Advanced Pathogen Monitoring in Penaeus vannamei from Three Latin American Regions: Passive Surveillance Part 2
Abstract
1. Introduction
1.1. Findings from Phase One
1.2. Sample Context and Rationale
2. Materials and Methods
2.1. Sample Collection
Sampling Locations and Data Collection
- Region 1: Samples were taken from four different hatcheries (5 samples in total), eight company farms (76 samples), six broodstock rearing units (44 samples), and from live wild shrimp obtained from local fishermen, including Penaeus vannamei (10 samples) and Penaeus stylirostris (8 samples).
- Region 3: Samples were collected from the country’s only hatchery (3 samples) and the only farm (10 samples). Additionally, live wild Penaeus monodon (10 samples) were purchased from local fishermen.
- Region 4: Samples were collected from two hatcheries (5 samples in total), two farms (4 samples), and one maturation unit.
2.2. PCR Methods Used
- Samples used for extraction
- IHHNV: 2 pleopods per animal pool of 5 animals.
- PvNV: 2 pleopods per animal pool of 5 animals.
- Spiroplasma: DNA pool of 2 pleopods per animal, pool of 5 animals; 10 gill pools of animals; whole hepatopancreas pools of 5 animals.
- WSSV: 10 gills per animal pool of 5 animals.
- TSV: 10 gills per animal pool of 5 animals.
- MrNV and XSV: 10 gills per animal pool of 5 animals.
- IMNV: 10 gills per animal pool of 5 animals.
- YHV-GAV: 10 gills per animal pool of 5 animals.
- DHPV: Whole hepatopancreas pool of 5 animals.
- MHBV: Whole hepatopancreas pool of 5 animals.
- DIV1: Whole hepatopancreas pool of 5 animals.
- WzSV8: Whole hepatopancreas pool of 5 animals.
- PvSV: Whole hepatopancreas pool of 5 animals.
- RLB: Whole hepatopancreas pool of 5 animals.
- NHPB: Whole hepatopancreas pool of 5 animals.
- EHP: Whole hepatopancreas pool of 5 animals.
2.3. The Following Pathogens Were Screened with the Methods Tested
2.4. Primer Sets Used in This Study
| Primer | Product | Sequence (5′-3′) | Ta | References |
| WSSV | ||||
| 146F1 146R1. 146F2 Nested 146R2 Nested | 1447 bp 941 bp | ACTACTAACTTCAGCCTATCTAG TAATGCGGGTGTAATGTTCTTACGA GTAACTGCCCCTTCCATCTCCA. TACGGCAGCTGCTGCACCTTGT | 55 °C 55 °C | [48] |
| DHPV | ||||
| H441F1 H441R1 | 441 bp | GCATTACAAGAGCCAAGCAG ACACTCAGCCTCTACCTTGT | 60 °C | [28,29] |
| HPVnF HPVnR1 | 265 bp | ATAGAACGCATAGAAAACGCT CAGCGATTCATTCCAGCGCCACC | 55 °C | |
| HPVnF HPVnR | 265 bp | ATAGAACGCATAGAAAACGCT GGTGGCGCTGGAATGAATCGCTA | 55 °C | |
| 1120F 1120R | 592 bp | GGTGATGTGGAGGAGAGA GTAACTATCGCCGCCAAC | 60 °C | [30] |
| DHPV-U 1538 F DHPV-U 1887 R DHPV-U 1622 F. | 350 bp 266 bp | CCTCTTGTTACATTTTACTC GATGTCTTCTGTAGTCC AAGTTTGCACAGTGGTTGT | 55 °C 55 °C | [31] |
| IHHNV | ||||
| 389F | 389 bp | CGGAACACAACCCGACTTTA | 55 °C | [42] |
| 389R | GGCCAAGACCAAAATACGAA | |||
| 77012F | 356 bp | ATCGGTGCACTACTCGGA | 55 °C | [39] |
| 77353R | TCGTACTGGCTGTTCATC | |||
| 392F | 392 bp | GGGCGAACCAGAATCACTTA | 55 °C | [41] |
| 392R | ATCCGGAGGAATCTGATGTG | |||
| 309F | 309 bp | TCCAACACTTAGTCAAAACCAA | 55 °C | [42] |
| 309R | TGTCTGCTACGATGATTATCCA | |||
| MrBidnavirus | ||||
| MrBdv-L MrBdv-R | 392 bp | GCATTAATGGATTGGGAAGG TCGATGTCTGGATGACCGTA | 53 °C | [32] |
| DIV1 | ||||
| SHIV-F1 SHIV-R1 SHIV-F2 SHIV-R2 | 457 bp 129 bp | GGGCGGGAGATGGTGTTAGAT TCGTTTCGGTACGAAGATGTA CGGGAAACGATTCGTATTGGG TTGCTTGATCGGCATCCTTGA | 59 °C 59 °C | [4] |
| PvNV | ||||
| PvNV339F PvNV339R PvNV246NF PvNV246NR | 339 bp 246 bp | CTGTCTCACAGGCTGGTTCA CCGTTTGAATTTCAGCAACA CAAAACTGTGCCTTTGATCG GCCTTATCCACACGAACGTC | 55 °C 60 °C | [49] |
| IMNV | ||||
| 4587F 4914R 4725NF 4863NR | 328 bp 139 bp | CGACGCTGCTAACCATACAA ACTCGGCTGTTCGATCAAGT GGCACATGCTCAGAGACA AGCGCTGAGTCCAGTCTTG | 60 °C 65 °C | [8] |
| CMNV | ||||
| CMNV-7F1 CMNV-7R1 CMNV-7F2 CMNV-7R2 | 619 bp 165 bp | AAATACGGCGATGACG ACGAAGTGCCCACAGAC CACAACCGAGTCAAACC GCGTAAACAGCGAAGG | 45 °C 50 °C | [9] |
| TSV | ||||
| 9992 F 9195 R 7171 F 7511 R | 231 bp 341 bp | AAGTAGACAGCCGCGCTT TCAATGAGAGCTTGGTCC CGACAGTTGGACATCTAGTG GAGCTTCAGACTGCAACTTC | 60 °C 60 °C | [13,51] |
| YHV-GAV | ||||
| YHV GY1 YHV GY4 YHV GY2 YHV Y3 YHV G6 YHV GY5 | 794 bp 406–277 bp | GACATCACTCCAGACAACATCTG GTGAAGTCCATGTGTGTGAGACG CATCTGTCCAGAAGGCGTCTATGA ACGCTCTGTGACAAGCATGAAGTT GTAGTAGAGACGAGTGACACCTAT GAGCTGGAATTCAGTGAGAGAACA | 66 °C 66 °C | [50] |
| WzSV 8 | ||||
| 504F 504R 170F (Nested) 170R (Nested) 428 F BIOT 428 R BIOT 168 F BIOT Nested 168 R BIOT Neste | 504 bp 170 bp 482 bp 168 bp | CAAGGTGGAGGTTACAGGAG ACGAGGTATCCGTTGATGTC GACCGATGAATACGACAGAGA GGACAAGAGGAAGATTTGGC ATGCCTCTGGAAAGCGATAC GGTGTTAGATCGCTCCTTCTTC GAAAGCGATACTCCTACGACAG TCTTGAGTTTGAGGAAGGTGAG | 60 °C 60 °C 60 °C 60 °C | [26] [27] |
| PvSV | ||||
| 3136 F 3268 R | 133 bp | TACGCCACGAACGAGAACAA GGACAGCGACAAAGACGAGA | 60 °C | [7] |
| MrNV | ||||
| fragment1F fragment1R fragment2-F fragment2-R RNA2-fragm1F RNA2-fragm1R RNA2-fragm2-F RNA2-fragm2-R FL-XSV-F FL-XSV-R MrNV-RNA2 F MrNV-RNA2 R XSV F XSV R | 1486 bp 1736 bp 664 bp 534 bp 681 bp 796 bp 507 bp | GTTAAACGTTTTGTTTTCTAGC ACACCTACATTCGCTTCGGG CCCGAAGCGAATGTAGGTGT CGAAAGAGTGAAGGAGACTTGG CCCATCATGTGCTAGATATGAC AGGCAGGCTACGTCACAAGT ACTTGTGACGTAGCCTGCCT AAAGGATATTCGATATTCTATC CCACGTCTAGCTGCTGAC GTT AAGGTCTTTATTTATCGACGC GATACAGATCCACTAGATGACC GACGATAGCTCTGATAATCC GGAGAACCATGAGATCACG CTGCTCATTACTGTTCGGAGTC | 50 °C 50 °C 50 °C 50 °C 50 °C 50 °C 52 °C | [3] [15] |
| EHP | ||||
| EHP510 F EHP510 R MF1 MR1 VE-SWP-365F VE-SWP-365R β-tubulin-262F β-tubulin-879R SWP_1F SWP_1R SWP_2F Nested SWP_2R Nested SSU ENF779 F1 SSU ENF779 R1 SSU ENF176 F1 SSU ENF176 R1 | 510 bp 900– 1000 bp 365 bp 262 bp 514 bp 148 bp 779 bp 176 bp | GCCTGAGAGATGGCTCCCACGT GCGTACTATCCCCAGAGCCCGA CCG GAG AGG GAG CCT GAGA GAC GGG CGG TGT GTA CAAA TTCATGCAGATACAGCATTTGT AATTACGCCATTTATCATGCTT CAGCTGGTTGAAAATGCAAA GTGCAAAAATGCCTTTCGTT TTGCAGAGTGTTGTTAAGGGTTT CACGATGTGTCTTTGCAATTTTC TTGGCGGCACAATTCTCAAACA GCTGTTTGTCTCCAACTGTATTTGA CAGCAGGCGCGAAAATTGTCCA AAGAGATATTGTATTGCGCTTGCTG CAACGCGGGAAAACTTACCA ACCTGTTATTGCCTTCTCCCTCC | 60 °C 55 °C 60 °C 60 °C 58 °C 64 °C 58 °C 64 °C | [43] [21] [44] [44] [45] [42] |
| Microsporidia | ||||
| TS1 TS2 18f 1492r V1 1492 | 600 bp 1200 bp 1200 bp | GTCGGAATTCGCCAGCAGCCGCGGT CAGCGGATCCGTCAAATTAAGCCGC CACCAGGTTGATTCTGCCTGAC GGTTACCTTGTTACGACTT CACCAGGTTGATTCTGCC GGTTACCTTGTTACGACTT | 55 °C 45 °C 58 °C | [22,23] [36,37] [38] |
| Rickettsia | ||||
| BACT F BACT R RIK F RIK R Rp877p Rp1258 n | 1500 bp 532 bp 380 bp | CCGAATTCGTCGACAACAGAGTTTGATCCTGGCTCAG CCCGGGATCCAAGCTTACGGCTACCTTGTTACGACTT GCGTAGGCGGATTAGTTAGTCAGAG GTTGCGCTCGTTACAGGACT GGGGACCTGCTCACGGCGG ATTGCAAAAAGTACAGTGAACA | 45 °C 60 °C 45 °C | [13] [33] |
| NHPB | ||||
| NHPF2 NHPR2 | 379 bp | CGTTGGAGGTTCGTCCTTCAGT GCCATGAGGACCTGACATCATC | 72 °C | [19] |
| Spiroplasma | ||||
| CSF:5′ CSR:5′ F28 R5 Pri-1 Pri-2 | 269 bp 270 bp 1200 bp | TAGCCGAACTGAGAGGTTGA GATAACGCTTGCCACCTATG CGCAGACGGTTTAGCAAGTTTGGG AGCACCGAACTTAGTCCGACAC TTGCTGATTCGCGATTACTAG CTAATACATGCAAGTCGAACG | 60 °C 56 °C 65 °C | [16] [34] [35] |
| Vibrio | 120 bp | |||
| Vib-F Vib2-R | GGCGTAAAGCGCATGCAGGT GAAATTCTACCCCCCTCTACAG | 55 °C | [46] | |
| AHPND | 1269 bp | |||
| AP4F1 AP4R1 AP4F2 Nested AP4R2 Nested | 230–357 bp 1142–1269 bp | ATGAGTAACAATATAAAACATGAAAC ACGATTTCGACGTTCCCCAA TTGAGAATACGGGACGTGGG GTTAGTCATGTGAGCACCTTC | 55 °C 55 °C | [47] |
2.5. Histopathology
3. Results
3.1. PCR Results
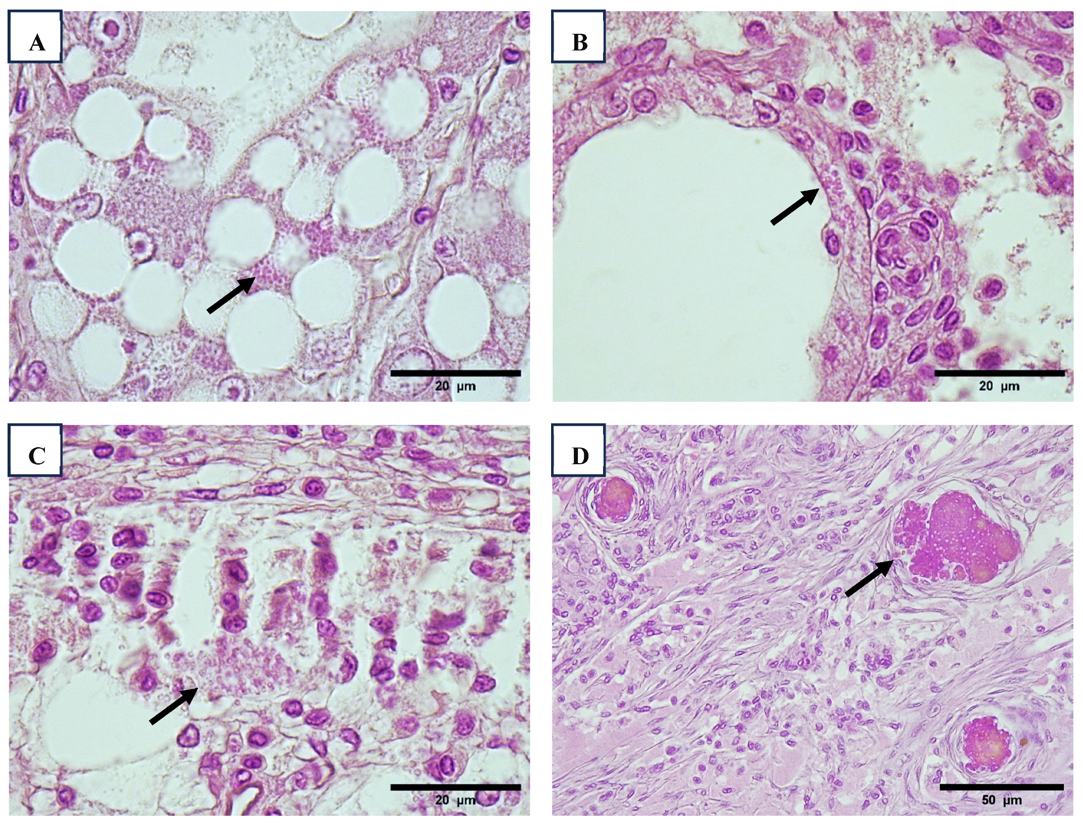
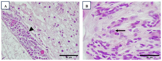
3.2. Histopathology Results
4. Discussion
- Geographic Distribution and Pathogen Prevalence: Understanding the regional variability of pathogen prevalence is essential for effective disease control.
- PCR Primer Selection: The critical importance of using geographically specific primers is highlighted, as incorrect primer selection can lead to false positives due to primer cross-reactivity or environmental DNA contamination. These factors should be considered when developing diagnostic protocols for pathogen detection.
Supplementary Materials
Author Contributions
Funding
Institutional Review Board Statement
Data Availability Statement
Acknowledgments
Conflicts of Interest
References
- Intriago, P.; Medina, A.; Cercado, N.; Arteaga, K.; Montenegro, A.; Burgos, M.; Espinoza, J.; Brock, J.A.; McIntosh, R.; Flegel, T. Passive surveillance for shrimp pathogens in Penaeus vannamei submitted from three regions of Latin America. Aquac. Rep. 2024, 36, 102092. [Google Scholar] [CrossRef]
- Penzes, J.J.; Soderlund-Venermo, M.; Canuti, M.; Eis-Hübinger, A.M.; Hughes, J.; Cotmore, S.F.; Harrach, B. Reorganizing the family Parvoviridae: A revised taxonomy independent of the canonical approach based on host association. Arch. Virol. 2020, 165, 2133–2146. [Google Scholar] [CrossRef] [PubMed]
- Gangnonngiw, W.; Bunnontae, M.; Phiwsaiya, K.; Senapin, S.; Dhar, A.K. In experimental challenge with infectious clones of Macrobrachium rosenbergii nodavirus (MrNV) and extra small virus (XSV), MrNV alone can cause mortality in freshwater prawn (Macrobrachium rosenbergii). Virology 2020, 540, 30–37. [Google Scholar] [CrossRef] [PubMed]
- Qiu, L.; Chen, M.M.; Wan, X.Y.; Li, C.; Zhang, Q.L.; Wang, R.Y.; Cheng, D.Y.; Dong, X.; Yang, B.; Wang, X.H.; et al. Characterization of a new member of Iridoviridae, Shrimp hemocyte iridescent virus (SHIV), found in whiteleg shrimp (Litopenaeus vannamei). Sci. Rep. 2017, 7, 11834. [Google Scholar] [CrossRef]
- Li, C.X.; Shi, M.; Tian, J.H.; Lin, X.-D.; Kang, Y.J.; Chen, L.J.; Qin, X.C.; Xu, J.; Holmes, E.C.; Zhang, Y.Z. Unprecedented genomic diversity of RNA viruses in arthropods reveals the ancestry of negative-sense RNA viruses. eLife 2015, 4, e05378. [Google Scholar] [CrossRef]
- Liu, S.; Xu, T.; Wang, C.; Jia, T.; Zhang, Q. A novel picornavirus discovered in whiteleg shrimp Penaeus vannamei. Viruses 2021, 13, 2381. [Google Scholar] [CrossRef]
- Cruz-Flores, R.; Andrade, T.P.; Mai, H.N.; Alenton, R.R.R.; Dhar, A.K. Identification of a novel Solinvivirus with nuclear localization associated with mass mortalities in cultured whiteleg shrimp (Penaeus vannamei). Viruses 2022, 14, 2220. [Google Scholar] [CrossRef]
- Poulos, B.T.; Lightner, D.V. Detection of infectious myonecrosis virus (IMNV) of penaeid shrimp by reverse-transcriptase polymerase chain reaction (RT-PCR). Dis. Aquat. Org. 2006, 73, 69–72. [Google Scholar] [CrossRef]
- Zhang, Q.; Xu, T.T.; Wan, L.; Liu, W.; Wang, L.X.; Dong, X.; Yang, B.; Huang, J. Prevalence and distribution of covert mortality nodavirus (CMNV) in cultured crustaceans. Virus Res. 2017, 233, 113–119. [Google Scholar] [CrossRef]
- Lightner, D.V.; Pantoja, C.R.; Poulos, B.T.; Tang, K.F.J.; Redman, R.M.; Pasos de Andrade, T.; Bonami, J.R. Infectious myonecrosis (IMN): A new virus disease of Litopenaeus vannamei. In Aquaculture 2004 Book of Abstracts; World Aquaculture Society: Baton Rouge, LA, USA, 2004; p. 353. [Google Scholar]
- Lightner, D.V.; Pantoja, C.R.; Poulos, B.T.; Tang, K.F.J.; Redman, R.M.; Pasos de Andrade, T.; Bonami, J.R. Infectious myonecrosis: New disease in Pacific white shrimp. Glob. Aquac. Advocate 2004, 7, 85. [Google Scholar]
- Tang, K.F.J.; Lightner, D.V. A yellow-head virus gene probe: Application to in situ hybridization and determination of its nucleotide sequence. Dis. Aquat. Org. 1999, 35, 165–173. [Google Scholar] [CrossRef] [PubMed]
- Nunan, L.M.; Poulos, B.T.; Lightner, D.V. Reverse transcription polymerase chain reaction (RT-PCR) used for the detection of Taura Syndrome Virus (TSV) in experimentally infected shrimp. Dis. Aquat. Org. 1998, 34, 87–91. [Google Scholar] [CrossRef] [PubMed]
- Sri Widada, J.; Durand, S.; Cambournac, I.; Qian, D.; Shi, Z.; Dejonghe, E.; Richard, V.; Bonami, J.R. Genome-based detection methods of Macrobrachium rosenbergii nodavirus, a pathogen of the giant freshwater prawn, Macrobrachium rosenbergii: Dot-blot, in situ hybridization and RT-PCR. J. Fish Dis. 2003, 26, 583–590. [Google Scholar] [CrossRef] [PubMed]
- Senapin, S.; Jaengsanong, C.; Phiwsaiya, K.; Prasertsri, S.; Laisutisan, K.; Chuchird, N.; Limsuwan, C.; Flegel, T.W. Infections of MrNV (Macrobrachium rosenbergii nodavirus) in cultivated whiteleg shrimp Penaeus vannamei in Asia. Aquaculture 2012, 338–341, 41–46. [Google Scholar] [CrossRef]
- Nunan, L.M.; Pantoja, C.R.; Salazar, M.; Aranguren, F.; Lightner, D.V. Characterization and molecular methods for detection of a novel spiroplasma pathogenic to Penaeus vannamei. Dis. Aquat. Org. 2004, 62, 255–264. [Google Scholar] [CrossRef]
- Nunan, L.M.; Poulos, B.; Redman, R.; Le Groumellec, M.; Lightner, D.V. Molecular detection methods developed for a systemic rickettsia-like bacterium (RLB) in Penaeus monodon (Decapoda: Crustacea). Dis. Aquat. Org. 2003, 53, 15–23. [Google Scholar] [CrossRef]
- Nunan, L.M.; Noble, B.; Le Groumellec, M.; Lightner, D.V. Experimental infection of Penaeus vannamei by a rickettsia-like bacterium (RLB) originating from P. monodon. Dis. Aquat. Org. 2003, 54, 43–48. [Google Scholar] [CrossRef]
- Aranguren, L.F.; Tang, K.F.J.; Lightner, D.V. Quantification of the bacterial agent of necrotizing hepatopancreatitis (NHP-B) by real-time PCR and comparison of survival and NHP load of two shrimp populations. Aquaculture 2010, 307, 187–192. [Google Scholar] [CrossRef]
- Mohney, L.L.; Lightner, D.V.; Bell, T.A. An epizootic of vibriosis in Ecuadorian pond-reared Penaeus vannamei Boone (Crustacea: Decapoda). J. World Aquac. Soc. 1994, 25, 116–125. [Google Scholar] [CrossRef]
- Tourtip, S.; Wongtripop, S.; Stentiford, G.D.; Bateman, K.S.; Sriurairatana, S.; Chavadej, J.; Sritunyalucksana, K.; Withyachumnarnkul, B. Enterocytozoon hepatopenaei sp. nov. (Microsporidia: Enterocytozoonidae), a parasite of the black tiger shrimp Penaeus monodon (Decapoda: Penaeidae): Fine structure and phylogenetic relationships. J. Invertebr. Pathol. 2009, 102, 21–29. [Google Scholar] [CrossRef]
- Pasharawipas, T.; Flegel, T.W. A specific DNA probe to identify the intermediate host of a common microsporidian parasite of Penaeus merguiensis and P. monodon. Asian Fish. Sci. 1994, 7, 157–167. [Google Scholar] [CrossRef]
- Pasharawipas, T.; Flegel, T.W.; Chaiyaroj, S.; Mongkolsuk, S.; Sirisinha, S. Comparison of amplified RNA gene sequences from microsporidian parasites (Agmasoma or Thelohania) in Penaeus merguiensis and P. monodon. Asian Fish. Sci. 1994, 7, 169–178. [Google Scholar] [CrossRef]
- Aranguren Caro, L.F.; Mai, H.N.; Noble, B.; Dhar, A.K. Acute hepatopancreatic necrosis disease (VP AHPND), a chronic disease in shrimp Penaeus vannamei population raised in Latin America. J. Invertebr. Pathol. 2020, 174, 107424. [Google Scholar] [CrossRef] [PubMed]
- Morales-Covarrubias, M.S.; Cuellar-Anjel, J.; Varela-Mejías, A.; Elizondo-Ovares, C. Shrimp bacterial infections in Latin America: A review. Asian Fish. Sci. 2018, 31S, 76–87. [Google Scholar] [CrossRef]
- Lanza. Personal Communication; Universidade Federal do Rio Grande do Norte: Natal, Brazil, 2022. [Google Scholar]
- Srisala, J.; Thaiue, D.; Saguanrut, P.; Taengchaiyaphum, S.; Flegel, T.W.; Sritunyalucksana, K. Wenzhou shrimp virus 8 (WzSV8) detection by unique inclusions in shrimp hepatopancreatic E-cells and by RT-PCR. Aquaculture 2023, 572, 739483. [Google Scholar] [CrossRef]
- Phromjai, J.; Boonsaeng, V.; Withyachumnarnkul, B.; Flegel, T.W. Detection of hepatopancreatic parvovirus in Thai shrimp Penaeus monodon by in situ hybridization, dot blot hybridization and PCR amplification. Dis. Aquat. Org. 2002, 51, 227–232. [Google Scholar] [CrossRef]
- Umesha, K.R.; Kennedy, B.; Dass, M.; Manja Naik, B.; Venugopal, M.N.; Karunasagar, I.; Karunasagar, I. High prevalence of dual and triple viral infections in black tiger shrimp ponds in India. Aquaculture 2006, 258, 91–96. [Google Scholar] [CrossRef]
- Pantoja, C.R.; Lightner, D.V. A nondestructive method based on the polymerase chain reaction for detection of hepatopancreatic parvovirus of penaeid shrimp. Dis. Aquat. Org. 2000, 39, 177–182. [Google Scholar] [CrossRef]
- Srisala, J.; Thaiue, D.; Sanguanrut, P.; Aldama-Cano, D.J.; Flegel, T.W.; Sritunyalucksana, K. Potential universal PCR method to detect decapod hepanhamaparvovirus (DHPV) in crustaceans. Aquaculture 2021, 541, 736782. [Google Scholar] [CrossRef]
- Gangnonngiw, W.; Bunnontae, M.; Kayansamruaj, P.; Senapin, S.; Srisala, J.; Flegel, T.W.; Wongprasert, K. A novel ssDNA Bidnavirus in the giant freshwater prawn Macrobrachium rosenbergii. Aquaculture 2023, 568, 739340. [Google Scholar] [CrossRef]
- Potts, R.; Molina, I.; Sheele, J.M.; Pietri, J.E. Molecular detection of Rickettsia infection in field-collected bed bugs. New Microbes New Infect. 2020, 34, 1–6. [Google Scholar] [CrossRef] [PubMed]
- Bastian, F.O.; Dash, S.; Garry, R.F. Linking chronic wasting disease to scrapie by comparison of Spiroplasma mirum ribosomal DNA sequences. Exp. Mol. Pathol. 2004, 77, 49–56. [Google Scholar] [CrossRef] [PubMed]
- Ding, Z.; Bi, K.; Wu, T.; Gu, W.; Wang, W.; Chen, J. A simple PCR method for the detection of pathogenic spiroplasmas in crustaceans and environmental samples. Aquaculture 2007, 272, 49–54. [Google Scholar] [CrossRef]
- Sokolova, Y.; Pelin, A.; Hawke, J.; Corradi, N. Morphology and phylogeny of Agmasoma penaei (Microsporidia) from the type of host, Litopenaeus setiferus, and the type locality, Louisiana, USA. Int. J. Parasitol. 2015, 45, 1–16. [Google Scholar] [CrossRef] [PubMed]
- Sokolova, Y.; Hawke, J.P. Perezia nelsoni (Microsporidia) in Agmasoma penaei infected Atlantic white shrimp Litopenaeus setiferus (Penaeidae, Decapoda) and phylogenetic analysis of Perezia spp. complex. Protistology 2016, 10, 67–78. [Google Scholar] [CrossRef]
- Weiss, L.M.; Vossbrinck, C.R. Molecular biology, molecular phylogeny, and molecular diagnostic approaches to the microsporidia. In The Microsporidia and Microsporidiosis; American Society of Microbiology Press: Washington, DC, USA, 1999; pp. 129–171. [Google Scholar] [CrossRef]
- Tang, K.F.J.; Durand, S.V.; White, B.L.; Redman, R.M.; Pantoja, C.R.; Lightner, D.V. Postlarvae and juveniles of a selected line of Penaeus stylirostris are resistant to infectious hypodermal and hematopoietic necrosis virus infection. Aquaculture 2000, 190, 203–210. [Google Scholar] [CrossRef]
- Tang, K.F.J.; Lightner, D.V. Infectious hypodermal and hematopoietic necrosis virus (IHHNV) in the genome of the black tiger prawn Penaeus monodon from Africa and Australia. Virus Res. 2006, 118, 185–191. [Google Scholar] [CrossRef]
- Tang, K.F.J.; Navarro, S.A.; Lightner, D.V. A PCR assay for discriminating between infectious hypodermal and hematopoietic necrosis virus (IHHNV) and the virus-related sequences in the genome of Penaeus monodon. Dis. Aquat. Organ. 2007, 74, 165–170. [Google Scholar] [CrossRef]
- Tangprasittipap, A.; Srisala, J.; Chouwdee, S.; Somboon, M.; Chuchird, N.; Limsuwan, C.; Srisuvan, T.; Flegel, T.W.; Sritunyalucksana, K. The microsporidian Enterocytozoon hepatopenaei is not the cause of white feces syndrome in whiteleg shrimp Penaeus (Litopenaeus) vannamei. BMC Vet. Res. 2013, 9, 139. [Google Scholar] [CrossRef]
- Tang, K.F.J.; Pantoja, C.R.; Redman, R.M.; Han, J.E.; Tran, L.H.; Lightner, D.V. Development of in situ hybridization and PCR assays for the detection of Enterocytozoon hepatopenaei (EHP), a microsporidian parasite infecting penaeid shrimp. J. Invertebr. Pathol. 2015, 130, 37–41. [Google Scholar] [CrossRef]
- Tang, K.F.J.; Aranguren, L.F.; Piamsomboon, P.; Han, J.E.; Maskaykina, I.Y.; Schmidt, M.M. Detection of the microsporidian Enterocytozoon hepatopenaei (EHP) and Taura syndrome virus in Penaeus vannamei cultured in Venezuela. Aquaculture 2017, 480, 17–21. [Google Scholar] [CrossRef]
- Jaroenlak, P.; Sanguanrut, P.; Williams, B.A.P.; Stentiford, G.D.; Flegel, T.W.; Sritunyalucksana, K.; Itsathitphaisarn, O. A nested PCR assay to avoid false positive detection of the microsporidian Enterocytozoon hepatopenaei (EHP) in environmental samples in shrimp farms. PLoS ONE 2016, 11, e0166320. [Google Scholar] [CrossRef] [PubMed]
- Thompson, J.R.; Randa, M.A.; Marcelino, L.A.; Tomita-Mitchell, A.; Lim, E.; Polz, M.F. Diversity and dynamics of a North Atlantic coastal Vibrio community. Appl. Environ. Microbiol. 2004, 70, 4103–4110. [Google Scholar] [CrossRef]
- Dangtip, S.; Sirikharin, R.; Sanguanrut, P.; Thitamadee, S.; Sritunyalucksana, K.; Taengchaiyaphum, S.; Mavichak, R.; Proespraiwong, P.; Flegel, T.W. AP4 method for two-tube nested PCR detection of AHPND isolates of Vibrio parahaemolyticus. Aquac. Rep. 2015, 2, 158–162. [Google Scholar] [CrossRef]
- Lo, C.F.; Ho, C.H.; Peng, S.E.; Chen, C.H.; Hsu, H.C.; Chiu, Y.L.; Chang, C.F.; Liu, K.F.; Su, M.S.; Wang, C.H.; et al. White Spot Syndrome Baculovirus (WSBV) Detected in Cultured and Captured Shrimp, Crabs and Other Arthropods. Dis. Aquat. Organ. 1996, 27, 215–225. [Google Scholar] [CrossRef]
- Tang, K.F.J.; Pantoja, C.R.; Redman, R.M.; Lightner, D.V. Development of in situ hybridization and RT-PCR assay for the detection of a nodavirus (PvNV) that causes muscle necrosis in Penaeus vannamei. Dis. Aquat. Organ. 2007, 75, 183–190. [Google Scholar] [CrossRef]
- Mohr, P.G.; Moody, N.J.G.; Hoad, J.; Williams, L.M.; Bowater, R.O.; Cummins, D.M.; Cowley, J.A.; Crane, M.S.J. New yellow head virus genotype (YHV7) in giant tiger shrimp Penaeus monodon indigenous to northern Australia. Dis. Aquat. Organ. 2015, 115, 263–268. [Google Scholar] [CrossRef]
- Navarro, S.A.; Tang, K.F.J.; Lightner, D.V. An improved Taura syndrome virus (TSV) RT-PCR using newly designed primers. Aquaculture 2009, 293, 290–292. [Google Scholar] [CrossRef]
- Bell, T.A.; Lightner, D.V. A Handbook of Normal Penaeid Shrimp Histology; The World Aquaculture Society: Baton Rouge, LA, USA, 1998. [Google Scholar]
- Nunan, L.M.; Poulos, B.T.; Lightner, D.V. Use of polymerase chain reaction (PCR) for the detection of infectious hypodermal and hematopoietic necrosis virus (IHHNV) in penaeid shrimp. Mar. Biotechnol. 2000, 2, 319–328. [Google Scholar] [CrossRef]
- Lightner, D.V. A Handbook of Shrimp Pathology and Diagnostic Procedures for Diseases of Cultured Penaeid Shrimp; World Aquaculture Society: Baton Rouge, LA, USA, 1996. [Google Scholar]
- Intriago, P.; Medina, A.; Espinoza, J.; Enriquez, X.; Arteaga, K.; Aranguren, L.F.; Shinn, A.P.; Romero, X. Acute mortality of Penaeus vannamei larvae in farm hatcheries associated with the presence of Vibrio sp. carrying the VpPirABtoxin genes. Aquacult. Int. 2023, 31, 3363–3382. [Google Scholar] [CrossRef]
- Munkongwongsiri, N.; Prachumwat, A.; Eamsaard, W.; Lertsiri, K.; Flegel, T.W.; Stentiford, G.D.; Sritunyalucksana, K. Propionigenium and Vibrio species identified as possible component causes of shrimp white feces syndrome (WFS) associated with the microsporidian Enterocytozoon hepatopenaei. J. Invertebr. Pathol. 2022, 192, 107784. [Google Scholar] [CrossRef] [PubMed]
- Rusaini; Owens, L. Insight into the lymphoid organ of penaeid prawns: A review. Fish Shellfish Immunol. 2010, 29, 367–377. [Google Scholar] [CrossRef] [PubMed]
- Brock, J.A.; Antonio, N.; Argue, B. Genomic IHHN-related DNA sequences in black tiger shrimp. Glob. Aquac. Advocate 2013, 16, 40–44. [Google Scholar]
- Brock, J.A.; Intriago, P.; Medina, A. OIE should eliminate IHHNV as a reportable farmed shrimp pathogen. Responsible Seaf. Advocate 2022, 12, 1–8. [Google Scholar]
- Taengchaiyaphum, S.; Wongkhaluang, P.; Sittikankaew, K.; Karoonuthaisiri, N.; Flegel, T.W.; Sritunyalucksana, K. Shrimp genome sequence contains independent clusters of ancient and current Endogenous Viral Elements (EVE) of the parvovirus IHHNV. BMC Genom. 2022, 23, 565. [Google Scholar] [CrossRef]
- Saksmerprome, V.; Jitrakorn, S.; Chayaburakul, K.; Laiphrom, S.; Boonsua, K.; Flegel, T.W. Additional random, single to multiple genome fragments of Penaeus stylirostris densovirus in the giant tiger shrimp genome have implications for viral disease diagnosis. Virus Res. 2011, 160, 180–190. [Google Scholar] [CrossRef]
- Alday-Sanz, V.; Brock, J.; Flegel, T.W.; McIntosh, R.; Bondad-Reantaso, M.; Salazar, M.; Subasinghe, R. Facts, truths, and myths about SPF shrimp in aquaculture. Rev. Aquac. 2018, 12, 76–84. [Google Scholar] [CrossRef]
- Dall, W.; Hill, B.J.; Rothlisberg, P.C.; Staples, D.J. Parasites. In The Biology of the Penaeidae; Dall, W., Hill, B.J., Rothlisberg, P.C., Staples, D.J., Eds.; Academic Press: London, UK, 1990; Chapter 12; pp. 251–275. [Google Scholar]
- Marcogliese, D.J. Parasites of the superorganism: Are they indicators of ecosystem health? Int. J. Parasitol. 2005, 35, 705–716. [Google Scholar] [CrossRef]
- Kruse, D.N. Parasites of the commercial shrimps, Penaeus aztecus Ives, P. duorarum Burkenroad, and P. setiferus (Linnaeus). Tulane Stud. Zool. 1959, 7, 123–144. [Google Scholar] [CrossRef]
- Iversen, E.S.; Van Meter, N.N. A Record of Microsporidian, Thelohania duorara, parasitizing the shrimp, Penaeus brasiliensis. Bull. Mar. Sci. 1964, 14, 549–553. [Google Scholar]
- Feigenbaum, D.L. Parasites of the commercial shrimp Penaeus vannamei Boone and Penaeus brasiliensis Latreille. Bull. Mar. Sci. 1975, 25, 491–514. [Google Scholar]
- Armstrong, D. History of opportunistic infection in the immunocompromised host. Clin. Infect. Dis. 1993, 17, S318–S321. [Google Scholar] [CrossRef] [PubMed]
- Méthot, P.O.; Alizon, S. What is a pathogen? Toward a process view of host–parasite interactions. Virulence 2014, 5, 775–785. [Google Scholar] [CrossRef] [PubMed]
- Díaz-Muñoz, S.L. Viral coinfection is shaped by host ecology and virus–virus interactions across diverse microbial taxa and environments. Virus Evol. 2017, 3, vex011. [Google Scholar] [CrossRef]
- Bonnichon, V.; Lightner, D.V.; Bonami, J.R. Viral interference between infectious hypodermal and hematopoietic necrosis virus and white spot syndrome virus in Litopenaeus vannamei. Dis. Aquat. Organ. 2006, 72, 179–184. [Google Scholar] [CrossRef]
- Jang, I.K.; Qiao, G.; Kim, S.K. Effect of multiple infections with white spot syndrome virus and Vibrio anguillarum on Pacific white shrimp Litopenaeus vannamei (L.): Mortality and viral replication. J. Fish Dis. 2014, 37, 911–920. [Google Scholar] [CrossRef]
- Kumar, N.; Sharma, S.; Barua, S.; Tripathi, B.N.; Rouse, B.T. Virological and immunological outcomes of coinfections. Clin. Microbiol. Rev. 2018, 31, e00111–17. [Google Scholar] [CrossRef]
- Bateman, K.S.; Stentiford, G.D. A taxonomic review of viruses infecting crustaceans with an emphasis on wild hosts. J. Invertebr. Pathol. 2017, 147, 86–110. [Google Scholar] [CrossRef]
- Melena, J.; Bayot, B.; Betancourt, I.; Amano, Y.; Panchana, F.; Alday, V.; Calderón, J.; Stern, S.; Roch, P.; Bonami, J.R. Preexposure to infectious hypodermal and hematopoietic necrosis virus or to inactivated white spot syndrome virus (WSSV) confers protection against WSSV in Penaeus vannamei (Boone) postlarvae. J. Fish Dis. 2006, 29, 589–600. [Google Scholar] [CrossRef]
- Aranguren, L.F.; Tang, K.F.J.; Lightner, D.V. Protection from yellow head virus (YHV) infection in Penaeus vannamei preinfected with Taura syndrome virus (TSV). Dis. Aquat. Organ. 2012, 98, 185–192. [Google Scholar] [CrossRef]
- Flegel, T.W. Research progress on viral accommodation 2009 to 2019. Dev. Comp. Immunol. 2020, 112, 103771. [Google Scholar] [CrossRef] [PubMed]
- Goic, B.; Saleh, M.C. Living with the enemy: Viral persistent infections from a friendly viewpoint. Curr. Opin. Microbiol. 2012, 15, 531–537. [Google Scholar] [CrossRef]
- Safeena, M.P.; Rai, P.; Karunasagar, I. Molecular biology and epidemiology of hepatopancreatic parvovirus of penaeid shrimp. Indian J. Virol. 2012, 23, 191–202. [Google Scholar] [CrossRef] [PubMed]








| WzSV8 1 504F/R 170F/R 540 bp 170 bp | WzSV8 2 428F/R 168F/R 428 bp 168 bp | PvSV 3 3136F/3268R 133 bp | |
|---|---|---|---|
| Region #1 | |||
| PL | 3/5 (60%) | 5/5 (100%) | 4/5 (80%) |
| Farm | 52/58 (90%) | 57/58 (98%) | 55/58 (95%) |
| Broodstock | 23/29 (79%) | 26/29 (90%) | 25/29 (86%) |
| Wild P. vannamei | 3/10 (30%) | 0/10 (0%) | 2/10 (20%) |
| Wild P. stylirostris | 3/8 (38%) | 7/8 (88%) | 8/8 (100%) |
| Region #3 | |||
| PL | 3/3 (100%) | 2/3 (67%) | 2/3 (67%) |
| Farm | 5/8 (63%) | 8/8 (100%) | 8/8 (100%) |
| Broodstock | 0/10 (0%) | 3/10 (30%) | 1/10 (10%) |
| Wild P. monodon | 0/4 (0%) | 1/4 (25%) | 3/4 (75%) |
| Region #4 | |||
| PL | 6/7 (86%) | 7/7 (100%) | 7/7 (100%) |
| Farm | 4/5 (80%) | 5/5 (100%) | 5/5 (100%) |
| Broodstock | 1/1 (100%) | 1/1 (100%) | 1/1 (100%) |
| Average ** | 103/148 (70%) | 122/148 (82%) | 121/148 (82%) |
| H441F/R 1 HPVnF/R | H441F/R 2 HPVnF/R | 1120F/R 592 bp 3 | DHPV-U 1538 F DHPV-U 1887R DHPV-U 1622F 350 bp 256 bp 4 | MrBdv L/R 392 bp 5 | |
|---|---|---|---|---|---|
| Region #1 | |||||
| PL | 0/5 (0%) | 0/5 (0%) | 0/5 (0%) | 0/5 (0%)) | 0/5 (0%) |
| Farm | 23/58 (40%) | 24/58 (41%) | 4/58 (7%) | 8/58 (14%) | 0/58 (0%) |
| Broodstock | 4/26 (15%) | 4/26 (15%) | 0/26 (0%) | 0/26 (0%) | 0/26 (0%) |
| Wild P. vannamei | 0/10 (0%) | 0/10 (0%) | 0/10 (0%) | 0/10 (0%) | 0/10 (0%) |
| Wild P. stylirostris | 0/8 (0%) | 0/8 (0%) | 0/8 (0%) | 0/8 (0%) | 0/8 (0%) |
| Region #3 | |||||
| PL | 1/3 (33%) | 0/3 (0%) | 0/3 (0%) | 0/3 (0%) | 0/3 (0%) |
| Farm | 0/8 (0%) | 0/8 (0%) | 0/8 (0%) | 0/8 (0%) | 0/8 (0%) |
| Broodstock | 0/10 (0%) | 0/10 (0%) | 0/10 (0%) | 0/10 (0%) | 0/10 (0%) |
| Wild P. monodon | 0/4 (0%) | 0/4 (0%) | 0/4 (0%) | 0/4 (0%) | 0/4 (0%) |
| Region #4 | |||||
| PL | 0/7 (0%) | 0/7 (0%) | 0/7 (0%) | 0/7 (0%) | 0/7 (0%) |
| Farm | 2/5 (40%) | 1/5 (20%) | 0/5 (0%) | 0/5 (0%) | 0/5 (0%) |
| Broodstock | 1/1 (100%) | 0/1 (0%) | 0/1 (0%) | 0/1 (0%) | 0/1 (0%) |
| Average ** | 31/145 (21%) | 29/145 (20%) | 4/145 (3%) | 8/145 (6%) | 0/145 (0%) |
| Bact F/R 1500 bp Rik F/R532 bp 1 | Rp877p Rp1258 n 382 bp 2 | NHPF2 NHPR2 379 bp 3 | |
|---|---|---|---|
| Region #1 | |||
| PL | 0/5 (0%) | 1/5 (20%) | 0/5 (0%) |
| Farm | 1/58 (2%) | 17/58 (29%) | 0/66 (0%) |
| Broodstock | 17/41 (41%) | 21/41 (51%) | 0/26 (0%) |
| Wild P. vannamei | 0/10 (0%) | 0/10 (0%) | 0/10 (0%) |
| Wild P. stylirostris | 0/8 (0%) | 0/8 (0%) | 0/8 (0%) |
| Region #3 | |||
| PL | 0/3 (0%) | 0/3 (0%) | 0/3 (0%) |
| Farm | 0/8 (0%) | 5/8 (63%) | 0/8 (0%) |
| Broodstock | 0/10 (0%) | 0/10 (0%) | 0/10 (0%) |
| Wild P. monodon | 0/4 (0%) | 0/4 (0%) | 0/4 (0%) |
| Region #4 | |||
| PL | 0/7 (0%) | 1/7 (0%) | 0/7 (0%) |
| Farm | 0/5 (0%) | 0/5 (0%) | 0/5 (0%) |
| Broodstock | 0/1 (0%) | 0/1 (0%) | 0/1 (0%) |
| Average ** | 18/160 (11%) | 45/160 (28%) | 0/153 (0%) |
| CSF/R 269 bp 1 | F28/R5 271 bp 2 | Pri-1/2 1200 bp 3 | |
|---|---|---|---|
| Region #1 | |||
| PL | 1/5 (20%) | 0/5 (0%) | 0/5 (0%) |
| Farm | 28/62 (45%) | 1/62 (2%) | 6/62 (10%) |
| Broodstock | 0/26 (0%) | 2/26 (8%) | 0/26 (0%) |
| Wild P. vannamei | 0/10 (0%) | 0/10 (0%) | 0/10 (0%) |
| Wild P. stylirostris | 0/8 (0%) | 0/8 (0%) | 0/8 (0%) |
| Region #3 | |||
| PL | 0/3 (0%) | 0/3 (0%) | 0/3 (0%) |
| Farm | 1/8 (13%) | 0/8 (0%) | 8/8 (100%) |
| Broodstock | 0/10 (0%) | 0/10 (0%) | 0/10 (0%) |
| Wild P. monodon | 0/4 (0%) | 0/4 (0%) | 0/4 (0%) |
| Region #4 | |||
| PL | 0/7 (0%) | 0/7 (0%) | 0/7 (0%) |
| Farm | 0/5 (0%) | 0/5 (0%) | 0/5 (0%) |
| Broodstock | 0/1 (0%) | 0/1 (0%) | 0/1 (0%) |
| Average ** | 30/149 (20%) | 3/149 (2%) | 14/149 (9%) |
| TS1/TS2 790 bp 1 | 18f/1492r 1200 bp 2 | Ss2 18f3/ ss1492r 3 | |
|---|---|---|---|
| Region #1 | |||
| PL | 3/5 (60%) | 0/5 (0%) | 0/5 (0%) |
| Farm | 46/57 (81%) | 16/57 (28%) | 31/57 (54%) |
| Broodstock | 20/26 (77%) | 6/26 (23%) | 8/26 (31%) |
| Wild P. vannamei | 9/10 (90%) | 2/10 (20%) | 2/10 (20%) |
| Wild P. stylirostris | 7/8 (88%) | 0/8 (0%) | 6/8 (75%) |
| Region #3 | |||
| PL | 1/3 (33%) | 0/3 (0%) | 0/3 (0%) |
| Farm | 8/8 (100%) | 2/8 (25%) | 4/8 (50%) |
| Broodstock | 8/10 (80%) | 0/10 (0%) | 6/10 (60%) |
| Wild P. monodon | 3/4 (75%) | 0/4 (0%) | 3/4 (75%) |
| Region #4 | |||
| PL | 1/7 (14%) | 0/7 (0%) | 1/7 (14%) |
| Farm | 5/5 (100%) | 4/5 (80%) | 5/5 (100%) |
| Broodstock | 1/1 (100%) | 0/1 (0%) | 1/1 (100%) |
| Average ** | 112/144 (85%) | 30/144 (21%) | 67/144 (47%) |
| 309 F/R 309 bp 1 | 392 F/R 392 bp 2 | 389 F/R 389 bp 3 | 77012F/77353R (356 bp) 4 | IHHNV *** | Eve *** | |
|---|---|---|---|---|---|---|
| Region #1 | ||||||
| PL | 3/5 (60%) | 3/5 (60%) | 3/5 (60%) | 0/5 (0%) | 0/5 (0%) | 3/5 (60%) |
| Farm | 44/58 (76%) | 38/58 (66%) | 37/58 (64%) | 26/58 (45%) | 26/58 (45%) | 19/58 (33%) |
| Broodstock | 6/26 (23%) | 8/26 (31%) | 6/26 (21%) | 4/26 (15%) | 4/26 (15%) | 4/26 (15%) |
| Wild P. vannamei | 8/10 (80%) | 7/10 (70%) | 5/10 (50%) | 3/10 (30%) | 3/10 (30%) | 5/10 (50%) |
| Wild P. stylirostris | 0/8 (0%) | 0/8 (0%) | 0/8 (0%) | 0/8 (0%) | 0/8 (0%) | 0/8 (0%) |
| Region #3 | ||||||
| PL | 0/3 (0%) | 0/3 (0%) | 1/3 (33%) | 0/3 (0%) | 0/3 (0%) | 1/3 (33%) |
| Farm | 0/8 (0%) | 0/8 (0%) | 0/8 (0%) | 0/8 (0%) | 0/8 (0%) | 0/8 (0%) |
| Broodstock | 0/10 (0%) | 0/10 (0%) | 0/10 (0%) | 0/10 (0%) | 0/10 (0%) | 0/10 (0%) |
| Wild P. monodon | 0/4 (0%) | 1/4 (25%) | 2/4 (50%) | 1/4 (25%) | 0/4 (0%) | 2/4 (50%) |
| Region #4 | ||||||
| PL | 3/7 (43%) | 0/7 (0%) | 1/7 (14%) | 0/7 (0%) | 0/7 (0%) | 3/7 (43%) |
| Farm | 1/5 (20%) | 1/5 (20%) | 1/5 (20%) | 1/5 (20%) | 1/5 (20%) | 0/5 (0%) |
| Broodstock | 0/1 (0%) | 0/1 (0%) | 0/1 (0%) | 0/1 (0%) | 0/1 (0%) | 0/1 (0%) |
| Average ** | 65/145 (45%) | 58/145 (40%) | 56/145 (39%) | 35/145 (24%) | 34/145 (23%) | 37/145 (26%) |
| EHP 510 bp 1 | EHP900– 1000 bp 2 | VE-EHP-SWP-365 bp 3 | EHP B-tubulin 262 bp 3 | SSU ENF779 F1 SSU ENF779 R1 SSU ENF176 F1 SSU ENF176 R1 779 bp 176 bp 4 | SWP_1F SWP_1R SWP_2F SWP_2R 514 bp 148 bp 5 | |
|---|---|---|---|---|---|---|
| Region #1 | ||||||
| PL | 0/5 (0%) | 0/5 (0%) | 0/5 (0%) | 0/5 (0%) | 0/5 (0%) | 0/5 (0%) |
| Farm | 20/72 (28%) | 10/72 (14%) | 1/72 (1%) | 3/72 (4%) | 30/72 (42%) | 19/72 (26%) |
| Broodstock | 8/29 (28%) | 1/29 (3%) | 0/29 (0%) | 5/29 (17%) | 8/29 (28%) | 10/29 (34%) |
| Wild P. vannamei | 0/10 (0%) | 0/10 (0%) | 0/10 (0%) | 0/10 (0%) | 0/10 (0%) | 0/10 (0%) |
| Wild P. stylirostris | 0/8 (0%) | 0/8 (0%) | 0/8 (0%) | 0/8 (0%) | 1/8 (13%) | 0/8 (0%) |
| Region #3 | ||||||
| PL | 0/3 (0%) | 0/3 (0%) | 0/3 (0%) | 0/3 (0%) | 0/3 (0%) | 0/3 (0%) |
| Farm | 0/8 (0%) | 5/8 (0%) | 0/8 (0%) | 0/8 (0%) | 0/8 (0%) | 0/8 (0%) |
| Broodstock | 0/10 (0%) | 0/10 (0%) | 0/10 (0%) | 0/10 (0%) | 0/10 (0%) | 0/10 (0%) |
| Wild P. monodon | 0/4 (0%) | 0/4 (0%) | 0/4 (0%) | 0/4 (0%) | 0/4 (0%) | 0/4 (0%) |
| Region #4 | ||||||
| PL | 0/7 (0%) | 0/7 (0%) | 0/7 (0%) | 0/7 (0%) | 1/7 (14%) | 0/7 (0%) |
| Farm | 0/5 (0%) | 0/5 (0%) | 0/5 (0%) | 0/5 (0%) | 5/5 (100%) | 0/5 (0%) |
| Broodstock | 0/1 (0%) | 0/1 (0%) | 0/1 (0%) | 0/1 (0%) | 1/1 (100%) | 0/1 (0%) |
| Average ** | 28/162 (17%) | 16/162 (10%) | 1/162 (1%) | 8/162 (5%) | 46/162 (28%) | 29/162 (18%) |
| Hepatop 1 | Intestine 2 | Muscle 3 | LO 4 | |||||||
|---|---|---|---|---|---|---|---|---|---|---|
| Ave (g) 10 | n 11 | % 12 | Grade 13 | % 12 | Grade 13 | % 12 | Grade 13 | % 12 | Grade 13 | |
| Region 1 | ||||||||||
| PL | ND 14 | 250 | 1.7 | 2.2 | 0.3 | 1.0 | 0.7 | 1.0 | - | - |
| Farm | 13.6 | 320 | 13.9 | 1.4 | 4.1 | 1.4 | 6.4 | 1.2 | 54.1 | 1.7 |
| Broodstock | 33.8 | 196 | 17.8 | 1.4 | 5.0 | 1.6 | 7.0 | 1.1 | 50.8 | 1.7 |
| Wild P. vannamei | 35.0 | 10 | 19.8 | 1.2 | 12.5 | 1.0 | 20.5 | 1.0 | 87.5 | 2.3 |
| Wild P. stylirostris | 39.8 | 8 | 25.0 | 1.0 | 26.7 | 1.0 | 30.0 | 8.9 | 26.7 | 1.0 |
| Region 3 | ||||||||||
| PL | ND 14 | 150 | - | - | - | - | - | - | - | - |
| Farm | 14.4 | 24 | 9.2 | 1.2 | - | - | - | - | 4.1 | 1.0 |
| Broodstock | 50.6 | 10 | 58.0 | 1.8 | - | - | 95.0 | 2.8 | 10.0 | 1.0 |
| Wild P. monodon | 66.9 | 5 | 8.0 | 0.4 | - | - | - | - | - | - |
| Region 4 | ||||||||||
| PL | ND 14 | 330 | 1.6 | 3.8 | - | - | - | - | - | - |
| Farm | 10.7 | 27 | 29.1 | 1.5 | 7.3 | 1.1 | 40.0 | 2.1 | 50.0 | 1.0 |
| Broodstock | 66 | 2 | 62.5 | 1.0 | - | - | 50.0 | 1.0 | 50.0 | 1.0 |
| WSSV 5 | DHPV 6 | WZ8V 7 | Microspor 8 | Grega/Nemat 9 | ||||||
| % 12 | Grade 13 | % 12 | Grade 13 | % 12 | Grade 13 | % 12 | Grade 13 | % 12 | Grade 13 | |
| Region 1 | ||||||||||
| PL | - | - | - | - | 9.0 | 1.2 | - | - | 4.0 | 1.0 |
| Farm | 2.6 | 3.1 | 2.8 | 2.2 | 50.5 | 1.5 | 1.3 | 2.5 | 45.9 | 2.7 |
| Broodstock | 4.2 | 3.4 | 3.8 | 1.8 | 63.7 | 1.4 | 1.4 | 1.0 | 39.0 | 1.4 |
| Wild P. vannamei | - | - | 20.5 | 3.0 | 70.5 | 1.8 | - | - | 133.3 | 1.2 |
| Wild P. stylirostris | - | - | - | - | 63.3 | 1.3 | - | - | 126.7 | 1.5 |
| Region 3 | ||||||||||
| PL | - | - | - | - | 14.4 | 1.0 | - | - | - | - |
| Farm | - | - | - | - | 45.8 | 1.2 | - | - | 58.3 | 1.1 |
| Broodstock | - | - | - | - | 70.0 | 1.5 | - | - | - | - |
| Wild P. monodon | - | - | - | - | 60.0 | 1.0 | - | - | - | - |
| Region 4 | ||||||||||
| PL | - | - | - | - | 9.3 | 1.0 | - | - | - | - |
| Farm | - | - | 29.3 | 1.8 | 100 | 2.4 | - | - | - | - |
| Broodstock | - | - | - | - | 50.0 | 2.0 | - | - | - | - |
Disclaimer/Publisher’s Note: The statements, opinions and data contained in all publications are solely those of the individual author(s) and contributor(s) and not of MDPI and/or the editor(s). MDPI and/or the editor(s) disclaim responsibility for any injury to people or property resulting from any ideas, methods, instructions or products referred to in the content. |
© 2025 by the authors. Licensee MDPI, Basel, Switzerland. This article is an open access article distributed under the terms and conditions of the Creative Commons Attribution (CC BY) license (https://creativecommons.org/licenses/by/4.0/).
Share and Cite
Intriago, P.; Montiel, B.; Valarezo, M.; Gallardo, J.; Cataño, Y. Advanced Pathogen Monitoring in Penaeus vannamei from Three Latin American Regions: Passive Surveillance Part 2. Viruses 2025, 17, 187. https://doi.org/10.3390/v17020187
Intriago P, Montiel B, Valarezo M, Gallardo J, Cataño Y. Advanced Pathogen Monitoring in Penaeus vannamei from Three Latin American Regions: Passive Surveillance Part 2. Viruses. 2025; 17(2):187. https://doi.org/10.3390/v17020187
Chicago/Turabian StyleIntriago, Pablo, Bolivar Montiel, Mauricio Valarezo, Jennifer Gallardo, and Yamilis Cataño. 2025. "Advanced Pathogen Monitoring in Penaeus vannamei from Three Latin American Regions: Passive Surveillance Part 2" Viruses 17, no. 2: 187. https://doi.org/10.3390/v17020187
APA StyleIntriago, P., Montiel, B., Valarezo, M., Gallardo, J., & Cataño, Y. (2025). Advanced Pathogen Monitoring in Penaeus vannamei from Three Latin American Regions: Passive Surveillance Part 2. Viruses, 17(2), 187. https://doi.org/10.3390/v17020187

