Surveillance of Parrot Bornavirus in Taiwan Captive Psittaciformes
Abstract
1. Introduction
2. Materials and Methods
2.1. Sample Collection
2.2. Detection of Parrot Bornavirus
2.2.1. RNA Extraction
2.2.2. Reverse Transcription–Quantitative Polymerase Chain Reaction
2.2.3. Gel Electrophoresis
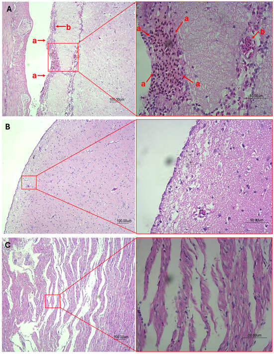
2.3. Histopathological Examination
2.4. Transmission Electron Microscope
2.5. PCR Amplification of the X/P Region and Sequencing
2.6. Phylogenetic Analysis
3. Results
4. Discussion
Author Contributions
Funding
Institutional Review Board Statement
Informed Consent Statement
Data Availability Statement
Acknowledgments
Conflicts of Interest
Correction Statement
References
- Rubbenstroth, D. Avian Bornavirus Research—A Comprehensive Review. Viruses 2022, 14, 1513. [Google Scholar] [CrossRef] [PubMed]
- Aguilera-Sepúlveda, P.; Llorente, F.; Rosenstierne, M.W.; Bravo-Barriga, D.; Frontera, E.; Fomsgaard, A.; Fernández-Pinero, J.; Jiménez-Clavero, M. Detection of a New Avian Bornavirus in Barn Owl (Tyto alba) by Pan-Viral Microarray. Veter. Microbiol. 2024, 289, 109959. [Google Scholar] [CrossRef] [PubMed]
- Bourque, L.; Laniesse, D.; Beaufrère, H.; Pastor, A.; Ojkic, D.; Smith, D.A. Identification of Avian Bornavirus in a Himalayan Monal (Lophophorus impejanus) with Neurological Disease. Avian Pathol. 2015, 44, 323–327. [Google Scholar] [CrossRef] [PubMed]
- Encinas-Nagel, N.; Enderlein, D.; Piepenbring, A.; Herden, C.; Heffels-Redmann, U.; Felippe, P.A.; Arns, C.; Hafez, H.M.; Lierz, M. Avian Bornavirus in Free-Ranging Psittacine Birds, Brazil. Emerg. Infect. Dis. 2014, 20, 2103–2106. [Google Scholar] [CrossRef] [PubMed]
- Philadelpho, N.A.; Rubbenstroth, D.; Guimarães, M.B.; Ferreira, A.J.P. Survey of Bornaviruses in Pet Psittacines in Brazil Reveals a Novel Parrot Bornavirus. Veter. Microbiol. 2014, 174, 584–590. [Google Scholar] [CrossRef] [PubMed]
- Silva, A.S.G.; Raso, T.F.; Costa, E.A.; Gómez, S.Y.M.; Martins, N.R.d.S. Parrot Bornavirus in Naturally Infected Brazilian Captive Parrots: Challenges in Viral Spread Control. PLoS ONE 2020, 15, e0232342. [Google Scholar] [CrossRef] [PubMed]
- Rubbenstroth, D.; Rinder, M.; Kaspers, B.; Staeheli, P. Efficient Isolation of Avian Bornaviruses (ABV) from Naturally Infected Psittacine Birds and Identification of a New ABV Genotype from a Salmon-Crested Cockatoo (Cacatua moluccensis). Veter. Microbiol. 2012, 161, 36–42. [Google Scholar] [CrossRef] [PubMed]
- Rubbenstroth, D.; Schmidt, V.; Rinder, M.; Legler, M.; Twietmeyer, S.; Schwemmer, P.; Corman, V.M. Phylogenetic Analysis Supports Horizontal Transmission as a Driving Force of the Spread of Avian Bornaviruses. PLoS ONE 2016, 11, e0160936. [Google Scholar] [CrossRef] [PubMed]
- Kessler, S.; Heenemann, K.; Krause, T.; Twietmeyer, S.; Fuchs, J.; Lierz, M.; Corman, V.M.; Vahlenkamp, T.M.; Rubbenstroth, D. Monitoring of Free-Ranging and Captive Psittacula Populations in Western Europe for Avian Bornaviruses, Circoviruses and Polyomaviruses. Avian Pathol. 2020, 49, 119–130. [Google Scholar] [CrossRef]
- Lierz, M.; Hafez, H.M.; Honkavuori, K.S.; Gruber, A.D.; Olias, P.; Abdelwhab, E.M.; Kohls, A.; Lipkin, W.I.; Briese, T.; Hauck, R. Anatomical Distribution of Avian Bornavirus in Parrots, Its Occurrence in Clinically Healthy Birds and ABV-Antibody Detection. Avian Pathol. 2009, 38, 491–496. [Google Scholar] [CrossRef]
- Rinder, M.; Ackermann, A.; Kempf, H.; Kaspers, B.; Korbel, R.; Staeheli, P. Broad Tissue and Cell Tropism of Avian Bornavirus in Parrots with Proventricular Dilatation Disease. J. Virol. 2009, 83, 5401–5407. [Google Scholar] [CrossRef] [PubMed]
- Pinto, M.C.; Craveiro, H.; Wensman, J.J.; Carvalheira, J.; Berg, M.; Thompson, G. Bornaviruses in Naturally Infected Psittacus erithacus in Portugal: Insights of Molecular Epidemiology and Ecology. Infect. Ecol. Epidemiol. 2019, 9, 1685632. [Google Scholar] [CrossRef]
- Pinto, M.C.; Rondahl, V.; Berg, M.; Ågren, E.; Carvalheira, J.; Thompson, G.; Wensman, J.J. Detection and Phylogenetic Analysis of Parrot Bornavirus 4 Identified from a Swedish Blue-Winged Macaw (Primolius maracana) with Unusual Nonsuppurative Myositis. Infect. Ecol. Epidemiol. 2019, 9, 1547097. [Google Scholar] [CrossRef] [PubMed]
- Weissenböck, H.; Bakonyi, T.; Sekulin, K.; Ehrensperger, F.; Doneley, R.J.; Dürrwald, R.; Hoop, R.; Erdélyi, K.; Gál, J.; Kolodziejek, J.; et al. Avian Bornaviruses in Psittacine Birds from Europe and Australia with Proventricular Dilatation Disease. Emerg. Infect. Dis. 2009, 15, 1453–1459. [Google Scholar] [CrossRef] [PubMed]
- Murray, O.; Turner, D.; Streeter, K.; Guo, J.; Shivaprasad, H.; Payne, S.; Tizard, I. Apparent Resolution of Parrot Bornavirus Infection in Cockatiels (Nymphicus hollandicus). Veter. Med. Res. Rep. 2017, 8, 31–36. [Google Scholar] [CrossRef] [PubMed]
- Gray, P.; Hoppes, S.; Suchodolski, P.; Mirhosseini, N.; Payne, S.; Villanueva, I.; Shivaprasad, H.; Honkavuori, K.S.; Briese, T.; Reddy, S.M.; et al. Use of Avian Bornavirus Isolates to Induce Proventricular Dilatation Disease in Conures. Emerg. Infect. Dis. 2010, 16, 473–479. [Google Scholar] [CrossRef]
- Kistler, A.L.; Smith, J.M.; Greninger, A.L.; DeRisi, J.L.; Ganem, D. Analysis of Naturally Occurring Avian Bornavirus Infection and Transmission during an Outbreak of Proventricular Dilatation Disease among Captive Psittacine Birds. J. Virol. 2010, 84, 2176–2179. [Google Scholar] [CrossRef] [PubMed]
- Kistler, A.L.; Gancz, A.; Clubb, S.; Skewes-Cox, P.; Fischer, K.; Sorber, K.; Chiu, C.Y.; Lublin, A.; Mechani, S.; Farnoushi, Y.; et al. Recovery of Divergent Avian Bornaviruses from Cases of Proventricular Dilatation Disease: Identification of a Candidate Etiologic Agent. Virol. J. 2008, 5, 88. [Google Scholar] [CrossRef]
- Raghav, R.; Taylor, M.; DeLay, J.; Ojkic, D.; Pearl, D.L.; Kistler, A.L.; DeRisi, J.L.; Ganem, D.; Smith, D.A. Avian Bornavirus is Present in Many Tissues of Psittacine Birds with Histopathologic Evidence of Proventricular Dilatation Disease. J. Veter. Diagn. Investig. 2010, 22, 495–508. [Google Scholar] [CrossRef]
- Delnatte, P.; Mak, M.; Ojkic, D.; Raghav, R.; DeLay, J.; Smith, D.A. Detection of Avian Bornavirus in Multiple Tissues of Infected Psittacine Birds Using Real-Time Reverse Transcription Polymerase Chain Reaction. J. Veter. Diagn. Investig. 2014, 26, 266–271. [Google Scholar] [CrossRef]
- Last, R.D.; Weissenböck, H.; Nedorost, N.; Shivaprasad, H. Avian Bornavirus Genotype 4 Recovered from Naturally Infected Psittacine Birds with Proventricular Dilatation Disease in South Africa. J. South Afr. Veter. Assoc. 2012, 83, 4. [Google Scholar] [CrossRef] [PubMed][Green Version]
- Vondráčková, M.; Tukač, V.; Grymová, V.; Hájková, P.; Knotek, Z.; Dorrestein, G.M. Detection of Anti-Avian Bornavirus Antibodies in Parrots in the Czech Republic and Slovakia. Acta Veter. Brno 2014, 83, 195–199. [Google Scholar] [CrossRef][Green Version]
- Hammer, S.; Watson, R. The Challenge of Managing Spix Macaws (Cyanopsitta spixii) at Qatar—An Eleven-Year Retrospection. Zool. Garten N.F 2012, 81, 81–95. [Google Scholar] [CrossRef]
- Lutpi, S.M.; Abu, J.; Arshad, S.S.; Rahaman, N.Y. Molecular Detection, Risk Factors and Public Awareness of Avian Bornavirus among Captive and Non-Captive Birds in Peninsular Malaysia. J. Veter. Res. 2022, 66, 523–535. [Google Scholar] [CrossRef] [PubMed]
- Sa-Ardta, P.; Rinder, M.; Sanyathitiseree, P.; Weerakhun, S.; Lertwatcharasarakul, P.; Lorsunyaluck, B.; Schmitz, A.; Korbel, R. First Detection and Characterization of Psittaciform Bornaviruses in Naturally Infected and Diseased Birds in Thailand. Veter. Microbiol. 2019, 230, 62–71. [Google Scholar] [CrossRef] [PubMed]
- Zhang, L.-N.; Huang, Y.-H.; Liu, H.; Li, L.-X.; Bai, X.; Yang, G.-D. Molecular Detection of Bornavirus in Parrots Imported to China in 2022. BMC Veter. Res. 2023, 19, 259. [Google Scholar] [CrossRef]
- Hong, S.S.; Kim, S.; Seo, M.-K.; Han, M.-N.; Kim, J.; Lee, S.-M.; NA, K.-J. Genetic Trends in Parrot Bornavirus: A Clinical Analysis. J. Veter. Med Sci. 2024, 86, 239–246. [Google Scholar] [CrossRef]
- Sassa, Y.; Bui, V.N.; Saitoh, K.; Watanabe, Y.; Koyama, S.; Endoh, D.; Horie, M.; Tomonaga, K.; Furuya, T.; Nagai, M.; et al. Parrot Bornavirus-2 and -4 RNA Detected in Wild Bird Samples in Japan are Phylogenetically Adjacent to Those Found in Pet Birds in Japan. Virus Genes 2015, 51, 234–243. [Google Scholar] [CrossRef]
- Horie, M.; Ueda, K.; Ueda, A.; Honda, T.; Tomonaga, K. Detection of Avian bornavirus 5 RNA in Eclectus Roratus with Feather Picking Disorder. Microbiol. Immunol. 2012, 56, 346–349. [Google Scholar] [CrossRef]
- Sigrist, B.; Geers, J.; Albini, S.; Rubbenstroth, D.; Wolfrum, N. A New Multiplex Real-Time RT-PCR for Simultaneous Detection and Differentiation of Avian Bornaviruses. Viruses 2021, 13, 1358. [Google Scholar] [CrossRef]
- Chan, D.T.C.; Poon, E.S.K.; Wong, A.T.C.; Sin, S.Y.W. Global Trade in Parrots—Influential Factors of Trade and Implications for Conservation. Glob. Ecol. Conserv. 2021, 30, e01784. [Google Scholar] [CrossRef]
- Preston, C.E.C.; Pruett-Jones, S. The Number and Distribution of Introduced and Naturalized Parrots. Diversity 2021, 13, 412. [Google Scholar] [CrossRef]
- Dennison, S.E.; Paul-Murphy, J.R.; Adams, W.M. Radiographic Determination of Proventricular Diameter in Psittacine Birds. J. Am. Vet. Med. Assoc. 2008, 232, 709–714. [Google Scholar] [CrossRef] [PubMed]
- Dennison, S.E.; Adams, W.M.; Johnson, P.J.; Yandell, B.S.; Paul-Murphy, J.R. Prognostic Accuracy of the Proventriculus: Keel Ratio for Short-Term Survival in Psittacines with Proventricular Disease. Veter. Radiol. Ultrasound 2009, 50, 483–486. [Google Scholar] [CrossRef] [PubMed]
- Gancz, A.Y.; Kistler, A.L.; Greninger, A.L.; Farnoushi, Y.; Mechani, S.; Perl, S.; Berkowitz, A.; Perez, N.; Clubb, S.; DeRisi, J.L.; et al. Experimental Induction of Proventricular Dilatation Disease in Cockatiels (Nymphicus hollandicus) Inoculated with Brain Homogenates Containing Avian Bornavirus 4. Virol. J. 2009, 6, 100–111. [Google Scholar] [CrossRef] [PubMed]
- Hoppes, S.M.; Tizard, I.; Shivaprasad, H.L. Avian Bornavirus and Proventricular Dilatation Disease: Diagnostics, Pathology, Prevalence, and Control. Veterinary Clinics of North America. Exot. Anim. Pract. 2013, 16, 339–355, Update on Exot. Anim. Pract. 2020, 23, 337–351. [Google Scholar]
- Weissenböck, H.; Fragner, K.; Nedorost, N.; Mostegl, M.; Sekulin, K.; Maderner, A.; Bakonyi, T.; Nowotny, N. Localization of Avian Bornavirus RNA by In Situ Hybridization in Tissues of Psittacine Birds with Proventricular Dilatation Disease. Veter. Microbiol. 2010, 145, 9–16. [Google Scholar] [CrossRef] [PubMed]
- Ouyang, N.; Storts, R.; Tian, Y.; Wigle, W.; Villanueva, I.; Mirhosseini, N.; Payne, S.; Gray, P.; Tizard, I. Histopathology and the Detection of Avian Bornavirus in the Nervous System Of Birds Diagnosed with Proventricular Dilatation Disease. Avian Pathol. 2009, 38, 393–401. [Google Scholar] [CrossRef]
- Heffels-Redmann, U.; Enderlein, D.; Herzog, S.; Herden, C.; Piepenbring, A.; Neumann, D.; Müller, H.; Capelli, S.; Müller, H.; Oberhäuser, K.; et al. Occurrence of Avian Bornavirus Infection in Captive Psittacines in Various European Countries and Its Association with Proventricular Dilatation Disease. Avian Pathol. 2011, 40, 419–426. [Google Scholar] [CrossRef]
- Wünschmann, A.; Honkavuori, K.; Briese, T.; Lipkin, W.I.; Shivers, J.; Armien, A.G. Antigen Tissue Distribution of Avian Bornavirus (ABV) in Psittacine Birds with Natural Spontaneous Proventricular Dilatation Disease and ABV Genotype 1 Infection. J. Veter. Diagn. Investig. 2011, 23, 716–726. [Google Scholar] [CrossRef]
- Payne, S.; Shivaprasad, H.L.; Mirhosseini, N.; Gray, P.; Hoppes, S.; Weissenböck, H.; Tizard, I. Unusual and Severe Lesions of Proventricular Dilatation Disease in Cockatiels (Nymphicus hollandicus) Acting as Healthy Carriers of Avian Bornavirus (ABV) and Subsequently Infected with a Virulent Strain of ABV. Avian Pathol. 2011, 40, 15–22. [Google Scholar] [CrossRef] [PubMed]
- Chacón, R.D.; Sánchez-Llatas, C.J.; Forero, A.J.D.; Guimarães, M.B.; Pajuelo, S.L.; Astolfi-Ferreira, C.S.; Ferreira, A.J.P. Evolutionary Analysis of a Parrot Bornavirus 2 Detected in a Sulphur-Crested Cockatoo (Cacatua galerita) Suggests a South American Ancestor. Animals 2024, 14, 47. [Google Scholar] [CrossRef]
- Petzold, J.; Gartner, A.M.; Malberg, S.; Link, J.B.; Bücking, B.; Lierz, M.; Herden, C. Tissue Distribution of Parrot Bornavirus 4 (PaBV-4) in Experimentally Infected Young and Adult Cockatiels (Nymphicus hollandicus). Viruses 2022, 14, 2181. [Google Scholar] [CrossRef] [PubMed]
- Link, J.; Herzog, S.; Gartner, A.M.; Bücking, B.; König, M.; Lierz, M. Factors Influencing Vertical Transmission of Psittacine Bornavirus in Cockatiels (Nymphicus hollandicus). Viruses 2022, 14, 2721. [Google Scholar] [CrossRef]
- Gartner, A.M.; Link, J.; Bücking, B.; Enderlein, D.; Herzog, S.; Petzold, J.; Malberg, S.; Herden, C.; Lierz, M. Age-Dependent Development and Clinical Characteristics of an Experimental Parrot Bornavirus-4 (PaBV-4) Infection in Cockatiels (Nymphicus hollandicus). Avian Pathol. 2021, 50, 138–150. [Google Scholar] [CrossRef] [PubMed]
- Delnatte, P.; Nagy, É.; Ojkic, D.; Crawshaw, G.; Smith, D.A. Investigation into the Possibility of Vertical Transmission of Avian Bornavirus in Free-Ranging Canada Geese (Branta canadensis). Avian Pathol. 2014, 43, 301–304. [Google Scholar] [CrossRef]
- Jorge, K.; Loeber, S.; Hawkins, S.; Elsmo, E.; Mans, C. Computed Tomography Enterography of Jejunal Infarction in a Timneh African Grey Parrot (Psittacus timneh). J. Exot. Pet Med. 2022, 41, 62–66. [Google Scholar] [CrossRef]
- Boatright-Horowitz, S.L. Avian Bornaviral Ganglioneuritis: Current Debates and Unanswered Questions. Veter. Med. Int. 2020, 2020, 6563723. [Google Scholar] [CrossRef] [PubMed]
- Rossi, G.; Dahlhausen, R.D.; Galosi, L.; Orosz, S.E. Avian Ganglioneuritis in Clinical Practice. Veter. Clin. N. Am. Exot. Anim. Pr. 2018, 21, 33–67. [Google Scholar] [CrossRef]
- de Kloet, A.H.; Kerski, A.; de Kloet, S.R. Diagnosis of Avian Bornavirus Infection in Psittaciformes by Serum Antibody Detection and Reverse Transcription Polymerase Chain Reaction Assay Using Feather Calami. J. Veter. Diagn. Investig. 2011, 23, 421–429. [Google Scholar] [CrossRef]
- Chen, D.-S.; Wu, Y.-Q.; Zhang, W.; Jiang, S.-J.; Chen, S.-Z. Horizontal Gene Transfer Events Reshape the Global Landscape of Arm Race between Viruses and Homo Sapiens. Sci. Rep. 2016, 6, 26934. [Google Scholar] [CrossRef]
- Rubbenstroth, D.; Brosinski, K.; Rinder, M.; Olbert, M.; Kaspers, B.; Korbel, R.; Staeheli, P. No Contact Transmission of Avian Bornavirus in Experimentally Infected Cockatiels (Nymphicus hollandicus) and Domestic Canaries (Serinus canaria forma domestica). Veter. Microbiol. 2014, 172, 146–156. [Google Scholar] [CrossRef]
- Nielsen, A.M.W.; Ojkic, D.; Dutton, C.J.; Smith, D.A. Aquatic Bird Bornavirus 1 Infection in a Captive Emu (Dromaius novaehollandiae): Presumed Natural Transmission from Free-Ranging Wild Waterfowl. Avian Pathol. 2018, 47, 58–62. [Google Scholar] [CrossRef]
- de Araujo, J.L.; Rech, R.R.; Heatley, J.J.; Guo, J.; Giaretta, P.R.; Tizard, I.; Rodrigues-Hoffmann, A. From Nerves to Brain to Gastrointestinal Tract: A Time-Based Study of Parrot Bornavirus 2 (PaBV-2) Pathogenesis in Cockatiels (Nymphicus hollandicus). PLoS ONE 2017, 12, e0187797. [Google Scholar] [CrossRef]






| Psittacine Species of PaBV-Positive | Count | Rate |
|---|---|---|
| Psittacus erithacus | 11 | 19% |
| Nymphicus hollandicus and Aratinga solstitialis | 8 | 14% |
| Diopsittaca nobilis, Myiopsitta monachus, and Amazona ochrocephala | 4 | 7% |
| Cacatua ophthalmica, Eclectus roratus, Ara severus, Pionites leucogaster, Amazona aestiva, Agapornis sp., and Psittacula krameri | 2 | 4% |
| Poicephalus gulielmi, Pyrrhura molinae, Melopsittacus undulatus, and Cacatua moluccensis | 1 | 2% |
| Case Number | Bird Species | Location | Age | Sex | CT | Symptoms |
|---|---|---|---|---|---|---|
| 2206003 | Myiopsitta monachus | Renwu, Kaohsiung | 1 y | - | 27.47 | a b c d e |
| 2208002+ | Amazona ochrocephala | Changjhih, Pingtung | 3.5 y | Female | 27.83 | a b d e |
| 2208008+ | Amazona ochrocephala | Changjhih, Pingtung | 3.5 y | Male | 24.54 | a b d e |
| 2208023 | Diopsittaca nobilis | Changjhih, Pingtung | 2 y | - | 23.99 | a b c d e |
| 22080061+ | Cacatua ophthalmic | Yongkang, Tainan | 1 y | - | 28.43 | a b d e |
| 22080071 | Cacatua ophthalmica | Yongkang, Tainan | 1 y | - | 27.30 | a b d e h |
| 22080091 | Diopsittaca nobilis | Changjhih, Pingtung | 2 y | - | 27.26 | a b c d e h |
| 2208013+ | Psittacus erithacus | Renwu, Kaohsiung | 4 y | Male | 27.38 | a b c d |
| 2209009 | Pionites leucogaster | Taibao, Chiayi | - | - | 27.54 | a b d e |
| 2210003 | Nymphicus hollandicus | Yongkang, Tainan | 3 y | Male | 26.81 | a b c d e |
| 2210004 | Eclectus roratus | Linyuan, Kaohsiung | - | Male | 27.89 | a b d e |
| 22110011 | Amazona ochrocephala | Changjhih, Pingtung | 3.5 y | Male | 26.43 | a b d e |
| 22110012 | Ara severus | Changjhih, Pingtung | 1.5 y | Male | 27.48 | a b d e |
| 22110013 | Ara severus | Changjhih, Pingtung | 1.5 y | Female | 29.00 | a b d e |
| 22110014 | Amazona ochrocephala | Changjhih, Pingtung | 3.5 y | Female | 27.40 | a b d e |
| 2301024 | Nymphicus hollandicus | Gangshan, Kaohsiung | 4 y | Female | 26.36 | a b c d e h |
| 2212037 | Poicephalus gulielmi | Alian, Kaohsiung | - | - | 29.34 | a b c d e |
| 2212064 | Pyrrhura molinae | Dapi, Yunlin | - | - | 30.29 | a b c d e |
| 2302010 | Diopsittaca nobilis | Pingtung, Pingtung | - | Female | 23.47 | a b c d e |
| 2302013+ | Psittacus erithacus | Yongkang, Tainan | 5 y | Male | 27.88 | a b d e f g |
| 2302017 | Psittacus erithacus | Yongkang, Tainan | 3 y | Female | 27.66 | a b c d e h |
| 2302025 | Nymphicus hollandicus | Gangshan, Kaohsiung | 1 y | Female | 28.25 | a b c d e |
| 2302026 | Nymphicus hollandicus | Gangshan, Kaohsiung | 1 y | Male | 28.48 | a b c d e h |
| 2303007 | Psittacus erithacus | Yongkang, Tainan | 3 y | Male | 27.68 | a b c d e |
| 2303008 | Melopsittacus undulatus | Chiayi, Chiayi | - | Female | 28.31 | a b c d e |
| 2303013 | Agapornis sp. | Gangshan, Kaohsiung | - | Male | 29.30 | a b d e g h |
| 2303014 | Agapornis sp. | Gangshan, Kaohsiung | - | Male | 28.97 | a b d e |
| 2303017 | Eclectus roratus | Linyuan, Kaohsiung | - | Male | 24.34 | a b c d e |
| 2303019 | Psittacus erithacus | Fengshan, Kaohsiung | 3 y | Female | 27.66 | a b c d e h |
| 2303023 | Nymphicus hollandicus | Nanzi, Kaohsiung | - | Male | 29.80 | a b c d e |
| 2303030 | Psittacula krameri | Taoyuan, Taoyuan | - | Male | 25.13 | a b d e |
| 2304002 | Nymphicus hollandicus | Fengshan, Kaohsiung | - | - | 22.80 | a b c d e |
| 2304003 | Psittacus erithacus | Yongkang, Tainan | 4 y | Male | 31.32 | a b d e |
| 2304004011 | Myiopsitta monachus | Xiaogang, Kaohsiung | - | - | 24.91 | a b c d e |
| 2304004021 | Myiopsitta monachus | Xiaogang, Kaohsiung | - | - | 19.93 | a b c d e |
| 2304005 | Myiopsitta monachus | Wantan, Pingtung | - | - | 26.25 | a b d e |
| 2304006 | Aratinga solstitialis | Wantan, Pingtung | - | - | 23.51 | a b d e |
| 2304007 | Diopsittaca nobilis | Taoyuan, Taoyuan | - | Male | 28.68 | a b c d e |
| 2304008 | Psittacus erithacus | Yanchao, Kaohsiung | - | Female | 27.76 | a b c d e g h |
| 2304015 | Psittacula krameri | Yongkang, Tainan | - | - | 28.30 | a b d e |
| 2304018 | Pionites leucogaster | Yongkang, Tainan | - | - | 28.93 | a b d e |
| 2304019 | Aratinga solstitialis | Yongkang, Tainan | - | - | 29.78 | a b d e |
| 2304020 | Amazona aestiva | Yongkang, Tainan | - | - | 30.05 | a b d e |
| 2304021 | Aratinga solstitialis | Yongkang, Tainan | - | - | 30.15 | a b d e |
| 2304022 | Amazona aestiva | Yongkang, Tainan | - | - | 28.79 | a b c d e |
| 2304025 | Nymphicus hollandicus | Wujih, Taichung | - | - | 29.32 | a b c d e |
| 2304026 | Nymphicus hollandicus | Qianzhen, Kaohsiung | - | - | 29.49 | a b c d e |
| 2304028 | Aratinga solstitialis | Chiayi, Chiayi | - | - | 28.46 | a b d e g h |
| 2304029 | Aratinga solstitialis | Chiayi, Chiayi | - | - | 28.87 | a b d e |
| 2304030 | Aratinga solstitialis | Chiayi, Chiayi | 3 y | Male | 28.94 | a b d e |
| 2304031 | Aratinga solstitialis | Chiayi, Chiayi | - | - | 31.15 | a b d e |
| 2304032 | Aratinga solstitialis | Chiayi, Chiayi | - | - | 30.16 | a b d e |
| 23050071 | Psittacus erithacus | Wantan, Pingtung | - | Male | 30.40 | a b c d e g h |
| 23050081 | Psittacus erithacus | Wantan, Pingtung | - | Male | 31.81 | a b c d e g h |
| 2305009 | Psittacus erithacus | Wantan, Pingtung | - | Male | 27.25 | a b c d e g h |
| 2305025 | Psittacus erithacus | Dapi, Yunlin | - | Female | 28.92 | a b c d e g h |
| 2305026 | Cacatua moluccensis | Yanshui, Tainan | - | - | 28.57 | a b c d e g h |
| Case No. | Genotype | Brain | Lung | Pancreas | Stomach | Intestine | Liver | Eye | Kidney | Heart | Muscle | Proven. |
|---|---|---|---|---|---|---|---|---|---|---|---|---|
| 2208023 | PaBV-4 | 18.59 | 23.3 | 23.38 | 23.98 | 24.29 | 27.98 | - | - | - | - | - |
| 2301024 | PaBV-2 | 12.94 | 24.35 | 25.3 | 26.43 | 25.76 | 29.17 | 18.52 | 21.6 | 24.15 | 29.24 | 20.22 |
| 2302010 | PaBV-4 | 5.15 | 6.09 | 7.88 | 4.27 | 7.57 | 7.75 | 4.94 | 4.4 | 25.97 | - | - |
Disclaimer/Publisher’s Note: The statements, opinions and data contained in all publications are solely those of the individual author(s) and contributor(s) and not of MDPI and/or the editor(s). MDPI and/or the editor(s) disclaim responsibility for any injury to people or property resulting from any ideas, methods, instructions or products referred to in the content. |
© 2024 by the authors. Licensee MDPI, Basel, Switzerland. This article is an open access article distributed under the terms and conditions of the Creative Commons Attribution (CC BY) license (https://creativecommons.org/licenses/by/4.0/).
Share and Cite
Villanueva, B.H.A.; Chen, J.-Y.; Lin, P.-J.; Minh, H.; Le, V.P.; Tyan, Y.-C.; Chuang, J.-P.; Chuang, K.-P. Surveillance of Parrot Bornavirus in Taiwan Captive Psittaciformes. Viruses 2024, 16, 805. https://doi.org/10.3390/v16050805
Villanueva BHA, Chen J-Y, Lin P-J, Minh H, Le VP, Tyan Y-C, Chuang J-P, Chuang K-P. Surveillance of Parrot Bornavirus in Taiwan Captive Psittaciformes. Viruses. 2024; 16(5):805. https://doi.org/10.3390/v16050805
Chicago/Turabian StyleVillanueva, Brian Harvey Avanceña, Jin-Yang Chen, Pei-Ju Lin, Hoang Minh, Van Phan Le, Yu-Chang Tyan, Jen-Pin Chuang, and Kuo-Pin Chuang. 2024. "Surveillance of Parrot Bornavirus in Taiwan Captive Psittaciformes" Viruses 16, no. 5: 805. https://doi.org/10.3390/v16050805
APA StyleVillanueva, B. H. A., Chen, J.-Y., Lin, P.-J., Minh, H., Le, V. P., Tyan, Y.-C., Chuang, J.-P., & Chuang, K.-P. (2024). Surveillance of Parrot Bornavirus in Taiwan Captive Psittaciformes. Viruses, 16(5), 805. https://doi.org/10.3390/v16050805

