Biocompatibility Evaluation of an Artificial Metallic Bone with Lattice Structure for Reconstruction of Bone Defect
Abstract
1. Introduction
2. Materials and Methods
2.1. Selection of Lattice Structures
2.2. Preparation of Implantation Samples
2.3. Mechanical Properties
2.4. Animal
2.5. Implantation Procedures
2.6. Radiographical Analysis
2.7. Histological and Quantitative Micrograph Analyses
2.8. Statistical Analysis
3. Results
3.1. Radiographical Analysis
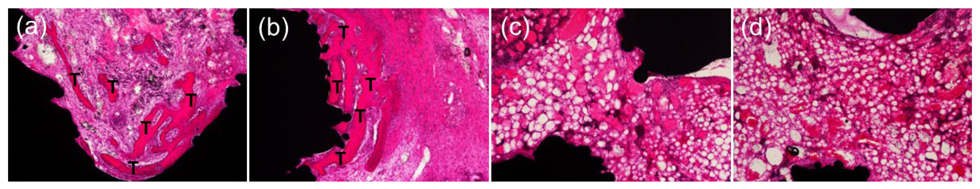
3.2. Histological Analysis
3.3. Quantitative Micrograph Analysis
4. Discussion
5. Conclusions
Author Contributions
Funding
Institutional Review Board Statement
Informed Consent Statement
Data Availability Statement
Acknowledgments
Conflicts of Interest
References
- Sjöström, M.; Danielsson, D.; Munck-Wikland, E.; Nyberg, J.; Sandström, K.; Thor, A.; Johansson, H.; Ceghafi, P.; Udd, S.D.; Emanuelsson, J.; et al. Mandibular resection in patients with head and neck cancer: Acute and long-term complications after reconstruction. Acta Oto-Laryngologica 2022, 142, 78–83. [Google Scholar] [CrossRef]
- Kasper, R.; Scheurer, M.; Pietzka, S.; Sakkas, A.; Schramm, A.; Wilde, F.; Ebeling, M. MRONJ of the mandible—From decortication to a complex jaw reconstruction using a CAD/CAM-guided bilateral scapula flap. Medicina 2023, 59, 535. [Google Scholar] [CrossRef] [PubMed]
- Wongwaithongdee, U.; Inglam, S.; Chantarapanich, N. Biomechanical evaluation of two internal fixation systems for the treatment of mandibular symphyseal fracture. Proc. Inst. Mech. Eng. Part H J. Eng. Med. 2023, 237, 597–606. [Google Scholar] [CrossRef] [PubMed]
- Ma, H.; Van Dessel, J.; Shujaat, S.; Bila, M.; Gu, Y.; Sun, Y.; Politis, C.; Jacobs, R. Long-term functional outcomes of vascularized fibular and iliac flap for mandibular reconstruction: A systematic review and meta-analysis. J. Plast. Reconstr. Aesthetic Surg. 2021, 74, 247–258. [Google Scholar] [CrossRef]
- Al-Sabahi, M.E.; Jamali, O.M.; Shindy, M.I.; Moussa, B.G.; Amin, A.A.-W.; Zedan, M.H. Aesthetic reconstruction of onco-surgical mandibular defects using free fibular flap with and without CAD/CAM customized osteotomy guide: A randomized controlled clinical trial. BMC Cancer 2022, 22, 1252. [Google Scholar] [CrossRef]
- Kawai, T.; Chiba, T.; Onodera, K.; Tsunoda, N.; Komatsu, Y.; Suzuki, S.; Saito, Y.; Kogi, S.; Takeda, Y.; Yamada, H. Hypoproteinemia associated with a gigantic odontogenic tumor: A report of 2 cases. Am. J. Case Rep. 2022, 23, e937301. [Google Scholar] [CrossRef] [PubMed]
- Almansoori, A.A.; Choung, H.-W.; Kim, B.; Park, J.-Y.; Kim, S.-M.; Lee, J.-H. Fracture of standard titanium mandibular reconstruction plates and preliminary study of three-dimensional printed reconstruction plates. J. Oral Maxillofac. Surg. 2020, 78, 153–166. [Google Scholar] [CrossRef]
- Tarsitano, A.; Ceccariglia, F.; Bevini, M.; Breschi, L.; Felice, P.; Marchetti, C. Prosthetically guided mandibular reconstruction using a fibula free flap: Three-dimensional Bologna plate, an alternative to the double-barrel technique. Int. J. Oral Maxillofac. Surg. 2023, 52, 436–441. [Google Scholar] [CrossRef]
- Dean, A.; Alamillos, F.; Heredero, S.; Redondo-Camacho, A.; Guler, I.; Sanjuan, A. Fibula free flap in maxillomandibular reconstruction. Factors related to osteosynthesis plates’ complications. J. Cranio-Maxillo-Facial Surg. Off. Publ. Eur. Assoc. Cranio-Maxillo-Facial Surg. 2020, 48, 994–1003. [Google Scholar] [CrossRef]
- Dumbach, J. Mandibular reconstruction with a new titanium framework, autogenous cancellous bone and hydroxylapatite. Initial results. Dtsch. Z. Mund-Kiefer-Gesichts-Chir. 1987, 11, 52–58. [Google Scholar]
- Zhao, Z.; Shen, S.; Li, M.; Shen, G.; Ding, G.; Yu, H. Three-dimensional printed titanium mesh combined with iliac cancellous bone in the reconstruction of mandibular defects secondary to ameloblastoma resection. BMC Oral Health 2023, 23, 681. [Google Scholar] [CrossRef]
- Yamada, H.; Nakaoka, K.; Sonoyama, T.; Kumagai, K.; Ikawa, T.; Shigeta, Y.; Harada, N.; Kawamura, N.; Ogawa, T.; Hamada, Y. Clinical usefulness of mandibular reconstruction using custom-made titanium mesh tray and autogenous particulate cancellous bone and marrow harvested from tibia and/or ilia. J. Craniofacial Surg. 2016, 27, 586–592. [Google Scholar] [CrossRef] [PubMed]
- Wang, Q.S.; Li, S.J.; Hou, W.T.; Wang, S.G.; Hao, Y.L.; Yang, R.; Misra, R.D.K. Mechanistic understanding of compression-compression fatigue behavior of functionally graded Ti-6Al-4V mesh structure fabricated by electron beam melting. J. Mech. Behav. Biomed. Mater. 2020, 103, 103590. [Google Scholar] [CrossRef] [PubMed]
- Zhang, L.-C.; Liu, Y.; Li, S.; Hao, Y. Additive manufacturing of titanium alloys by electron beam melting: A review. Adv. Eng. Mater. 2018, 20, 1700842. [Google Scholar] [CrossRef]
- Hoshi, I.; Kawai, T.; Kurosu, S.; Minamino, T.; Onodera, K.; Miyamoto, I.; Yamada, H. Custom-made titanium mesh tray for mandibular reconstruction using an electron beam melting system. Materials 2021, 14, 6556. [Google Scholar] [CrossRef]
- Kim, T.; Zhao, C.; Lu, T.; Hodson, H. Convective heat dissipation with lattice-frame materials. Mech. Mater. 2004, 36, 767–780. [Google Scholar] [CrossRef]
- Li, Z.; Luo, Y.; Lu, M.; Wang, Y.; Gong, T.; He, X.; Hu, X.; Long, J.; Zhou, Y.; Min, L.; et al. Biomimetic design and clinical application of Ti-6Al-4V lattice hemipelvis prosthesis for pelvic reconstruction. J. Orthop. Surg. Res. 2024, 19, 210. [Google Scholar] [CrossRef] [PubMed]
- Maconachie, T.; Leary, M.; Tran, P.; Harris, J.; Liu, Q.; Lu, G.; Ruan, D.; Faruque, O.; Brandt, M. The effect of topology on the quasi-static and dynamic behaviour of SLM AlSi10Mg lattice structures. Int. J. Adv. Manuf. Technol. 2022, 118, 4085–4104. [Google Scholar] [CrossRef]
- Distefano, F.; Pasta, S.; Epasto, G. Titanium lattice structures produced via additive manufacturing for a bone scaffold: A review. J. Funct. Biomater. 2023, 14, 125. [Google Scholar] [CrossRef]
- Pałka, K.; Pokrowiecki, R. Porous titanium implants: A review. Adv. Eng. Mater. 2018, 20, 1700648. [Google Scholar] [CrossRef]
- Kawamata, S.; Kawai, T.; Yasuge, E.; Hoshi, I.; Minamino, T.; Kurosu, S.; Yamada, H. Investigation of the mechanical strength of artificial metallic mandibles with lattice structure for mandibular reconstruction. Materials 2024, 17, 3557. [Google Scholar] [CrossRef]
- Ma, X.; Zhang, N.; Chang, Y.; Tian, X. Analytical model of mechanical properties for a hierarchical lattice structure based on hierarchical body-centered cubic unit cell. Thin-Walled Struct. 2023, 193, 111217. [Google Scholar] [CrossRef]
- Tian, W.; Li, W.; Yu, W.; Liu, X. A Review on Lattice Defects in Graphene: Types, Generation, Effects and Regulation. Micromachines 2017, 8, 163. [Google Scholar] [CrossRef]
- Kobayashi, R. Improvements in occlusion after orthognathic surgery. Jpn. J. Oral Maxillofac. Surg. 1990, 36, 2473–2490. [Google Scholar] [CrossRef][Green Version]
- Davoodi, E.; Montazerian, H.; Mirhakimi, A.S.; Zhianmanesh, M.; Ibhadode, O.; Shahabad, S.I.; Esmaeilizadeh, R.; Sarikhani, E.; Toorandaz, S.; Sarabi, S.A.; et al. Additively manufactured metallic biomaterials. Bioact. Mater. 2022, 15, 214–249. [Google Scholar] [CrossRef]
- Lee, J.; Li, L.; Song, H.Y.; Son, M.J.; Lee, Y.M.; Koo, K.T. Impact of lattice versus solid structure of 3D-printed multiroot dental implants using Ti-6Al-4V: A preclinical pilot study. J. Periodontal Implant. Sci. 2022, 52, 338–350. [Google Scholar] [CrossRef] [PubMed]
- Park, J.W.; Park, H.; Kim, J.H.; Kim, H.M.; Yoo, C.H.; Kang, H.G. Fabrication of a lattice structure with periodic open pores through three-dimensional printing for bone ingrowth. Sci. Rep. 2022, 12, 17223. [Google Scholar] [CrossRef]
- Seiler, M.; Kämmerer, P.W.; Peetz, M.; Hartmann, A. Customized lattice structure in reconstruction of three-dimensional alveolar defects. Int. J. Comput. Dent. 2018, 21, 261–267. [Google Scholar]
- Park, Y.; Cheong, E.; Kwak, J.G.; Carpenter, R.; Shim, J.H.; Lee, J. Trabecular bone organoid model for studying the regulation of localized bone remodeling. Sci. Adv. 2021, 7, eabd6495. [Google Scholar] [CrossRef]








| Structures | Equivalent Physical Properties (MPa) | Relative Density | |||
|---|---|---|---|---|---|
| X Axis Direction | Y Axis Direction | Z Axis Direction | Average | ||
| Body diagonals with nodes (BDN) | 16,864 | 16,694 | 16,622 | 16,727 | 50.20% |
| Dode medium (DM) | 630 | 630 | 630 | 630 | 12.60% |
Disclaimer/Publisher’s Note: The statements, opinions and data contained in all publications are solely those of the individual author(s) and contributor(s) and not of MDPI and/or the editor(s). MDPI and/or the editor(s) disclaim responsibility for any injury to people or property resulting from any ideas, methods, instructions or products referred to in the content. |
© 2024 by the authors. Licensee MDPI, Basel, Switzerland. This article is an open access article distributed under the terms and conditions of the Creative Commons Attribution (CC BY) license (https://creativecommons.org/licenses/by/4.0/).
Share and Cite
Yasuge, E.; Kawai, T.; Kawamata, S.; Hoshi, I.; Minamino, T.; Kurosu, S.; Yamada, H. Biocompatibility Evaluation of an Artificial Metallic Bone with Lattice Structure for Reconstruction of Bone Defect. Materials 2024, 17, 4286. https://doi.org/10.3390/ma17174286
Yasuge E, Kawai T, Kawamata S, Hoshi I, Minamino T, Kurosu S, Yamada H. Biocompatibility Evaluation of an Artificial Metallic Bone with Lattice Structure for Reconstruction of Bone Defect. Materials. 2024; 17(17):4286. https://doi.org/10.3390/ma17174286
Chicago/Turabian StyleYasuge, Erika, Tadashi Kawai, Shinsuke Kawamata, Isao Hoshi, Tadaharu Minamino, Shingo Kurosu, and Hiroyuki Yamada. 2024. "Biocompatibility Evaluation of an Artificial Metallic Bone with Lattice Structure for Reconstruction of Bone Defect" Materials 17, no. 17: 4286. https://doi.org/10.3390/ma17174286
APA StyleYasuge, E., Kawai, T., Kawamata, S., Hoshi, I., Minamino, T., Kurosu, S., & Yamada, H. (2024). Biocompatibility Evaluation of an Artificial Metallic Bone with Lattice Structure for Reconstruction of Bone Defect. Materials, 17(17), 4286. https://doi.org/10.3390/ma17174286

