Next Article in Journal
New Quality Indicator for Treatment of Acute Myocardial Infarction
Previous Article in Journal
Obstructive Sleep Apnoea and Heart Failure
 
 
Cardiovascular Medicine is published by MDPI from Volume 28 Issue 1 (2025). Previous articles were published by another publisher in Open Access under a CC-BY (or CC-BY-NC-ND) licence, and they are hosted by MDPI on mdpi.com as a courtesy and upon agreement with Editores Medicorum Helveticorum (EMH).
Font Type:
Arial Georgia Verdana
Font Size:
Aa Aa Aa
Line Spacing:
Column Width:
Background:
Case Report

Interventional Valve-Under-Valve Implantation

by
Oliver T. Reuthebuch
1,*,
Christoph Kaiser
2,
Markus Maurer
3,
Friedrich Eckstein
1 and
Martin Grapow
1
1
Clinic for Cardiac Surgery, University Hospital Basel, Basel, Switzerland
2
Department of Cardiology, University Hospital Basel, Basel, Switzerland
3
Department of Anaesthesiology, University Hospital Basel, Basel, Switzerland
*
Author to whom correspondence should be addressed.
Cardiovasc. Med. 2016, 19(7-8), 220; https://doi.org/10.4414/cvm.2016.00427
Submission received: 10 May 2016 / Revised: 10 June 2016 / Accepted: 10 July 2016 / Published: 10 August 2016

Abstract

We present a case of false deployment of a self-expandable transcatheter aortic valve implantation (TAVI) prosthesis due to inadvertent and incorrect release of an eyelet in the crown of the valve resulting in a tilted valve. Hence the prosthesis had to be deployed in an anatomically and functionally inappropriate position above the coronary ostia at the level of the sinotubular junction. Because of previous coronary artery bypass grafting with patent grafts, conventional re-do surgery as bailout was rejected and implantation of a second, balloon-expandable TAVI prostheses favoured instead. This caused a valve-under-valve situation. Because of the patent bypass grafts, myocardial ischaemia could be prevented, although diastolic myocardial perfusion via native coronaries was restricted in this unique setting. The postoperative course was uneventful. The gradient over the valves was 12 mm Hg with minimal paravalvular leakage. At 1-year follow-up, the patient was in good clinical condition. Transthoracic echocardiography revealed a peak/ mean gradient of 16/8 mm Hg with grade 1 paravalvular leakage.

Case Description

An 83-year-old male patient (73 kg, 170 cm, body mass index 25 kg/m2, EuroSCORE II 4.2%, Society of Thoracic Surgeons score 14.27%) was scheduled for transapical transcatheter aortic valve implantation (TAVI) because of moderate to severe aortic stenosis (mean pressure gradient: 29 mm Hg, effective orifice area: 0.9 cm2).
Preoperative work-up revealed massive kinking as well as distinct atherosclerosis of the abdominal aorta. Besides that, the patient was suffering from coronary heart disease, with a triple bypass revascularisation in 2005. Recent angiography revealed patent grafts: left internal mammary artery to left anterior descending artery (LAD), and single vein grafts to the right posterior descending artery as well as to the circumflex artery. However, native coronaries were either 95% stenotic (left main, proximal LAD, circumflex artery) or even occluded (middle LAD, right coronary artery). As a result of the uncompromised graft flow, left ejection fraction was preserved at 55%. Because of bradycardic atrial fibrillation, a pacemaker was implanted in 2010.
Data derived from a preoperative computed tomography (CT) scan and analysed with 3mensio planning software (3mensio Medical Imaging BV, Bilthoven, Netherlands) revealed a valve annulus diameter of 26.1 mm according to perimeter and of 25.8 mm according to area, moderate calcifications of the leaflets and a distance of 67 mm between the annulus and the curvature of the ascending aorta. In accordance with the heart team decision and with our clinical algorithm, we suggested implanting a 27 mm JenaValveTM (JenaValve Technology GmbH, Munich, Germany). At a preoperative consultation, the patient chose the interventional approach.
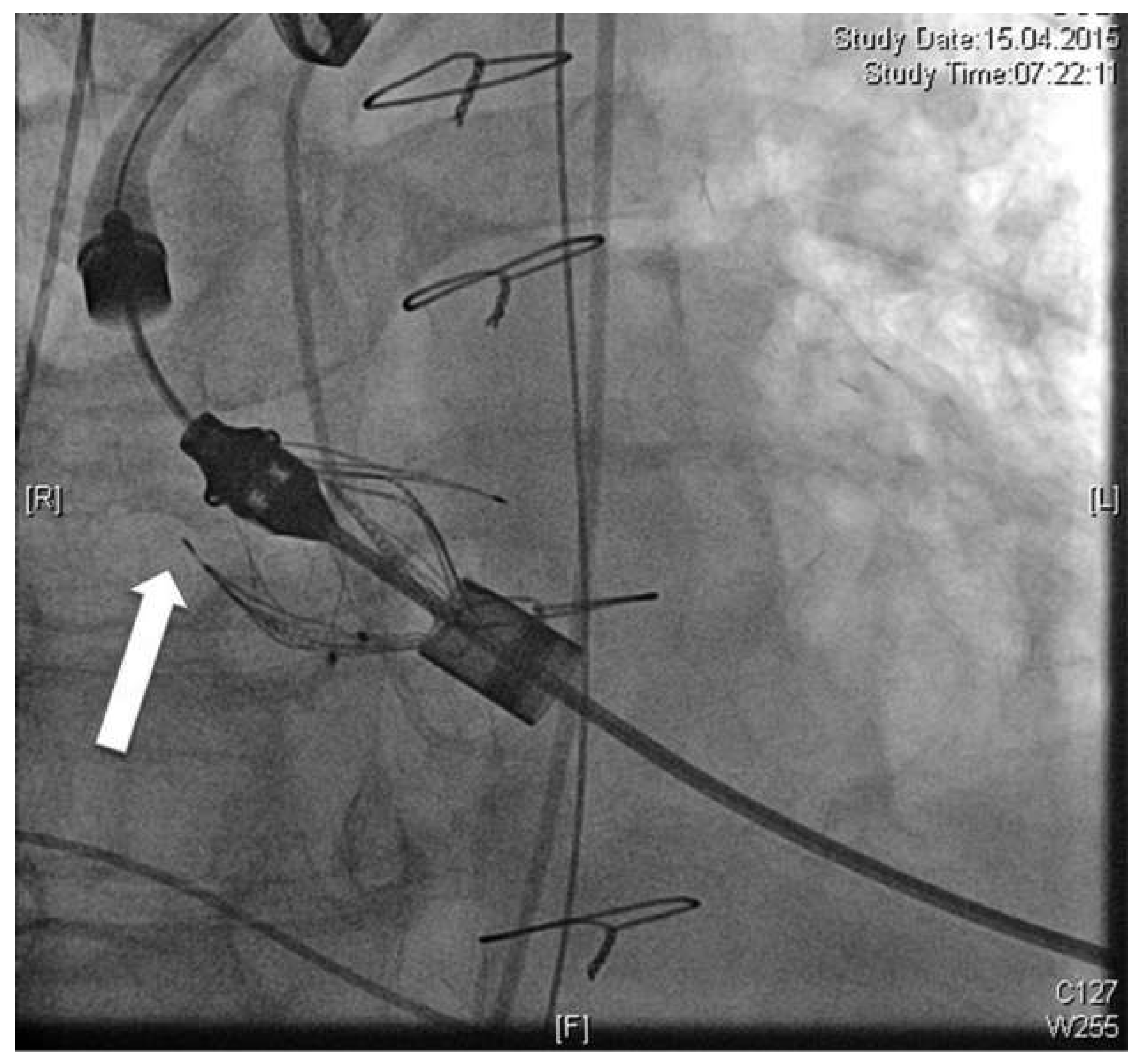
Under general anaesthesia the apex was accessed in the fifth intercostal space. Pericardial adhesions were detached and purse-string sutures applied. Under rapid pacing, straight valvuloplasty was performed and the JenaValveTM subsequently introduced. After release of the positioning feelers they were placed in the sinuses of the native valve. Because of imperfect positioning, the feelers of the JenaValveTM were repositioned. Simultaneously, one of the three eyelets of the crown inadvertently popped out of the catheter tip (Figure 1). Thus the valve became immobile and could no longer be replaced or removed. It had to be finally released at the level of the sinotubular junction. Severe paravalvular leakage could be determined angiographically and echocardiographically. Fortunately the patient was haemodynamically stable and no signs of myocardial ischaemia were detected. Because of the severe atherosclerosis of the native coronaries, as well as the sufficient myocardial perfusion via bypass grafts, conventional reoperation with sternotomy as bailout was rejected and implantation of a second TAVI prosthesis favoured instead. Therefore, a 26-mm Sapien S3 valve (Edwards, Irvine, USA) was chosen and uneventfully implanted transapically. The prosthesis was positioned directly beneath the JenaValveTM resulting in a valve-under-valve situation (Figure 2). Angiography and echocardiography revealed overall minimal paravalvular leakage at the level of the right coronary sinus with a total mean gradient of 8 mm Hg. After 145 minutes of total procedure time, the patient was extubated in the hybrid room with no inotropic support and without any neurological deficit. Maximum troponin T was 0.313 μg/l. After 24 hours of intensive care he was transferred to the normal ward and discharged from hospital on postoperative day 9. Predischarge ECG-triggered CT angiography showed both TAVI prostheses in situ, no signs of perforation and perfused bypass grafts. Predischarge transthoracic echocardiography confirmed the minimal paravalvular leakage and an acceptable gradient of mean 12 mm Hg. One year after discharge the patient was presenting well. His latest echocardiographic follow-up (April 2016) revealed a slightly reduced ejection fraction (50%), mild paravalvular leakage (grade 1) as well as a peak/mean pressure gradient of 16/8 mm Hg.

Comment

TAVI has proved to be an alternative to surgical aortic valve replacement in elderly and high-risk patients [1]. However, as with every emerging technology, pitfalls and safeguards have to be considered and an appropriate bailout in case of misplacement or malfunction of the prosthesis preoperatively evaluated [2].
In the presented case, involuntary and uncoordinated release of one eyelet of the JenaValve’s crown prevented anatomically and functionally correct implantation.
There are three potential explanations: 1) the crimping process was imperfect, 2) the valve was too bulky (full-root-valve) for proper mounting in the delivery system (Cathlete plus), 3) the ascending aorta was too short, resulting in bending-up of the Cathlete plus delivery system with uncontrolled release of the valve. However, the crimping process was supervised by experienced JenaValveTM staff, the implanted valve unfortunately is not amenable for assessment and the length of the ascending aorta was 67 mm, with >65 mm recommended by the instructions for use. Snaring and repositioning of the device was considered inappropriate due to ample radial force of the self-expandable valve as well as the unique feeler design which might have caused dissection or even rupture of the aortic wall.
To avoid high-risk surgical reoperation, we considered implantation of a second TAVI as best option. However, with the concept of two TAVI prostheses lying on top of each other at the level of the sinus of Valsalva, diastolic myocardial perfusion might have been at risk. As a result of our angiographic imaging it was known that the native coronaries were severely stenotic or even occluded, and that myocardial perfusion was provided by the left internal mammary artery and two patent vein bypasses, which were grafted to the aorta distal to the upper TAVI. For the second TAVI we decided not to implant another self-expandable valve (JenaValveTM) but to use a balloon-expandable valve to avoid manipulation and potential dislocation of the primarily implanted prosthesis.
The postoperative course was completely uneventful. To assess functional status prior to discharge we considered ECG-triggered CT angiography to be best. Therewith we could avoid manipulation of the prostheses during conventional coronary angiography and could prevent complications during magnetic resonance imaging (TAVI, pacemaker).

Conclusion

Though TAVI implantation is becoming a routine operation there are pitfalls and caveats associated with this novel technique. Meticulous training as well as supervision of the crimping and implantation process by experienced personnel should be mandatory. In the present case the company’s medical specialists were on site. Furthermore, it is of utmost importance to have bailout strategies planned and to translate those into practice with an experienced heart team.

Disclosure Statement

Oliver Reuthebuch is proctor for JenaValve, Munich.

References

  1. Leon, M.B.; Smith, C.R.; Mack, M.; Miller, D.C.; Moses, J.W.; Svensson, L.G.; et al. Transcatheter aortic-valve implantation for aortic stenosis in patients who cannot undergo surgery. N. Engl. J. Med. 2010, 363, 1597–1607. [Google Scholar] [CrossRef] [PubMed]
  2. Mangner, N.; Schuler, G.; Linke, A. Remaining pitfalls and limitations of TAVI in 2014. Eurointervention 2014, 10, U35–U43. [Google Scholar] [CrossRef] [PubMed]
Figure 1. White arrow shows one of the three eyelets of the crown inadvertently and incorrectly popping out of the catheter tip.
Figure 1. White arrow shows one of the three eyelets of the crown inadvertently and incorrectly popping out of the catheter tip.
Cardiovascmed 19 00220 g001
Figure 2. Post-implantation angiography showing both valves on top of each other: JenaValveTM (cross) as well as Edwards Sapien S3 (star).
Figure 2. Post-implantation angiography showing both valves on top of each other: JenaValveTM (cross) as well as Edwards Sapien S3 (star).
Cardiovascmed 19 00220 g002

Share and Cite

MDPI and ACS Style

Reuthebuch, O.T.; Kaiser, C.; Maurer, M.; Eckstein, F.; Grapow, M. Interventional Valve-Under-Valve Implantation. Cardiovasc. Med. 2016, 19, 220. https://doi.org/10.4414/cvm.2016.00427

AMA Style

Reuthebuch OT, Kaiser C, Maurer M, Eckstein F, Grapow M. Interventional Valve-Under-Valve Implantation. Cardiovascular Medicine. 2016; 19(7-8):220. https://doi.org/10.4414/cvm.2016.00427

Chicago/Turabian Style

Reuthebuch, Oliver T., Christoph Kaiser, Markus Maurer, Friedrich Eckstein, and Martin Grapow. 2016. "Interventional Valve-Under-Valve Implantation" Cardiovascular Medicine 19, no. 7-8: 220. https://doi.org/10.4414/cvm.2016.00427

APA Style

Reuthebuch, O. T., Kaiser, C., Maurer, M., Eckstein, F., & Grapow, M. (2016). Interventional Valve-Under-Valve Implantation. Cardiovascular Medicine, 19(7-8), 220. https://doi.org/10.4414/cvm.2016.00427

Article Metrics

Back to TopTop