Management of Metabolic-Associated Fatty Liver Disease/Metabolic Dysfunction-Associated Steatotic Liver Disease: From Medication Therapy to Nutritional Interventions
Abstract
1. Introduction
2. MAFLD/MASLD Management
2.1. Pharmacological Approach
2.2. Exercise and Weight Loss
2.2.1. Exercise
Aerobic Exercises
Strength Training Exercises
Flexibility and Balance Exercises
High-Intensity Interval Training (HIIT)
2.3. Nutritional Strategies
2.3.1. Dietary Interventions for MAFLD
Diet Low in Carbohydrates
Diet Low in FAs
2.3.2. Dietary Components for MAFLD
3. Conclusions
Author Contributions
Funding
Conflicts of Interest
References
- Ludwig, S.; Kaplowitz, N. Effect of pyridoxine deficiency on serum and liver transaminases in experimental liver injury in the rat. Gastroenterology 1980, 79, 545–549. [Google Scholar] [CrossRef] [PubMed]
- Schaffner, F.; Thaler, H. Nonalcoholic fatty liver disease. Prog. Liver Dis. 1986, 8, 283–298. [Google Scholar] [PubMed]
- Teng, M.L.; Ng, C.H.; Huang, D.Q.; Chan, K.E.; Tan, D.J.; Lim, W.H.; Yang, J.D.; Tan, E.; Muthiah, M.D. Global incidence and prevalence of nonalcoholic fatty liver disease. Clin. Mol. Hepatol. 2023, 29, S32. [Google Scholar] [CrossRef] [PubMed]
- Mantovani, A.; Scorletti, E.; Mosca, A.; Alisi, A.; Byrne, C.D.; Targher, G. Complications, morbidity and mortality of nonalcoholic fatty liver disease. Metabolism 2020, 111, 154170. [Google Scholar] [CrossRef] [PubMed]
- Yi, M.; Peng, W.; Feng, X.; Teng, F.; Tang, Y.; Kong, Q.; Chen, Z. Extrahepatic morbidities and mortality of NAFLD: An umbrella review of meta-analyses. Aliment. Pharmacol. Ther. 2022, 56, 1119–1130. [Google Scholar] [CrossRef] [PubMed]
- Eslam, M.; Newsome, P.N.; Sarin, S.K.; Anstee, Q.M.; Targher, G.; Romero-Gomez, M.; Zelber-Sagi, S.; Wai-Sun, W.V.; Dufour, J.F.; Schattenberg, J.M. A new definition for metabolic dysfunction-associated fatty liver disease: An international expert consensus statement. J. Hepatol. 2020, 73, 202–209. [Google Scholar] [CrossRef] [PubMed]
- Lonardo, A. Back to the future: From the history of NAFLD to MAFLD to heterogeneity of disease. Clin. Trans. Disc. 2021, 1, e9. [Google Scholar] [CrossRef]
- Rinella, M.E.; Lazarus, J.V.; Ratziu, V.; Francque, S.M.; Sanyal, A.J.; Kanwal, F.; Romero, D.; Abdelmalek, M.F.; Anstee, Q.M.; Arab, J.P. A multisociety Delphi consensus statement on new fatty liver disease nomenclature. Hepatology 2023, 78, 1966–1986. [Google Scholar] [CrossRef] [PubMed]
- Chan, W.-K.; Chuah, K.-H.; Rajaram, R.B.; Lim, L.-L.; Ratnasingam, J.; Vethakkan, S.R. Metabolic Dysfunction-Associated Steatotic Liver Disease (MASLD): A State-of-the-Art Review. JOMES 2023, 32, 197–213. [Google Scholar] [CrossRef]
- Galiero, R.; Caturano, A.; Vetrano, E.; Cesaro, A.; Rinaldi, L.; Salvatore, T.; Raffaele, M.; Celestino, S.; Elisabetta, M.; Felice, G. Pathophysiological mechanisms and clinical evidence of relationship between Nonalcoholic fatty liver disease (NAFLD) and cardiovascular disease. Rev. Cardiovasc. Med. 2021, 22, 755–768. [Google Scholar] [CrossRef]
- Mantovani, A.; Dalbeni, A.; Beatrice, G.; Cappelli, D.; Gomez-Peralta, F. Non-Alcoholic Fatty Liver Disease and Risk of Macro- and Microvascular Complications in Patients with Type 2 Diabetes. J. Clin. Med. 2022, 11, 968. [Google Scholar] [CrossRef] [PubMed]
- Michałowska, J.; Miller-Kasprzak, E.; Bogdański, P. Incretin Hormones in Obesity and Related Cardiometabolic Disorders: The Clinical Perspective. Nutrients 2021, 13, 351. [Google Scholar] [CrossRef] [PubMed]
- Targher, G.; Byrne, C.D.; Tilg, H. MASLD: A systemic metabolic disorder with cardiovascular and malignant complications. Gut 2024, 73, 691–702. [Google Scholar] [CrossRef] [PubMed]
- Yanai, H.; Adachi, H.; Hakoshima, M.; Katsuyama, H. Glucagon-Like Peptide 1 Receptor Agonists Versus Sodium-Glucose Cotransporter 2 Inhibitors for Atherosclerotic Cardiovascular Disease in Patients with Type 2 Diabetes. Cardiol. Res. 2023, 14, 12–21. [Google Scholar] [CrossRef]
- Yanai, H.; Hakoshima, M.; Adachi, H.; Katsuyama, H. Multi-organ protective effects of sodium glucose cotransporter 2 inhibitors. Int. J. Mol. Sci. 2021, 22, 4416. [Google Scholar] [CrossRef] [PubMed]
- Wei, Q.; Xu, X.; Guo, L.; Li, J.; Li, L. Effect of SGLT2 inhibitors on type 2 diabetes mellitus with non-alcoholic fatty liver disease: A meta-analysis of randomized controlled trials. Front. Endocrinol. 2021, 12, 635556. [Google Scholar] [CrossRef] [PubMed]
- Pathak, M.P.; Pathak, K.; Saikia, R.; Gogoi, U.; Patowary, P.; Chattopadhyay, P.; Aparoop, D. Therapeutic potential of bioactive phytoconstituents found in fruits in the treatment of non-alcoholic fatty liver disease: A comprehensive review. Heliyon 2023, 9, e15347. [Google Scholar] [CrossRef]
- Newsome, P.N.; Buchholtz, K.; Cusi, K.; Linder, M.; Okanoue, T.; Ratziu, V.; Arun, J.S.; Anne-Sophie, S.; Stephen, A.H.M. A placebo-controlled trial of subcutaneous semaglutide in nonalcoholic steatohepatitis. N. Engl. J. Med. 2021, 384, 1113–1124. [Google Scholar] [CrossRef]
- Armstrong, M.J.; Gaunt, P.; Aithal, G.P.; Barton, D.; Hull, D.; Parker, R.; Hazlehurst, J.M.; Guo, K.; Abouda, G.; Aldersley, M.A. Liraglutide safety and efficacy in patients with non-alcoholic steatohepatitis (LEAN): A multicentre, double-blind, randomised, placebo-controlled phase 2 study. Lancet 2016, 387, 679–690. [Google Scholar] [CrossRef]
- Akuta, N.; Kawamura, Y.; Fujiyama, S.; Saito, S.; Muraishi, N.; Sezaki, H.; Hosaka, T.; Kobayashi, M.; Kobayashi, M.; Arase, Y. Favorable impact of long-term SGLT2 inhibitor for NAFLD complicated by diabetes mellitus: A 5-year follow-up study. Hepatol. Commun. 2022, 6, 2286–2297. [Google Scholar] [CrossRef]
- Stefano, J.T.; Duarte, S.M.B.; Ribeiro Leite Altikes, R.G.; Oliveira, C.P. Non-pharmacological management options for MAFLD: A practical guide. Ther. Adv. Endocrinol. Metab. 2023, 14, 20420188231160394. [Google Scholar] [CrossRef] [PubMed]
- Dwinata, M.; Putera, D.; Hasan, I.; Raharjo, M. SGLT2 inhibitors for improving hepatic fibrosis and steatosis in non-alcoholic fatty liver disease complicated with type 2 diabetes mellitus: A systematic review. Clin. Exp. Hepatol. 2020, 6, 339–346. [Google Scholar] [CrossRef] [PubMed]
- Wong, C.; Yaow, C.Y.L.; Ng, C.H.; Chin, Y.H.; Low, Y.F.; Lim, A.Y.L.; Muthiah, M.D.; Khoo, C.M. Sodium-glucose co-transporter 2 inhibitors for non-alcoholic fatty liver disease in asian patients with type 2 diabetes: A meta-analysis. Front. Endocrinol. 2021, 11, 609135. [Google Scholar] [CrossRef] [PubMed]
- Arai, T.; Atsukawa, M.; Tsubota, A.; Mikami, S.; Haruki, U.; Yoshikata, K.; Ono, H.; Kawano, T.; Yoshida, Y.; Tanabe, T. Antifibrotic effect and long-term outcome of SGLT2 inhibitors in patients with NAFLD complicated by diabetes mellitus. Hepatol. Commun. 2022, 6, 3073–3082. [Google Scholar] [CrossRef] [PubMed]
- Shimizu, M.; Suzuki, K.; Kato, K.; Jojima, T.; Iijima, T.; Murohisa, T.; Iijima, M.; Takekawa, H.; Usui, I.; Hiraishi, H. Evaluation of the effects of dapagliflozin, a sodium-glucose co-transporter-2 inhibitor, on hepatic steatosis and fibrosis using transient elastography in patients with type 2 diabetes and non-alcoholic fatty liver disease. Diabetes Obes. Metab. 2019, 21, 285–292. [Google Scholar] [CrossRef] [PubMed]
- Tobita, H.; Yazaki, T.; Kataoka, M.; Kotani, S.; Oka, A.; Mishiro, T.; Oshima, N.; Kawashima, K.; Ishimura, N.; Naora, K. Comparison of dapagliflozin and teneligliptin in nonalcoholic fatty liver disease patients without type 2 diabetes mellitus: A prospective randomized study. J. Clin. Biochem. Nutr. 2021, 68, 173–180. [Google Scholar] [CrossRef] [PubMed]
- Francque, S.; Szabo, G.; Abdelmalek, M.F.; Byrne, C.D.; Cusi, K.; Dufour, J.-F.; Roden, M.; Sacks, F.; Tacke, F. Nonalcoholic steatohepatitis: The role of peroxisome proliferator-activated receptors. Nat. Rev. Gastroenterol. Hepatol. 2021, 18, 24–39. [Google Scholar] [CrossRef]
- Grygiel-Górniak, B. Peroxisome proliferator-activated receptors and their ligands: Nutritional and clinical implications—A review. Nutr. J. 2014, 13, 17. [Google Scholar] [CrossRef]
- Kim, H.-I.; Ahn, Y.-H. Role of peroxisome proliferator-activated receptor-γ in the glucose-sensing apparatus of liver and β-cells. Diabetes 2004, 53, S60–S65. [Google Scholar] [CrossRef]
- Perumpail, B.J.; Cholankeril, R.; Yoo, E.R.; Kim, D.; Ahmed, A. An overview of dietary interventions and strategies to optimize the management of non-alcoholic fatty liver disease. Diseases 2017, 5, 23. [Google Scholar] [CrossRef]
- Vidal-Cevallos, P.; Sorroza-Martínez, A.P.; Chávez-Tapia, N.C.; Uribe, M.; Montalvo-Javé, E.E.; Nuño-Lámbarri, N. The Relationship between Pathogenesis and Possible Treatments for the MASLD-Cirrhosis Spectrum. Int. J. Mol. Sci. 2024, 25, 4397. [Google Scholar] [CrossRef]
- Francque, S.; Vonghia, L. Pharmacological treatment for non-alcoholic fatty liver disease. Adv. Ther. 2019, 36, 1052–1074. [Google Scholar] [CrossRef]
- Caturano, A.; Galiero, R.; Loffredo, G.; Vetrano, E.; Medicamento, G.; Acierno, C.; Rinaldi, L.; Marrone, A.; Salvatore, T.; Monda, M. Effects of a combination of empagliflozin plus metformin vs. metformin monotherapy on NAFLD progression in type 2 diabetes: The IMAGIN pilot study. Biomedicines 2023, 11, 322. [Google Scholar] [CrossRef] [PubMed]
- Hassen, G.; Singh, A.; Belete, G.; Jain, N.; De la Hoz, I.; Camacho-Leon, G.P.; Dargie, N.K.; Carrera, K.G.; Alemu, T.; Jhaveri, S.; et al. Nonalcoholic Fatty Liver Disease: An Emerging Modern-Day Risk Factor for Cardiovascular Disease. Cureus 2022, 14, e25495. [Google Scholar] [CrossRef] [PubMed]
- Hsu, C.C.; Ness, E.; Kowdley, K.V. Nutritional Approaches to Achieve Weight Loss in Nonalcoholic Fatty Liver Disease. Adv. Nutr. 2017, 8, 253–265. [Google Scholar] [CrossRef] [PubMed]
- Oh, S.; Tsujimoto, T.; Kim, B.; Uchida, F.; Suzuki, H.; Iizumi, S.; Isobe, T.; Sakae, T.; Tanaka, K.; Shoda, J. Weight-loss-independent benefits of exercise on liver steatosis and stiffness in Japanese men with NAFLD. JHEP Rep. Innov. Hepatol. 2021, 3, 100253. [Google Scholar] [CrossRef]
- Keating, S.E.; Sabag, A.; Hallsworth, K.; Hickman, I.J.; Macdonald, G.A.; Stine, J.G.; George, J.; Johnson, N.A. Exercise in the Management of Metabolic-Associated Fatty Liver Disease (MAFLD) in Adults: A Position Statement from Exercise and Sport Science Australia. Sports Med. 2023, 53, 2347–2371. [Google Scholar] [CrossRef]
- Machado, M.V. Aerobic Exercise in the Management of Metabolic Dysfunction Associated Fatty Liver Disease. Diabetes Metab. Syndr. Obes. Targets Ther. 2021, 14, 3627–3645. [Google Scholar] [CrossRef]
- Delfan, M. High-intensity interval training (HIIT) alleviated NAFLD feature via miR-122 induction in liver of high-fat high-fructose diet induced diabetic rats. Arch. Physiol. Biochem. 2018, 126, 242–249. [Google Scholar]
- Staufer, K.; Stauber, R.E. Steatotic Liver Disease: Metabolic Dysfunction, Alcohol, or Both? Biomedicines 2023, 11, 2108. [Google Scholar] [CrossRef]
- Vuille-Lessard, É.; Lange, N.; Riebensahm, C.; Dufour, J.-F.; Berzigotti, A. Dietary Interventions in Liver Diseases: Focus on MAFLD and Cirrhosis. Curr. Hepatol. Rep. 2021, 20, 61–76. [Google Scholar] [CrossRef]
- Bagheri, S.; Zolghadri, S.; Stanek, A. Beneficial Effects of Anti-Inflammatory Diet in Modulating Gut Microbiota and Controlling Obesity. Nutrients 2022, 14, 3985. [Google Scholar] [CrossRef]
- Stanek, A.; Brożyna-Tkaczyk, K.; Zolghadri, S.; Cholewka, A.; Myśliński, W. The Role of Intermittent Energy Restriction Diet on Metabolic Profile and Weight Loss among Obese Adults. Nutrients 2022, 14, 1509. [Google Scholar] [CrossRef]
- Stanek, A.; Grygiel-Górniak, B.; Brożyna-Tkaczyk, K.; Myśliński, W.; Cholewka, A.; Zolghadri, S. The Influence of Dietary Interventions on Arterial Stiffness in Overweight and Obese Subjects. Nutrients 2023, 15, 1440. [Google Scholar] [CrossRef] [PubMed]
- Ali, H.; Shahzil, M.; Moond, V.; Shahzad, M.; Thandavaram, A.; Sehar, A.; Waseem, H.; Siddiqui, T.; Dahiya, D.S.; Patel, P. Non-Pharmacological Approach to Diet and Exercise in Metabolic-Associated Fatty Liver Disease: Bridging the Gap between Research and Clinical Practice. J. Pers. Med. 2024, 14, 61. [Google Scholar] [CrossRef] [PubMed]
- Marchesini, G.; Petta, S.; Dalle Grave, R. Diet, weight loss, and liver health in nonalcoholic fatty liver disease: Pathophysiology, evidence, and practice. Hepatology 2016, 63, 2032–2043. [Google Scholar] [CrossRef] [PubMed]
- Kistler, K.D.; Brunt, E.M.; Clark, J.M.; Diehl, A.M.; Sallis, J.F.; Schwimmer, J.B.; Nash Crn Research Group. Physical activity recommendations, exercise intensity, and histological severity of nonalcoholic fatty liver disease. Off. J. Am. Coll. Gastroenterol. 2011, 106, 460–468. [Google Scholar] [CrossRef] [PubMed]
- El-Agroudy, N.N.; Kurzbach, A.; Rodionov, R.N.; O’Sullivan, J.; Roden, M.; Birkenfeld, A.L.; Pesta, D.H. Are lifestyle therapies effective for NAFLD treatment? Trends Endocrinol. Metabol. 2019, 30, 701–709. [Google Scholar] [CrossRef]
- Romero-Gómez, M.; Zelber-Sagi, S.; Trenell, M. Treatment of NAFLD with diet, physical activity and exercise. J. Hepatol. 2017, 67, 829–846. [Google Scholar] [CrossRef]
- Zhang, C.; Yang, M. Current options and future directions for NAFLD and NASH treatment. Int. J. Mol. Sci. 2021, 22, 7571. [Google Scholar] [CrossRef]
- Lin, S.; Huang, J.; Wang, M.; Kumar, R.; Liu, Y.; Liu, S.; Wu, Y.; Wang, X.; Zhu, Y. Comparison of MAFLD and NAFLD diagnostic criteria in real world. Liver Int. 2020, 40, 2082–2089. [Google Scholar] [CrossRef] [PubMed]
- Yamamura, S.; Eslam, M.; Kawaguchi, T.; Tsutsumi, T.; Nakano, D.; Yoshinaga, S.; Takahashi, H.; Anzai, K.; George, J.; Torimura, T. MAFLD identifies patients with significant hepatic fibrosis better than NAFLD. Liver Int. 2020, 40, 3018–3030. [Google Scholar] [CrossRef] [PubMed]
- Mantovani, A. MAFLD vs NAFLD: Where are we? Dig. Liver Dis. 2021, 53, 1368–1372. [Google Scholar] [CrossRef] [PubMed]
- Theofilis, P.; Vordoni, A.; Tsimihodimos, V.; Kalaitzidis, R.G. Metabolic dysfunction-associated fatty liver disease in newly diagnosed, treatment-naive hypertensive patients and its association with cardiorenal risk markers. High Blood Press. Cardiovasc. Prev. 2023, 30, 63–72. [Google Scholar] [CrossRef] [PubMed]
- Zelber-Sagi, S.; Grinshpan, L.S.; Ivancovsky-Wajcman, D.; Goldenshluger, A.; Gepner, Y. One size does not fit all; practical, personal tailoring of the diet to NAFLD patients. Liver Int. 2022, 42, 1731–1750. [Google Scholar] [CrossRef] [PubMed]
- Chai, X.-N.; Zhou, B.-Q.; Ning, N.; Pan, T.; Xu, F.; He, S.-H.; Chen, N.-N.; Sun, M. Effects of lifestyle intervention on adults with metabolic associated fatty liver disease: A systematic review and meta-analysis. Front. Endocrinol. 2023, 14, 1081096. [Google Scholar] [CrossRef] [PubMed]
- Gillespie, J. “You are what You eat”: The role of Dietary Macronutrients and Micronutrients in MaFlD. Clin. Liver Dis. 2021, 18, 67. [Google Scholar] [CrossRef] [PubMed]
- Schwimmer, J.B.; Ugalde-Nicalo, P.; Welsh, J.A.; Angeles, J.E.; Cordero, M.; Harlow, K.E.; Alazraki, A.; Durelle, J.; Knight-Scott, J.; Newton, K.P. Effect of a low free sugar diet vs usual diet on nonalcoholic fatty liver disease in adolescent boys: A randomized clinical trial. JAMA 2019, 321, 256–265. [Google Scholar] [CrossRef]
- Wu, Y.; Tan, Z.; Zhen, J.; Liu, C.; Zhang, J.; Liao, F.; Dong, W. Association between diet soft drink consumption and metabolic dysfunction-associated steatotic liver disease: Findings from the NHANES. BMC Public Health 2023, 23, 2286. [Google Scholar] [CrossRef]
- Sanders, F.W.; Acharjee, A.; Walker, C.; Marney, L.; Roberts, L.D.; Imamura, F.; Jenkins, B.; Case, J.; Ray, S.; Virtue, S. Hepatic steatosis risk is partly driven by increased de novo lipogenesis following carbohydrate consumption. Genome Biol. 2018, 19, 79. [Google Scholar] [CrossRef]
- Yki-Järvinen, H.; Luukkonen, P.K.; Hodson, L.; Moore, J.B. Dietary carbohydrates and fats in nonalcoholic fatty liver disease. Nat. Rev. Gastroenterol. Hepatol. 2021, 18, 770–786. [Google Scholar] [CrossRef] [PubMed]
- Hydes, T.; Alam, U.; Cuthbertson, D.J. The impact of macronutrient intake on non-alcoholic fatty liver disease (NAFLD): Too much fat, too much carbohydrate, or just too many calories? Front. Nutr. 2021, 8, 42. [Google Scholar] [CrossRef] [PubMed]
- Afsharfar, M.; Salimi, Z.; Aminnezhad Kavkani, B.; Shekari, S.; Abbastorki, S.; Majidi, N.; Gholamalizadeh, M.; Jarrahi, A.M.; Hajipour, A.; Shafaei, H. Association of nonalcoholic fatty liver disease with the different types of dietary carbohydrates: A cross-sectional study. J. Diabetes Metab. Disord. 2023, 22, 1139–1143. [Google Scholar] [CrossRef]
- Park, G.; Jung, S.; Wellen, K.E.; Jang, C. The interaction between the gut microbiota and dietary carbohydrates in nonalcoholic fatty liver disease. Exp. Mol. Med. 2021, 53, 809–822. [Google Scholar] [CrossRef] [PubMed]
- Hansen, C.D.; Gram-Kampmann, E.-M.; Hansen, J.K.; Hugger, M.B.; Madsen, B.S.; Jensen, J.M.; Olesen, S.; Torp, N.; Rasmussen, D.N.; Kjærgaard, M. Effect of calorie-unrestricted low-carbohydrate, high-fat diet versus high-carbohydrate, low-fat diet on type 2 diabetes and nonalcoholic fatty liver disease: A randomized controlled trial. Ann. Intern. Med. 2023, 176, 10–21. [Google Scholar] [CrossRef] [PubMed]
- Younossi, Z.M.; Henry, L. Fatty liver through the ages: Nonalcoholic steatohepatitis. Endocrinol. Pract. 2022, 28, 204–213. [Google Scholar] [CrossRef] [PubMed]
- Kord-Varkaneh, H.; Salehi-Sahlabadi, A.; Tinsley, G.M.; Santos, H.O.; Hekmatdoost, A. Effects of time-restricted feeding (16/8) combined with a low-sugar diet on the management of non-alcoholic fatty liver disease: A randomized controlled trial. Nutrition 2023, 105, 111847. [Google Scholar] [CrossRef]
- Angelidi, A.M.; Papadaki, A.; Nolen-Doerr, E.; Boutari, C.; Mantzoros, C.S. The effect of dietary patterns on non-alcoholic fatty liver disease diagnosed by biopsy or magnetic resonance in adults: A systematic review of randomised controlled trials. Metabolism 2022, 129, 155136. [Google Scholar] [CrossRef] [PubMed]
- Risi, R.; Tozzi, R.; Watanabe, M. Beyond weight loss in nonalcoholic fatty liver disease: The role of carbohydrate restriction. Curr. Opin. Clin. Nutr. Metab. Care 2021, 24, 349–353. [Google Scholar] [CrossRef]
- Khodami, B.; Hatami, B.; Yari, Z.; Alavian, S.M.; Sadeghi, A.; Varkaneh, H.K.; Santos, H.O.; Hekmatdoost, A. Effects of a low free sugar diet on the management of nonalcoholic fatty liver disease: A randomized clinical trial. Eur. J. Clin. Nutr. 2022, 76, 987–994. [Google Scholar] [CrossRef]
- Holmer, M.; Lindqvist, C.; Petersson, S.; Moshtaghi-Svensson, J.; Tillander, V.; Brismar, T.B.; Hagström, H.; Stål, P. Treatment of NAFLD with intermittent calorie restriction or low-carb high-fat diet–a randomised controlled trial. JHEP Rep. 2021, 3, 100256. [Google Scholar] [CrossRef] [PubMed]
- Drożdż, K.; Nabrdalik, K.; Hajzler, W.; Kwiendacz, H.; Gumprecht, J.; Lip, G.Y. Metabolic-associated fatty liver disease (MAFLD), diabetes, and cardiovascular disease: Associations with fructose metabolism and gut microbiota. Nutrients 2021, 14, 103. [Google Scholar] [CrossRef] [PubMed]
- Ciardullo, S.; Vergani, M.; Perseghin, G. Nonalcoholic fatty liver disease in patients with type 2 diabetes: Screening, diagnosis, and treatment. J. Clin. Med. 2023, 12, 5597. [Google Scholar] [CrossRef] [PubMed]
- Colosimo, S.; Tan, G.D.; Petroni, M.L.; Marchesini, G.; Tomlinson, J.W. Improved glycaemic control in patients with type 2 diabetes has a beneficial impact on NAFLD, independent of change in BMI or glucose lowering agent. Nutr. Metab. Cardiovasc. Dis. 2023, 33, 640–648. [Google Scholar] [CrossRef] [PubMed]
- Muthiah, M.; Ng, C.H.; Chan, K.E.; Fu, C.E.; Lim, W.H.; Tan, D.J.H.; Nah, B.; Kong, G.; Xiao, J.; Yong, J.N. Type 2 diabetes mellitus in metabolic-associated fatty liver disease vs. type 2 diabetes mellitus non-alcoholic fatty liver disease: A longitudinal cohort analysis. Ann. Hepatol. 2023, 28, 100762. [Google Scholar] [CrossRef] [PubMed]
- Huang, D.Q.; Noureddin, N.; Ajmera, V.; Amangurbanova, M.; Bettencourt, R.; Truong, E.; Gidener, T.; Siddiqi, H.; Majzoub, A.M.; Nayfeh, T. Type 2 diabetes, hepatic decompensation, and hepatocellular carcinoma in patients with non-alcoholic fatty liver disease: An individual participant-level data meta-analysis. Lancet Gastroenterol. Hepatol. 2023, 8, 829–836. [Google Scholar] [CrossRef] [PubMed]
- Chen, N.; Zhou, J.; Wang, K.; Li, X.; Li, Z. Non-obese or lean non-alcoholic fatty liver disease was associated with increased risk of cancer in patients with type 2 diabetes mellitus. BMJ Open Diabetes Res. Care 2023, 11, e003066. [Google Scholar] [CrossRef] [PubMed]
- Kasper, P.; Martin, A.; Lang, S.; Kuetting, F.; Goeser, T.; Demir, M.; Steffen, H.-M. NAFLD and cardiovascular diseases: A clinical review. Clin. Res. Cardiol. 2021, 110, 921–937. [Google Scholar] [CrossRef]
- Lee, H.; Lee, Y.-h.; Kim, S.U.; Kim, H.C. Metabolic dysfunction-associated fatty liver disease and incident cardiovascular disease risk: A nationwide cohort study. Clin. Gastroenterol. Hepatol. 2021, 19, 2138–2147.e10. [Google Scholar] [CrossRef]
- Zhang, P.; Dong, X.; Zhang, W.; Wang, S.; Chen, C.; Tang, J.; You, Y.; Hu, S.; Zhang, S.; Wang, C. Metabolic-associated fatty liver disease and the risk of cardiovascular disease. Clin. Res. Hepatol. Gastroenterol. 2023, 47, 102063. [Google Scholar] [CrossRef]
- Moon, J.H.; Jeong, S.; Jang, H.; Koo, B.K.; Kim, W. Metabolic dysfunction-associated steatotic liver disease increases the risk of incident cardiovascular disease: A nationwide cohort study. EClinicalMedicine 2023, 65, 102292. [Google Scholar] [CrossRef] [PubMed]
- Chehrehgosha, H.; Sohrabi, M.R.; Ismail-Beigi, F.; Malek, M.; Reza Babaei, M.; Zamani, F.; Ajdarkosh, H.; Khoonsari, M.; Fallah, A.E.; Khamseh, M.E. Empagliflozin improves liver steatosis and fibrosis in patients with non-alcoholic fatty liver disease and type 2 diabetes: A randomized, double-blind, placebo-controlled clinical trial. Diabetes Ther. 2021, 12, 843–861. [Google Scholar] [CrossRef] [PubMed]
- Han, E.; Lee, Y.-h.; Lee, B.-W.; Kang, E.S.; Cha, B.-S. Ipragliflozin additively ameliorates non-alcoholic fatty liver disease in patients with type 2 diabetes controlled with metformin and pioglitazone: A 24-week randomized controlled trial. J. Clin. Med. 2020, 9, 259. [Google Scholar] [CrossRef] [PubMed]
- Long, F.; Bhatti, M.R.; Kellenberger, A.; Sun, W.; Modica, S.; Höring, M.; Liebisch, G.; Krieger, J.-P.; Wolfrum, C.; Challa, T.D. A low-carbohydrate diet induces hepatic insulin resistance and metabolic associated fatty liver disease in mice. Mol. Metabol. 2023, 69, 101675. [Google Scholar] [CrossRef] [PubMed]
- Grandl, G.; Straub, L.; Rudigier, C.; Arnold, M.; Wueest, S.; Konrad, D.; Wolfrum, C. Short-term feeding of a ketogenic diet induces more severe hepatic insulin resistance than an obesogenic high-fat diet. J. Physiol. 2018, 596, 4597–4609. [Google Scholar] [CrossRef] [PubMed]
- Li, Y.; Yang, X.; Zhang, J.; Jiang, T.; Zhang, Z.; Wang, Z.; Gong, M.; Zhao, L.; Zhang, C. Ketogenic diets induced glucose intolerance and lipid accumulation in mice with alterations in gut microbiota and metabolites. MBio 2021, 12, e03601-20. [Google Scholar] [CrossRef] [PubMed]
- Mori, K.; Tanaka, M.; Hosaka, I.; Mikami, T.; Endo, K.; Hanawa, N.; Ohnishi, H.; Furuhashi, M. Metabolic dysfunction-associated fatty liver disease is associated with an increase in systolic blood pressure over time: Linear mixed-effects model analyses. Hypertens. Res. 2023, 46, 1110–1121. [Google Scholar] [CrossRef] [PubMed]
- Badmus, O.O.; Hinds Jr, T.D.; Stec, D.E. Mechanisms linking metabolic-associated fatty liver Disease (MAFLD) to Cardiovascular Disease. Curr. Hypertens. Rep. 2023, 25, 151–162. [Google Scholar] [CrossRef] [PubMed]
- Feng, Z.; Zhao, F.; Wang, Z.; Tang, X.; Xie, Y.; Qiu, L. The relationship between sarcopenia and metabolic dysfunction-associated fatty liver disease among the young and middle-aged populations. BMC Gastroenterol. 2024, 24, 111. [Google Scholar] [CrossRef]
- Zhou, T.; Ye, J.; Lin, Y.; Wang, W.; Feng, S.; Zhuo, S.; Zhong, B. Impact of skeletal muscle mass evaluating methods on severity of metabolic associated fatty liver disease in non-elderly adults. Br. J. Nutr. 2023, 130, 1373–1384. [Google Scholar] [CrossRef]
- Li, X.; Ma, W.; Yang, T.; Wang, C.; Zhang, W.; Li, H.; Zhao, T.; Guo, X. Higher intakes of lysine, threonine and valine are inversely associated with non-alcoholic fatty liver disease risk: A community-based case-control study in the Chinese elderly. Food Sci. Hum. Wellness 2024, 13, 191–197. [Google Scholar] [CrossRef]
- Yi, Y.; Wang, C.; He, J.; Chang, Y. Diet was less significant than physical activity in the prognosis of people with sarcopenia and metabolic dysfunction-associated fatty liver diseases: Analysis of the National Health and Nutrition Examination Survey III. Front. Endocrinol. 2023, 14, 1101892. [Google Scholar] [CrossRef] [PubMed]
- Khoo, J.; Hsiang, J.; Taneja, R.; Law, N.M.; Ang, T.L. Comparative effects of liraglutide 3 mg vs structured lifestyle modification on body weight, liver fat and liver function in obese patients with non-alcoholic fatty liver disease: A pilot randomized trial. Diabetes Obes. Metab. 2017, 19, 1814–1817. [Google Scholar] [CrossRef] [PubMed]
- Ristic-Medic, D.; Kovacic, M.; Takic, M.; Arsic, A.; Petrovic, S.; Paunovic, M.; Jovicic, M.; Vucic, V. Calorie-restricted Mediterranean and low-fat diets affect fatty acid status in individuals with nonalcoholic fatty liver disease. Nutrients 2020, 13, 15. [Google Scholar] [CrossRef] [PubMed]
- Zhang, L.; Chen, N.; Zhan, L.; Bi, T.; Zhou, W.; Zhang, L.; Zhu, L. Erchen Decoction alleviates obesity-related hepatic steatosis via modulating gut microbiota-drived butyric acid contents and promoting fatty acid β-oxidation. J. Ethnopharmacol. 2023, 317, 116811. [Google Scholar] [CrossRef] [PubMed]
- Zheng, M.; Yang, X.; Wu, Q.; Gong, Y.; Pang, N.; Ge, X.; Nagaratnam, N.; Jiang, P.; Zhou, M.; Hu, T. Butyrate Attenuates Hepatic Steatosis Induced by a High-Fat and Fiber-Deficient Diet via the Hepatic GPR41/43-CaMKII/HDAC1-CREB Pathway. Mol. Nutr. Food Res. 2023, 67, 2200597. [Google Scholar] [CrossRef] [PubMed]
- Tian, A.; Sun, Z.; Zhang, M.; Li, J.; Pan, X.; Chen, P. Associations between dietary fatty acid patterns and non-alcoholic fatty liver disease in typical dietary population: A UK biobank study. Front. Nutr. 2023, 10, 1117626. [Google Scholar] [CrossRef] [PubMed]
- Spooner, M.H.; Jump, D.B. Nonalcoholic fatty liver disease and omega-3 fatty acids: Mechanisms and clinical use. Annu. Rev. Nutr. 2023, 43, 199–223. [Google Scholar] [CrossRef]
- Chooi, Y.C.; Zhang, Q.A.; Magkos, F.; Ng, M.; Michael, N.; Wu, X.; Volchanskaya, V.S.B.; Lai, X.; Wanjaya, E.R.; Elejalde, U. Effect of an Asian-adapted Mediterranean diet and pentadecanoic acid on fatty liver disease: The TANGO randomized controlled trial. Am. J. Clin. Nutr. 2023, 119, 788–799. [Google Scholar] [CrossRef]
- Wu, W.; Kaicen, W.; Bian, X.; Yang, L.; Ding, S.; Li, Y.; Li, S.; Zhuge, A.; Li, L. Akkermansia muciniphila alleviates high-fat-diet-related metabolic-associated fatty liver disease by modulating gut microbiota and bile acids. Microb. Biotechnol. 2023, 16, 1924–1939. [Google Scholar] [CrossRef]
- Properzi, C.; O’Sullivan, T.A.; Sherriff, J.L.; Ching, H.L.; Jeffrey, G.P.; Buckley, R.F.; Tibballs, J.; MacQuillan, G.C.; Garas, G.; Adams, L.A. Ad libitum Mediterranean and low-fat diets both significantly reduce hepatic steatosis: A randomized controlled trial. Hepatology 2018, 68, 1741–1754. [Google Scholar] [CrossRef] [PubMed]
- Gepner, Y.; Shelef, I.; Komy, O.; Cohen, N.; Schwarzfuchs, D.; Bril, N.; Rein, M.; Serfaty, D.; Kenigsbuch, S.; Zelicha, H. The beneficial effects of Mediterranean diet over low-fat diet may be mediated by decreasing hepatic fat content. J. Hepatol. 2019, 71, 379–388. [Google Scholar] [CrossRef] [PubMed]
- Badmus, O.O.; Hillhouse, S.A.; Anderson, C.D.; Hinds, T.D., Jr.; Stec, D.E. Molecular mechanisms of metabolic associated fatty liver disease (MAFLD): Functional analysis of lipid metabolism pathways. Clin. Sci. 2022, 136, 1347–1366. [Google Scholar] [CrossRef] [PubMed]
- Hall, R.L.; George, E.S.; Tierney, A.C.; Reddy, A.J. Effect of dietary intervention, with or without cointerventions, on inflammatory markers in patients with nonalcoholic fatty liver disease: A systematic review and Meta-Analysis. Adv. Nutr. 2023, 14, 475–499. [Google Scholar] [CrossRef] [PubMed]
- George, E.S.; Forsyth, A.K.; Reddy, A.; Itsiopoulos, C.; Roberts, S.K.; Nicoll, A.J.; Ryan, M.C.; Tierney, A.C. A Mediterranean and low-fat dietary intervention in non-alcoholic fatty liver disease patients: Exploring participant experience and perceptions about dietary change. J. Hum. Nutr. Diet. 2023, 36, 592–602. [Google Scholar] [CrossRef] [PubMed]
- Eriksson, J.W.; Lundkvist, P.; Jansson, P.-A.; Johansson, L.; Kvarnström, M.; Moris, L.; Miliotis, T.; Forsberg, G.-B.; Risérus, U.; Lind, L. Effects of dapagliflozin and n-3 carboxylic acids on non-alcoholic fatty liver disease in people with type 2 diabetes: A double-blind randomised placebo-controlled study. Diabetologia 2018, 61, 1923–1934. [Google Scholar] [CrossRef] [PubMed]
- Abenavoli, L.; Gambardella, M.L.; Scarlata, G.G.M.; Lenci, I.; Baiocchi, L.; Luzza, F. The Many Faces of Metabolic Dysfunction-Associated Fatty Liver Disease Treatment: From the Mediterranean Diet to Fecal Microbiota Transplantation. Medicina 2024, 60, 563. [Google Scholar] [CrossRef] [PubMed]
- Tsitsou, S.; Cholongitas, E.; Bali, T.; Neonaki, A.; Poulia, K.-A.; Papakonstantinou, E. Effects of Time-Restricted Hypocaloric Mediterranean Diet in Patients with Non-Alcoholic Fatty Liver Disease: Preliminary Data from the CHRONO-NAFLD Project. Proceedings 2023, 91, 359. [Google Scholar]
- Milgrom, Y.; Massarwa, M.; Hazou, W.; Shafrir, A.; Mishraki, E.; Sanduka, S.; Safadi, R.; Benson, A. Ten-Hour Intermittent Fasting Plus Mediterranean Diet Versus Mediterranean Diet Alone for Treatment of Nonalcoholic Fatty Liver Disease (NAFLD). Harefuah 2024, 163, 93–96. [Google Scholar]
- Vázquez-Cuesta, S.; Lozano García, N.; Rodríguez-Fernández, S.; Fernández-Avila, A.I.; Bermejo, J.; Fernández-Avilés, F.; Muñoz, P.; Bouza, E.; Reigadas, E. Impact of the Mediterranean Diet on the Gut Microbiome of a Well-Defined Cohort of Healthy Individuals. Nutrients 2024, 16, 793. [Google Scholar] [CrossRef]
- Henry, A.; Paik, J.M.; Austin, P.; Eberly, K.E.; Golabi, P.; Younossi, I.; Henry, L.; Gerber, L.; Younossi, Z.M. Vigorous physical activity provides protection against all-cause deaths among adults patients with nonalcoholic fatty liver disease (NAFLD). Aliment. Pharmacol. Ther. 2023, 57, 709–722. [Google Scholar] [CrossRef] [PubMed]
- Chun, H.S.; Lee, M.; Lee, H.A.; Oh, S.Y.; Baek, H.J.; Moon, J.W.; Kim, Y.J.; Lee, J.; Kim, H.; Kim, H.Y.; et al. Association of physical activity with risk of liver fibrosis, sarcopenia, and cardiovascular disease in nonalcoholic fatty liver disease. Clin. Gastroenterol. Hepatol. 2023, 21, 358–369.e12. [Google Scholar] [CrossRef] [PubMed]
- Stine, J.G.; Long, M.T.; Corey, K.E.; Sallis, R.E.; Allen, A.M.; Armstrong, M.J.; David, E.C.; Daniel, J.C.; Andres, D.R.; Kate, H.; et al. American College of Sports Medicine (ACSM) International Multidisciplinary Roundtable report on physical activity and nonalcoholic fatty liver disease. Hepatol. Commun. 2023, 7, e0108. [Google Scholar] [CrossRef]
- Kisioglu, B.; Nergiz-Unal, R. The powerful story against cardiovascular diseases: Dietary factors. Food Rev. Int. 2018, 34, 713–745. [Google Scholar] [CrossRef]
- Kwok, C.S.; Gulati, M.; Michos, E.D.; Potts, J.; Wu, P.; Watson, L.; Loke, Y.K.; Mallen, C.; Mamas, M.A. Dietary components and risk of cardiovascular disease and all-cause mortality: A review of evidence from meta-analyses. Eur. J. Prev. Cardiol. 2019, 26, 1415–1429. [Google Scholar] [CrossRef]
- Castro-Barquero, S.; Ruiz-León, A.M.; Sierra-Pérez, M.; Estruch, R.; Casas, R. Dietary strategies for metabolic syndrome: A comprehensive review. Nutrients 2020, 12, 2983. [Google Scholar] [CrossRef]






| Research Background/Objectives and Stimuli for MAFLD | Target Group | Research Findings | Highlights (Effects on/and Contribution to MAFLD) | Ref. |
|---|---|---|---|---|
| To elucidate if overfeeding carbohydrates triggers de novo lipogenesis) DNL (and then HS) | Healthy young adults (n: 10) chosen for human experiments via direct infusion mass spectrometry (DI-MS) | A subset of triacylglycerols (TAGs) links with HS; in Western populations, HS is partly emanated from DNL after consuming a diet rich in carbohydrates | Compared to fasting, overfeeding carbs raises blood plasma levels of triacylglycerols (TAGs), with a change towards the formation of TAGs with shorter chains and fewer double bonds, suggesting a DNL-mediated conversion of carbs to TAGs, thus increasing the risk of HS. | [60] |
| To elucidate “fats-carbs” interaction and its contribution to intrahepatic triglyceride (IHTG) content | Evidence from humans; using data from stable isotope studies | Both glucose and fructose enhance content of IHTG | (A) Low-carbs-high-fat diets (with an excessive content of SFAs—saturated fatty acids) contribute more to an elevated IHTG content than high-carbs-low-fat diets. Refined carbs and free sugars enhance the risk of NAFLD. (B) SFAs and fructose exhibit the greatest contribution to elevated IHTG content Low intake of SFAs and strictly controlled use of added sugars (e.g., sugary beverages like soft sugared coffee and tea, soft drinks) can alleviate the content of IHTG | [61,62] |
| To explore the effects of various types of carbs on the occurrence of HS | Patients with NAFLD (n: 660; aged 35–70) (Data from Iran) | NAFLD is positively associated with total dietary carbs, i.e., higher content of carbs (regardless of their type) and links with worsened state of NAFLD | Compared to healthy individuals, patients with NAFLD consume more fructose and glucose. | [63] |
| To identify the effects of fructose, glucose, and fibers (as dietary carbs) and the gut microbiota on the occurrence of HS | Evidence from humans | Diets rich in carbs and mechanisms driven by microbial dysbiosis/metabolism trigger hepatic lipogenesis, thereby NAFLD | Metabolism of carbs can trigger and feed DNL, as diets rich in carbs elevate hepatic lipogenesis. Soluble fibers (e.g., insulin, pectin, β-glucan, etc.) produce short-chain FAs (SCFAs), and SCFAs are beneficial (e.g., anti-DM, anti-obesity, and anti-tumor effects). However, excess intake of soluble fibers may trigger hepatic lipogenesis (by delivering more acetate that feeds DNL. | [64] |
| To compare effects of low-carb-high-fat (LCHF) diet vs. high-carb-low-fat (HCLF) diet on the occurrence of T2DM and HS | T2DM patients (n:165; mean age: 56; 58% were females) (Data from Denmark from 6-month RCT and 3-month follow-up) | Glycemic control and weight loss are more visible in patients driving with LCHF (with unrestricted calories), compared to those inclined to HCLF. LCHF diet results in low LDL cholesterol content. NAFLD activity score (NAS) was improved by 2 or more points in 16 patients (on the LCHF diet) and 6 patients (on the HCLF diet), implying the efficacy of the LCHF diet in alleviating HS. | [65] | |
| Comparison of HS occurrence among children and adults | Evidence from the literature | The clinical and economic burden of HS is increasing globally. This condition adversely affects the quality of life in both groups. | NAFLD prevalence is 8 to 12% (among children) and 25 to 48% (among adults); in affected patients, NASH prevalence is 23% (among affected children) and 13 to 65% (among affected adults). These findings suggest a higher incidence of the disease with aging. | [66] |
| Study Protocol/Objectives and Intervention | Target Group | Findings | Highlights | Ref. |
|---|---|---|---|---|
| To explore the effects of merged “low-carb diet” plus “TRF (time-restricted feeding)” on HS | NAFLD patients attended an RCT for 84 days; Therapy plan: “low-carb-diet” + “TRF (8 h feeding/16 h fasting) (TRF 8/16)” (Data from Iran) | Diet low in sugar plus TRF is effective in reducing the occurrence of NAFLD | A significant decline in levels of adiposity (e.g., by decreasing BMI, body weight, body fat, WC) and an improvement in liver, inflammatory, and lipid markers. The rate of NAFLD did not decline, but the therapy plan is beneficial to patients by alleviating associated discomfort. | [67] |
| Comparing “a low-carb diet” with “a low-fat diet” and “MD” | Data from RCTs on human populations | Both MD and low-carb diets can potentially reduce hepatic fat content | In patients with NAFLD (but without T2DM and NASH), the hepatic fat content is much more reduced when adopting MD (compared to two other treatments) When excluding T2DM, MD comes with more noticeable benefits (in reducing TG and hepatic fat) than the two other treatments | [68] |
| Lipid metabolism modulation by low consumption of carbohydrates (to explore the hepatoprotective effects of low-fat diets) | Evidence from the literature on human populations | Carb restriction improves NAFLD | Adopting a ketosis diet (i.e., using <30 g/day carbs) improves NAFLD by inducing ketogenesis | [69] |
| Effects of low-free sugar diets on NAFLD | 43 overweight/obese patients with NAFLD | A diet low in free sugars markedly decreases levels of ALT, TG, TC, FBS, insulin, HOMA-IR, TNF-α, and NF-kb Alleviated HS and fibrosis, improved glycemic indices, and decreased levels of inflammation biomarkers | [70] | |
| RCT study of effects of intermittent fasting and low-carb high-fat (LCHF) diet on HS | 74 NAFLD patients (data from Sweden) | Both intermittent fasting (the 5:2 diet) and LCHF exert equal effects on decreasing HS and body weight The 5:2 diet outperforms the LCHF diet in reducing LDL cholesterol and liver stiffness The 5:2 diet is more tailored to NAFLD patients (particularly those with CDVs) | [71] | |
|
Study Protocol/
Intervention | Target Group | Highlights | Ref. |
|---|---|---|---|
| Assess different FA patterns in the treatment of HS | Participants from the UKB (age: 40 to 69) | A vegetarian diet rich in PUFAs (containing DHA (docosahexaenoic acids) and LA (Linoleic acid)) can alleviate simple HS, while a carnivore diet rich in PUFAs does not affect the disease (progression or control). | [97] |
| Explore the impacts of ω3 PUFAs on HS (regarding that low levels of C20–22 ω3 PUFAs contribute to disease progression) | Evidence from literature | A diet rich in C20–22 ω3 PUFA helps alleviate NAFLD severity, as it reduces hepatic injury and hepatosteatosis Tips:
| [98] |
| The usefulness of an MD rich in unsaturated FAs (UFAs) (with or without pentadecanoic acid (C15:0)) | An RCT targeting Chinese female patients with NAFLD (n: 88) |
| [99] |
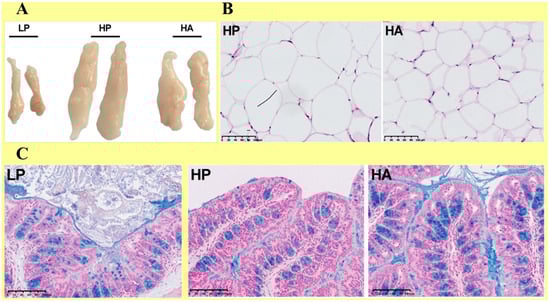
| Comparing the effects of various fat diets: (1) “HP (high fat)”, (2) “LP (low fat)”, and (3) “low fat with Akkermansia muciniphila (HA)” on HS in C57BL/6 mice in vivo | C57BL/6 mice (6-W old) |
| [100] |
Disclaimer/Publisher’s Note: The statements, opinions and data contained in all publications are solely those of the individual author(s) and contributor(s) and not of MDPI and/or the editor(s). MDPI and/or the editor(s) disclaim responsibility for any injury to people or property resulting from any ideas, methods, instructions or products referred to in the content. |
© 2024 by the authors. Licensee MDPI, Basel, Switzerland. This article is an open access article distributed under the terms and conditions of the Creative Commons Attribution (CC BY) license (https://creativecommons.org/licenses/by/4.0/).
Share and Cite
Beygi, M.; Ahi, S.; Zolghadri, S.; Stanek, A. Management of Metabolic-Associated Fatty Liver Disease/Metabolic Dysfunction-Associated Steatotic Liver Disease: From Medication Therapy to Nutritional Interventions. Nutrients 2024, 16, 2220. https://doi.org/10.3390/nu16142220
Beygi M, Ahi S, Zolghadri S, Stanek A. Management of Metabolic-Associated Fatty Liver Disease/Metabolic Dysfunction-Associated Steatotic Liver Disease: From Medication Therapy to Nutritional Interventions. Nutrients. 2024; 16(14):2220. https://doi.org/10.3390/nu16142220
Chicago/Turabian StyleBeygi, Mohammad, Salma Ahi, Samaneh Zolghadri, and Agata Stanek. 2024. "Management of Metabolic-Associated Fatty Liver Disease/Metabolic Dysfunction-Associated Steatotic Liver Disease: From Medication Therapy to Nutritional Interventions" Nutrients 16, no. 14: 2220. https://doi.org/10.3390/nu16142220
APA StyleBeygi, M., Ahi, S., Zolghadri, S., & Stanek, A. (2024). Management of Metabolic-Associated Fatty Liver Disease/Metabolic Dysfunction-Associated Steatotic Liver Disease: From Medication Therapy to Nutritional Interventions. Nutrients, 16(14), 2220. https://doi.org/10.3390/nu16142220

