Assessment of PPMV-1 Genotype VI Virulence in Pigeons and Chickens and Protective Effectiveness of Paramyxovirus Vaccines in Pigeons
Abstract
1. Introduction
2. Materials and Methods
2.1. Ethics Considerations
2.2. Birds
2.3. Vaccines
2.4. Pigeon Paramyxovirus-1 (PPMV-1) Isolate
2.5. Pathogenicity Characterisation
2.5.1. Mean Death Time (MDT) and Virus Titration
2.5.2. Intracerebral Pathogenicity Index (ICPI) and Intravenous Pathogenicity Index (IVPI)
2.6. Evaluating Vaccine Efficacy
2.6.1. Pigeon Experiment Design
2.6.2. Immune Response by Haemagglutination Inhibition (HI)
2.6.3. Virus Shedding Determination
2.7. Microscopic Examination for Pathological Dissemination of PPMV-1 in Non-Vaccinated/Challenged Pigeons
2.7.1. Histopathology
2.7.2. Immunohistochemistry
2.8. Statistical Analysis
3. Results
3.1. The PPMV-1 Strain Caused Severe Disease Symptoms and Was Lethal to Chicken Embryos
3.2. The PPMV-1 Strain Was Virulent and Lethal to Chickens and Pigeons
3.3. Pigeons Vaccinated with PPMV or a Dual Vaccine (NDV LaSota and PPMV) Showed Protection from Clinical Disease and Mortality When Challenged with PPMV-1
3.4. Pigeons Vaccinated with PPMV or Dual Vaccines (NDV LaSota and PPMV) Showed Low Severity of Post-Mortem Lesions after PPMV-1 Challenge
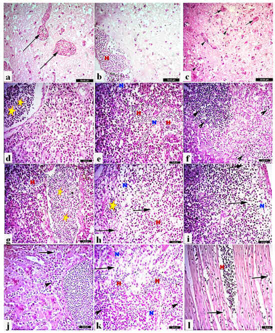
3.5. PPMV-1 Induced Extensive Microscopic Lesions in Visceral Organs of Non-Vaccinated/Challenged Pigeons
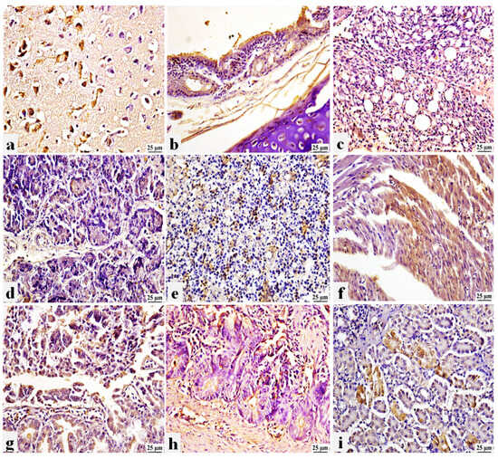
3.6. PPMV-1 Expressed Strong Immunohistochemistry Signals in Non-Vaccinated/Challenged Pigeons
3.7. Vaccination with PPMV Alone or in Combination with NDV LaSota Produced Predicted Protective Levels of HI Antibody Titres in Pigeons
3.8. The Inactivated PPMV Vaccine and NDV LaSota with PPMV Dual Vaccine Reduced Virus-Shedding Pigeons Challenged with PPMV-1
4. Discussion
5. Conclusions
Supplementary Materials
Author Contributions
Funding
Institutional Review Board Statement
Informed Consent Statement
Data Availability Statement
Conflicts of Interest
References
- Śmietanka, K.; Olszewska, M.; Domańska-Blicharz, K.; Bocian, Ł.; Minta, Z. Experimental infection of different species of birds with pigeon paramyxovirus type 1 Virus—Evaluation of clinical outcomes, viral shedding, and distribution in tissues. Avian Dis. 2014, 58, 523–530. [Google Scholar] [CrossRef] [PubMed]
- Terregino, C.; Cattoli, G.; Grossele, B.; Bertoli, E.; Tisato, E.; Capua, I. Characterization of Newcastle disease virus isolates obtained from Eurasian collared doves (Streptopelia decaocto) in Italy. Avian Pathol. 2003, 32, 63–68. [Google Scholar] [CrossRef]
- Marlier, D.; Vindevogel, H. Viral infections in pigeons. Vet. J. 2006, 172, 40–51. [Google Scholar] [CrossRef]
- Guo, H.; Liu, X.; Han, Z.; Shao, Y.; Chen, J.; Zhao, S.; Kong, X.; Liu, S. Phylogenetic analysis and comparison of eight strains of pigeon paramyxovirus type 1 (PPMV-1) isolated in China between 2010 and 2012. Arch. Virol. 2013, 158, 1121–1131. [Google Scholar] [CrossRef] [PubMed]
- Alexander, D.J.; Parsons, G. Avian paramyxovirus type 1 infections of racing pigeons: 2 pathogenicity experiments in pigeons and chickens. Vet. Rec. 1984, 114, 466–469. [Google Scholar] [CrossRef] [PubMed]
- Wang, H.Y.; Wu, M.C.; Chen, H.W.; Lai, Y.C.; Huang, W.H.; Chang, H.W.; Jeng, C.R.; Cheng, C.H.; Wang, P.J.; Lai, Y.H.; et al. Isolation, full sequence analysis, and in situ hybridization of pigeon paramyxovirus-1 genotype VI. 2.1. 1.2. 2 from oriental turtle doves (Streptopelia orientalis). Poult. Sci. 2023, 102, 102974. [Google Scholar] [CrossRef] [PubMed]
- Alexander, D.J.; Senne, D.A. Newcastle disease. In Diseases of Poultry, 12th ed.; Saif, Y.M., Barnes, H.J., Glisson, J.R., Fadly, A.M., McDougald, L.R., Swayne, D.E., Eds.; Blackwell Publishing: Ames, IA, USA, 2008; pp. 75–100. [Google Scholar]
- Kim, L.M.; King, D.J.; Guzman, H.; Tesh, R.B.; Da Rosa, A.P.T.; Bueno Jr, R.; Dennett, J.A.; Afonso, C.L. Biological and phylogenetic characterization of pigeon paramyxovirus serotype 1 circulating in wild North American pigeons and doves. J. Clin. Microbiol. 2008, 46, 3303–3310. [Google Scholar] [CrossRef]
- Dimitrov, K.M.; Ramey, A.M.; Qiu, X.; Bahl, J.; Afonso, C.L. Temporal, geographic, and host distribution of avian paramyxovirus 1 (Newcastle disease virus). Infect. Genet. Evol. 2016, 39, 22–34. [Google Scholar] [CrossRef]
- Amarasinghe, G.K.; Bào, Y.; Basler, C.F.; Bavari, S.; Beer, M.; Bejerman, N.; Blasdell, K.R.; Bochnowski, A.; Briese, T.; Bukreyev, A.; et al. Taxonomy of the order Mononegavirales: Update 2017. Arch. Virol. 2017, 162, 2493–2504. [Google Scholar] [CrossRef]
- Kuhn, J.H.; Adkins, S.; Alioto, D.; Alkhovsky, S.V.; Amarasinghe, G.K.; Anthony, S.J.; Avsic- Zupanc, T.; Ayllon, M.A.; Bahl, J.; Balkema-Buschmann, A.; et al. 2020 taxonomic update for phylum Negarna-viricota (Riboviria: Orthornavirae), including the large orders Bunyavirales and Mononegavirales. Arch. Virol. 2020, 165, 3023–3072. [Google Scholar] [CrossRef]
- Kaleta, E.F.; Alexander, D.J.; Russell, P.H. The first isolation of the avian pmv-1 virus responsible for the current panzootic in pigeons? Avian Pathol. 1985, 14, 553–557. [Google Scholar] [CrossRef] [PubMed]
- Biancifiori, F.; Fioroni, A. An occurrence of Newcastle disease in pigeons: Virological and serological studies on the isolates. Comp. Immunol. Microbiol. Infect. Dis. 1983, 6, 247–252. [Google Scholar] [CrossRef] [PubMed]
- Alexander, D.J.; Russell, P.H.; Collins, M.S. Paramyxovirus type 1 infections of racing pigeons: 1 characterisation of isolated viruses. Vet. Rec. 1984, 114, 444–446. [Google Scholar] [CrossRef] [PubMed]
- Werner, O.; Römer- Oberdörfer, A.; Köllner, B.; Manvell, R.J.; Alexander, D.J. Characterization of avian paramyxovirus type 1 strains isolated in Germany during 1992 to 1996. Avian Pathol. 1999, 28, 79–88. [Google Scholar] [CrossRef] [PubMed]
- Alexander, D.J. Newcastle disease in the European Union 2000 to 2009. Avian Pathol. 2011, 40, 547–558. [Google Scholar] [CrossRef]
- Napp, S.; Alba, A.; Rocha, A.I.; Sánchez, A.; Rivas, R.; Majó, N.; Perarnau, M.; Massot, C.; Miguel, E.S.; Soler, M.; et al. Six-year surveillance of Newcastle disease virus in wild birds in north-eastern Spain (Catalonia). Avian Pathol. 2017, 46, 59–67. [Google Scholar] [CrossRef][Green Version]
- Aldous, E.W.; Fuller, C.M.; Ridgeon, J.H.; Irvine, R.M.; Alexander, D.J.; Brown, I.H. The Evolution of Pigeon Paramyxovirus Type 1 (PPMV-1) in Great Britain: A Molecular Epidemiological Study. Transbound. Emerg. Dis. 2014, 61, 134–139. [Google Scholar] [CrossRef]
- Vindevogel, H.; Duchatel, J.P. Panzootic Newcastle disease virus in pigeons. In Newcastle Disease; Alexander, D.J., Ed.; Kluwer Academic Publishers: Boston, MA, USA, 1988; pp. 184–196. [Google Scholar]
- Pienaar, A.C.E.; Cillier, J.A. The isolation of a paramyxovirus from pigeons in South Africa. Onderstepoort J. Vet. Res. 1987, 54, 653–654. [Google Scholar]
- Ide, P.I. Virological studies of paramyxovirus type 1 infection of pigeons. Can. Vet. J. 1987, 28, 601–603. [Google Scholar]
- Bogoyavlenskiy, A.; Berezin, V.; Prilipov, A.; Usachev, E.; Korotetskiy, I.; Zaitceva, I.; Kydyrmanov, A.; Sayatov, M. Characterization of pigeon paramyxoviruses (Newcastle disease virus) isolated in Kazakhstan in 2005. Virologica. Sinica. 2012, 27, 93–99. [Google Scholar] [CrossRef]
- Collins, M.S.; Strong, I.; Alexander, D.J. Evaluation of the molecular-basis of pathogenicity of the variant Newcastle-disease viruses termed “Pigeon Pmv-1 Viruses”. Arch. Virol. 1994, 134, 403–411. [Google Scholar] [CrossRef] [PubMed]
- Meulemans, G.; Berg, T.V.D.; Decaesstecker, M.; Boschmans, M. Evolution of pigeon Newcastle disease virus strains. Avian Pathol. 2002, 31, 515–519. [Google Scholar] [CrossRef] [PubMed]
- Dortmans, J.C.; Fuller, C.M.; Aldous, E.W.; Rottier, P.J.; Peeters, B.P. Two genetically closely related pigeon paramyxovirus type 1 (PPMV-1) variants with identical velogenic fusion protein cleavage sites but with strongly contrasting virulence. Vet. Microbiol. 2010, 143, 139–144. [Google Scholar] [CrossRef] [PubMed]
- Dortmans, J.C.F.M.; Rottier, P.J.M.; Koch, G.; Peeters, B.P.H. Passaging of a Newcastle disease virus pigeon variant in chickens results in selection of viruses with mutations in the polymerase complex enhancing virus replication and virulence. J. Gen. Virol. 2011, 92, 336–345. [Google Scholar] [CrossRef]
- Wang, J.J.; Liu, H.L.; Liu, W.; Zheng, D.X.; Zhao, Y.L.; Li, Y.; Wang, Y.; Ge, S.; Lv, Y.; Zuo, Y.; et al. Genomic characterizations of six pigeon paramyxovirus type 1 viruses isolated from live bird markets in China during 2011 to 2013. PLoS ONE 2015, 10, e0124261. [Google Scholar] [CrossRef]
- Aldous, E.W.; Fuller, C.M.; Mynn, J.K.; Alexander, D.J. A molecular epidemiological investigation of isolates of the variant avian paramyxovirus type 1 virus (PPMV-1) responsible for the 1978 to present panzootic in pigeons. Avian Pathol. 2004, 33, 258–269. [Google Scholar] [CrossRef]
- Cattoli, G.; Susta, L.; Terregino, C.; Brown, C. Newcastle disease: A review of field recognition and current methods of laboratory detection. J. Vet. Diagn. Investig. 2011, 23, 637–656. [Google Scholar] [CrossRef]
- Mansour, S.M.; Mohamed, F.F.; Eid, A.A.; Mor, S.K.; Goyal, S.M. Co-circulation of paramyxo-and influenza viruses in pigeons in Egypt. Avian Pathol. 2017, 46, 367–375. [Google Scholar] [CrossRef]
- Toro, H.; Hoerr, F.J.; Farmer, K.; Dykstra, C.C.; Roberts, S.R.; Perdue, M. Pigeon paramyxovirus: Association with common avian pathogens in chickens and serologic survey in wild birds. Avian Dis. 2005, 49, 92–98. [Google Scholar] [CrossRef]
- Liu, M.; Qu, Y.; Wang, F.; Liu, S.; Sun, H. Genotypic and pathotypic characterization of Newcastle disease virus isolated from racing pigeons in China. Poult. Sci. 2015, 94, 1476–1482. [Google Scholar] [CrossRef]
- He, Y.; Lu, B.; Dimitrov, K.M.; Liang, J.; Chen, Z.; Zhao, W.; Qin, Y.; Duan, Q.; Zhou, Y.; Liu, L.; et al. Complete genome sequencing, molecular epidemiological, and pathogenicity analysis of pigeon paramyxoviruses type 1 isolated in Guangxi, China during 2012–2018. Viruses 2020, 12, 366. [Google Scholar] [CrossRef] [PubMed]
- Xie, P.; Chen, L.; Zhang, Y.; Lin, Q.; Ding, C.; Liao, M.; Xu, C.; Xiang, B.; Ren, T. Evolutionary dynamics and age-dependent pathogenesis of sub-genotype VI. 2.1. 1.2. 2 PPMV-1 in pigeons. Viruses 2020, 12, 433. [Google Scholar] [CrossRef] [PubMed]
- Zhang, Y.; Wang, W.; Li, Y.; Liu, J.; Wang, W.; Bai, J.; Yang, Z.; Liu, H.; Xiao, S. A pigeon paramyxovirus type 1 isolated from racing pigeon as an inactivated vaccine candidate provides effective protection. Poult. Sci. 2022, 101, 102097. [Google Scholar] [CrossRef]
- Hamouda, E.E.; Mohamed, N.A.; Eid, A.A.; Ismail, A.N.; El-Sisi, M.A.; Hassanin, O.A.; Abou-Hashem, N.A. Utilization of RT-PCR and restriction enzyme analysis in detection and differentiation of pigeon paramyxovirus-1 and Newcastle disease virus in pigeons. Zagazig Vet. J. 2017, 45, 37–47. [Google Scholar] [CrossRef]
- WOAH Terrestrial Manual. Newcastle Disease (Infection with Newcastle Disease Virus). In Manual of Diagnostic Tests and Vaccines for Terrestrial Animals; WOAH: Paris, France, 2021; Chapter 3.3.14; Available online: https://www.woah.org/fileadmin/Home/eng/Health_standards/tahm/3.03.14_NEWCASTLE_DIS.pdf (accessed on 15 March 2022).
- Reed, L.J.; Muench, H. A simple method of estimating fifty percent endpoints. Am. J. Hyg. 1938, 27, 493–497. [Google Scholar]
- Alexander, D.J. Newcastle disease other avian para-myxoviruses. In A Laboratory Manual for the Isolation, Identification Characterization of Avian Pathogens, 4th ed.; Swayne, D.E., Glisson, J.R., Jackwood, M.W., Pearson, J.E., Reed, W.M., Eds.; American Association of Avian Pathologists: Kenneth Square, IA, USA, 1998; pp. 156–163. [Google Scholar]
- Suarez, D.L.; Miller, P.J.; Koch, G.; Mundt, E.; Rautenschlein, S. Newcastle disease, other avian paramyxoviruses, and avian metapneumovirus infections. In Diseases of Poultry, 14th ed.; Swayne, D.E., Boulianne, M., Logue, C.M., McDougald, L.R., Nair, V., Suarez, D.L., de Witit, S., Grimes, T., Johnson, D., Kromm, M., et al., Eds.; Wiley-Blackwell: Hoboken, NJ, USA, 2019; pp. 109–166. [Google Scholar]
- Sabra, M.; Dimitrov, K.M.; Goraichuk, I.V.; Wajid, A.; Sharma, P.; Williams-Coplin, D.; Basharat, A.; Rehmani, S.F.; Muzyka, D.V.; Miller, P.J.; et al. Phylogenetic assessment reveals continuous evolution and circulation of pigeon-derived virulent avian avulaviruses 1 in Eastern Europe, Asia, and Africa. BMC Vet. Res. 2017, 13, 1–13. [Google Scholar] [CrossRef]
- Fuller, C.M.; Collins, M.S.; Alexander, D.J. Development of a real-time reverse-transcription PCR for the detection and simultaneous pathotyping of Newcastle disease virus isolates using a novel probe. Arch. Virol. 2009, 154, 929–937. [Google Scholar] [CrossRef]
- Suvarna, K.S.; Layton, C.; Bancroft, J.D. Bancroft’s Theory and Practice of Histological Techniques, 8th ed.; Elsevier Health Sciences: London, UK, 2018. [Google Scholar]
- Samiullah, M.; Rizvi, F.; Anjum, A.D.; Shah, M.F.A. Rising hyperimmune serum against avian paramyxovirus (APMV-1) and pigeon paramyxovirus (PPMV-1) in rabbits and their cross-reactivity. Pak. J. Biol. Sci. 2006, 9, 2184–2186. [Google Scholar] [CrossRef]
- Burns, R. Immunochemical Protocols, 3rd ed.; Humana Press: Totowa, NJ, USA, 2005. [Google Scholar]
- Dunn, P.K.; Smyth, G.K. Positive Continuous Data: Gamma and Inverse Gaussian GLMs, In Generalized Linear Models with Examples in R; Dunn, P.K., Smyth, G.K., Eds.; Springer New York: New York, NY, USA, 2018; pp. 425–456. [Google Scholar]
- Xiang, B.; You, R.; Kang, Y.; Xie, P.; Zhu, W.; Sun, M.; Gao, P.; Li, Y.; Ren, T. Host immune responses of pigeons infected with Newcastle disease viruses isolated from pigeons. Microb. Pathog. 2019, 127, 131–137. [Google Scholar] [CrossRef]
- Zhan, T.; Hu, S.; Chen, Y.; Lu, X.; Liao, T.; Guo, L.; Gao, X.; Xu, X.; Hu, Z.; Liu, X. Comparative pathogenicity of two closely related Newcastle disease virus isolates from chicken and pigeon respectively. Virus Res. 2020, 286, 198091. [Google Scholar] [CrossRef]
- Qiu, X.; Meng, C.; Zhan, Y.; Yu, S.; Li, S.; Ren, T.; Yuan, W.; Xu, S.; Sun, Y.; Tan, L.; et al. Phylogenetic, antigenic and biological characterization of pigeon paramyxovirus type 1 circulating in China. Virol. J. 2017, 14, 1–13. [Google Scholar] [CrossRef] [PubMed]
- Esmaeelzadeh Dizaji, R.; Ghalyanchi Langeroudi, A.; Vasfi Marandi, M.; Hosseini, H.; Karimi, V.; Molouki, A. Characterization of Pigeon Paramyxovirus Type 1 Viruses (PPMV-1) Isolated in Iran. Iran. J. Virol. 2020, 14, 12–20. [Google Scholar]
- Chang, H.; Feng, S.; Wang, Y.; Li, F.; Su, Q.; Wang, B.; Du, J.; He, H. Isolation and pathogenic characterization of pigeon paramyxovirus type 1 via different inoculation routes in pigeons. Front. Vet. Sci. 2021, 7, 569901. [Google Scholar] [CrossRef] [PubMed]
- Zhan, T.; He, D.; Lu, X.; Liao, T.; Wang, W.; Chen, Q.; Liu, X.; Gu, M.; Wang, X.; Hu, S.; et al. Biological characterization and evolutionary dynamics of pigeon paramyxovirus type 1 in China. Front. Vet. Sci. 2021, 8, 721102. [Google Scholar] [CrossRef]
- Zhan, T.; Lu, X.; He, D.; Gao, X.; Chen, Y.; Hu, Z.; Wang, X.; Hu, S.; Liu, X. Phylogenetic analysis and pathogenicity assessment of pigeon paramyxovirus type 1 circulating in China during 2007–2019. Transbound. Emerg. Dis. 2022, 69, 2076–2088. [Google Scholar] [CrossRef] [PubMed]
- Zhang, Y.; Ren, S.; Yuan, X.; Yang, J.; Ai, W.; Meng, K. Biological characterization of isolated pigeon Paramyxovirus-1 and its pathogenicity analysis in SPF chickens. Vet. Arh. 2023, 93, 65–70. [Google Scholar] [CrossRef]
- Dortmans, J.C.; Koch, G.; Rottier, P.J.; Peeters, B.P. Virulence of pigeon paramyxovirus type 1 does not always correlate with the cleavability of its fusion protein. J. Gen. Virol. 2009, 90, 2746–2750. [Google Scholar] [CrossRef]
- Flint, S.J.; Enquist, L.W.; Racaniello, V.R.; Skalka, A.M. Principles of Virology, Molecular Biology, Pathogenesis and Control of Animal Viruses; ASM Press: Washington, DC, USA, 2004; pp. 126–176. [Google Scholar]
- Rahman, S.; Nizamani, Z.A.; Soomro, N.M.; Kalhoro, N.H.; Rasool, F. Velogenic viscerotropic Newcastle disease virus produces variable pathogenicity in two chicken breeds. J. Anim. Health Prod. 2014, 2, 46–50. [Google Scholar] [CrossRef]
- Amer, M.I.S.; El-Bagoury, G.F.; Khodeir, M.H. Evaluation of the immune response of pigeons to Newcastle disease and pigeon paramyxo virus vaccines. Benha Vet. Med. J. 2013, 24, 148–156. [Google Scholar]
- Wang, F.; Gao, M.; Han, Z.; Hou, Y.; Zhang, L.; Ma, Z.; Ma, D. Innate immune responses of domestic pigeons to the infection of pigeon paramyxovirus type 1 virus. Poult. Sci. 2021, 100, 603–614. [Google Scholar] [CrossRef]
- Shalaby, S.M.; Awadin, W.F.; Hamed, M.F.; El-Tholoth, M.; Ibrahim, I.; El-Shaieb, A.F. Pathological and ultrastructural characteristics of Newcastle and pox diseases in naturally infected pigeons in Egypt. Adv. Anim. Vet. Sci. 2021, 9, 1995–2004. [Google Scholar] [CrossRef]
- Isidoro-Ayza, M.; Afonso, C.L.; Stanton, J.B.; Knowles, S.; Ip, H.S.; White, C.L.; Fenton, H.; Ruder, M.G.; Dolinski, A.C.; Lankton, J. Natural infections with pigeon paramyxovirus serotype 1: Pathologic changes in Eurasian collared-doves (Strep-topelia decaocto) and rock pigeons (Columba livia) in the United States. Vet. Pathol. 2017, 54, 695–703. [Google Scholar] [CrossRef] [PubMed]
- Al-Alhially, A.A.; Al-Hamdany, E.K.; Ismail, H.K. Investigation of histopathological alteration of paramyxovirus-1 in naturally infected racing pigeons. Iraqi J. Vet. Sci. 2024, 38, 309–316. [Google Scholar] [CrossRef]
- Isenmann, R.; Henne-Bruns, D.; Adler, G. Shock and acute pancreatitis. Best. Pract. Res. Clin. Gastroenterol. 2003, 17, 345–355. [Google Scholar] [CrossRef]
- Barton, J.T.; Bickford, A.A.; Cooper, G.L.; Charlton, B.R.; Cardona, C.J. Avian paramyxovirus type 1 infections in racing pigeons in California, I: Clinical signs, pathology, and serology. Avian Dis. 1992, 36, 463–468. [Google Scholar] [CrossRef] [PubMed]
- Johnston, K.M.; Key, D.W. Paramyxovirus-1 in feral pigeons (Columba livia) in Ontario. Can. Vet. J. 1992, 33, 796–800. [Google Scholar]
- Stone, H.D. Efficacy of oil-emulsion vaccines prepared with pigeon paramyxovirus-1, Ulster, and La Sota Newcastle disease viruses. Avian Dis. 1989, 33, 157–162. [Google Scholar] [CrossRef]
- Hassan, E.A. Studies on Protection of Pigeon Squabs against Infection with Pigeon Paramyxovirus-L Using Different Strains of Newcastle Disease Vaccine in the Period Before the Age of Vaccination with PMV-1 Vaccine. Egyptian J. Agric. Res. 2005, 83, 1317–1324. [Google Scholar] [CrossRef]
- Alexander, D.J.; Manvell1, R.J.; Kemp, P.A.; Parsons, G.; Collins, M.S.; Brockman, S.; Russell, P.H.; Lister, S.A. Use of monoclonal antibodies in the characterisation of avian paramyxovirus type 1 (Newcastle disease virus) isolates submitted to an international reference laboratory. Avian Pathol. 1987, 16, 553–565. [Google Scholar] [CrossRef]
- Meulemans, G.; Letellier, C.; Gonze, M.; Carlier, M.C.; Burny, A. Newcastle disease virus F glycoprotein expressed from a recombinant vaccinia virus vector protects chickens against live-virus challenge. Avian Pathol. 1988, 17, 821–827. [Google Scholar] [CrossRef] [PubMed]
- Ye, H.; Qiu, W.; Li, M.; Liang, Z.; Wang, X.; Luo, K. Development and immune efficacy of Newcastle disease virus vaccine for pigeon. China Poult. 2012, 34, 20–24. [Google Scholar]
- Zhang, R.; Pu, J.; Su, J.; Zhao, J.; Wang, X.; Zhang, S.; Li, X.; Zhang, G. Phylogenetic characterization of Newcastle disease virus isolated in the mainland of China during 2001–2009. Vet. Microbiol. 2010, 141, 246–257. [Google Scholar]







| Groups | Subgroups | General Signs * | Respiratory Signs | Greenish Diarrhoea | Nervous Signs | Morbidity (%) | Clinical Indices ** | Mortality (%) |
|---|---|---|---|---|---|---|---|---|
| G1 | A | 0/8 | 0/8 | 0/8 | 0/8 | 0/8 (0) | 0 | 0/8 (0) |
| B | 5/8 | 0/8 | 2/8 | 2/8 | 5/8 (62.5) | 0.66 | 3/8 (37.5) | |
| G2 | A | 0/8 | 0/8 | 0/8 | 0/8 | 0/8 (0) | 0 | 0/8 (0) |
| B | 1/8 | 0/8 | 1/8 | 0/8 | 1/8 (12.5) | 0.01 | 0/8 (0) | |
| G3 | A | 0/8 | 0/8 | 0/8 | 0/8 | 0/8 (0) | 0 | 0/8 (0) |
| B | 1/8 | 0/8 | 0/8 | 1/8 | 1/8 (12.5) | 0.02 | 0/8 (0) | |
| G4 | A | 0/8 | 0/8 | 0/8 | 0/8 | 0/8 (0) | 0 | 0/8 (0) |
| B | 8/8 | 1/8 | 5/8 | 6/8 | 8/8 (100) | 1.03 | 5/8 (62.5) |
| Subgroups | Total No. | No. of Dead and Euthanised Morbid Pigeons | Brain: Congested (C)/Haemorrhagic (H) | Spleen: Enlarged (E)/Atrophied (A) | Pancreas: Haemorrhages (H)/Necrosis (N) | Heart: Haemorrhages | Oesophagus to Proventriculus: Haemorrhages | Intestines: Enteritis with Greenish Content | Kidneys: Nephritis (Ni)/Nephrosis (No) | Thymus: Atrophy | Bursa of Fabricius: Atrophy |
|---|---|---|---|---|---|---|---|---|---|---|---|
| G1b | 8 | 5 | 4 C | 3 | 3 (1 H, 2 N) | 0 | 1 | 3 | 3 (1 Ni, 2 No) | 3 | 3 |
| G2b | 8 | 1 | 0 | 0 | 1N | 0 | 0 | 1 | 0 | 0 | 0 |
| G3b | 8 | 1 | 1 C | 0 | 1 N | 0 | 0 | 0 | 1 No | 0 | 0 |
| G4b | 8 | 8 | 8 C + H | 5 | 8 (6 H, 2 N) | 2 | 2 | 8 | 7 (2 Ni, 5 No) | 5 | 4 |
| Antigen | Group | Weeks Post-Vaccination | ||||
|---|---|---|---|---|---|---|
| 1 | 2 | 3 | 4 | 5 | ||
| LaSota | G1b | 1 ± 0.08 c | 1 ± 0.08 c | 1 ± 0.08 c | 1 ± 0.08 c | 4.67 ± 0.37 b |
| G2b | 1 ± 0.08 c | 5 ± 0.39 b | 6 ± 0.47 ab | 6.33 ± 0.49 ab | 8.33 ± 0.66 a | |
| G3b | 1 ± 0.08 c | 1 ± 0.08 c | 5 ± 0.39 b | 5.67 ± 0.45 ab | 5 ± 0.39 b | |
| G4a | 1 ± 0.08 c | 1 ± 0.08 c | 1 ± 0.08 c | 1 ± 0.08 c | 1 ± 0.08 c | |
| G4b | 1 ± 0.08 c | 1 ± 0.08 c | 1 ± 0.08 c | 1 ± 0.08 c | 4.67 ± 0.37 b | |
| PPMV-1 | G1b | 1 ± 0.08 c | 1 ± 0.08 c | 1 ± 0.08 c | 1 ± 0.08 c | 6.33 ± 0.49 ab |
| G2b | 1 ± 0.08 c | 4.33 ± 0.34 b | 5.67 ± 0.45 ab | 6.33 ± 0.49 ab | 8.33 ± 0.66 a | |
| G3b | 1 ± 0.08 c | 1 ± 0.08 c | 5 ± 0.39 b | 5.33 ± 0.42 ab | 5.67 ± 0.45 ab | |
| G4a | 1 ± 0.08 c | 1 ± 0.08 c | 1 ± 0.08 c | 1 ± 0.08 c | 1 ± 0.08 c | |
| G4b | 1 ± 0.08 c | 1 ± 0.08 c | 1 ± 0.08 c | 1 ± 0.08 c | 5.33 ± 0.42 b | |
| Group | Treatment | Tracheal Swab | Cloacal Swab | ||||||||||
|---|---|---|---|---|---|---|---|---|---|---|---|---|---|
| 3 dpc | 5 dpc | 7 dpc | 3 dpc | 5 dpc | 7 dpc | ||||||||
| No. of Swabs * | Ct Value | No. of Swabs | Ct Value ** | No. of Swabs | Ct Value ** | No. of Swabs | Ct Value | No. of Swabs | Ct Value ** | No. of Swabs | Ct Value ** | ||
| G1b | LaSota vaccinated + challenged | 0/3 | - | 1/3 | 37.6 | 1/3 | 30.9 | 0/3 | - | 2/3 | 32.6–34.9 | 1/3 | 28.4 |
| G2b | PPMV vaccinated + challenged | 0/3 | - | 0/3 | - | 0/3 | - | 0/3 | - | 0/3 | - | 0/3 | - |
| G3b | LaSota and PPMV vaccinated + challenged | 0/3 | - | 0/3 | - | 1/3 | 39.3 *** | 0/3 | - | 0/3 | - | 1/3 | 37 |
| G4b | Unvaccinated + challenged | 0/3 | - | 1/3 | 37.3 | 3/3 | 35–36 | 0/3 | - | 3/3 | 32.8–33.9 | 3/3 | 33.9–35.4 |
Disclaimer/Publisher’s Note: The statements, opinions and data contained in all publications are solely those of the individual author(s) and contributor(s) and not of MDPI and/or the editor(s). MDPI and/or the editor(s) disclaim responsibility for any injury to people or property resulting from any ideas, methods, instructions or products referred to in the content. |
© 2024 by the authors. Licensee MDPI, Basel, Switzerland. This article is an open access article distributed under the terms and conditions of the Creative Commons Attribution (CC BY) license (https://creativecommons.org/licenses/by/4.0/).
Share and Cite
Hamouda, E.E.; Eid, A.A.M.; Gouda, H.F.; Dessouki, A.A.; El-Deeb, A.H.; Daines, R.; Iqbal, M.; ElBakrey, R.M. Assessment of PPMV-1 Genotype VI Virulence in Pigeons and Chickens and Protective Effectiveness of Paramyxovirus Vaccines in Pigeons. Viruses 2024, 16, 1585. https://doi.org/10.3390/v16101585
Hamouda EE, Eid AAM, Gouda HF, Dessouki AA, El-Deeb AH, Daines R, Iqbal M, ElBakrey RM. Assessment of PPMV-1 Genotype VI Virulence in Pigeons and Chickens and Protective Effectiveness of Paramyxovirus Vaccines in Pigeons. Viruses. 2024; 16(10):1585. https://doi.org/10.3390/v16101585
Chicago/Turabian StyleHamouda, Esraa E., Amal A. M. Eid, Hagar F. Gouda, Amina A. Dessouki, Ayman H. El-Deeb, Rebecca Daines, Munir Iqbal, and Reham M. ElBakrey. 2024. "Assessment of PPMV-1 Genotype VI Virulence in Pigeons and Chickens and Protective Effectiveness of Paramyxovirus Vaccines in Pigeons" Viruses 16, no. 10: 1585. https://doi.org/10.3390/v16101585
APA StyleHamouda, E. E., Eid, A. A. M., Gouda, H. F., Dessouki, A. A., El-Deeb, A. H., Daines, R., Iqbal, M., & ElBakrey, R. M. (2024). Assessment of PPMV-1 Genotype VI Virulence in Pigeons and Chickens and Protective Effectiveness of Paramyxovirus Vaccines in Pigeons. Viruses, 16(10), 1585. https://doi.org/10.3390/v16101585

