Primary Diffuse Large B-Cell Lymphoma of the Urinary Bladder: Update on a Rare Disease and Potential Diagnostic Pitfalls
Abstract
:1. Introduction
2. General Overview on Primary Lymphomas of the Urinary Tract
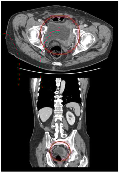
3. Primary DLBCL of the Urinary Bladder: Clinical Features
4. Diagnostic Approach for Primary Urinary Bladder Lymphoma
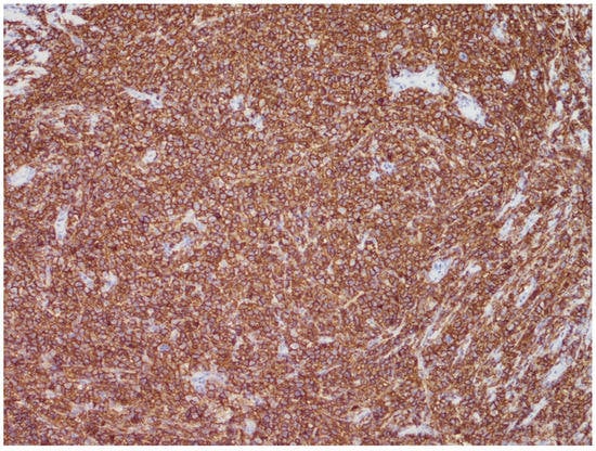
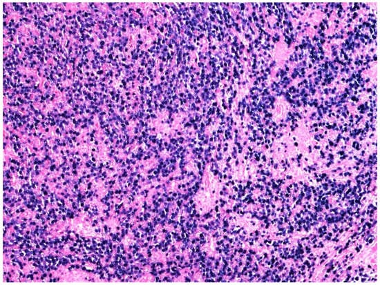
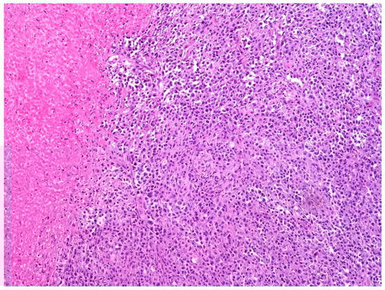
5. Histology, Immunophenotype, and Genetic Features of DLBCL, NOS
6. EBV-Positive DLBCL, NOS and Primary Bladder Lymphoma
7. Differential Diagnoses and Potential Diagnostic Pitfalls
8. Treatment of Primary UB-DLBCL
9. Conclusions
Supplementary Materials
Author Contributions
Funding
Data Availability Statement
Conflicts of Interest
References
- WHO Classification of Tumours Editorial Board (Ed.) WHO Classification of Tumours Haematopoietic and Lymphoid Tissues, 4th ed.; IARC: Lyon, France, 2017. [Google Scholar]
- Zucca, E.; Roggero, E.; Bertoni, F.; Cavalli, F. Primary extranodal non-Hodgkin’s lymphomas. Part 1: Gastrointestinal, cutaneous and genitourinary lymphomas. Ann. Oncol. 1997, 8, 727–737. [Google Scholar] [CrossRef]
- Jacobs, A.; Symington, T. Primary lymphosarcoma of urinary bladder. Br. J. Urol. 1953, 25, 119–126. [Google Scholar] [CrossRef] [PubMed]
- Sommezer, M.; Ustun, Y.; Gungor, M.; Ensari, A. Primary lymphoma of the urinary bladder presenting as a large pelvic mass. J. Pak. Med. Assoc. 2002, 71, 5–9. [Google Scholar]
- Maninderpal, K.G.; Amir, F.H.; Azad, H.A.; Mun, K.S. Imaging findings of a primary bladder maltoma. Br. J. Radiol. 2011, 84, 186–190. [Google Scholar] [CrossRef] [PubMed] [Green Version]
- Bhutani, N.; Goel, V.; Kajal, P.; Pawar, D.; Sharma, P.; Sen, R. Primary extranodal non-Hodgkin’s lymphoma of urinary bladder presenting as a bladder tumor: A case report. Ann. Med. Surg. 2020, 56, 68–71. [Google Scholar] [CrossRef] [PubMed]
- Schniederjan, S.D.; Osunkoya, A.O. Lymphoid neoplasms of the urinary tract and male genital organs: A clinicopathological study of 40 cases. Mod. Pathol. 2009, 22, 1057–1065. [Google Scholar] [CrossRef] [PubMed] [Green Version]
- Lontos, K.; Tsagianni, A.; Msaouel, P.; Appleman, L.J.; Nasioudis, D. Primary urinary tract lymphoma: Rare but aggressive. Anticancer Res. 2017, 37, 6989–6995. [Google Scholar]
- Venyo, A.K.-G. Lymphoma of the urinary bladder. Adv. Urol. 2014, 2014, 327917. [Google Scholar] [CrossRef] [Green Version]
- Hughes, M.; Morrison, A.; Jackson, R. Primary bladder lymphoma: Management and outcome of 12 patients with a review of the literature. Leuk. Lymphoma 2005, 46, 873–877. [Google Scholar] [CrossRef]
- Bates, A.W.; Norton, A.J.; Baithun, S.I. Malignant lymphoma of the urinary bladder: A clinicopathological study of 11 cases. J. Clin. Pathol. 2000, 53, 48–461. [Google Scholar] [CrossRef] [Green Version]
- Simpson, W.G.; Lopez, A.; Babbar, P.; Payne, L.F. Primary bladder lymphoma, diffuse large B-cell type: Case report and literature review of 26 cases. Urol. Ann. 2015, 7, 268–272. [Google Scholar] [CrossRef] [PubMed]
- Hayashi, A.; Miyakawa, Y.; Bokuda, K.; Kimura, T.; Nakashima, E.; Irie, R.; Sugiura, H.; Suzuki, T.; Ohsone, Y.; Akizuki, S. Primary diffuse large B-cell lymphoma of the bladder. Inter. Med. 2009, 48, 1403–1406. [Google Scholar] [CrossRef] [PubMed] [Green Version]
- Liu, Z.H.; Yang, L.C.; Song, P.; Fang, K.; Zhou, J.; Peng, Z.F.; Dong, Q. Primary diffuse large B-cell lymphoma of the urinary tract: A population based analysis. Front. Oncol. 2021, 11, 609882. [Google Scholar] [CrossRef] [PubMed]
- Kempton, C.L.; Kurtin, P.J.; Inwards, D.J.; Wollan, P.; Bostwick, D.G. Malignant lymphoma of the bladder: Evidence from 36 cases that low-grade lymphoma of the malt-type is the most common bladder lymphoma. Am. J. Surg. Pathol. 1997, 21, 1324–1333. [Google Scholar] [CrossRef]
- Castillo, J.J.; Winer, E.S.; Olszewski, A.J. Sites of extranodal involvement are prognostic in patients with diffuse large B-cell lymphoma in the rituximab era: An analysis of the surveillance, epidemiology and end results data base. Am. J. Hematol. 2014, 89, 310–314. [Google Scholar] [CrossRef]
- Krol, A.D.G.; le Cessie, S.; Snijder, S.; Kluin-Nelemans, J.C.; Kluin, P.M.; Noordijk, E.M. Primary extranodal non-Hodgkin’s lymphoma (NHL): The impact of alternative definitions tested by Comprehensive Cancer Centre West population-based NHL registry. Ann. Oncol. 2003, 14, 131–139. [Google Scholar] [CrossRef]
- Zanelli, M.; Valli, R.; Capodanno, I.; Ragazzi, M.; Ascani, S. Anaplastic lymphoma kinase-positive large B-cell lymphoma: Description of a case with an unexpected clinical outcome. Int. J. Surg. Pathol. 2015, 23, 78–83. [Google Scholar] [CrossRef]
- Zanelli, M.; Zizzo, M.; Montanaro, M.; Gomes, V.; Martino, G.; De Marco, L.; Orcioni, G.F.; Martelli, M.P.; Ascani, S. Fibrin- associated large B-cell lymphoma: First case report within a cerebral artery aneurysm and literature review. BMC Cancer 2019, 19, 916. [Google Scholar] [CrossRef] [Green Version]
- Alizadeh, A.A.; Eisen, M.B.; Davis, R.E.; Ma, C.; Lossos, I.S.; Rosenwald, A.; Boldrick, J.C.; Sabet, H.; Tran, T.; Yu, X.; et al. Distinct types of diffuse large B-cell lymphoma identified by gene expression profiling. Nat. Cell. Biol. 2000, 403, 503–511. [Google Scholar] [CrossRef]
- Rosenwald, A.; Wright, G.; Chan, W.C.; Connors, J.M.; Campo, E.; Fisher, R.I.; Gascoyne, R.D.; Muller-Hermelink, H.K.; Smeland, E.B.; Giltnane, J.M.; et al. The use of molecular profiling to predict survival after chemotherapy for diffuse large B-cell lymphoma. N. Engl. J. Med. 2002, 346, 1937–1947. [Google Scholar] [CrossRef]
- Liu, Y.; Barta, S.K. Diffuse large B-cell lymphoma: 2019 update on diagnosis, risk stratification and treatment. Am. J. Hematol. 2019, 94, 604–616. [Google Scholar] [CrossRef] [PubMed] [Green Version]
- Xie, Y.; Pittaluga, S.; Jaffe, E.S. The histological classification of diffuse large B-cell lymphomas. Semin. Hematol. 2015, 52, 57–66. [Google Scholar] [CrossRef] [PubMed] [Green Version]
- Susanibar-Adaniya, S.; Barta, S.K. 2021 update on Diffuse large B-cell lymphoma: A review of current data and potential applications on risk stratification and management. Am. J. Hematol. 2021, 96, 617–629. [Google Scholar] [CrossRef]
- Pileri, S.A.; Tripodo, C.; Melle, F.; Motta, G.; Tabanelli, V.; Fiori, S.; Vegliante, M.C.; Mazzara, S.; Ciavarella, S.; Derenzini, E. Predictive and prognostic molecular factors in diffuse large B-cell lymphomas. Cells 2021, 10, 675. [Google Scholar] [CrossRef] [PubMed]
- Hans, C.P.; Weisenburger, D.D.; Greiner, T.C.; Gascoyne, R.D.; Delabie, J.; Ott, G.; Muller-Hermelink, H.K.; Campo, E.; Braziel, R.M.; Jaffe, E.S.; et al. Confirmation of the molecular classification of diffuse large B-cell lymphoma by immunohistochemistry using a tissue microarray. Blood 2004, 103, 275–282. [Google Scholar] [CrossRef]
- Choi, W.W.L.; Weisenburger, D.D.; Greiner, T.C.; Piris, M.A.; Banham, A.H.; Delabie, J.; Braziel, R.M.; Geng, H.; Iqbal, J.; Lenz, G.; et al. A new immunostain algorithm classifies diffuse large B-cell lymphoma into molecular subtypes with high accuracy. Clin. Cancer Res. 2009, 15, 5494–5502. [Google Scholar] [CrossRef] [PubMed] [Green Version]
- Visco, C.; Li, Y.; Xu-Monette, Z.Y.; Miranda, R.N.; Green, T.M.; Tzankov, A.; Wen, W.; Liu, W.M.; Kahl, B.S.; d’Amore, E.S.G.; et al. Comprehensive gene expression profiling and immunohistochemical studies support application of immunophenotypic algorithm for molecular subtype classification in diffuse large B-cell lymphoma: A report from the International DLBCL Rituximab-CHOP Consortium Program Study. Leukemia 2012, 26, 2103–2113. [Google Scholar]
- Yoon, N.; Ahn, S.; Yoo, H.Y.; Kim, S.J.; Kim, W.S.; Ko, Y.H. Cell-of-origin of diffuse large B-cell lymphomas determined by the Lymph2Cx assay: Better prognostic indicator than Hans algorithm. Oncotarget 2017, 8, 22014–22022. [Google Scholar] [CrossRef]
- Schmitz, R.; Wright, G.W.; Huang, D.W.; Johson, C.A.; Phelan, J.D.; Wang, J.Q.; Roulland, S.; Kasbekar, M.; Young, R.M.; Shaffer, A.L.; et al. Genetics and pathogenesis of Diffuse large B-cell lymphoma. N. Engl. J. Med. 2018, 378, 1396–1407. [Google Scholar] [CrossRef]
- Sundaram, S.; Zhang, K. Epstein-Barr virus positive B-cell lymphoproliferative disorder/polymorphous B-cell lymphoma of the urinary bladder: A case report with review of the literature. Indian J. Urol. 2009, 25, 129–131. [Google Scholar] [CrossRef]
- Ogihara, K.; Kosaka, T.; Kikuchi, E.; Hongo, H.; Mikami, S.; Oya, M. Spontaneous regression of Epstein-Barr virus-positive primary diffuse large B-cell lymphoma of the urinary bladder after the cessation of enzalutamide. Clin. Genitourin. Cancer 2016, 14, e215–e218. [Google Scholar] [CrossRef] [PubMed]
- Swerdlow, S.H.; Campo, E.; Harris, N.L.; Jaffe, E.S.; Pileri, S.A.; Stein, H.; Thiele, J.; Vardiman, J.W. WHO Classification of Tumours of Haematopoietic and Lymphoid Tissue; IARC: Lyon, France, 2008. [Google Scholar]
- Oyama, T.; Yamamoto, K.; Asano, N.; Oshiro, A.; Suzuki, R.; Kagami, Y.; Morishima, Y.; Takeuki, K.; Izumo, T.; Mori, S.; et al. Age-related EBV-associated B-cell lymphoproliferative disorders constitute a distinct clinicopathologic group: A study of 96 patients. Clin. Cancer Res. 2007, 13, 5124–5132. [Google Scholar] [CrossRef] [Green Version]
- Nicolae, A.; Pittaluga, S.; Abdullah, S.; Steinberg, S.M.; Pham, T.A.; Davies-Hill, T.; Xi, L.-Q.; Raffeld, M.; Jaffe, E.S. EBV-positive large B-cell lymphomas in young patients: A nodal lymphoma with evidence for a tolerogenic immune environment. Blood 2015, 126, 863–872. [Google Scholar] [CrossRef] [Green Version]
- Uccini, S.; Al-Jadiry, M.F.; Scarpino, S.; Ferraro, D.; Alsaadawi, A.R.; Al-Darraji, A.F.; Moletti, M.L.; Testi, A.M.; Al-Hadad, S.A.; Ruco, L. Epstein-Barr virus-positive diffuse large B-cell lymphoma in children: A disease reminiscent of Epstein Barr virus-positive diffuse large B-cell lymphoma of the elderly. Hum. Pathol. 2015, 46, 716–724. [Google Scholar] [CrossRef] [PubMed]
- Dojcinov, S.D.; Venkataraman, G.; Pittaluga, S.; Wlodarska, I.; Schrager, J.A.; Raffeld, M.; Hills, R.K.; Jaffe, E.S. Age-related EBV associated lymphoproliferative disorders in the western population: A spectrum of reactive lymphoid hyperplasia and lymphoma. Blood 2011, 117, 4726–4735. [Google Scholar] [CrossRef] [Green Version]
- Miyagi, S.; Ishikawa, E.; Nakamura, M.; Shimada, K.; Yamamura, T.; Furukawa, K.; Tanaka, T.; Mabuchi, S.; Tsuyuki, Y.; Kohno, K.; et al. Reappraisal of primary Epstein-Barr virus (EBV)-positive diffuse large B-cell lymphoma of the gastrointestinal tract. Am. J. Surg. Pathol. 2020, 44, 1173–1183. [Google Scholar] [CrossRef] [PubMed]
- Zanelli, M.; Sanguedolce, F.; Palicelli, A.; Zizzo, M.; Martino, G.; Caprera, C.; Fragliasso, V.; Soriano, A.; Valle, L.; Ricci, S.; et al. EBV-driven lymphoproliferative disorders and lymphomas of the gastrointestinal tract: A spectrum of entities with a common denominator (Part 1). Cancers 2021, 13, 4578. [Google Scholar] [CrossRef]
- Castillo, J.J.; Beltran, B.E.; Miranda, R.N.; Young, K.H.; Chavez, J.C.; Sotomayor, E.M. EBV-positive large B-cell lymphoma, not otherwise specified: 2018 update on diagnosis, risk-stratification and management. Am. J. Hematol. 2018, 93, 953–962. [Google Scholar] [CrossRef] [Green Version]
- Kato, H.; Karube, K.; Yamamoto, K.; Takizawa, J.; Tsuzuki, S.; Yatabe, Y.; Kanda, T.; Katayama, M.; Ozawa, Y.; Ishitsuka, K.; et al. Gene expression profiling of Epstein-Barr virus-positive diffuse large B-cell lymphoma of the elderly reveals characteristic oncogenic pathways. Cancer Sci. 2014, 105, 537–544. [Google Scholar] [CrossRef]
- Sundram, U.; Harvell, J.D.; Rouse, R.V.; Natkunam, Y. Expression of the B-cell proliferation marker MUM1 by melanocytic lesions and comparison with S100, gp100 (HMB45), and MelanA. Mod. Pathol. 2003, 16, 802–810. [Google Scholar] [CrossRef] [Green Version]
- Sanguedolce, F.; Calò, B.; Mancini, V.; Zanelli, M.; Palicelli, A.; Zizzo, M.; Ascani, S.; Carrieri, G.; Cormio, L. Non-muscle invasive bladder cancer with variant histology: Biological features and clinical implications. Oncology 2021, 99, 345–358. [Google Scholar] [CrossRef] [PubMed]
- Holmang, S.; Borghede, G.; Johansson, S.L. Bladder carcinoma with lymphoepithelioma-like differentiation: A report of 9 cases. J. Urol. 1998, 159, 779–782. [Google Scholar] [CrossRef]
- Lopez-Beltran, A.; Luque, R.J.; Vicioso, L.; Anglada, F.; Requena, M.J.; Quintero, A. Lymphoepithelioma-like carcinoma of the urinary bladder: A clinicopathologic study of 13 cases. Virchows Arch. 2001, 438, 552–557. [Google Scholar] [CrossRef] [PubMed]
- Nylander, K.; Vojtesek, B.; Nenutil, R.; Lindgren, B.; Roos, G.; Zhanxiang, W.; Sjostrom, B.; Dahlqvist, A.; Coates, P.J. Differential expression of p63 isoforms in normal tissue and neoplastic cells. J. Pathol. 2002, 198, 417–427. [Google Scholar] [CrossRef] [PubMed]
- Hedvat, C.V.; Teruya-Feldstein, J.; Piug, P.; Capodieci, P.; Dudas, M.; Pica, N.; Quin, J.; Cordon-Cardo, C.; Di Como, C.J. Expression of p63 in diffuse large B-cell lymphoma. Appl. Immunohistochem. Mol. Morphol. 2005, 13, 237–242. [Google Scholar] [CrossRef]
- Neto, A.F.H.; Siqueira, S.A.C.; Dulley, F.I.; Ruiz, M.A.; Chamone, D.A.F.; Pereira, J. p63 protein expression in high risk diffuse large B-cell lymphoma. J. Clin. Pathol. 2009, 62, 77–79. [Google Scholar] [CrossRef] [Green Version]
- Deel, C.D.; Jones, C.; Scordino, T. A case of p63 positive diffuse large B cell lymphoma of the bladder. Case Rep. Hematol. 2016, 2016, 4348208. [Google Scholar] [CrossRef]
- Najafabadi, M.K.; Mirzaeian, E.; Montazerin, S.M.; Tavangar, A.R.; Tabary, M.; Tavangar, S.M. Role of GATA 3 in tumor diagnosis: A review. Pathol. Res. Pract. 2021, 226, 153611. [Google Scholar] [CrossRef]
- Atayar, C.; Poppema, S.; Biokzijl, T.; Harms, G.; Boot, M.; van den Berg, A. Expression of the T-cell transcription factors, GATA-3 and T-bet, in the neoplastic cells of Hodgkin lymphomas. Am. J. Pathol. 2005, 166, 127–134. [Google Scholar] [CrossRef] [Green Version]
- Zhang, W.; Wang, Z.; Luo, Y.; Zhong, D.; Luo, Y.; Zhou, D. GATA3 expression correlates with poor prognosis and tumor-associated macrophage infiltration in peripheral T cell lymphoma. Oncotarget 2016, 7, 65284–65294. [Google Scholar] [CrossRef] [Green Version]
- Delecleuse, H.J.; Anagnostopoulos, I.; Dallenbach, F.; Hummel, M.; Marafioti, T.; Schneider, U.; Huhn, D.; Schmidt-Westhausen, A.; Reichart, P.A.; Gross, U.; et al. Plasmablastic lymphomas of the oral cavity: A new entity associated with the human immunodeficiency virus infection. Blood 1997, 89, 1413–1420. [Google Scholar] [CrossRef]
- Zizzo, M.; Zanelli, M.; Martiniani, R.; Sanguedolce, F.; De Marco, L.; Martino, G.; Parente, P.; Annessi, V.; Manzini, L.; Ascani, S. Oral plasmablastic lymphoma: A case report. Medicine 2020, 99, e22335. [Google Scholar] [CrossRef] [PubMed]
- Morscio, J.; Dierickx, D.; Nijs, J.; Verhoef, G.; Bittoun, E.; Vanoeteren, X.; Wlodarska, I.; Sagaert, X.; Tousseyn, T. Clinicopathologic comparison of plasmablastic lymphoma in HIV-positive, immunocompetent and posttransplant patients single-center series of 25 cases and meta-analysis of 277 reported cases. Am. J. Surg. Pathol. 2014, 38, 875–886. [Google Scholar] [CrossRef] [PubMed]
- Castillo, J.J.; Bibas, M.; Miranda, R.N. The biology and treatment of plasmablastic lymphoma. Blood 2015, 125, 2323–2330. [Google Scholar] [CrossRef] [Green Version]
- Harmon, C.M.; Smith, L.B. Plasmablastic lymphoma a review of clinicopathologic features and differential diagnosis. Arch. Pathol. Lab. Med. 2016, 140, 1074–1078. [Google Scholar] [CrossRef] [Green Version]
- Zanelli, M.; Ragazzi, M.; Valli, R.; De Marco, L.; Cecinato, P.; Azzolini, F.; Ferrari, A.; Bacci, F.; Ascani, S. Unique presentation of a plasmablastic lymphoma superficially involving the entire large bowel. Pathol. Res. Pract. 2015, 211, 1030–1033. [Google Scholar] [CrossRef]
- Sanguedolce, F.; Zanelli, M.; Zizzo, M.; Martino, G.; Rossi, C.; Parente, P.; Ascani, S. Clinical, pathological and molecular features of plasmablastic lymphoma arising in the gastrointestinal tract: A review and reappraisal. Pathol. Res. Pract. 2020, 216, 152973. [Google Scholar] [CrossRef]
- Tille, J.C.; Pelte, M.F.; Schwartz, J.; Dietrich, P.Y.; McKee, T.A. Plasmablastic lymphoma clinically presenting in the urinary tract. Ann. Diagn. Pathol. 2012, 16, 219–223. [Google Scholar] [CrossRef]
- Jafarizade, M.; Goli, K.; D’Agati, V.; Dulaimi, E.; Daniel, K.; Lash, B.; Maynard, S. Light chain cast nephropathy caused by plasmablastic lymphoma of the bladder. Clin. Nephrol. -Case Stud. 2021, 9, 72–80. [Google Scholar] [CrossRef]
- Cesarman, E.; Chang, Y.; Moore, P.S.; Said, J.W.; Knowles, D.M. Kaposi’s sarcoma-associated herpesvirus-like DNA sequences in AIDS-related body cavity-based lymphomas. NEJM 1995, 332, 1186–1191. [Google Scholar] [CrossRef]
- Zanelli, M.; Sanguedolce, F.; Zizzo, M.; Palicelli, A.; Bassi, M.C.; Santandrea, G.; Martino, G.; Soriano, A.; Caprera, C.; Corsi, M.; et al. Primary effusion lymphoma occurring in the setting of transplanted patients: A systematic review of a rare, life-threatening post-transplantation occurrence. BMC Cancer 2021, 21, 468. [Google Scholar] [CrossRef] [PubMed]
- Zanelli, M.; Zizzo, M.; Bisagni, A.; Froio, E.; De Marco, L.; Valli, R.; Filosa, A.; Luminari, S.; Martino, G.; Massaro, F.; et al. Germinotropic lymphoproliferative disorder: A systematic review. Ann. Hematol. 2020, 99, 2243–2253. [Google Scholar] [CrossRef] [PubMed]
- Chadburn, A.; Hyjek, E.; Mathew, S.; Cesarman, E.; Said, J.; Knowles, D.M. KSHV-positive solid lymphomas represent an extra-cavitary variant of primary effusion lymphoma. Am. J. Surg. Pathol. 2004, 28, 1401–1416. [Google Scholar] [CrossRef] [PubMed]
- Kim, Y.; Leventaki, V.; Bhaijee, F.; Jackson, C.C.; Medeiros, L.J.; Vega, F. Extracavitary/solid variant of primary effusion lymphoma. Ann. Diagn. Pathol. 2012, 16, 441–446. [Google Scholar] [CrossRef] [PubMed]
- Pan, Z.G.; Zhang, Q.Y.; Lu, Z.B.L.; Quinto, T.; Rozenvald, I.B.; Liu, L.T.; Wilson, D.; Reddy, V.; Huang, Q.; Wang, H.Y.; et al. Extracavitary KSHV-associated large B-cell lymphoma: A distinct entity or a subtype of primary effusion lymphoma? Study of 9 cases and review of an additional 43 cases. Am. J. Surg. Pathol. 2012, 36, 1129–1140. [Google Scholar] [CrossRef] [PubMed]
- Zanelli, M.; Bertuzzi, C.; Zizzo, M.; Martino, G.; Sabattini, E.; Ascani, S. Extracavitary primary effusion lymphoma in a post-transplantation patient. Br. J. Haematol. 2019, 187, 555. [Google Scholar] [CrossRef]
- Kabiawu-Ajise, O.E.; Harris, J.; Ismaili, N.; Amorosi, E.; Ibrahim, S. Primary effusion lymphoma with central nervous system involvement in an HIV-negative homosexual male. Acta Haematol. 2012, 128, 77–82. [Google Scholar] [CrossRef]
- Pielasinski, U.; Santonja, C.; Rodriguez-Pinilla, S.M.; Requena, L. Extracavitary primary effusion lymphoma presenting as a cutaneous tumor: A case report and literature review. J. Cutan. Pathol. 2014, 41, 745–753. [Google Scholar] [CrossRef]
- Tong, J.; Jadallah, S.; Rodgers, W.H.; Jung, G.; Fulman, M.; Swaika, A. A rare case of extracavitary primary effusion lymphoma in the bladder and ureter. Case Rep. Hematol. 2020, 2020, 6124325. [Google Scholar] [CrossRef]
- Zanelli, M.; Sanguedolce, F.; Palicelli, A.; Zizzo, M.; Martino, G.; Caprera, C.; Fragliasso, V.; Soriano, A.; Valle, L.; Ricci, S.; et al. EBV-driven lymphoproliferative disorders and lymphomas of the gastrointestinal tract: A spectrum of entities with a common denominator (Part 2). Cancers 2021, 13, 4527. [Google Scholar] [CrossRef]
- Fujiwara, H.; Odawara, J.; Hayama, B.; Takanahi, Y.; Iwama, K.I.; Yamakura, M.; Takeuchi, M.; Matuse, K. Gross hematopyuria presenting as a first symptom due to bladder infiltration of extranodal Burkitt’s lymphoma. JCO 2010, 28, e252–e253. [Google Scholar] [CrossRef] [PubMed]
- Mearini, E.; Zucchi, A.; Costantini, E.; Fornetti, P.; Tiacci, E.; Mearini, L. Primary Burkitt’s lymphoma of bladder in patient with AIDS. J. Urol. 2002, 167, 1397–1398. [Google Scholar] [CrossRef]
- Armitage, J.O. How I treat patients with Diffuse large B-cell lymphoma. Blood 2007, 110, 29–36. [Google Scholar] [CrossRef] [PubMed] [Green Version]
- Sehn, L.H.; Salles, G. Diffuse large B-cell lymphoma. N. Engl. J. Med. 2021, 384, 842–858. [Google Scholar] [CrossRef]
- Ishikawa, E.; Kato, S.; Shimada, K.; Tanaka, T.; Suzuki, Y.; Satou, A.; Kohno, K.; Sakakibara, A.; Yamamura, T.; Nakamura, M.; et al. Clinicopathological analysis of primary intestinal diffuse large B-cell lymphoma: Prognostic evaluation of CD5, PD-L1 and Epstein-Barr virus on tumor cells. Cancer Med. 2018, 7, 6051–6063. [Google Scholar] [CrossRef]
- Palicelli, A.; Bonacini, M.; Croci, S.; Magi-Galluzzi, C.; Canete-Portillo, S.; Chaux, A.; Bisagni, A.; Zanetti, E.; De Biase, D.; Melli, B.; et al. What do we have to know about PD-L1 expression in prostate cancer? A systematic literature review. Part 1: Focus on immunohistochemical results with discussion of preanalyticaland interpretation variables. Cells 2021, 10, 3166. [Google Scholar] [CrossRef]
- McCord, R.; Bolen, C.R.; Koeppen, H.; Kadel, E.E.; Oestergaard, M.Z.; Nielsen, T.; Sehn, L.H.; Venstrom, J.M. PD-L1 and tumor-associated macrophages in de novo DLBCL. Blood Adv. 2019, 3, 531–540. [Google Scholar] [CrossRef]
- Kiyasu, J.; Miyoshi, H.; Hirata, A.; Arakawa, F.; Ichikawa, A.; Niino, D.; Sugita, Y.; Yufu, Y.; Choi, I.; Abe, Y.; et al. Expression of programmed cell death ligand 1 is associated with poor overall survival in patients with diffuse large B-cell lymphoma. Blood 2015, 126, 2193–2201. [Google Scholar] [CrossRef]




Publisher’s Note: MDPI stays neutral with regard to jurisdictional claims in published maps and institutional affiliations. |
© 2022 by the authors. Licensee MDPI, Basel, Switzerland. This article is an open access article distributed under the terms and conditions of the Creative Commons Attribution (CC BY) license (https://creativecommons.org/licenses/by/4.0/).
Share and Cite
Zanelli, M.; Sanguedolce, F.; Zizzo, M.; Palicelli, A.; Pellegrini, D.; Farinacci, S.; Soriano, A.; Froio, E.; Cormio, L.; Carrieri, G.; et al. Primary Diffuse Large B-Cell Lymphoma of the Urinary Bladder: Update on a Rare Disease and Potential Diagnostic Pitfalls. Curr. Oncol. 2022, 29, 956-968. https://doi.org/10.3390/curroncol29020081
Zanelli M, Sanguedolce F, Zizzo M, Palicelli A, Pellegrini D, Farinacci S, Soriano A, Froio E, Cormio L, Carrieri G, et al. Primary Diffuse Large B-Cell Lymphoma of the Urinary Bladder: Update on a Rare Disease and Potential Diagnostic Pitfalls. Current Oncology. 2022; 29(2):956-968. https://doi.org/10.3390/curroncol29020081
Chicago/Turabian StyleZanelli, Magda, Francesca Sanguedolce, Maurizio Zizzo, Andrea Palicelli, David Pellegrini, Sabrina Farinacci, Alessandra Soriano, Elisabetta Froio, Luigi Cormio, Giuseppe Carrieri, and et al. 2022. "Primary Diffuse Large B-Cell Lymphoma of the Urinary Bladder: Update on a Rare Disease and Potential Diagnostic Pitfalls" Current Oncology 29, no. 2: 956-968. https://doi.org/10.3390/curroncol29020081
APA StyleZanelli, M., Sanguedolce, F., Zizzo, M., Palicelli, A., Pellegrini, D., Farinacci, S., Soriano, A., Froio, E., Cormio, L., Carrieri, G., Cavazza, A., Merli, F., Pileri, S. A., & Ascani, S. (2022). Primary Diffuse Large B-Cell Lymphoma of the Urinary Bladder: Update on a Rare Disease and Potential Diagnostic Pitfalls. Current Oncology, 29(2), 956-968. https://doi.org/10.3390/curroncol29020081

