Comparison of 68Ga-DOTATATE Positron Emmited Tomography/Computed Tomography and Gadoxetic Acid-Enhanced Magnetic Resonance Imaging for the Detection of Liver Metastases from Well-Differentiated Neuroendocrine Tumors
Abstract
1. Introduction
2. Material and Methods
2.1. Patient Population and Study Design
2.2. Image Acquisition
2.2.1. Primovist-Enhanced MRI
2.2.2. 68Ga-DOTATATE Positron Emission Tomography/Computed Tomography
2.3. Data Abstraction
2.4. Reference Standard
2.5. Statistical Analysis
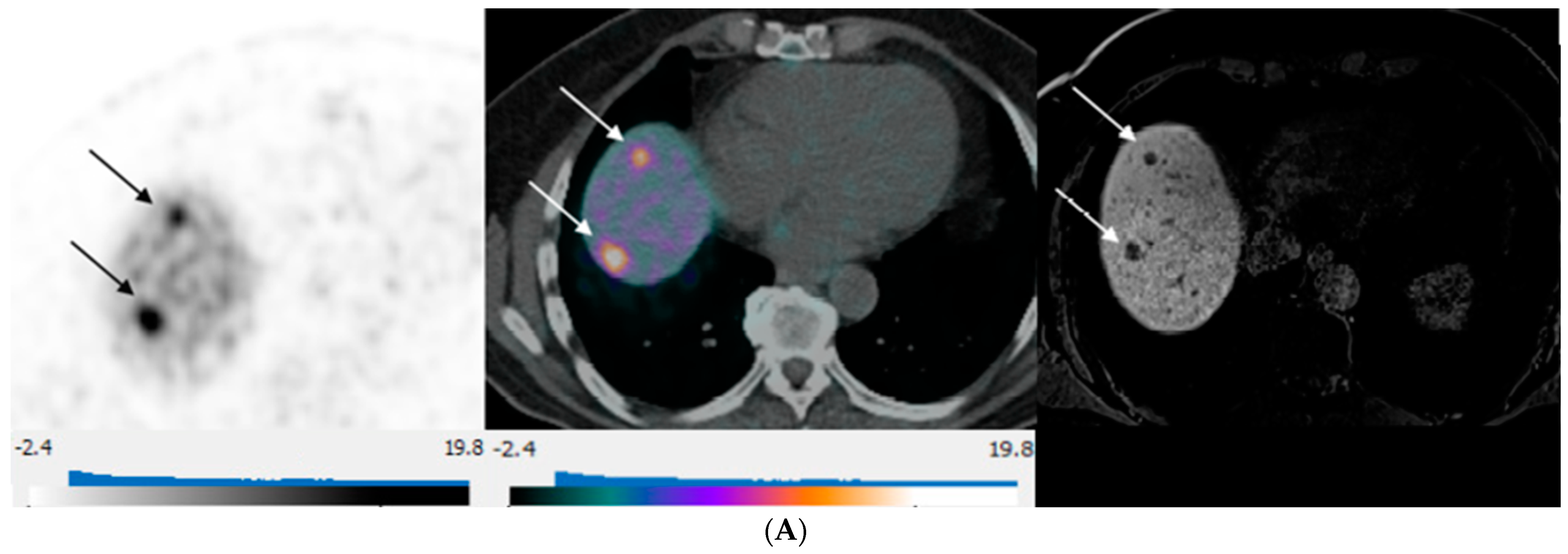
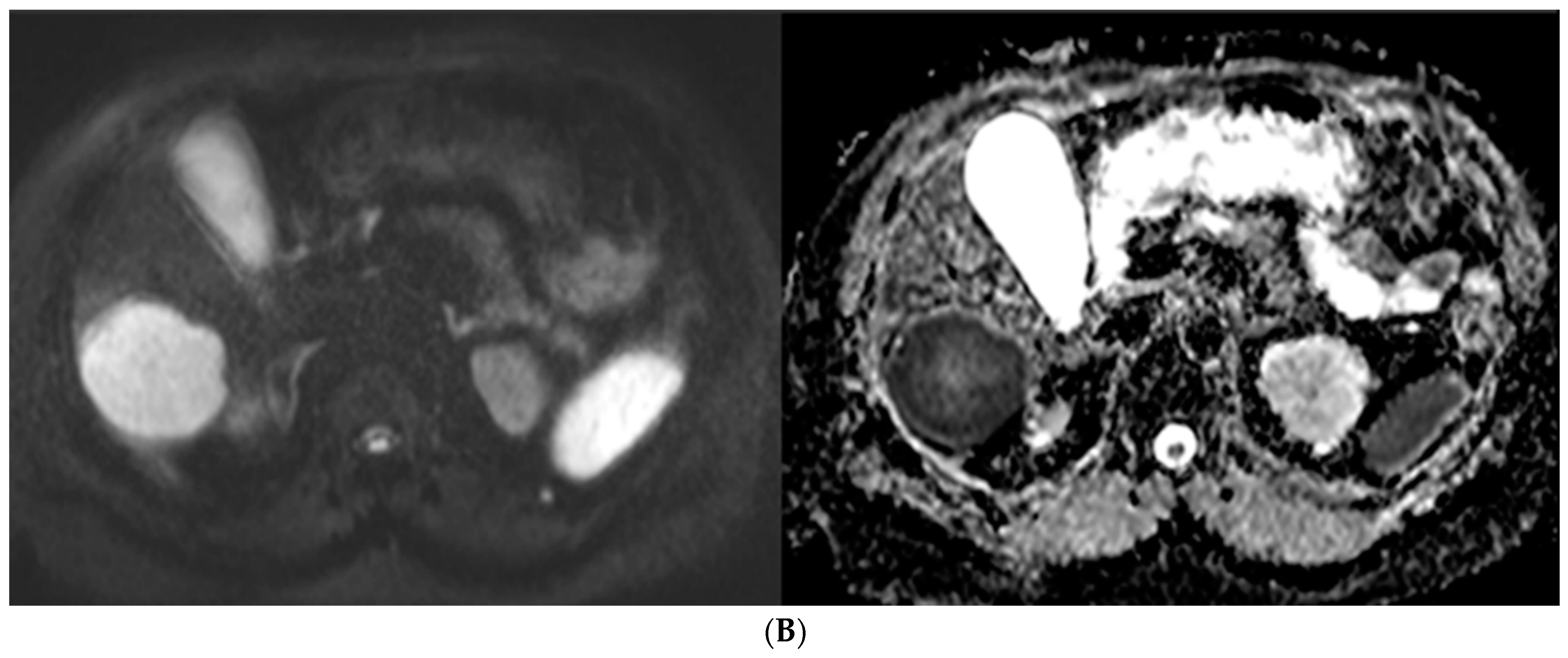
3. Results
4. Discussion
5. Conclusions
Author Contributions
Funding
Institutional Review Board Statement
Informed Consent Statement
Data Availability Statement
Conflicts of Interest
References
- Ma, Z.Y.; Gong, Y.F.; Zhuang, H.K.; Zhou, Z.X.; Huang, S.Z.; Zou, Y.P.; Huang, B.W.; Sun, Z.H.; Zhang, C.Z.; Tang, Y.Q.; et al. Pancreatic Neuroendocrine Tumors: A Review of Serum Biomarkers, Staging, and Management. World J. Gastroenterol. 2020, 26, 2305–2322. [Google Scholar] [CrossRef]
- Oronsky, B.; Ma, P.C.; Morgensztern, D.; Carter, C.A. Nothing But NET: A Review of Neuroendocrine Tumors and Carcinomas. Neoplasia 2017, 19, 991–1002. [Google Scholar] [CrossRef]
- Patel, N.; Benipal, B. Incidence of Neuroendocrine Tumors in the United States from 2001–2015: A United States Cancer Statistics Analysis of 50 States. Cureus 2019, 11, e4322. [Google Scholar] [CrossRef]
- Dasari, A.; Shen, C.; Halperin, D.; Zhao, B.; Zhou, S.; Xu, Y.; Shih, T.; Yao, J.C. Trends in the Incidence, Prevalence, and Survival Outcomes in Patients With Neuroendocrine Tumors in the United States. JAMA Oncol. 2017, 3, 1335–1342. [Google Scholar] [CrossRef]
- Niederle, B.; Pape, U.-F.; Costa, F.; Gross, D.; Kelestimur, F.; Knigge, U.; Öberg, K.; Pavel, M.; Perren, A.; Toumpanakis, C.; et al. E-Mail ENETS Consensus Guidelines ENETS Consensus Guidelines Update for Neuroendocrine Neoplasms of the Jejunum and Ileum. Neuroendocrinology 2016, 103, 125–138. [Google Scholar] [CrossRef]
- Lewis, M.A.; Hobday, T.J. Treatment of Neuroendocrine Tumor Liver Metastases. Int. J. Hepatol. 2012, 2012, 973946. [Google Scholar] [CrossRef]
- Gangi, A.; Howe, J.R. The Landmark Series: Neuroendocrine Tumor Liver Metastases. Ann. Surg. Oncol. 2020, 27, 3270. [Google Scholar] [CrossRef]
- Schreckenbach, T.; Hübert, H.; Koch, C.; Bojunga, J.; Schnitzbauer, A.A.; Bechstein, W.O.; Holzer, K. Surgical Resection of Neuroendocrine Tumor Liver Metastases as Part of Multimodal Treatment Strategies: A Propensity Score Matching Analysis. Eur. J. Surg. Oncol. (EJSO) 2019, 45, 808–815. [Google Scholar] [CrossRef]
- Pavel, M.; O’Toole, D.; Costa, F.; Capdevila, J.; Gross, D.; Kianmanesh, R.; Krenning, E.; Knigge, U.; Salazar, R.; Pape, U.F.; et al. ENETS Consensus Guidelines Update for the Management of Distant Metastatic Disease of Intestinal, Pancreatic, Bronchial Neuroendocrine Neoplasms (NEN) and NEN of Unknown Primary Site. Neuroendocrinology 2016, 103, 172–185. [Google Scholar] [CrossRef]
- Cloyd, J.M.; Ejaz, A.; Konda, B.; Makary, M.S.; Pawlik, T.M. Neuroendocrine Liver Metastases: A Contemporary Review of Treatment Strategies. Hepatobiliary Surg. Nutr. 2020, 9, 440. [Google Scholar] [CrossRef]
- Shah, M.H.; Goldner, W.S.; Benson, A.B.; Bergsland, E.; Blaszkowsky, L.S.; Brock, P.; Chan, J.; Das, S.; Dickson, P.V.; Fanta, P.; et al. Neuroendocrine and Adrenal Tumors, Version 2.2021, NCCN Clinical Practice Guidelines in Oncology. J. Natl. Compr. Cancer Netw. 2021, 19, 839–868. [Google Scholar] [CrossRef]
- Haug, A.R.; Cindea-Drimus, R.; Auernhammer, C.J.; Reincke, M.; Wängler, B.; Uebleis, C.; Schmidt, G.P.; Göke, B.; Bartenstein, P.; Hacker, M. The Role of 68Ga-DOTATATE PET/CT in Suspected Neuroendocrine Tumors. J. Nucl. Med. 2012, 53, 1686–1692. [Google Scholar] [CrossRef]
- Tirosh, A.; Kebebew, E. The Utility of 68Ga-DOTATATE Positron-Emission Tomography/Computed Tomography in the Diagnosis, Management, Follow-up and Prognosis of Neuroendocrine Tumors. Futur. Oncol. 2018, 14, 111. [Google Scholar] [CrossRef]
- Sanli, Y.; Garg, I.; Kandathil, A.; Kendi, T.; Baladron Zanetti, M.J.; Kuyumcu, S.; Subramaniam, R.M. Neuroendocrine Tumor Diagnosis and Management: 68 Ga-DOTATATE PET/CT. AJR. Am. J. Roentgenol. 2018, 211, 267–277. [Google Scholar] [CrossRef]
- Anderson, R.C.; Velez, E.M.; Desai, B.; Jadvar, H. Management Impact of 68 Ga-DOTATATE PET/CT in Neuroendocrine Tumors. Nucl. Med. Mol. Imaging 2021, 55, 31–37. [Google Scholar] [CrossRef]
- Singh, S.; Poon, R.; Wong, R.; Metser, U. 68Ga PET Imaging in Patients With Neuroendocrine Tumors: A Systematic Review and Meta-Analysis. Clin. Nucl. Med. 2018, 43, 802–810. [Google Scholar] [CrossRef]
- Haidar, M.; Shamseddine, A.; Panagiotidis, E.; Jreige, M.; Mukherji, D.; Assi, R.; Abousaid, R.; Ibrahim, T.; Haddad, M.M.; Vinjamuri, S. The Role of 68Ga-DOTA-NOC PET/CT in Evaluating Neuroendocrine Tumors: Real-World Experience from Two Large Neuroendocrine Tumor Centers. Nucl. Med. Commun. 2017, 38, 170–177. [Google Scholar] [CrossRef]
- Sharma, P.; Arora, S.; Mukherjee, A.; Pal, S.; Sahni, P.; Garg, P.; Khadgawat, R.; Thulkar, S.; Bal, C.; Kumar, R. Predictive Value of 68Ga-DOTANOC PET/CT in Patients with Suspicion of Neuroendocrine Tumors: Is Its Routine Use Justified? Clin. Nucl. Med. 2014, 39, 37–43. [Google Scholar] [CrossRef]
- Zhang, L.; Yu, X.; Huo, L.; Lu, L.; Pan, X.; Jia, N.; Fan, X.; Morana, G.; Grazioli, L.; Schneider, G. Detection of Liver Metastases on Gadobenate Dimeglumine-Enhanced MRI: Systematic Review, Meta-Analysis, and Similarities with Gadoxetate-Enhanced MRI. Eur. Radiol. 2019, 29, 5205–5216. [Google Scholar] [CrossRef]
- Choi, S.H.; Kim, S.Y.; Park, S.H.; Kim, K.W.; Lee, J.Y.; Lee, S.S.; Lee, M.G. Diagnostic Performance of CT, Gadoxetate Disodium-Enhanced MRI, and PET/CT for the Diagnosis of Colorectal Liver Metastasis: Systematic Review and Meta-Analysis. J. Magn. Reson. Imaging 2018, 47, 1237–1250. [Google Scholar] [CrossRef]
- Vreugdenburg, T.D.; Ma, N.; Duncan, J.K.; Riitano, D.; Cameron, A.L.; Maddern, G.J. Comparative Diagnostic Accuracy of Hepatocyte-Specific Gadoxetic Acid (Gd-EOB-DTPA) Enhanced MR Imaging and Contrast Enhanced CT for the Detection of Liver Metastases: A Systematic Review and Meta-Analysis. Int. J. Colorectal Dis. 2016, 31, 1739–1749. [Google Scholar] [CrossRef] [PubMed]
- Chen, L.; Zhang, J.; Zhang, L.; Bao, J.; Liu, C.; Xia, Y.; Huang, X.; Wang, J. Meta-Analysis of Gadoxetic Acid Disodium (Gd-EOB-DTPA)-Enhanced Magnetic Resonance Imaging for the Detection of Liver Metastases. PLoS ONE 2012, 7, e48681. [Google Scholar] [CrossRef]
- Zech, C.J.; Korpraphong, P.; Huppertz, A.; Denecke, T.; Kim, M.J.; Tanomkiat, W.; Jonas, E.; Ba-Ssalamah, A. Randomized Multicentre Trial of Gadoxetic Acid-Enhanced MRI versus Conventional MRI or CT in the Staging of Colorectal Cancer Liver Metastases. Br. J. Surg. 2014, 101, 613. [Google Scholar] [CrossRef] [PubMed]
- Jhaveri, K.; Cleary, S.; Audet, P.; Balaa, F.; Bhayana, D.; Burak, K.; Chang, S.; Dixon, E.; Haider, M.; Molinari, M.; et al. Consensus Statements from a Multidisciplinary Expert Panel on the Utilization and Application of a Liver-Specific MRI Contrast Agent (Gadoxetic Acid). AJR. Am. J. Roentgenol. 2015, 204, 498–509. [Google Scholar] [CrossRef]
- Bhayana, R.; Baliyan, V.; Kordbacheh, H.; Kambadakone, A. Hepatobiliary Phase Enhancement of Liver Metastases on Gadoxetic Acid MRI: Assessment of Frequency and Patterns. Eur. Radiol. 2021, 31, 1359–1366. [Google Scholar] [CrossRef]
- Tirumani, S.H.; Jagannathan, J.P.; Braschi-Amirfarzan, M.; Qin, L.; Balthazar, P.; Ramaiya, N.H.; Shinagare, A.B. Value of Hepatocellular Phase Imaging after Intravenous Gadoxetate Disodium for Assessing Hepatic Metastases from Gastroenteropancreatic Neuroendocrine Tumors: Comparison with Other MRI Pulse Sequences and with Extracellular Agent. Abdom. Radiol. 2018, 43, 2329–2339. [Google Scholar] [CrossRef]
- Jackson, T.; Darwish, M.; Cho, E.; Nagatomo, K.; Osman, H.; Jeyarajah, D.R. 68Ga-DOTATATE PET/CT Compared to Standard Imaging in Metastatic Neuroendocrine Tumors: A More Sensitive Test to Detect Liver Metastasis? Abdom. Radiol. 2021, 46, 3179–3183. [Google Scholar] [CrossRef]
- Haider, M.; Jiang, B.G.; Parker, J.A.; Bullock, A.J.; Goehler, A.; Tsai, L.L. Use of MRI and Ga-68 DOTATATE for the Detection of Neuroendocrine Liver Metastases. Abdom. Radiol. 2022, 47, 586–595. [Google Scholar] [CrossRef]
- Schmid-Tannwald, C.; Schmid-Tannwald, C.M.; Morelli, J.N.; Neumann, R.; Haug, A.R.; Jansen, N.; Nikolaou, K.; Schramm, N.; Reiser, M.F.; Rist, C. Comparison of Abdominal MRI with Diffusion-Weighted Imaging to 68Ga-DOTATATE PET/CT in Detection of Neuroendocrine Tumors of the Pancreas. Eur. J. Nucl. Med. Mol. Imaging 2013, 40, 897–907. [Google Scholar] [CrossRef]
- De Camargo Etchebehere, E.C.S.; De Oliveira Santos, A.; Gumz, B.; Vicente, A.; Hoff, P.G.; Corradi, G.; Ichiki, W.A.; De Almeida Filho, J.G.; Cantoni, S.; Camargo, E.E.; et al. 68Ga-DOTATATE PET/CT, 99mTc-HYNIC-Octreotide SPECT/CT, and Whole-Body MR Imaging in Detection of Neuroendocrine Tumors: A Prospective Trial. J. Nucl. Med. 2014, 55, 1598–1604. [Google Scholar] [CrossRef]
- Jhaveri, K.S.; Babaei Jandaghi, A.; Thipphavong, S.; Espin-Garcia, O.; Dodd, A.; Hutchinson, S.; Reichman, T.W.; Moulton, C.A.; McGilvary, I.D.; Gallinger, S. Can Preoperative Liver MRI with Gadoxetic Acid Help Reduce Open-Close Laparotomies for Curative Intent Pancreatic Cancer Surgery? Cancer Imaging 2021, 21, 45. [Google Scholar] [CrossRef] [PubMed]
- Vanbelle, S. Asymptotic Variability of (Multilevel) Multirater Kappa Coefficients. Stat. Methods Med. Res. 2019, 28, 3012–3026. [Google Scholar] [CrossRef] [PubMed]
- Landis, J.R.; Koch, G.G. The Measurement of Observer Agreement for Categorical Data. Biometrics 1977, 33, 159–174. [Google Scholar] [CrossRef] [PubMed]
- Rindi, G.; D’Adda, T.; Froio, E.; Fellegara, G.; Bordi, C. Prognostic Factors in Gastrointestinal Endocrine Tumors. Endocr. Pathol. 2007, 18, 145–149. [Google Scholar] [CrossRef] [PubMed]
- Frilling, A.; Sotiropoulos, G.C.; Radtke, A.; Malago, M.; Bockisch, A.; Kuehl, H.; Li, J.; Broelsch, C.E. The Impact of 68Ga-DOTATOC Positron Emission Tomography/Computed Tomography on the Multimodal Management of Patients with Neuroendocrine Tumors. Ann. Surg. 2010, 252, 850–855. [Google Scholar] [CrossRef]
- Choi, S.J.; Choi, S.H.; Lee, D.Y.; Lee, J.S.; Kim, D.W.; Jang, J.K. Diagnostic Value of [68 Ga]Ga-DOTA-Labeled-Somatostatin Analogue PET/MRI for Detecting Liver Metastasis in Patients with Neuroendocrine Tumors: A Systematic Review and Meta-Analysis. Eur. Radiol. 2022, 32, 4628–4637. [Google Scholar] [CrossRef]
- Schreiter, N.F.; Nogami, M.; Steffen, I.; Pape, U.F.; Hamm, B.; Brenner, W.; Röttgen, R. Evaluation of the Potential of PET-MRI Fusion for Detection of Liver Metastases in Patients with Neuroendocrine Tumours. Eur. Radiol. 2012, 22, 458–467. [Google Scholar] [CrossRef]
- Hope, T.A.; Pampaloni, M.H.; Nakakura, E.; VanBrocklin, H.; Slater, J.; Jivan, S.; Aparici, C.M.; Yee, J.; Bergsland, E. Simultaneous (68)Ga-DOTA-TOC PET/MRI with Gadoxetate Disodium in Patients with Neuroendocrine Tumor. Abdom. Imaging 2015, 40, 1432–1440. [Google Scholar] [CrossRef]
- Sawicki, L.M.; Deuschl, C.; Beiderwellen, K.; Ruhlmann, V.; Poeppel, T.D.; Heusch, P.; Lahner, H.; Führer, D.; Bockisch, A.; Herrmann, K.; et al. Evaluation of 68Ga-DOTATOC PET/MRI for Whole-Body Staging of Neuroendocrine Tumours in Comparison with 68Ga-DOTATOC PET/CT. Eur. Radiol. 2017, 27, 4091–4099. [Google Scholar] [CrossRef]
- Beiderwellen, K.J.; Poeppel, T.D.; Hartung-Knemeyer, V.; Buchbender, C.; Kuehl, H.; Bockisch, A.; Lauenstein, T.C. Simultaneous 68Ga-DOTATOC PET/MRI in Patients with Gastroenteropancreatic Neuroendocrine Tumors: Initial Results. Investig. Radiol. 2013, 48, 273–279. [Google Scholar] [CrossRef]
- Berzaczy, D.; Giraudo, C.; Haug, A.R.; Raderer, M.; Senn, D.; Karanikas, G.; Weber, M.; Mayerhoefer, M.E. Whole-Body 68Ga-DOTANOC PET/MRI Versus 68Ga-DOTANOC PET/CT in Patients With Neuroendocrine Tumors: A Prospective Study in 28 Patients. Clin. Nucl. Med. 2017, 42, 669–674. [Google Scholar] [CrossRef] [PubMed]
- Jawlakh, H.; Velikyan, I.; Welin, S.; Sundin, A. 68 Ga-DOTATOC-PET/MRI and 11 C-5-HTP-PET/MRI Are Superior to 68 Ga-DOTATOC-PET/CT for Neuroendocrine Tumour Imaging. J. Neuroendocrinol. 2021, 33, e12981. [Google Scholar] [CrossRef]
- Hayoz, R.; Vietti-Violi, N.; Duran, R.; Knebel, J.F.; Ledoux, J.B.; Dromain, C. The Combination of Hepatobiliary Phase with Gd-EOB-DTPA and DWI Is Highly Accurate for the Detection and Characterization of Liver Metastases from Neuroendocrine Tumor. Eur. Radiol. 2020, 30, 6593–6602. [Google Scholar] [CrossRef]
- Morin, C.; Drolet, S.; Daigle, C.; Deshaies, I.; Ouellet, J.F.; Ball, C.G.; Dixon, E.; Marceau, J.; Ouellet, J.F.B. Additional Value of Gadoxetic Acid-Enhanced MRI to Conventional Extracellular Gadolinium-Enhanced MRI for the Surgical Management of Colorectal and Neuroendocrine Liver Metastases. HPB 2020, 22, 710–715. [Google Scholar] [CrossRef]
- Chan, H.; Moseley, C.; Zhang, L.; Bergsland, E.K.; Pampaloni, M.H.; Van Loon, K.; Hope, T.A. Correlation of DOTATOC Uptake and Pathologic Grade in Neuroendocrine Tumors. Pancreas 2019, 48, 948–952. [Google Scholar] [CrossRef]







| Variable | Category | Summary | 
|---|---|---|
| Age at CT, Median (Min, Max) | 57.5 (30.0, 80.0) | |
| Gender, n (%) | Female | 18 (60) | 
| Male | 12 (40) | |
| Primary site, n (%) | Small bowel | 14 (47) | 
| Pancreas | 10 (33) | |
| Lung | 2 (7) | |
| Unknown | 1 (3) | |
| Other | 3 (10) | |
| Tumor grade, n (%) | G1 | 12 (40) | 
| G2 | 12 (40) | |
| G3 | 6 (20) | |
| Ki 67 index, n (%) | <3% | 12 (40) | 
| 3–20% | 12 (40) | |
| >20% | 6 (20) | |
| Metastases, n (%) | Yes | 23 (77) | 
| No | 7 (23) | 
| Distribution of Modified Krenning Scores | ||
|---|---|---|
| Modified Krenning Score | n = (%) | |
| Maximal per segment | 4 | 53 (71) | 
| 3 | 20 (27) | |
| 2 | 2 (3) | |
| 1 | 0 (0) | |
| Minimal per segment | 4 | 32 (43) | 
| 3 | 41 (55) | |
| 2 | 2 (3) | |
| 1 | 0 (0) | |
| SUV metrics | ||
| Maximal SUVmax | Mean ± SD (range) | 37.7 ± 26.7 (5.5, 146.6) | 
| Minimal SUVmax | Mean ± SD (range) | 19.7 ± 11.2 (4.4, 54.8) | 
| Variable | n = (%) | |
|---|---|---|
| T2 signal intensity | High | 46 (47) | 
| Intermediate | 45 (46) | |
| Low | 7 (7) | |
| Restricted Diffusion | Yes | 85 (87) | 
| Equivocal | 2 (2) | |
| No | 11 (11) | |
| Arterial Enhancement | Yes | 72 (73) | 
| No | 26 (27) | |
| Wash Out | Yes | 75 (77) | 
| No | 23 (23) | |
| Visible on HBP | Yes | 98 (100) | 
| No | 0 | 
| Patient | pMR | DT-PET | Count Difference | 
|---|---|---|---|
| 1 | 0 | 0 | 0 | 
| 2 | 11 | 11 | 0 | 
| 3 | 11 | 1 | 10 | 
| 4 | 4 | 5 | −1 | 
| 5 | 10 | 9 | 1 | 
| 6 | 0 | 0 | 0 | 
| 7 | 0 | 0 | 0 | 
| 8 | 3 | 5 | −2 | 
| 9 | 3 | 0 | 3 | 
| 10 | 44 | 42 | 2 | 
| 11 | 45 | 36 | 9 | 
| 12 | 0 | 0 | 0 | 
| 13 | 19 | 0 | 19 | 
| 14 | 0 | 0 | 0 | 
| 15 | 11 | 11 | 0 | 
| 16 | 2 | 3 | −1 | 
| 17 | 17 | 0 | 17 | 
| 18 | 0 | 0 | 0 | 
| 19 | 10 | 10 | 0 | 
| 20 | 2 | 0 | 2 | 
| 21 | 5 | 2 | 3 | 
| 22 | 4 | 3 | 1 | 
| 23 | 1 | 1 | 0 | 
| 24 | 21 | 18 | 3 | 
| 25 | 1 | 1 | 0 | 
| 26 | 17 | 17 | 0 | 
| 27 | 10 | 10 | 0 | 
| 28 | 0 | 0 | 0 | 
| 29 | 30 | 1 | 29 | 
| 30 | 6 | 8 | −2 | 
| Disclaimer/Publisher’s Note: The statements, opinions and data contained in all publications are solely those of the individual author(s) and contributor(s) and not of MDPI and/or the editor(s). MDPI and/or the editor(s) disclaim responsibility for any injury to people or property resulting from any ideas, methods, instructions or products referred to in the content. | 
© 2024 by the authors. Licensee MDPI, Basel, Switzerland. This article is an open access article distributed under the terms and conditions of the Creative Commons Attribution (CC BY) license (https://creativecommons.org/licenses/by/4.0/).
Share and Cite
Drucker Iarovich, M.; Hinzpeter, R.; Moloney, B.M.; Hueniken, K.; Veit-Haibach, P.; Ortega, C.; Metser, U. Comparison of 68Ga-DOTATATE Positron Emmited Tomography/Computed Tomography and Gadoxetic Acid-Enhanced Magnetic Resonance Imaging for the Detection of Liver Metastases from Well-Differentiated Neuroendocrine Tumors. Curr. Oncol. 2024, 31, 521-534. https://doi.org/10.3390/curroncol31010036
Drucker Iarovich M, Hinzpeter R, Moloney BM, Hueniken K, Veit-Haibach P, Ortega C, Metser U. Comparison of 68Ga-DOTATATE Positron Emmited Tomography/Computed Tomography and Gadoxetic Acid-Enhanced Magnetic Resonance Imaging for the Detection of Liver Metastases from Well-Differentiated Neuroendocrine Tumors. Current Oncology. 2024; 31(1):521-534. https://doi.org/10.3390/curroncol31010036
Chicago/Turabian StyleDrucker Iarovich, Moran, Ricarda Hinzpeter, Brian Michael Moloney, Katrina Hueniken, Patrick Veit-Haibach, Claudia Ortega, and Ur Metser. 2024. "Comparison of 68Ga-DOTATATE Positron Emmited Tomography/Computed Tomography and Gadoxetic Acid-Enhanced Magnetic Resonance Imaging for the Detection of Liver Metastases from Well-Differentiated Neuroendocrine Tumors" Current Oncology 31, no. 1: 521-534. https://doi.org/10.3390/curroncol31010036
APA StyleDrucker Iarovich, M., Hinzpeter, R., Moloney, B. M., Hueniken, K., Veit-Haibach, P., Ortega, C., & Metser, U. (2024). Comparison of 68Ga-DOTATATE Positron Emmited Tomography/Computed Tomography and Gadoxetic Acid-Enhanced Magnetic Resonance Imaging for the Detection of Liver Metastases from Well-Differentiated Neuroendocrine Tumors. Current Oncology, 31(1), 521-534. https://doi.org/10.3390/curroncol31010036
 
        

 
       