Effects of a Rosmarinus officinalis L. Extract and Rosmarinic Acid in Improving Streptozotocin-Induced Aortic Tissue Damages in Rats
Abstract
1. Introduction
2. Materials and Methods
2.1. Chemicals and Reagents
2.2. Vegetal Material
2.3. Preparation of the Extract
2.4. LC–MS Method and Apparatus
2.5. In Vivo Studies
Experimental Design
2.6. Oxidative Stress Evaluation
2.7. Enzymes and Transcription Factors Assessment
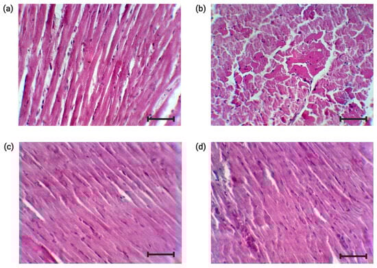
2.8. Histological Analysis
2.9. Statistical Analysis
3. Results
3.1. LC–MS Analysis
3.2. The Aorta Ring Reactivity
3.3. Biochemical Assessment
3.4. Transcription Factors Evaluation
4. Discussion
5. Conclusions
Author Contributions
Funding
Institutional Review Board Statement
Informed Consent Statement
Data Availability Statement
Conflicts of Interest
References
- Marchev, A.S.; Vasileva, L.V.; Amirova, K.M.; Savova, M.S.; Koycheva, I.K.; Balcheva-Sivenova, Z.P.; Vasileva, S.M.; Georgiev, M.I. Rosmarinic Acid—From Bench to Valuable Applications in Food Industry. Trends Food Sci. Technol. 2021, 117, 182–193. [Google Scholar] [CrossRef]
- Azhar, M.K.; Anwar, S.; Hasan, G.M.; Shamsi, A.; Islam, A.; Parvez, S.; Hassan, M.I. Comprehensive Insights into Biological Roles of Rosmarinic Acid: Implications in Diabetes, Cancer and Neurodegenerative Diseases. Nutrients 2023, 15, 4297. [Google Scholar] [CrossRef]
- Topal, M.; Gulcin, İ. Evaluation of the in Vitro Antioxidant, Antidiabetic and Anticholinergic Properties of Rosmarinic Acid from Rosemary (Rosmarinus officinalis L.). Biocatal. Agric. Biotechnol. 2022, 43, 102417. [Google Scholar] [CrossRef]
- Veras, K.S.; Fachel, F.N.S.; Teixeira, H.F.; Koester, L.S. Technological Strategies Applied for Rosmarinic Acid Delivery through Different Routes—A Review. J. Drug Deliv. Sci. Technol. 2022, 68, 103054. [Google Scholar] [CrossRef]
- Ijaz, S.; Iqbal, J.; Abbasi, B.A.; Ullah, Z.; Yaseen, T.; Kanwal, S.; Mahmood, T.; Sydykbayeva, S.; Ydyrys, A.; Almarhoon, Z.M.; et al. Rosmarinic Acid and Its Derivatives: Current Insights on Anticancer Potential and Other Biomedical Applications. Biomed. Pharmacother. 2023, 162, 114687. [Google Scholar] [CrossRef]
- Aziz, E.; Batool, R.; Akhtar, W.; Shahzad, T.; Malik, A.; Shah, M.A.; Iqbal, S.; Rauf, A.; Zengin, G.; Bouyahya, A.; et al. Rosemary Species: A Review of Phytochemicals, Bioactivities and Industrial Applications. S. Afr. J. Bot. 2022, 151, 3–18. [Google Scholar] [CrossRef]
- Meziane, H.; Zraibi, L.; Albusayr, R.; Bitari, A.; Oussaid, A.; Hammouti, B.; Touzani, R. Rosmarinus officinalis Linn.: Unveiling Its Multifaceted Nature in Nutrition, Diverse Applications, and Advanced Extraction Methods. J. Umm Al-Qura Univ. Appl. Sci. 2024. [Google Scholar] [CrossRef]
- Aitfella Lahlou, R.; Bounechada, M.; Mohammedi, A.; Silva, L.R.; Alves, G. Dietary Use of Rosmarinus officinalis and Thymus vulgaris as Anticoccidial Alternatives in Poultry. Anim. Feed Sci. Technol. 2021, 273, 114826. [Google Scholar] [CrossRef]
- Eid, A.M.; Jaradat, N.; Issa, L.; Abu-Hasan, A.; Salah, N.; Dalal, M.; Mousa, A.; Zarour, A. Evaluation of Anticancer, Antimicrobial, and Antioxidant Activities of Rosemary (Rosmarinus officinalis) Essential Oil and Its Nanoemulgel. Eur. J. Integr. Med. 2022, 55, 102175. [Google Scholar] [CrossRef]
- Ghavam, M. GC-MS Analysis and Antimicrobial Activities of a Rosmarinus officinalis L. Essential Oil from Kashan Region (Iran). Biochem. Syst. Ecol. 2022, 105, 104507. [Google Scholar] [CrossRef]
- Francolino, R.; Martino, M.; Caputo, L.; Amato, G.; Chianese, G.; Gargiulo, E.; Formisano, C.; Romano, B.; Ercolano, G.; Ianaro, A.; et al. Phytochemical Constituents and Biological Activity of Wild and Cultivated Rosmarinus officinalis Hydroalcoholic Extracts. Antioxidants 2023, 12, 1633. [Google Scholar] [CrossRef] [PubMed]
- Ielciu, I.; Oniga, I.; Tămaş, M.; Mărculescu, A.; Benedec, D.; Hanganu, D. Composition Chimique et Activités Pharmacologiques de Rosmarinus officinalis L.: Une Revue Générale Mise à Jour. Ethnopharmacologia 2022, 66, 28–34. [Google Scholar]
- Amina, B.; Soumeya, B.; Salim, B.; Mahieddine, B.; Sakina, B.; Chawki, B.; Francesca, N.; Marzia, V.; Carmine, N.; Luigi, D.B. Chemical Profiling, Antioxidant, Enzyme Inhibitory and in Silico Modeling of Rosmarinus officinalis L. and Artemisia herba alba Asso. Essential Oils from Algeria. S. Afr. J. Bot. 2022, 147, 501–510. [Google Scholar] [CrossRef]
- Dabaghzadeh, F.; Mehrabani, M.; Abdollahi, H.; Karami-Mohajeri, S. Antioxidant and Anticholinesterase Effects of Rosemary (Salvia rosmarinus) Extract: A Double-Blind Randomized Controlled Trial. Adv. Integr. Med. 2022, 9, 69–74. [Google Scholar] [CrossRef]
- Becer, E.; Altundağ, E.M.; Güran, M.; Seda Vatansever, H.; Ustürk, S.; Hanoğlu, D.Y.; Hüsnü Can Başer, K. Composition and Antibacterial, Anti-Inflammatory, Antioxidant, and Anticancer Activities of Rosmarinus officinalis L. Essential Oil. S. Afr. J. Bot. 2023, 160, 437–445. [Google Scholar] [CrossRef]
- Oualdi, I.; Brahmi, F.; Mokhtari, O.; Abdellaoui, S.; Tahani, A.; Oussaid, A. Rosmarinus officinalis from Morocco, Italy and France: Insight into Chemical Compositions and Biological Properties. Mater. Today Proc. 2021, 45, 7706–7710. [Google Scholar] [CrossRef]
- Pizani, R.S.; Viganó, J.; de Souza Mesquita, L.M.; Contieri, L.S.; Sanches, V.L.; Chaves, J.O.; Souza, M.C.; da Silva, L.C.; Rostagno, M.A. Beyond Aroma: A Review on Advanced Extraction Processes from Rosemary (Rosmarinus officinalis) and sage (Salvia officinalis) to Produce Phenolic Acids and Diterpenes. Trends Food Sci. Technol. 2022, 127, 245–262. [Google Scholar] [CrossRef]
- Garg, P.; Duggal, N. Type 2 Diabetes Mellitus, Its Impact on Quality of Life and How the Disease Can Be Managed—A Review. Obes. Med. 2022, 35, 100459. [Google Scholar] [CrossRef]
- Zamzuri, M.; Ammar, I.A.; Mansor, J.; Nurumal, S.R.; Jamhari, M.N.; Arifin, M.A.; Nawi, A.M. Herbal Antioxidants as Tertiary Prevention Against Cardiovascular Complications in Type 2 Diabetes Mellitus: A Systematic Review. J. Herb. Med. 2023, 37, 100621. [Google Scholar] [CrossRef]
- Ahmed, W.; Vahabi, S.; Zaman, A.G. Reducing Cardiovascular Risk in Patients with Type 2 Diabetes Mellitus. Medicine 2022, 50, 691–695. [Google Scholar] [CrossRef]
- Le, Y.; Wang, B.; Xue, M. Nutraceuticals Use and Type 2 Diabetes Mellitus. Curr. Opin. Pharmacol. 2022, 62, 168–176. [Google Scholar] [CrossRef] [PubMed]
- Oliveira, V.M.; Silveira, L.R.; Bunnel, K.T.; Domingueti, C.P.; Baldoni, A.O.; Baldoni, N.R.; do Couto, R.O. Rosemary (Rosmarinus officinalis L.) Improves Biochemical Outcomes in Diabetes Mellitus: A Systematic Review and Meta-Analysis of Animal Studies. Adv. Tradit. Med. 2024. [Google Scholar] [CrossRef]
- Niculae, M.; Hanganu, D.; Oniga, I.; Benedec, D.; Ielciu, I.; Giupana, R.; Sandru, C.D.; Cioc, N. Phytochemical Profile and Antimicrobial Potential of Extracts Obtained from Thymus marschallianus Willd. Molecules 2019, 24, 3101. [Google Scholar] [CrossRef] [PubMed]
- Sevastre-Berghian, A.C.; Ielciu, I.; Mitre, A.O.; Filip, G.A.; Oniga, I.; Vlase, L.; Benedec, D.; Gheldiu, A.-M.; Toma, V.A.; Mihart, B.; et al. Targeting Oxidative Stress Reduction and Inhibition of HDAC1, MECP2, and NF-kB Pathways in Rats with Experimentally Induced Hyperglycemia by Administration of Thymus marshallianus Willd. Extracts. Front. Pharmacol. 2020, 11, 581470. [Google Scholar] [CrossRef]
- Ielciu, I.; Sevastre, B.; Olah, N.-K.; Turdean, A.; Chişe, E.; Marica, R.; Oniga, I.; Uifălean, A.; Sevastre-Berghian, A.C.; Niculae, M.; et al. Evaluation of Hepatoprotective Activity and Oxidative Stress Reduction of Rosmarinus officinalis L. Shoots Tincture in Rats with Experimentally Induced Hepatotoxicity. Molecules 2021, 26, 1737. [Google Scholar] [CrossRef] [PubMed]
- EDQM Council of Europe (Ed.) European Pharmacopoeia, 11th ed.; EDQM Council of Europe: Strasbourg, France, 2022. [Google Scholar]
- Ielciu, I.; Filip, G.A.; Oniga, I.; Olah, N.K.; Bâldea, I.; Olteanu, D.; Burtescu, R.F.; Turcuș, V.; Sevastre-Berghian, A.C.; Benedec, D.; et al. Oxidative Stress and DNA Lesion Reduction of a Polyphenolic Enriched Extract of Thymus marschallianus Willd. In Endothelial Vascular Cells Exposed to Hyperglycemia. Plants 2021, 10, 2810. [Google Scholar] [CrossRef]
- Ielciu, I.; Niculae, M.; Pall, E.; Barbălată, C.; Tomuţă, I.; Olah, N.K.; Burtescu, R.F.; Benedec, D.; Oniga, I.; Hanganu, D. Antiproliferative and Antimicrobial Effects of Rosmarinus officinalis L. Loaded Liposomes. Molecules 2022, 27, 3988. [Google Scholar] [CrossRef] [PubMed]
- Buza, V.; Niculae, M.; Hanganu, D.; Pall, E.; Burtescu, R.F.; Olah, N.K.; Matei-Lațiu, M.C.; Vlasiuc, I.; Iozon, I.; Szakacs, A.R.; et al. Biological Activities and Chemical Profile of Gentiana asclepiadea and Inula helenium Ethanolic Extracts. Molecules 2022, 27, 3560. [Google Scholar] [CrossRef] [PubMed]
- Samuel, R.; Gomes-Filho, J.; Dezan-Júnior, E.; Cintra, L. Streptozotocin-Induced Rodent Models of Diabetes: Protocol Comparisons. In Streptozotocin: Uses, Mechanism of Action and Side Effects; Elizabeth, G., Ed.; Nova Science Publishing: New York, NY, USA, 2014; pp. 61–80. [Google Scholar]
- Ghasemi, A.; Jeddi, S. Streptozotocin As a Tool for Induction of Rat Models of Diabetes: A Practical Guide. EXCLI J. 2023, 22, 274–294. [Google Scholar] [CrossRef] [PubMed]
- Damasceno, D.C.; Netto, A.O.; Iessi, I.L.; Gallego, F.Q.; Corvino, S.B.; Dallaqua, B.; Sinzato, Y.K.; Bueno, A.; Calderon, I.M.P.; Rudge, M.V.C. Streptozotocin-Induced Diabetes Models: Pathophysiological Mechanisms and Fetal Outcomes. BioMed Res. Int. 2014, 2014, 819065. [Google Scholar] [CrossRef]
- Nandini, H.S.; Naik, P.R. Antidiabetic, Antihyperlipidemic and Antioxidant Effect of Vincamine, in Streptozotocin-Induced Diabetic Rats. Eur. J. Pharmacol. 2019, 843, 233–239. [Google Scholar] [CrossRef] [PubMed]
- Chis, I.C.; Coseriu, A.; Simedrea, R.; Oros, A.; Nagy, A.L.; Clichici, S.; Llorach, R. In Vivo Effects of Quercetin in Association with Moderate Exercise Training in Improving Streptozotocin-Induced Aortic Tissue Injuries. Molecules 2015, 20, 21770–21786. [Google Scholar] [CrossRef] [PubMed]
- Chis, I.C.; Socaciu, M.; Moldovan, R.; Clichici, S. Vascular Impact of Quercetin Administration in Association with Moderate Exercise Training in Experimental Type 1 Diabetes. Rev. Rom. Med. Lab. 2019, 27, 269–279. [Google Scholar] [CrossRef]
- Beauchamp, C.; Fridovich, I. Superoxide Dismutase: Improved Assays and an Assay Applicable to Acrylamide Gels. Anal. Biochem. 1971, 44, 276–287. [Google Scholar] [CrossRef]
- Simea, S.; Ielciu, I.; Hanganu, D.; Niculae, M.; Pall, E.; Burtescu, R.F.; Olah, N.; Cenariu, M.; Oniga, I.; Benedec, D.; et al. Evaluation of the Cytotoxic, Antioxidative and Antimicrobial Effects of Dracocephalum moldavica L. Cultivars. Molecules 2023, 28, 1604. [Google Scholar] [CrossRef]
- Begum, A.; Sandhya, S.; Ali, S.S.; Vinod, K.R.; Reddy, S.; Banji, D. An in-Depth Review on the Medicinal Flora Rosmarinus officinalis (Lamiaceae). Acta Sci. Pol. Technol. Aliment. 2013, 12, 61–73. [Google Scholar]
- Andrade, J.M.; Faustino, C.; García, C.; Ladeiras, D.; Reis, C.P.; Rijo, P. Rosmarinus officinalis L.: An Update Review of Its Phytochemistry and Biological Activity. Futur. Sci. 2016, 4, FSO283. [Google Scholar] [CrossRef]
- Chis, I.C.; Micu, C.M.; Toader, A.; Moldovan, R.; Lele, L.; Clichici, S.; Mitrea, D.R. The Beneficial Effect of Swimming Training Associated with Quercetin Administration on the Endothelial Nitric Oxide-Dependent Relaxation in the Aorta of Rats with Experimentally Induced Type 1 Diabetes Mellitus. Metabolites 2023, 13, 586. [Google Scholar] [CrossRef] [PubMed]
- Dodson, M.; Shakya, A.; Anandhan, A.; Chen, J.; Garcia, J.G.N.; Zhang, D.D. NRF2 and Diabetes: The Good, the Bad, and the Complex. Diabetes 2022, 71, 2463–2476. [Google Scholar] [CrossRef]
- Hiebert, P. The Nrf2 Transcription Factor: A Multifaceted Regulator of the Extracellular Matrix. Matrix Biol. Plus 2021, 10, 100057. [Google Scholar] [CrossRef] [PubMed]
- He, F.; Ru, X.; Wen, T. NRF2, a Transcription Factor for Stress Response and Beyond. Int. J. Mol. Sci. 2020, 21, 4777. [Google Scholar] [CrossRef] [PubMed]
- Tebay, L.; Robertson, H.; Durant, S.T.; Vitale, S.R.; Penning, T.M.; Dinkova-Kostova, A.T.; Hayes, J.D. Mechanisms of Activation of the Transcription Factor Nrf2 by Redox Stressors, Nutrient Cues, and Energy Status and the Pathways through Which it Attenuates Degenerative Disease. Free Radic. Biol. Med. Biol. Med. 2015, 88, 108–146. [Google Scholar] [CrossRef] [PubMed]
- Divyajanani, S.; Harithpriya, K.; Ganesan, K.; Ramkumar, K.M. Dietary Polyphenols Remodel DNA Methylation Patterns of NRF2 in Chronic Disease. Nutrients 2023, 15, 3347. [Google Scholar] [CrossRef] [PubMed]
- Rašković, A.; Milanović, I.; Pavlović, N.; Ćebović, T.; Vukmirović, S.; Mikov, M. Antioxidant Activity of Rosemary (Rosmarinus officinalis L.) Essential Oil and Its Hepatoprotective Potential. BMC Complement. Altern. Med. 2014, 14, 225. [Google Scholar] [CrossRef]
- Ngo, S.N.T.; Williams, D.B.; Head, R.J. Rosemary and Cancer Prevention: Preclinical Perspectives. Crit. Rev. Food Sci. Nutr. 2011, 51, 946–954. [Google Scholar] [CrossRef] [PubMed]
- Marsden, P.A.; Heng, H.H.Q.; Scherer, S.W.; Stewart, R.J.; Hall, A.V.; Shi, X.M.; Tsui, L.C.; Schappert, K.T. Structure and Chromosomal Localization of the Human Constitutive Endothelial Nitric Oxide Synthase Gene. J. Biol. Chem. 1993, 268, 17478–17488. [Google Scholar] [CrossRef]
- Asker, M.H.; Emad, N.A.; Abdulilah, O. Endothelial Nitric Oxide Synthase (eNOS ) and Physiology Cardiovascular System Endothelial Nitric Oxide Synthase (eNOS) and Physiology Cardiovascular System. Pharma Innov. J. 2024, 13, 203–211. [Google Scholar] [CrossRef]
- Soskic, S.S.; Dobutovic, B.D.; Sudar, E.M.; Obradovic, M.M.; Nikolic, D.M.; Djordjevic, J.D.; Radak, D.J.; Mikhailidis, D.P.; Isenovic, E.R. Regulation of Inducible Nitric Oxide Synthase (iNOS) and its Potential Role in Insulin Resistance, Diabetes and Heart Failure. Open Cardiovasc. Med. J. 2011, 5, 153–163. [Google Scholar] [CrossRef] [PubMed]
- Fujimoto, M.; Shimizu, N.; Kunii, K.; Martyn, J.A.J.; Ueki, K.; Kaneki, M. A Role for iNOS in Fasting Hyperglycemia and Impaired Insulin Signaling in the Liver of Obese Diabetic Mice. Diabetes 2005, 54, 1340–1348. [Google Scholar] [CrossRef] [PubMed]
- Zenke, K.; Sugimoto, R.; Watanabe, S.; Muroi, M. NF-κB p105-Mediated Nuclear Translocation of ERK Is Required for Full Activation of IFNγ-Induced iNOS Expression. Cell. Signal. 2024, 124, 111424. [Google Scholar] [CrossRef]
- Jia, J.; Liu, Y.; Zhang, X.; Liu, X.; Qi, J. Regulation of iNOS Expression by NF-κB in Human Lens Epithelial Cells Treated with High Levels of Glucose. Investig. Ophthalmol. Vis. Sci. 2013, 54, 5070–5077. [Google Scholar] [CrossRef] [PubMed]
- Jung, F.; Palmer, L.A.; Zhou, N.; Johns, R.A. Hypoxic Regulation of Inducible Nitric Oxide Synthase via Hypoxia Inducible Factor-1 in Cardiac Myocytes. Circ. Res. 2000, 86, 319–325. [Google Scholar] [CrossRef]
- Lee, M.; Wang, C.; Jin, S.W.; Labrecque, M.P.; Beischlag, T.V.; Brockman, M.A.; Choy, J.C. Expression of Human Inducible Nitric Oxide Synthase in Response to Cytokines is Regulated by Hypoxia-Inducible Factor-1. Free Radic. Biol. Med. 2019, 130, 278–287. [Google Scholar] [CrossRef]
- Zhang, M.-L.; Zheng, B.; Tong, F.; Yang, Z.; Wang, Z.-B.; Yang, B.-M.; Sun, Y.; Zhang, X.-H.; Zhao, Y.-L.; Wen, J.-K. iNOS-Derived Peroxynitrite Mediates High Glucose-Induced Inflammatory Gene Expression in Vascular Smooth Muscle Cells through Promoting KLF5 Expression and Nitration. Biochim. Biophys. Acta-Mol. Basis Dis. 2017, 1863, 2821–2834. [Google Scholar] [CrossRef] [PubMed]
- Tran, N.; Garcia, T.; Aniqa, M.; Ali, S.; Ally, A.; Nauli, S.M. Endothelial Nitric Oxide Synthase (eNOS) and the Cardiovascular System: In Physiology and in Disease States. Am. J. Biomed. Sci. Res. 2022, 15, 153–177. [Google Scholar] [CrossRef]
- Williams, I.L.; Wheatcroft, S.; Shah, A.M.; Kearney, M.T. Obesity, Atherosclerosis and the Vascular Endothelium: Mechanisms of Reduced Nitric Oxide Bioavailability in Obese Humans. Int. J. Obes. 2002, 26, 754–764. [Google Scholar] [CrossRef] [PubMed]
- Algomizy, H.; Khan, A.; Smettei, O.; Elhabiby, M.; Mustafa, A.A. Association of Nitric Oxide Levels and Lipid Profile with Endothelial Dysfunction in Type 2 Diabetic Patients. J. Res. Med. Sci. 2024, 29, 3–6. [Google Scholar] [CrossRef]
- Hodnett, B.L.; Hester, R.L. Regulation of Muscle Blood Flow in Obesity. Microcirculation 2007, 14, 273–288. [Google Scholar] [CrossRef] [PubMed]
- Assmann, T.S.; Brondani, L.A.; Bouças, A.P.; Rheinheimer, J.; de Souza, B.M.; Canani, L.H.; Bauer, A.C.; Crispim, D. Nitric Oxide Levels in Patients with Diabetes Mellitus: A Systematic Review and Meta-Analysis. Nitric Oxide-Biol. Chem. 2016, 61, 1–9. [Google Scholar] [CrossRef]
- Chen, H.; Montagnani, M.; Funahashi, T.; Shimomura, I.; Quon, M.J. Adiponectin Stimulates Production of Nitric Oxide in Vascular Endothelial Cells. J. Biol. Chem. 2003, 278, 45021–45026. [Google Scholar] [CrossRef] [PubMed]
- Morrow, V.A.; Foufelle, F.; Connell, J.M.C.; Petrie, J.R.; Gould, G.W.; Salt, I.P. Direct Activation of AMP-Activated Protein Kinase Stimulates Nitric-Oxide Synthesis in Human Aortic Endothelial Cells. J. Biol. Chem. 2003, 278, 31629–31639. [Google Scholar] [CrossRef] [PubMed]
- Calabrese, M.F.; Rajamohan, F.; Harris, M.S.; Caspers, N.L.; Magyar, R.; Withka, J.M.; Wang, H.; Borzilleri, K.A.; Sahasrabudhe, P.V.; Hoth, L.R.; et al. Structural Basis for AMPK Activation: Natural and Synthetic Ligands Regulate Kinase Activity from Opposite Poles by Different Molecular Mechanisms. Structure 2014, 22, 1161–1172. [Google Scholar] [CrossRef] [PubMed]
- Heidary Moghaddam, R.; Samimi, Z.; Asgary, S.; Mohammadi, P.; Hozeifi, S.; Hoseinzadeh-Chahkandak, F.; Xu, S.; Farzaei, M.H. Natural AMPK Activators in Cardiovascular Disease Prevention. Front. Pharmacol. 2022, 12, 738420. [Google Scholar] [CrossRef] [PubMed]
- Vlavcheski, F.; Naimi, M.; Murphy, B.; Hudlicky, T.; Tsiani, E. Rosmarinic Acid, a Rosemary Extract Polyphenol, Increases Skeletal Muscle Cell Glucose Uptake and Activates AMPK. Molecules 2017, 22, 1669. [Google Scholar] [CrossRef] [PubMed]
- Sharma, A.; Mah, M.; Ritchie, R.H.; De Blasio, M.J. The Adiponectin Signalling Pathway—A Therapeutic Target for the Cardiac Complications of Type 2 Diabetes? Pharmacol. Ther. 2022, 232, 108008. [Google Scholar] [CrossRef] [PubMed]
- Gunton, J.E. Hypoxia-Inducible Factors and Diabetes. J. Clin. Investig. 2020, 130, 5063–5073. [Google Scholar] [CrossRef] [PubMed]
- Catrina, S.B.; Zheng, X. Hypoxia and Hypoxia-Inducible Factors in Diabetes and Its Complications. Diabetologia 2021, 64, 709–716. [Google Scholar] [CrossRef] [PubMed]
- Isoe, T.; Makino, Y.; Mizumoto, K.; Sakagami, H.; Fujita, Y.; Honjo, J.; Takiyama, Y.; Itoh, H.; Haneda, M. High Glucose Activates HIF-1-Mediated Signal Transduction in Glomerular Mesangial Cells through a Carbohydrate Response Element Binding Protein. Kidney Int. 2010, 78, 48–59. [Google Scholar] [CrossRef] [PubMed]
- El-Huneidi, W.; Anjum, S.; Mohammed, A.K.; Bin Eshaq, S.; Abdrabh, S.; Bustanji, Y.; Soares, N.C.; Semreen, M.H.; Alzoubi, K.H.; Abu-Gharbieh, E.; et al. Rosemarinic Acid Protects β-cell from STZ-Induced Cell Damage via Modulating NF-κβ Pathway. Heliyon 2023, 9, e19234. [Google Scholar] [CrossRef]
- Cuevas-Durán, R.E.; Medrano-Rodríguez, J.C.; Sánchez-Aguilar, M.; Soria-Castro, E.; Rubio-Ruíz, M.E.; Del Valle-Mondragón, L.; Sánchez-Mendoza, A.; Torres-Narvaéz, J.C.; Pastelín-Hernández, G.; Ibarra-Lara, L. Extracts of Crataegus oxyacantha and Rosmarinus offcinalis Attenuate Ischemic Myocardial Damage by Decreasing Oxidative Stress and Regulating the Production of Cardiac Vasoactive Agents. Int. J. Mol. Sci. 2017, 18, 2412. [Google Scholar] [CrossRef]
- Sotnikova, R.; Okruhlicova, L.; Vlkovicova, J.; Navarova, J.; Gajdacova, B.; Pivackova, L.; Fialova, S.; Krenek, P. Rosmarinic acid Administration Attenuates Diabetes-Induced Vascular Dysfunction of the Rat Aorta. J. Pharm. Pharmacol. 2013, 65, 713–723. [Google Scholar] [CrossRef] [PubMed]
- Zhang, X.; Ma, Z.G.; Yuan, Y.P.; Xu, S.C.; Wei, W.Y.; Song, P.; Kong, C.Y.; Deng, W.; Tang, Q.Z. Rosmarinic Acid Attenuates Cardiac Fibrosis Following Long-Term Pressure Overload via AMPKα/Smad3 Signaling Article. Cell Death Dis. 2018, 9, 102. [Google Scholar] [CrossRef]









| Time (min) | % Methanol | % Water | % of 2% Formic Acid in Water |
|---|---|---|---|
| 0.00 | 5 | 90 | 5 |
| 3.00 | 15 | 70 | 15 |
| 6.00 | 15 | 70 | 15 |
| 9.00 | 21 | 58 | 21 |
| 13.00 | 21 | 58 | 21 |
| 18.00 | 30 | 41 | 29 |
| 22.00 | 30 | 41 | 29 |
| 26.00 | 50 | 0 | 50 |
| 29.00 | 50 | 0 | 50 |
| 29.01 | 5 | 90 | 5 |
| 35.00 | 5 | 90 | 5 |
| Compound | Retention Time (min) | m/z and Main Transitions | Concentration (mg/mL) | ||
|---|---|---|---|---|---|
| Standard | Separated | Standard | Separated | R. officinalis | |
| Caffeic acid | 13.8 | 13.7 | 179.0 > 135.0 | 179.0 > 135.0 | 5.25 ± 0.06 |
| Carnosic acid | 32.0 | 32.1 | 331.2 > 285.1 | 331.2 > 285.1 | 63.87 ± 0.53 |
| Chlorogenic acid | 12.0 | 12.0 | 353.0 > 191.0 | 353.0 > 191.0 | 1.29 ± 0.2 |
| trans-p-coumaric acid | 17.5 | 17.5 | 163.0 > 119.0 | 163.0 > 119.0 | 0.66 ± 0.01 |
| Ellagic acid | 27.3 | 27.3 | 301.0 > 185.0 | 301.0 > 185.0 | 12.74 ± 0.12 |
| Gallic acid | 7.0 | 7.0 | 168.9 > 125.0 | 168.9 > 125.0 | 0.04 ± 0.01 |
| Rosmarinic acid | 21.4 | 21.6 | 358.9 > 161.0 | 358.9 > 161.0 | 6.68 ± 0.08 |
| Ferulic acid | 18.4 | 18.5 | 193.0 > 134.0 | 193.0 > 134.0 | 0.06 ± 0.01 |
| Salicylic acid | 23.5 | 23.5 | 137.0 > 93.0 | 137.0 > 93.0 | - |
| Apigenin | 28.2 | 28.1 | 269.0 > 117.0 | 269.0 > 117.0 | 3.42 ± 0.02 |
| Carnosol | 30.7 | 30.4 | 329.1 > 285.1 | 329.1 > 285.1 | 3.06 ± 0.03 |
| Chrysin | 29.7 | 29.7 | 253.0 > 143.0 | 253.0 > 143.0 | - |
| Hesperetin | 27.1 | 27.0 | 301.0 > 164.0 | 301.0 > 164.0 | 0.44 ± 0.06 |
| Hyperoside | 20.3 | 20.4 | 463.1 > 300.0 | 463.1 > 300.0 | 0.81 ± 0.09 |
| Kaempferol | 27.9 | 27.9 | 285.0 > 187.0 | 285.0 > 187.0 | 0.12 ± 0.02 |
| Luteolin-7-O-glucoside | 19.9 | 19.9 | 447.0 > 284.9 | 447.0 > 284.9 | 1.36 ± 0.02 |
| Luteolin | 26.9 | 26.8 | 287.0 > 153.0 | 287.0 > 153.0 | 0.91 ± 0.01 |
| Myricetin | 13.6 | 13.6 | 317.0 > 179.0 | 317.0 > 179.0 | 5.01 ± 0.04 |
| Naringenin | 26.3 | 26.3 | 271.0 > 119.0 | 271.0 > 119.0 | 0.03 ± 0.01 |
| Quercetin | 25.4 | 25.5 | 300.9 > 151.0 | 300.9 > 151.0 | 0.04 ± 0.01 |
| Rutoside | 20.3 | 20.3 | 609.0 > 300.0 | 609.0 > 300.0 | 0.12 ± 0.02 |
| Vitexin | 18.4 | 18.5 | 431.0 > 311.0 | 431.0 > 311.0 | - |
Disclaimer/Publisher’s Note: The statements, opinions and data contained in all publications are solely those of the individual author(s) and contributor(s) and not of MDPI and/or the editor(s). MDPI and/or the editor(s) disclaim responsibility for any injury to people or property resulting from any ideas, methods, instructions or products referred to in the content. |
© 2024 by the authors. Licensee MDPI, Basel, Switzerland. This article is an open access article distributed under the terms and conditions of the Creative Commons Attribution (CC BY) license (https://creativecommons.org/licenses/by/4.0/).
Share and Cite
Ielciu, I.; Filip, G.A.; Sevastre-Berghian, A.C.; Bâldea, I.; Olah, N.-K.; Burtescu, R.F.; Toma, V.A.; Moldovan, R.; Oniga, I.; Hanganu, D. Effects of a Rosmarinus officinalis L. Extract and Rosmarinic Acid in Improving Streptozotocin-Induced Aortic Tissue Damages in Rats. Nutrients 2025, 17, 158. https://doi.org/10.3390/nu17010158
Ielciu I, Filip GA, Sevastre-Berghian AC, Bâldea I, Olah N-K, Burtescu RF, Toma VA, Moldovan R, Oniga I, Hanganu D. Effects of a Rosmarinus officinalis L. Extract and Rosmarinic Acid in Improving Streptozotocin-Induced Aortic Tissue Damages in Rats. Nutrients. 2025; 17(1):158. https://doi.org/10.3390/nu17010158
Chicago/Turabian StyleIelciu, Irina, Gabriela Adriana Filip, Alexandra C. Sevastre-Berghian, Ioana Bâldea, Neli-Kinga Olah, Ramona Flavia Burtescu, Vlad Alexandru Toma, Remus Moldovan, Ilioara Oniga, and Daniela Hanganu. 2025. "Effects of a Rosmarinus officinalis L. Extract and Rosmarinic Acid in Improving Streptozotocin-Induced Aortic Tissue Damages in Rats" Nutrients 17, no. 1: 158. https://doi.org/10.3390/nu17010158
APA StyleIelciu, I., Filip, G. A., Sevastre-Berghian, A. C., Bâldea, I., Olah, N.-K., Burtescu, R. F., Toma, V. A., Moldovan, R., Oniga, I., & Hanganu, D. (2025). Effects of a Rosmarinus officinalis L. Extract and Rosmarinic Acid in Improving Streptozotocin-Induced Aortic Tissue Damages in Rats. Nutrients, 17(1), 158. https://doi.org/10.3390/nu17010158

