Next Article in Journal
Variant Anatomy of the Nasal and Labial Branches of the Infraorbital Nerve
Previous Article in Journal
Superior Orbital Fissure Syndrome in Lateral Orbital Wall Fracture: Management and Classification Update
 
 
Craniomaxillofacial Trauma & Reconstruction is published by MDPI from Volume 18 Issue 1 (2025). Previous articles were published by another publisher in Open Access under a CC-BY (or CC-BY-NC-ND) licence, and they are hosted by MDPI on mdpi.com as a courtesy and upon agreement with Sage.
Font Type:
Arial Georgia Verdana
Font Size:
Aa Aa Aa
Line Spacing:
Column Width:
Background:
Article

Post–Ankylotic Temporomandibular Joint Reconstruction Using Autogenous/Alloplastic Materials: Our Protocol and Treatment Outcomes in 22 Patients

by
Yogesh Bhardwaj
* and
Saurabh Arya
Department of Oral and Maxillofacial Surgery, Government Dental College and Hospital, Shimla 171001, Himachal Pradesh, India
*
Author to whom correspondence should be addressed.
Craniomaxillofac. Trauma Reconstr. 2016, 9(4), 284-293; https://doi.org/10.1055/s-0036-1584396
Submission received: 17 March 2015 / Revised: 17 April 2016 / Accepted: 17 April 2016 / Published: 18 July 2016

Abstract

:
The purpose of this study was to evaluate the various options of autogenous and alloplastic reconstruction modalities available for posttraumatic temporomandibular joint (TMJ) ankylosis. In a retrospective study of 22 patients, various autogenous/ alloplastic materials were used based on type and severity of ankylosis and age of patient. Final outcome of reconstruction was critically evaluated in terms of maximal mouth opening, occlusion, and facial symmetry. Fourteen patients (63.63%) developed TMJ ankylosis due to road traffic accidents and eight patients (36.36%) had a history of fall. The mean age was 15.61 years. The mean preoperative maximum interincisal mouth opening (MIMO) for the entire series was 3.39 mm ± 2.16 and postoperative MIMO was 43.69 mm ± 2.63. Costochondral grafts were used in seven children, whereas titanium reconstruction plate with condylar head was used in five adults and interpositional arthroplasties using temporalis muscle, temporalis fascia, and relocation of the articular disc were used in the rest of the ten patients. We conclude that all these age-specific treatment modalities yield clinically comparable results in terms of postoperative mouth opening and facial symmetry with no evidence of reankylosis in a follow-up ranging from 24 to 96 months.

Ankylosis of the temporomandibular joint (TMJ) is a crippling and debilitating condition of the jaws, causing long-term functional, esthetic, and severe psychological impact on the lives of these patients [1,2]. Ankylosis of the TMJ has a variety of etiologies that cause insult and invasion of thejoint space. Trauma has been implicated as the most common etiological factor in TMJ ankylosis in adults as well as in the pediatric age group [3].
Sawhney classified the severity of TMJ ankylosis based on radiologic findings into four groups: Type I—Flattened or deformed head in close proximity to upper articular surface with dense fibrous adhesions; Type II—Bony fusion of deformed and flattened head to outer edge of articular surface anteriorly or posteriorly; Type III—Bony fusion between mandibular ramus and zygomatic arch on lateral aspect with intact articular disc medially with atrophic head lying free or fused medially to ramus; Type IV—Wide and thick bony block between mandibular ramus and zygomatic arch completely replacing joint architecture [4]. All our patients presented in this article were Sawhney’s Type III and Type IV ankylosis.
The pathologic sequelae of events leading to TMJ ankylosis is an episode of trauma leading to hemarthrosis which if unattended at the time of episode of trauma subsequently gets organized into solid bone, especially in children. Fibroosseous restructuring of hemarthrosis contributes to the formation of the ankylotic mass. The ankylotic mass demonstrates an aggressive capacity for regrowth and inadequate resection of this mass may result in its reorganisation [5,6]. Gap arthroplasty in present-day practice is discouraged because it has the disadvantage of reankylosis, short ramus, failure to remove all the bony pathology, malocclusion, and limited range of motion postoperatively [7]. Many patients undergoing gap arthroplasty were reporting with reankylosis and the two main reasons were noncompliance to physiotherapy and inadequate resection without any reconstruction of the joint. A gap of 1.5 to 2.5 cm is considered as adequate resection [8]. After adequate resection of the ankylotic chunk, reconstruction of the joint using alloplastic/autogenous material with emphasis on postoperative physiotherapy facilitates stable functional and aesthetic outcomes. Reluctance and noncompliance to physiotherapy regimen may lead to reankylosis.
Reconstruction of the joint after gap arthroplasty is of paramount importance to maintain vertical ramal height which in some modalities such as costochondral grafting (CCG) and titanium reconstruction plate with condylar head help maintain form and function of the jaws, whereas relining the joint with modalities such as temporalis fascia, temporalis muscle, and articular disc repositioning act as barriers between the base of skull and the ramal unit of mandible obliterating the dead joint space to prevent reankylosis. This article outlines the authors’ 14 years of experience in the reconstruction of posttraumatic TMJ ankylosis using various alloplastic and autogenous materials.

Patients and Methods

A retrospective study of post–ankylotic TMJ reconstruction of all the patients who underwent surgery for the TMJ ankylosis over a period of 11 years from 2002 to 2013, which were operated by the senior author (Y.B.), was undertaken to evaluate demographics, type of TMJ ankylosis, and modality of post–ankylotic TMJ reconstruction. The following inclusion criteria were considered for enrolling patients in this study: (1) history of traumatic injury to the face or jaws; (2) clinical and radiographic evidence of bony ankylosis at the time of presentation; (3) reconstruction of the TMJ using autogenous or alloplastic material after surgical release of ankylosis. Patients were assessed for (1) maximum interincisal opening pre and post operatively; (2) restored vertical ramal height; (3) occlusion; (4) facial symmetry; and (5) postoperative complications. Radiographic evaluation consisted of both preoperative and postoperative panoramic radiography Orthopentomogram (OPG) (Figure 1 and Figure 2) and CT scans in axial, coronal, and sagittal sections with three-dimensional reconstruction (Figure 3 and Figure 4). Surgical protocol was that the TMJ was approached through the Al-Kayat and Bramley’s incision and at least 2 to 2.5 cm resection of the ankylotic chunk was performed in all our cases. Ipsilateral and contralateral coronoidectomy was performed when required to achieve passive mouth opening. Interpositional arthroplasty was done using various materials such as temporalis fascia, temporalis muscle, and articular disc, whereas joint reconstruction was done using CCG and titanium reconstruction plate with condylar head. Intensive physiotherapy postoperatively was an integral part of protocol.

Results

A total of 24 patients underwent surgery for TMJ ankylosis from 2002 to 2013, out of which 2 were excluded as they underwent simple gap arthroplasty. Eight out of the 22 patients had history of fall and the rest 14 had history of road traffic accidents. Twenty-two patients in this study included 5 males and 17 females. There were eight cases of bilateral TMJ ankylosis and 14 cases of unilateral TMJ ankylosis. Right sided ankylosed joints were 8, left sided were 6, and bilaterally ankylosed joints were 8 in number (Table 1). Hence, 22 patients underwent the release of 30 ankylotic joints. Out of the 30 ankylotic joints, 28 had Sawhney’s Type IV ankylosis and 2 had Sawhney’s Type III ankylosis. Age groups ranged from 6 to 36 years with a mean age of 15.61 years. Average duration of ankylosis was 5.90 years.
Interpositional arthroplasty was done using temporalis fascia in two patients, temporalis muscle in seven patients, and articular disc repositioning in two patients, whereas joint reconstruction was done using CCG in seven patients and titanium reconstruction plate with condylar head in five patients.
The various treatment modalities used in our series of 22 patients yielded satisfactory and comparable maximum inter-incisal mouth opening (MIMO) (Table 2 and Table 3) Transient facial palsy was present in 7 out of the 22 patients operated, which resolved in 3 to 6 weeks (Table 1). Pain was present in patients postoperatively but absent 3 months postoperatively even during function. Protrusive and lateral movements significantly improved at 6-month follow-up. None of our patients reported with a reankylosis during the follow-up period. We compared the various treatment modalities using analysis of covariance after considering age as a confounding factor. Using ANCOVA, p-value was found to be less than 0.001 which is highly significant, suggesting that all these treatment modalities give clinically acceptable yet different results in terms of postoperative MIMO. Further applying the post hoc multiple comparison test shows that titanium reconstruction plate with condylar head gives the best results in terms of MIMO postoperatively as compared with any other treatment modality of our group. Conceptually, this is essentially due to adult patients with a larger size stomatognathic apparatus compared with children. CCG and temporalis muscle give clinically similar results followed by temporalis fascia and articular disc in terms of MIMO postoperatively (Table 2 and Table 3). Functionally stable occlusion was achieved in all cases.

Discussion

Reconstruction of the TMJ after release of ankylosis assumes paramount importance in terms of restoration of facial form and function. The goals of treatment in all the patients were the release of ankylotic mass, restoration of normal jaw form and function, symmetric growth of the mandible in children, and most importantly the prevention of reankylosis. All interpositional arthroplasties are to some extent the autogenous reconstruction of the morbid ankylotic TMJ after resection of the ankylotic mass. Merriam Webster Dictionary defines reconstruction as the act or process of building something that was damaged or destroyed again. Reconstructive surgery refers to a procedure whose goal is intended to restore form and function in structures deformed or damaged by disease, congenital anomaly, tumor, trauma, or infection (Farlex Partner Medical Dictionary Farlex 2012). The treatment of TMJ ankylosis is individualized based on the severity of ankylosis, age of the patient, and other patient factors. We have outlined our experience following Kaban’s protocol in the management of TMJ ankylosis. It is of paramount importance to obtain passive and maximal mouth opening using this protocol in terms of adequate resection and ipsilateral or contralateral coronoidectomy whenever required followed by aggressive physiotherapy (Figure 5 and Figure 6). Physiotherapy was started on third day postoperatively using Heister mouth gag five times a day during the hospital stay of the patient. This device was purchased by the patient after discharge from the hospital for physiotherapy at home. The MIMO and excursive movements were recorded at various follow-ups for all the patients. No intermaxillary fixation/elastics were applied to any of the patients in the series.
We grouped all our patients based on Sawhney’s classification of TMJ ankylosis and all of them were Type III and Type IV TMJ ankylosis according to this classification, which are the progressively more severe types of TMJ ankylosis.
He et al devised a new classification of TMJ ankylosis which was a modification of Sawhney’s classification based on the coronal CT scan and based their treatment protocol accordingly. Type A1 is fibrous ankylosis, where post release of fibrous tissue, joint reconstruction was done using temporalis myofascial flap (TMF), masseter muscle flap (MMF), or CCG. Type A2 is ankylosis with bony fusion on the lateral side of the joint, while the residual condylar fragment is bigger than 0.5 of the condylar head in the medial side, and type A3 is similar to A2 but the residual condylar fragment is smaller than 0.5 of the condylar head. In both A2 and A3, lateral arthroplasty was done and reconstruction was done using CCG, TMF, or MMF. In type A4, there is complete bony fusion and reconstruction was done using CCG, TMF, or MMF [9].
The key guidelines in the management of ankylosis followed by us were three-dimensional resection of the ankylotic mass measuring at least 2 to 2.5 cm to achieve passive mouth opening followed by interpositional arthroplasty using temporalis fascia, temporalis muscle, articular disc repositioning, reconstruction using CCG, and titanium condylar head reconstruction plate with temporalis muscle interpositioning. None of these patients had reankylosis on long-term follow-up ranging from 24 to 96 months.
Missed diagnosis or inadequate treatment after the initial episode of trauma with no subsequent follow-up of the patients was responsible for the development of TMJ ankylosis with patients often reporting months to years after the episode of trauma (one patient reported 30 years after the initial episode of trauma at the age of 36 years), when these patients had a debilitating restriction in mouth opening making their day-to- day chores impossible to carry out. The senior author (Y.B.) used various autogenous interpositional materials and alloplastic titanium reconstruction plate with condylar head, depending on the age and requirement of the patient.
Advantages of autogenous grafting include ease of adaptation to the host site and remodeling over time, low infection, and cost-effective technique. TMF has manifold advantages, such as its close proximity to the surgical site, adequate vascularity for maintaining viability, less chances of injury to the facial nerve since the plane of dissection is directly on the deep temporal fascia, and greater bulk to obliterate the joint space [10]. Feinberg and Larsen described the use of a pedicled flap composed of temporalis muscle and pericranium as an interpositional material that simulates the disc functionally [11]. Temporalis fascia lacks bulk, so the additional layers necessary to simulate the disc thickness may result in compromised vascularization and may jeopardize long-term viability [12].
Temporalis muscle was used in seven patients and temporalis fascia was used in two patients. In our series, using temporalis fascia as an interpositional material in the postoperative MIMO was 37 mm. Temporalis fascia has the disadvantage of being thinner, taut, and nonelastic. Long-term follow-up showed premature contact of teeth on the operated side in both the patients and the ramal height was not maintained. When the temporalis muscle was used as interpositional material, we based our flap on one of the branches of deep temporal arteries to maintain its vascularity and the flap was turned over the zygomatic arch and placed into the glenoid fossa. Temporalis muscle provided us with more bulk to obliterate the joint space and was sandwiched between the chondral end of the CCG and temporal bone. After appropriate positioning has been established, the muscle is sutured in both the anterior and posterior directions. Moreover, there is no hematoma formation and hence had better long-term stability. In patients where temporalis muscle was used, the MIMO was 41 mm and ramal height was maintained in all the cases (Figure 7 and Figure 8). The ramal height was preserved in most of our cases possibly due to unilateral ankylosis with compensation by the contralateral mandibular unit. Management of ankylosis in children can be very challenging and our aim was to correct retrognathia in bilateral cases and reduce the possibility of further asymmetry in unilateral cases. Growth center transplantation using CCGs was done in seven growing children in the 6- to 13-year age group. The uses of this biologically compatible autograft in reconstruction are benefits of growth potential and ability to remodel into a neocondyle with time. Unpredictable growth pattern of the CCG, midline shift, and donor site morbidity are some of the disadvantages of this technique. Overgrowth of the graft has been attributed to the use of a large cartilaginous cap; hence, only 1 to 2 mm cartilaginous cap must be used to avoid such complications [13,14,15]. We assessed the same using panoramic radiographs during follow-ups. The CCGs showed excellent mandibular growth along with complete integration of graft into the recipient site over the passage of time in all seven cases. The CCG was harvested from the sixth rib (contralateral side) using submammary incision and was secured using three 2-mm titanium screws at the recipient site. Due to the close proximity of the chondral cartilage to the base of skull, we routinely interposed temporalis muscle in these patients. The muscle pedicle acted as an artificial disc as well as a barrier between the base of skull and chondral cartilage (Figure 9). Early and vigorous mobilization is important to prevent postoperative adhesions and reankylosis [16]. The postoperative MIMO in seven patients was 41.5 mm. Asymmetry in the form of deviation of chin was found in one patient during long-term follow-up, where CCG overgrowth led to the deviation of the chin to the contralateral side.
The unique ability of the CCG to remodel into neocondyle could be well appreciated on the digital OPG and CT scan of the patient. The length and width of the neocondyle was very much comparable to the length of the condyle on the unaffected side at 6 years follow-up. Thus, the neocondyle formed using the costochondral cartilage was identical to the unaffected mandibular condyle both structurally and functionally. Poor socioeconomic conditions and lack of awareness coupled with poor primary health care facilities lead many of these unfortunate patients to live with this debilitating condition well into adulthood. Five such adult patients with age ranging from 17 to 36 years reported to us for treatment of TMJ ankylosis. In all these patients, ankylotic bony mass extends beyond the boundaries of the joint capsule. Alloplastic reconstruction after the release of ankylosis was our method of treatment, although high cost of condylar prosthesis led us to use 2.4 mm condylar head reconstruction plate along with temporalis muscle interpositioning in these patients. Interpositional grafts may fail to restore the ramal height in bilaterally ankylosed adult patients, so alloplastic condylar reconstruction may become the preferred choice. Advantages of alloplastic TMJ reconstruction are that the physical therapy can begin immediately, there is no need for a secondary donor site, surgery time is decreased, and alloplasts can be constructed in such a way as to mimic the normal anatomic contours of the structures they are to replace [17,18]. Wolford and Karras have suggested autologous fat transplantation as a useful adjunct to prosthetic TMJ reconstruction, as it minimizes the occurrence of excessive joint fibrosis, heterotopic calcification, and improves the range of motion [19]. However, they have categorically stated in their discussion that heterotopic bone formation is seen in multiple operated joints and joints with previously failed alloplastic implants. Another method to combat heterotopic bone formation is the use of 10 Gy of irradiation in five fractionated daily doses in the immediate postoperative period [20]. In our series, none of the patients reported with heterotopic bone formation possibly because they had undergone a single surgical procedure for managing TMJ ankylosis. The risk of fossa perforation could have been taken care by interpositioning of temporalis muscle in all these patients.
The vertical ramal height was restored at least on one side using metallic condylar head in cases of bilateral TMJ ankylosis (Figure 10). Postsurgery, the patients with alloplastic condylar head were more compliant to physiotherapy during the immediate postoperative period possibly due to restoration of anatomy. The range of mandibular movements was recovered earliest and best in cases where alloplastic condylar head was implanted. The postoperative mouth opening was 45.6 mmwhich is maximum in our entire series of 22 patients where increased mouth opening (p < 0.001; Table 2 and Table 3) could be attributed to patients being adult with full development of stomatognathic apparatus as compared with younger patients. Long-term follow-up showed better adaptation because of its ability to conform to the associated bony contours as compared with any other autogenous material used in our series.
Nitzan et al suggested an alternative treatment for Sawhney’s Type III TMJ ankylosis. They suggested the preservation of the medially displaced condyle disc apparatus for an optimal outcome. The condyle disc apparatus maintains inherent joint function, conserves vertical ramus height, and protects the growth site in children [21]. However, it may be of interest to observe that a medially dislocated condylar stump is not a viable solution biomechanically for functioning of TMJ. Long et al postulated that restoration of the normal structure of the TMJ and by preservation of disc, recurrence of traumatic TMJ ankylosis can be prevented [22]. Disc repositioning prevents reankylosis and holding the disc in the appropriate position is critical for optimal outcomes in early posttraumatic TMJ ankylosis [23]. Articular disc was used as an interpositional material in two patients, where CT scan evaluation showed that disc was intact over medially displaced condyle. In both these patients who had Sawhney’s Type III ankylosis, the articular disc was pulled and sutured to lateral aspect of condylar stump. None of these patients showed any evidence of reankylosis on follow-up. Both the patients had a postoperative mouth opening of 36.5 mm. There was no midline shift and the ramal height and occlusion were maintained. Repositioning the disc is successful in early trauma-induced TMJ ankylosis. The condyle disc apparatus maintains inherent joint function, conserves vertical ramus height, and protects the growth site in children [21,22,23].

Conclusion

In the overview of our discussion, we would like to stress the importance of autogenous/alloplastic reconstruction of the TMJ to restore the anatomy of the ramal condylar unit for adequate function in terms of mouth opening and maintenance of occlusion along with restoration of facial symmetry, by growth center transplantation in children and restoration of ramal height in adults. The results obtained by reconstruction of the joint are far superior to performing simple gap arthroplasties. The choice of TMJ reconstruction modality depends on the age of the patient, severity of ankylosis, and socioeconomic status. The purpose of autogenous reconstruction using CCGs is to compensate for functional growth in children younger than 13 years by growth center transplantation. Temporalis muscle interpositioning is a better option than temporalis fascia in terms of MIMO postoperatively, maintenance of ramal height, and functionally stable occlusion. Repositioning of articular disc in Sawhney’s Type III ankylosis was the preferred modality. Titanium metallic condylar head with temporalis muscle interpositioning was the best modality for adults in terms of restoration of ramal height and range of mandibular movements.

Conflicts of Interest

We the authors of this submission do hereby declare that we do not have any financial and personal relationship with other people or organizations that could inappropriately influence (bias) this work.

References

  1. Dingman, R.O. Ankylosis of the temporomandibular joint. Am J Orthod Oral Surg 1946, 32, 120–125. [Google Scholar] [PubMed]
  2. Thoma, K.H. Ankylosis of the mandibular joint. Am J Orthod Oral Surg 1946, 32, 259–272. [Google Scholar] [PubMed]
  3. Posnick, J.C.; Goldstein, J.A. Surgical management of temporomandibular joint ankylosis in the pediatric population. Plast Reconstr Surg 1993, 91, 791–798. [Google Scholar] [PubMed]
  4. Sawhney, C.P. Bony ankylosis of the temporomandibular joint: Follow-up of 70 patients treated with arthroplasty and acrylic spacer interposition. Plast Reconstr Surg 1986, 77, 29–40. [Google Scholar]
  5. Arakeri, G.; Kusanale, A.; Zaki, G.A.; Brennan, P.A. Pathogenesis of post-traumatic ankylosis of the temporomandibular joint: A critical review. Br J Oral Maxillofac Surg 2012, 50, 8–12. [Google Scholar]
  6. Salins, P.C. New perspectives in the management of cranio-mandibular ankylosis. Int J Oral Maxillofac Surg 2000, 29, 337–340. [Google Scholar]
  7. Kaban, L.B.; Perrott, D.H.; Fisher, K. A protocol for management of temporomandibular joint ankylosis. J Oral Maxillofac Surg 1990, 48, 1145–1151; discussion 1152. [Google Scholar]
  8. Kaban, L.B.; Bouchard, C.; Troulis, M.J. A protocol for management of temporomandibular joint ankylosis in children. J Oral Maxillofac Surg 2009, 67, 1966–1978. [Google Scholar]
  9. He, D.; Yang, C.; Chen, M.; et al. Traumatic temporomandibular joint ankylosis: Our classification and treatment experience. J Oral Maxillofac Surg 2011, 69, 1600–1607. [Google Scholar]
  10. Pogrel, M.A.; Kaban, L.B. The role of a temporalis fascia and muscle flap in temporomandibular joint surgery. J Oral Maxillofac Surg 1990, 48, 14–19. [Google Scholar]
  11. Feinberg, S.E.; Larsen, P.E. The use of a pedicled temporalis muscle-pericranial flap for replacement of the TMJ disc: Preliminary report. J Oral Maxillofac Surg 1989, 47, 142–146. [Google Scholar] [PubMed]
  12. MacIntosh, R.B. The use of autogenous tissues for temporomandibular joint reconstruction. J Oral Maxillofac Surg 2000, 58, 63–69. [Google Scholar] [PubMed]
  13. Ko, E.W.; Huang, C.S.; Chen, Y.R. Temporomandibular joint reconstruction in children using costochondral grafts. J Oral Maxillofac Surg 1999, 57, 789–798; discussion 799–800. [Google Scholar] [PubMed]
  14. Perrott, D.H.; Umeda, H.; Kaban, L.B. Costochondral graft construction/ reconstruction of the ramus/condyle unit: Long-term follow-up. Int J Oral Maxillofac Surg 1994, 23 6, Pt 1, 321–328. [Google Scholar]
  15. Saeed, N.R.; Kent, J.N. A retrospective study of the costochondral graft in TMJ reconstruction. Int J Oral Maxillofac Surg 2003, 32, 606–609. [Google Scholar]
  16. Matsuura, H.; Miyamoto, H.; Ishimaru, J.; Kurita, K.; Goss, A.N. Effect of partial immobilization on reconstruction of ankylosis of the temporomandibular joint with an autogenous costochondral graft: An experimental study in sheep. Br J Oral Maxillofac Surg 2001, 39, 196–203. [Google Scholar]
  17. Mercuri, L.G. Alloplastic temporomandibular joint reconstruction. Oral Surg Oral Med Oral Pathol Oral Radiol Endod 1998, 85, 631–637. [Google Scholar]
  18. Saeed, N.; Hensher, R.; McLeod, N.; Kent, J. Reconstruction of the temporomandibular joint autogenous compared with alloplastic. Br J Oral Maxillofac Surg 2002, 40, 296–299. [Google Scholar]
  19. Wolford, L.M.; Karras, S.C. Autologous fat transplantation around temporomandibular joint total joint prostheses: Preliminary treatment outcomes. J Oral Maxillofac Surg 1997, 55, 245–251; discussion 251–252. [Google Scholar]
  20. Reid, R.; Cooke, H. Postoperative ionizing radiation in the management of heterotopic bone formation in the temporomandibular joint. J Oral Maxillofac Surg 1999, 57, 900–905; discussion 905–906. [Google Scholar]
  21. Nitzan, D.W.; Abu Tair, J.; Lehman, H. Is entire removal of a post-traumatic temporomandibular joint ankylotic site necessary for an optimal outcome? J Oral Maxillofac Surg 2012, 70, e683–e699. [Google Scholar] [PubMed]
  22. Long, X.; Li, X.; Cheng, Y.; et al. Preservation of disc for treatment of traumatic temporomandibular joint ankylosis. J Oral Maxillofac Surg 2005, 63, 897–902. [Google Scholar] [PubMed]
  23. Zhang, Y.; He, D.M. Clinical investigation of early post-traumatic temporomandibular joint ankylosis and the role of repositioning discs in treatment. Int J Oral Maxillofac Surg 2006, 35, 1096–1101. [Google Scholar] [PubMed]
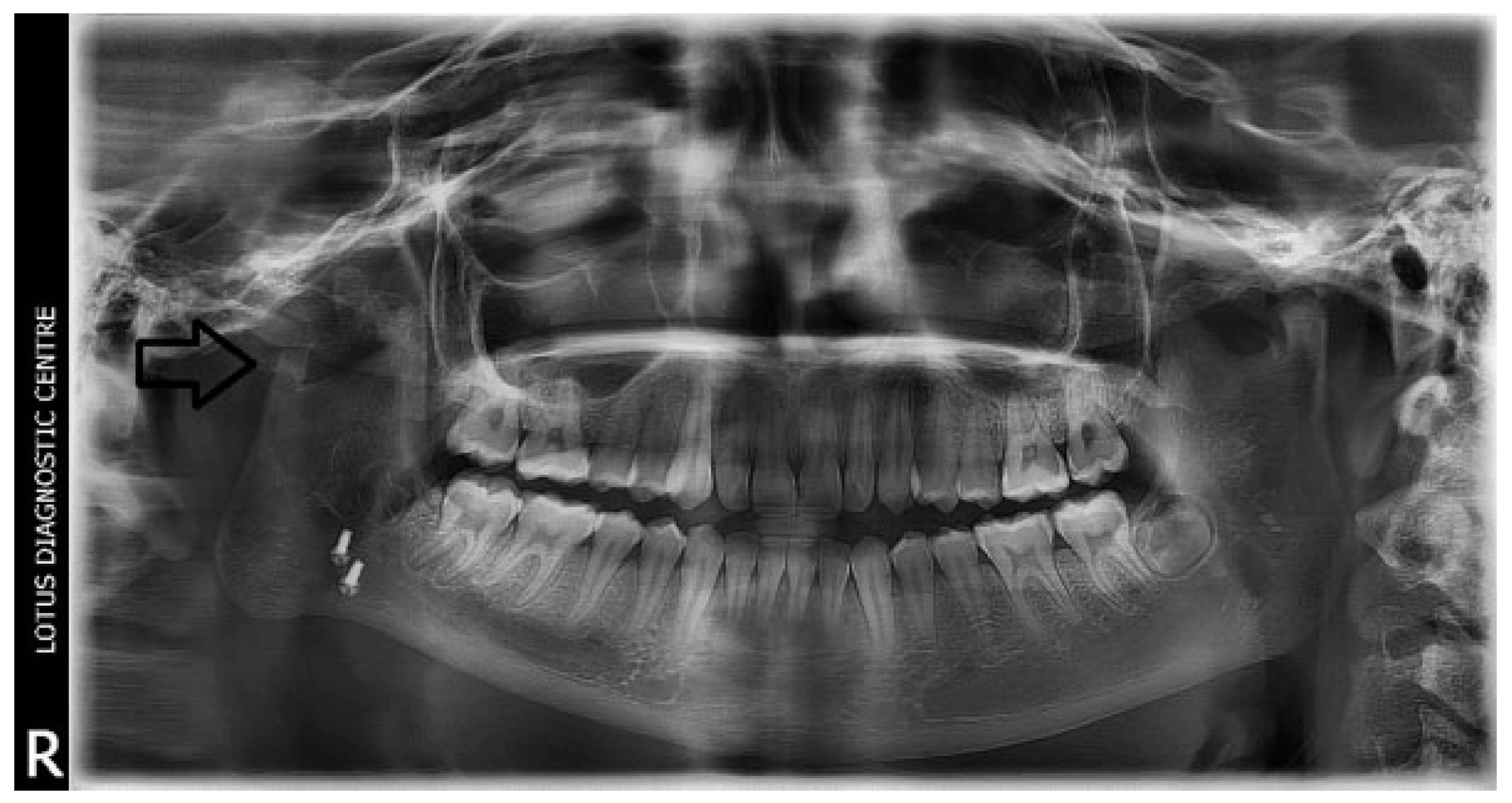
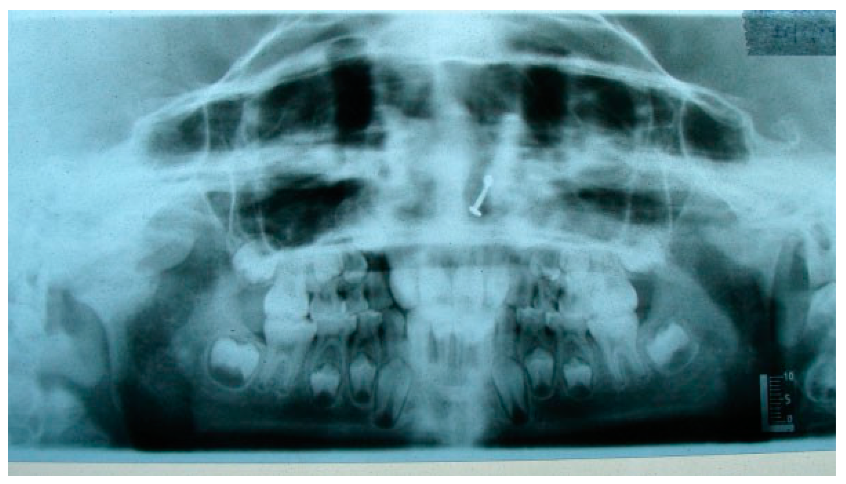
Figure 1. Preoperative OPG of right temporomandibular joint ankylosis.
Figure 1. Preoperative OPG of right temporomandibular joint ankylosis.
Cmtr 09 i4f284 g001
Figure 2. Postoperative OPG at 6 years of follow-up (black arrow depicting CCG graft with temporalis muscle interpositioning with respect to right temporomandibular joint).
Figure 2. Postoperative OPG at 6 years of follow-up (black arrow depicting CCG graft with temporalis muscle interpositioning with respect to right temporomandibular joint).
Cmtr 09 i4f284 g002
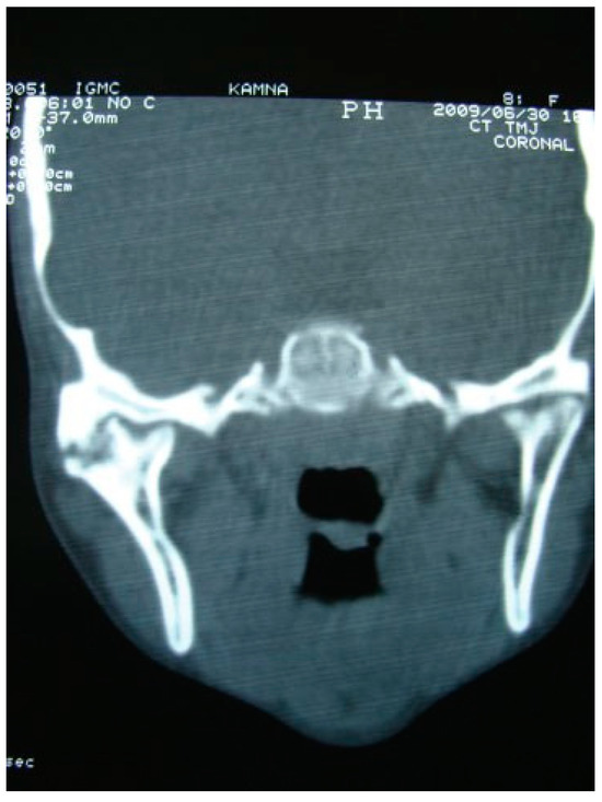
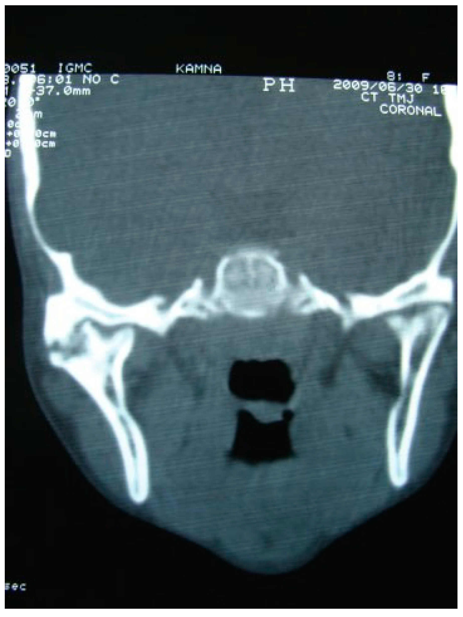
Figure 3. Preoperative coronal CT scan of right temporomandibular joint ankylosis.
Figure 3. Preoperative coronal CT scan of right temporomandibular joint ankylosis.
Cmtr 09 i4f284 g003
Figure 4. Postoperative coronal CT and three-dimensional CT scan with temporomandibular joint (TMJ) ankylosis at 6 years of follow-up depicting neocondyle (black arrow) formation (CCG graft with temporalis muscle interpositioning was done with respect to right TMJ).
Figure 4. Postoperative coronal CT and three-dimensional CT scan with temporomandibular joint (TMJ) ankylosis at 6 years of follow-up depicting neocondyle (black arrow) formation (CCG graft with temporalis muscle interpositioning was done with respect to right TMJ).
Cmtr 09 i4f284 g004
Figure 5. Intraoperative passive mouth opening.
Figure 5. Intraoperative passive mouth opening.
Cmtr 09 i4f284 g005
Figure 6. Resected ankylotic chunk with coronoidectomy.
Figure 6. Resected ankylotic chunk with coronoidectomy.
Cmtr 09 i4f284 g006
Figure 7. Temporalis muscle flap.
Figure 7. Temporalis muscle flap.
Cmtr 09 i4f284 g007
Figure 8. Temporalis muscle interpositioning.
Figure 8. Temporalis muscle interpositioning.
Cmtr 09 i4f284 g008
Figure 9. Costochondral graft with temporalis muscle interpositioning.
Figure 9. Costochondral graft with temporalis muscle interpositioning.
Cmtr 09 i4f284 g009
Figure 10. Condylar head titanium reconstruction plate with temporalis muscle interpositioning.
Figure 10. Condylar head titanium reconstruction plate with temporalis muscle interpositioning.
Cmtr 09 i4f284 g010
Table 1. Master chart of all the 22 patients of our series who underwent autogenous/alloplastic TMJ reconstruction.
Table 1. Master chart of all the 22 patients of our series who underwent autogenous/alloplastic TMJ reconstruction.
Cmtr 09 i4f284 i001
Cmtr 09 i4f284 i002
Table 2. Comparison of pre- and postoperative mouth openings in different modalities using ANOVA and various tests of significance.
Table 2. Comparison of pre- and postoperative mouth openings in different modalities using ANOVA and various tests of significance.
Cmtr 09 i4f284 i003
Table 3. Comparison of pre- and postoperative mouth openings in different modalities using ANOVA and various tests of significance.
Table 3. Comparison of pre- and postoperative mouth openings in different modalities using ANOVA and various tests of significance.
Cmtr 09 i4f284 i004

Share and Cite

MDPI and ACS Style

Bhardwaj, Y.; Arya, S. Post–Ankylotic Temporomandibular Joint Reconstruction Using Autogenous/Alloplastic Materials: Our Protocol and Treatment Outcomes in 22 Patients. Craniomaxillofac. Trauma Reconstr. 2016, 9, 284-293. https://doi.org/10.1055/s-0036-1584396

AMA Style

Bhardwaj Y, Arya S. Post–Ankylotic Temporomandibular Joint Reconstruction Using Autogenous/Alloplastic Materials: Our Protocol and Treatment Outcomes in 22 Patients. Craniomaxillofacial Trauma & Reconstruction. 2016; 9(4):284-293. https://doi.org/10.1055/s-0036-1584396

Chicago/Turabian Style

Bhardwaj, Yogesh, and Saurabh Arya. 2016. "Post–Ankylotic Temporomandibular Joint Reconstruction Using Autogenous/Alloplastic Materials: Our Protocol and Treatment Outcomes in 22 Patients" Craniomaxillofacial Trauma & Reconstruction 9, no. 4: 284-293. https://doi.org/10.1055/s-0036-1584396

APA Style

Bhardwaj, Y., & Arya, S. (2016). Post–Ankylotic Temporomandibular Joint Reconstruction Using Autogenous/Alloplastic Materials: Our Protocol and Treatment Outcomes in 22 Patients. Craniomaxillofacial Trauma & Reconstruction, 9(4), 284-293. https://doi.org/10.1055/s-0036-1584396

Article Metrics

Back to TopTop