Unusual Superolateral Dislocation of Mandibular Condyle
Abstract
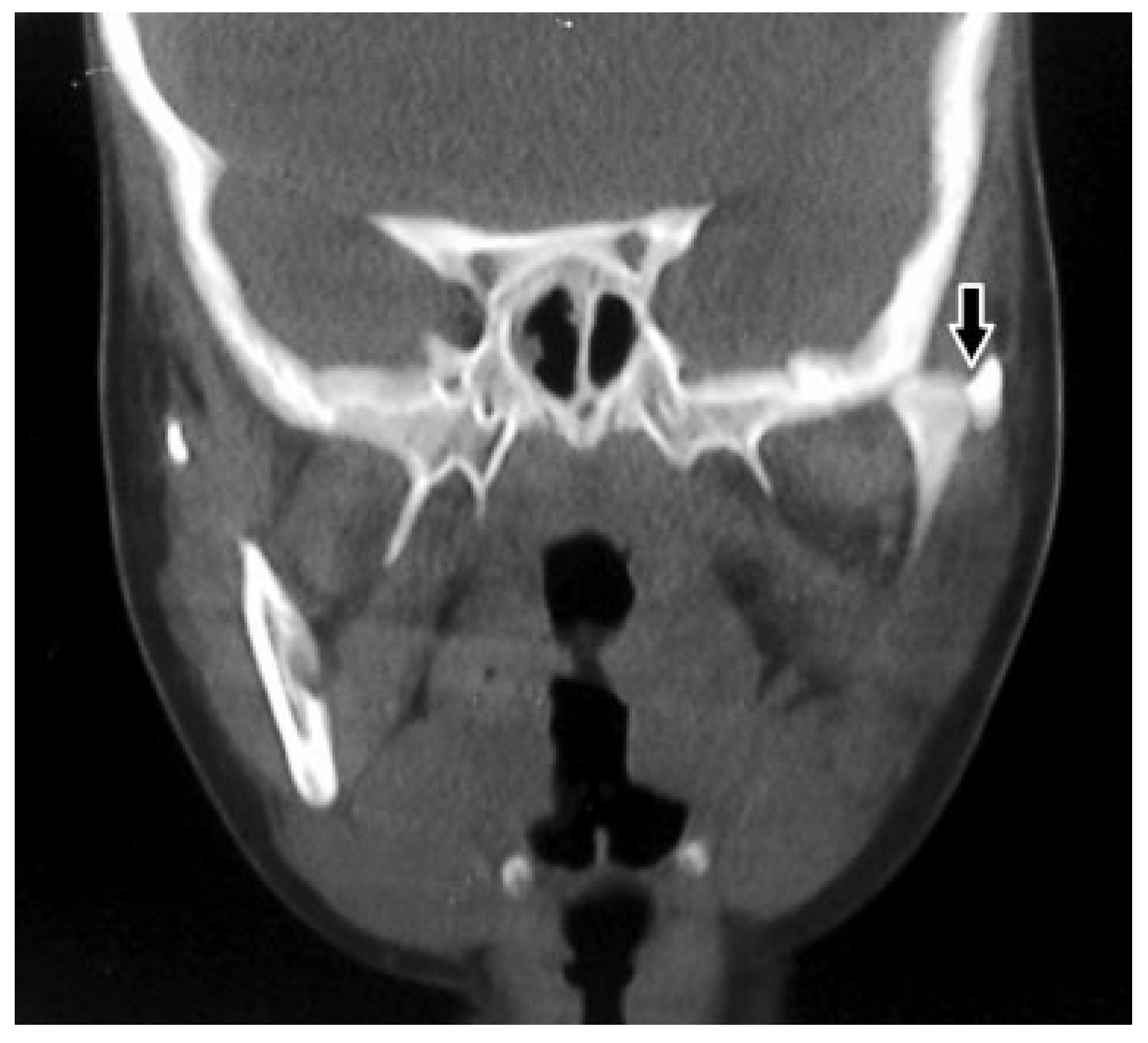
Case Report
![]() |
Discussion


References
- Bu, S.S.; Jin, S.L.; Yin, L. Superolateral dislocation of the intact mandibular condyle into the temporal fossa: Review of the literature and report of a case. Oral Surg Oral Med Oral Pathol Oral Radiol Endod 2007, 103, 185–189. [Google Scholar] [PubMed]
- Li, Z.; Li, Z.B.; Shang, Z.J.; Wu, Z.X. An unusual type of superolateral dislocation of mandibular condyle: Discussion of the causative mechanisms and clinical characteristics. J Oral Maxillofac Surg 2009, 67, 431–435. [Google Scholar] [PubMed]
- Hegde, S.; Kamath, V.V.; Deepa, M.; Priya, A. Superolateral dislocation of the mandibular condyle not associated with fracture: A case report. J Maxillofac Oral Surg 2010, 9, 424–427. [Google Scholar] [PubMed]
- Papadopoulos, H.; Edwards, R.S. Superolateral dislocation of the condyle: Report of a rare case. Int J Oral Maxillofac Surg 2010, 39, 508–510. [Google Scholar] [CrossRef] [PubMed]
- Prabhakar, V.; Singla, S. Bilateral anterosuperior dislocation of intact mandibular condyles in the temporal fossa. Int J Oral Maxillofac Surg 2011, 40, 640–643. [Google Scholar] [PubMed]
- Singh, V.; Gupta, P.; Khatana, S.; Bhagol, A. Superolateral dislocation of bilateral intact condyles-an unusual presentation: Report of a case and review of literature. Craniomaxillofac Trauma Reconstr 2013, 6, 205–210. [Google Scholar] [CrossRef] [PubMed]
- Rahman, T.; Hashmi, G.S.; Ansari, M.K. Traumatic superolateral dislocation of the mandibular condyle: Case report and review. Br J Oral Maxillofac Surg 2016, 54, 457–459. [Google Scholar] [PubMed]
- Allen, F.J.; Young, A.H. Lateral displacement of the intact mandibular condyle. A report of five cases. Br J Oral Surg 1969, 7, 24–30. [Google Scholar] [CrossRef] [PubMed]
- Satoh, K.; Suzuki, H.; Matsuzaki, S. A type II lateral dislocation of bilateral intact mandibular condyles with a proposed new classification. Plast Reconstr Surg 1994, 93, 598–602. [Google Scholar] [PubMed]
- Worthington, P. Dislocation of the mandibular condyle into the temporal fossa. J Maxillofac Surg 1982, 10, 24–27. [Google Scholar] [CrossRef] [PubMed]
- Kallal, R.H.; Gans, B.J.; Lagrotteria, L.B. Cranial dislocation of mandibular condyle. Oral Surg Oral Med Oral Pathol 1977, 43, 2–10. [Google Scholar] [CrossRef] [PubMed]
© 2017 by the author. The Author(s) 2017.
Share and Cite
Rahman, T. Unusual Superolateral Dislocation of Mandibular Condyle. Craniomaxillofac. Trauma Reconstr. 2018, 11, 142-144. https://doi.org/10.1055/s-0037-1601433
Rahman T. Unusual Superolateral Dislocation of Mandibular Condyle. Craniomaxillofacial Trauma & Reconstruction. 2018; 11(2):142-144. https://doi.org/10.1055/s-0037-1601433
Chicago/Turabian StyleRahman, Tabishur. 2018. "Unusual Superolateral Dislocation of Mandibular Condyle" Craniomaxillofacial Trauma & Reconstruction 11, no. 2: 142-144. https://doi.org/10.1055/s-0037-1601433
APA StyleRahman, T. (2018). Unusual Superolateral Dislocation of Mandibular Condyle. Craniomaxillofacial Trauma & Reconstruction, 11(2), 142-144. https://doi.org/10.1055/s-0037-1601433
