The Skin Histopathology of Pro- and Parabiotics in a Mouse Model of Atopic Dermatitis
Abstract
1. Introduction
2. Material and Methods
2.1. Strain and Atopic Agents
2.2. Animals
2.3. Blood Biochemistry Analysis
2.4. Measuring Skin Damage and Scratching Behavior
2.5. Histopathology and Microscopic Confirmation Using Skin Staining
2.6. Statistical Analysis
3. Results
3.1. Body Weight
3.2. Comparison of IgG and IgM Using Animal Serum
3.3. Anti-Atopic Effects of Pro- and Parabiotics Using H&E Staining
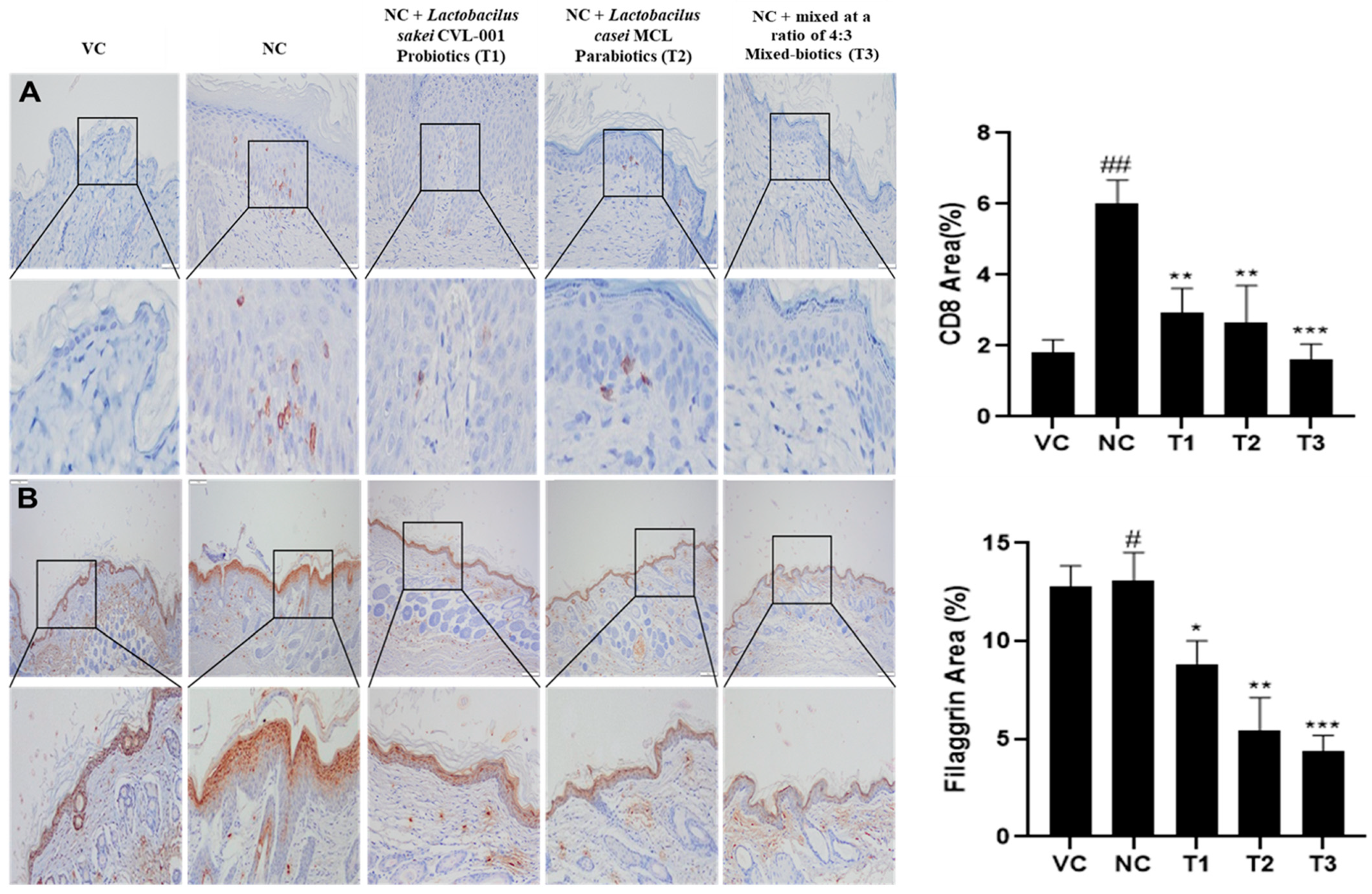
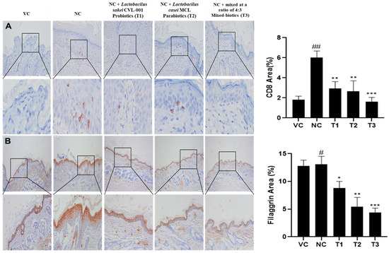
3.4. Anti-Atopic Effects of Pro- and Parabiotics via CD8 Antibody and Filaggrin Staining
3.5. Anti-Atopic Effects of Pro- and Parabiotics via Toluidine Blue Staining
3.6. Skin Damage and Scores by Date
4. Discussion
5. Conclusions
Author Contributions
Funding
Institutional Review Board Statement
Informed Consent Statement
Data Availability Statement
Acknowledgments
Conflicts of Interest
References
- Heratizadeh, A.; Werfel, T. Anti-inflammatory therapies in atopic dermatitis. Allergy 2016, 71, 1666–1675. [Google Scholar] [CrossRef] [PubMed]
- Perkin, M.R.; Strachan, D.P.; Williams, H.C.; Kennedy, C.T.C.; Golding, J.; The ALSPAC Study Team. Natural history of atopic dermatitis and its relationship to serum total immunoglobulin E in a population-based birth cohort study. Pediatr. Allergy Immunol. 2004, 15, 221–229. [Google Scholar] [CrossRef] [PubMed]
- Wollenberg, A.; Werfel, T.; Ring, J.; Ott, H.; Gieler, U.; Weidinger, S. Atopic Dermatitis in Children and Adults—Diagnosis and Treatment. Dtsch. Arztebl. Int. 2023, 120, 224–234. [Google Scholar]
- Otsuka, A.; Nomura, T.; Rerknimitr, P.; Seidel, J.A.; Honda, T.; Kabashima, K. The interplay between genetic and environmental factors in the pathogenesis of atopic dermatitis. Immunol. Rev. 2017, 278, 246–262. [Google Scholar] [CrossRef]
- Chiesa Fuxench, Z.C. Atopic dermatitis: Disease background and risk factors. In Management of Atopic Dermatitis: Methods and Challenges; Springer: Berlin/Heidelberg, Germany, 2017; pp. 11–19. [Google Scholar]
- Bussmann, C.; Weidinger, S.; Novak, N. Genetics of atopic dermatitis. JDDG J. Dtsch. Dermatol. Ges. 2011, 9, 670–676. [Google Scholar] [CrossRef]
- Dzienis, K.; Tryniszewska, E.; Kaczmarski, M. Disorders of immunological balance between Th1 and Th2 cells and the role of chosen cytokines in atopic dermatitis. Adv. Dermatol. Allergol./Postępy Dermatol. Alergol. 2006, 23, 88–93. [Google Scholar]
- Romagnani, S. Immunologic influences on allergy and the TH1/TH2 balance. J. Allergy Clin. Immunol. 2004, 113, 395–400. [Google Scholar] [CrossRef]
- Orciani, M.; Campanati, A.; Caffarini, M.; Ganzetti, G.; Consales, V.; Lucarini, G.; Offidani, A.; Di Primio, R. T helper (Th)1, Th17 and Th2 imbalance in mesenchymal stem cells of adult patients with atopic dermatitis: At the origin of the problem. Br. J. Dermatol. 2017, 176, 1569–1576. [Google Scholar] [CrossRef]
- Sugaya, M.J. The role of Th17-related cytokines in atopic dermatitis. Int. J. Mol. Sci. 2020, 21, 1314. [Google Scholar] [CrossRef]
- Fang, Z.; Li, L.; Zhang, H.; Zhao, J.; Lu, W.; Chen, W. Gut Microbiota, Probiotics, and Their Interactions in Prevention and Treatment of Atopic Dermatitis: A Review. Front. Immunol. 2021, 12, 720393. [Google Scholar] [CrossRef]
- Petersen, E.B.; Skov, L.; Thyssen, J.P.; Jensen, P. Role of the gut microbiota in atopic dermatitis: A systematic review. Acta Derm.-Venereol. 2019, 99, 5–11. [Google Scholar] [CrossRef]
- Song, H.; Yoo, Y.; Hwang, J.; Na, Y.-C.; Kim, H.S. Faecalibacterium prausnitzii subspecies–level dysbiosis in the human gut microbiome underlying atopic dermatitis. J. Allergy Clin. Immunol. 2016, 137, 852–860. [Google Scholar] [CrossRef] [PubMed]
- Candela, M.; Rampelli, S.; Turroni, S.; Severgnini, M.; Consolandi, C.; De Bellis, G.; Masetti, R.; Ricci, G.; Pession, A.; Brigidi, P. Unbalance of intestinal microbiota in atopic children. BMC Microbiol. 2012, 12, 95. [Google Scholar] [CrossRef] [PubMed]
- Nataraj, B.H.; Ali, S.A.; Behare, P.V.; Yadav, H. Postbiotics-parabiotics: The new horizons in microbial biotherapy and functional foods. Microb. Cell Factories 2020, 19, 168. [Google Scholar] [CrossRef]
- Tamime, A.Y.; Thomas, L.V.; Wiley, J. Probiotic Dairy Products; Wiley: New York, NY, USA, 2005. [Google Scholar]
- Davani-Davari, D.; Negahdaripour, M.; Karimzadeh, I.; Seifan, M.; Mohkam, M.; Masoumi, S.J.; Berenjian, A.; Ghasemi, Y. Prebiotics: Definition, Types, Sources, Mechanisms, and Clinical Applications. Foods 2019, 8, 92. [Google Scholar] [CrossRef]
- Kim, M.C. The Mechanism of Blood Cholesterol-Lowering Action of Parabiotics. Food Suppl. Biomater. Health 2023, 3, e1. [Google Scholar] [CrossRef]
- Siciliano, R.A.; Reale, A.; Mazzeo, M.F.; Morandi, S.; Silvetti, T.; Brasca, M. Paraprobiotics: A New Perspective for Functional Foods and Nutraceuticals. Nutrients 2021, 13, 1225. [Google Scholar] [CrossRef] [PubMed]
- Sharma, M.; Shukla, G. Metabiotics: One Step ahead of Probiotics; an Insight into Mechanisms Involved in Anticancerous Effect in Colorectal Cancer. Front. Microbiol. 2016, 7, 1940. [Google Scholar] [CrossRef]
- Shenderov, B.A. Metabiotics: Novel idea or natural development of probiotic conception. Microb. Ecol. Health Dis. 2013, 24, 20399. [Google Scholar] [CrossRef]
- Ji, Y.; Chung, Y.M.; Park, S.; Jeong, D.; Kim, B.; Holzapfel, W.H. Dose-dependent and strain-dependent anti-obesity effects of Lactobacillus sakei in a diet induced obese murine model. PeerJ 2019, 7, e6651. [Google Scholar] [CrossRef]
- Ji, Y.; Park, S.; Chung, Y.; Kim, B.; Park, H.; Huang, E.; Jeong, D.; Jung, H.-Y.; Kim, B.; Hyun, C.-K.; et al. Amelioration of obesity-related biomarkers by Lactobacillus sakei CJLS03 in a high-fat diet-induced obese murine model. Sci. Rep. 2019, 9, 6821. [Google Scholar] [CrossRef]
- Lim, S.; Moon, J.H.; Shin, C.M.; Jeong, D.; Kim, B. Effect of Lactobacillus sakei, a Probiotic Derived from Kimchi, on Body Fat in Koreans with Obesity: A Randomized Controlled Study. Endocrinol. Metab. 2020, 35, 425–434. [Google Scholar] [CrossRef] [PubMed]
- Kim, D.-Y.; Lee, T.-S.; Jung, D.-H.; Song, E.-J.; Jang, A.-R.; Park, J.-Y.; Ahn, J.-H.; Seo, I.-S.; Song, S.-J.; Kim, Y.-J.; et al. Oral Administration of Lactobacillus sakei CVL-001 Improves Recovery from Dextran Sulfate Sodium-Induced Colitis in Mice by Microbiota Modulation. Microorganisms 2023, 11, 1359. [Google Scholar] [CrossRef]
- Kwon, M.-S.; Lim, S.K.; Jang, J.-Y.; Lee, J.; Park, H.K.; Kim, N.; Yun, M.; Shin, M.-Y.; Jo, H.E.; Oh, Y.J.; et al. Lactobacillus sakei WIKIM30 Ameliorates Atopic Dermatitis-Like Skin Lesions by Inducing Regulatory T Cells and Altering Gut Microbiota Structure in Mice. Front. Immunol. 2018, 9, 1905. [Google Scholar] [CrossRef] [PubMed]
- Huang, C.-H.; Li, S.-W.; Huang, L.; Watanabe, K. Identification and Classification for the Lactobacillus casei Group. Front. Microbiol. 2018, 9, 1974. [Google Scholar] [CrossRef] [PubMed]
- Galdeano, C.M.; Perdigón, G. The Probiotic Bacterium Lactobacillus casei Induces Activation of the Gut Mucosal Immune System through Innate Immunity. Clin. Vaccine Immunol. 2006, 13, 219–226. [Google Scholar] [CrossRef] [PubMed]
- Kato-Kataoka, A.; Nishida, K.; Takada, M.; Kawai, M.; Kikuchi-Hayakawa, H.; Suda, K.; Ishikawa, H.; Gondo, Y.; Shimizu, K.; Matsuki, T.; et al. Fermented Milk Containing Lactobacillus casei Strain Shirota Preserves the Diversity of the Gut Microbiota and Relieves Abdominal Dysfunction in Healthy Medical Students Exposed to Academic Stress. Appl. Environ. Microbiol. 2016, 82, 3649–3658. [Google Scholar] [CrossRef]
- Harbige, L.S.; Pinto, E.; Allgrove, J.; Thomas, L.V. Immune Response of Healthy Adults to the Ingested Probiotic Lactobacillus casei Shirota. Scand. J. Immunol. 2016, 84, 353–364. [Google Scholar] [CrossRef]
- Choi, J.-K.; Lim, Y.-S.; Kim, H.-J.; Hong, Y.-H.; Ryu, B.-Y.; Kim, G.-B. Screening and Characterization of Lactobacillus casei MCL Strain Exhibiting Immunomodulation Activity. Korean J. Food Sci. Anim. Resour. 2012, 32, 635–643. [Google Scholar] [CrossRef]
- Treuting, P.M.; Boyd, K.L. Histopathological Scoring. Vet. Pathol. 2019, 56, 17–18. [Google Scholar] [CrossRef]
- Hiramoto, K.; Orita, K.; Yamate, Y.; Yokoyama, S. Atopic Dermatitis Deteriorates Dextran Sodium Sulfate-Induced Ulcerative Colitis via Thymic Stromal Lymphopoietin in Mice. J. Biosci. Med. 2017, 05, 85–98. [Google Scholar] [CrossRef][Green Version]
- Hennino, A.; Vocanson, M.; Toussaint, Y.; Rodet, K.; Benetière, J.; Schmitt, A.-M.; Aries, M.-F.; Bérard, F.; Rozières, A.; Nicolas, J.-F. Skin-Infiltrating CD8+ T Cells Initiate Atopic Dermatitis Lesions. J. Immunol. 2007, 178, 5571–5577. [Google Scholar] [CrossRef] [PubMed]
- Sandilands, A.; Sutherland, C.; Irvine, A.D.; McLean, W.H.I. Filaggrin in the frontline: Role in skin barrier function and disease. J. Cell Sci. 2009, 122, 1285–1294. [Google Scholar] [CrossRef]
- Kezic, S.; Jakasa, I. Filaggrin and Skin Barrier Function. Curr. Probl. Dermatol. 2016, 49, 1–7. [Google Scholar] [PubMed]
- Theoharides, T.C.; Alysandratos, K.-D.; Angelidou, A.; Delivanis, D.-A.; Sismanopoulos, N.; Zhang, B.; Asadi, S.; Vasiadi, M.; Weng, Z.; Miniati, A.; et al. Mast cells and inflammation. Biochim. Biophys. Acta 2012, 1822, 21–33. [Google Scholar] [CrossRef]
- Kawakami, T.; Ando, T.; Kimura, M.; Wilson, B.S.; Kawakami, Y. Mast cells in atopic dermatitis. Curr. Opin. Immunol. 2009, 21, 666–678. [Google Scholar] [CrossRef]
- Chang, Y.-S.; Tsai, C.-C.; Yang, P.-Y.; Tang, C.-Y.; Chiang, B.-L. Topical Melatonin Exerts Immunomodulatory Effect and Improves Dermatitis Severity in a Mouse Model of Atopic Dermatitis. Int. J. Mol. Sci. 2022, 23, 1373. [Google Scholar] [CrossRef]
- Tesmer, L.A.; Lundy, S.K.; Sarkar, S.; Fox, D.A. Th17 cells in human disease. Immunol. Rev. 2008, 223, 87–113. [Google Scholar] [CrossRef]
- Brunner, P.M.; Guttman-Yassky, E.; Leung, D.Y.M. The immunology of atopic dermatitis and its reversibility with broad-spectrum and targeted therapies. J. Allergy Clin. Immunol. 2017, 139, S65–S76. [Google Scholar] [CrossRef]
- Johnson, C.C.; Ownby, D.R. The infant gut bacterial microbiota and risk of pediatric asthma and allergic diseases. Transl. Res. 2017, 179, 60–70. [Google Scholar] [CrossRef]
- Zhu, T.; Zhu, T.; Tran, K.; Sivamani, R.; Shi, V. Epithelial barrier dysfunctions in atopic dermatitis: A skin-gut-lung model linking microbiome alteration and immune dysregulation. Br. J. Dermatol. 2018, 179, 570–581. [Google Scholar] [CrossRef] [PubMed]
- Mazur, M.; Tomczak, H.; Łodyga, M.; Plagens-Rotman, K.; Merks, P.; Czarnecka-Operacz, M. The Intestinal and Skin Microbiome in Patients with Atopic Dermatitis and Their Influence on the Course of the Disease: A Literature Review. Healthcare 2023, 11, 766. [Google Scholar] [CrossRef] [PubMed]
- Rautava, S.; Kainonen, E.; Salminen, S.; Isolauri, E. Maternal probiotic supplementation during pregnancy and breast-feeding reduces the risk of eczema in the infant. J. Allergy Clin. Immunol. 2012, 130, 1355–1360. [Google Scholar] [CrossRef] [PubMed]
- Ferguson, A.; Salinas, F. Elevated IgG immune complexes in children with atopic eczema. J. Allergy Clin. Immunol. 1984, 74, 678–682. [Google Scholar] [CrossRef]
- Hou, T.; Tsang, M.S.-M.; Kan, L.L.-Y.; Li, P.; Chu, I.M.-T.; Lam, C.W.-K.; Wong, C.-K. IL-37 Targets TSLP-Primed Basophils to Alleviate Atopic Dermatitis. Int. J. Mol. Sci. 2021, 22, 7393. [Google Scholar] [CrossRef]
- Wang, F.; Trier, A.M.; Li, F.; Kim, S.; Chen, Z.; Chai, J.N.; Mack, M.R.; Morrison, S.A.; Hamilton, J.D.; Baek, J.; et al. A basophil-neuronal axis promotes itch. Cell 2021, 184, 422–440.e17. [Google Scholar] [CrossRef]
- Takano, N.; Arai, I.; Kurachi, M. A method to induce stable atopic dermatitis-like symptoms in NC/Nga mice housed with skin-lesioned mice. Br. J. Dermatol. 2006, 154, 426–430. [Google Scholar] [CrossRef]
- Lee, Y.; Byeon, H.R.; Jang, S.-Y.; Hong, M.-G.; Kim, D.; Lee, D.; Shin, J.-H.; Kim, Y.; Kang, S.-G.; Seo, J.-G. Oral administration of Faecalibacterium prausnitzii and Akkermansia muciniphila strains from humans improves atopic dermatitis symptoms in DNCB induced NC/Nga mice. Sci. Rep. 2022, 12, 7324. [Google Scholar] [CrossRef]
- Kim, W.-K.; Jang, Y.J.; Park, S.; Min, S.-G.; Kwon, H.; Jo, M.J.; Ko, G. Lactobacillus acidophilus KBL409 Ameliorates Atopic Dermatitis in a Mouse Model. J. Microbiol. 2024, 62, 91–99. [Google Scholar] [CrossRef]




| Day | |||
|---|---|---|---|
| 1 | 8 | 15 | |
| Vehicle Control group (VC) | 24.39 ± 0.61 NS | 24.70 ± 0.74 NS | 25.18 ± 0.73 NS |
| Atopy-induced Negative Control group (NC) | 24.71 ± 1.82 NS | 25.06 ± 1.79 NS | 25.66 ± 1.31 NS |
| Lactobacillus sakei T1 | 24.58 ± 1.35 NS | 24.95 ± 1.03 NS | 25.42 ± 1.40 NS |
| Lactobacillus casei T2 | 24.00 ± 0.83 NS | 25.00 ± 1.43 NS | 25.65 ± 0.84 NS |
| Lactobacillus sakei–Lactobacillus casei (4:3) T3 | 22.54 ± 1.30 NS | 23.22 ± 0.97 NS | 23.84 ± 0.87 NS |
| IgG (mg/dL) | IgM (mg/dL) | |
|---|---|---|
| Vehicle Control group (VC) | 10.00 ± 2.70 A | 19.96 ± 2.74 A |
| Atopy-induced Negative Control group (NC) | 18.12 ± 2.16 BC | 21.32 ± 2.32 AB |
| Lactobacillus sakei T1 | 16.12 ± 1.36 B | 22.38 ± 3.40 AB |
| Lactobacillus casei T2 | 19.30 ± 1.97 BC | 27.38 ± 5.64 B |
| Lactobacillus sakei–Lactobacillus casei (4:3) T3 | 21.17 ± 3.84 C | 26.10 ± 0.79 AB |
Disclaimer/Publisher’s Note: The statements, opinions and data contained in all publications are solely those of the individual author(s) and contributor(s) and not of MDPI and/or the editor(s). MDPI and/or the editor(s) disclaim responsibility for any injury to people or property resulting from any ideas, methods, instructions or products referred to in the content. |
© 2024 by the authors. Licensee MDPI, Basel, Switzerland. This article is an open access article distributed under the terms and conditions of the Creative Commons Attribution (CC BY) license (https://creativecommons.org/licenses/by/4.0/).
Share and Cite
Kim, H.H.; Jeong, S.H.; Park, M.Y.; Bhosale, P.B.; Abusaliya, A.; Heo, J.D.; Kim, H.W.; Seong, J.K.; Kim, T.Y.; Park, J.W.; et al. The Skin Histopathology of Pro- and Parabiotics in a Mouse Model of Atopic Dermatitis. Nutrients 2024, 16, 2903. https://doi.org/10.3390/nu16172903
Kim HH, Jeong SH, Park MY, Bhosale PB, Abusaliya A, Heo JD, Kim HW, Seong JK, Kim TY, Park JW, et al. The Skin Histopathology of Pro- and Parabiotics in a Mouse Model of Atopic Dermatitis. Nutrients. 2024; 16(17):2903. https://doi.org/10.3390/nu16172903
Chicago/Turabian StyleKim, Hun Hwan, Se Hyo Jeong, Min Yeong Park, Pritam Bhagwan Bhosale, Abuyaseer Abusaliya, Jeong Doo Heo, Hyun Wook Kim, Je Kyung Seong, Tae Yang Kim, Jeong Woo Park, and et al. 2024. "The Skin Histopathology of Pro- and Parabiotics in a Mouse Model of Atopic Dermatitis" Nutrients 16, no. 17: 2903. https://doi.org/10.3390/nu16172903
APA StyleKim, H. H., Jeong, S. H., Park, M. Y., Bhosale, P. B., Abusaliya, A., Heo, J. D., Kim, H. W., Seong, J. K., Kim, T. Y., Park, J. W., Kim, B. S., & Kim, G. S. (2024). The Skin Histopathology of Pro- and Parabiotics in a Mouse Model of Atopic Dermatitis. Nutrients, 16(17), 2903. https://doi.org/10.3390/nu16172903

