6-Shogaol Mitigates Sepsis-Associated Hepatic Injury through Transcriptional Regulation
Abstract
1. Introduction
2. Materials and Methods
2.1. Reagents
2.2. Animals
2.3. Biochemical Analysis
2.4. Histological Analysis
2.5. RNA-Sequencing Detection
2.6. Bioinformatics Analysis
2.7. Cell Culture and Treatment
2.8. Quantitative Real-Time PCR Analysis for mRNA Expression
2.9. Western Blot Analysis for Protein Expression
2.10. Statistical Analysis
3. Results
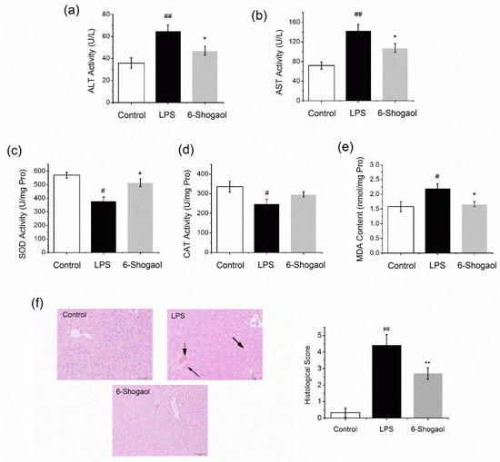
3.1. 6-Shogaol Improved Hepatic Function, Oxidative Stress, and Inflammation
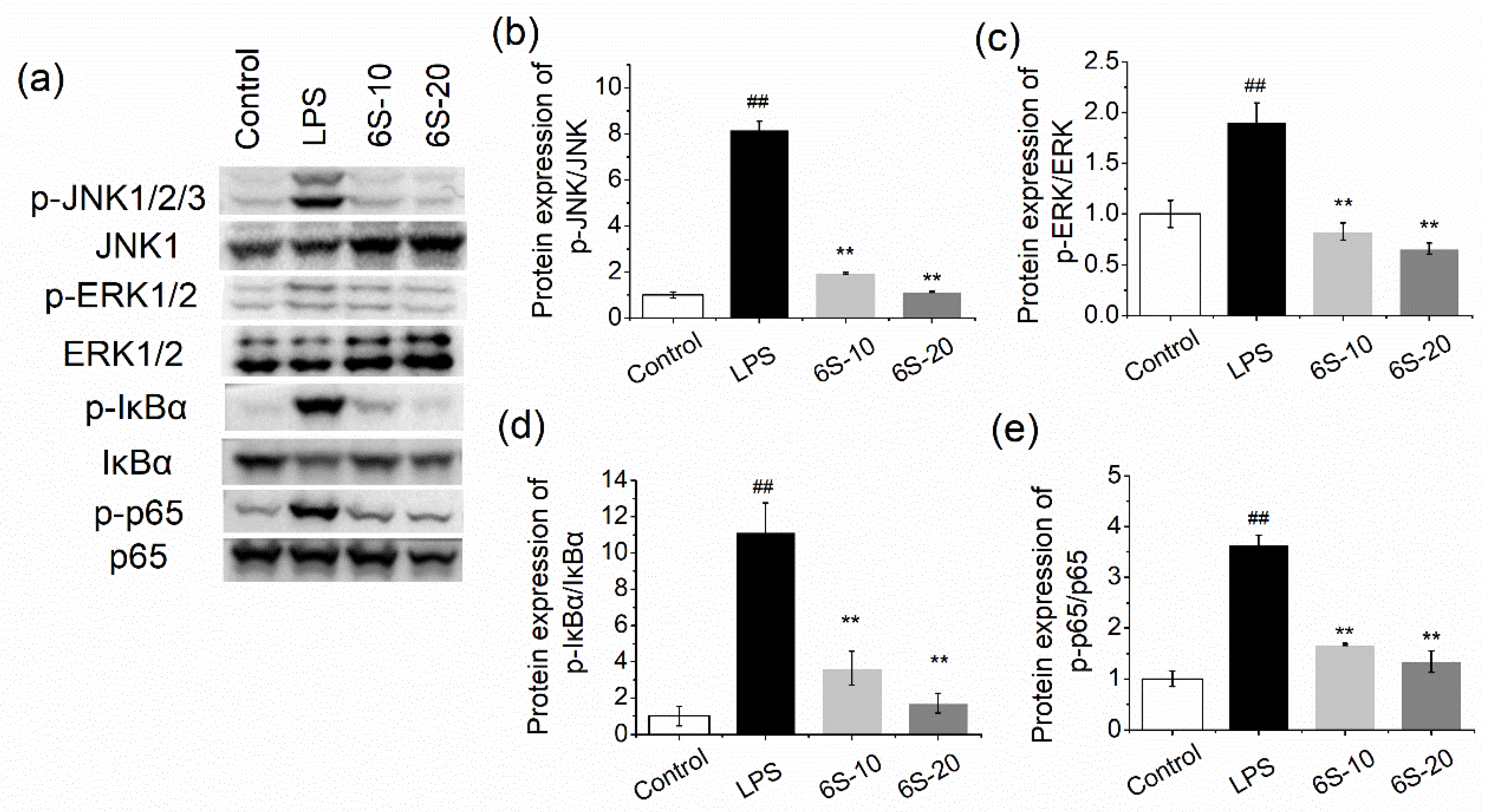
3.2. 6-Shogaol Suppressed MAPK/NFκB Pathway in the Liver
3.3. Transcriptional Response in the Liver after 6-Shogaol Treatment
3.4. Gene Functional Analysis
3.5. Protein–Protein Interaction (PPI) Network for the Overlapped Genes
3.6. 6-Shogaol Suppressed the mRNA Expression of Overlapped Genes in LPS-Induced BRL-3A Cells
3.7. 6-Shogaol Inhibited NFκB and MAPK Pathway in BRL-3A Cells
4. Discussion
5. Conclusions
Supplementary Materials
Author Contributions
Funding
Institutional Review Board Statement
Informed Consent Statement
Conflicts of Interest
References
- Juneja, D.; Nasa, P.; Singh, O. Severe sepsis and septic shock in the elderly: An overview. World J. Crit. Care Med. 2012, 1, 23–30. [Google Scholar] [CrossRef] [PubMed]
- Dondorp, A.M.; Rashan, H. Critical care and severe sepsis in resource poor settings. Trans. R. Soc. Trop. Med. Hyg. 2014, 8, 453–454. [Google Scholar] [CrossRef] [PubMed]
- Ran, Z.; Shc, B.; Gl, B.; Hlc, B.; Yxl, B.; Hmw, B.; Ywb, C.; Jing, F.A.; Jsh, B. Ultralow doses of dextromethorphan protect mice from endotoxin-induced sepsis-like hepatotoxicity. Chem. Biol. Interact. 2019, 303, 50–56. [Google Scholar]
- Xiong, X.; Ren, Y.; Cui, Y.; Li, R.; Wang, C.; Zhang, Y. Obeticholic acid protects mice against lipopolysaccharide-induced liver injury and inflammation. Biomed. Pharmacother. 2017, 96, 1292–1298. [Google Scholar] [CrossRef]
- Canabal, J.M.; Kramer, D.J. Management of sepsis in patients with liver failure. Curr. Opin. Crit. Care 2008, 14, 189–197. [Google Scholar] [CrossRef] [PubMed]
- Yan, J.; Li, S.; Li, S. The Role of the Liver in Sepsis. Int. Rev. Immunol. 2014, 33, 498–510. [Google Scholar] [CrossRef]
- Minemura, M. Liver involvement in systemic infection. World J. Hepatol. 2014, 6, 632–642. [Google Scholar] [CrossRef]
- Kramer, L.; Jordan, B.; Druml, W.; Bauer, P.; Metnitz, P.G.H. Incidence and prognosis of early hepatic dysfunction in critically ill patients—A prospective multicenter study. Crit. Care Med. 2007, 35, 1099-e7. [Google Scholar] [CrossRef]
- Van Der Poll, T.; Van De Veerdonk, F.L.; Scicluna, B.; Netea, F.L.V.D.V.M.G. The immunopathology of sepsis and potential therapeutic targets. Nat. Rev. Immunol. 2017, 17, 407–420. [Google Scholar] [CrossRef]
- Lantz, R.; Chen, G.; Sarihan, M.; Sólyom, A.; Jolad, S.; Timmermann, B. The effect of extracts from ginger rhizome on inflammatory mediator production. Phytomedicine 2007, 14, 123–128. [Google Scholar] [CrossRef]
- Manju, V.; Nalini, N. Chemopreventive efficacy of ginger, a naturally occurring anticarcinogen during the initiation, post-initiation stages of 1,2 dimethylhydrazine-induced colon cancer. Clin. Chim. Acta 2005, 358, 60–67. [Google Scholar] [CrossRef]
- Kikuzaki, H.; Nakatani, N. Antioxidant Effects of Some Ginger Constituents. J. Food Sci. 1993, 58, 1407–1410. [Google Scholar] [CrossRef]
- Li, F.; Nitteranon, V.; Tang, X.; Liang, J.; Zhang, G.; Parkin, K.L.; Hu, Q. In vitro antioxidant and anti-inflammatory activities of 1-dehydro-6-gingerdione, 6-shogaol, 6-dehydroshogaol and hexahydrocurcumin. Food Chem. 2012, 135, 332–337. [Google Scholar] [CrossRef] [PubMed]
- Sohn, Y.; Han, N.Y.; Lee, M.J.; Cho, H.J.; Jung, H.S. 6-Shogaol inhibits the production of proinflammatory cytokines via regulation of NF-κB and phosphorylation of JNK in HMC-1 cells. Immunopharmacol. Immunotoxicol. 2013, 35, 462–470. [Google Scholar] [CrossRef] [PubMed]
- Moon, M.; Kim, H.G.; Choi, J.G.; Oh, H.; Lee, P.K.; Ha, S.K.; Kim, S.Y.; Park, Y.; Huh, Y.; Oh, M.S. 6-Shogaol, an active constituent of ginger, attenuates neuroinflammation and cognitive deficits in animal models of dementia. Biochem. Biophys. Res. Commun. 2014, 449, 8–13. [Google Scholar] [CrossRef] [PubMed]
- Sabina, E.P.; Rasool, M.; Mathew, L.; EzilRani, P.; Indu, H. 6-Shogaol inhibits monosodium urate crystal-induced inflammation—An in vivo and in vitro study. Food Chem. Toxicol. 2010, 48, 229–235. [Google Scholar] [CrossRef] [PubMed]
- Pan, M.-H.; Hsieh, M.-C.; Hsu, P.-C.; Ho, S.-Y.; Lai, C.-S.; Wu, H.; Sang, S.; Ho, C.-T. 6-Shogaol suppressed lipopolysaccharide-induced up-expression of iNOS and COX-2 in murine macrophages. Mol. Nutr. Food Res. 2008, 52, 1467–1477. [Google Scholar] [CrossRef] [PubMed]
- Dugasani, S.; Pichika, M.R.; Nadarajah, V.D.V.; Balijepalli, M.K.; Tandra, S.; Korlakunta, J.N. Comparative antioxidant and anti-inflammatory effects of 6-gingerol, 8-gingerol, 10-gingerol and 6-shogaol. J. Ethnopharmacol. 2010, 127, 515–520. [Google Scholar] [CrossRef]
- Han, Q.; Yuan, Q.; Xie, G. 6-Shogaol attenuates LPS-induced inflammation in BV2 microglia cells by activating PPAR-γ. Oncotarget 2017, 8, 42001–42006. [Google Scholar] [CrossRef]
- Ha, S.K.; Moon, E.; Ju, M.S.; Kim, D.H.; Ryu, J.H.; Oh, M.S.; Kim, S.Y. 6-Shogaol, a ginger product, modulates neuroinflammation: A new approach to neuroprotection. Neuropharmacology 2012, 63, 211–223. [Google Scholar] [CrossRef]
- Das, M.; Das, S.; Lekli, I.; Das, D.K. Caveolin induces cardioprotection through epigenetic regulation. J. Cell. Mol. Med. 2012, 16, 888–895. [Google Scholar] [CrossRef]
- Galbois, A.; Thabut, D.; Moreau, R.; Lebrec, D. Neutralization of lipopolysaccharide effects in liver diseases, the quest for the holy grail. Hepatology 2011, 54, 376. [Google Scholar] [CrossRef]
- Zhong, W.; Qian, K.; Xiong, J.; Ma, K.; Wang, A.; Zou, Y. Curcumin alleviates lipopolysaccharide induced sepsis and liver failure by suppression of oxidative stress-related inflammation via PI3K/AKT and NF-κB related signaling. Biomed. Pharmacother. 2016, 83, 302–313. [Google Scholar] [CrossRef]
- Alsharif, K.F.; Almalki, A.A.; Al-Amer, O.; Mufti, A.H.; Theyab, A.; Lokman, M.S.; Ramadan, S.S.; Almeer, R.S.; Hafez, M.; Kassab, R.B.; et al. Oleuropein protects against lipopolysaccharide-induced sepsis and alleviates inflammatory responses in mice. IUBMB Life 2020, 72, 2121–2132. [Google Scholar] [CrossRef] [PubMed]
- Ajuwon, O.R.; Oguntibeju, O.O.; Marnewick, J.L. Amelioration of lipopolysaccharide-induced liver injury by aqueous rooibos (Aspalathus linearis) extract via inhibition of pro-inflammatory cytokines and oxidative stress. BMC Complement. Altern. Med. 2014, 14, 392. [Google Scholar] [CrossRef] [PubMed]
- Zapelini, P.H.; Rezin, G.T.; Cardoso, M.R.; Ritter, C.; Klamt, F.; Moreira, J.C.; Streck, E.L.; Dal-Pizzol, F. Antioxidant treatment reverses mitochondrial dysfunction in a sepsis animal model. Mitochondrion 2008, 8, 211–218. [Google Scholar] [CrossRef]
- Raval, C.M.; Zhong, J.L.; Mitchell, S.A.; Tyrrell, R.M. The role of Bach1 in ultraviolet A-mediated human heme oxygenase 1 regulation in human skin fibroblasts. Free Radic. Biol. Med. 2012, 52, 227–236. [Google Scholar] [CrossRef]
- Ruey-Horng, S.; Wang, C.Y.; Yang, C.M. NF-kappaB signaling pathways in Neurological inflammation: A mini review. Front. Mol. Neurosci. 2016, 8, 77. [Google Scholar]
- Han, B.H.; Lee, Y.J.; Yoon, J.J.; Choi, E.S.; Namgung, S.; Jin, X.J.; Jeong, D.H.; Kang, D.G.; Lee, H.S. Hwangryunhaedoktang exerts anti-inflammation on LPS-induced NO production by suppressing MAPK and NF-κB activation in RAW264.7 macrophages. J. Integr. Med. 2017, 15, 326–336. [Google Scholar] [CrossRef]
- Young-Joon, S.; Kyung-Soo, C.; Hyun-Ho, C.; Seong, S.H.; Sang, S.L. Molecular mechanisms underlying chemopreventive activities of anti-inflammatory phytochemicals: Down-regulation of COX-2 and iNOS through suppression of NF-kappa B activation. Mutat. Res. Fundam. Mol. Mech. Mutagenesis 2001, 480, 243–268. [Google Scholar]
- Asimakopoulou, A.; Weiskirchen, S.; Weiskirchen, R. Lipocalin 2 (LCN2) Expression in Hepatic Malfunction and Therapy. Front. Physiol. 2016, 7, 430. [Google Scholar] [CrossRef]
- Borkham-Kamphorst, E.; van de Leur, E.; Zimmermann, H.W.; Karlmark, K.R.; Tihaa, L.; Haas, U.; Tacke, F.; Berger, T.; Mak, T.W.; Weiskirchen, R. Protective effects of lipocalin-2 (LCN2) in acute liver injury suggest a novel function in liver homeostasis. Biochim. Biophys. Acta (BBA) Mol. Basis Dis. 2013, 1832, 660–673. [Google Scholar] [CrossRef]
- Lu, H.; Lei, X.; Zhang, Q. Moderate activation of IKK2-NF-kB in unstressed adult mouse liver induces cytoprotective genes and lipogenesis without apparent signs of inflammation or fibrosis. BMC Gastroenterol. 2015, 15, 94. [Google Scholar] [CrossRef]
- Mehta, S. The effects of nitric oxide in acute lung injury. Vasc. Pharmacol. 2005, 43, 390–403. [Google Scholar] [CrossRef] [PubMed]
- Moon, K.M.; Lee, B.; Jeong, J.W.; Kim, D.H.; Park, Y.J.; Kim, H.R.; Park, J.Y.; Kim, M.J.; An, H.J.; Lee, E.K.; et al. Thio-barbiturate-derived compounds are novel antioxidants to prevent LPS-induced inflammation in the liver. Oncotarget 2017, 8, 91662–91673. [Google Scholar] [CrossRef] [PubMed][Green Version]
- Hung, Y.-L.; Fang, S.-H.; Wang, S.-C.; Cheng, W.-C.; Liu, P.-L.; Su, C.-C.; Chen, C.-S.; Huang, M.-Y.; Hua, K.-F.; Shen, K.-H.; et al. Corylin protects LPS-induced sepsis and attenuates LPS-induced inflammatory response. Sci. Rep. 2017, 7, srep46299. [Google Scholar] [CrossRef] [PubMed]
- Lee, T.-Y.; Lee, K.-C.; Chen, S.-Y.; Chang, H.-H. 6-Gingerol inhibits ROS and iNOS through the suppression of PKC-α and NF-κB pathways in lipopolysaccharide-stimulated mouse macrophages. Biochem. Biophys. Res. Commun. 2009, 382, 134–139. [Google Scholar] [CrossRef]
- Wu, H.; Hsieh, M.-C.; Lo, C.-Y.; Bin Liu, C.; Sang, S.; Ho, C.-T.; Pan, M.-H. 6-Shogaol is more effective than 6-gingerol and curcumin in inhibiting 12-O -tetradecanoylphorbol 13-acetate-induced tumor promotion in mice. Mol. Nutr. Food Res. 2010, 54, 1296–1306. [Google Scholar] [CrossRef] [PubMed]
- Jia, Z.; Nallasamy, P.; Liu, D.; Shah, H.; Li, J.Z.; Chitrakar, R.; Si, H.; McCormick, J.; Zhu, H.; Zhen, W.; et al. Luteolin protects against vascular inflammation in mice and TNF-alpha-induced monocyte adhesion to endothelial cells via suppressing IΚBα/NF-κB signaling pathway. J. Nutr. Biochem. 2015, 26, 293–302. [Google Scholar] [CrossRef] [PubMed]
- Kim, I.; Moon, S.-O.; Kim, S.H.; Kim, H.J.; Koh, Y.S.; Koh, G.Y. Vascular Endothelial Growth Factor Expression of Intercellular Adhesion Molecule 1 (ICAM-1), Vascular Cell Adhesion Molecule 1 (VCAM-1), and E-selectin through Nuclear Factor-κB Activation in Endothelial Cells. J. Biol. Chem. 2001, 276, 7614–7620. [Google Scholar] [CrossRef]
- Feng, G.; Ohmori, Y.; Chang, P.-L. Production of chemokine CXCL1/KC by okadaic acid through the nuclear factor-κB pathway. Carcinogenesis 2005, 27, 43–52. [Google Scholar] [CrossRef]
- Tang, W.; Wang, W.; Zhang, Y.; Liu, S.; Liu, Y.; Zheng, D. Tumour necrosis factor-related apoptosis-inducing ligand (TRAIL)-induced chemokine release in both TRAIL-resistant and TRAIL-sensitive cells via nuclear factor kappa B. FEBS J. 2009, 276, 581–593. [Google Scholar] [CrossRef] [PubMed]
- Affo, S.; Morales-Ibanez, O.; Rodrigo-Torres, D.; Altamirano, J.; Blaya, D.; Dapito, D.H.; Millán, C.; Coll, M.; Caviglia, J.M.; Arroyo, V.; et al. CCL20 mediates lipopolysaccharide induced liver injury and is a potential driver of inflammation and fibrosis in alcoholic hepatitis. Gut 2014, 63, 1782–1792. [Google Scholar] [CrossRef] [PubMed]
- Chang, B.; Xu, M.-J.; Zhou, Z.; Cai, Y.; Li, M.; Wang, W.; Feng, D.; Bertola, A.; Wang, H.; Kunos, G.; et al. Short- or long-term high-fat diet feeding plus acute ethanol binge synergistically induce acute liver injury in mice: An important role for CXCL1. Hepatology 2015, 62, 1070–1085. [Google Scholar] [CrossRef]
- Giebeler, A.; Streetz, K.L.; Soehnlein, O.; Neumann, U.; Wang, J.M.; Brandenburg, L.-O. Deficiency of Formyl Peptide Receptor 1 and 2 Is Associated with Increased Inflammation and Enhanced Liver Injury after LPS-Stimulation. PLoS ONE 2014, 9, e100522. [Google Scholar] [CrossRef]
- Yang, W.; Liu, L.; Li, C.; Luo, N.; Chen, R.; Yu, F.; Cheng, Z. TRIM52 plays an oncogenic role in ovarian cancer associated with NF-kB pathway. Cell Death Dis. 2018, 9, 1–14. [Google Scholar] [CrossRef]
- Zhang, M.; Xue, Y.; Chen, H.; Meng, L.; Chen, B.; Gong, H.; Zhao, Y.; Qi, R. Resveratrol Inhibits MMP3 and MMP9 Expression and Secretion by Suppressing TLR4/NF-κB/STAT3 Activation in Ox-LDL-Treated HUVECs. Oxidative Med. Cell. Longev. 2019, 2019, 1–15. [Google Scholar] [CrossRef]
- Yan, H.; Wang, Y.; Shen, S.; Wu, Z.; Wan, P. Corticosteroids effects on LPS-induced rat inflammatory keratocyte cell model. PLoS ONE 2017, 12, e0176639. [Google Scholar] [CrossRef]
- Zhang, H.; Liu, L.; Jiang, C.; Pan, K.; Deng, J.; Wan, C. MMP9 protects against LPS-induced inflammation in osteoblasts. Innate Immun. 2019, 26, 259–269. [Google Scholar] [CrossRef] [PubMed]







| Genes | Primer Sequences |
|---|---|
| Mus musculus | |
| Lcn2 | F: GGGCTGTCGCTACTGGAT |
| R: TTGGTATGGTGGCTGGTG | |
| Nos2 | F: ACATGCAGAATGAGTACCGG |
| R: TCAACATCTCCTGGTGGAAC | |
| Ccl20 | F: ACTGTTGCCTCTCGTACATACA R: GAGGAGGTTCACAGCCCTTTT |
| Cxcl1 | F: TGGCTGGGATTCACCTCAAGA R: TGTGGCTATGACTTCGGTTTGG |
| Mmp9 | F: AAGGGTACAGCCTGTTCCTGGT R: CTGGATGCCGTCTATGTCGTCT |
| Vcam1 | F: CTGGGAAGCTGGAACGAAGT R: GCCAAACACTTGACCGTGAC |
| Sele | F: TCAACTTGAGTGCACATCTCAGG |
| R: TGATTGAAGGCT TTGGCAGCT | |
| Ptgs2 | F: CAATACTGGAAGCCGAGCAC |
| R: CAGCTCAGTTGAACGCCTTT | |
| β-actin | F: GTGACGTTGACATCCGTAAAGA |
| R: GCCGGACTCATCGTACTCC | |
| Usp50 | F: GCCTACTACAACCTTGCGGAG R: TCCACCAGTGGAGATACGCT |
| Rattus norvegicus | |
| Lcn2 | F: GATTCGTCAGCTTTGCCAAGT |
| R: CATTGGTCGGTGGGAACAG | |
| Nos2 | F: GATCAATAACCTGAAGCCCG |
| R: GCCCTTTTTTGCTCCATAGG | |
| Ccl20 | F: CACTGAGCAGATCAATTCCTGGAG R: TGTACGTGAGGCAGCAGTCAAAG |
| Cxcl1 | F: AAATGGTGAAGGTCGGTGTGAAC R: CAACAATCTCCACTTTGCCACTG |
| Mmp9 | F: TCGAAGGCG ACCTCAAGTG |
| R: TTCGGTGTAGCTT TGGATCCA | |
| Vcam1 | F: GTATACGAGTGTGAATCGAAAACCG R: CAAGGAGTTCAGGGGAAAAATAGTC |
| Sele | F: TCAACTTGAGTGCACATCTCAGG |
| R: TGATTGAAGGCT TTGGCAGCT | |
| Ptgs2 | F: TTCGGGAGCACAACAGAGTG |
| R: TGAAGTGGTAACCGCTCAGG | |
| Usp50 | F: GTGCCTACTACATCCTTGCG R: CATGTAGCAGGTGTTGCCCA |
| β-actin | F: GTGACGTTGACATCCGTAAAGA |
| R: GCCGGACTCATCGTACTCC |
| Gene Name | LPS vs. Control | 6-Shogaol vs. LPS | ||
|---|---|---|---|---|
| FoldChange | q Value | FoldChange | q Value | |
| Lcn2 | 785.327 | 0.000 | 0.382 | 0.000 |
| Pcdhgb2 | 88.845 | 0.000 | 0.016 | 0.000 |
| Nos2 | 63.652 | 0.000 | 0.630 | 0.019 |
| Ccl20 | 45.973 | 0.000 | 0.489 | 0.000 |
| Cxcl1 | 38.367 | 0.000 | 0.652 | 0.000 |
| Mmp9 | 9.272 | 0.000 | 0.356 | 0.000 |
| Stab1 | 7.088 | 0.000 | 0.477 | 0.000 |
| Vcam1 | 4.968 | 0.000 | 0.649 | 0.000 |
| Nfkbie | 3.755 | 0.000 | 0.659 | 0.004 |
| Samsn1 | 3.450 | 0.045 | 0.287 | 0.002 |
| Aqp3 | 2.911 | 0.000 | 0.602 | 0.001 |
| Stap2 | 2.782 | 0.000 | 0.564 | 0.000 |
| Cfap69 | 2.532 | 0.000 | 0.420 | 0.014 |
| Abcb1a | 2.412 | 0.001 | 0.434 | 0.003 |
| Sele | 2.304 | 0.000 | 0.439 | 0.000 |
| Dock10 | 2.248 | 0.000 | 0.603 | 0.005 |
| Plek2 | 2.219 | 0.000 | 0.659 | 0.000 |
| Itga2 | 2.153 | 0.000 | 0.441 | 0.000 |
| Lif | 2.055 | 0.000 | 0.588 | 0.000 |
| Gfra2 | 2.041 | 0.000 | 0.616 | 0.002 |
| Ptgs2 | 1.984 | 0.000 | 0.406 | 0.000 |
| Khdrbs2 | 1.861 | 0.038 | 0.449 | 0.001 |
| Clvs1 | 1.801 | 0.013 | 0.611 | 0.041 |
| Nlrp3 | 1.759 | 0.000 | 0.583 | 0.001 |
| Lbp | 1.707 | 0.001 | 0.655 | 0.004 |
| Neurl1a | 1.686 | 0.007 | 0.620 | 0.009 |
| Osmr | 1.644 | 0.000 | 0.649 | 0.000 |
| AA467197 | 1.640 | 0.016 | 0.322 | 0.000 |
| Ceacam16 | 1.634 | 0.009 | 0.569 | 0.005 |
| Ptgs2os | 1.616 | 0.011 | 0.645 | 0.022 |
| Rnd1 | 1.590 | 0.000 | 0.604 | 0.000 |
| Stx11 | 1.584 | 0.000 | 0.657 | 0.000 |
| Zhx2 | 1.535 | 0.001 | 0.571 | 0.000 |
| Zfpm2 | 1.533 | 0.020 | 0.656 | 0.014 |
| Repin1 | 1.514 | 0.013 | 0.384 | 0.001 |
| Dock10 | 2.248 | 0.000 | 0.603 | 0.005 |
| Rpa1 | 0.618 | 0.029 | 1.628 | 0.000 |
| Pgam5 | 0.594 | 0.000 | 1.505 | 0.008 |
| Mcam | 0.583 | 0.043 | 1.595 | 0.041 |
| Nfatc2 | 0.539 | 0.001 | 1.703 | 0.000 |
| Usp50 | 0.205 | 0.000 | 5.262 | 0.027 |
| KEGG Pathway Name | Genes Enriched in Pathway | p Value |
|---|---|---|
| TNF signaling pathway | Ccl20, Cxcl1, Mmp9, Vcam1, Sele, Lif, Ptgs2, Pgam5 | 0.000 |
| NFκB signaling pathway | Vcam1, Ptgs2, Lbp | 0.002 |
| Cytokine–cytokine receptor interaction | Ccl20, Cxcl1, Lif, Osmr | 0.006 |
| VEGF signaling pathway | Ptgs2, Nfatc2 | 0.012 |
| B cell receptor signaling pathway | Nfkbie, Nfatc2 | 0.015 |
| T cell receptor signaling pathway | Nfkbie, Nfatc2 | 0.035 |
| Leukocyte transendothelial migration | Mmp9, Vcam1 | 0.042 |
Publisher’s Note: MDPI stays neutral with regard to jurisdictional claims in published maps and institutional affiliations. |
© 2021 by the authors. Licensee MDPI, Basel, Switzerland. This article is an open access article distributed under the terms and conditions of the Creative Commons Attribution (CC BY) license (https://creativecommons.org/licenses/by/4.0/).
Share and Cite
Guo, X.; Qiu, J.; Qian, Y. 6-Shogaol Mitigates Sepsis-Associated Hepatic Injury through Transcriptional Regulation. Nutrients 2021, 13, 3427. https://doi.org/10.3390/nu13103427
Guo X, Qiu J, Qian Y. 6-Shogaol Mitigates Sepsis-Associated Hepatic Injury through Transcriptional Regulation. Nutrients. 2021; 13(10):3427. https://doi.org/10.3390/nu13103427
Chicago/Turabian StyleGuo, Xiaoxuan, Jing Qiu, and Yongzhong Qian. 2021. "6-Shogaol Mitigates Sepsis-Associated Hepatic Injury through Transcriptional Regulation" Nutrients 13, no. 10: 3427. https://doi.org/10.3390/nu13103427
APA StyleGuo, X., Qiu, J., & Qian, Y. (2021). 6-Shogaol Mitigates Sepsis-Associated Hepatic Injury through Transcriptional Regulation. Nutrients, 13(10), 3427. https://doi.org/10.3390/nu13103427

