Silver and Graphenic Carbon Nanostructures Differentially Influence the Morphology and Viability of Cardiac Progenitor Cells
Abstract
1. Introduction
2. Materials and Methods
2.1. Materials
2.1.1. The Culture of Cardiac Progenitor Cells (CPC) from Embryonic Chicken Heart
Chicken Embryos
Isolation of Heart
Isolation of Cells from Embryonic Heart
Cultures and Their Stabilisation in Culture Flasks Prior to the Experiment
2.1.2. Nanomaterials
Hydrocolloidal Ag Nanoparticles
Hierarchical Nanoporous Graphenic Carbon Nanostructures
Suspensions of Nanomaterials in the Culture Media
2.2. Methods
2.2.1. Zeta Potential Measurement
2.2.2. pH Measurement
2.2.3. Viability Test
2.2.4. Giemsa and May-Grünwald Staining
2.2.5. Optical Microscopy
2.2.6. Transmission Electron Microscopy
2.2.7. Statistical Analysis
3. Results
3.1. Morphology and Structure of Nanomaterials
3.2. Zeta Potential
3.3. pH of Culture Media
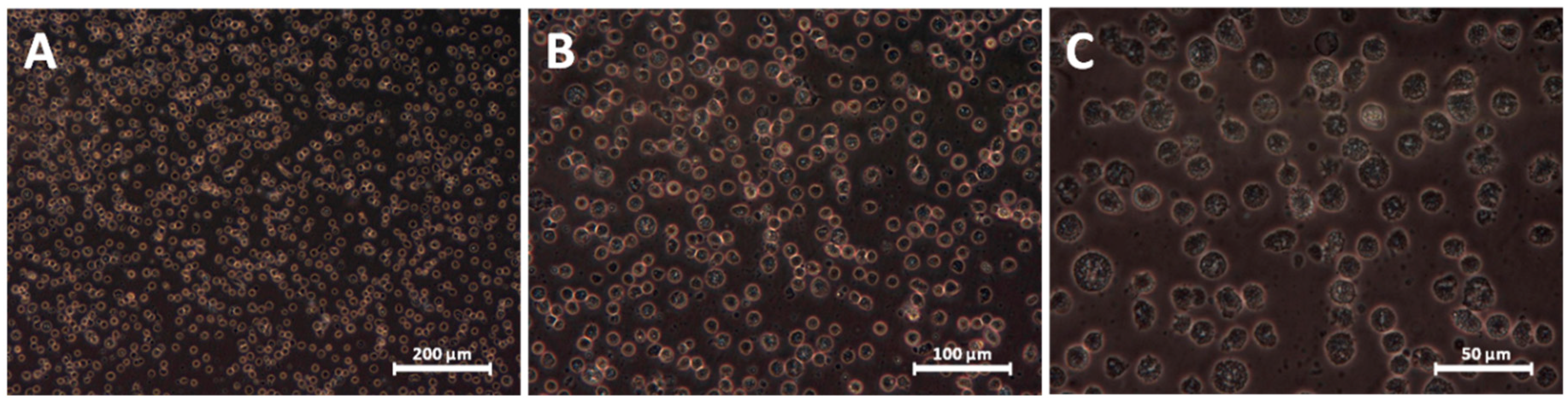
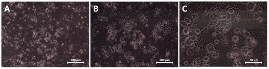
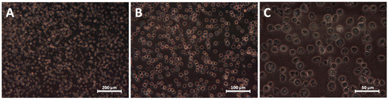
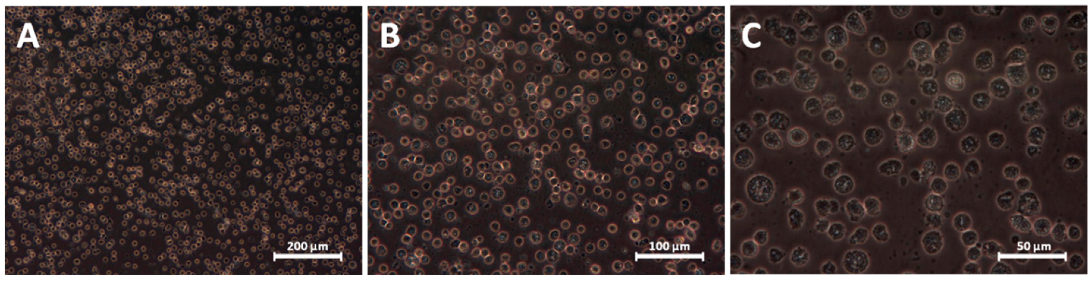
3.4. Viability Test and Cells’ Morphology
4. Discussion
5. Conclusions
Author Contributions
Funding
Acknowledgments
Conflicts of Interest
References
- Mundra, R.V.; Wu, X.; Sauer, J.; Dorodick, J.S.; Kane, R.S. Nanotubes in biological applications. Curr. Opin. Biotechnol. 2013, 28, 25–32. [Google Scholar] [CrossRef]
- Su, J.; Zhang, J.; Liu, L.; Huang, Y.; Mason, R.P. Exploring feasibility of multicolored CdTe quantum dots for in vitro and in vivo fluorescent imaging. J. Nanosci. Nanotechnol. 2008, 8, 1174–1177. [Google Scholar] [CrossRef] [PubMed]
- Mathur, P.; Jha, S.; Ramteke, S.; Jain, N.K. Pharmaceutical aspects of silver nanoparticles. Artif. Cells Nanomed. Biotechnol. 2018, 46 (Suppl. S1), 115–126. [Google Scholar] [CrossRef] [PubMed]
- Chandrasekhar, P. Medical and pharmaceutical applications of graphene. In Conducting Polymers, Fundamentals and Applications, 2nd ed.; Springer International Publishing: Cham, Switzerland, 2018; pp. 149–150. [Google Scholar]
- Palai, P.K.; Mondal, A.; Chakraborti, C.K.; Banerjee, I.; Pal, K.; Rathnam, V.S.S. Doxorubicin loaded green synthesized nanoceria decorated functionalized graphene nanocomposite for cancer-specific drug release. J. Clust. Sci. 2019, 30, 1565. [Google Scholar] [CrossRef]
- Rai, M.; Yadav, A.; Gade, A. Silver nanoparticles as a new generation of antimicrobials. Biotechnol. Adv. 2009, 27, 76–83. [Google Scholar] [CrossRef]
- Chwalibog, A.; Sawosz, E.; Hotowy, A.; Szeliga, J.; Mitura, S.; Mitura, K.; Grodzik, M.; Orlowski, P.; Sokolowska, A. Visualization of interaction between inorganic nanoparticles and bacteria or fungi. Int. J. Nanomed. 2010, 5, 1085–1094. [Google Scholar] [CrossRef] [PubMed]
- Kim, K.-J.; Sung, W.S.; Suh, B.K.G.; Moon, S.-K.; Choi, J.-S.; Kim, J.G.; Lee, D.G. Antifungal activity and mode of action of silver nano-particles on Candida albicans. Biometals 2009, 22, 235–242. [Google Scholar] [CrossRef]
- Lu, L.; Sun, R.W.-Y.; Chen, R.; Hui, C.-K.; Ho, C.-M.; Luk, J.M.; Lau, G.K.K.; Che, C.-M. Silver nanoparticles inhibit hepatitis B virus replication. Antivir. Ther. 2008, 13, 253–262. [Google Scholar]
- Elechiguerra, J.L.; Burt, J.L.; Morones, J.R.; Camacho Bragado, A.; Gao, X.; Lara, H.H.; Yacaman, M.J. Interaction of silver nanoparticles with HIV-1. J. Nanobiotechnol. 2005, 3, 6. [Google Scholar] [CrossRef]
- Arora, S.; Jain, J.; Rajwade, J.M.; Paknikar, K.M. Cellular responses induced by silver nanoparticles: In vitro studies. Toxicol. Lett. 2008, 179, 93–100. [Google Scholar] [CrossRef]
- Arora, S.; Jain, J.; Rajwade, J.M.; Paknikar, K.M. Interactions of silver nanoparticles with primary mouse fibroblasts and liver cells. Toxicol. Appl. Pharmacol. 2009, 236, 310–318. [Google Scholar] [CrossRef] [PubMed]
- Rani, P.V.A.; Mun, G.L.K.; Hande, M.P.; Valiyaveettil, S. Cytotoxicity and genotoxicity of silver nanoparticles in human cells. ACS Nano 2009, 3, 279–290. [Google Scholar]
- Ahn, J.M.; Eom, H.J.; Yang, X.; Meyer, J.N.; Choi, J. Comparative toxicity of silver nanoparticles on oxidative stress and DNA damage in the nematode, Caenorhabditis elegans. Chemosphere 2014, 108, 343–352. [Google Scholar] [CrossRef]
- Zande, M.v.d.; Vandebriel, R.J.; Doren, E.V.; Kramer, E.; Rivera, Z.H.; Serrano-Rojero, C.S.; Gremmer, E.R.; Mast, J.; Peters, R.J.; Hollman, P.C.; et al. Distribution, elimination, and toxicity of silver nanoparticles and silver ions in rats after 28-day oral exposure. ACS Nano 2012, 6, 7427–7442. [Google Scholar] [CrossRef] [PubMed]
- Akter, M.; Sikder, T.; Rahman, M.; Ullah, A.; Hossain, K.F.B.; Banik, S.; Hosokawa, T.; Saito, T.; Kurasaki, M. A systematic review on silver nanoparticles-induced cytotoxicity: Physicochemical properties and perspectives. J. Adv. Res. 2018, 9, 1–16. [Google Scholar] [CrossRef]
- Hotowy, A.; Sawosz, E.; Pineda, L.; Sawosz, F.; Grodzik, M.; Chwalibog, A. Silver nanoparticles administered to chicken affect VEGFA and FGF2 gene expression in breast muscle and heart. Nanoscale Res. Lett. 2012, 7, 418. [Google Scholar] [CrossRef]
- Kang, K.; Lim, D.-H.; Choi, I.-H.; Kang, T.; Lee, K.; Moon, E.-Y.; Yang, Y.; Lee, M.-S.; Lim, J.-S. Vascular tube formation and angiogenesis induced by polyvinylpyrrolidone-coated silver nanoparticles. Toxicol. Lett. 2011, 205, 227–234. [Google Scholar] [CrossRef]
- Geim, A.K.; Novoselov, K.S. The rise of graphene. Nat. Mater. 2007, 6, 183–191. [Google Scholar] [CrossRef]
- Jaworski, S.; Sawosz, E.; Grodzik, M.; Winnicka, A.; Prasek, M.; Wierzbicki, M.; Chwalibog, A. In vitro evaluation of the effects of graphene platelets on glioblastoma multiforme cells. Int. J. Nanomed. 2013, 8, 413–420. [Google Scholar]
- Yang, K.; Feng, L.; Shi, X.; Liu, Z. Nano-graphene in biomedicine: Theranostic applications. Chem. Soc. Rev. 2013, 42, 530–547. [Google Scholar] [CrossRef]
- Faria, A.F.d.; Martinez, D.S.; Meira, S.M.; Moraes, A.C.d.; Brandelli, A.; Filho, A.G.; Alves, O.L. Anti-adhesion and antibacterial activity of silver nanoparticles supported on graphene oxide sheets. Colloids Surf. B Biointerfaces 2014, 113, 115–124. [Google Scholar] [CrossRef] [PubMed]
- Tian, T.; Shi, X.; Cheng, L.; Luo, Y.; Dong, Z.; Gong, H.; Xu, L.; Zhong, Z.; Peng, R.; Liu, Z. Graphene-based nanocomposite as an effective, multifunctional, and recyclable antibacterial agent. ACS Appl. Mater. Interfaces 2014, 6, 8542–8548. [Google Scholar] [CrossRef] [PubMed]
- Dyjak, S.; Kiciński, W.; Norek, M.; Huczko, A.; Łabędź, O.; Budner, B.; Polański, M. Hierarchical, nanoporous graphenic carbon materials through an instant, self-sustaining magnesiothermic reduction. Carbon 2016, 96, 937–946. [Google Scholar] [CrossRef]
- Fujitani, M.; Huddin, N.S.; Kawai, S.; Kanie, K.; Kiyota, Y.; Shimizu, K.; Honda, H.; Kato, R. Morphology-based non-invasive quantitative prediction of the differentiation status of neural stem cells. J. Biosci. Bioeng. 2017, 124, 351–358. [Google Scholar] [CrossRef] [PubMed]
- Kato, R.; Matsumoto, M.; Sasaki, H.; Joto, R.; Okada, M.; Ikeda, Y.; Kanie, K.; Suga, M.; Kinehara, M.; Yanagihara, K.; et al. Parametric analysis of colony morphology of non-labelled live human pluripotent stem cells for cell quality control. Sci. Rep. 2016, 6, 34009. [Google Scholar] [CrossRef] [PubMed]
- Nagasaka, R.; Matsumoto, M.; Okada, M.; Sasaki, H.; Kanie, K.; Kii, H.; Uozumi, T.; Kiyota, Y.; Honda, H.; Kato, R. Visualization of morphological categories of colonies for monitoring of effect on induced pluripotent stem cell culture status. Regen. Ther. 2017, 6, 41–51. [Google Scholar] [CrossRef]
- Selvamani, V. Stability studies on nanomaterials used in drugs. In Micro and Nano Technologies, Characterization and Biology of Nanomaterials for Drug Delivery, 1st ed.; Mohapatra, S.S., Ranjan, S., Dasgupta, N., Mishra, R.K., Thomas, S., Eds.; Elsevier: Amsterdam, The Netherlands, 2019; pp. 425–444. [Google Scholar]
- Penniston, K.L.; Nakada, S.Y.; Holmes, R.P.; Assimos, D.G. Quantitative assessment of citric acid in lemon juice, lime juice, and commercially-available fruit juice products. J. Endourol. 2008, 22, 567–570. [Google Scholar] [CrossRef]
- Can, Y.; Chen, T.; Shen, B.; Sun, S.; Song, H.; Chen, D.; Xi, W. Citric acid treatment reduces decay and maintains the postharvest quality of peach (Prunus persica L.) fruit. Food Sci. Nutr. 2019, 7, 3635–3643. [Google Scholar]
- Zhang, X.-F.; Shen, W.; Gurunathan, S. Silver nanoparticle-mediated cellular responses in various cell lines: An in vitro model. Int. J. Mol. Sci. 2016, 17, 1603. [Google Scholar] [CrossRef]
- Cameron, S.J.; Hosseinian, F.; Willmore, W.G. A current overview of the biological and cellular effects of nanosilver. Int. J. Mol. Sci. 2018, 19, 2030. [Google Scholar] [CrossRef]
- Cheng, L.-C.; Jiang, X.; Wang, J.; Chen, C.; Liu, R.-S. Nano-bio effects: Interaction of nanomaterials with cells. Nanoscale 2013, 5, 3547–3569. [Google Scholar] [CrossRef] [PubMed]
- Li, J.; Mao, H.; Kawazoe, N.; Chen, G. Insight into the interactions between nanoparticles and cells. Biomater. Sci. 2017, 5, 173–189. [Google Scholar] [CrossRef] [PubMed]
- Khan, I.; Saeed, K.; Khan, I. Nanoparticles: Properties, applications and toxicities. Arab. J. Chem. 2019, 7, 908–931. [Google Scholar] [CrossRef]
- Greulich, C.; Kittler, S.; Epple, M.; Muhr, G.; Köller, M. Studies on the biocompatibility and the interaction of silver nanoparticles with human mesenchymal stem cells (hMSCs). Langenbecks Arch. Surg. 2009, 394, 495–502. [Google Scholar] [CrossRef] [PubMed]
- Qin, H.; Zhu, C.; An, Z.; Jiang, Y.; Zhao, Y.; Wang, J.; Liu, X.; Hui, B.; Zhang, X.; Wang, Y. Silver nanoparticles promote osteogenic differentiation of human urine-derived stem cells at noncytotoxic concentrations. Int. J. Nanomed. 2014, 9, 2469–2478. [Google Scholar] [CrossRef]
- Kim, J.S.; Kuk, E.; Yu, K.N.; Kim, J.H.; Park, S.J.; Lee, H.J.; Kim, S.H.; Park, Y.K.; Park, Y.H.; Hwang, C.Y.; et al. Antimicrobial effects of silver nanoparticles. Nanomedicine 2007, 3, 95–101. [Google Scholar] [CrossRef]
- Buzea, C.; Pacheco, I.I.; Robbie, K. Nanomaterials and nanoparticles: Sources and toxicity. Biointerphases 2007, 2, MR17–MR172. [Google Scholar] [CrossRef]
- Jaworski, S.; Biniecka, P.; Bugajska, Ż.; Daniluk, K.; Dyjak, S.; Strojny, B.; Kutwin, M.; Wierzbicki, M.; Grodzik, M.; Chwalibóg, A. Analysis of the cytotoxicity of hierarchical nanoporous graphenic carbon against human glioblastoma grade IV cells. Int. J. Nanomed. 2017, 12, 3839–3849. [Google Scholar] [CrossRef][Green Version]
- Bugajska, Ż.; Jaworski, S.; Daniluk, K.; Biniecka, P.; Sosnowska, M. Interaction of hierarchical nanoporous carbons (HNCs) with chicken embryo red blood cells (RBC). Ann. Wars. Univ. Life Sci. SGGW Anim. Sci. 2017, 56, 37–42. [Google Scholar] [CrossRef]
- Liao, K.H.; Lin, Y.S.; Macosko, C.W.; Haynes, C.L. Cytotoxicity of graphene oxide and graphene in human erythrocytes and skin fibroblasts. ACS Appl. Mater. Interfaces 2011, 3, 2607–2615. [Google Scholar] [CrossRef]
- Talukdar, Y.; Rashkow, J.T.; Lalwani, G.; Kanakia, S.; Sitharaman, B. The effects of graphene nanostructures on mesenchymal stem cells. Biomaterials 2014, 35, 4863–4877. [Google Scholar] [CrossRef] [PubMed]
- Wang, K.; Ruan, J.; Song, H.; Zhang, J.; Wo, Y.; Guo, S.; Cui, D. Biocompatibility of graphene oxide. Nanoscale Res. Lett. 2011, 6, 8. [Google Scholar] [CrossRef] [PubMed]
- Turrens, J.F. Mitochondrial formation of reactive oxygen species. J. Physiol. 2003, 552, 335–344. [Google Scholar] [CrossRef] [PubMed]







| Nanostructures | Concentration (µg/mL) | Zeta Potential (mV) |
|---|---|---|
| AgNP | 2 | −14.3 |
| AgNP | 10 | −20.0 |
| HNC | 0.4 | −11.2 |
| HNC | 2 | −12.2 |
| AgNP + HNC | 2 + 0.4 | −15.4 |
| AgNP + HNC | 10 + 2 | −13.3 |
| Time | Treatment | Mean Value in Time Point | Standard Error | ||||||
|---|---|---|---|---|---|---|---|---|---|
| A | B | C | D | E | F | G | |||
| 2 h | 538 | 766 | 783 | 798 | 524 | 693 | 956 | 723 a | 139 |
| 24 h | 9680 | 11,381 | 745 | 13,749 | 11,866 | 9880 | 1019 | 8251 b | 139 |
| 48 h | 17,815 | 21,449 | 464 | 23,609 | 19,004 | 17,830 | 843 | 14,248 c | 139 |
| Time | Treatment | ||||||
|---|---|---|---|---|---|---|---|
| A | B | C | D | E | F | G | |
| 2 h | 1 | 1.42 | 1.46 | 1.48 | 0.98 | 1.29 | 1.78 |
| 24 h | 1 | 1.18 | 0.08 | 1.42 | 1.23 | 1.02 | 0.11 |
| 48 h | 1 | 1.20 | 0.03 | 1.33 | 1.07 | 1.00 | 0.05 |
© 2020 by the authors. Licensee MDPI, Basel, Switzerland. This article is an open access article distributed under the terms and conditions of the Creative Commons Attribution (CC BY) license (http://creativecommons.org/licenses/by/4.0/).
Share and Cite
Hotowy, A.; Grodzik, M.; Zielińska-Górska, M.; Chojnacka, N.; Kurantowicz, N.; Dyjak, S.; Strojny, B.; Kutwin, M.; Chwalibog, A.; Sawosz, E. Silver and Graphenic Carbon Nanostructures Differentially Influence the Morphology and Viability of Cardiac Progenitor Cells. Materials 2020, 13, 2159. https://doi.org/10.3390/ma13092159
Hotowy A, Grodzik M, Zielińska-Górska M, Chojnacka N, Kurantowicz N, Dyjak S, Strojny B, Kutwin M, Chwalibog A, Sawosz E. Silver and Graphenic Carbon Nanostructures Differentially Influence the Morphology and Viability of Cardiac Progenitor Cells. Materials. 2020; 13(9):2159. https://doi.org/10.3390/ma13092159
Chicago/Turabian StyleHotowy, Anna, Marta Grodzik, Marlena Zielińska-Górska, Natalia Chojnacka, Natalia Kurantowicz, Sławomir Dyjak, Barbara Strojny, Marta Kutwin, André Chwalibog, and Ewa Sawosz. 2020. "Silver and Graphenic Carbon Nanostructures Differentially Influence the Morphology and Viability of Cardiac Progenitor Cells" Materials 13, no. 9: 2159. https://doi.org/10.3390/ma13092159
APA StyleHotowy, A., Grodzik, M., Zielińska-Górska, M., Chojnacka, N., Kurantowicz, N., Dyjak, S., Strojny, B., Kutwin, M., Chwalibog, A., & Sawosz, E. (2020). Silver and Graphenic Carbon Nanostructures Differentially Influence the Morphology and Viability of Cardiac Progenitor Cells. Materials, 13(9), 2159. https://doi.org/10.3390/ma13092159

