1. Introduction
Over the past two decades, the clinical outcomes of total ankle arthroplasty (TAA) have remarkably improved with advancements in implant design and surgical techniques. However, the use of TAA in ankles with severe preoperative deformities remains a considerable challenge [
1,
2,
3]. In particular, primary ankle osteoarthritis (OA) with severe varus deformities, which is common in Asian populations, often involves relative distal tibial-talar erosions, deformity of the medial malleolus, and medial soft tissue contracture. These bony and soft tissue factors collectively pose challenges in achieving precise orthogonal coronal-plane alignment (perpendicular to the weight-bearing axis) during implantation, which is widely recognized as essential for the long-term survivability of TAA [
1,
4]. Recent advances such as patient-specific 3D planning, 3D printing, and intraoperative navigation have been increasingly used in orthopedic surgery to improve accuracy in complex deformity correction procedures [
5,
6,
7].
The surgical technique manual for lateral approach TAA using the TM Ankle (Zimmer Biomet, Warsaw, IN, USA) does not describe management strategies for cases with severe preoperative varus deformity. In such cases, the realignment procedures to prepare for orthogonal bone cutting are often blocked by bony obstruction at the lateral part of the joint due to varus deformity at the tibial plafond surface and soft tissue contracture of the deltoid.
To overcome these limitations, we introduced a modified surgical approach using a tibial precut technique to eliminate bony obstruction prior to fixation in the surgical frame. This study aimed to investigate whether the tibial precut technique could improve the alignment and clinical outcomes in patients with severe varus ankle deformity undergoing transfibular TAA. We hypothesized that this technique would allow more accurate correction of deformity and facilitate functional recovery, with a low rate of complications.
2. Materials and Methods
This study was approved by the Institutional Review Board of our hospitals (Approval numbers: 5001 and 22045; Approval dates: 25 October 2018 and 30 June 2022). Written informed consent was obtained from all participants. Fifteen consecutive cases with a preoperative coronal-plane varus deformity greater than 15 degrees who underwent transfibular TAA using this technique between November 2019 and June 2022 were included. Inclusion criteria were patients who underwent transfibular TAA using the TIBIA #2 technique, with a minimum of 2 years of follow-up and complete radiographic and clinical data. Exclusion criteria included patients with less than 2 years of follow-up, prior ipsilateral ankle fusion, active infection, or severe bone loss rendering TAA contraindicated.
2.1. Surgical Technique
The fibula was osteotomized according to the manufacturer’s instructions, and the lower leg was positioned on the alignment frame. A transosseous calcaneal pin was placed, and the sole was then secured to the footplate using calcaneal pin holders. Subsequently, the medial talar half-pin was inserted and fixed to the talar pin post on the footplate.
The TIBIA #2 technique was indicated when preoperative valgus stress radiographs showed that the talar dome cannot be corrected to a position perpendicular to the tibial axis due to bony conflict. A distal tibial pin was inserted from the anterior surface, approximately 5 cm proximal to the tibiotalar joint, and connected to the alignment frame. The silhouette guide was then positioned laterally, and the cutting block was adjusted until aligned with the talar dome. Once alignment was confirmed, the cutting guide was fixed in place, the silhouette guide removed, and bone cutting was initiated. A preliminary cut on the lateral distal tibia was performed through the TIBIA #2 hole to eliminate bony impingement between the lateral talar wedge and distal tibia. This “TIBIA #2 technique” utilized a guide hole originally designed for auxiliary resection after primary cuts with the TALUS and TIBIA #1 holes. Subsequently, the distal tibial pin was disconnected, and the alignment frame was manipulated into a valgus orientation to correct varus alignment. In cases with more severe deformity, the medial gutter was accessed anteriorly to perform a superficial deltoid ligament release and remove osteophytes. Fluoroscopy was used to confirm coronal alignment: on AP view, the talar dome was aligned horizontally and the tibia vertically. The ankle was distracted along the frame to allow appropriate bone resection while maintaining medial soft tissue tension (
Figure 1) [
8].
Standard bone cuts were subsequently performed according to the manufacturer’s guide, followed by trialing and implantation. The fibula was shortened and fixed with a plate or screws to address coronal deformity, and a Broström repair of the anterior talofibular ligament was performed before wound closure (
Figure 1). If dorsiflexion angle of the ankle joint was less than 10 degrees, additional Achilles tendon lengthening was performed. A tourniquet was employed as required and released after a maximum of 2 h.
2.2. Radiographic Assessment
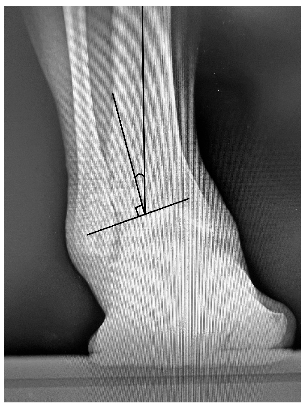
Radiographic assessments were performed on weight-bearing anteroposterior radiographs of the tibiotalar joint preoperatively, 3 months postoperatively, and at the latest follow-up visit. All radiographic measurements were performed by a single orthopedic surgeon who was not blinded to the clinical data. Coronal angulation of the tibiotalar joint was assessed using the tibiotalar angle (TTA;
Figure 2) on weight-bearing anteroposterior radiographs both preoperatively and postoperatively.
A TTA between 5 degrees valgus and 5 degrees varus was considered as neutral alignment [
9]. Successful fusion of the fibular osteotomy was defined according to previously described clinical criteria (absence of pain or warmth, with reduced swelling and improved stress stability) and radiographic criteria (at least 85% visible trabecular bridging across the osteotomy site without peri-implant lucency) [
10].
2.3. Clinical Assessment
The self-administered foot evaluation questionnaire (SAFE-Q) was used preoperatively and at the latest follow-up to examine clinical outcomes. The SAFE-Q was developed by the Japanese Society for Surgery of the Foot as a region-specific assessment tool [
11,
12]. The main part of the SAFE-Q consists of 34 questions with five subscale scores: “pain and pain-related,” “physical functioning and daily living,” “social functioning,” “shoe-related,” and “general health and well-being.” Passive range of motion (ROM) of the ankle was clinically evaluated at the preoperative and last follow-up visits.
2.4. Statistical Analysis
Continuous variables are expressed as median (interquartile range [IQR]), and categorical variables are expressed as counts (percentages). The Wilcoxon signed-rank test was employed to compare the preoperative and postoperative radiographic assessments, as well as clinical values. In addition to
p-values, effect sizes with 95% confidence intervals were calculated using rank-biserial correlation to provide estimates of the magnitude of change. The level of statistical significance was set at
p = 0.05. Statistical analyses were performed using R software (
http://www.r-project.org/ (accessed on 6 June 2025)).
3. Results
Of the 15 patients, 3 were lost to follow-up. Therefore, 12 patients were included in this study. Demographic characteristics of the three patients who were lost to follow-up included a 51-year-old male with post-traumatic osteoarthritis, a 68-year-old male with primary osteoarthritis, and an 88-year-old female with primary osteoarthritis. The median follow-up period was 35.7 (IQR: 30.3 to 41.8) months. Characteristics of the 12 patients enrolled in the study are presented in
Table 1.
All patients underwent the “TIBIA #2 technique”. In conjunction with TAA, Achilles tendon lengthening was performed in three cases, metatarsal dorsiflexion osteotomy was performed in two cases, superficial medial ligament release and medial malleolar osteophyte resection were performed in six cases, and artificial ligament reinforcement of the distal tibiofibular ligament was performed in two cases. A tibial fracture at the distal tibial pin insertion level occurred in one patient 5 weeks postoperatively. Although the bone union was achieved with conservative treatment, the longitudinal axis of the tibia shifted in the anteroposterior view. Therefore, this case was excluded from clinical and radiographic evaluations. No other complications or cases requiring revision surgery were observed.
Regarding coronal tibiotalar alignment, the TTA significantly decreased from a preoperative median of 20.4 degrees (IQR: 18.1 to 24.3) to a 3-month postoperative median of 3.0 degrees (IQR: 0.8 to 4.0) (
p < 0.01). The effect size was 0.89 (95% CI: 0.89–0.90), indicating a large effect. At the latest follow-up, the TTA remained significantly lower than the preoperative values 1.8 degrees (IQR: 0.9 to 3.6) (
p < 0.01). The effect size was 0.88 (95% CI: 0.88–0.89), indicating a large effect. The radiographic results for each case are demonstrated in
Figure 3.
Except for one case with a postoperative tibial fracture resulting in altered tibial alignment, all cases had a neutral alignment (5 degrees varus to 5 degrees valgus) at the latest follow-up. No cases of talus subsidence, lucency, fibular non-union, or avascular necrosis were observed.
All SAFE-Q subscales showed significant improvement at the latest follow-up (
p < 0.05, respectively;
Table 2). The effect sizes for improvement were also large across all subscales: 0.84 (95% CI: 0.60–0.90) for pain, 0.89 (95% CI: 0.89–0.90) for physical function, 0.87 (95% CI: 0.77–0.90) for social function, 0.87 (95% CI: 0.77–0.91) for shoe-related problems, and 0.89 (95% CI: 0.89–0.91) for general health.
The ROM of the ankle significantly increased at the latest follow-up compared with preoperative values (
p < 0.05;
Figure 4). The effect size was 0.60 (95% CI: 0.11–0.90).
4. Discussion
In this study, near-orthogonal implantation alignment (within 5 degrees) was consistently achieved in TAA using the TM Ankle system for ankles with a preoperative varus deformity exceeding 15 degrees. Postoperative improvements in both patient-reported outcome measures and ROM were also observed despite the relatively short follow-up period of 2 years. Given that the data were derived from a small, single-race case series, the findings should be interpreted with caution and may have limited applicability to broader populations worldwide. However, the results of this study provide supportive evidence for the hypothesized efficacy of the “TIBIA #2 technique” in achieving reproducible orthogonal implantation.
Severe varus deformity of the ankle, particularly deformities exceeding 15 degrees, is generally considered a contraindication to TAA. Such deformities tend to result in misalignment during implantation and an imbalance in soft tissue tension. These factors increase the risk of edge loading, which may eventually lead to early implant failure [
1,
13,
14]. In the conventional anterior approach (
Figure 5), the position of the talus needs to be adjusted to maintain the physiological congruity of the lateral gutter articulation.
Moreover, significant talar lowering is required to achieve orthogonal alignment in cases of severe varus ankles. As talar lowering is often restricted by medial soft-tissue contracture, aggressive medial ligament release is frequently necessary, and additional procedures including medial malleolar osteotomy and/or tibialis posterior tendon lengthening may be employed as needed [
1,
15]. However, as the lateral approach utilized with the TM Ankle system involves fibular osteotomy (
Figure 6), the congruity of the lateral gutter can be optimized by adjusting the height of the lateral malleolus, specifically by shortening the fibular length during internal fixation of the osteotomy site.
Additionally, if soft tissue imbalance occurs after implantation due to the relative looseness of the lateral capsule compared to the contracted medial capsule, augmentation of the anterior talofibular ligament with an artificial ligament can be easily performed. These features may collectively enhance the deformity correction capability of the TM Ankle system [
16], while the TIBIA #2 technique appears to effectively address issues of bony conflict that challenge the realignment procedures necessary for orthogonal bone cutting. We believe that transfibular TAA using this technique has the potential to expand the indications for TAA to include ankles with severe preoperative varus deformities exceeding the 15-degree limit.
One complication observed in this series was a pin site fracture in one patient. Upon review, we believe this fracture resulted from pin insertion too close to the edge of the tibial cortex rather than the central metaphyseal region. This suboptimal positioning likely weakened the cortical support, predisposing the site to fracture. To prevent such complications, it is crucial to confirm the pin insertion site carefully and to ensure that the pin is placed within the central portion of the tibial metaphysis where cortical bone is more robust.
This procedure was developed independently and is not part of the standard surgical protocol provided by the implant manufacturer. Implementation of this technique should be determined with careful consideration at the discretion of each surgeon. Although this technique requires additional time for lateral tibial resection, the benefit of consistently achieving orthogonal alignment may outweigh this drawback, particularly in cases of severe varus deformity. Based on the principles of this technique, further refinement of procedures and/or devices can enhance the efficiency of the surgical sequence.
While recent studies have explored advanced technologies such as 3D planning or hybrid TAA techniques [
17,
18], our study was not designed to compare these methods. Although 3D planning can improve surgical accuracy and allow for detailed preoperative visualization, the TIBIA #2 technique offers a simple, quick, and reproducible solution that does not require special equipment. Instead, it focused solely on a specific technical refinement within the standard transfibular approach. Future comparative studies will be necessary to evaluate the relative clinical benefits of these evolving strategies.
5. Limitations
One of the major limitations of this study is the small sample size (n = 12), which may limit the generalizability of the findings. Although the results are promising, they should be interpreted with caution. Another key limitation is the absence of a control group treated using the standard anterior approach, which prevents direct comparison and weakens the level of evidence supporting the effectiveness of the TIBIA #2 technique. Future research with larger, prospective, and preferably multi-center cohorts is essential to validate these findings. Additionally, all radiographic measurements were performed by a single, non-blinded orthopedic surgeon involved in the procedures. The absence of interobserver and intraobserver reliability assessments, as well as potential confirmation bias due to lack of blinding, may have introduced systematic error in outcome evaluation. These limitations must be carefully considered when interpreting the radiographic improvements reported in this study.
6. Conclusions
In this retrospective series of 12 ankles with preoperative varus > 15°, the TIBIA #2 precut technique consistently restored neutral coronal alignment, reducing the median tibiotalar angle from 20.4° (IQR 18.1–24.3) to 1.8° (0.9–3.6). Patient-reported outcomes improved substantially (SAFE-Q pain 47.8 → 74.7; physical functioning 38.6 → 68.2; social functioning 33.3 → 70.8; shoe-related 50.0 → 75.0; general health 45.0 → 80.0), and ankle range of motion increased by a median of 10°. No talar subsidence, radiolucency, or implant-related failures were observed, and only one pin-site fracture occurred. These findings suggest that the TIBIA #2 technique may broaden the indications for transfibular total ankle arthroplasty in severe varus deformity while delivering meaningful clinical benefit. Nevertheless, confirmation in larger, controlled, and multi-centre cohorts is required before widespread adoption.
Author Contributions
Conceptualization, K.Y., K.I. and L.C.S.; Methodology, K.Y., K.I., Y.T. and L.C.S.; Formal analysis, K.Y.; Investigation, K.Y., K.I., M.K. and Y.T.; Resources, K.Y., K.I., M.K. and Y.T.; Data curation, K.Y.; Writing—original draft preparation, K.Y.; Writing—review and editing, K.I., Y.T., K.O. and L.C.S.; Visualization, K.Y.; Supervision, K.O. and L.C.S.; Project administration, K.O. and L.C.S. All authors have read and agreed to the published version of the manuscript.
Funding
This research received no external funding.
Institutional Review Board Statement
This study was approved by the Institutional Review Board of our hospitals (Approval number: 5001 and 22045; Approval dates: 25 October 2018 and 30 June 2022).
Informed Consent Statement
Informed consent was obtained from all subjects involved in the study.
Data Availability Statement
The original contributions presented in this study are included in the article. Further inquiries can be directed to the corresponding author.
Conflicts of Interest
K.Y., K.I. and Y.T. have received consulting fees, speakers’ bureaus, and support for attending meeting from Zimmer Biomet. L.C.S. has received royalties, consulting fees, speakers’ bureaus, support for attending meetings, and patents issued from Zimmer Biomet. Several authors have received research funding or honoraria from Zimmer Biomet. While the TM Ankle system was utilized and the TIBIA #2 technique is specific to this implant, we have made every effort to maintain objectivity in the analysis and interpretation of the results, focusing on the surgical methodology and its potential clinical relevance.
References
- Haskell, A.; Mann, R.A. Ankle arthroplasty with preoperative coronal plane deformity: Short-term results. Clin. Orthop. Relat. Res. 2004, 424, 98–103. [Google Scholar] [CrossRef] [PubMed]
- Reddy, S.C.; Mann, J.A.; Mann, R.A.; Mangold, D.R. Correction of moderate to severe coronal plane deformity with the STAR ankle prosthesis. Foot Ankle Int. 2011, 32, 659–664. [Google Scholar] [CrossRef] [PubMed]
- Wood, P.L.; Sutton, C.; Mishra, V.; Suneja, R. A randomised, controlled trial of two mobile-bearing total ankle replacements. J. Bone Jt. Surg. Br. Vol. 2009, 91, 69–74. [Google Scholar] [CrossRef] [PubMed]
- Colin, F.; Bolliger, L.; Horn Lang, T.; Knupp, M.; Hintermann, B. Effect of supramalleolar osteotomy and total ankle replacement on talar position in the varus osteoarthritic ankle: A comparative study. Foot Ankle Int. 2014, 35, 445–452. [Google Scholar] [CrossRef] [PubMed]
- Brachet, A.; Belzek, A.; Furtak, D.; Geworgjan, Z.; Tulej, D.; Kulczycka, K.; Karpinski, R.; Maciejewski, M.; Baj, J. Application of 3D Printing in Bone Grafts. Cells 2023, 12, 859. [Google Scholar] [CrossRef] [PubMed]
- Krakowski, P.; Jonak, J.; Karpinski, R.; Jaworski, K. Usefulness of rapid prototyping in planning complex trauma surgeries. Appl. Sci. 2019, 15, 65–72. [Google Scholar] [CrossRef]
- Karpinski, R.; Jaworski, Ł.; Zubrzycki, J. Structural analysis of articular cartilage of the hip joint using finite element method. Adv. Sci. Technol. Res. J. 2016, 10, 240–246. [Google Scholar] [CrossRef] [PubMed]
- Yano, K.; Ikari, K.; Kakihana, M.; Tochigi, Y.; Okazaki, K.; Schon, L.C. A novel tibial pre-cut technique for varus deformity correction in transfibular total ankle arthroplasty: A technical tip. Foot Ankle Orthop. 2025, 10, 24730114251352502. [Google Scholar] [CrossRef] [PubMed]
- Queen, R.M.; Adams, S.B., Jr.; Viens, N.A.; Friend, J.K.; Easley, M.E.; Deorio, J.K.; Nunley, J.A. Differences in outcomes following total ankle replacement in patients with neutral alignment compared with tibiotalar joint malalignment. J. Bone Jt. Surg. Am. Vol. 2013, 95, 1927–1934. [Google Scholar] [CrossRef] [PubMed]
- Barg, A.; Henninger, H.B.; Knupp, M.; Hintermann, B. Simultaneous bilateral total ankle replacement using a 3-component prosthesis: Outcome in 26 patients followed for 2-10 years. Acta Orthop. 2011, 82, 704–710. [Google Scholar] [CrossRef] [PubMed]
- Niki, H.; Tatsunami, S.; Haraguchi, N.; Aoki, T.; Okuda, R.; Suda, Y.; Takao, M.; Tanaka, Y. Development of the patient-based outcome instrument for foot and ankle: Part 2: Results from the second field survey: Validity of the outcome instrument for the foot and ankle version 2. J. Orthop. Sci. Off. J. Jpn. Orthop. Assoc. 2011, 16, 556–564. [Google Scholar] [CrossRef]
- Niki, H.; Tatsunami, S.; Haraguchi, N.; Aoki, T.; Okuda, R.; Suda, Y.; Takao, M.; Tanaka, Y. Validity and reliability of a self-administered foot evaluation questionnaire (SAFE-Q). J. Orthop. Sci. Off. J. Jpn. Orthop. Assoc. 2013, 18, 298–320. [Google Scholar] [CrossRef] [PubMed]
- Espinosa, N.; Walti, M.; Favre, P.; Snedeker, J.G. Misalignment of total ankle components can induce high joint contact pressures. J. Bone Jt. Surg. Am. Vol. 2010, 92, 1179–1187. [Google Scholar] [CrossRef] [PubMed]
- Trajkovski, T.; Pinsker, E.; Cadden, A.; Daniels, T. Outcomes of ankle arthroplasty with preoperative coronal-plane varus deformity of 10 degrees or greater. J. Bone Jt. Surg. Am. Vol. 2013, 95, 1382–1388. [Google Scholar] [CrossRef] [PubMed]
- Doets, H.C.; van der Plaat, L.W.; Klein, J.P. Medial malleolar osteotomy for the correction of varus deformity during total ankle arthroplasty: Results in 15 ankles. Foot Ankle Int. 2008, 29, 171–177. [Google Scholar] [CrossRef] [PubMed]
- Usuelli, F.G.; Maccario, C.; Indino, C. Outcomes of Lateral Transfibular Approach for Total Ankle Replacement. Foot Ankle Clin. 2024, 29, 69–80. [Google Scholar] [CrossRef] [PubMed]
- Usuelli, F.G.; Barbero, A.; Benady, A.; Halimi, Y.G.; Kahimov, N.; Indino, C.; Maccario, C.; Efrima, B. Reliability analysis of WBCT-derived 3D models for comparing preoperative and postoperative alignment in total ankle arthroplasty. Foot Ankle Surg. 2025, 31, 199–207. [Google Scholar] [CrossRef] [PubMed]
- Noori, N.B.; Ouyang, J.Y.; Noori, M.; Altabey, W.A. A Review Study on Total Ankle Replacement. Appl. Sci. 2023, 13, 535. [Google Scholar] [CrossRef]
Figure 1.
Step-by-step demonstration of the “TIBIA #2 technique” for varus correction in transfibular total ankle arthroplasty. (a) Preoperative anteroposterior radiograph showing posttraumatic osteoarthritis with varus deformity. (b) Intraoperative fluoroscopic imaging. Even with attempts at varus correction, the bony conflict between the talar dome and tibial plafond prevents proper alignment. (c) Targeted resection of the lateral half of the distal tibia is performed through the “TIBIA #2” hole, originally designed for secondary cuts. (d) Resected lateral distal tibial fragment (arrow), confirming removal of the impinging bone. (e) With the impingement resolved, varus alignment is successfully corrected and the talar dome is positioned horizontally. (f) Postoperative anteroposterior radiograph demonstrates restored coronal alignment of the ankle joint.
Figure 1.
Step-by-step demonstration of the “TIBIA #2 technique” for varus correction in transfibular total ankle arthroplasty. (a) Preoperative anteroposterior radiograph showing posttraumatic osteoarthritis with varus deformity. (b) Intraoperative fluoroscopic imaging. Even with attempts at varus correction, the bony conflict between the talar dome and tibial plafond prevents proper alignment. (c) Targeted resection of the lateral half of the distal tibia is performed through the “TIBIA #2” hole, originally designed for secondary cuts. (d) Resected lateral distal tibial fragment (arrow), confirming removal of the impinging bone. (e) With the impingement resolved, varus alignment is successfully corrected and the talar dome is positioned horizontally. (f) Postoperative anteroposterior radiograph demonstrates restored coronal alignment of the ankle joint.
Figure 2.
Anteroposterior weight-bearing radiograph demonstrating measurement of the tibiotalar angle (TTA). The TTA is defined as the angle formed between the anatomical axis of the tibia and the perpendicular line to the articular surface of the talar dome preoperatively or the talar component postoperatively.
Figure 2.
Anteroposterior weight-bearing radiograph demonstrating measurement of the tibiotalar angle (TTA). The TTA is defined as the angle formed between the anatomical axis of the tibia and the perpendicular line to the articular surface of the talar dome preoperatively or the talar component postoperatively.
Figure 3.
Tibiotalar angle (TTA) measurements for each case. The TTA significantly decreased from a preoperative median of 20.4° (IQR: 18.1 to 24.3) to 3.0° (IQR: 0.8 to 4.0) at 3 months postoperatively, and remained significantly lower at the latest follow-up (1.8° [IQR: 0.9 to 3.6]), compared to preoperative values. Effect sizes were 0.89 and 0.88, respectively, indicating a large effect at both timepoints. Each box represents the interquartile range; the bold horizontal line within each box indicates the median. Vertical solid lines represent the maximum and minimum values within 1.5 times the interquartile range.
Figure 3.
Tibiotalar angle (TTA) measurements for each case. The TTA significantly decreased from a preoperative median of 20.4° (IQR: 18.1 to 24.3) to 3.0° (IQR: 0.8 to 4.0) at 3 months postoperatively, and remained significantly lower at the latest follow-up (1.8° [IQR: 0.9 to 3.6]), compared to preoperative values. Effect sizes were 0.89 and 0.88, respectively, indicating a large effect at both timepoints. Each box represents the interquartile range; the bold horizontal line within each box indicates the median. Vertical solid lines represent the maximum and minimum values within 1.5 times the interquartile range.
Figure 4.
The result of the range of motion (ROM) of the ankle for each case. The ROM significantly increased at the latest follow-up compared to preoperative values. In some cases, identical ROM values result in overlapping lines. Each box represents the interquartile range; the bold horizontal line within each box indicates the median. Vertical solid lines represent the maximum and minimum values within 1.5 times the interquartile range.
Figure 4.
The result of the range of motion (ROM) of the ankle for each case. The ROM significantly increased at the latest follow-up compared to preoperative values. In some cases, identical ROM values result in overlapping lines. Each box represents the interquartile range; the bold horizontal line within each box indicates the median. Vertical solid lines represent the maximum and minimum values within 1.5 times the interquartile range.
Figure 5.
Surgical sequence of total ankle arthroplasty using the conventional anterior approach. (a) Preoperative condition in varus-type ankle osteoarthritis. (b) Independent bone preparation of the tibial and talar surfaces using the tibial shaft and native talar surface as respective references. (c) Independent implantation of tibial and talar components. (d) Adjustment of polyethylene insert thickness to lower the talus and prevent abnormal contact at the lateral gutter. In severe varus, medial soft tissue contracture often limits talar lowering, necessitating aggressive medial ligament release. (e) Additional procedures, such as medial malleolar osteotomy and/or tibialis posterior tendon lengthening, may be performed as required. The arrow indicates the extension of the medial malleolus.
Figure 5.
Surgical sequence of total ankle arthroplasty using the conventional anterior approach. (a) Preoperative condition in varus-type ankle osteoarthritis. (b) Independent bone preparation of the tibial and talar surfaces using the tibial shaft and native talar surface as respective references. (c) Independent implantation of tibial and talar components. (d) Adjustment of polyethylene insert thickness to lower the talus and prevent abnormal contact at the lateral gutter. In severe varus, medial soft tissue contracture often limits talar lowering, necessitating aggressive medial ligament release. (e) Additional procedures, such as medial malleolar osteotomy and/or tibialis posterior tendon lengthening, may be performed as required. The arrow indicates the extension of the medial malleolus.
Figure 6.
Surgical sequence of total ankle arthroplasty by transfibular approach, using the TIBIA #2 technique. (a) Preoperative condition in varus-type ankle osteoarthritis. (b) Precutting of the lateral half of the distal tibial surface permits aligning the tibial shaft perpendicularly to the superior talar surface. (c) The periarticular bones on both the tibial and talar sides are simultaneously prepared for orthogonal implantation. (d) The components are implanted in situ. The thickness of the polyethylene insert is adjusted so that the medial ligament is appropriately tensioned. (e) When the osteotomized fibula is refixed, the position of the lateral malleolus is adjusted to optimize the congruity of the lateral gutter. The arrow indicates the fibular shortening.
Figure 6.
Surgical sequence of total ankle arthroplasty by transfibular approach, using the TIBIA #2 technique. (a) Preoperative condition in varus-type ankle osteoarthritis. (b) Precutting of the lateral half of the distal tibial surface permits aligning the tibial shaft perpendicularly to the superior talar surface. (c) The periarticular bones on both the tibial and talar sides are simultaneously prepared for orthogonal implantation. (d) The components are implanted in situ. The thickness of the polyethylene insert is adjusted so that the medial ligament is appropriately tensioned. (e) When the osteotomized fibula is refixed, the position of the lateral malleolus is adjusted to optimize the congruity of the lateral gutter. The arrow indicates the fibular shortening.
Table 1.
Patient characteristics (n = 12).
Table 1.
Patient characteristics (n = 12).
| Age, years, median (IQR) | 71.0 (63.5, 76.0) |
| Sex, male, n (%) | 9 (75.0) |
| Diagnosis | |
| Primary osteoarthritis, n (%) | 6 (50.0) |
| Posttraumatic osteoarthritis, n (%) | 3 (25.0) |
| Rheumatoid arthritis, n (%) | 3 (25.0) |
Table 2.
SAFE-Q subscale scores. The values are given as the median, with the interquartile range in parentheses.
Table 2.
SAFE-Q subscale scores. The values are given as the median, with the interquartile range in parentheses.
| SAFE-Q Subscale | Pre-Surgery | Latest Follow-Up | p * |
|---|
| Pain and pain-related | 47.8 (33.6, 60.3) | 74.7 (55.9, 86.1) | 0.02 |
| Physical functioning and daily living | 38.6 (29.6, 50.0) | 68.2 (53.4, 79.5) | 0.02 |
| Social functioning | 33.3 (22.9, 50.0) | 70.8 (45.9, 85.5) | 0.03 |
| Shoe-related | 50.0 (37.5, 66.7) | 75.0 (58.4, 95.8) | 0.03 |
| General health and well-being | 45.0 (12.5, 65.0) | 80.0 (40.0, 87.5) | 0.02 |
| Disclaimer/Publisher’s Note: The statements, opinions and data contained in all publications are solely those of the individual author(s) and contributor(s) and not of MDPI and/or the editor(s). MDPI and/or the editor(s) disclaim responsibility for any injury to people or property resulting from any ideas, methods, instructions or products referred to in the content. |
© 2025 by the authors. Licensee MDPI, Basel, Switzerland. This article is an open access article distributed under the terms and conditions of the Creative Commons Attribution (CC BY) license (https://creativecommons.org/licenses/by/4.0/).