Development and Optimization of Irinotecan-Loaded PCL Nanoparticles and Their Cytotoxicity against Primary High-Grade Glioma Cells
Abstract
1. Introduction
2. Materials and Methods
2.1. Chemicals
2.2. IRH Solubility
2.3. IRH Stability
2.4. Solvent Evaporation Technique
2.4.1. Single Emulsion (Oil in Water (O/W))
2.4.2. Single Emulsion (Water in Oil (W/O))
2.4.3. Single Emulsion (Oil in Oil (O/O))
2.4.4. Double Emulsion (Water in Oil in Oil (W/O/O))
2.4.5. Double Emulsion (Water in Oil in Water (W/O/W))
The Influence of the Inclusion of Matrix Material in W/O/W
The Influence of Using Amorphized PCL W/O/W
The Influence of the Addition of Electrolytes to the Aqueous Phase W/O/W
2.5. The Influence of Different Parameters on Size, Charge and EE of Optimized NPs
2.6. Collection and Lyophilization of NPs
2.7. Morphology
2.8. Measurement of Particle Size and Zeta Potential
2.9. Measurement of Encapsulation Efficiency
2.10. Release Study
2.11. IRH HPLC Methodology
2.12. In Vitro Cell Culture and Cytotoxicity Study
2.13. Statistical Analysis
3. Results
3.1. IRH Solubility and Stability
3.2. Single Emulsion Optimization Parameters
3.2.1. Parameters Influencing the Size, PDI and Surface Charge
3.2.2. Parameters Influencing EE
3.3. Double Emulsion Optimization Parameters
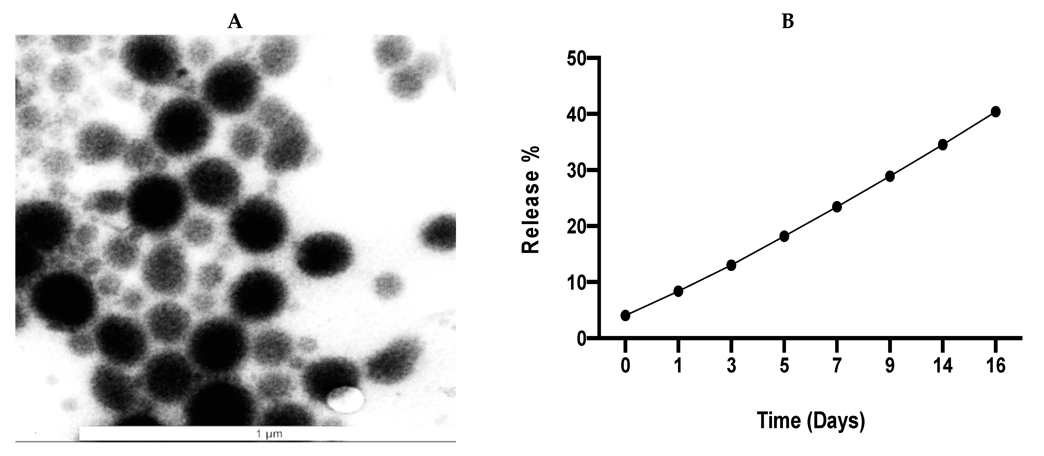
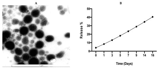
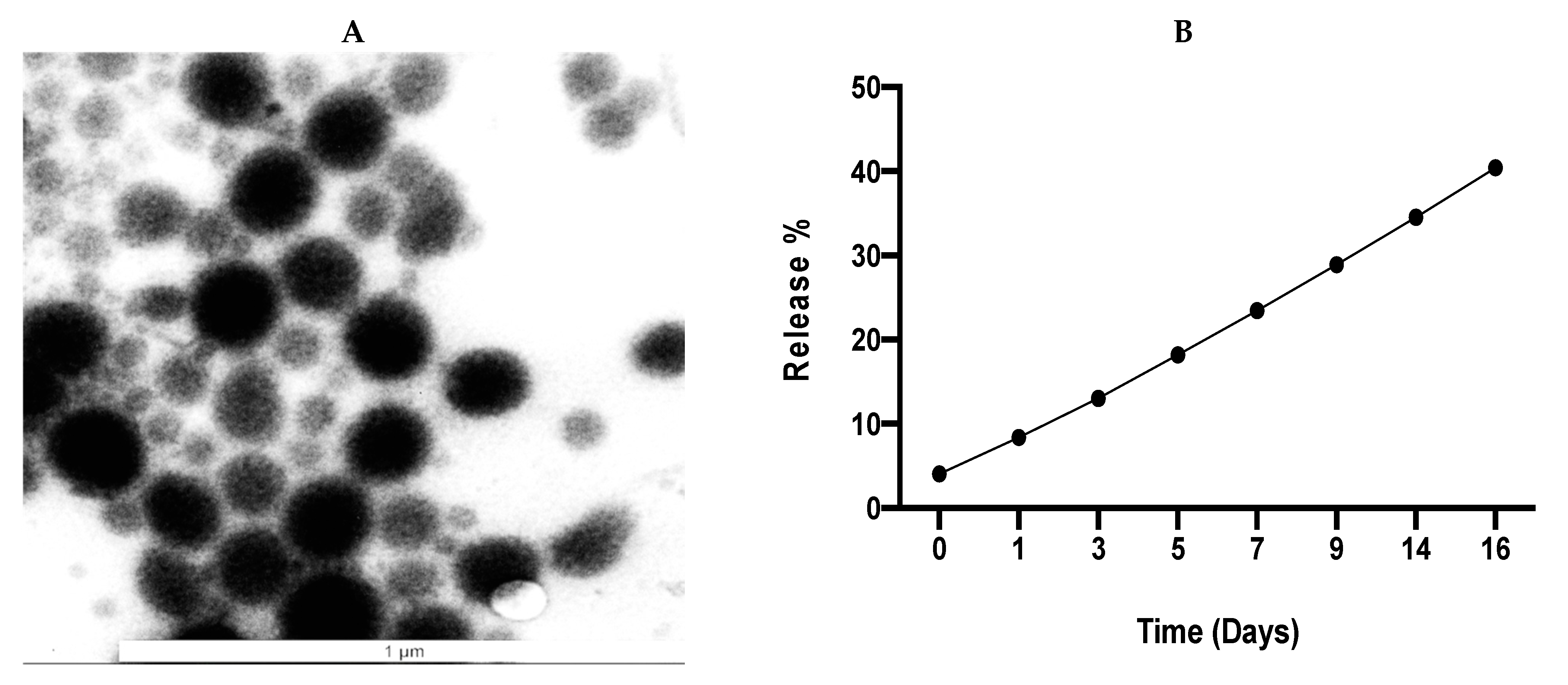
3.4. Characterization of the Optimized IRH-Loaded PCL Nanoparticles
4. Discussion
4.1. Parameters Influencing Size, PDI and Surface Charge of Nanoparticle Formulations
4.1.1. Sonication Time and Amplitude
4.1.2. Drug and Polymer Amount
4.1.3. Surfactant Concentration
4.1.4. Surfactant Type and Molecular Weight
4.2. Parameters Influencing Encapsulation Efficiency
4.2.1. Single Emulsion Solvent Evaporation Technique
4.2.2. Double Emulsion Solvent Evaporation Technique
Matrix Material
The Use of Amorphous PCL and the Addition of Electrolytes
Amount of IRH
Solvent Evaporation Time
Surfactant Concentration
Surfactants with Different HLB Values
Aqueous Phase Volume
pH of the Aqueous Phase
4.3. Characterization of the Optimized IRH-Loaded PCL Nanoparticles
4.3.1. Morphology and In Vitro Drug Release
4.3.2. Cytotoxicity
5. Conclusions
Author Contributions
Funding
Institutional Review Board Statement
Informed Consent Statement
Data Availability Statement
Conflicts of Interest
References
- Lapointe, S.; Perry, A.; Butowski, N.A. Primary brain tumours in adults. Lancet 2018, 392, 432–446. [Google Scholar] [CrossRef]
- Dolecek, T.A.; Propp, J.M.; Stroup, N.E.; Kruchko, C. CBTRUS statistical report: Primary brain and central nervous system tumors diagnosed in the United States in 2005–2009. Neuro. Oncol. 2012, 14. [Google Scholar] [CrossRef] [PubMed]
- Louis, D.N.; Perry, A.; Reifenberger, G.; von Deimling, A.; Figarella-Branger, D.; Cavenee, W.K.; Ohgaki, H.; Wiestler, O.D.; Kleihues, P.; Ellison, D.W. The 2016 World Health Organization Classification of Tumors of the Central Nervous System: A summary. Acta Neuropathol. 2016, 131, 803–820. [Google Scholar] [CrossRef] [PubMed]
- Parrish, K.E.; Cen, L.; Murray, J.; Calligaris, D.; Kizilbash, S.; Mittapalli, R.K.; Carlson, B.L.; Schroeder, M.A.; Sludden, J.; Boddy, A.V.; et al. Efficacy of PARP Inhibitor Rucaparib in Orthotopic Glioblastoma Xenografts Is Limited by Ineffective Drug Penetration into the Central Nervous System. Mol. Cancer Ther. 2015, 14. [Google Scholar] [CrossRef]
- Binello, E.; Germano, I.M. Targeting glioma stem cells: A novel framework for brain tumors. Cancer Sci. 2011, 102, 1958–1966. [Google Scholar] [CrossRef]
- Stupp, R.; Mason, W.P.; van den Bent, M.J.; Weller, M.; Fisher, B.; Taphoorn, M.J.B.; Belanger, K.; Brandes, A.A.; Marosi, C.; Bogdahn, U.; et al. Radiotherapy plus Concomitant and Adjuvant Temozolomide for Glioblastoma. N. Engl. J. Med. 2005, 352, 987–996. [Google Scholar] [CrossRef] [PubMed]
- Hart, M.G.; Garside, R.; Rogers, G.; Somerville, M.; Stein, K.; Grant, R. Chemotherapy wafers for high grade glioma. Cochrane Database Syst. Rev. 2011, 2011. [Google Scholar] [CrossRef]
- Friedman, H.S.; Kerby, T.; Calvert, H. Temozolomide and treatment of malignant glioma. Clin. Cancer Res. 2000, 6, 2585–2597. [Google Scholar]
- Chang, J.E.; Khuntia, D.; Robins, H.I.; Mehta, M.P. Radiotherapy and radiosensitizers in the treatment of glioblastoma multiforme. Clin. Adv. Hematol. Oncol. 2007, 5, 894–902, 907–915 . [Google Scholar]
- Iacob, G.; Dinca, E.B. Current data and strategy in glioblastoma multiforme. J. Med. Life 2009, 2, 386–393. [Google Scholar]
- Scott, J.; Tsai, Y.-Y.; Chinnaiyan, P.; Yu, H.-H.M. Effectiveness of Radiotherapy for Elderly Patients with Glioblastoma. Int. J. Radiat. Oncol. 2011, 81, 206–210. [Google Scholar] [CrossRef]
- Moore, D.C. Drug-Induced Neutropenia a Focus on Rituximab-Induced Late-Onset Neutropenia. Pharm. Ther. 2016, 41, 765–768. [Google Scholar]
- Mahmoud, B.S.; AlAmri, A.H.; McConville, C. Polymeric Nanoparticles for the Treatment of Malignant Gliomas. Cancers 2020, 12, 175. [Google Scholar] [CrossRef] [PubMed]
- Wicki, A.; Witzigmann, D.; Balasubramanian, V.; Huwyler, J. Nanomedicine in cancer therapy: Challenges, opportunities, and clinical applications. J. Control Release 2015, 200, 138–157. [Google Scholar] [CrossRef] [PubMed]
- Kreuter, J.; Alyautdin, R.N.; Kharkevich, D.A.; Ivanov, A.A. Passage of peptides through the blood-brain barrier with colloidal polymer particles (nanoparticles). Brain Res. 1995, 674, 171–174. [Google Scholar] [CrossRef]
- Drummond, D.C.; Meyer, O.; Hong, K.N.; Kirpotin, D.B.; Papahadjopoulos, D. Optimizing liposomes for delivery of chemotherapeutic agents to solid tumors. Pharmacol. Rev. 1999, 51, 691–744. [Google Scholar]
- Davis, M.E. The first targeted delivery of siRNA in humans via a self-assembling, cyclodextrin polymer-based nanoparticle: From concept to clinic. Mol. Pharm. 2009, 6, 659–668. [Google Scholar] [CrossRef]
- Shi, J.; Xiao, Z.; Kamaly, N.; Farokhzad, O.C. Self-assembled targeted nanoparticles: Evolution of technologies and bench to bedside translation. Acc. Chem. Res. 2011, 44, 1123–1134. [Google Scholar] [CrossRef]
- Béduneau, A.; Saulnier, P.; Benoit, J.P. Active targeting of brain tumors using nanocarriers. Biomaterials 2007, 28, 4947–4967. [Google Scholar] [CrossRef] [PubMed]
- Masood, F. Polymeric nanoparticles for targeted drug delivery system for cancer therapy. Mater. Sci. Eng. C 2016, 60, 569–578. [Google Scholar] [CrossRef]
- Mahapatro, A.; Singh, D.K. Biodegradable nanoparticles are excellent vehicle for site directed in-vivo delivery of drugs and vaccines. J. Nanobiotechnol. 2011, 9, 55. [Google Scholar] [CrossRef]
- West, K.; Otto, S. Reversible Covalent Chemistry in Drug Delivery. Curr. Drug Discov. Technol. 2005, 2, 123–160. [Google Scholar] [CrossRef] [PubMed]
- Peer, D.; Karp, J.M.; Hong, S.; Farokhzad, O.C.; Margalit, R.; Langer, R. Nanocarriers as an emerging platform for cancer therapy. Nat. Nanotechnol. 2007, 2, 751–760. [Google Scholar] [CrossRef] [PubMed]
- Liu, Z.; Robinson, J.T.; Tabakman, S.M.; Yang, K.; Dai, H. Carbon materials for drug delivery & cancer therapy. Mater. Today 2011, 14, 316–323. [Google Scholar] [CrossRef]
- Sinha, V.R.; Bansal, K.; Kaushik, R.; Kumria, R.; Trehan, A. Poly-ϵ-caprolactone microspheres and nanospheres: An overview. Int. J. Pharm. 2004, 278, 1–23. [Google Scholar] [CrossRef]
- Tang, Z.G.; Rhodes, N.P.; Hunt, J.A. Control of the Domain Microstructures of PLGA and PCL Binary Systems: Importance of Morphology in Controlled Drug Release. Chem. Eng. Res. Des. 2007, 85, 1044–1050. [Google Scholar] [CrossRef][Green Version]
- Hsiangl, Y.-H.; Hertzbergj, R.; Hechtj, S.; Lius, L.F. Camptothecin Induces Protein-Linked DNA Breaks via Mammalian DNA Topoisomerase I. J. Biol. Chem. 1985, 260, 4873–4878. [Google Scholar]
- Hoki, Y.; Fujimori, A.; Pommier, Y. Differential cytotoxicity of clinically important camptothecin derivatives in P-glycoprotein-overexpressing cell lines. Cancer Chemother. Pharmacol. 1997, 40, 433–438. [Google Scholar] [CrossRef]
- Ebrahimnejad, P.; Dinarvand, R.; Sajadi, S.A.; Atyabi, F.; Ramezani, F.; Jaafari, M.R. Preparation and characterization of poly lactide-co-glycolide nanoparticles of SN-38. PDA J. Pharm. Sci. Technol. 2009, 63, 512–520. [Google Scholar]
- Mosallaei, N.; Jaafari, M.R.; Hanafi-Bojd, M.Y.; Golmohammadzadeh, S.; Malaekeh-Nikouei, B. Docetaxel-Loaded Solid Lipid Nanoparticles: Preparation, Characterization, In Vitro, and In Vivo Evaluations. J. Pharm. Sci. 2013, 102, 1994–2004. [Google Scholar] [CrossRef]
- Vijaya Ramesh, D. Comparison of oil-in-oil, water-in-oil-in-water and melt encapsulation techniques for the preparation of controlled release B12 poly (ε-caprolactone) microparticles. Trends Biomater. Artif. Organs 2009, 23, 21–33. [Google Scholar]
- Wu, J.; Ding, D.; Ren, G.; Xu, X.; Yin, X.; Hu, Y. Sustained delivery of endostatin improves the efficacy of therapy in Lewis lung cancer model. J. Control Release 2009, 134, 91–97. [Google Scholar] [CrossRef]
- Pal, T.; Paul, S.; Sa, B. Polymethylmethacrylate Coated Alginate Matrix Microcapsules for Controlled Release of Diclofenac Sodium. Pharmacol. Pharm. 2011, 2, 56–66. [Google Scholar] [CrossRef]
- Pistel, K.F.; Kissel, T. Effects of salt addition on the microencapsulation of proteins using W/O/W double emulsion technique. J. Microencapsul. 2000, 17, 467–483. [Google Scholar] [CrossRef]
- Wei, H.; Song, J.; Li, H.; Li, Y.; Zhu, S.; Zhou, X.; Zhang, X.; Yang, L. Active loading liposomal irinotecan hydrochloride: Preparation, in vitro and in vivo evaluation. Asian J. Pharm. Sci. 2013, 8, 303–311. [Google Scholar] [CrossRef]
- Sharma, N.; Madan, P.; Lin, S. Effect of process and formulation variables on the preparation of parenteral paclitaxel-loaded biodegradable polymeric nanoparticles: A co-surfactant study. Asian J. Pharm. Sci. 2016, 11, 404–416. [Google Scholar] [CrossRef]
- Coombes, A.G.; Yeh, M.K.; Lavelle, E.C.; Davis, S.S. The control of protein release from poly(DL-lactide co-glycolide) microparticles by variation of the external aqueous phase surfactant in the water-in oil-in water method. J. Control Release 1998, 52, 311–320. [Google Scholar] [CrossRef]
- Mei, Q.; Luo, P.; Zuo, Y.; Li, J.; Zou, Q.; Li, Y.; Jiang, D.; Wang, Y. Formulation and in vitro characterization of rifampicin-loaded porous poly (ε-caprolactone) microspheres for sustained skeletal delivery. Drug Des. Devel. Ther. 2018, 12, 1533–1544. [Google Scholar] [CrossRef]
- Turnbull, D. Under what conditions can a glass be formed? Contemp. Phys. 1969, 10, 473–488. [Google Scholar] [CrossRef]
- Angell, C.A. Structural instability and relaxation in liquid and glassy phases near the fragile liquid limit. J. Non. Cryst. Solids 1988, 102, 205–221. [Google Scholar] [CrossRef]
- Kaasalainen, M.; Aseyev, V.; von Haartman, E.; Karaman, D.Ş.; Mäkilä, E.; Tenhu, H.; Rosenholm, J.; Salonen, J. Size, Stability, and Porosity of Mesoporous Nanoparticles Characterized with Light Scattering. Nanoscale Res. Lett. 2017, 12. [Google Scholar] [CrossRef] [PubMed]
- Shuai, X.; Ai, H.; Nasongkla, N.; Kim, S.; Gao, J. Micellar carriers based on block copolymers of poly(ε-caprolactone) and poly(ethylene glycol) for doxorubicin delivery. J. Control Release 2004, 98, 415–426. [Google Scholar] [CrossRef]
- Ortiz, R.; Prados, J.; Melguizo, C.; Arias, J.L.; Adolfina Ruiz, M.; Álvarez, P.J.; Caba, O.; Luque, R.; Segura, A.; Aránega, A. 5-fluorouracil-loaded poly(ε-caprolactone) nanoparticles combined with phage E gene therapy as a new strategy against colon cancer. Int. J. Nanomed. 2012, 7, 95–107. [Google Scholar] [CrossRef]
- Kirtane, A.R.; Abouzid, O.; Minahan, D.; Bensel, T.; Hill, A.L.; Selinger, C.; Bershteyn, A.; Craig, M.; Mo, S.S.; Mazdiyasni, H.; et al. Development of an oral once-weekly drug delivery system for HIV antiretroviral therapy. Nat. Commun. 2018, 9, 1–12. [Google Scholar] [CrossRef] [PubMed]
- Al-Kaysi, R.O.; Müller, A.M.; Ahn, T.S.; Lee, S.; Bardeen, C.J. Effects of Sonication on the Size and Crystallinity of Stable Zwitterionic Organic Nanoparticles Formed by Reprecipitation in Water. Langmuir 2005, 21, 7990–7994. [Google Scholar] [CrossRef] [PubMed]
- Li, M.K.; Fogler, H.S. Acoustic emulsification. Part 2. Breakup of the large primary oil droplets in a water medium. J. Fluid Mech. 1978, 88, 513. [Google Scholar] [CrossRef]
- Mason, T.J. Advances in Sonochemistry; Jai Press Ltd.: Greenwich, CT, USA, 1996; Volume 4, ISBN 0080560806. [Google Scholar]
- Gokce, Y.; Cengiz, B.; Yildiz, N.; Calimli, A.; Aktas, Z. Ultrasonication of chitosan nanoparticle suspension: Influence on particle size. Colloids Surf. Physicochem. Eng. Asp. 2014, 462, 75–81. [Google Scholar] [CrossRef]
- Retamal Marín, R.; Babick, F.; Lindner, G.-G.; Wiemann, M.; Stintz, M. Effects of Sample Preparation on Particle Size Distributions of Different Types of Silica in Suspensions. Nanomaterials 2018, 8, 454. [Google Scholar] [CrossRef]
- Saltiel, C.; Chen, Q.; Manickavasagam, S.; Schadler, L.S.; Siegel, R.W.; Menguc, M.P. Identification of the Dispersion Behavior of Surface Treated Nanoscale Powders. J. Nanoparticle Res. 2004, 6, 35–46. [Google Scholar] [CrossRef]
- Khayata, N.; Abdelwahed, W.; Chehna, M.F.; Charcosset, C.; Fessi, H. Preparation of vitamin E loaded nanocapsules by the nanoprecipitation method: From laboratory scale to large scale using a membrane contactor. Int. J. Pharm. 2012, 423, 419–427. [Google Scholar] [CrossRef]
- Mohammady, H.; Dinarvand, R.; Esfandyari Manesh, M.; Ebrahimnejad, P. Encapsulation of irinotecan in polymeric nanoparticles: Characterization, release kinetic and cytotoxicity evaluation. Nanomed. J 2016, 3, 159–168. [Google Scholar] [CrossRef]
- Mao, S.; Shi, Y.; Li, L.; Xu, J.; Schaper, A.; Kissel, T. Effects of process and formulation parameters on characteristics and internal morphology of poly(d,l-lactide-co-glycolide) microspheres formed by the solvent evaporation method. Eur. J. Pharm. Biopharm. 2008, 68, 214–223. [Google Scholar] [CrossRef]
- Chorny, M.; Fishbein, I.; Danenberg, H.D.; Golomb, G. Lipophilic drug loaded nanospheres prepared by nanoprecipitation: Effect of formulation variables on size, drug recovery and release kinetics. J. Control Release 2002, 83, 389–400. [Google Scholar] [CrossRef]
- Allémann, E.; Gurny, R.; Doelker, E. Preparation of aqueous polymeric nanodispersions by a reversible salting-out process: Influence of process parameters on particle size. Int. J. Pharm. 1992, 87, 247–253. [Google Scholar] [CrossRef]
- Lamprecht, A.; Ubrich, N.; Yamamoto, H.; Schäfer, U.; Takeuchi, H.; Lehr, C.M.; Maincent, P.; Kawashima, Y. Design of rolipram-loaded nanoparticles: Comparison of two preparation methods. J. Control Release 2001, 71, 297–306. [Google Scholar] [CrossRef]
- Zweers, M.L.T.; Grijpma, D.W.; Engbers, G.H.M.; Feijen, J. The preparation of monodisperse biodegradable polyester nanoparticles with a controlled size. J. Biomed. Mater. Res. 2003, 66, 559–566. [Google Scholar] [CrossRef]
- Arica, B.; Lamprecht, A. In Vitro Evaluation of Betamethasone-Loaded Nanoparticles. Drug Dev. Ind. Pharm. 2005, 31, 19–24. [Google Scholar] [CrossRef]
- Budhian, A.; Siegel, S.J.; Winey, K.I. Haloperidol-loaded PLGA nanoparticles: Systematic study of particle size and drug content. Int. J. Pharm. 2007, 336, 367–375. [Google Scholar] [CrossRef]
- Van de Ven, H.; Paulussen, C.; Feijens, P.B.; Matheeussen, A.; Rombaut, P.; Kayaert, P.; Van den Mooter, G.; Weyenberg, W.; Cos, P.; Maes, L.; et al. PLGA nanoparticles and nanosuspensions with amphotericin B: Potent in vitro and in vivo alternatives to Fungizone and AmBisome. J. Control Release 2012, 161, 795–803. [Google Scholar] [CrossRef] [PubMed]
- Giri, T.K.; Choudhary, C.; Alexander, A.; Badwaik, H.; Tripathi, D.K. Prospects of pharmaceuticals and biopharmaceuticals loaded microparticles prepared by double emulsion technique for controlled delivery. Saudi Pharm. J. 2013, 21, 125–141. [Google Scholar] [CrossRef]
- Singh, C.; Purohit, S.; Pandey, B.L.; Singh, M. Solvent Evaporation Technique of Microencapsulation: A systemic Review. Int. J. Adv. Pharm. Anal. 2014, 4, 96–104. [Google Scholar]
- Florence, A.T.; Whitehill, D. The formulation and stability of multiple emulsions. Int. J. Pharm. 1982, 11, 277–308. [Google Scholar] [CrossRef]
- Niwa, T.; Takeuchi, H.; Hino, T.; Kunou, N.; Kawashima, Y. Preparations of biodegradable nanospheres of water-soluble and insoluble drugs with D,L-lactide/glycolide copolymer by a novel spontaneous emulsification solvent diffusion method, and the drug release behavior. J. Control Release 1993. [Google Scholar] [CrossRef]
- Niwa, T.; Takeuchi, H.; Hino, T.; Kunou, N.; Kawashima, Y. In vitro drug release behavior of D,L-lactide/glycolide copolymer (PLGA) nanospheres with nafarelin acetate prepared by a novel spontaneous emulsification solvent diffusion method. J. Pharm. Sci. 1994, 83, 727–732. [Google Scholar] [CrossRef]
- Mandal, T.K. The Influence of Binding Solvents on Drug Release from Hydroxypropyl Methylcellulose Tablets. Drug Dev. Ind. Pharm. 1995, 21, 1389–1397. [Google Scholar] [CrossRef]
- Song, C.X.; Labhasetwar, V.; Murphy, H.; Qu, X.; Humphrey, W.R.; Shebuski, R.J.; Levy, R.J. Formulation and characterization of biodegradable nanoparticles for intravascular local drug delivery. J. Control Release 1997. [Google Scholar] [CrossRef]
- Govender, T.; Stolnik, S.; Garnett, M.C.; Illum, L.; Davis, S.S. PLGA nanoparticles prepared by nanoprecipitation: Drug loading and release studies of a water soluble drug. J. Control Release 1999. [Google Scholar] [CrossRef]
- Sriamornsak, P.; Thirawong, N.; Korkerd, K. Swelling, erosion and release behavior of alginate-based matrix tablets. Eur. J. Pharm. Biopharm. 2007, 66, 435–450. [Google Scholar] [CrossRef]
- Cui, J.-H.; Goh, J.-S.; Park, S.-Y.; Kim, P.-H.; Lee, B.-J. Preparation and Physical Characterization of Alginate Microparticles Using Air Atomization Method. Drug Dev. Ind. Pharm. 2001, 27, 309–319. [Google Scholar] [CrossRef]
- Halder, A.; Maiti, S.; Sa, B. Entrapment efficiency and release characteristics of polyethyleneimine-treated or -untreated calcium alginate beads loaded with propranolol–resin complex. Int. J. Pharm. 2005, 302, 84–94. [Google Scholar] [CrossRef] [PubMed]
- Rajinikanth, P.S.; Sankar, C.; Mishra, B. Sodium alginate microspheres of metoprolol tartrate for intranasal systemic delivery: Development and evaluation. Drug Deliv. J. Deliv. Target. Ther. Agents 2003, 10, 21–28. [Google Scholar] [CrossRef] [PubMed]
- Chang, L.; Deng, L.; Wang, W.; Lv, Z.; Hu, F.; Dong, A.; Zhang, J. Poly(ethyleneglycol)-b-Poly(ε-caprolactone-co-γ-hydroxyl-ε-caprolactone) Bearing Pendant Hydroxyl Groups as Nanocarriers for Doxorubicin Delivery. Biomacromolecules 2012, 13, 3301–3310. [Google Scholar] [CrossRef] [PubMed]
- Itoh, N.; Santa, T.; Kato, M. Rapid evaluation of the quantity of drugs encapsulated within nanoparticles by high-performance liquid chromatography in a monolithic silica column. Anal. Bioanal. Chem. 2015, 407, 6429–6434. [Google Scholar] [CrossRef] [PubMed]
- Maaz, A.; Abdelwahed, W.; Tekko, I.A.; Trefi, S. Influence of nanoprecipitation method parameters on nanoparticles loaded with gatifloxacin for ocular drug delivery. Int. J. Acad. Sci. Res. 2015, 3, 1–12. [Google Scholar]
- Unagolla, J.M.; Jayasuriya, A.C. Drug transport mechanisms and in vitro release kinetics of vancomycin encapsulated chitosan-alginate polyelectrolyte microparticles as a controlled drug delivery system. Eur. J. Pharm. Sci. 2018, 114, 199–209. [Google Scholar] [CrossRef]
- Grassi, M.; Grassi, G. Mathematical Modelling and Controlled Drug Delivery: Matrix Systems. Curr. Drug Deliv. 2005, 2, 97–116. [Google Scholar] [CrossRef]







| Form. No. | pH | Sonication Time (Minutes) | Sonication Amplitude (%) | PCL Amount (mg) | IRH Amount (mg) | Surfactant Type | Surfactant% |
|---|---|---|---|---|---|---|---|
| SE 1 | 10 | 60 | 60 | 2 | PVA | 4% | |
| SE 2 | 15 | 60 | 60 | 2 | PVA | 4% | |
| SE 3 | 20 | 60 | 60 | 2 | PVA | 4% | |
| SE 4 | 10 | 60 | 120 | 2 | PVA | 4% | |
| SE 5 | 10 | 60 | 240 | 2 | PVA | 4% | |
| SE 6 | 10 | 60 | 60 | 6 | PVA | 4% | |
| SE 7 | 10 | 60 | 60 | 18 | PVA | 4% | |
| SE 8 | 10 | 60 | 108 | 6 | PVA | 4% | |
| SE 9 | 10 | 50 | 108 | 6 | PVA | 4% | |
| SE 10 | 10 | 50 | 60 | 2 | PVA | 8% | |
| SE 11 | 10 | 50 | 60 | 2 | PVA | 0.4% | |
| SE 12 | 10 | 50 | 60 | 2 | PVP | 4% | |
| SE 13 | 3 | 10 | 50 | 60 | 2 | PVA | 4% |
| SE 14 | 3 | 10 | 50 | 60 | 2 | PVA | 8% |
| Form No. | pH | PCL Amount (mg) | IRH Amount (mg) | Aqueous Phase Volume (mL) | Surfactant Type | Surfactant % | Surfactant Average MW (g/mol) | Evaporation Time (hours) |
|---|---|---|---|---|---|---|---|---|
| DE 1 | 108 | 12 | 50 | Span-80 | 0.3% | N/A | 4 | |
| DE 2 | 108 | 6 | 25 | PVA | 4% | 13K | 4 | |
| DE 3 | 108 | 6 | 100 | Span-80/Tween-80 | 1% Span-80 1.25% Tween-80 | N/A | 4 | |
| DE 4 | 108 | 6 | 25 | PVA | 4% | 13K | 4 | |
| DE 5 | 108 | 6 | 25 | PVA | 4% | 13K | 4 | |
| DE 6 | 108 | 6 | 25 | PVA | 4% | 13K | 4 | |
| DE 7 | 108 | 4 | 25 | PVA | 4% | 13K | 4 | |
| DE 8 | 108 | 6 | 25 | PVA | 4% | 13K | 7 | |
| DE 9 | 108 | 6 | 25 | PVA | 4% | 13K | 12 | |
| DE 10 | 108 | 6 | 25 | PVA | 4% | 13K | 24 | |
| DE 11 | 108 | 6 | 25 | PVA | 4% | 89K | 4 | |
| DE 12 | 108 | 6 | 25 | PVA | 8% | 89K | 4 | |
| DE 13 | 108 | 6 | 25 | Span-80/Tween-20 | 4% | N/A | 4 | |
| DE 14 | 108 | 6 | 25 | Span-80/PVA | 4% | N/A | 4 | |
| DE 15 | 108 | 6 | 15 | PVA | 4% | 13K | 4 | |
| DE 16 | 108 | 6 | 50 | PVA | 4% | 13K | 4 | |
| DE 17 | 3 | 108 | 6 | 25 | PVA | 4% | 13K | 4 |
| DE 18 | 3 | 108 | 6 | 25 | PVA | 4% | 13K | 4 |
| Formulation | EE% | Influencing Parameter |
|---|---|---|
| SE9 | 7.5 | Emulsification Method (O/W) |
| SE16 | 40.5 | Emulsification Method (O/O) |
| SE17 | 12.1 | Amorphization |
| DE1 | 11.1 | Emulsification Method (W/O/O) |
| DE2 | 24.6 | Emulsification Method (W/O/W) |
| DE3 | 18.7 | Inclusion of Matrix Material |
| DE4 | 34.8 | Amorphization |
| DE5 | 65.0 | Amorphization/Electrolyte Addition |
| DE6 | 23.6 | Amorphization/Electrolyte Addition |
| DE7 | 56.0 | Drug amount |
| DE8 | 69.2 | Solvent evaporation time |
| DE11 | 66.1 | Surfactant MW and concentration |
| DE12 | 73.2 | Surfactant MW and concentration |
| DE13 | 31.2 | Surfactant Type |
| DE14 | 37.5 | Surfactant Type |
| DE15 | 67.3 | Aqueous Phase volume |
| DE16 | 73.7 | Aqueous Phase volume |
| DE17 | 23.6 | Aqueous Phase pH |
| DE18 | 22.3 | Aqueous Phase pH |
| DE19 | 29.0 | Surfactant concentration and pH |
| DE20 | 43.3 | Surfactant concentration and pH |
| Zero-Order | Higuchi | Korsmeyer–Peppas | ||||
|---|---|---|---|---|---|---|
| R2 | k (% h−1) | R2 | k (%h−0.5) | R2 | k (%h−n) | n |
| 0.9991 | 0.1071 | 0.9595 | 0.5093 | 0.9958 | 0.5269 | 0.6894 |
Publisher’s Note: MDPI stays neutral with regard to jurisdictional claims in published maps and institutional affiliations. |
© 2021 by the authors. Licensee MDPI, Basel, Switzerland. This article is an open access article distributed under the terms and conditions of the Creative Commons Attribution (CC BY) license (https://creativecommons.org/licenses/by/4.0/).
Share and Cite
Mahmoud, B.S.; McConville, C. Development and Optimization of Irinotecan-Loaded PCL Nanoparticles and Their Cytotoxicity against Primary High-Grade Glioma Cells. Pharmaceutics 2021, 13, 541. https://doi.org/10.3390/pharmaceutics13040541
Mahmoud BS, McConville C. Development and Optimization of Irinotecan-Loaded PCL Nanoparticles and Their Cytotoxicity against Primary High-Grade Glioma Cells. Pharmaceutics. 2021; 13(4):541. https://doi.org/10.3390/pharmaceutics13040541
Chicago/Turabian StyleMahmoud, Basant Salah, and Christopher McConville. 2021. "Development and Optimization of Irinotecan-Loaded PCL Nanoparticles and Their Cytotoxicity against Primary High-Grade Glioma Cells" Pharmaceutics 13, no. 4: 541. https://doi.org/10.3390/pharmaceutics13040541
APA StyleMahmoud, B. S., & McConville, C. (2021). Development and Optimization of Irinotecan-Loaded PCL Nanoparticles and Their Cytotoxicity against Primary High-Grade Glioma Cells. Pharmaceutics, 13(4), 541. https://doi.org/10.3390/pharmaceutics13040541

