- Article
Island Pedicle Flaps as a Suitable Method of Treatment in the Defects of the Non-Weight-Bearing Part of the Heel
- Radu Dan Necula,
- Bogdan-Radu Necula,
- Radu Vaidahazan,
- Claudiu Gabriel Coraiu,
- Adrian Burnariu and
- Florin Lucian Sabou
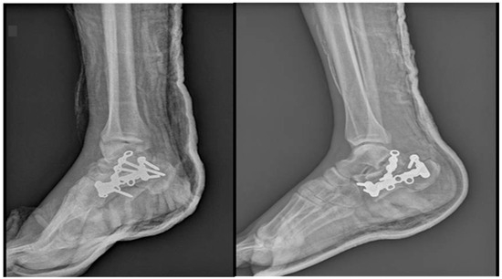
Background: Covering the defects around the calcaneus is still a largely debatable subject. In the classical view, the defects at the level of the foot can be treated only by a free flap. In a modern approach, it has been observed that for small or m...

