.; Calvete, J.J.; et al. Comparative proteomic profiling and functional characterization of venom pooled from captive Crotalus durissus terrificus specimens and the Brazilian crotalic reference venom. Toxicon 2020, 185, 26–35. [Google Scholar] [CrossRef] [PubMed]
- Steuten, J.; Winkel, K.; Carroll, T.; Williamson, N.A.; Ignjatovic, V.; Fung, K.; Purcell, A.W.; Fry, B.G. The molecular basis of cross-reactivity in the Australian Snake Venom Detection Kit (SVDK). Toxicon 2007, 50, 1041–1052. [Google Scholar] [CrossRef]
- Nimorakiotakis, V.B.; Winkel, K.D. Prospective assessment of the false positive rate of the Australian snake venom detection kit in healthy human samples. Toxicon 2016, 111, 143–146. [Google Scholar] [CrossRef] [PubMed]
- Khan, S.; Burciu, B.; Filipe, C.D.M.; Li, Y.; Dellinger, K.; Didar, T.F. DNAzyme-Based Biosensors: Immobilization Strategies, Applications, and Future Prospective. ACS Nano 2021, 15, 13943–13969. [Google Scholar] [CrossRef] [PubMed]
- Liu, C.; Yu, H.; Zhang, B.; Liu, S.; Liu, C.G.; Li, F.; Song, H. Engineering whole-cell microbial biosensors: Design principles and applications in monitoring and treatment of heavy metals and organic pollutants. Biotechnol. Adv. 2022, 60, 108019. [Google Scholar] [CrossRef]
- Lemon, D.J.; Horvath, F.P.; Ford, A.A.; May, H.C.; Moffett, S.X.; Olivera, D.S.; Hwang, Y.Y. ICP-MS characterization of seven North American snake venoms. Toxicon 2020, 184, 62–67. [Google Scholar] [CrossRef]
- Bieber, A.L. Metal and nonprotein constituents in snake venoms. In Handbook of Experimental Pharmacology; Lee, C.Y., Ed.; Springer: Berlin/Heidelberg, Germany, 1979; Volume 52, pp. 295–306. [Google Scholar]
- Xu, X.; Liu, Q.; Xie, Y. Metal ion-induced stabilization and refolding of anticoagulation factor II from the venom of Agkistrodon acutus. Biochemistry 2002, 41, 3546–3554. [Google Scholar] [CrossRef]
- Francis, B.; Seebart, C.; Kaiser, I.I. Citrate is an endogenous inhibitor of snake venom enzymes by metal-ion chelation. Toxicon 1992, 30, 1239–1246. [Google Scholar] [CrossRef]
- Teixeira, C.F.; Fernandes, C.M.; Zuliani, J.P.; Zamuner, S.F. Inflammatory effects of snake venom metalloproteinases. Mem. Inst. Ozwaldo Cruz 2005, 100, 181–184. [Google Scholar] [CrossRef]
- Gutiérrez, J.M.; Rucavado, A.; Escalante, T.; Díaz, C. Hemorrhage induced by snake venom metalloproteinases: Biochemical and biophysical mechanisms involved in microvessel damage. Toxicon 2005, 45, 997–1011. [Google Scholar] [CrossRef]
- Silva-Neto, A.V.; Santos, W.G.; Botelho, A.F.; Diamantino, G.M.; Soto-Blanco, B.; Melo, M.M. Use of EDTA in the treatment of local tissue damage caused by the Bothrops alternatus venom. Arq. Bras. Med. Vet. Zootec. 2018, 70, 1529–1538. [Google Scholar] [CrossRef]
- Chemical Toxicity Database. Chemical Toxicity Calculator. 2023. Available online: https://www.drugfuture.com/toxic (accessed on 5 July 2023).
- Atanasov, V.N.; Stoykova, S.; Kolev, H.; Mitewa, M.; Petrova, S.; Pantcheva, I.N. Effect of some divalent metal ions on enzymatic activity of secreted phospholipase A2 (sPLA2) isolated from Bulgarian Vipera Ammodytes Meridionalis. Biotechnol. Biotechnol. Equip. 2013, 27, 4181–4185. [Google Scholar] [CrossRef]
- Santos, L.; Oliveira, C.; Vasconcelos, B.M.; Vilela, D.; Melo, L.; Ambrósio, L.; da Silva, A.; Murback, L.; Kurissio, J.; Cavalcante, J.; et al. Good management practices of venomous snakes in captivity to produce biological venom-based medicines: Achieving replicability and contributing to pharmaceutical industry. J. Toxicol. Environ. Health B Crit. Rev. 2021, 24, 30–50. [Google Scholar] [CrossRef] [PubMed]
- Bradford, M. A rapid and sensitive method for the quantitation of microgram quantities of protein utilizing the principle of protein-dye binding. Anal. Biochem. 1976, 72, 248–254. [Google Scholar] [CrossRef]
- Laemmli, U.K. Cleavage of structural proteins during the assembly of the head of bacteriophage T4. Nature 1970, 227, 680–685. [Google Scholar] [CrossRef] [PubMed]
- Braga, C.P.; Bittarello, A.C.; Padilha, C.C.; Leite, A.L.; Moraes, P.M.; Buzalaf, M.A.; Zara, L.F.; Padilha, P.M. Mercury fractionation in dourada (Brachyplatystoma rousseauxii) of the Madeira River in Brazil using metalloproteomic strategies. Talanta 2015, 132, 239–244. [Google Scholar] [CrossRef] [PubMed]
- Cavecci, B.; Lima, P.M.; Vieira, J.C.S.; Braga, C.P.; Queiroz, J.V.; Bittarello, A.C.; Padilha, P.M. Use of ultrasonic extraction in determining apparent digestibility in fish feed. J. Food Meas. Charact. 2015, 9, 599–603. [Google Scholar] [CrossRef]

| Species | Total Protein Yield (%) | Metallo Proteinases (%) | PLA2s (%) | Serine Proteases (%) | Ca2+ * | Cu2+ * | Fe2+ * | Mg2+ * | Zn2+ * |
|---|---|---|---|---|---|---|---|---|---|
| C. d. terrificus | 95.35 | 0.81 | 40.67 | 39.19 | 0.506 ± 0.00 | N/D | 0.069 ± 0.15 | 2.484 ± 0.02 | 0.384 ± 0.02 |
| B. jararaca | 70.56 | 19.78 | 4.88 | 45.00 | 0.683 ± 0.13 | N/D | N/D | 0.060 ± 0.04 | 0.922 ± 0.04 |
| B. alternatus | 74.45 | 11.52 | 29.88 | 35.13 | 0.776 ± 0.07 | N/D | 0.139 ± 0.79 | 0.099 ± 0.08 | 1.016 ± 0.04 |
| B. jararacussu | 92.35 | 7.27 | 35.26 | 38.63 | 0.689 ± 0.11 | N/D | 0.157 ± 0.22 | 0.098 ± 0.04 | 0.728 ± 0.31 |
| B. moojeni | 78.71 | 21.88 | 39.29 | 13.39 | 1.109 ± 0.27 | N/D | 0.385 ± 1.34 | 0.060 ± 0.03 | 1.167 ± 0.08 |
| B. pauloensis | 89.01 | 13.43 | 28.06 | 28.86 | 0.800 ± 0.33 | N/D | 0.159 ± 0.08 | 0.031 ± 0.002 | 0.947 ± 0.22 |
| L. m. muta | 84.85 | 24.73 | 7.87 | 4.49 | N/D | 0.543 ± 0.01 | N/D | N/D | 0.653 ± 0.03 |
Disclaimer/Publisher’s Note: The statements, opinions and data contained in all publications are solely those of the individual author(s) and contributor(s) and not of MDPI and/or the editor(s). MDPI and/or the editor(s) disclaim responsibility for any injury to people or property resulting from any ideas, methods, instructions or products referred to in the content. |
© 2023 by the authors. Licensee MDPI, Basel, Switzerland. This article is an open access article distributed under the terms and conditions of the Creative Commons Attribution (CC BY) license (https://creativecommons.org/licenses/by/4.0/).
Share and Cite
Cavecci-Mendonça, B.; Luciano, K.M.; Vaccas, T.; de Oliveira, L.A.; Clemente, E.F.; Rossini, B.C.; Vieira, J.C.S.; de Barros, L.C.; Biondi, I.; de Magalhães Padilha, P.; et al. Preliminary Insights of Brazilian Snake Venom Metalloproteomics. Toxins 2023, 15, 648. https://doi.org/10.3390/toxins15110648
Cavecci-Mendonça B, Luciano KM, Vaccas T, de Oliveira LA, Clemente EF, Rossini BC, Vieira JCS, de Barros LC, Biondi I, de Magalhães Padilha P, et al. Preliminary Insights of Brazilian Snake Venom Metalloproteomics. Toxins. 2023; 15(11):648. https://doi.org/10.3390/toxins15110648
Chicago/Turabian StyleCavecci-Mendonça, Bruna, Karen Monique Luciano, Tauane Vaccas, Laudicéia Alves de Oliveira, Eloisa Fornaro Clemente, Bruno Cesar Rossini, José Cavalcante Souza Vieira, Luciana Curtolo de Barros, Ilka Biondi, Pedro de Magalhães Padilha, and et al. 2023. "Preliminary Insights of Brazilian Snake Venom Metalloproteomics" Toxins 15, no. 11: 648. https://doi.org/10.3390/toxins15110648
APA StyleCavecci-Mendonça, B., Luciano, K. M., Vaccas, T., de Oliveira, L. A., Clemente, E. F., Rossini, B. C., Vieira, J. C. S., de Barros, L. C., Biondi, I., de Magalhães Padilha, P., & Santos, L. D. d. (2023). Preliminary Insights of Brazilian Snake Venom Metalloproteomics. Toxins, 15(11), 648. https://doi.org/10.3390/toxins15110648

