Next Issue
Volume 13, 11
Previous Issue
Volume 13, 09
 
 
cardiovascmed-logo

Journal Browser

Journal Browser
Cardiovascular Medicine is published by MDPI from Volume 28 Issue 1 (2025). Previous articles were published by another publisher in Open Access under a CC-BY (or CC-BY-NC-ND) licence, and they are hosted by MDPI on mdpi.com as a courtesy and upon agreement with Editores Medicorum Helveticorum (EMH).

Cardiovasc. Med., Volume 13, Issue 10 (10 2010) – 6 articles

  • Issues are regarded as officially published after their release is announced to the table of contents alert mailing list.
  • You may sign up for e-mail alerts to receive table of contents of newly released issues.
  • PDF is the official format for papers published in both, html and pdf forms. To view the papers in pdf format, click on the "PDF Full-text" link, and use the free Adobe Reader to open them.
Order results
Result details
Select all
Export citation of selected articles as:
1 pages, 211 KB  
Interesting Images
Stroke and Pulmonary Opacity
by Jean-Jacques Goy, Laurent Poncioni, Patrick Monnier, François Perret and John Wellinger
Cardiovasc. Med. 2010, 13(10), 318; https://doi.org/10.4414/cvm.2010.01530 - 13 Oct 2010
Viewed by 50
Abstract
A 46-year-old woman patient was admitted for transient ischaemic attack. She was not taking medication and had no history of cardiac or vascular problems [...] Full article
Show Figures

Figure 1

1 pages, 156 KB  
Interesting Images
Lipämisches Serum…
by Christoph Henzen
Cardiovasc. Med. 2010, 13(10), 317; https://doi.org/10.4414/cvm.2010.01531 - 13 Oct 2010
Viewed by 58
Abstract
Ein 47-jähriger Sanitärinstallateur tritt notfallmässig mit Oberbauchschmerzen, Nausea und mehrmaliger Emesis ein [...] Full article
Show Figures

Figure 1

4 pages, 142 KB  
Case Report
Churg-Strauss Syndrome
by Sina Lautwein, Frank Enseleit, Urs Schwarz and Thomas F. Lüscher
Cardiovasc. Med. 2010, 13(10), 313; https://doi.org/10.4414/cvm.2010.01533 - 13 Oct 2010
Viewed by 61
Abstract
A 62-year-old patient was admitted to our hospital because of severe fatigue, headache, arthralgias, myalgias and an unsteady gait. She presented with a reduced general condition and splinter haemorrhages of the fingers. Due to a known history of asthma, signs of eosinophilia, sinusitis, [...] Read more.
A 62-year-old patient was admitted to our hospital because of severe fatigue, headache, arthralgias, myalgias and an unsteady gait. She presented with a reduced general condition and splinter haemorrhages of the fingers. Due to a known history of asthma, signs of eosinophilia, sinusitis, endomyocardial thrombotic apposition in both chambers and neurological deterioration, the diagnosis of multisystem vasculitis (ChurgStrauss syndrome) was made. The symptoms resolved after steroid therapy. Churg-Strauss syndrome is a rare necrotising systemic inflammatory vasculitis of the small and medium-size vessels. Typically, the disease has three distinct stages, which can possibly involve several organic systems (e.g., pulmonary, cardial, renal and nervous system). The treatment for ChurgStrauss syndrome includes steroids and/or other immunosuppressive drugs. After introduction of steroid therapy, the prognosis of the disease improves significantly, but heart failure remains as a major determinant of mortality. Full article
Show Figures

Figure 1

4 pages, 256 KB  
Case Report
Die Fontan-Konversion—Oder das Schicksal, Die Erste zu Sein
by Kerstin Wustmann, Alexander Kadner, Jean-Pierre Pfammatter, Etienne Delacrétaz, Thierry Carrel and Markus Schwerzmann
Cardiovasc. Med. 2010, 13(10), 309; https://doi.org/10.4414/cvm.2010.01532 - 13 Oct 2010
Viewed by 54
Abstract
We report the case of the first patient with tricuspid atresia in whom an “old-fashioned” Fontan operation with an atriopulmonary anastomosis was performed in our hospital 18 years ago. Complications of the former “classical” Fontan circulation can include progressive right atrial dilatation leading [...] Read more.
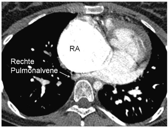
We report the case of the first patient with tricuspid atresia in whom an “old-fashioned” Fontan operation with an atriopulmonary anastomosis was performed in our hospital 18 years ago. Complications of the former “classical” Fontan circulation can include progressive right atrial dilatation leading to tachyarrhythmias, flow energy loss, obstruction of pulmonary veins, right atrial thrombi and the formation of pulmonary arteriovenous fistulas. In order to palliate our patient from recurrent atrial tachyarrhythmias and increasing haemodynamic disturbances, the previous “old-fashioned” Fontan circulation was surgically revised and converted according to a “modern” type of extracardiac Fontan circulation with additional anti-arrhythmic procedures. The post-operative course was uneventful. After recovery from surgery, the patient’s quality of life improved. She is free from atrial tachycardias and shows an increased exercise capacity. We will briefly discuss the complications of the classical Fontan circulation and the possible risks of the Fontan conversion. After having been the first Fontan patient in our center, our patient was again the first to require a major revision of its circulation. Full article
Show Figures

Figure 1

7 pages, 850 KB  
Editorial
Suivi à Distance de Stimulateurs Cardiaques et Défibrillateurs Implantables: État des Lieux
by David Senouf and Haran Burri
Cardiovasc. Med. 2010, 13(10), 302; https://doi.org/10.4414/cvm.2010.01535 - 13 Oct 2010
Viewed by 55
Abstract
Introduction of wireless technology to certain pacemakers and implantable cardioverter defibrillators allow them to automatically communicate with home transmitters, which then relay data to the physician. In the United States, theses systems are widely used for remote monitoring and follow-up of patients with [...] Read more.
Introduction of wireless technology to certain pacemakers and implantable cardioverter defibrillators allow them to automatically communicate with home transmitters, which then relay data to the physician. In the United States, theses systems are widely used for remote monitoring and follow-up of patients with implantable devices since several years, and have been more recently introduced in Switzerland. In this article, we describe the currently existing systems, review the evidence regarding remote monitoring of pacemakers and defibrillators, and discuss some pending issues. Full article
Show Figures

Figure 1

5 pages, 271 KB  
Review
Neue Empfehlungen zur Antibiotischen Endokarditisprophylaxe: Pädiatrische Applikation
by Joëlle Günthard and Walter Knirsch
Cardiovasc. Med. 2010, 13(10), 297; https://doi.org/10.4414/cvm.2010.01534 - 13 Oct 2010
Cited by 1 | Viewed by 65
Abstract
Infective endocarditis in childhood is still associated with considerable morbidity and mortality. Based on the new Swiss guidelines for prophylaxis, paediatric cardiologists have worked out a consensus which is presented in this place. Special attention is paid to the difference between paediatrics and [...] Read more.
Infective endocarditis in childhood is still associated with considerable morbidity and mortality. Based on the new Swiss guidelines for prophylaxis, paediatric cardiologists have worked out a consensus which is presented in this place. Special attention is paid to the difference between paediatrics and adult medicine concerning prophylaxis. Furthermore the reasons why extreme caution is needed in childhood are shown. In addition to the propositions in the new guidelines the Swiss Society of Paediatric Cardiology recommend antibiotic endocarditis prophylaxis for unoperated acyanotic heart defects with a risk of endothelial lesions (aortic valve lesions and VSD). In childhood, endocarditis prophylaxis covers meticulous dental hygiene and selective antibiotic therapy if there is a risk of bacteraemia. Overtreatment, that is giving broad spectrum antibiotics for viral infections or fever of unknown origin has to be avoided. To evaluate the new “guidelines” and potential further modifications a prospective data collection of paediatric endocarditis cases in Switzerland is mandatory. Full article
Show Figures

Figure 1

Previous Issue
Next Issue
Back to TopTop