A Unique Robust Dual-Promoter-Driven and Dual-Reporter-Expressing SARS-CoV-2 Replicon: Construction and Characterization
Abstract
:1. Introduction
2. Materials and Methods
2.1. Cells, Transfection, and Remdesivir Treatment
2.2. Synthesis of Replicon Fragments and Construction of Recombinant Non-Infectious SARS2 Replicon DNA
2.3. Purification of the SARS2 Replicon Plasmid DNA pMK.F1–6 and In Vitro RNA Transcription
2.4. Luciferase Reporter Gene Assay
2.5. Western Blotting
2.6. Semi-Quantitative RT-PCR Determination of (+) and (−) Strand SARS2 Replicon Genomic RNA (gRNA) or N Subgenomic RNA (sgRNA)
2.7. Data Analysis
3. Results
3.1. Design and Construction of the LTR/T7 Dual-Promoter-Driven and GFP/fLuc Dual-Reporter-Expressing SARS2 Replicon
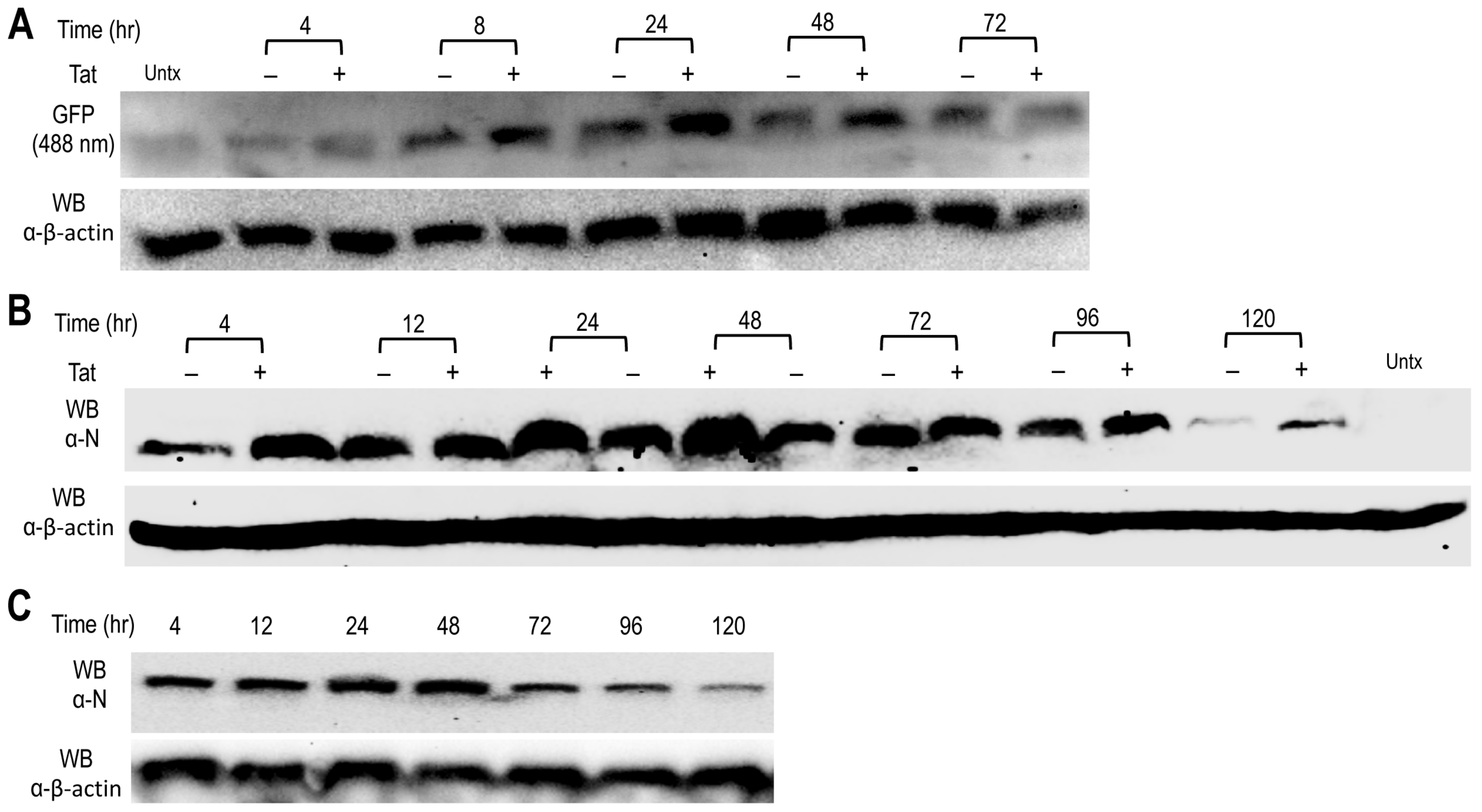
3.2. Expression of the Reporter Genes and SARS2 N Gene from the LTR/T7 Dual-Promoter-Driven and GFP/fLuc Dual-Reporter-Expressing SARS2 Replicon
3.3. RNA Transcription and Replication from the LTR/T7 Dual-Promoter-Driven and GFP/fLuc Dual-Reporter-Expressing SARS2 Replicon and its Inhibition by Remdesivir
3.4. Inhibition of Gene Expression from the LTR/T7 Dual-Promoter-Driven and GFP/fLuc Dual-Reporter-Expressing SARS2 Replicon by Remdesivir
4. Discussion
Author Contributions
Funding
Institutional Review Board Statement
Informed Consent Statement
Data Availability Statement
Acknowledgments
Conflicts of Interest
References
- Zhang, G.; Zhang, J.; Wang, B.; Zhu, X.; Wang, Q.; Qiu, S. Analysis of clinical characteristics and laboratory findings of 95 cases of 2019 novel coronavirus pneumonia in Wuhan, China: A retrospective analysis. Respir. Res. 2020, 21, 74. [Google Scholar] [CrossRef] [PubMed]
- Tan, W.; Zhao, X.; Ma, X.; Wang, W.; Niu, P.; Xu, W.; Gao, G.F.; Wu, G. A Novel Coronavirus Genome Identified in a Cluster of Pneumonia Cases—Wuhan, China 2019–2020. China CDC Wkly. 2020, 2, 61–62. [Google Scholar] [CrossRef] [PubMed]
- Meng, H.; Xiong, R.; He, R.; Lin, W.; Hao, B.; Zhang, L.; Lu, Z.; Shen, X.; Fan, T.; Jiang, W.; et al. CT imaging and clinical course of asymptomatic cases with COVID-19 pneumonia at admission in Wuhan, China. J. Infect. 2020, 81, e33–e39. [Google Scholar] [CrossRef] [PubMed]
- Chen, N.; Zhou, M.; Dong, X.; Qu, J.; Gong, F.; Han, Y.; Qiu, Y.; Wang, J.; Liu, Y.; Wei, Y.; et al. Epidemiological and clinical characteristics of 99 cases of 2019 novel coronavirus pneumonia in Wuhan, China: A descriptive study. Lancet 2020, 395, 507–513. [Google Scholar] [CrossRef] [Green Version]
- World Health Organization Coronavirus (COVID-19) Dashboard. 2022. Available online: http://COVID19.WHO.int (accessed on 19 April 2022).
- Zhou, P.; Yang, X.L.; Wang, X.G.; Hu, B.; Zhang, L.; Zhang, W.; Si, H.R.; Zhu, Y.; Li, B.; Huang, C.L.; et al. A pneumonia outbreak associated with a new coronavirus of probable bat origin. Nature 2020, 579, 270–273. [Google Scholar] [CrossRef] [Green Version]
- Pu, R.; Liu, S.; Ren, X.; Shi, D.; Ba, Y.; Huo, Y.; Zhang, W.; Ma, L.; Liu, Y.; Yang, Y.; et al. The screening value of RT-LAMP and RT-PCR in the diagnosis of COVID-19: Systematic review and meta-analysis. J. Virol. Methods 2022, 300, 114392. [Google Scholar] [CrossRef]
- Ionescu, M.A. COVID-19 skin lesions are rarely positive at RT-PCR test: The macrophage activation with vascular impact and SARS-CoV-2-induced cytokine storm. Int. J. Dermatol. 2022, 61, 3–6. [Google Scholar] [CrossRef]
- Szabo, G.T.; Mahiny, A.J.; Vlatkovic, I. COVID-19 mRNA vaccines: Platforms and current developments. Mol. Ther. 2022, 30, 1850–1868. [Google Scholar] [CrossRef]
- Rahman, M.M.; Masum, M.H.U.; Wajed, S.; Talukder, A. A comprehensive review on COVID-19 vaccines: Development, effectiveness, adverse effects, distribution and challenges. Virusdisease 2022, 33, 1–22. [Google Scholar] [CrossRef]
- Jensen, A.; Stromme, M.; Moyassari, S.; Chadha, A.S.; Tartaglia, M.C.; Szoeke, C.; Ferretti, M.T. COVID-19 vaccines: Considering sex differences in efficacy and safety. Contemp. Clin. Trials 2022, 115, 106700. [Google Scholar] [CrossRef]
- Huang, Z.; Su, Y.; Zhang, T.; Xia, N. A review of the safety and efficacy of current COVID-19 vaccines. Front. Med. 2022, 16, 39–55. [Google Scholar] [CrossRef]
- Abbott, T.R.; Dhamdhere, G.; Liu, Y.; Lin, X.; Goudy, L.; Zeng, L.; Chemparathy, A.; Chmura, S.; Heaton, N.S.; Debs, R.; et al. Development of CRISPR as an Antiviral Strategy to Combat SARS-CoV-2 and Influenza. Cell 2020, 181, 865–876.e812. [Google Scholar] [CrossRef]
- Fareh, M.; Zhao, W.; Hu, W.; Casan, J.M.L.; Kumar, A.; Symons, J.; Zerbato, J.M.; Fong, D.; Voskoboinik, I.; Ekert, P.G.; et al. Reprogrammed CRISPR-Cas13b suppresses SARS-CoV-2 replication and circumvents its mutational escape through mismatch tolerance. Nat. Commun. 2021, 12, 4270. [Google Scholar] [CrossRef]
- Vitiello, A.; Ferrara, F. Association and pharmacological synergism of the triple drug therapy baricitinib/remdesivir/rhACE2 for the management of COVID-19 infection. Naunyn Schmiedeberg’s Arch. Pharmacol. 2022, 395, 99–104. [Google Scholar] [CrossRef]
- Pagliano, P.; Sellitto, C.; Scarpati, G.; Ascione, T.; Conti, V.; Franci, G.; Piazza, O.; Filippelli, A. An overview of the preclinical discovery and development of remdesivir for the treatment of coronavirus disease 2019 (COVID-19). Expert Opin. Drug Discov. 2021, 17, 9–18. [Google Scholar] [CrossRef]
- Kaka, A.S.; MacDonald, R.; Linskens, E.J.; Langsetmo, L.; Vela, K.; Duan-Porter, W.; Wilt, T.J. Major Update 2: Remdesivir for Adults With COVID-19: A Living Systematic Review and Meta-analysis for the American College of Physicians Practice Points. Ann. Intern. Med. 2022. [Google Scholar] [CrossRef]
- Angamo, M.T.; Mohammed, M.A.; Peterson, G.M. Efficacy and safety of remdesivir in hospitalised COVID-19 patients: A systematic review and meta-analysis. Infection 2022, 50, 27–41. [Google Scholar] [CrossRef]
- Pourkarim, F.; Pourtaghi-Anvarian, S.; Rezaee, H. Molnupiravir: A new candidate for COVID-19 treatment. Pharmacol. Res. Perspect. 2022, 10, e00909. [Google Scholar] [CrossRef]
- Khiali, S.; Khani, E.; Rouy, S.B.; Entezari-Maleki, T. Comprehensive review on molnupiravir in COVID-19: A novel promising antiviral to combat the pandemic. Future Microbiol. 2022, 17, 377–391. [Google Scholar] [CrossRef]
- Thye, A.Y.; Law, J.W.; Tan, L.T.; Pusparajah, P.; Ser, H.L.; Thurairajasingam, S.; Letchumanan, V.; Lee, L.H. Psychological Symptoms in COVID-19 Patients: Insights into Pathophysiology and Risk Factors of Long COVID-19. Biology 2022, 11, 61. [Google Scholar] [CrossRef]
- Thallapureddy, K.; Thallapureddy, K.; Zerda, E.; Suresh, N.; Kamat, D.; Rajasekaran, K.; Moreira, A. Long-Term Complications of COVID-19 Infection in Adolescents and Children. Curr. Pediatr. Rep. 2022, 10, 11–17. [Google Scholar] [CrossRef]
- Mehandru, S.; Merad, M. Pathological sequelae of long-haul COVID. Nat. Immunol. 2022, 23, 194–202. [Google Scholar] [CrossRef]
- Joshee, S.; Vatti, N.; Chang, C. Long-Term Effects of COVID-19. Mayo Clin. Proc. 2022, 97, 579–599. [Google Scholar] [CrossRef]
- Han, Q.; Zheng, B.; Daines, L.; Sheikh, A. Long-Term Sequelae of COVID-19: A Systematic Review and Meta-Analysis of One-Year Follow-Up Studies on Post-COVID Symptoms. Pathogens 2022, 11, 269. [Google Scholar] [CrossRef] [PubMed]
- Desai, A.D.; Lavelle, M.; Boursiquot, B.C.; Wan, E.Y. Long-term complications of COVID-19. Am. J. Physiol. Cell Physiol. 2022, 322, C1–C11. [Google Scholar] [CrossRef] [PubMed]
- Kim, D.; Lee, J.Y.; Yang, J.S.; Kim, J.W.; Kim, V.N.; Chang, H. The Architecture of SARS-CoV-2 Transcriptome. Cell 2020, 181, 914–921.e910. [Google Scholar] [CrossRef] [PubMed]
- Snijder, E.J.; Decroly, E.; Ziebuhr, J. The Nonstructural Proteins Directing Coronavirus RNA Synthesis and Processing. Adv. Virus Res. 2016, 96, 59–126. [Google Scholar] [CrossRef] [PubMed]
- Sola, I.; Almazan, F.; Zuniga, S.; Enjuanes, L. Continuous and Discontinuous RNA Synthesis in Coronaviruses. Annu. Rev. Virol. 2015, 2, 265–288. [Google Scholar] [CrossRef] [Green Version]
- Kaplan, G.; Racaniello, V.R. Construction and characterization of poliovirus subgenomic replicons. J. Virol. 1988, 62, 1687–1696. [Google Scholar] [CrossRef] [Green Version]
- Thumfart, J.O.; Meyers, G. Feline calicivirus: Recovery of wild-type and recombinant viruses after transfection of cRNA or cDNA constructs. J. Virol. 2002, 76, 6398–6407. [Google Scholar] [CrossRef] [Green Version]
- Liljestrom, P.; Garoff, H. A new generation of animal cell expression vectors based on the Semliki Forest virus replicon. Biotechnology 1991, 9, 1356–1361. [Google Scholar] [CrossRef]
- Khromykh, A.A.; Westaway, E.G. Subgenomic replicons of the flavivirus Kunjin: Construction and applications. J. Virol. 1997, 71, 1497–1505. [Google Scholar] [CrossRef] [Green Version]
- Lohmann, V.; Korner, F.; Koch, J.; Herian, U.; Theilmann, L.; Bartenschlager, R. Replication of subgenomic hepatitis C virus RNAs in a hepatoma cell line. Science 1999, 285, 110–113. [Google Scholar] [CrossRef] [Green Version]
- Behrens, S.E.; Grassmann, C.W.; Thiel, H.J.; Meyers, G.; Tautz, N. Characterization of an autonomous subgenomic pestivirus RNA replicon. J. Virol. 1998, 72, 2364–2372. [Google Scholar] [CrossRef] [Green Version]
- Pang, X.; Zhang, M.; Dayton, A.I. Development of Dengue virus type 2 replicons capable of prolonged expression in host cells. BMC Microbiol. 2001, 1, 18. [Google Scholar] [CrossRef] [Green Version]
- Shi, P.Y.; Tilgner, M.; Lo, M.K. Construction and characterization of subgenomic replicons of New York strain of West Nile virus. Virology 2002, 296, 219–233. [Google Scholar] [CrossRef]
- Hertzig, T.; Scandella, E.; Schelle, B.; Ziebuhr, J.; Siddell, S.G.; Ludewig, B.; Thiel, V. Rapid identification of coronavirus replicase inhibitors using a selectable replicon RNA. J. Gen. Virol. 2004, 85, 1717–1725. [Google Scholar] [CrossRef]
- Ge, F.; Luo, Y.; Liew, P.X.; Hung, E. Derivation of a novel SARS-coronavirus replicon cell line and its application for anti-SARS drug screening. Virology 2007, 360, 150–158. [Google Scholar] [CrossRef]
- Ge, F.; Xiong, S.; Lin, F.S.; Zhang, Z.P.; Zhang, X.E. High-throughput assay using a GFP-expressing replicon for SARS-CoV drug discovery. Antivir. Res. 2008, 80, 107–113. [Google Scholar] [CrossRef]
- Almazan, F.; Galan, C.; Enjuanes, L. The nucleoprotein is required for efficient coronavirus genome replication. J. Virol. 2004, 78, 12683–12688. [Google Scholar] [CrossRef] [Green Version]
- Wang, J.M.; Wang, L.F.; Shi, Z.L. Construction of a non-infectious SARS coronavirus replicon for application in drug screening and analysis of viral protein function. Biochem. Biophys. Res. Commun. 2008, 374, 138–142. [Google Scholar] [CrossRef] [PubMed]
- Bartenschlager, R. Hepatitis C virus replicons: Potential role for drug development. Nat. Rev. Drug Discov. 2002, 1, 911–916. [Google Scholar] [CrossRef]
- Randall, G.; Rice, C.M. Hepatitis C virus cell culture replication systems: Their potential use for the development of antiviral therapies. Curr. Opin. Infect. Dis. 2001, 14, 743–747. [Google Scholar] [CrossRef] [PubMed]
- Berkhout, B.; Gatignol, A.; Rabson, A.B.; Jeang, K.T. TAR-independent activation of the HIV-1 LTR: Evidence that tat requires specific regions of the promoter. Cell 1990, 62, 757–767. [Google Scholar] [CrossRef]
- Jakobovits, A.; Rosenthal, A.; Capon, D.J. Trans-activation of HIV-1 LTR-directed gene expression by tat requires protein kinase C. EMBO J. 1990, 9, 1165–1170. [Google Scholar] [CrossRef] [PubMed]
- Jeang, K.T.; Shank, P.R.; Kumar, A. Transcriptional activation of homologous viral long terminal repeats by the human immunodeficiency virus type 1 or the human T-cell leukemia virus type I tat proteins occurs in the absence of de novo protein synthesis. Proc. Natl. Acad. Sci. USA 1988, 85, 8291–8295. [Google Scholar] [CrossRef] [PubMed] [Green Version]
- Selby, M.J.; Bain, E.S.; Luciw, P.A.; Peterlin, B.M. Structure, sequence, and position of the stem-loop in tar determine transcriptional elongation by tat through the HIV-1 long terminal repeat. Genes Dev. 1989, 3, 547–558. [Google Scholar] [CrossRef] [Green Version]
- Chang, J.J.; Rawlinson, D.; Pitt, M.E.; Taiaroa, G.; Gleeson, J.; Zhou, C.; Mordant, F.L.; De Paoli-Iseppi, R.; Caly, L.; Purcell, D.F.J.; et al. Transcriptional and epi-transcriptional dynamics of SARS-CoV-2 during cellular infection. Cell Rep. 2021, 35, 109108. [Google Scholar] [CrossRef]
- Davidson, A.D.; Williamson, M.K.; Lewis, S.; Shoemark, D.; Carroll, M.W.; Heesom, K.J.; Zambon, M.; Ellis, J.; Lewis, P.A.; Hiscox, J.A.; et al. Characterisation of the transcriptome and proteome of SARS-CoV-2 reveals a cell passage induced in-frame deletion of the furin-like cleavage site from the spike glycoprotein. Genome Med. 2020, 12, 68. [Google Scholar] [CrossRef]
- V’Kovski, P.; Kratzel, A.; Steiner, S.; Stalder, H.; Thiel, V. Coronavirus biology and replication: Implications for SARS-CoV-2. Nat. Rev. Microbiol. 2021, 19, 155–170. [Google Scholar] [CrossRef]
- Wang, D.; Jiang, A.; Feng, J.; Li, G.; Guo, D.; Sajid, M.; Wu, K.; Zhang, Q.; Ponty, Y.; Will, S.; et al. The SARS-CoV-2 subgenome landscape and its novel regulatory features. Mol. Cell 2021, 81, 2135–2147.e2135. [Google Scholar] [CrossRef]
- Yang, Y.; Yan, W.; Hall, A.B.; Jiang, X. Characterizing Transcriptional Regulatory Sequences in Coronaviruses and Their Role in Recombination. Mol. Biol. Evol. 2021, 38, 1241–1248. [Google Scholar] [CrossRef]
- Beigel, J.H.; Tomashek, K.M.; Dodd, L.E.; Mehta, A.K.; Zingman, B.S.; Kalil, A.C.; Hohmann, E.; Chu, H.Y.; Luetkemeyer, A.; Kline, S.; et al. Remdesivir for the Treatment of Covid-19—Final Report. N. Engl. J. Med. 2020, 383, 1813–1826. [Google Scholar] [CrossRef]
- Gordon, C.J.; Tchesnokov, E.P.; Feng, J.Y.; Porter, D.P.; Gotte, M. The antiviral compound remdesivir potently inhibits RNA-dependent RNA polymerase from Middle East respiratory syndrome coronavirus. J. Biol. Chem. 2020, 295, 4773–4779. [Google Scholar] [CrossRef] [Green Version]
- Grein, J.; Ohmagari, N.; Shin, D.; Diaz, G.; Asperges, E.; Castagna, A.; Feldt, T.; Green, G.; Green, M.L.; Lescure, F.X.; et al. Compassionate Use of Remdesivir for Patients with Severe Covid-19. N. Engl. J. Med. 2020, 382, 2327–2336. [Google Scholar] [CrossRef]
- Kokic, G.; Hillen, H.S.; Tegunov, D.; Dienemann, C.; Seitz, F.; Schmitzova, J.; Farnung, L.; Siewert, A.; Hobartner, C.; Cramer, P. Mechanism of SARS-CoV-2 polymerase stalling by remdesivir. Nat. Commun. 2021, 12, 279. [Google Scholar] [CrossRef]
- Wang, Q.; Wu, J.; Wang, H.; Gao, Y.; Liu, Q.; Mu, A.; Ji, W.; Yan, L.; Zhu, Y.; Zhu, C.; et al. Structural Basis for RNA Replication by the SARS-CoV-2 Polymerase. Cell 2020, 182, 417–428.e413. [Google Scholar] [CrossRef]
- Liu, S.; Chou, C.K.; Wu, W.W.; Luan, B.; Wang, T.T. Stable Cell Clones Harboring Self-Replicating SARS-CoV-2 RNAs for Drug Screen. J. Virol. 2022, 96. [Google Scholar] [CrossRef]
- Ricardo-Lax, I.; Luna, J.M.; Thao, T.T.N.; Le Pen, J.; Yu, Y.; Hoffmann, H.H.; Schneider, W.M.; Razooky, B.S.; Fernandez-Martinez, J.; Schmidt, F.; et al. Replication and single-cycle delivery of SARS-CoV-2 replicons. Science 2021, 374, 1099–1106. [Google Scholar] [CrossRef]
- Zhang, Q.Y.; Deng, C.L.; Liu, J.; Li, J.Q.; Zhang, H.Q.; Li, N.; Zhang, Y.N.; Li, X.D.; Zhang, B.; Xu, Y.; et al. SARS-CoV-2 replicon for high-throughput antiviral screening. J. Gen. Virol. 2021, 102, 001583. [Google Scholar] [CrossRef]
- Kotaki, T.; Xie, X.; Shi, P.Y.; Kameoka, M. A PCR amplicon-based SARS-CoV-2 replicon for antiviral evaluation. Sci. Rep. 2021, 11, 2229. [Google Scholar] [CrossRef]
- He, X.; Quan, S.; Xu, M.; Rodriguez, S.; Goh, S.L.; Wei, J.; Fridman, A.; Koeplinger, K.A.; Carroll, S.S.; Grobler, J.A.; et al. Generation of SARS-CoV-2 reporter replicon for high-throughput antiviral screening and testing. Proc. Natl. Acad. Sci. USA 2021, 118, e2025866118. [Google Scholar] [CrossRef]
- Zhang, H.; Fischer, D.K.; Shuda, M.; Moore, P.S.; Gao, S.J.; Ambrose, Z.; Guo, H. Construction and characterization of two SARS-CoV-2 minigenome replicon systems. J. Med. Virol. 2022, 94, 2438–2452. [Google Scholar] [CrossRef]
- Nguyen, H.T.; Falzarano, D.; Gerdts, V.; Liu, Q. Construction of a Noninfectious SARS-CoV-2 Replicon for Antiviral-Drug Testing and Gene Function Studies. J. Virol. 2021, 95, e0068721. [Google Scholar] [CrossRef]
- Wang, B.; Zhang, C.; Lei, X.; Ren, L.; Zhao, Z.; Wang, J.; Huang, H. Construction of Non-infectious SARS-CoV-2 Replicons and Their Application in Drug Evaluation. Virol. Sin. 2021, 36, 890–900. [Google Scholar] [CrossRef]
- Luo, Y.; Yu, F.; Zhou, M.; Liu, Y.; Xia, B.; Zhang, X.; Liu, J.; Zhang, J.; Du, Y.; Li, R.; et al. Engineering a Reliable and Convenient SARS-CoV-2 Replicon System for Analysis of Viral RNA Synthesis and Screening of Antiviral Inhibitors. mBio 2021, 12, e02754-20. [Google Scholar] [CrossRef]
- Tanaka, T.; Saito, A.; Suzuki, T.; Miyamoto, Y.; Takayama, K.; Okamoto, T.; Moriishi, K. Establishment of a stable SARS-CoV-2 replicon system for application in high-throughput screening. Antivir. Res. 2022, 199, 105268. [Google Scholar] [CrossRef] [PubMed]








| Feature | Abbreviation | Location | Size (bp) | Function |
|---|---|---|---|---|
| HIV-1 LTR | LTR | 1–713 | 713 | To facilitate expression of long RNA transcript when transfected with HIV Tat |
| T7 promoter | T7 | 722–740 | 19 | To synthesize viral RNA by in vitro transcription |
| Hammerhead virus ribozyme | HHV Rz | 740–799 | 59 | To produce the native 5′ end of SARS2 viral RNA genome |
| SARS2 5′ untranslated region | 5′UTR | 800–1064 | 265 | To maintain the regulatory element for SARS2 replication |
| SARS2 nonstructural protein 1 | NSP1 | 1065–1604 | 549 | To encode NSP1 |
| Porcine teschovirus-1 self-cleaving peptide 2A | P2A | 1611–1671 | 66 | To cleave NSP1-fLuc fusion protein to ensure proper fLuc expression |
| Firefly luciferase | fLuc | 1677–3329 | 1653 | To monitor translation from and replication of SARS2 RNA |
| Encephalomarcarditis virus internal ribozyme entry site | IRES | 3330–3910 | 581 | To facilitate translation of the long transcript of SARS2 NSP2-16 |
| SARS2 nonstrctural protein 2-16 | NSP2-16 | 3917–24,666 | 20750 | To encode nonstructural SARS proteins NSP2-16 for replication |
| Transcriptional regulatory sequence 1 | TRS1 | 24,675–24,681 | 7 | To maintain the authentic regulatory element for GFP::Bsr expression |
| GFP-blasticidin S resistance fusion protein | GFP::Bsr | 24,682–25,998 | 1317 | To select stable SARS2 replicon and monitor SARS2 replicon replication |
| Transcriptional regulatory sequence 2 | TRS2 | 25,999–26,102 | 14 | To maintain the authentic regulatory element for SARS2 nucleocapsid expression |
| SARS2 nucleocapsid protein | N | 26,013–27,272 | 1260 | To encode SARS2 nucleocapsid and monitor SARS2 replicon replication |
| SARS2 ORF10-3′ untraslated region | ORF10-3′UTR | 27,373–27,642 | 370 | To maintain the regulatory element integrity for SARS2 replication |
| Hepatitis delta virus ribozyme | HDV Rz | 27,643–27,721 | 79 | To produce the native 3′ end of SARS2 viral RNA genome |
| Bovine growth hormone polyadenylation signal | BGH pA | 27,728–27,952 | 225 | To stabilize the RNA transcript |
Publisher’s Note: MDPI stays neutral with regard to jurisdictional claims in published maps and institutional affiliations. |
© 2022 by the authors. Licensee MDPI, Basel, Switzerland. This article is an open access article distributed under the terms and conditions of the Creative Commons Attribution (CC BY) license (https://creativecommons.org/licenses/by/4.0/).
Share and Cite
Liu, Y.; Li, L.; Timani, K.A.; He, J.J. A Unique Robust Dual-Promoter-Driven and Dual-Reporter-Expressing SARS-CoV-2 Replicon: Construction and Characterization. Viruses 2022, 14, 974. https://doi.org/10.3390/v14050974
Liu Y, Li L, Timani KA, He JJ. A Unique Robust Dual-Promoter-Driven and Dual-Reporter-Expressing SARS-CoV-2 Replicon: Construction and Characterization. Viruses. 2022; 14(5):974. https://doi.org/10.3390/v14050974
Chicago/Turabian StyleLiu, Ying, Lu Li, Khalid A. Timani, and Johnny J. He. 2022. "A Unique Robust Dual-Promoter-Driven and Dual-Reporter-Expressing SARS-CoV-2 Replicon: Construction and Characterization" Viruses 14, no. 5: 974. https://doi.org/10.3390/v14050974
APA StyleLiu, Y., Li, L., Timani, K. A., & He, J. J. (2022). A Unique Robust Dual-Promoter-Driven and Dual-Reporter-Expressing SARS-CoV-2 Replicon: Construction and Characterization. Viruses, 14(5), 974. https://doi.org/10.3390/v14050974
