Construction of a Hantaan Virus Phage Antibody Library and Screening for Potential Neutralizing Activity
Abstract
1. Introduction
2. Materials and Methods
2.1. Materials, Antibodies and Cell Lines
2.2. Construction of the Anti-HTNV Fab Phage Antibody Library
2.3. Enrichment and Screening of the Anti-HTNV Fab Phage Antibody Library
2.4. Preparation of the Monoclonal Phage-Ab
2.5. Expression and Purification of the Fab Antibody
2.6. Phage–ELISA Detection of the HTNV-Specific Fab Phage Antibodies
2.7. Microculture Neutralization Assay
2.8. Statistical Analysis
3. Results
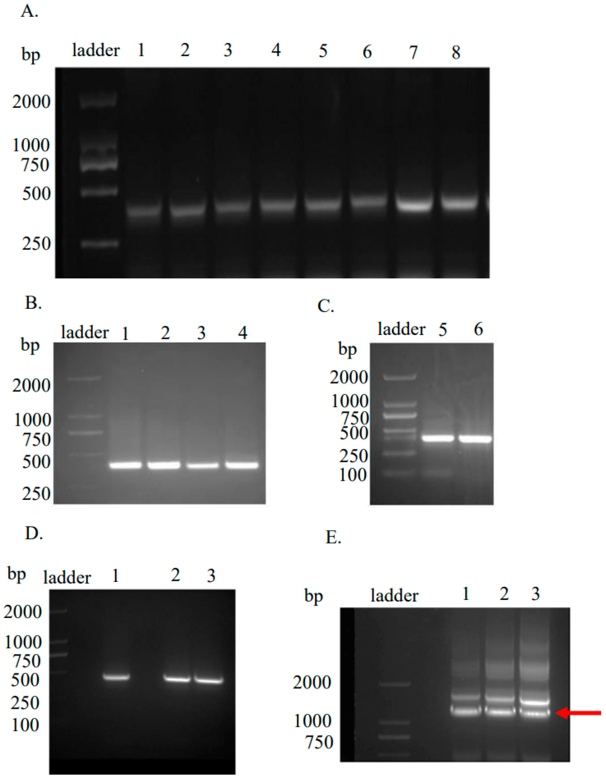
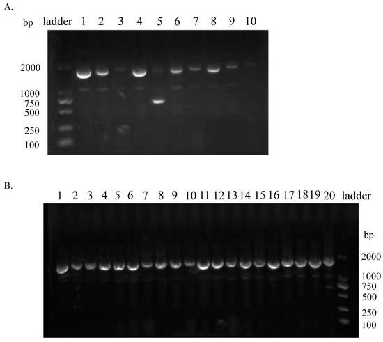
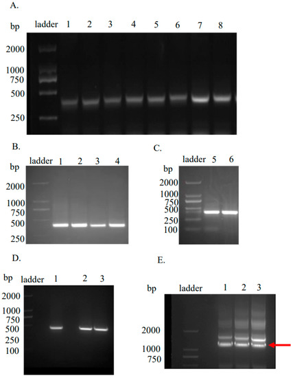
3.1. Construction of the Anti-HTNV Fab Phage Antibody Library
3.2. Preparation and Characterization of the Anti-HTNV Fab Phage Antibody Library
3.3. Screening and Enrichment of the Antibody Library
3.4. Screening for Neutralizing Antibodies Specific to HTNV
4. Discussion
5. Conclusions
Supplementary Materials
Author Contributions
Funding
Institutional Review Board Statement
Informed Consent Statement
Data Availability Statement
Acknowledgments
Conflicts of Interest
References
- Brocato, R.L.; Hooper, J.W. Progress on the Prevention and Treatment of Hantavirus Disease. Viruses 2019, 11, 610. [Google Scholar] [CrossRef]
- Jiang, H.; Du, H.; Wang, L.M.; Wang, P.Z.; Bai, X.F. Hemorrhagic Fever with Renal Syndrome: Pathogenesis and Clinical Picture. Front. Cell. Infect. Microbiol. 2016, 6, 1. [Google Scholar] [CrossRef]
- Shen, L.; Sun, M.; Wei, X.; Bai, Y.; Hu, Q.; Song, S.; Gao, B.; Zhang, W.; Liu, J.; Shao, Z.; et al. Spatiotemporal association of rapid urbanization and water-body distribution on hemorrhagic fever with renal syndrome: A case study in the city of Xi’an, China. PLoS Negl. Trop. Dis. 2022, 16, e0010094. [Google Scholar] [CrossRef]
- Li, N.; Li, A.; Liu, Y.; Wu, W.; Li, C.; Yu, D.; Zhu, Y.; Li, J.; Li, D.; Wang, S.; et al. Genetic diversity and evolution of Hantaan virus in China and its neighbors. PLoS Negl. Trop. Dis. 2020, 14, e0008090. [Google Scholar] [CrossRef]
- Liang, W.; Gu, X.; Li, X.; Zhang, K.; Wu, K.; Pang, M.; Dong, J.; Merrill, H.R.; Hu, T.; Liu, K.; et al. Mapping the epidemic changes and risks of hemorrhagic fever with renal syndrome in Shaanxi Province, China, 2005–2016. Sci. Rep. 2018, 8, 749. [Google Scholar] [CrossRef]
- She, K.; Li, C.; Qi, C.; Liu, T.; Jia, Y.; Zhu, Y.; Liu, L.; Wang, Z.; Zhang, Y.; Li, X. Epidemiological Characteristics and Regional Risk Prediction of Hemorrhagic Fever with Renal Syndrome in Shandong Province, China. Int. J. Environ. Res. Public. Health 2021, 18, 8495. [Google Scholar] [CrossRef]
- Sun, L.; Zou, L.X. Spatiotemporal analysis and forecasting model of hemorrhagic fever with renal syndrome in mainland China. Epidemiol. Infect. 2018, 146, 1680–1688. [Google Scholar] [CrossRef]
- Wang, Y.; Xu, C.; Wu, W.; Ren, J.; Li, Y.; Gui, L.; Yao, S. Time series analysis of temporal trends in hemorrhagic fever with renal syndrome morbidity rate in China from 2005 to 2019. Sci. Rep. 2020, 10, 9609. [Google Scholar] [CrossRef]
- Xiao, Y.; Li, Y.; Li, Y.; Yu, C.; Bai, Y.; Wang, L.; Wang, Y. Estimating the Long-Term Epidemiological Trends and Seasonality of Hemorrhagic Fever with Renal Syndrome in China. Infect. Drug. Resist. 2021, 14, 3849–3862. [Google Scholar] [CrossRef]
- Wen, X.; Zhang, L.; Liu, Q.; Xiao, X.; Huang, W.; Wang, Y. Screening and identification of HTNV(pv) entry inhibitors with high-throughput pseudovirus-based chemiluminescence. Virol. Sin. 2022, 37, 531–537. [Google Scholar] [CrossRef]
- Perley, C.C.; Brocato, R.L.; Wu, H.; Bausch, C.; Karmali, P.P.; Vega, J.B.; Cohen, M.V.; Somerville, B.; Kwilas, S.A.; Principe, L.M.; et al. Anti-HFRS Human IgG Produced in Transchromosomic Bovines Has Potent Hantavirus Neutralizing Activity and Is Protective in Animal Models. Front. Microbiol. 2020, 11, 832. [Google Scholar] [CrossRef]
- Yu, L.; Bai, W.; Wu, X.; Zhang, L.; Zhang, L.; Li, P.; Wang, F.; Liu, Z.; Zhang, F.; Xu, Z. A recombinant pseudotyped lentivirus expressing the envelope glycoprotein of hantaan virus induced protective immunity in mice. Virol. J. 2013, 10, 301. [Google Scholar] [CrossRef]
- Yan, G.; Zhang, Y.; Ma, Y.; Yi, J.; Liu, B.; Xu, Z.; Zhang, Y.; Zhang, C.; Zhang, F.; Xu, Z.; et al. Identification of a novel B-cell epitope of Hantaan virus glycoprotein recognized by neutralizing 3D8 monoclonal antibody. J. Gen. Virol. 2012, 93, 2595–2600. [Google Scholar] [CrossRef] [PubMed]
- Johnson, A.M.; Barigye, R.; Saminathan, H. Perspectives on the use and risk of adverse events associated with cytokine-storm targeting antibodies and challenges associated with development of novel monoclonal antibodies for the treatment of COVID-19 clinical cases. Hum. Vaccin. Immunother. 2021, 17, 2824–2840. [Google Scholar] [CrossRef] [PubMed]
- Xu, R.; Yang, X.Y.; Yang, D.F.; Zou, C.Y.; Gong, P.L.; Zeng, F.D. Phase I evaluation of the safety and pharmacokinetics of a single-dose intravenous injection of a murine monoclonal antibody against Hantaan virus in healthy volunteers. Antimicrob. Agents Chemother. 2009, 53, 5055–5059. [Google Scholar] [CrossRef]
- McCafferty, J.; Griffiths, A.D.; Winter, G.; Chiswell, D.J. Phage antibodies: Filamentous phage displaying antibody variable domains. Nature 1990, 348, 552–554. [Google Scholar] [CrossRef]
- Roth, K.D.R.; Wenzel, E.V.; Ruschig, M.; Steinke, S.; Langreder, N.; Heine, P.A.; Schneider, K.T.; Ballmann, R.; Fuhner, V.; Kuhn, P.; et al. Developing Recombinant Antibodies by Phage Display Against Infectious Diseases and Toxins for Diagnostics and Therapy. Front. Cell. Infect. Microbiol. 2021, 11, 697876. [Google Scholar] [CrossRef]
- Smith, G.P. Filamentous fusion phage: Novel expression vectors that display cloned antigens on the virion surface. Science 1985, 228, 1315–1317. [Google Scholar] [CrossRef]
- Liang, M.; Mahler, M.; Koch, J.; Ji, Y.; Li, D.; Schmaljohn, C.; Bautz, E.K. Generation of an HFRS patient-derived neutralizing recombinant antibody to Hantaan virus G1 protein and definition of the neutralizing domain. J. Med. Virol. 2003, 69, 99–107. [Google Scholar] [CrossRef]
- Koch, J.; Liang, M.; Queitsch, I.; Kraus, A.A.; Bautz, E.K. Human recombinant neutralizing antibodies against hantaan virus G2 protein. Virology 2003, 308, 64–73. [Google Scholar] [CrossRef]
- Li, Z.; Zeng, H.; Wang, Y.; Zhang, Y.; Cheng, L.; Zhang, F.; Lei, Y.; Jin, B.; Ma, Y.; Chen, L. The assessment of Hantaan virus-specific antibody responses after the immunization program for hemorrhagic fever with renal syndrome in northwest China. Hum. Vaccin. Immunother. 2017, 13, 802–807. [Google Scholar] [CrossRef] [PubMed]
- Wang, M.L.; Zhang, Q.H.; Wang, J.P.; Li, Y.M.; Ma, Y.; Jin, B.Q. Application of Epstein-Barr virus-transformed B lymphoblastic cells in identification of CTL epitopes specific for Hantaan virus. Xi Bao Yu Fen. Zi Mian Yi Xue Za Zhi 2009, 25, 20–22. [Google Scholar] [PubMed]
- Ma, Y.; Wang, J.; Yuan, B.; Wang, M.; Zhang, Y.; Xu, Z.; Zhang, C.; Zhang, Y.; Liu, B.; Yi, J.; et al. HLA-A2 and B35 restricted hantaan virus nucleoprotein CD8+ T-cell epitope-specific immune response correlates with milder disease in hemorrhagic fever with renal syndrome. PLoS Negl. Trop. Dis. 2013, 7, e2076. [Google Scholar] [CrossRef] [PubMed]
- Steinitz, M.; Klein, G.; Koskimies, S.; Makel, O. EB virus-induced B lymphocyte cell lines producing specific antibody. Nature 1977, 269, 420–422. [Google Scholar] [CrossRef]
- Xu, Z.; Wei, L.; Wang, L.; Wang, H.; Jiang, S. The in vitro and in vivo protective activity of monoclonal antibodies directed against Hantaan virus: Potential application for immunotherapy and passive immunization. Biochem. Biophys. Res. Commun. 2002, 298, 552–558. [Google Scholar] [CrossRef]
- Cheng, L.F.; Wang, F.; Zhang, L.; Yu, L.; Ye, W.; Liu, Z.Y.; Ying, Q.K.; Wu, X.A.; Xu, Z.K.; Zhang, F.L. Incorporation of GM-CSF or CD40L Enhances the Immunogenicity of Hantaan Virus-Like Particles. Front. Cell. Infect. Microbiol. 2016, 6, 185. [Google Scholar] [CrossRef]
- Lim, C.C.; Choong, Y.S.; Lim, T.S. Cognizance of Molecular Methods for the Generation of Mutagenic Phage Display Antibody Libraries for Affinity Maturation. Int. J. Mol. Sci. 2019, 20, 1861. [Google Scholar] [CrossRef]
- Saeed, A.F.; Wang, R.; Ling, S.; Wang, S. Antibody Engineering for Pursuing a Healthier Future. Front. Microbiol. 2017, 8, 495. [Google Scholar] [CrossRef]
- Cai, X.; Garen, A. Anti-melanoma antibodies from melanoma patients immunized with genetically modified autologous tumor cells: Selection of specific antibodies from single-chain Fv fusion phage libraries. Proc. Natl. Acad. Sci. USA 1995, 92, 6537–6541. [Google Scholar] [CrossRef] [PubMed]
- Alfaleh, M.A.; Alsaab, H.O.; Mahmoud, A.B.; Alkayyal, A.A.; Jones, M.L.; Mahler, S.M.; Hashem, A.M. Phage Display Derived Monoclonal Antibodies: From Bench to Bedside. Front. Immunol. 2020, 11, 1986. [Google Scholar] [CrossRef]
- Schmaljohn, C.S.; Chu, Y.K.; Schmaljohn, A.L.; Dalrymple, J.M. Antigenic subunits of Hantaan virus expressed by baculovirus and vaccinia virus recombinants. J. Virol. 1990, 64, 3162–3170. [Google Scholar] [CrossRef]
- Hooper, J.W.; Kamrud, K.I.; Elgh, F.; Custer, D.; Schmaljohn, C.S. DNA vaccination with hantavirus M segment elicits neutralizing antibodies and protects against seoul virus infection. Virology 1999, 255, 269–278. [Google Scholar] [CrossRef] [PubMed]
- Faburay, B.; Lebedev, M.; McVey, D.S.; Wilson, W.; Morozov, I.; Young, A.; Richt, J.A. A glycoprotein subunit vaccine elicits a strong Rift Valley fever virus neutralizing antibody response in sheep. Vector Borne Zoonotic Dis. 2014, 14, 746–756. [Google Scholar] [CrossRef] [PubMed]
- Hammers, C.M.; Stanley, J.R. Antibody phage display: Technique and applications. J. Invest. Dermatol. 2014, 134, 1–5. [Google Scholar] [CrossRef] [PubMed]





| Rounds of Panning | Input (PFU) | Output (PFU) | Yield (%) |
|---|---|---|---|
| 1st | 1.0 × 1012 | 1.0 × 105 | 1.0 × 10−5 |
| 2nd | 1.0 × 109 | 4.0 × 103 | 4 × 10−4 |
| 3rd | 1.0 × 108 | 5.0 × 102 | 5.0 × 10−4 |
| 4th | 2.5 × 108 | 6.0 × 102 | 2.4 × 10−4 |
| Round | Positive Rate |
|---|---|
| Before panning | 40% |
| Round 2 | 65% |
| Round 3 | 76% |
| Round 4 | 72% |
| Fab Antibody | Amount of Antibody Used to Reach TCID |
|---|---|
| 4–4 | − |
| 4–7 | − |
| 4–8 | − |
| 4–19 | +(5 μg) |
| 4–22 | − |
Disclaimer/Publisher’s Note: The statements, opinions and data contained in all publications are solely those of the individual author(s) and contributor(s) and not of MDPI and/or the editor(s). MDPI and/or the editor(s) disclaim responsibility for any injury to people or property resulting from any ideas, methods, instructions or products referred to in the content. |
© 2023 by the authors. Licensee MDPI, Basel, Switzerland. This article is an open access article distributed under the terms and conditions of the Creative Commons Attribution (CC BY) license (https://creativecommons.org/licenses/by/4.0/).
Share and Cite
Li, Z.; Zhang, H.; Yu, X.; Zhang, Y.; Chen, L. Construction of a Hantaan Virus Phage Antibody Library and Screening for Potential Neutralizing Activity. Viruses 2023, 15, 1034. https://doi.org/10.3390/v15051034
Li Z, Zhang H, Yu X, Zhang Y, Chen L. Construction of a Hantaan Virus Phage Antibody Library and Screening for Potential Neutralizing Activity. Viruses. 2023; 15(5):1034. https://doi.org/10.3390/v15051034
Chicago/Turabian StyleLi, Zhuo, Huiyuan Zhang, Xiaxia Yu, Yusi Zhang, and Lihua Chen. 2023. "Construction of a Hantaan Virus Phage Antibody Library and Screening for Potential Neutralizing Activity" Viruses 15, no. 5: 1034. https://doi.org/10.3390/v15051034
APA StyleLi, Z., Zhang, H., Yu, X., Zhang, Y., & Chen, L. (2023). Construction of a Hantaan Virus Phage Antibody Library and Screening for Potential Neutralizing Activity. Viruses, 15(5), 1034. https://doi.org/10.3390/v15051034

