Next Issue
Volume 10, February
Previous Issue
Volume 9, September
 
 
Craniomaxillofacial Trauma & Reconstruction is published by MDPI from Volume 18 Issue 1 (2025). Previous articles were published by another publisher in Open Access under a CC-BY (or CC-BY-NC-ND) licence, and they are hosted by MDPI on mdpi.com as a courtesy and upon agreement with Sage.
From the start of 2016, the journal uses article numbers instead of page numbers to identify articles. If you are required to add page numbers to a citation, you can do with using a colon in the format [article number]:1–[last page], e.g. 10:1–20.

Craniomaxillofac. Trauma Reconstr., Volume 9, Issue 4 (December 2016) – 14 articles

  • Issues are regarded as officially published after their release is announced to the table of contents alert mailing list.
  • You may sign up for e-mail alerts to receive table of contents of newly released issues.
  • PDF is the official format for papers published in both, html and pdf forms. To view the papers in pdf format, click on the "PDF Full-text" link, and use the free Adobe Reader to open them.
Order results
Result details
Select all
Export citation of selected articles as:
12 pages, 1122 KB  
Article
Percutaneous Tracheostomy and Percutaneous Angiography: The Diuturnity of Sven-Ivar Seldinger of Mora, Pasquale Ciaglia of Utica
by Richard A. Pollock
Craniomaxillofac. Trauma Reconstr. 2016, 9(4), 323-334; https://doi.org/10.1055/s-0036-1584526 - 12 Oct 2016
Abstract
In the latter part of the 20th century, three developments intersected: skin-to-artery catheterization, percutaneous tracheostomy, and market introduction of video-chip camera-tipped endoscopes. By the millennium, every vessel within the body could be visualized radiographically, and percutaneous tracheostomy (with tracheal-ring “dilation,” flawless high-resolution intratracheal [...] Read more.
In the latter part of the 20th century, three developments intersected: skin-to-artery catheterization, percutaneous tracheostomy, and market introduction of video-chip camera-tipped endoscopes. By the millennium, every vessel within the body could be visualized radiographically, and percutaneous tracheostomy (with tracheal-ring “dilation,” flawless high-resolution intratracheal video-imagery, and tracheal intubation) could consistently be achieved at the patient's bedside. Initiated through the skin and abetted by guide-wire insertion, these procedures are the lasting gifts of Sven-Ivar Seldinger (1921–1998) of Mora, Sweden, and Pasquale Ciaglia (1912–2000) of Utica, New York. Physicians and surgeons managing intracranial, craniofacial, and maxillofacial injury are among those honoring the Seldinger–Ciaglia “collaboration”. Full article
Show Figures

Figure 1

10 pages, 572 KB  
Article
Current Management of Zygomaticomaxillary Complex Fractures: A Multidisciplinary Survey and Literature Review
by Scott J. Farber, Dennis C. Nguyen, Gary B. Skolnick, Albert S. Woo and Kamlesh B. Patel
Craniomaxillofac. Trauma Reconstr. 2016, 9(4), 313-322; https://doi.org/10.1055/s-0036-1592093 - 16 Sep 2016
Cited by 54
Abstract
Despite the prevalence of zygomaticomaxillary complex (ZMC) fractures, there is no consensus regarding the best approach to management. The aim of this study is to determine differences in ZMC fracture treatment among various surgical specialties. A survey was conducted regarding treatment of patients [...] Read more.
Despite the prevalence of zygomaticomaxillary complex (ZMC) fractures, there is no consensus regarding the best approach to management. The aim of this study is to determine differences in ZMC fracture treatment among various surgical specialties. A survey was conducted regarding treatment of patients with different ZMC fractures that included a minimally displaced fracture (Case 1), a displaced fracture without diplopia (Case 2), a displaced fracture with diplopia (Case 3), and a complex comminuted fracture (Case 4). The survey was distributed to members of plastic surgery, oral maxillofacial surgery, and otolaryngology societies. The rates of surgical treatment, exploration of the orbital floor, and plating three or more buttresses were analyzed among the specialties. A total of 173 surgeons participated (46 plastic and reconstructive surgeons, 25 oral and maxillofacial surgeons, and 102 otolaryngologists). In Case 1, a significantly higher percentage of plastic surgeons recommend an operation (p < 0.01) compared with other specialties. More than 90% of surgeons would perform an operation on Case 2. Plastic surgeons explored the orbital floor (p < 0.01) and also fixated three or more buttresses more frequently (p < 0.01). More than 93% of surgeons would operate on Case 3, with plastic surgeons having the greatest proportion who fixed three or more buttresses (p < 0.01). In Case 4, there was no difference in treatment patterns between specialties. Across the specialties, more fixation was placed by surgeons with fewer years in practice (<10 years). Conclusion There is no consensus on standard treatment of ZMC fractures, as made evident by the survey. Significant variability in fracture type warrants an individualized approach to management. A thorough review on ZMC fracture management is provided. Full article
Show Figures

Figure 1

8 pages, 516 KB  
Article
Immediate Reconstruction of Large Full-Thickness Segmental Anterior Maxillary Defect with Bone Transport
by Alberto Rocha Pereira, Nuno Montezuma, Luis Oliveira, Miguel Magalhães and José Rosa
Craniomaxillofac. Trauma Reconstr. 2016, 9(4), 305-312; https://doi.org/10.1055/s-0036-1592094 - 15 Sep 2016
Cited by 5
Abstract
Maxillary segmental defects are a reconstructive challenge particularly when the anterior arch is involved. Missing bone, mucosa, and teeth should be replaced; fistulae closure should be guaranteed by bone and mucosa continuity; stable functional occlusion should be achieved; and facial aesthetics restored. These [...] Read more.
Maxillary segmental defects are a reconstructive challenge particularly when the anterior arch is involved. Missing bone, mucosa, and teeth should be replaced; fistulae closure should be guaranteed by bone and mucosa continuity; stable functional occlusion should be achieved; and facial aesthetics restored. These defects resulting from tumor excisions, if left untreated, will cause additional problems related to interposed scar and collapse of lip and nose. Immediate reconstruction should avoid these problems and should be considered when safe tumor-free margins are obtained. This study describes the treatment of such a defect resulting from a myxoma excision, with trifocal distraction requiring only one additional surgery. Internal distractors were fixed bilaterally for transport of two segmental discs created by inverted L osteotomies at the same surgical time of tumor excision. A second surgery was performed after central contact between transport discs was achieved, for device removal and creation of a dynamic system to regenerate molding and compression-focus development. This was accomplished by internal fixation of one side and central fixation of a full-open distractor to act as compression device when reversely activated. Central perfect adaptation between transported segments and good-quality attached mucosa lining the alveolar crest were determinant to obtain a stable functional and aesthetic result. Full article
Show Figures

Figure 1

6 pages, 170 KB  
Article
Surgical Treatment of Orbital Blowout Fractures: Complications and Postoperative Care Patterns
by Matthew Shew, Michael P. Carlisle, Guanning Nina Lu, Clinton Humphrey and J. David Kriet
Craniomaxillofac. Trauma Reconstr. 2016, 9(4), 299-304; https://doi.org/10.1055/s-0036-1584892 - 29 Aug 2016
Cited by 23 | Viewed by 45
Abstract
Orbital fractures are a common result of facial trauma. Sequelae and indications for repair include enophthalmos and/or diplopia from extraocular muscle entrapment. Alloplastic implant placement with careful release of periorbital fat and extraocular muscles can effectively restore extraocular movements, orbital integrity, and anatomic [...] Read more.
Orbital fractures are a common result of facial trauma. Sequelae and indications for repair include enophthalmos and/or diplopia from extraocular muscle entrapment. Alloplastic implant placement with careful release of periorbital fat and extraocular muscles can effectively restore extraocular movements, orbital integrity, and anatomic volume. However, rare but devastating complications such as retrobulbar hematoma (RBH) can occur after repair, which pose a risk of permanent vision loss if not addressed emergently. For this reason, some surgeons take the precaution of admitting patients for 24-hour postoperative vision checks, while others do not. The incidence of postoperative RBH has not been previously reported and existing data are limited to case reports. Our aim was to examine national trends in postoperative management and to report the incidence of immediate postoperative complications at our institution following orbital repair. A retrospective assessment of orbital blowout fractures was undertaken to assess immediate postoperative complications including RBH. Only patients treated by a senior surgeon in the Department of Otolaryngology were included in the review. In addition, we surveyed AO North America (AONA) Craniomaxillofacial faculty to assess current trends in postoperative management. There were 80 patients treated surgically for orbital blowout fractures over a 9.5-year period. Nearly all patients were observed overnight (74%) or longer (25%) due to other trauma. Average length of stay was 17 hours for those observed overnight. There was one (1.3%) patient with RBH, who was treated and recovered without sequelae. Results of the survey indicated that a majority (64%) of responders observe postoperative patients overnight. Twenty-nine percent of responders indicated that they send patients home the same day of surgery. Performance of more than 20 orbital repairs annually significantly increased the likelihood that faculty would manage patients on an outpatient basis postoperatively (p = 0.04). For orbital blowout fractures, the number of immediate postoperative complications at our institution is low. In addition, North American trends in postoperative management of orbital blowout fractures may suggest that selected patients can be managed on an outpatient basis, which would have a positive effect on conservation of diminishing healthcare resources. Full article
Show Figures

Figure 1

2 pages, 155 KB  
Article
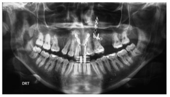
A Modified Technique for Placing Prebent Plates During a Le Fort I Osteotomy: A Technical Note
by Marwa Ragaey and Joseph Van Sickels
Craniomaxillofac. Trauma Reconstr. 2016, 9(4), 297-298; https://doi.org/10.1055/s-0036-1592092 - 23 Aug 2016
Abstract
Prebent plates have gained popularity in recent years as a fixation appliance for large maxillary advancements. They are larger than standard plates used for maxillary procedures and appear to give greater stability. Due to their size and configuration, they have the potential to [...] Read more.
Prebent plates have gained popularity in recent years as a fixation appliance for large maxillary advancements. They are larger than standard plates used for maxillary procedures and appear to give greater stability. Due to their size and configuration, they have the potential to be more palpable than standard plates, possibly causing discomfort following placement. With a simple “box” osteotomy of the maxilla at the site of placement and a minor modification of the plate, the plate is less palpable and better tolerated by the patient. Full article
Show Figures

Figure 1

3 pages, 158 KB  
Article
Variant Anatomy of the Nasal and Labial Branches of the Infraorbital Nerve
by Joseph Munyiri Nderitu, Fawzia Butt and Hassan Saidi
Craniomaxillofac. Trauma Reconstr. 2016, 9(4), 294-296; https://doi.org/10.1055/s-0036-1584404 - 22 Aug 2016
Cited by 8
Abstract
Comprehensive understanding of the variations in the branches of the infraorbital nerve (ION) is vital to the prevention of iatrogenic nerve injury and successful ION blockade during orbitozygomatic facial procedures. Only a few studies exist on the variant anatomy of the branching patterns [...] Read more.
Comprehensive understanding of the variations in the branches of the infraorbital nerve (ION) is vital to the prevention of iatrogenic nerve injury and successful ION blockade during orbitozygomatic facial procedures. Only a few studies exist on the variant anatomy of the branching patterns of this nerve. This article provides a detailed description of the variations of the nasal and superior labial branches of the ION. This study was performed on 84 IONs by dissecting 42 formalin-fixed cadavers from the Laboratory of Topographic Anatomy, Department of Human Anatomy, University of Nairobi. The branches were exposed at their origin and followed to their termination. The findings included variant emergence patterns, anomalous course, and absence as well as extra branches. It was noted that the external nasal nerve was absent in 34.53% cases. There were common trunks between the internal and external nasal nerves and cases of communication between branches of these nerves were also noted. Accessory superior labial nerves were present in 9.52% of the nerves. This detailed study reveals additional variations in the emergence and branching pattern of the ION. Caution is imperative during orbitozygomatic facial surgery to prevent injury to these branches. These variations also underlie the lack of response to surgical treatment for trigeminal neuralgia and also the need for a filtration to achieve full anesthesia after ION block. In addition, the extra branches identified raise the prospects of using these nerves for grafting purposes if their precise patterns are determined. Full article
Show Figures

Figure 1

10 pages, 461 KB  
Article
Post–Ankylotic Temporomandibular Joint Reconstruction Using Autogenous/Alloplastic Materials: Our Protocol and Treatment Outcomes in 22 Patients
by Yogesh Bhardwaj and Saurabh Arya
Craniomaxillofac. Trauma Reconstr. 2016, 9(4), 284-293; https://doi.org/10.1055/s-0036-1584396 - 18 Jul 2016
Cited by 12
Abstract
The purpose of this study was to evaluate the various options of autogenous and alloplastic reconstruction modalities available for posttraumatic temporomandibular joint (TMJ) ankylosis. In a retrospective study of 22 patients, various autogenous/alloplastic materials were used based on type and severity of ankylosis [...] Read more.
The purpose of this study was to evaluate the various options of autogenous and alloplastic reconstruction modalities available for posttraumatic temporomandibular joint (TMJ) ankylosis. In a retrospective study of 22 patients, various autogenous/alloplastic materials were used based on type and severity of ankylosis and age of patient. Final outcome of reconstruction was critically evaluated in terms of maximal mouth opening, occlusion, and facial symmetry. Fourteen patients (63.63%) developed TMJ ankylosis due to road traffic accidents and eight patients (36.36%) had a history of fall. The mean age was 15.61 years. The mean preoperative maximum interincisal mouth opening (MIMO) for the entire series was 3.39 mm ± 2.16 and postoperative MIMO was 43.69 mm ± 2.63. Costochondral grafts were used in seven children, whereas titanium reconstruction plate with condylar head was used in five adults and interpositional arthroplasties using temporalis muscle, temporalis fascia, and relocation of the articular disc were used in the rest of the ten patients. We conclude that all these age-specific treatment modalities yield clinically comparable results in terms of postoperative mouth opening and facial symmetry with no evidence of reankylosis in a follow-up ranging from 24 to 96 months. Full article
Show Figures

Figure 1

7 pages, 485 KB  
Review
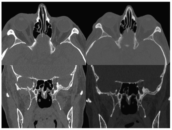
Superior Orbital Fissure Syndrome in Lateral Orbital Wall Fracture: Management and Classification Update
by Claudio Caldarelli, Rodolfo Benech and Caterina Iaquinta
Craniomaxillofac. Trauma Reconstr. 2016, 9(4), 277-283; https://doi.org/10.1055/s-0036-1584392 - 22 Jun 2016
Cited by 13
Abstract
The superior orbital fissure syndrome (SOFS) is an uncommon complication rarely occurring in association with craniofacial trauma. Work-up of a patient injured by a traumatic right orbitozygomatic complex fracture and SOFS is presented. Accurate computed tomography scan and three-dimensional reconstruction showed a medial [...] Read more.
The superior orbital fissure syndrome (SOFS) is an uncommon complication rarely occurring in association with craniofacial trauma. Work-up of a patient injured by a traumatic right orbitozygomatic complex fracture and SOFS is presented. Accurate computed tomography scan and three-dimensional reconstruction showed a medial displacement of the lateral orbital wall, compressing the right superior orbital fissure (SOF), without intraorbital bone fragment displacement or hemorrhage. Imaging also revealed a frontosphenotemporal fracture, according to Pellerin et al, that is, frequently associated with visual impairment. Our primary choice of therapy was a corticosteroid treatment in association with an early surgical approach. It consisted in en bloc reduction and osteosynthesis of the fracture through a bicoronal approach, recovering SOF size. A prompt and almost complete recovery of the abducens movement, without diplopia, was achieved in 1 week. The authors discuss indications and management of SOFS. The presence of fractures should urgently lead to surgery. We deny waiting for a medical treatment result, while preferring the prompt reduction of the fractures and extrication of the soft tissues. The main focus of this study is on patient's anatomical feature and fracture patterns. Full article
Show Figures

Figure 1

6 pages, 321 KB  
Case Report
Transoral Segmental Resection and Disarticulation of Mandible with Immediate Nonvascularized Reconstruction: A Case Report
by Hemant Gupta, Deepak Singh, Sumit Gupta, Hemant Mehra, Jasmeet Singh and Ravish Mishra
Craniomaxillofac. Trauma Reconstr. 2016, 9(4), 349-354; https://doi.org/10.1055/s-0036-1582456 - 26 Apr 2016
Cited by 2
Abstract
Disarticulation resections are required for treatment of variety of pathologies of the jaws. These resections are mostly carried out through extraoral approach, which bear significant postoperative morbidity. The transoral approach may be used for this purpose in benign pathological cases of the mandible [...] Read more.
Disarticulation resections are required for treatment of variety of pathologies of the jaws. These resections are mostly carried out through extraoral approach, which bear significant postoperative morbidity. The transoral approach may be used for this purpose in benign pathological cases of the mandible to limit the postoperative morbidity of extraoral approach, as it provides sufficient access not only for resection and disarticulation but also for immediate reconstruction. This article shares our experience with transoral approach for resection and disarticulation in a case of kerato cystic odontogenic tumor and simultaneous reconstruction. Excellent cosmetic and functional results were observed in 6-month follow-up. Full article
Show Figures

Figure 1

4 pages, 248 KB  
Case Report
Large Sublingual Dermoid Cyst: A Case of Mandibular Prognathism
by Pablo Berbel, Alejandro Ostrosky and Franco Tosti
Craniomaxillofac. Trauma Reconstr. 2016, 9(4), 345-348; https://doi.org/10.1055/s-0036-1581062 - 21 Apr 2016
Cited by 8
Abstract
Dermoid cysts are unusual neoplasms and can occur in every part of the human body. They represent only 6.9% of all dermoid cysts in the head and neck region; in the oral cavity, the incidence is low, approximately 1.6% of all dermoid cysts. [...] Read more.
Dermoid cysts are unusual neoplasms and can occur in every part of the human body. They represent only 6.9% of all dermoid cysts in the head and neck region; in the oral cavity, the incidence is low, approximately 1.6% of all dermoid cysts. Our aim is to present an unusual case of a large sublingual dermoid cyst with mandibular prognathism caused by cyst growth. We reported a case of a large sublingual dermoid cyst in an 8-year-old female patient. A bibliographic research from 1937 to 2013 is reviewed and we found only three cases of mandibular deformity, of which only one was a dermoid cyst of the floor of the mouth. Removal of dermoid cysts of the floor of the mouth should be completed as early as detected, especially in newborns and infants when osseous growth abnormalities could result if removal is delayed. Full article
Show Figures

Figure 1

3 pages, 174 KB  
Case Report
Maxillary Sinus Mucocele as a Late Complication in Zygomatic-Orbital Complex Fracture
by Juliana Dreyer da Silva de Menezes, Lucas Borin Moura, Valfrido Antonio Pereira-Filho and Eduardo Hochuli-Vieira
Craniomaxillofac. Trauma Reconstr. 2016, 9(4), 342-344; https://doi.org/10.1055/s-0036-1582453 - 21 Apr 2016
Cited by 7
Abstract
This article presents an unusual case of maxillary sinus mucocele as a late complication of zygomatic-orbital complex fracture, 23 years after the initial treatment. The patient was referring diplopia and decreased visual acuity with signs of dystopia, proptosis, and epiphora. Computed tomographic scan [...] Read more.
This article presents an unusual case of maxillary sinus mucocele as a late complication of zygomatic-orbital complex fracture, 23 years after the initial treatment. The patient was referring diplopia and decreased visual acuity with signs of dystopia, proptosis, and epiphora. Computed tomographic scan revealed an expansive lesion in the maxillary sinus with surrounding bone erosion and displacement of the eyeball. Treatment option was excisional biopsy and orbital floor reconstruction with titanium mesh restoring the appropriate orbital position. We propose that in the case of postoperative ophthalmological sequelae of facial fractures involving paranasal sinuses, mucocele should be considered in the differential diagnosis. Full article
Show Figures

Figure 1

4 pages, 127 KB  
Case Report
Extensive Cervicomediastinal Emphysema from Mastoid Injury
by Yasmina Ahmed and Matthew Ng
Craniomaxillofac. Trauma Reconstr. 2016, 9(4), 338-341; https://doi.org/10.1055/s-0036-1582460 - 19 Apr 2016
Cited by 4
Abstract
Traumatic cervicomediastinal emphysema resulting from isolated head trauma is a rare occurrence. Herein, we describe a patient who sustained a closed mastoid injury after being struck with a batted baseball, resulting in acute extensive cervicomediastinal emphysema. Upon further assessment, the patient's aerodigestive tract [...] Read more.
Traumatic cervicomediastinal emphysema resulting from isolated head trauma is a rare occurrence. Herein, we describe a patient who sustained a closed mastoid injury after being struck with a batted baseball, resulting in acute extensive cervicomediastinal emphysema. Upon further assessment, the patient's aerodigestive tract was determined to have remained intact and unaffected by the injury. The source of soft-tissue air originated from the fractured mastoid. This case demonstrates the protective properties of a well-pneumatized mastoid. Furthermore, we elucidate the pathway by which the mastoid air entered and spread into the surrounding soft tissues of the neck and into the chest. Full article
Show Figures

Figure 1

3 pages, 140 KB  
Case Report
Partially Thrombosed Internal Maxillary Pseudoaneurysm After Gunshot Wound
by Menachem Gold
Craniomaxillofac. Trauma Reconstr. 2016, 9(4), 335-337; https://doi.org/10.1055/s-0036-1582454 - 19 Apr 2016
Cited by 3
Abstract
A 29-year-old man arrived in our emergency department after being shot on the face. Computed tomography (CT) revealed multiple facial bone fractures along the bullet trajectory. On day 10 of admission, CT angiogram of the neck revealed a partially thrombosed pseudoaneurysm in the [...] Read more.
A 29-year-old man arrived in our emergency department after being shot on the face. Computed tomography (CT) revealed multiple facial bone fractures along the bullet trajectory. On day 10 of admission, CT angiogram of the neck revealed a partially thrombosed pseudoaneurysm in the parapharyngeal fat pad. The pseudoaneurysm was successfully treated with coil embolization. This report discusses diagnosis and treatment of a partially thrombosed internal maxillary artery pseudoaneurysm. Although digital subtraction angiography is the gold standard for pseudoaneurysm diagnosis, CT angiography may provide complimentary information, as seen in this case. Full article
Show Figures

Figure 1

6 pages, 407 KB  
Case Report
Two-Stage Cranioplasty: Tissue Expansion Directly over the Craniectomy Defect Prior to Cranioplasty
by Ellianne Jacira dos Santos Rubio, Eelke M. Bos, Ruben Dammers, Maarten J. Koudstaal and Anton G. Dumans
Craniomaxillofac. Trauma Reconstr. 2016, 9(4), 355-360; https://doi.org/10.1055/s-0035-1549011 - 30 Mar 2015
Cited by 10
Abstract
Performing a skull reconstruction for a long-term existing large cranium defect usually needs either skin enhancement or skin flaps and cranioplasty. This procedure can be accompanied with aesthetic and functional complications. The presented case describes a 27-year-old man in need of a cranial [...] Read more.
Performing a skull reconstruction for a long-term existing large cranium defect usually needs either skin enhancement or skin flaps and cranioplasty. This procedure can be accompanied with aesthetic and functional complications. The presented case describes a 27-year-old man in need of a cranial reconstruction following decompressive craniectomy as treatment for severe traumatic brain injury. Autologous cranioplasty after decompressive craniectomy failed due to bone flap infection. Because of cognitive behavioral problems, a protective helmet needed to be worn in awaiting cranioplasty. The final titanium cranioplasty was placed subsequent to scalp expansion. The expansion was realized by placing a temporary and custom-made polymethylmethacrylate (PMMA) plate over the defect with a tissue expander on top of it, using the existing scar and skull defect. Our reported technique avoids additional skin flap creation and accompanied complications such as additional scalp and bone damage. In cognitive damaged patients who need to wear a helmet constantly, this simple method provides, concurrently, protection of the brain and tissue expansion. We demonstrate a successful novel technical manner to provide scalp enhancement by positioning a temporary PMMA graft over the skull defect and placing the tissue expander on top of it. Full article
Show Figures

Figure 1

Previous Issue
Next Issue
Back to TopTop