Home Parenteral Nutrition in Patients with Intestinal Failure: Possible Undetected Complications
Abstract
1. Introduction
2. Patients and Methods
3. Statistical Analysis
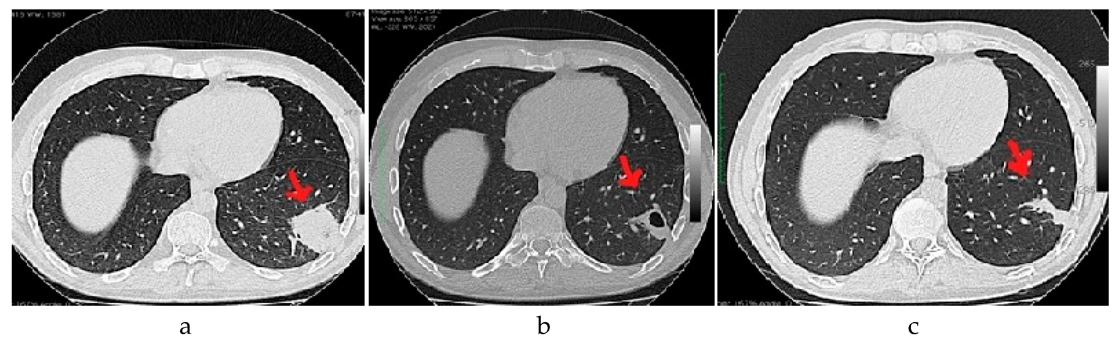
4. Results
Outcomes
5. Discussion
Author Contributions
Funding
Conflicts of Interest
References
- Bonifacio, R.; Alfonsi, L.; Santarpia, L.; Orban, A.; Celona, A.; Negro, G.; Pasanisi, F.; Contaldo, F. Clinical outcome of long-term home parenteral nutrition in non-oncological patients: A report from two specialised centres. Intern. Emerg. Med. 2007, 2, 188–195. [Google Scholar] [CrossRef] [PubMed]
- Raman, M.; Gramlich, L.; Whittaker, S.; Allard, J.P. Canadian home total parenteral nutrition registry: Preliminary data on the patient population. Can. J. Gastroenterol. 2007, 21, 643–648. [Google Scholar] [CrossRef] [PubMed]
- Santarpia, L.; Buonomo, A.; Pagano, M.C.; Alfonsi, L.; Foggia, M.; Mottola, M.; Marinosci, G.Z.; Contaldo, F.; Pasanisi, F. Central venous catheter related bloodstream infections in adult patients on home parenteral nutrition: Prevalence, predictive factors, therapeutic outcome. Clin. Nutr. 2016, 35, 1394–1398. [Google Scholar] [CrossRef] [PubMed]
- Santarpia, L.; Alfonsi, L.; Tiseo, D.; Alfonsi, L.; Foggia, M.; Mottola, M.; Marinoscid, G.Z.; Contaldoa, F.; Pasanisia, F. Central venous catheter infections and antibiotic therapy during long-term home parenteral nutrition: An 11-year follow-up study. JPEN J. Parenter Enter. Nutr. 2010, 34, 254–262. [Google Scholar] [CrossRef] [PubMed]
- Gillanders, L.; Angstmann, K.; Ball, P.; O’Callaghan, M.; Thomson, A.; Wong, T.; Thomas, M. A prospective study of catheter-related complications in HPN patients. Clin. Nutr. 2012, 31, 30–34. [Google Scholar] [CrossRef] [PubMed]
- Goswami, U.; Brenes, J.A.; Punjabi, G.V.; Le Claire, M.M.; Williams, D.N. Associations and outcomes of septic pulmonary embolism. Open Respir. Med. J. 2014, 8, 28–33. [Google Scholar] [CrossRef] [PubMed]
- Lee, S.J.; Cha, S.I.; Kim, C.H.; Park, J.Y.; Jung, T.H.; Jeon, K.N.; Kim, G.W. Septic pulmonary embolism in Korea: Microbiology, clinicoradiologic features, and treatment outcome. J. Infect. 2007, 54, 230–234. [Google Scholar] [CrossRef] [PubMed]
- Santarpia, L.; Pasanisi, F.; Alfonsi, L.; Violante, G.; Tiseo, D.; De Simone, G.; Contaldo, F. Prevention and treatment of implanted central venous catheter (CVC)-related sepsis: A report after six years of home parenteral nutrition (HPN). Clin. Nutr. 2002, 21, 207–211. [Google Scholar] [CrossRef] [PubMed]
- Van Gossum, A.; Vahedi, K.; Abdel-Malik; Staun, M.; Pertkiewicz, M.; Shaffer, J.; Hebuterne, X.; Beau, P.; Guedon, C.; Schmit, A.; et al. Clinical, social and rehabilitation status of long-term home parenteral nutrition patients: Results of a European multicentre survey. Clin. Nutr. 2001, 20, 205–210. [Google Scholar] [CrossRef] [PubMed]
- Garnacho-Montero, J.; Aldab_o-Pall_as, T.; Palomar-Martínez, M.; Vallés, J.; Almirante, B.; Garcés, R.; Grill, F.; Pujol, M.; Arenas-Giménez, C.; Mesalles, E.; et al. Risk factors and prognosis of catheter related bloodstream infection in critical ill patients: A multicenter study. Intensive Care Med. 2008, 34, 2185–2193. [Google Scholar] [CrossRef] [PubMed]
- Liu, C.; Bayer, A.; Cosgrove, S.E.; Daum, R.S.; Fridkin, S.K.; Gorwitz, R.J.; Kaplan, S.L.; Karchmer, A.W.; Levine, D.P.; Murray, B.E.; et al. Clinical practice guidelines by the Infectious Diseases Society of America for the treatment of methicillin-resistant Staphylococcus aureus infections in adults and children. Clin. Infect. Dis. 2011, 52, e18–e55. [Google Scholar] [CrossRef] [PubMed]
- Steenbergen, J.N.; Mohr, J.F.; Thorne, G.M. Effects of daptomycin in combination with other antimicrobial agents: A review of in vitro and animal model studies. J. Antimicrob. Chemother. 2009, 64, 1130–1138. [Google Scholar] [CrossRef] [PubMed]
- Silverman, J.A.; Mortin, L.I.; Vanpraagh, A.D.; Li, T.; Alder, J. Inhibition of daptomycin by pulmonary surfactant: In vitro modeling and clinical impact. J. Infect. Dis. 2005, 191, 2149–2152. [Google Scholar] [CrossRef] [PubMed]
- Mermel, L.A.; Allon, M.; Bouza, E.; Craven, D.E.; Flynn, P.; O’Grady, N.P.; Raad, I.I.; Rijnders, B.J.; Sherertz, R.J.; Warren, D.K. Clinical practice guidelines for the diagnosis and management of intravascular catheter-related infection: 2009 Update by the Infectious Diseases Society of America. Clin. Infect. Dis. 2009, 49, 1–45. [Google Scholar] [CrossRef] [PubMed]
- Høiby, N.; Bjarnsholt, T.; Moser, C.; Bassi, G.L.; Coenye, T.; Donelli, G.; Hall-Stoodley, L.; Holá, V.; Imbert, C.; Kirketerp-Møller, K.; et al. ESCMID Study Group for Biofilms and Consulting External Expert Werner Zimmerli. ESCMID guideline for the diagnosis and treatment of biofilm infections 2014. Clin. Microbiol. Infect. 2015, 21 (Suppl. 1), S1–S25. [Google Scholar] [CrossRef] [PubMed]
- Pittiruti, M.; Hamilton, H.; Biffi, R.; MacFie, J.; Pertkiewicz, M. ESPEN Guidelines on Parenteral Nutrition: Central venous catheters (access, care, diagnosis and therapy of complications). Clin. Nutr. 2009, 28, 365–377. [Google Scholar] [CrossRef] [PubMed]
- Cook, R.J.; Ashton, R.W.; Aughenbaugh, G.L.; Ryu, J.H. Septic pulmonary embolism: Presenting features and clinical course of 14 patients. Chest 2005, 128, 162–166. [Google Scholar] [CrossRef] [PubMed]
- Bond, A.; Teubner, A.; Taylor, M.; Cawley, C.; Abraham, A.; Dibb, M.; Chadwick, P.R.; Soop, M.; Carlson, G.; Lal, S. Assessing the impact of quality improvement measures on catheter related blood stream infections and catheter salvage: Experience from a national intestinal failure unit. Clin. Nutr. 2018, 37, 2097–2101. [Google Scholar] [CrossRef] [PubMed]
- Huang, R.M.; Naidich, D.P.; Lubat, E.; Schinella, R.; Garay, S.M.; Mc Cauley, D.I. Septic pulmonary emboli: CT-radiographic correlation. AJR Am. J. Roentgenol. 1989, 153, 41–45. [Google Scholar] [CrossRef] [PubMed]
- Iwasaki, Y.; Nagata, K.; Nakanishi, M.; Natuhara, A.; Harada, H.; Kubota, Y.; Yokomura, I.; Hashimoto, S.; Nakagawa, M. Spiral CT findings in septic pulmonary emboli. Eur. J. Radiol. 2001, 37, 190–194. [Google Scholar] [CrossRef]

| Patients’ Characteristics | |
| Sex, n (%) | |
| Males | 7/15 (46.7%) |
| Females | 8/15 (53.3%) |
| Age (years) median (IQR) | 57 (23–79) |
| Days of catheterization, total, median (IQR) | 14,552, 1000, (90–2060) |
| Days of HPN, median (IQR) | 13,211, 870 (90–1526) |
| HPN Frequency, Days (%) | |
| 7 days per week | 12/15 (80%) |
| 5 days per week | 2/15 (13.3%) |
| 3 days per week | 1/15 (6.7%) |
| Previous CVC Insertion, n (%) | 13/15 (86.7%) |
| Previous CRBSI, n (%) | 13/15 (86.7%) |
| Previous CRBSI on the same CVC, n (%) | 7/13 (53.8%) |
| Intestinal Diseases, n (%) | |
| Intestinal infarction | 6/15 (35.3%) |
| Crohn disease | 4/15 (26.7%) |
| Intestinal volvulus | 2/15 (11.8%) |
| Radiation enteritis | 2/15 (11.8%) |
| Whipple resection | 1/15 (6.7%) |
| Length of Residual Bowel, n (%) | |
| <50 cm | 8/15 (53.3%) |
| 50–100 cm | 5/15 (33.3%) |
| >100 ≤ 200 cm | 2/15 (11.8%) |
| Ileostomy, n (%) | 5/15 (33.3%) |
| Length of Colon in Continuity, n (%) | |
| 70% (no ileocecal valve) | 7/10 (70%) |
| 100% | 3/10 (30%) |
| Comorbidities, n (%) | |
| Respiratory diseases | 0 |
| Chronic deep vein thrombosis | 6/15 (35.3%) |
| Chronic kidney disease | 2/15 (11.8%) |
| Hypertension | 4/15 (26.7%) |
| Peripheral artery disease | 1/15 (5.9%) |
| Type of Infected Catheter, n (%) | |
| Hickman tunneled (long term) | 10/23 (43.5%) |
| PICC (short term) | 11/23 (47.8%) |
| Non-tunneled CVC (short term) | 2/23 (8.7%) |
| Reported Symptoms | |
| Strictly related to CRBSI | 20 (87%) |
| Not related to CRBSI | 3 (13%) |
| Positive Chest CT Scan, n (%) | 10/23 (43.5%) |
| Antibiotic Lock Therapy, n | 8 (7 successful) |
| CVC Removal, n (%) | 15/23 (65.2%) |
| Hospital Length-of-Stay (Days) Median (IQR) | 15.5 (10.25–28) |
| Infecting Agents Type and (n) | Drug Combinations | Treated Patients (n) | CT-Scan Positive for SPE (n) |
|---|---|---|---|
| MRSE, vancomycin MIC > 1 (1) | Tigecyclin + Teicoplanin | 1 | 0 |
| MRSE (4), CoNs (4) | Daptomycin + Rifampicin | 8 | 0 |
| MRSE vancomycin MIC > 1 (2) | Linezolid + ciprofloxacin | 2 | 2 |
| Methicillin-resistant S. aureus (MRSA) (2) | Linezolid + Piperacillin-tazobactam | 2 | 2 |
| Methicillin-resistant S. aureus (MRSA) (1) | Levofloxacin + Ceftobiprole | 1 | 1 |
| Kocuria kristinae (1) | Linezolid + Ciprofloxacin | 1 | 1 |
| S. haemoliticus + Citrobacter freundii (1) | Levofloxacin + Ceftriaxone | 1 | 1 |
| S. epidermidis (1) | Teicoplanin + Tigeciclin | 1 | 1 |
| S. chromogenes (1) | Piperacillin-tazobactam + Rifampicin | 1 | 1 |
| EBSL-producing Pseudomonas aeruginosa (1) | Gentamicin + Ceftazidime | 1 | 1 |
| Proteus mirabilis (1), Enterobacter cloacae (1), CoNs (1), MRSE + Enterococcus fecalis (1) | Others | 4 | 0 |
| Pts | Isolated Pathogens | Non-Nodular Infiltrates | Nodular Opacities | Bilateral Abnormalities | Subpleural Opacities | Cavitations | Pleural Involvment | Pleural Effusion |
|---|---|---|---|---|---|---|---|---|
| A | MRSE, vancomycin MIC > 1 | x | ||||||
| B | MRSE, vancomycin MIC > 1 | x | x | |||||
| B | S chromogenes | x | x | x | ||||
| C | MRSA | x | x | x | ||||
| C | MRSA | x | x | x | ||||
| D | MRSA | x | x | |||||
| D | S. haemolytics | x | x | |||||
| E | S hominis | x | x | |||||
| E | Kocuria kristinae | x | x | x | x | |||
| E | EBSL-producing Pseudomonas aeruginosa | x | x |
© 2019 by the authors. Licensee MDPI, Basel, Switzerland. This article is an open access article distributed under the terms and conditions of the Creative Commons Attribution (CC BY) license (http://creativecommons.org/licenses/by/4.0/).
Share and Cite
Santarpia, L.; Viceconte, G.; Foggia, M.; Alfonsi, L.; Tosone, G.; Camera, L.; Pagano, M.C.; De Simone, G.; Contaldo, F.; Pasanisi, F. Home Parenteral Nutrition in Patients with Intestinal Failure: Possible Undetected Complications. Nutrients 2019, 11, 581. https://doi.org/10.3390/nu11030581
Santarpia L, Viceconte G, Foggia M, Alfonsi L, Tosone G, Camera L, Pagano MC, De Simone G, Contaldo F, Pasanisi F. Home Parenteral Nutrition in Patients with Intestinal Failure: Possible Undetected Complications. Nutrients. 2019; 11(3):581. https://doi.org/10.3390/nu11030581
Chicago/Turabian StyleSantarpia, Lidia, Giulio Viceconte, Maria Foggia, Lucia Alfonsi, Grazia Tosone, Luigi Camera, Maria Carmen Pagano, Giuseppe De Simone, Franco Contaldo, and Fabrizio Pasanisi. 2019. "Home Parenteral Nutrition in Patients with Intestinal Failure: Possible Undetected Complications" Nutrients 11, no. 3: 581. https://doi.org/10.3390/nu11030581
APA StyleSantarpia, L., Viceconte, G., Foggia, M., Alfonsi, L., Tosone, G., Camera, L., Pagano, M. C., De Simone, G., Contaldo, F., & Pasanisi, F. (2019). Home Parenteral Nutrition in Patients with Intestinal Failure: Possible Undetected Complications. Nutrients, 11(3), 581. https://doi.org/10.3390/nu11030581
