Dynamics of the Emerging Genogroup of Infectious Bursal Disease Virus Infection in Broiler Farms in South Korea: A Nationwide Study
Abstract
1. Introduction
2. Materials and Methods
2.1. IBDV Surveillance
2.2. Animal Husbandry Status
2.3. Laboratory Diagnosis
2.4. Prevalence Estimation of IBDV
2.5. Identification of Risk Area of IBDV Occurrence in Broiler Farms
2.6. Adverse Effect of IBDV Infection on Broiler Production
2.7. Comparative Pathogenicity Study of IBDV Strains Belonging to Different G2 Sub-Genogroups
3. Results
3.1. IBDV Detection from Surveillance and Its Genogroup
3.2. Prevalence Estimation of IBDV Infection
3.3. Identification of Risk Area of IBDV Occurrence in Broiler Farms
3.4. Association of Productivity of Broiler and Secondary Infection to E. coli
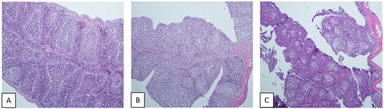
3.5. Comparative Pathogenicity Study of IBDV Strains Belonging to Different G2 Subgroups
4. Discussion
5. Conclusions
Supplementary Materials
Author Contributions
Funding
Institutional Review Board Statement
Informed Consent Statement
Data Availability Statement
Acknowledgments
Conflicts of Interest
References
- Berg, T.P. Acute infectious bursal disease in poultry: A review. Avian Pathol. 2000, 29, 175–194. [Google Scholar] [CrossRef] [PubMed]
- Kibenge, F.S.; Dhillon, A.S.; Russell, R.G. Biochemistry and immunology of infectious bursal disease virus. J. Gen. Virol. 1988, 69 Pt 8, 1757–1775. [Google Scholar] [CrossRef] [PubMed]
- Bayliss, C.; Spies, U.; Shaw, K.; Peters, R.; Papageorgiou, A.; Müller, H.; Boursnell, M. A comparison of the sequences of segment A of four infectious bursal disease virus strains and identification of a variable region in VP2. J. Gen. Virol. 1990, 71 Pt 6, 1303–1312. [Google Scholar] [CrossRef] [PubMed]
- Letzel, T.; Coulibaly, F.; Rey, F.A.; Delmas, B.; Jagt, E.; van Loon, A.A.; Mundt, E. Molecular and structural bases for the antigenicity of VP2 of infectious bursal disease virus. J. Virol. 2007, 81, 12827–12835. [Google Scholar] [CrossRef]
- Cosgrove, A.S. An Apparently New Disease of Chickens: Avian Nephrosis. Avian Dis. 1962, 6, 385–389. [Google Scholar] [CrossRef]
- Muller, H.; Islam, M.R.; Raue, R. Research on infectious bursal disease—The past, the present and the future. Vet. Microbiol. 2003, 97, 153–165. [Google Scholar] [CrossRef]
- Jackwood, D.J.; Schat, K.A.; Michel, L.O.; de Wit, S. A proposed nomenclature for infectious bursal disease virus isolates. Avian Pathol. 2018, 47, 576–584. [Google Scholar] [CrossRef]
- Michel, L.O.; Jackwood, D.J. Classification of infectious bursal disease virus into genogroups. Arch. Virol. 2017, 162, 3661–3670. [Google Scholar] [CrossRef]
- Jackwood, D.J.; Cookson, K.C.; Sommer-Wagner, S.E.; Le Galludec, H.; de Wit, J.J. Molecular characteristics of infectious bursal disease viruses from asymptomatic broiler flocks in Europe. Avian Dis. 2006, 50, 532–536. [Google Scholar] [CrossRef]
- Hernández, M.; Tomás, G.; Marandino, A.; Iraola, G.; Maya, L.; Mattion, N.; Hernández, D.; Villegas, P.; Banda, A.; Panzera, Y.; et al. Genetic characterization of South American infectious bursal disease virus reveals the existence of a distinct worldwide-spread genetic lineage. Avian Pathol. 2015, 44, 212–221. [Google Scholar] [CrossRef]
- Jeon, W.J.; Choi, K.S.; Lee, D.W.; Lee, E.K.; Cha, S.H.; Cho, S.H.; Kwon, J.H.; Yoon, Y.S.; Kim, S.J.; Kim, J.H.; et al. Molecular epizootiology of infectious bursal disease (IBD) in Korea. Virus Genes 2009, 39, 342–351. [Google Scholar] [CrossRef]
- Song, C.S.; Lee, Y.J.; Kim, J.H.; Sung, H.W.; Lee, C.W.; Izumiya, Y.; Miyazawa, T.; Jang, H.K.; Mikami, T. Epidemiological classification of infectious bronchitis virus isolated in Korea between 1986 and 1997. Avian Pathol. 1998, 27, 409–416. [Google Scholar] [CrossRef]
- Kim, H.R.; Kwon, Y.K.; Bae, Y.C.; Oem, J.K.; Lee, O.S. Genetic characteristics of virion protein 2 genes of infectious bursal disease viruses isolated from commercial chickens with clinical disease in South Korea. Poult. Sci. 2010, 89, 1642–1646. [Google Scholar] [CrossRef]
- Thai, T.N.; Jang, I.; Kim, H.A.; Kim, H.S.; Kwon, Y.K.; Kim, H.R. Characterization of antigenic variant infectious bursal disease virus strains identified in South Korea. Avian Pathol. 2021, 50, 174–181. [Google Scholar] [CrossRef]
- Fan, L.; Wu, T.; Hussain, A.; Gao, Y.; Zeng, X.; Wang, Y.; Gao, L.; Li, K.; Wang, Y.; Liu, C.; et al. Novel variant strains of infectious bursal disease virus isolated in China. Vet. Microbiol. 2019, 230, 212–220. [Google Scholar] [CrossRef]
- Xu, A.; Pei, Y.; Zhang, K.; Xue, J.; Ruan, S.; Zhang, G. Phylogenetic analyses and pathogenicity of a variant infectious bursal disease virus strain isolated in China. Virus Res. 2020, 276, 197833. [Google Scholar] [CrossRef]
- Jiang, N.; Wang, Y.; Zhang, W.; Niu, X.; Huang, M.; Gao, Y.; Liu, A.; Gao, L.; Li, K.; Pan, Q.; et al. Genotyping and Molecular Characterization of Infectious Bursal Disease Virus Identified in Important Poultry-Raising Areas of China During 2019 and 2020. Front. Vet. Sci. 2021, 8, 759861. [Google Scholar] [CrossRef]
- Myint, O.; Suwanruengsri, M.; Araki, K.; Izzati, U.Z.; Pornthummawat, A.; Nueangphuet, P.; Fuke, N.; Hirai, T.; Jackwood, D.J.; Yamaguchi, R. Bursa atrophy at 28 days old caused by variant infectious bursal disease virus has a negative economic impact on broiler farms in Japan. Avian Pathol. 2021, 50, 6–17. [Google Scholar] [CrossRef]
- Aliyu, H.B.; Hair-Bejo, M.; Omar, A.R.; Ideris, A. Genetic Diversity of Recent Infectious Bursal Disease Viruses Isolated From Vaccinated Poultry Flocks in Malaysia. Front. Vet. Sci. 2021, 8, 643976. [Google Scholar] [CrossRef]
- Yoo, D.S.; Lee, K.N.; Chun, B.C.; Lee, H.S.; Park, H.; Kim, J.K. Preventive effect of on-farm biosecurity practices against highly pathogenic avian influenza (HPAI) H5N6 infection on commercial layer farms in the Republic of Korea during the 2016–17 epidemic: A case-control study. Prev. Vet. Med. 2022, 199, 105556. [Google Scholar] [CrossRef]
- Sasaki, Y.; Uemura, R.; Sekiguchi, S.; Takahashi, T.; Fujii, Y.; Sueyoshi, M. An analysis of factors affecting production performance in broiler flocks on Japanese commercial farms. Br. Poult. Sci. 2014, 55, 737–744. [Google Scholar] [CrossRef]
- Kumar, S.; Stecher, G.; Li, M.; Knyaz, C.; Tamura, K. MEGA X: Molecular Evolutionary Genetics Analysis across Computing Platforms. Mol. Biol. Evol. 2018, 35, 1547–1549. [Google Scholar] [CrossRef]
- Letunic, I.; Bork, P. Interactive Tree Of Life (iTOL) v5: An online tool for phylogenetic tree display and annotation. Nucleic Acids Res. 2021, 49, W293–W296. [Google Scholar] [CrossRef]
- Lutful Kabir, S.M. Avian colibacillosis and salmonellosis: A closer look at epidemiology, pathogenesis, diagnosis, control and public health concerns. Int. J. Environ. Res. Public Health 2010, 7, 89–114. [Google Scholar] [CrossRef]
- McLure, A.; O’Neill, B.; Mayfield, H.; Lau, C.; McPherson, B. PoolTestR: An R package for estimating prevalence and regression modelling for molecular xenomonitoring and other applications with pooled samples. Environ. Model. Softw. 2021, 145, 105158. [Google Scholar] [CrossRef]
- Kulldorff, M. A spatial scan statistic. Commun. Stat. Theory Methods 1997, 26, 1481–1496. [Google Scholar] [CrossRef]
- Dey, S.; Pathak, D.C.; Ramamurthy, N.; Maity, H.K.; Chellappa, M.M. Infectious bursal disease virus in chickens: Prevalence, impact, and management strategies. Vet. Med. 2019, 10, 85–97. [Google Scholar] [CrossRef]
- Su, Y.-S.; Yajima, M.; Su, M.Y.-S. SystemRequirements: JAGS. Package ‘R2jags’. R Package, version 0.03-08. 2015. Available online: http://CRAN.R-project.org/package=R2jags (accessed on 20 November 2021).
- Hitchner, S.B. Infectivity of infectious bursal disease virus for embryonating eggs. Poult. Sci. 1970, 49, 511–516. [Google Scholar] [CrossRef]
- Reed, L.J.; Muench, H. A Simple Method of Estimating Fifty Per Cent Endpoint. Am. J. Epidemiol. 1938, 27, 493–497. [Google Scholar] [CrossRef]
- Lucio, B.; Hitchner, S.B. Infectious Bursal Disease Emulsified Vaccine: Effect upon Neutralizing-Antibody Levels in the Dam and Subsequent Protection of the Progeny. Avian Dis. 1979, 23, 466–478. [Google Scholar] [CrossRef]
- Henry, C.W.; Brewer, R.N.; Edgar, S.A.; Gray, B.W. Studies on infectious bursal disease in chickens. 2. Scoring microscopic lesions in the bursa of fabricius, thymus, spleen, and kidney in gnotobiotic and battery reared White Leghorns experimentally infected with infectious bursal disease virus. Poult. Sci. 1980, 59, 1006–1017. [Google Scholar] [CrossRef] [PubMed]
- Yoo, D.S.; Lee, K.; Beatriz, M.L.; Chun, B.C.; Belkhiria, J.; Lee, K.N. Spatiotemporal risk assessment for avian influenza outbreak based on the dynamics of habitat suitability for wild birds. Transbound. Emerg. Dis. 2021, 69, e953–e967. [Google Scholar] [CrossRef] [PubMed]
- Fan, L.; Wu, T.; Wang, Y.; Hussain, A.; Jiang, N.; Gao, L.; Li, K.; Gao, Y.; Liu, C.; Cui, H.; et al. Novel variants of infectious bursal disease virus can severely damage the bursa of fabricius of immunized chickens. Vet. Microbiol. 2020, 240, 108507. [Google Scholar] [CrossRef] [PubMed]
- Yamazaki, K.; Ohta, H.; Kawai, T.; Yamaguchi, T.; Obi, T.; Takase, K. Characterization of variant infectious bursal disease virus from a broiler farm in Japan using immunized sentinel chickens. J. Vet. Med. Sci. 2017, 79, 175–183. [Google Scholar] [CrossRef]
- Higgins, J.; Wallner-Pendleton, E.; Michel, L.; Jackwood, D. An unusual case of haemorrhagic bursa in a pullet flock associated with a genogroup 2 infectious bursal disease virus. Avian Pathol. 2021, 50, 269–276. [Google Scholar] [CrossRef]
- Li, G.; Kuang, H.; Guo, H.; Cai, L.; Chu, D.; Wang, X.; Hu, J.; Rong, J. Development of a recombinant VP2 vaccine for the prevention of novel variant strains of infectious bursal disease virus. Avian Pathol. 2020, 49, 557–571. [Google Scholar] [CrossRef]
- Wang, Y.; Jiang, N.; Fan, L.; Gao, L.; Li, K.; Gao, Y.; Niu, X.; Zhang, W.; Cui, H.; Liu, A.; et al. Development of a Viral-Like Particle Candidate Vaccine Against Novel Variant Infectious Bursal Disease Virus. Vaccines 2021, 9, 142. [Google Scholar] [CrossRef]
- Perozo, F.; Villegas, A.P.; Fernandez, R.; Cruz, J.; Pritchard, N. Efficacy of single dose recombinant herpesvirus of turkey infectious bursal disease virus (IBDV) vaccination against a variant IBDV strain. Avian Dis. 2009, 53, 624–628. [Google Scholar] [CrossRef]
- Kurukulsuriya, S.; Ahmed, K.A.; Ojkic, D.; Gunawardana, T.; Gupta, A.; Goonewardene, K.; Karunaratne, R.; Popowich, S.; Willson, P.; Tikoo, S.K.; et al. Circulating strains of variant infectious bursal disease virus may pose a challenge for antibiotic-free chicken farming in Canada. Res. Vet. Sci. 2016, 108, 54–59. [Google Scholar] [CrossRef]
- Zachar, T.; Popowich, S.; Goodhope, B.; Knezacek, T.; Ojkic, D.; Willson, P.; Ahmed, K.A.; Gomis, S. A 5-year study of the incidence and economic impact of variant infectious bursal disease viruses on broiler production in Saskatchewan, Canada. Can. J. Vet. Res. 2016, 80, 255–261. [Google Scholar]
- Lian, J.; Wang, Z.; Xu, Z.; Pang, Y.; Leng, M.; Tang, S.; Zhang, X.; Qin, J.; Chen, F.; Lin, W. Pathogenicity and molecular characterization of infectious bursal disease virus in China. Poult. Sci. 2022, 101, 101502. [Google Scholar] [CrossRef]
- Aliyu, H.B.; Hamisu, T.M.; Hair Bejo, M.; Omar, A.R.; Ideris, A. Comparative pathogenicity of Malaysian variant and very virulent infectious bursal disease viruses in chickens. Avian Pathol. 2022, 51, 76–86. [Google Scholar] [CrossRef]
- Jakka, P.; Reddy, Y.K.; Kirubaharan, J.J.; Chandran, N.D. Evaluation of immune responses by live infectious bursal disease vaccines to avoid vaccination failures. Eur. J. Microbiol. Immunol. 2014, 4, 123–127. [Google Scholar] [CrossRef]







| Category | Mean | 95% Credible Intervals | |
|---|---|---|---|
| Lower | Upper | ||
| IBDV | |||
| G2d infection | 0.140 | 0.113 | 0.168 |
| G2b infection | 0.017 | 0.087 | 0.026 |
| All IBDV infection a | 0.178 | 0.148 | 0.209 |
| Variables | Coefficient Estimates a | ||
|---|---|---|---|
| Mean | 95% Credible Interval | ||
| Lower | Upper | ||
| G2d infection | −8.651 | −28.243 | 10.941 |
| G2b infection | −5.340 | −38.189 | 27.510 |
| G3 infection | −30.550 | −93.171 | 32.067 |
| No. of chicken slaughtered | 0.081 | −0.212 | 0.374 |
| IBDV Infection (Reference = Not Infection) | Odds Ratio | ||
|---|---|---|---|
| Mean | 95% Credible Interval | ||
| Lower | Upper | ||
| G2d infection | 2.64 | 1.16 | 6.24 |
| G2b infection | 3.05 | 0.74 | 11.90 |
| G3 infection | 5.09 | 0.13 | 20.60 |
| Mixed infection (G2b and G2d) | 0.02 | 0.00 | 17.20 |
Publisher’s Note: MDPI stays neutral with regard to jurisdictional claims in published maps and institutional affiliations. |
© 2022 by the authors. Licensee MDPI, Basel, Switzerland. This article is an open access article distributed under the terms and conditions of the Creative Commons Attribution (CC BY) license (https://creativecommons.org/licenses/by/4.0/).
Share and Cite
Thai, T.N.; Yoo, D.-S.; Jang, I.; Kwon, Y.-K.; Kim, H.-R. Dynamics of the Emerging Genogroup of Infectious Bursal Disease Virus Infection in Broiler Farms in South Korea: A Nationwide Study. Viruses 2022, 14, 1604. https://doi.org/10.3390/v14081604
Thai TN, Yoo D-S, Jang I, Kwon Y-K, Kim H-R. Dynamics of the Emerging Genogroup of Infectious Bursal Disease Virus Infection in Broiler Farms in South Korea: A Nationwide Study. Viruses. 2022; 14(8):1604. https://doi.org/10.3390/v14081604
Chicago/Turabian StyleThai, Tuyet Ngan, Dae-Sung Yoo, Il Jang, Yong-Kuk Kwon, and Hye-Ryoung Kim. 2022. "Dynamics of the Emerging Genogroup of Infectious Bursal Disease Virus Infection in Broiler Farms in South Korea: A Nationwide Study" Viruses 14, no. 8: 1604. https://doi.org/10.3390/v14081604
APA StyleThai, T. N., Yoo, D.-S., Jang, I., Kwon, Y.-K., & Kim, H.-R. (2022). Dynamics of the Emerging Genogroup of Infectious Bursal Disease Virus Infection in Broiler Farms in South Korea: A Nationwide Study. Viruses, 14(8), 1604. https://doi.org/10.3390/v14081604

