A Longitudinal Multimodal Imaging Study in Patients with Temporo-Insular Diffuse Low-Grade Tumors: How the Inferior Fronto-Occipital Fasciculus Provides Information on Cognitive Outcomes
Abstract
1. Introduction
2. Materials and Methods
2.1. Study Population
- DLGG in the temporo-insular left dominant hemisphere;
- Age ≥ 18 years;
- No previous surgery;
- No pre-operative chemo- or radiotherapy;
- Availability of pre-operative 3-Tesla MRI, including DTI;
- Revision of histopathological specimens by using the 2021 [14] WHO Classification of Tumors of the Central Nervous System;
- Intra-operative multimodal surgical protocol based on awake surgery, brain mapping, neurophysiological monitoring, and intra-operative real-time neuropsychological testing;
- Pre- and post-operative neuropsychological evaluation at one week and four months of follow-up;
- Needle biopsies were excluded from the study.
2.2. MRI Data Acquisition
2.3. MRI Structural Data Analyses
2.4. Fiber-Tracking Method
2.5. Quantitative and Qualitative Analysis
2.6. Neuropsychological Evaluation
2.7. Intra-Operative Surgical Protocol
2.8. Histological and Molecular Analysis
2.9. Statistical Analyses
3. Results
3.1. Clinical Results
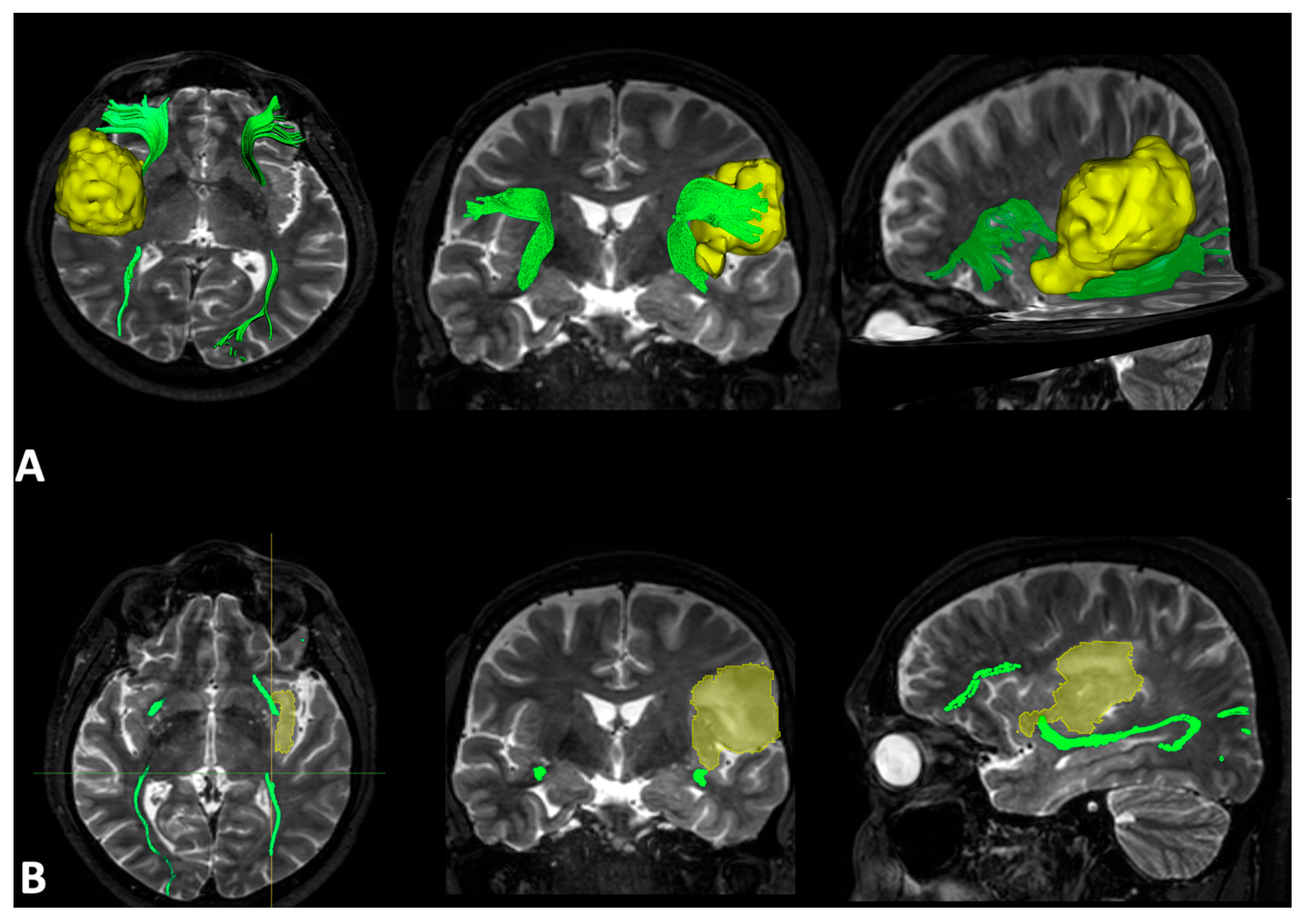
3.2. MRI Structural Data Analysis
3.3. Neuropsychological Data
3.4. DTI Quantitative and Qualitative Analysis
3.5. Association Between Neuropsychological Altered Performance and Microstructure Analysis
3.5.1. Immediate Post-Surgery Data
3.5.2. Follow-Up Data
3.5.3. Predictive Analyses Based on Number of Streamlines on the Immediately Post-Surgical Cognitive Data
4. Discussion
4.1. Longitudinal Cognitive Assessment
4.2. Microstructural Status of the Left and Right IFOF
4.3. DTI Tractography as a Predictive Tool
4.4. Clinical Value
4.5. Lexico-Semantic Processing Is Supported by the IFOF
4.6. Limits of the Study
5. Conclusions
Author Contributions
Funding
Institutional Review Board Statement
Informed Consent Statement
Data Availability Statement
Conflicts of Interest
References
- Jones, C.L.; Ward, J.; Critchley, H.D. The neuropsychological impact of insular cortex lesions. J. Neurol. Neurosurg. Psychiatry 2010, 81, 611–618. [Google Scholar] [CrossRef] [PubMed]
- Duffau, H. The huge plastic potential of adult brain and the role of connectomics: New insights provided by serial mappings in glioma surgery. Cortex 2014, 58, 325–337. [Google Scholar] [CrossRef] [PubMed]
- Skrap, M.; Mondani, M.; Tomasino, B.; Weis, L.; Budai, R.; Pauletto, G.; Eleopra, R.; Fadiga, L.; Ius, T. Surgery of insular nonenhancing gliomas: Volumetric analysis of tumoral resection, clinical outcome, and survival in a consecutive series of 66 cases. Neurosurgery 2012, 70, 1081–1093; discussion 1093–1094. [Google Scholar] [CrossRef] [PubMed]
- Martino, J.; Mato, D.; de Lucas, E.M.; García-Porrero, J.A.; Gabarrós, A.; Fernández-Coello, A.; Vázquez-Barquero, A. Subcortical anatomy as an anatomical and functional landmark in insulo-opercular gliomas: Implications for surgical approach to the insular region. J. Neurosurg. 2015, 123, 1081–1092. [Google Scholar] [CrossRef] [PubMed]
- Mato, D.; Velasquez, C.; Gómez, E.; Marco de Lucas, E.; Martino, J. Predicting the Extent of Resection in Low-Grade Glioma by Using Intratumoral Tractography to Detect Eloquent Fascicles Within the Tumor. Neurosurgery 2021, 88, E190–E202. [Google Scholar] [CrossRef]
- Hervey-Jumper, S.L.; Berger, M.S. Maximizing safe resection of low- and high-grade glioma. J. Neurooncol. 2016, 130, 269–282. [Google Scholar] [CrossRef]
- Tuncer, M.S.; Salvati, L.F.; Grittner, U.; Hardt, J.; Schilling, R.; Bährend, I.; Silva, L.L.; Fekonja, L.S.; Faust, K.; Vajkoczy, P.; et al. Towards a tractography-based risk stratification model for language area associated gliomas. Neuroimage Clin. 2021, 29, 102541. [Google Scholar] [CrossRef]
- Jayasekera, D.; Zhang, J.K.; Blum, J.; Jakes, R.; Sun, P.; Javeed, S.; Greenberg, J.K.; Song, S.K.; Ray, W.Z. Analysis of combined clinical and diffusion basis spectrum imaging metrics to predict the outcome of chronic cervical spondylotic myelopathy following cervical decompression surgery. J. Neurosurg. Spine 2022, 37, 588–598. [Google Scholar] [CrossRef]
- Ius, T.; Somma, T.; Baiano, C.; Guarracino, I.; Pauletto, G.; Nilo, A.; Maieron, M.; Palese, F.; Skrap, M.; Tomasino, B. Risk Assessment by Pre-surgical Tractography in Left Hemisphere Low-Grade Gliomas. Front. Neurol. 2021, 12, 648432. [Google Scholar] [CrossRef]
- Ius, T.; Turella, L.; Pauletto, G.; Isola, M.; Maieron, M.; Sciacca, G.; Budai, R.; D’Agostini, S.; Eleopra, R.; Skrap, M. Quantitative Diffusion Tensor Imaging Analysis of Low-Grade Gliomas: From Preclinical Application to Patient Care. World Neurosurg. 2017, 97, 333–343. [Google Scholar] [CrossRef]
- Miloushev, V.Z.; Chow, D.S.; Filippi, C.G. Meta-analysis of diffusion metrics for the prediction of tumor grade in gliomas. AJNR Am. J. Neuroradiol. 2015, 36, 302–308. [Google Scholar] [CrossRef] [PubMed]
- Kinoshita, M.; Nakada, M.; Okita, H.; Hamada, J.I.; Hayashi, Y. Predictive value of fractional anisotropy of the arcuate fasciculus for the functional recovery of language after brain tumor resection: A preliminary study. Clin. Neurol. Neurosurg. 2014, 117, 45–50. [Google Scholar] [CrossRef] [PubMed]
- Basser, P.J.; Pierpaoli, C. Microstructural and physiological features of tissues elucidated by quantitative-diffusion-tensor MRI. J. Magn. Reason. Ser. B 1996, 111, 209–219. [Google Scholar] [CrossRef] [PubMed]
- Louis, D.N.; Perry, A.; Wesseling, P.; Brat, D.J.; Cree, I.A.; Figarella-Branger, D.; Hawkins, C.; Ng, H.K.; Pfister, S.M.; Reifenberger, G.; et al. The 2021 WHO Classification of Tumors of the Central Nervous System: A summary. Neuro Oncol. 2021, 23, 1231–1251. [Google Scholar] [CrossRef]
- Dell’acqua, F.; Rizzo, G.; Scifo, P.; Clarke, R.; Scotti, G.; Cerutti, S.; Fazio, F. A Deconvolution Approach Based on Multi-Tensor Model to Solve Fiber Crossing in Diffusion-MRI. Conf. Proc. IEEE Eng. Med. Biol. Soc. 2005, 2005, 1415–1418. [Google Scholar] [CrossRef]
- Mori, S.; Crain, B.J.; Chacko, V.P.; van Zijl, P.C. Three-dimensional tracking of axonal projections in the brain by magnetic resonance imaging. Ann. Neurol. 1999, 45, 265–269. [Google Scholar] [CrossRef]
- Wang, R.; Benner, T.; Sorensen, A.G.; Wedeen, V.J. Diffusion Toolkit: A Software Package for Diffusion Imaging Data Processing and Tractography. Proc. Intl. Soc. Mag. Reason. Med. 2007, 15, 3720. [Google Scholar]
- Basso, A.; Capitani, E.; Laiacona, M. Raven’s coloured progressive matrices: Normative values on 305 adult normal controls. Funct. Neurol. 1987, 2, 189–194. [Google Scholar]
- Monaco, M.; Costa, A.; Caltagirone, C.; Carlesimo, G.A. Forward and backward span for verbal and visuo-spatial data: Standardization and normative data from an Italian adult population. Neurol. Sci. 2013, 34, 749–754, Erratum in Neurol Sci. 2015, 36, 345–347. [Google Scholar] [CrossRef]
- Novelli, G.; Papagno, C.; Capitani, E.; Laiacona, M.; Vallar, G.; Cappa, S.F. Tre test clinici di ricerca e produzione lessicale.Taratura su soggetti normali. Arch. Psicol. Neurol. Psichiatr. 1996, 47, 477–505. [Google Scholar]
- De Renzi, E.; Motti, F.; Nichelli, P. Imitating gestures. A quantitative approach to ideomotor apraxia. Arch. Neurol. 1980, 37, 6–10. [Google Scholar] [CrossRef] [PubMed]
- De Renzi, E.; Piezcuro, A.; Vignolo, L.A. Oral Apraxia and Aphasia. Cortex 1966, 2, 50–73. [Google Scholar] [CrossRef]
- Miceli, G.; Laudanna, A.; Burani, C.; Capasso, R. Batteria Per L’analisi Dei Deficit Afasici: BADA BADA: A Battery for the Assessment of Aphasic Disorders; CEPSAG: Roma, Italy, 1994. [Google Scholar]
- Gamboz, N.; Coluccia, E.; Iavarone, A.; Brandimonte, M.A. Normative data for the Pyramids and Palm Trees Test in the elderly Italian population. Neurol. Sci. 2009, 30, 453–458. [Google Scholar] [CrossRef]
- De Renzi, E.; Faglioni, P. Normative data and screening power of a shortened version of the Token Test. Cortex 1978, 14, 41–49. [Google Scholar] [CrossRef]
- Skrap, M.; Marin, D.; Ius, T.; Fabbro, F.; Tomasino, B. Brain mapping: A novel intraoperative neuropsychological approach. J. Neurosurg. 2016, 125, 877–887. [Google Scholar] [CrossRef]
- Hua, K.; Zhang, J.; Wakana, S.; Jiang, H.; Li, X.; Reich, D.S.; Calabresi, P.A.; Pekar, J.J.; van Zijl, P.C.; Mori, S. Tract probability maps in stereotaxic spaces: Analyses of white matter anatomy and tract-specific quantification. Neuroimage 2008, 39, 336–347. [Google Scholar] [CrossRef]
- Raffa, G.; Conti, A.; Scibilia, A.; Sindorio, C.; Quattropani, M.C.; Visocchi, M.; Germanò, A.; Tomasello, F. Functional Reconstruction of Motor and Language Pathways Based on Navigated Transcranial Magnetic Stimulation and DTI Fiber Tracking for the Preoperative Planning of Low Grade Glioma Surgery: A New Tool for Preservation and Restoration of Eloquent Networks. Acta Neurochir. Suppl. 2017, 124, 251–261. [Google Scholar] [CrossRef]
- Castellano, A.; Bello, L.; Michelozzi, C.; Gallucci, M.; Fava, E.; Iadanza, A.; Riva, M.; Casaceli, G.; Falini, A. Role of diffusion tensor magnetic resonance tractography in predicting the extent of resection in glioma surgery. Neuro Oncol. 2012, 14, 192–202. [Google Scholar] [CrossRef]
- Jellison, B.J.; Field, A.S.; Medow, J.; Lazar, M.; Salamat, M.S.; Alexander, A.L. Diffusion tensor imaging of cerebral white matter: A pictorial review of physics, fiber tract anatomy, and tumor imaging patterns. AJNR Am. J. Neuroradiol. 2004, 25, 356–369. [Google Scholar]
- Lee, H.Y.; Na, D.G.; Song, I.C.; Lee, D.H.; Seo, H.S.; Kim, J.H.; Chang, K.H. Diffusion-tensor imaging for glioma grading at 3-T magnetic resonance imaging: Analysis of fractional anisotropy and mean diffusivity. J. Comput. Assist. Tomogr. 2008, 32, 298–303. [Google Scholar] [CrossRef]
- Caverzasi, E.; Hervey-Jumper, S.L.; Jordan, K.M.; Lobach, I.V.; Li, J.; Panara, V.; Racine, C.A.; Sankaranarayanan, V.; Amirbekian, B.; Papinutto, N.; et al. Identifying preoperative language tracts and predicting postoperative functional recovery using HARDI q-ball fiber tractography in patients with gliomas. J. Neurosurg. 2016, 125, 33–45. [Google Scholar] [CrossRef] [PubMed]
- Zarino, B.; Sirtori, M.A.; Meschini, T.; Bertani, G.A.; Caroli, M.; Bana, C.; Borellini, L.; Locatelli, M.; Carrabba, G. Insular lobe surgery and cognitive impairment in gliomas operated with intraoperative neurophysiological monitoring. Acta Neurochir. 2021, 163, 1279–1289. [Google Scholar] [CrossRef] [PubMed]
- Mandonnet, E. Transopercular Resection of IDH-Mutated Insular Glioma: A Critical Appraisal of an Initial Experience. World Neurosurg. 2019, 132, e563–e576. [Google Scholar] [CrossRef] [PubMed]
- Cargnelutti, E.; Maieron, M.; D’Agostini, S.; Ius, T.; Skrap, M.; Tomasino, B. Preoperative plasticity in the functional naming network of patients with left insular gliomas. Neuroimage Clin. 2024, 41, 103561. [Google Scholar] [CrossRef]
- Buklina, S.B.; Podoprigora, A.E.; Pronin, I.N.; Shishkina, L.V.; Boldyreva, G.N.; Bondarenko, A.A.; Fadeeva, L.M.; Kornienko, V.N.; VIu, Z. fMRI study of the dominant hemisphere for language in patients with brain tumor. Zhurnal Voprosy Neirokhirurgii Imeni NN Burdenko 2013, 77, 30–37; discussion 37, (In English and Russian). [Google Scholar]
- Duffau, H. Surgery of low-grade gliomas: Towards a ‘functional neurooncology’. Curr. Opin. Oncol. 2009, 21, 543–549. [Google Scholar] [CrossRef]
- Catani, M.; Thiebaut de Schotten, M. A diffusion tensor imaging tractography atlas for virtual in vivo dissections. Cortex 2008, 44, 1105–1132. [Google Scholar] [CrossRef]
- Incekara, F.; Satoer, D.; Visch-Brink, E.; Vincent, A.; Smits, M. Changes in language white matter tract microarchitecture associated with cognitive deficits in patients with presumed low-grade glioma. J. Neurosurg. 2018, 130, 1538–1546. [Google Scholar] [CrossRef]
- Vassal, F.; Pommier, B.; Sontheimer, A.; Lemaire, J.J. Inter-individual variations and hemispheric asymmetries in structural connectivity patterns of the inferior fronto-occipital fascicle: A diffusion tensor imaging tractography study. Surg. Radiol. Anat. 2018, 40, 129–137. [Google Scholar] [CrossRef]
- Bizzi, A.; Nava, S.; Ferrè, F.; Castelli, G.; Aquino, D.; Ciaraffa, F.; Broggi, G.; DiMeco, F.; Piacentini, S. Aphasia induced by gliomas growing in the ventrolateral frontal region: Assessment with diffusion MR tractography, functional MR imaging and neuropsychology. Cortex 2012, 48, 255–272. [Google Scholar] [CrossRef]
- Maldonado, I.L.; Moritz-Gasser, S.; Duffau, H. Does the left superior longitudinal fascicle subserve language semantics? A brain electrostimulation study. Brain Struct. Funct. 2011, 216, 263–274. [Google Scholar] [CrossRef] [PubMed]
- Hickok, G.; Poeppel, D. Dorsal and ventral streams: A framework for understanding aspects of the functional anatomy of language. Cognition 2004, 92, 67–99. [Google Scholar] [CrossRef] [PubMed]
- Tomasino, B.; Tronchin, G.; Marin, D.; Maieron, M.; Fabbro, F.; Cubelli, R.; Skrap, M.; Luzzatti, C. Noun-verb naming dissociation in neurosurgical patients. Aphasiology 2019, 33, 1418–1440. [Google Scholar] [CrossRef]
- Gold, B.T.; Powell, D.K.; Xuan, L.; Jiang, Y.; Hardy, P.A. Speed of lexical decision correlates with diffusion anisotropy in left parietal and frontal white matter: Evidence from diffusion tensor imaging. Neuropsychologia 2007, 45, 2439–2446. [Google Scholar] [CrossRef] [PubMed]
- Vallesi, A.; Babcock, L. Asymmetry of the frontal aslant tract is associated with lexical decision. Brain Struct. Funct. 2020, 225, 1009–1017. [Google Scholar] [CrossRef]
- Guarracino, I.; Ius, T.; Baiano, C.; D’Agostini, S.; Skrap, M.; Tomasino, B. Pre-Surgery Cognitive Performance and Voxel-Based Lesion-Symptom Mapping in Patients with Left High-Grade Glioma. Cancers 2021, 13, 1467. [Google Scholar] [CrossRef]





| Parameters | Value |
|---|---|
| No. of patients | 30 |
| Sex | |
| Male | 17 (56.6%) |
| Female | 13 (43.3%) |
| Age (years) | |
| Median (range) | 35 (20–60) |
| Onset symptoms | |
| Seizures | 24 (80%) |
| Focal seizures | 14 (46.6%) |
| Focal to bilateral tonic–clonic seizures | 13 (43.3%) |
| Language symptoms | - |
| No symptoms (incidental LGG) | 3 (10%) |
| Area | N > 0 | %N > 0 | Max | MaxX | MaxY | MaxZ | % of Patients |
|---|---|---|---|---|---|---|---|
| Insula_LH | 14,128 | 1 | 19 | −46 | −5 | −1 | 73.07 |
| Temporal_Sup_LH | 20,488 | 0.811 | 19 | −47 | −5 | −1 | 73.07 |
| Amygdala_LH | 1965 | 1 | 18 | −34 | 3 | −20 | 69.23 |
| Temporal_Mid_LH | 19,609 | 0.555 | 18 | −46 | −1 | −26 | 69.23 |
| Temporal_Pole_Sup_LH | 9686 | 0.90 | 18 | −37 | 6 | −24 | 69.23 |
| Hippocampus_LH | 7133 | 0.93 | 18 | −37 | −6 | −20 | 69.23 |
| Temporal_Inf_LH | 23,508 | 0.82 | 17 | −45 | −5 | −26 | 65.38 |
| Temporal_Pole_Mid_LH | 8934 | 0.94 | 17 | −45 | 9 | −22 | 65.38 |
| Sagittal stratum | 2231 | 1 | 17 | 37 | −9 | −19 | 65.38 |
| Pre | Immediately Post-Surgery | Follow-Up | ||
|---|---|---|---|---|
| Executive functions | Short-term memory | 17.39 | 34.78 | 17.39 |
| Working memory | 28.57 | 28.57 | 9.09 | |
| Praxis | Oral_Praxis | 0.00 | 0.00 | 0.00 |
| Ideomotor apraxia | 0.00 | 4.17 | 0.00 | |
| Comprehension | Token test | 0.00 | 36.00 | 4.17 |
| Auditory comprehension nouns | 0.00 | 10.53 | 0.00 | |
| Auditory comprehension verbs | 0.00 | 10.53 | 0.00 | |
| Lexico-semantics | Naming_Nouns | 16.00 | 56.00 | 24.00 |
| Naming_Verbs | 24.00 | 64.00 | 44.00 | |
| Phonological fluency | 9.09 | 50.00 | 4.55 | |
| Pyramids and palm trees test | 0.00 | 0.00 | 0.00 | |
| Auditory lexical decisions | 31.82 | 47.83 | 21.74 | |
| Visual lexical decisions | 50.00 | 63.64 | 47.83 | |
| Writing/Reading/Repetition | Word reading | 4.17 | 20.00 | 8.00 |
| Pseudowords_Reading | 0.00 | 20.83 | 4.17 | |
| Word repetition | 0.00 | 4.00 | 4.00 | |
| Pseudoword repetition | 0.00 | 12.50 | 12.00 | |
| Writing | 4.35 | 21.74 | 32.00 | |
| Phonological discrimination | 0.00 | 0.00 | 0.00 |
| Domain | Task | Friedman Test | Post Hoc Pairwise Comparisons * | ||
|---|---|---|---|---|---|
| 1 w-Pre | F Up-Pre | F Up-1 w | |||
| Executive functions | Short-term memory | χ2(2) = 7.955, p < 0.05 | Z = −2.75, p = 0.006 | Z = −0.88, p > 0.05, n.s. | Z = −2.37, p = 0.019, n.s. * |
| Working memory | χ2(2) = 8.0, p < 0.05 | Z = −1.793, p > 0.05, n.s. | Z = −1.047, p > 0.05, n.s. | Z = −2.87, p = 0.007 | |
| Praxis | Oral praxis | χ2(2) = 2.33, p = 0.311. n.s. | - | - | - |
| Ideomotor apraxia | χ2(2) = 10.242, p < 0.01. | Z = −2.668, p = 0.008 | Z = −1.826, p > 0.05, n.s. | Z = −1.795, p > 0.05, n.s. | |
| Language comprehension | Token test | χ2(2) = 25.683, p < 0.001. | Z = −4.017, p < 0.001 | Z = −2.18, p = 0.029, n.s.* | Z = −3.801, p < 0.001 |
| Auditory comprehension nouns | χ2(2) = 7.62, p < 0.05 | Z = −2.06, p = 0.036, n.s. * | Z = 0.000, p = 1, n.s. | Z = −2.07, p = 0.038, n.s. * | |
| Auditory comprehension verbs | χ2(2) = 1.077, p = 0.584. n.s. | - | - | - | |
| Phonological discrimination | χ2(2) = 0.368, p > 0.5. n.s. | - | - | - | |
| Semantics | Noun naming | χ2(2) = 17.153, p < 0.001. | Z = −3.463, p < 0.001 | Z = −2.415, p = 0.016 | Z = −3.342, p < 0.001 |
| Verb naming | χ2(2) = 16.718, p < 0.001. | Z = −3.307, p < 0.001 | Z = −2.044, p < 0.05 | Z = −3.512, p < 0.001 | |
| Fluency | χ2(2) = 11.919, p < 0.01 | Z = −1.604, p > 0.05, n.s. | Z = −1.531, p > 0.05, n.s. | Z = −2.69, p = 0.004 | |
| Pyramids and palm trees test | χ2(2) = 16.750, p < 0.001 | Z = −2.678, p = 0.007 | Z = −1.037, p > 0.05, n.s. | Z = −2.245, p = 0.019, n.s. * | |
| Auditory lexical decisions | χ2(2) = 7.373, p < 0.05 | Z = −1.547, p > 0.05, n.s. | Z = −1.488, p > 0.05, n.s. | Z = −2.793, p = 0.005 | |
| Visual lexical decisions | χ2(2) = 6.162, p < 0.05 | Z = −0.980, p > 0.05, n.s. | Z = −1.510, p > 0.05, n.s. | Z = −2.800, p = 0.005 | |
| Reading/ Writing/ Repetition | Word reading | χ2(2) = 8.167, p < 0.05 | Z = −1.939, p > 0.05, n.s. | Z = −0.405, p > 0.05, n.s. | Z = −2.135, p = 0.033, n.s. * |
| Pseudoword reading | χ2(2) = 6.056, p < 0.05 | Z = −2.585, p = 0.010, n.s. * | Z = −0.412, p > 0.05, n.s. | Z = −1.489, p > 0.05, n.s. | |
| Writing | χ2(2) = 10.79, p < 0.01 | Z = −3.174, p = 0.002 | Z = −2.030, p = 0.042, n.s. * | Z = −0.313, p > 0.05, n.s. | |
| Word repetition | χ2(2) = 3.5, p = 0.174. n.s. | - | - | - | |
| Pseudoword repetition | χ2(2) = 8.00, p < 0.5 | Z = −1.604, p > 0.05, n.s. | Z = −2.410, p = 0.016, n.s. * | Z = −0.567, p > 0.05, n.s. | |
| Displaced Median (IQR) (n = 10) | Infiltrated Median (IQR) (n = 19) | p-Value | ||
|---|---|---|---|---|
| RIGHT | NS | 255.5 (173–281) | 290 (172–365) | 0.396 |
| NV | 1978 (1566–2412) | 2388 (1573–2791) | 0.582 | |
| V | 11.6 (10.6–15.4) | 16.9 (11.4–18.7) | 0.162 | |
| FA | 0.47 (0.44–0.48) | 0.47 (0.46–0.48) | 0.209 | |
| L | 136 (135–146) | 141 (132–154) | 0.620 | |
| A | 3.51 (3.4–3.58) | 3.35 (3.23–3.57) | 0.089 | |
| AD | 1.25 (1.24–1.32) | 1.25 (1.19–1.27) | 0.223 | |
| RD | 0.57 (0.55–0.6) | 0.54 (0.52–0.56) | 0.116 | |
| MD | 0.8 (0.75–0.83) | 0.76 (0.75–0.81) | 0.356 | |
| LEFT | NS | 198 (159–296) | 35 (2–96) | <0.001 |
| NV | 1956 (1760–2453) | 551 (83–917) | <0.001 | |
| V | 13 (10.3–14.9) | 3.6 (0.6–6.6) | <0.001 | |
| FA | 0.45 (0.43–0.49) | 0.40 (0.36–0.44) | 0.004 | |
| L | 137 (135–145) | 105 (86–126) | <0.001 | |
| A | 3.49 (3.27–3.79) | 3.89 (3.27–4.37) | 0.324 | |
| AD | 1.31 (1.28–132) | 1.29 (1.24–1.45) | 0.782 | |
| RD | 0.58 (0.54–0.6) | 0.68 (0.59–0.71) | 0.024 | |
| MD | 0.82 (0.8–0.84) | 0.85 (0.79–0.96) | 0.200 |
| Immediately Post-Surgery | Follow-Up | |||
|---|---|---|---|---|
| LH IFOF | RH IFOF | LH IFOF | RH IFOF | |
| Naming verbs | NV, ρ = 0.541, p-value = 0.005 NS, ρ = 0.501, p-value = 0.011 MD, ρ = 0.414, p-value = 0.049 | AD, ρ = 0.631, p-value < 0.001 MD, ρ = 0.455, p-value = 0.022 | NV, ρ = 0.622, p-value = 0.001 NS, ρ = 0.564, p-value = 0.003 L, ρ = 0.47, p-value = 0.017 AD, ρ = 0.440, p-value = 0.036 | AD, ρ = 0.569, p-value = 0.003 MD, ρ = 0.435, p-value = 0.030 |
| Token test | NV, ρ = 0.426, p-value = 0.034 | AD, ρ = 0.445, p-value = 0.026 | FA, ρ = 0.413, p-value = 0.045 | |
| Naming nouns | - | MD, ρ = 0.651, p-value < 0.001 AD, ρ = 0.494, p-value = 0.012 | NV, ρ = 0.466, p-value = 0.019 | MD, ρ = 0.611, p-value = 0.001 |
| P&P | A, ρ = −0.461, p-value = 0.047 | |||
| STM | L, ρ = 0.492, p-value = 0.014 | AD, and ρ = 0.518, p-value = 0.010 | ||
| Writing | - | AD, ρ = 0.457, p-value = 0.032 MD, ρ =- 0.438, p-value = 0.042 | ||
| IMA | - | MD, ρ = 0.455, p-value = 0.033 NS, ρ = −0.428, p-value = 0.037 | ||
| Phonological fluency | L, ρ = 0.574, p-value = 0.008 | |||
| Lexical decisions | FA, ρ = 0.444, p-value = 0.039 | |||
Disclaimer/Publisher’s Note: The statements, opinions and data contained in all publications are solely those of the individual author(s) and contributor(s) and not of MDPI and/or the editor(s). MDPI and/or the editor(s) disclaim responsibility for any injury to people or property resulting from any ideas, methods, instructions or products referred to in the content. |
© 2024 by the authors. Licensee MDPI, Basel, Switzerland. This article is an open access article distributed under the terms and conditions of the Creative Commons Attribution (CC BY) license (https://creativecommons.org/licenses/by/4.0/).
Share and Cite
Tomasino, B.; Baiano, C.; Ricciardi, G.K.; Maieron, M.; Romano, A.; Guarracino, I.; Isola, M.; De Martino, M.; D’Agostini, S.; Bagatto, D.; et al. A Longitudinal Multimodal Imaging Study in Patients with Temporo-Insular Diffuse Low-Grade Tumors: How the Inferior Fronto-Occipital Fasciculus Provides Information on Cognitive Outcomes. Curr. Oncol. 2024, 31, 8075-8093. https://doi.org/10.3390/curroncol31120595
Tomasino B, Baiano C, Ricciardi GK, Maieron M, Romano A, Guarracino I, Isola M, De Martino M, D’Agostini S, Bagatto D, et al. A Longitudinal Multimodal Imaging Study in Patients with Temporo-Insular Diffuse Low-Grade Tumors: How the Inferior Fronto-Occipital Fasciculus Provides Information on Cognitive Outcomes. Current Oncology. 2024; 31(12):8075-8093. https://doi.org/10.3390/curroncol31120595
Chicago/Turabian StyleTomasino, Barbara, Cinzia Baiano, Giuseppe Kenneth Ricciardi, Marta Maieron, Andrea Romano, Ilaria Guarracino, Miriam Isola, Maria De Martino, Serena D’Agostini, Daniele Bagatto, and et al. 2024. "A Longitudinal Multimodal Imaging Study in Patients with Temporo-Insular Diffuse Low-Grade Tumors: How the Inferior Fronto-Occipital Fasciculus Provides Information on Cognitive Outcomes" Current Oncology 31, no. 12: 8075-8093. https://doi.org/10.3390/curroncol31120595
APA StyleTomasino, B., Baiano, C., Ricciardi, G. K., Maieron, M., Romano, A., Guarracino, I., Isola, M., De Martino, M., D’Agostini, S., Bagatto, D., Somma, T., Skrap, M., & Ius, T. (2024). A Longitudinal Multimodal Imaging Study in Patients with Temporo-Insular Diffuse Low-Grade Tumors: How the Inferior Fronto-Occipital Fasciculus Provides Information on Cognitive Outcomes. Current Oncology, 31(12), 8075-8093. https://doi.org/10.3390/curroncol31120595

