The Utility of Automated ASPECTS in Acute Ischemic Stroke for Intravenous Recombinant Tissue Plasminogen Activator (IV-rtPA) Therapy
Abstract
1. Introduction
2. Materials and Methods
2.1. Participants
2.2. Data Source and Assessment
2.3. Endpoints
2.4. Statistical Analysis
3. Results
3.1. Patient Characteristics
3.2. Primary Outcome
3.3. Secondary Outcome
4. Discussion
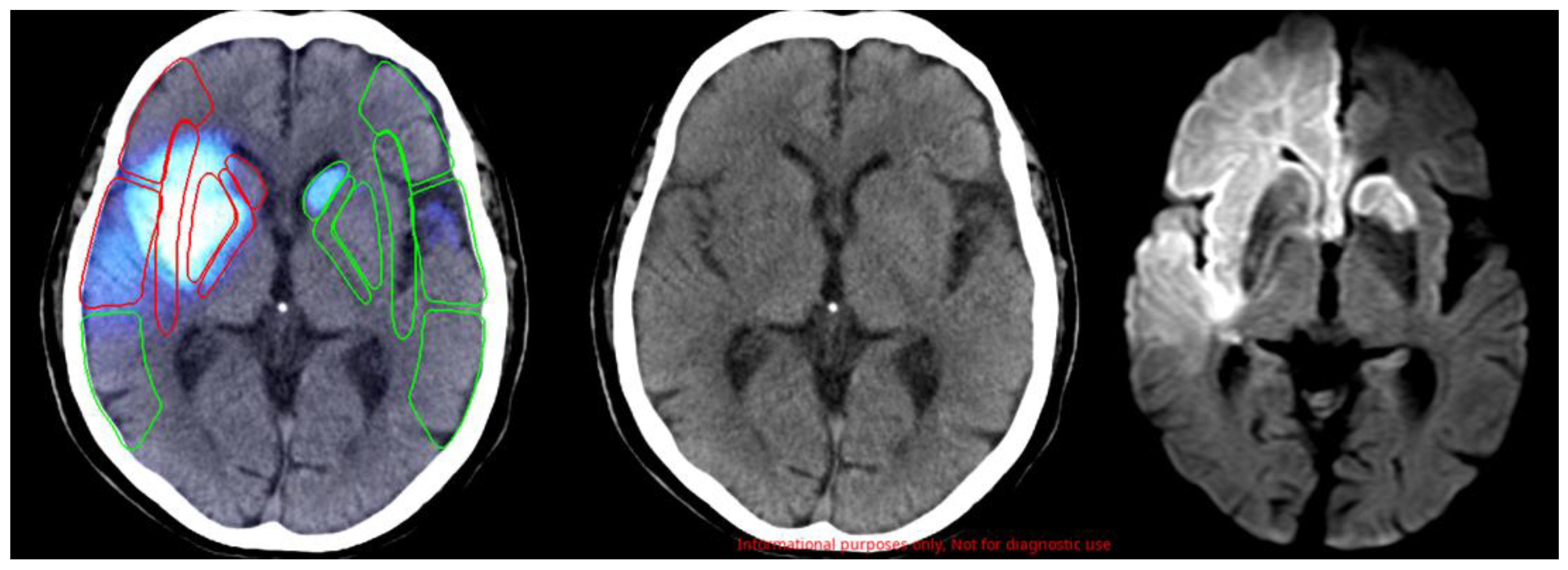
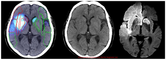
4.1. Characteristics of the AI Software
4.2. Clinical Applications of This AI Software
5. Conclusions
Author Contributions
Funding
Institutional Review Board Statement
Informed Consent Statement
Data Availability Statement
Acknowledgments
Conflicts of Interest
References
- Nomura, S.; Sakamoto, H.; Ghaznavi, C.; Inoue, M. Toward a third term of Health Japan 21—Implications from the rise in non-communicable disease burden and highly preventable risk factors. Lancet Reg. Health West. Pac. 2022, 21, 100377. [Google Scholar] [CrossRef] [PubMed]
- Nakanishi, Y.; Furuta, Y.; Hata, J.; Yubi, T.; Oishi, E.; Sakata, S.; Hirakawa, Y.; Wakisaka, Y.; Ago, T.; Kitazono, T.; et al. Long-term trends in the 5-year risk of recurrent stroke over A half century in A japanese community: The hisayama study. J. Atheroscler. Thromb. 2022. online ahead of print. [Google Scholar] [CrossRef]
- Zi, W.; Qiu, Z.; Li, F.; Sang, H.; Wu, D.; Luo, W.; Liu, S.; Yuan, J.; Song, J.; Shi, Z.; et al. Effect of Endovascular Treatment Alone vs. Intravenous Alteplase Plus Endovascular Treatment on Functional Independence in Patients with Acute Ischemic Stroke: The DEVT Randomized Clinical Trial. JAMA 2021, 325, 234–243. [Google Scholar] [CrossRef] [PubMed]
- Understanding the Actual Situation of Stroke Treatment in Japan Using the Stroke Registry (Japan Stroke Data Bank) Report 2020. Available online: https://strokedatabank.ncvc.go.jp/f12kQnRl/wp-content/uploads/report2020_stroke.pdf (accessed on 7 June 2022).
- Takagi, T.; Yoshimura, S.; Nobuyuki, S. After KOBE declaration: Regional activities to spread endovascular therapy for acute ischemic stroke result of national survey of acute thrombectomy in Japan: RESCUE—Japan project 2016. NKC 2019, 4, 2–6. [Google Scholar]
- Kobayashi, A.; Tada, M.; Hashiguchi, A.; Miyagami, H.; Yokota, Y. A neurologically improved case of the patient of basilar artery occlusion treated with IV rt-PA on tokunoshima island clarified the necessity of solving problems about telestroke and transportation system: A case report. J. Jpn. Soc. Emerg. Med. 2019, 22, 536–539. [Google Scholar]
- Otsuka, H.; Hiu, T.; Ae, R.; Yoshimura, S.; Iwanaga, H.; Nakamichi, C.; Yasaka, T.; Tutsumi, K. Development of a prehospital stroke hotline system on remote islands. Jpn. J. Stroke 2021, 43, 421–428. [Google Scholar] [CrossRef]
- Barber, P.A.; Demchuk, A.M.; Zhang, J.; Buchan, A.M. Validity and reliability of a quantitative computed tomography score in predicting outcome of hyperacute stroke before thrombolytic therapy. Lancet 2000, 355, 1670–1674. [Google Scholar] [CrossRef]
- Kobkitsuksakul, C.; Tritanon, O.; Suraratdecha, V. Interobserver agreement between senior radiology resident, neuroradiology fellow, and experienced neuroradiologist in the rating of alberta stroke program early computed tomography score (ASPECTS). Diagn. Int. Radiol. 2018, 24, 104–107. [Google Scholar] [CrossRef] [PubMed]
- Naganuma, M.; Tachibana, A.; Fuchigami, T.; Akahori, S.; Okumura, S.; Yi, K.; Matsuo, Y.; Ikeno, K.; Yonehara, T. Alberta stroke program early CT score calculation using the deep learning-based brain hemisphere comparison algorithm. J. Stroke Cerebrovasc. Dis. 2021, 30, 105791. [Google Scholar] [CrossRef] [PubMed]
- Wolff, L.; Berkhemer, O.A.; Van Es, A.C.G.M.; Zwam, W.H.; Dippel, D.W.; Majoie, C.B.; Walsum, T.; Lugt, A. Validation of automated alberta stroke program early CT score (ASPECTS) software for detection of early ischemic changes on non-contrast brain CT scans. Neuroradiology 2021, 63, 491–498. [Google Scholar] [CrossRef] [PubMed]
- Scavasine, V.C.; Ferreti, L.A.; da Costa, R.T.; Leitao, C.A.; Teixeira, B.C.; Zétola, V.H.F.; Lange, M.C. Automated evaluation of ASPECTS from brain computerized tomography of patients with acute ischemic stroke. J. Neuroimaging 2022. online ahead of print. [Google Scholar] [CrossRef] [PubMed]
- Goebel, J.; Stenzel, E.; Guberina, N.; Wanke, I.; Koehrmann, M.; Kleinschnitz, C.; Umutlu, L.; Forsting, M.; Moen-ninghoff, C.; Radbruch, A. Automated ASPECT rating: Comparison between the frontier ASPECT score software and the brainomix software. Neuroradiology 2018, 60, 1267–1272. [Google Scholar] [CrossRef] [PubMed]
- Philip, D.R.; Wong, M.L.; Tsai, J.P.; Hinson, H.E.; McMenamy, J.; Le, T.Q.; Prabhu, D.; Mann, B.S.; Copeland, K.; Kwok, K.; et al. Assistance from automated ASPECTS software improves reader performance. J. Stroke Cerebrovasc. Dis. 2021, 30, 105829. [Google Scholar]
- Maegerlein, C.; Fischer, J.; Mönch, S.; Berndt, M.; Wunderlich, S.; Seifert, C.; Lehm, M.; Boeckh-Behrens, T.; Zimmer, C.; Friedrich, B. Automated calculation of the alberta stroke program early CT score: Feasibility and reliability. Radiology 2019, 291, 141–148. [Google Scholar] [CrossRef] [PubMed]
- Seker, F.; Pfaff, J.; Nagel, S.; Vollherbst, D.; Gerry, S.; Möhlenbruch, M.A.; Bendszus, M.; Herweh, C. CT reconstruction levels affect automated and reader-based ASPECTS ratings in acute ischemic stroke. J. Neuroimaging 2019, 29, 62–64. [Google Scholar] [CrossRef] [PubMed]
- Seyam, M.; Weikert, T.; Sauter, A.; Brehm, A.; Psychogios, M.; Blackham, K.A. Utilization of artificial intelligence–based intracranial hemorrhage detection on emergent noncontrast CT images in clinical workflow. Radiol. Artif. Intell. 2022, 4, e210168. [Google Scholar] [CrossRef] [PubMed]
- Koo, T.K.; Li, M.Y. A Guideline of Selecting and Reporting Intraclass Correlation Coefficients for Reliability Research. J. Chiropr. Med. 2016, 15, 155–163. [Google Scholar] [CrossRef] [PubMed]
- Hoelter, P.; Muehlen, I.; Goelitz, P.; Beuscher, V.; Schwab, S.; Doerfler, A. Automated ASPECT scoring in acute ischemic stroke: Comparison of three software tools. Neuroradiology 2020, 62, 1231–1238. [Google Scholar] [CrossRef] [PubMed]
- Kniep, H.C.; Elsayed, S.; Nawabi, J.; Broocks, G.; Meyer, L.; Bechstein, M.; Van, H.N.; Psychogios, M.; Thomalla, G.; Flottmann, F.; et al. Imaging based outcome prediction in posterior circulation stroke. J. Neurol. 2022, 269, 3800–3809. [Google Scholar] [CrossRef] [PubMed]





| Characteristics | Population #1 (n = 448) | Population #2 (n = 132) |
|---|---|---|
| Age, Mean (SD) | 73.8 (13.2) | 74.8 (13.0) |
| Sex (Male), n (%) | 272 (60.7) | 76 (57.6) |
| Paralysis | ||
| Right palsy, n (%) | 202 (45.1) | 64 (48.5) |
| Left palsy, n (%) | 162 (36.2) | 43 (32.6) |
| Unknown, n (%) | 84 (18.8) | 25 (18.9) |
| Headache, n (%) | 7 (1.6) | 1 (0.8) |
| NIHSS | ||
| NIHSS score median (IQR) | 3 (1–8) | 4.5 (1–12) |
| NIHSS ≤ 5, n (%) | 300 (67.0) | 75 (56.8) |
| 6 < NIHSS ≤ 15, n (%) | 95 (21.2) | 30 (22.7) |
| 16 ≤ NIHSS, n (%) | 53 (11.8) | 27 (20.5) |
| Disease Type | ||
| Small-vessel occlusion, n (%) | 137 (30.6) | 29 (22.0) |
| Large-artery atherosclerosis, n (%) | 96 (21.4) | 18 (13.6) |
| Cardio-embolism, n (%) | 102 (22.8) | 53 (40.2) |
| Others, n (%) | 113 (25.2) | 32 (24.2) |
| rt-PA, n (%) | 20 (4.5) | 20 (15.2) |
| Endovascular therapy, n (%) | 4 (0.9) | 4 (3.0) |
| Time from onset to CT (hours) | 18.9 ± 18.3 | 2.4 ± 1.0 |
| Infarct area | ||
| Forward Circulation, n (%) | 331 (73.9) | 99 (75.0) |
| Forward + Backward Circulation, n (%) | 18 (4.0) | 6 (4.5) |
| Backward Circulation, n (%) | 99 (22.1) | 27 (20.5) |
| Accuracy | Physician A | Physician B | Physician C | Physician D | Physician E | Physician F | AI Software |
|---|---|---|---|---|---|---|---|
| Sensitivity | 0.99 | 0.98 | 0.98 | 0.98 | 0.98 | 1.00 | 0.93 |
| Specificity | 0.20 | 0.20 | 0.00 | 0.10 | 0.10 | 0.10 | 0.30 |
Publisher’s Note: MDPI stays neutral with regard to jurisdictional claims in published maps and institutional affiliations. |
© 2022 by the authors. Licensee MDPI, Basel, Switzerland. This article is an open access article distributed under the terms and conditions of the Creative Commons Attribution (CC BY) license (https://creativecommons.org/licenses/by/4.0/).
Share and Cite
Shibata, S.; Sakurai, K.; Tachikawa, K.; Ko, R.; Hino, S.; Fukano, T.; Isahaya, K.; Haraguchi, T.; Yamauchi, J.; Tanabe, K.; et al. The Utility of Automated ASPECTS in Acute Ischemic Stroke for Intravenous Recombinant Tissue Plasminogen Activator (IV-rtPA) Therapy. Neurol. Int. 2022, 14, 981-990. https://doi.org/10.3390/neurolint14040077
Shibata S, Sakurai K, Tachikawa K, Ko R, Hino S, Fukano T, Isahaya K, Haraguchi T, Yamauchi J, Tanabe K, et al. The Utility of Automated ASPECTS in Acute Ischemic Stroke for Intravenous Recombinant Tissue Plasminogen Activator (IV-rtPA) Therapy. Neurology International. 2022; 14(4):981-990. https://doi.org/10.3390/neurolint14040077
Chicago/Turabian StyleShibata, Soichiro, Kenzo Sakurai, Keiji Tachikawa, Riyoko Ko, Sakae Hino, Takayuki Fukano, Kenji Isahaya, Takafumi Haraguchi, Junji Yamauchi, Kenichiro Tanabe, and et al. 2022. "The Utility of Automated ASPECTS in Acute Ischemic Stroke for Intravenous Recombinant Tissue Plasminogen Activator (IV-rtPA) Therapy" Neurology International 14, no. 4: 981-990. https://doi.org/10.3390/neurolint14040077
APA StyleShibata, S., Sakurai, K., Tachikawa, K., Ko, R., Hino, S., Fukano, T., Isahaya, K., Haraguchi, T., Yamauchi, J., Tanabe, K., Nagasaka, M., Hagiwara, Y., Shimizu, T., Akiyama, H., Kobayashi, Y., Hasegawa, Y., & Yamano, Y. (2022). The Utility of Automated ASPECTS in Acute Ischemic Stroke for Intravenous Recombinant Tissue Plasminogen Activator (IV-rtPA) Therapy. Neurology International, 14(4), 981-990. https://doi.org/10.3390/neurolint14040077

