Tribological Properties of Oil-in-Water Emulsion with Carbon Nanocapsule Additives
Abstract
1. Introduction
2. Experimental Procedure and Methods
2.1. CNC Preparation Method
2.2. Evaluation of Tribological Performance of CNCs Working Fluids
2.3. Wear Property Measurement and Abrasion Evaluation
3. Results and Discussion
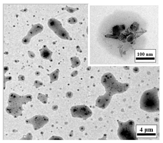
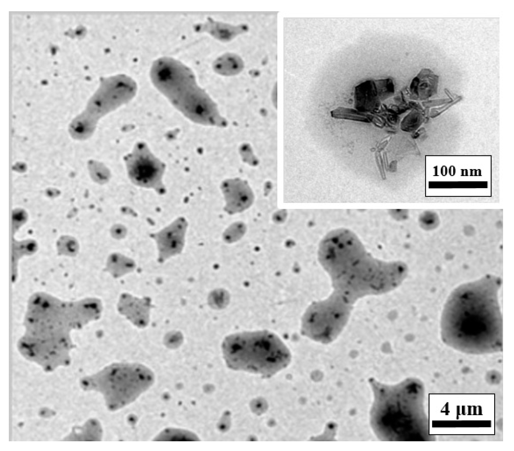
3.1. Surfactant-Enhanced Dispersion of CNCs in Water Lubricant
3.2. Friction Coefficients of Water Lubricant with Different CNC Concentrations
3.3. Analysis of Wear Surface for Water Lubricant with Different CNC Concentrations
3.4. Friction Coefficients of Different CNC Concentrations in 6% Emulsified Oil
3.5. Analysis of Wear Surface for Oil/Water Emulsion Lubricant with Different CNC Concentrations
4. Conclusions
Author Contributions
Funding
Acknowledgments
Conflicts of Interest
References
- Chang, L.; Jeng, Y.-R.; Huang, P.-Y. Modeling and analysis of the meshing losses of involute spur gears in high-speed and high-load conditions. J. Tribol. Trans. ASME 2013, 135, 011504. [Google Scholar] [CrossRef]
- Jeng, Y.-R.; Tsai, P.-C.; Chiang, S.-H. Effects of grain size and orientation on mechanical and tribological characterizations of nanocrystalline nickel films. Wear 2013, 303, 262–268. [Google Scholar] [CrossRef]
- Ma, H.; Li, J.; Chen, H.; Zuo, G.; Yu, Y.; Ren, T.; Zhao, Y. XPS and XANES characteristics of tribofilms and thermal films generated by two P- and/or S-containing additives in water-based lubricant. Tribol. Int. 2009, 42, 940–945. [Google Scholar] [CrossRef]
- Wang, W.; Xie, G.X.; Luo, J.B. Black phosphorus as a new lubricant. Friction 2018, 6, 116–142. [Google Scholar] [CrossRef]
- Amann, T.; Gatti, F.; Oberle, N.; Kailer, A.; Rühe, J. Galvanically induced potentials to enable minimal tribochemical wear of stainless steel lubricated with sodium chloride and ionic liquid aqueous solution. Friction 2018, 6, 230–242. [Google Scholar] [CrossRef]
- Battez, A.H.; Viesca, J.L.; Gonza’lez, R.; Blanco, D.; Asedegbega, E.; Osorio, A. Friction reduction properties of CuO nanolubricant used as lubricant for a NiCrBSi coating. Wear 2010, 268, 325–328. [Google Scholar] [CrossRef]
- Xue, Q.J.; Liu, W.M.; Zhang, Z.J. Friction and wear properties of a surface-modified TiO2 nanoparticle as an additive in liquid paraffin. Wear 1997, 213, 29–32. [Google Scholar] [CrossRef]
- Hu, Z.S.; Lai, R.; Lou, F.; Wang, L.G.; Chen, Z.L.; Chen, G.X.; Dong, J.X. Preparation and tribological properties of nanometer magnesium borate as lubricating oil additive. Wear 2002, 252, 370–374. [Google Scholar] [CrossRef]
- Qiu, S.Q.; Dong, J.X.; Chen, G.X. Tribological properties of CeF3 nanoparticles as additives in lubricating oils. Wear 1999, 230, 35–38. [Google Scholar] [CrossRef]
- Gao, Y.J.; Chen, G.X.; Oli, Y.; Zhang, Z.J.; Xue, Q.J. Study on tribological properties of oleic acid-modified TiO2 nanoparticle in water. Wear 2002, 252, 454–458. [Google Scholar] [CrossRef]
- Wu, H.; Zhao, J.W.; Cheng, X.W.; Xia, W.Z.; He, A.S.; Yun, J.-H.; Huang, S.Q.; Wang, L.Z.; Huang, H.; Jiao, S.H.; et al. Friction and wear characteristics of TiO2 nano-additive water-based lubricant on ferritic stainless steel. Tribol. Int. 2018, 117, 24–38. [Google Scholar] [CrossRef]
- Ding, M.; Lin, B.; Sui, T.Y.; Wang, A.Y.; Yan, S.; Yang, Q. The excellent anti-wear and friction reduction properties of silica nanoparticles as ceramic water lubrication additives. Ceram. Int. 2018, 44, 14901–14906. [Google Scholar] [CrossRef]
- Zhong, Y.J.; Xie, G.Y.; Sui, G.X.; Yang, R. Poly(ether ether ketone) composites reinforced by short carbon fibers and zirconium dioxide nanoparticles: Mechanical properties and sliding wear behavior with water lubrication. J. Appl. Polym. Sci. 2011, 119, 1711–1720. [Google Scholar] [CrossRef]
- Gara, L.; Zou, Q. Friction and wear characteristics of water-based ZnO and Al2O3 nanofluids. Tribol. Trans. 2012, 55, 345–350. [Google Scholar] [CrossRef]
- Zhang, C.L.; Zhang, S.M.; Song, S.Y.; Yang, G.B.; Yu, L.G.; Wu, Z.S.; Li, X.H.; Zhang, P.Y. Preparation and tribological properties of surface-capped copper nanoparticle as a water-based lubricant additive. Tribol. Lett. 2014, 54, 25–33. [Google Scholar] [CrossRef]
- Zhang, C.L.; Zhang, S.M.; Yu, L.G.; Zhang, Z.J.; Wu, Z.S.; Zhang, P.Y. Preparation and tribological properties of water-soluble copper/silica nanocomposite as a water-based lubricant additive. Appl. Surf. Sci. 2012, 259, 824–830. [Google Scholar] [CrossRef]
- Golchin, A.; Wikner, A.; Emami, N. An investigation into tribological behaviour of multi-walled carbon nanotube/graphene oxide reinforced UHMWPE in water lubricated contacts. Tribol. Int. 2016, 95, 156–161. [Google Scholar] [CrossRef]
- Peng, Y.T.; Hu, Y.Z.; Wang, H. Tribological behaviors of surfactant-functionalized carbon nanotubes as lubricant additive in water. Tribol. Lett. 2007, 25, 247–253. [Google Scholar] [CrossRef]
- Kinoshita, H.; Nishina, Y.; Alias, A.A.; Fujii, M. Tribological properties of monolayer graphene oxide sheets as water-based lubricant additives. Carbon 2014, 66, 720–723. [Google Scholar] [CrossRef]
- Elomaa, O.; Singh, V.K.; Iyer, A.; Hakala, T.J.; Koskinen, J. Graphene oxide in water lubrication on diamond-like carbon vs. stainless steel high-load contacts. Diam. Relat. Mat. 2015, 52, 43–48. [Google Scholar] [CrossRef]
- Ye, X.Y.; Ma, L.M.; Yang, Z.G.; Wang, J.Q.; Wang, H.G.; Yang, S.R. Covalent functionalization of fluorinated graphene and subsequent application as water-based lubricant additive. ACS Appl. Mater. Interfaces 2016, 8, 7483–7488. [Google Scholar] [CrossRef] [PubMed]
- Liu, Y.H.; Wang, X.K.; Pan, G.S.; Luo, J.B. A comparative study between graphene oxide and diamond nanoparticles as water-based lubricating additives. Sci. China-Technol. Sci. 2013, 56, 152–157. [Google Scholar] [CrossRef]
- Song, H.-J.; Li, N. Frictional behavior of oxide graphene nanosheets as water-base lubricant additive. Appl. Phys. A-Mater. Sci. Process. 2011, 105, 827–832. [Google Scholar] [CrossRef]
- Hsin, Y.-L.; Chu, H.-Y.; Jeng, Y.-R.; Huang, Y.-H.; Wang, M.-H.; Chang, C.-K. In situ de-agglomeration and surface functionalization of detonation nanodiamond, with the polymer used as an additive in lubricant oil. J. Mater. Chem. 2011, 21, 13213–13222. [Google Scholar] [CrossRef]
- Wu, Y.L.; Zeng, X.Q.; Ren, T.H.; de Vries, E.; van der Heide, E. The emulsifying and tribological properties of modified graphene oxide in oil-in-water emulsion. Tribol. Int. 2017, 105, 304–316. [Google Scholar] [CrossRef]
- Yang, H.M.; Zhao, L.; Xue, S.Q.; Deng, Z.; Li, J.S.; Zeng, X.Q. Branch-chain length modulated graphene oxides for regulating the physicochemical and tribophysical properties of pickering emulsions. Colloid Surf. A-Physicochem. Eng. Asp. 2019, 579, 123703. [Google Scholar] [CrossRef]
- Yang, H.M.; Xue, S.Q.; Zhou, J.L.; Li, J.S.; Zeng, X.Q. Interfacial assembly behavior of alkylamine-modulated graphene oxide with different oxidation degrees. Langmuir 2019, 35, 12936–12946. [Google Scholar] [CrossRef]
- Yang, H.M.; Li, J.H.; Zeng, X.Q. Tribological behavior of nanocarbon materials with different dimensions in aqueous systems. Friction 2020, 8, 29–46. [Google Scholar] [CrossRef]
- Yang, H.M.; Li, J.-S.; Zeng, X.Q. Correlation between molecular structure and interfacial properties of edge or basal plane modified graphene oxide. ACS Appl. Nano Mater. 2018, 1, 2763–2773. [Google Scholar] [CrossRef]
- Jeng, Y.-R.; Huang, Y.-H.; Tsai, P.-C.; Hwang, G.-L. Tribological properties of carbon nanocapsule particles as lubricant additive. J. Tribol. Trans. ASME 2014, 136, 041801. [Google Scholar] [CrossRef]
- Jeng, Y.-R.; Huang, Y.-H.; Tsai, P.-C.; Hwang, G.-L. Tribological performance of oil-based lubricants with carbon-Fe nanocapsules additive. Tribol. Trans. 2015, 58, 924–929. [Google Scholar] [CrossRef]
- Vellaiyan, S.; Amirthagadeswaran, K.S. The role of water-in-diesel emulsion and its additives on diesel engine performance and emission levels: A retrospective review. Alex. Eng. J. 2016, 55, 2463–2472. [Google Scholar] [CrossRef]
- Binks, B.P.; Whitby, C.P. Nanoparticle silica-stabilised oil-in-water emulsions: Improving emulsion stability. Colloid Surf. A-Physicochem. Eng. Asp. 2005, 253, 105–115. [Google Scholar] [CrossRef]
- Modarres-Gheisari, S.M.M.; Gavagsaz-Ghoachani, R.; Malaki, M.; Safarpour, P.; Zandi, M. Ultrasonic nano-emulsification-a review. Ultrason. Sonochem. 2019, 52, 88–105. [Google Scholar] [CrossRef] [PubMed]
- Tsai, P.-C.; Jeng, Y.-R. Experimental and numerical investigation into the effect of carbon nanotube buckling on the reinforcement of CNT/Cu composites. Compos. Sci. Technol. 2013, 79, 28–34. [Google Scholar] [CrossRef]
- Li, X.D.; Gao, H.S.; Scrivens, W.A.; Fei, D.L.; Xu, X.Y.; Sutton, M.A.; Reynolds, A.P.; Myrick, M.L. Nanomechanical characterization of single-walled carbon nanotube reinforced epoxy composites. Nanotechnology 2004, 15, 1416–1423. [Google Scholar] [CrossRef]
- Cheng, G.G.; Dong, L.J.; Kamboj, L.; Khosla, T.; Wang, X.D.; Zhang, Z.Q.; Guo, L.Q.; Pesika, N.; Ding, J.N. Hydrothermal synthesis of monodisperse hard carbon spheres and their water-based lubrication. Tribol. Lett. 2017, 65, 141. [Google Scholar] [CrossRef]
- Zheng, G.L.; Ding, T.M.; Zhang, G.Q.; Xiang, X.Z.; Xu, Y.; Ren, T.H.; Li, F.; Zheng, L. Surface analysis of tribofilm formed by phosphorus-nitrogen (P-N) ionic liquid in synthetic ester and water-based emulsion. Tribol. Int. 2017, 115, 212–221. [Google Scholar] [CrossRef]
- Lee, K.; Hwang, Y.; Cheong, S.; Choi, Y.; Kwon, L.; Lee, J.; Kim, S.H. Understanding the role of nanoparticles in nano-oil lubrication. Tribol. Lett. 2009, 35, 127–131. [Google Scholar] [CrossRef]
- Tevet, O.; Von-Huth, P.; Popovitz-Biro, R.; Rosentsveig, R.; Wagner, H.D.; Tenne, R. Friction mechanism of individual multilayered nanoparticles. Proc. Natl. Acad. Sci. USA 2011, 108, 19901–19906. [Google Scholar] [CrossRef]
- Choi, Y.; Lee, C.; Hwang, Y.; Park, M.; Lee, J.; Choi, C.; Jung, M. Tribological behavior of copper nanoparticles as additives in oil. Curr. Appl. Phys. 2009, 9, e124–e127. [Google Scholar] [CrossRef]
- Cambiella, A.; Benito, J.M.; Pazos, C.; Coca, J.; Ratoi, M.; Spikes, H.A. The effect of emulsifier concentration on the lubricating properties of oil-in-water emulsions. Tribol. Lett. 2006, 22, 53–65. [Google Scholar] [CrossRef]








| Element | Content (%) |
|---|---|
| Carbon (C) | 1.5 |
| Silicon (Si) | 0.3 |
| Manganese (Mn) | 0.45 |
| Chromium (Cr) | 12.0 |
| Molybdenum (Mo) | 1.0 |
| Vanadium (V) | 0.35 |
| Condition | Pure Water | Emulsion |
|---|---|---|
| Load (N) | 80 | 120 |
| Rotating speed (rpm) | 250 | 250 |
| Experimental time (min) | 40 | 60 |
| Sliding velocity (m/s) | 0.458 | 0.458 |
| Sliding distance (m) | 1100 | 1375 |
| Maximal contact pressure (MPa) | 49.7 | 60.9 |
| Surfactant (2%) | CNCs Max Con. (wt.%) |
|---|---|
| SDS | 0.4 |
| CTAB | 0.3 |
| SL 70 | 1.0 |
| CAS | 0.4 |
Publisher’s Note: MDPI stays neutral with regard to jurisdictional claims in published maps and institutional affiliations. |
© 2020 by the authors. Licensee MDPI, Basel, Switzerland. This article is an open access article distributed under the terms and conditions of the Creative Commons Attribution (CC BY) license (http://creativecommons.org/licenses/by/4.0/).
Share and Cite
Jeng, Y.-R.; Tsai, P.-C.; Chang, C.-M.; Hsu, K.-F. Tribological Properties of Oil-in-Water Emulsion with Carbon Nanocapsule Additives. Materials 2020, 13, 5762. https://doi.org/10.3390/ma13245762
Jeng Y-R, Tsai P-C, Chang C-M, Hsu K-F. Tribological Properties of Oil-in-Water Emulsion with Carbon Nanocapsule Additives. Materials. 2020; 13(24):5762. https://doi.org/10.3390/ma13245762
Chicago/Turabian StyleJeng, Yeau-Ren, Ping-Chi Tsai, Ching-Min Chang, and Kuo-Feng Hsu. 2020. "Tribological Properties of Oil-in-Water Emulsion with Carbon Nanocapsule Additives" Materials 13, no. 24: 5762. https://doi.org/10.3390/ma13245762
APA StyleJeng, Y.-R., Tsai, P.-C., Chang, C.-M., & Hsu, K.-F. (2020). Tribological Properties of Oil-in-Water Emulsion with Carbon Nanocapsule Additives. Materials, 13(24), 5762. https://doi.org/10.3390/ma13245762

