Sign in to use this feature.

Years

Between: -

Subjects

remove_circle_outline
remove_circle_outline
remove_circle_outline
remove_circle_outline
remove_circle_outline
remove_circle_outline
remove_circle_outline

Journals

remove_circle_outline
remove_circle_outline
remove_circle_outline
remove_circle_outline
remove_circle_outline
remove_circle_outline

Article Types

Countries / Regions

remove_circle_outline
remove_circle_outline
remove_circle_outline
remove_circle_outline
remove_circle_outline

Search Results (313)

Search Parameters:
Keywords = myocardial perfusion

Order results
Result details
Results per page
Select all
Export citation of selected articles as:
17 pages, 1814 KB  
Article
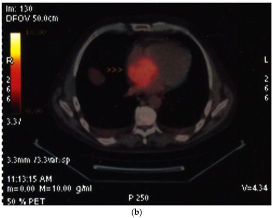
Right Ventricular Myocardial Metabolism and Cardiorespiratory Testing in Patients with Idiopathic Pulmonary Arterial Hypertension
by Natalia Goncharova, Aelita Berezina, Daria Ryzhkova, Irina Zlobina, Kirill Lapshin, Anton Ryzhkov, Aryana Malanova, Elizaveta Korobchenko-Andreeva and Olga Moiseeva
Diagnostics 2025, 15(19), 2523; https://doi.org/10.3390/diagnostics15192523 - 6 Oct 2025
Abstract
Background: Non-invasive diagnostic tools for the assessment of pulmonary arterial hypertension (PAH) are currently being intensively studied. Positron emission tomography (PET)/computed tomography (CT) with [18F]-fluorodeoxyglucose ([18F]-FDG) and [13N]-ammonia is the gold standard for assessing myocardial metabolism and perfusion. The relationship between right ventricle [...] Read more.
Background: Non-invasive diagnostic tools for the assessment of pulmonary arterial hypertension (PAH) are currently being intensively studied. Positron emission tomography (PET)/computed tomography (CT) with [18F]-fluorodeoxyglucose ([18F]-FDG) and [13N]-ammonia is the gold standard for assessing myocardial metabolism and perfusion. The relationship between right ventricle (RV) myocardial metabolism and perfusion and cardiopulmonary exercise testing (CPET) has not been studied. Objective: to evaluate correlations between the CPET parameters and RV perfusion and metabolism in IPAH patients. Methods: The study comprised 34 IPAH patients (34.2 ± 8.9 years, 4 males, 6 prevalent). Myocardial metabolism and perfusion were assessed using PET/CT with [18F]-FDG and [13N]-ammonia, respectively. CPET, cardiac MRI and invasive hemodynamics were also evaluated. Results: Significant negative correlations were registered between [18F]-FDG and [13N]-ammonia uptake by the RV (SUVmax RV/LV) and the oxygen consumption, oxygen pulse and positive correlation with the ratio of minute ventilation to carbon dioxide production. The low-risk IPAH patients significantly differed from the intermediate-to-high-risk group in CPET indices and in SUVmax RV/LV metabolism and SUVmax RV/LV perfusion parameters. No reliable differences in CPET indices and [18F]-FDG and [13N]-ammonia uptake by the RV were registered between intermediate- and high-risk patients. Conclusions: CPET is a reliable non-invasive diagnostic tool that could distinguish low-risk young IPAH patients without comorbidities from those at intermediate-to-high risk. Significant correlations between CPET parameters and RV myocardial metabolism and perfusion indices, MRI, and invasive hemodynamics confirm the high diagnostic value for CPET. Full article
Show Figures

Figure 1

15 pages, 795 KB  
Article
Interrelationship Between Cardiopulmonary Exercise Testing Indices and Markers of Subclinical Cardiovascular Dysfunction in Those with Type 2 Diabetes—An Observational Cross-Sectional Analysis
by Grace W. M. Walters, Gaurav S. Gulsin, Joseph Henson, Stavroula Argyridou, Kelly S. Parke, Thomas Yates, Melanie J. Davies, Gerry P. McCann and Emer M. Brady
J. Funct. Morphol. Kinesiol. 2025, 10(4), 371; https://doi.org/10.3390/jfmk10040371 - 26 Sep 2025
Abstract
Purpose: While peak oxygen uptake (V.O2peak) is the gold standard method for assessing exercise tolerance, there is a tendency for underestimation. Several other cardiopulmonary exercise testing (CPET) variables may provide additive prognostic value beyond V.O [...] Read more.
Purpose: While peak oxygen uptake (V.O2peak) is the gold standard method for assessing exercise tolerance, there is a tendency for underestimation. Several other cardiopulmonary exercise testing (CPET) variables may provide additive prognostic value beyond V.O2peak alone. The aim of this study was to examine if alternative CPET indices of exercise tolerance are (a) impaired in people with T2D and (b) independently associated with measures of cardiovascular structure and function measured via echocardiography and cardiac MRI. Methods: Participants with type 2 diabetes (T2D) and healthy controls underwent cardiac magnetic resonance imaging, transthoracic echocardiography, and a CPET. Multiple linear regression was used to determine the relationship between indices of exercise tolerance and markers of cardiovascular structure and function. Results: A total of 84 people with T2D and 36 healthy volunteers were included in the analysis. All CPET outcomes were worse in those with T2D vs. the controls. Three CPET outcomes were associated with markers of cardiovascular structure and function: V.O2 recovery with mean aortic distensibility (β = 0.218, p = 0.049); heart rate recovery with early filling velocity on transmitral Doppler/early relaxation velocity (β = −0.270, p = 0.024), left ventricular mass/volume ratio (β = −0.248, p = 0.030) and mean aortic distensibility (β = 0.222, p = 0.029); and V.O2 at the ventilatory threshold with myocardial perfusion reserve (β = 0.273, p = 0.018). Perspective: These lesser-used CPET indices could be used to identify which people with T2D are at elevated risk of progression to symptomatic heart failure. However, larger longitudinal studies are required to confirm these findings and their potential clinical application. Full article
Show Figures

Figure 1

13 pages, 2070 KB  
Article
Combined CCTA and Stress CTP for Anatomical and Functional Assessment of Myocardial Bridges
by Marco Fogante, Paolo Esposto Pirani, Fatjon Cela, Enrico Paolini, Liliana Balardi and Nicolò Schicchi
J. Imaging 2025, 11(9), 324; https://doi.org/10.3390/jimaging11090324 - 21 Sep 2025
Viewed by 238
Abstract
Myocardial bridging (MB) is a congenital coronary anomaly whose clinical impact remains controversial. Coronary computed tomography angiography (CCTA) combined with CT myocardial perfusion imaging (CT-MPI) enables a comprehensive anatomical and functional assessment of MB. This study aimed to investigate whether specific high-risk anatomical [...] Read more.
Myocardial bridging (MB) is a congenital coronary anomaly whose clinical impact remains controversial. Coronary computed tomography angiography (CCTA) combined with CT myocardial perfusion imaging (CT-MPI) enables a comprehensive anatomical and functional assessment of MB. This study aimed to investigate whether specific high-risk anatomical features of MB are independently associated with myocardial hypoperfusion, using combined CCTA and CT-MPI. We retrospectively analyzed 81 patients with MB showing high-risk anatomical features (depth ≥ 2.0 mm and length ≥ 25 mm) identified by CCTA, all of whom underwent stress dynamic CT-MPI between May 2022 and December 2025. Patients were classified according to the presence or absence of hypoperfusion in MB-related myocardial segments. Clinical and anatomical variables were compared between two groups using non-parametric tests, and multivariable logistic regression was performed to identify independent predictors of hypoperfusion. Among the 81 patients (mean age, 59.3 ± 11.7 years; 54 males), 26 (32.1%) demonstrated perfusion defects. All MBs were located in the left anterior descending artery (LAD). No significant differences were observed in clinical variables between groups. Bridges associated with hypoperfusion were significantly deeper (p < 0.001) and were more frequently located in the mid-LAD (73.1% vs. 38.2%, p = 0.01). In multivariable analysis, bridge depth and mid-LAD location remained independent predictors of hypoperfusion. In patients with MB, greater depth and mid-LAD location are independently associated with myocardial hypoperfusion. The combined use of CCTA and CT-MPI may enhance risk stratification and help guide clinical decision-making in this patient population. Full article
(This article belongs to the Section Medical Imaging)
Show Figures

Figure 1

12 pages, 2802 KB  
Article
Optimal Perfusion Pressure Enhances Donor Heart Preservation During Normothermic Ex Situ Perfusion in a Rat Transplantation Model
by Do Wan Kim, YeongEun Jo, Jiae Seong, Reverien Habimana, Hwa Jin Cho, Mukhammad Kayumov and Inseok Jeong
Medicina 2025, 61(9), 1696; https://doi.org/10.3390/medicina61091696 - 18 Sep 2025
Viewed by 198
Abstract
Background and Objectives: Normothermic ex situ heart preservation maintains donor heart viability by sustaining physiological conditions and reducing ischemic damage. However, the ideal perfusion pressure remains uncertain. This study aims to identify the optimal perfusion pressure to enhance graft preservation in rat heart [...] Read more.
Background and Objectives: Normothermic ex situ heart preservation maintains donor heart viability by sustaining physiological conditions and reducing ischemic damage. However, the ideal perfusion pressure remains uncertain. This study aims to identify the optimal perfusion pressure to enhance graft preservation in rat heart transplantation. Materials and Methods: We utilized 20 male Sprague-Dawley rats (400–500 g). Donor hearts underwent normothermic preservation for 2 h using a Langendorff apparatus primed with 12 mL of solution at a consistent 3 mL/min flow. After preservation, hearts were transplanted heterotopically into the recipient’s abdomen. We defined successful preservation by observing a QRS complex in electrocardiographic monitoring for 3 h post-transplantation. Histological assessments for myocardial integrity occurred after 4 h of reperfusion. We analyzed statistical differences between successful and unsuccessful preservation groups. Results: Electrocardiograms indicated preservation failure in 8 of the 20 donor hearts due to the absence of a QRS complex. We observed no significant differences in ischemic duration between groups. At 120 min, although serum lactate and potassium concentrations increased in the unsuccessful group, the differences were not statistically significant. Higher initial perfusion pressures (>65 mmHg) at a constant flow rate resulted in elevated lactate and potassium concentrations post-preservation, indicating suboptimal outcomes. Histologically, hematoxylin and eosin staining showed better myocardial preservation in successful hearts, while TUNEL assays demonstrated increased apoptosis in unsuccessful hearts. All hearts increased in weight after preservation, but significant increases occurred only in unsuccessful cases. Conclusions: Higher initial perfusion pressures (>65 mmHg) negatively affect heart preservation outcomes, resulting in elevated serum lactate and potassium levels, increased heart weight, and greater histological damage. Maintaining optimal perfusion pressures is essential to preserve myocardial integrity and functional viability during normothermic ex situ heart preservation. Full article
(This article belongs to the Section Cardiology)
Show Figures

Figure 1

23 pages, 4513 KB  
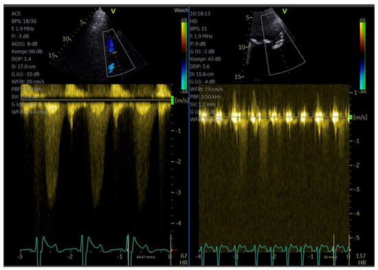
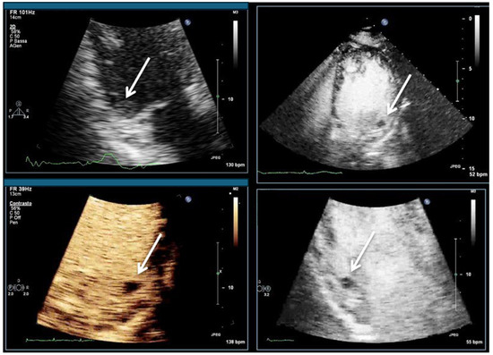
Review
How to Perform Cardiac Contrast-Enhanced Ultrasound (cCEUS): Part II—Advanced Applications and Interpretation
by Harald Becher, Andreas Helfen, Guido Michels, Nicola Gaibazzi, Roxy Senior and Christoph Frank Dietrich
Diagnostics 2025, 15(18), 2371; https://doi.org/10.3390/diagnostics15182371 - 18 Sep 2025
Viewed by 280
Abstract
Ultrasound enhancing agents (UEAs, formerly called contrast agents) have enhanced echocardiographic diagnostics of myocardial disease and masses as well as myocardial perfusion abnormalities. This review provides up-to-date guidance on the procedures and interpretations according to current recommendations of imaging societies and considering the [...] Read more.
Ultrasound enhancing agents (UEAs, formerly called contrast agents) have enhanced echocardiographic diagnostics of myocardial disease and masses as well as myocardial perfusion abnormalities. This review provides up-to-date guidance on the procedures and interpretations according to current recommendations of imaging societies and considering the results of recent major studies. For the different indications, a standardized approach has been created including technical aspects, pre-assessment and primary scan planes, contrast-enhanced ultrasound (CEUS) procedure, interpretation and reporting. In a previous publication (part 1) the UEAs, imaging methods, preparation of the patients and assessment of global and regional LV function with UEAs were included. The two parts represent a comprehensive state-of-the-art compendium on how to perform CEUS examinations in clinical echocardiography and provide advice on education, qualification and quality control. Full article
(This article belongs to the Special Issue New Perspectives in Cardiac Imaging)
Show Figures

Figure 1

15 pages, 3856 KB  
Article
Artificial Intelligence-Based Arterial Input Function for the Quantitative Assessment of Myocardial Blood Flow and Perfusion Reserve in Cardiac Magnetic Resonance: A Validation Study
by Lara R. van der Meulen, Maud van Dinther, Amedeo Chiribiri, Jouke Smink, CRUCIAL Investigators, Walter H. Backes, Jonathan Bennett, Joachim E. Wildberger, Cian M. Scannell and Robert J. Holtackers
Diagnostics 2025, 15(18), 2341; https://doi.org/10.3390/diagnostics15182341 - 16 Sep 2025
Viewed by 275
Abstract
Background/Objectives: To validate an artificial intelligence-based arterial input function (AI-AIF) deep learning model for myocardial blood flow (MBF) quantification during stress perfusion and assess its extension to rest perfusion, enabling myocardial perfusion reserve (MPR) calculation. Methods: Sixty patients with or at [...] Read more.
Background/Objectives: To validate an artificial intelligence-based arterial input function (AI-AIF) deep learning model for myocardial blood flow (MBF) quantification during stress perfusion and assess its extension to rest perfusion, enabling myocardial perfusion reserve (MPR) calculation. Methods: Sixty patients with or at risk for vascular cognitive impairment, prospectively enrolled in the CRUCIAL consortium, underwent quantitative stress and rest myocardial perfusion imaging using a 3 T MRI system. Perfusion imaging was performed using a dual-sequence (DS) protocol after intravenous administration of 0.05 mmol/kg gadobutrol. Retrospectively, the AI-AIF was estimated from standard perfusion images using a 1-D U-Net model trained to predict an unsaturated AIF from a saturated input. MBF was quantified using Fermi function-constrained deconvolution with motion compensation. MPR was calculated as the stress-to-rest MBF ratio. MBF and MPR estimates from both AIF methods were compared using Bland–Altman analyses. Results: Complete stress and rest perfusion datasets were available for 31 patients. A bias of −0.07 mL/g/min was observed between AI-AIF and DS-AIF for stress MBF (median 2.19 vs. 2.30 mL/g/min), with concordant coronary artery disease classification based on the optimal MBF threshold in over 92% of myocardial segments and coronary arteries. Larger biases of 0.12 mL/g/min and −0.30 were observed for rest MBF (1.12 vs. 1.02 mL/g/min) and MPR (2.31 vs. 1.84), respectively, with lower concordance using the optimal MPR threshold (85% of segments, 72% of arteries). Conclusions: The AI-AIF model showed comparable performance to DS-AIF for stress MBF quantification but requires further training for accurate rest MBF and MPR assessment. Full article
(This article belongs to the Section Machine Learning and Artificial Intelligence in Diagnostics)
Show Figures

Figure 1

16 pages, 358 KB  
Article
Clinical Characteristics and Outcomes of Patients Admitted in Cardiac Intensive Care Unit with Cardiogenic Shock: A Single-Center Study
by Konstantinos C. Siaravas, Aidonis Rammos, Aris Bechlioulis, Christos D. Floros, Eftychia Papaioannou, Ioanna Samara, Ilektra Stamou, Petros Kalogeras, Spyridon Athanasios Sioros, Vasilis Bouratzis, Lampros Lakkas, Christos S. Katsouras, Katerina K. Naka and Lampros K. Michalis
Diseases 2025, 13(9), 302; https://doi.org/10.3390/diseases13090302 - 13 Sep 2025
Viewed by 339
Abstract
Background: Cardiogenic shock (CS) is a life threatening condition marked by inadequate tissue perfusion due to impaired cardiac output. Despite advances in diagnosis and management, mortality remains unacceptably high. Objective: This prospective, single-center observational study aimed to characterize the clinical profile, management strategies, [...] Read more.
Background: Cardiogenic shock (CS) is a life threatening condition marked by inadequate tissue perfusion due to impaired cardiac output. Despite advances in diagnosis and management, mortality remains unacceptably high. Objective: This prospective, single-center observational study aimed to characterize the clinical profile, management strategies, and short- and long-term outcomes of patients with CS. Methods: Seventy patients (SCAI stages B–E) admitted to the Cardiac Intensive Care Unit (CICU) of a tertiary university hospital over a 24-month period were enrolled. Demographic, clinical, hemodynamic, echocardiographic, and biochemical data were collected. The primary outcomes were in-hospital, 1-month, and 1-year mortality. Secondary outcomes included the use of mechanical circulatory support (MCS), mechanical ventilation (MV), and continuous renal replacement therapy (CRRT). Results: Acute myocardial infarction-related CS (AMI-CS) and heart failure-related CS (HF-CS) accounted for 64% of cases. The overall in-hospital mortality was 49%. SCAI stage C was independently associated with higher mortality at all time points compared with stage B. Key predictors of mortality included higher SCAI stage, elevated lactate and creatinine levels, and reduced cardiac output. Intra-aortic balloon pump (IABP) use was more frequent in AMI-CS. Conclusions: CS continues to be associated with poor prognosis, particularly in patients with higher SCAI stages. Standardized clinical pathways and national registries are urgently needed to guide evidence-based and resource-appropriate care. Full article
(This article belongs to the Special Issue Cardiovascular Risk Stratification in Hypertension)
Show Figures

Figure 1

21 pages, 3148 KB  
Article
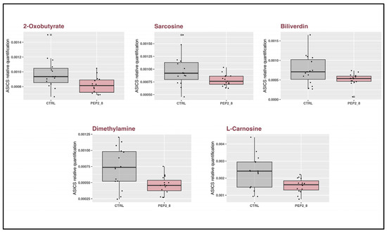
A Pre-Clinical Study on the Use of the Proprotein Convertase Subtilisin/Kexin Type 9 Inhibitor PEP 2-8 to Mitigate Ischemic Injury in a Rat Marginal Donor Model
by Maria Antonietta Grignano, Marilena Gregorini, Chiara Barisione, Caterina Ivaldo, Daniela Verzola, Noemi Rumeo, Stefano Malabarba, Maria Chiara Mimmi, Elizabeth Carolina Montatixe Fonseca, Simona Viglio, Paolo Iadarola, Tefik Islami, Eleonora Francesca Pattonieri, Gabriele Ceccarelli, Daniela Picciotto, Giovanni Pratesi, Francesca Viazzi, Emma Diletta Stea, Eloisa Arbustini, Pasquale Esposito and Teresa Rampinoadd Show full author list remove Hide full author list
Int. J. Mol. Sci. 2025, 26(18), 8937; https://doi.org/10.3390/ijms26188937 - 13 Sep 2025
Viewed by 354
Abstract
Proprotein Convertase Subtilisin/Kexin type 9 PCSK9 inhibitors (PCSK9i) are a novel class of cholesterol-lowering agents that also offer protection against tissue ischemia by reducing apoptosis, pyroptosis, and myocardial infarct size. This study evaluated the effects of the PCSK9 inhibitor PEP 2-8 during hypothermic [...] Read more.
Proprotein Convertase Subtilisin/Kexin type 9 PCSK9 inhibitors (PCSK9i) are a novel class of cholesterol-lowering agents that also offer protection against tissue ischemia by reducing apoptosis, pyroptosis, and myocardial infarct size. This study evaluated the effects of the PCSK9 inhibitor PEP 2-8 during hypothermic perfusion (HP) in a rat model of donation after circulatory death (DCD) kidney transplantation. DCD kidneys were perfused at 4 °C for six hours with either Perf-Gen solution alone (control) or Perf-Gen supplemented with PEP 2-8. Glucose and lactate dehydrogenase (LDH) levels were measured at baseline and after six hours (T6h). At T6h, kidneys were evaluated for ischemic injury, tubular cell proliferation, apoptosis, nitrotyrosine (N-Tyr) staining, tissue ATP and LDH levels, and gene expression of PCSK9 and NOX4. Metabolomic profiling was also performed. PEP 2-8 treatment significantly reduced PCSK9 expression, decreased tubular ischemic injury and necrosis, and lowered LDH release. Treated kidneys showed enhanced tubular cell proliferation, reduced apoptosis, and diminished oxidative stress, indicated by decreased N-Tyr staining and NOX4 expression. Energy metabolism was improved, with higher tissue ATP and glucose levels observed in the PEP 2-8 group. Metabolomic analysis further supported the antioxidant effects of PEP 2-8. This is the first study to demonstrate that PEP 2-8 administered during pre-transplant hypothermic perfusion provides renal protection by improving energy metabolism and reducing oxidative stress in the context of ischemic injury. Full article
(This article belongs to the Section Biochemistry)
Show Figures

Graphical abstract

15 pages, 782 KB  
Review
Artificial Intelligence in Nuclear Cardiology
by Roberto Sciagrà, Samuele Valente and Marco Dominietto
J. Clin. Med. 2025, 14(18), 6416; https://doi.org/10.3390/jcm14186416 - 11 Sep 2025
Viewed by 399
Abstract
Background/Objectives: Artificial Intelligence (AI) is becoming increasingly important in Medicine. The aim of this review is to summarize its use in the field of Nuclear Cardiology. Methods: First, we provide a short description of how AI works. Then we performed a [...] Read more.
Background/Objectives: Artificial Intelligence (AI) is becoming increasingly important in Medicine. The aim of this review is to summarize its use in the field of Nuclear Cardiology. Methods: First, we provide a short description of how AI works. Then we performed a review of the literature focusing on the articles in which AI is used for image interpretation for diagnostic or prognostic purposes. Results: AI has been applied according to various approaches for both diagnosis and prognosis. The achieved gains have been so far relatively limited as compared to traditional methodologies. However, promising results have been reported, including interesting perspectives for the explainability of AI results and their potential integration in clinical routine. Conclusions: AI is soon going to play an important role in Nuclear Cardiology, but further improvements are needed to reach significant gains in terms of diagnostic accuracy, and prospective studies on its prognostic capabilities are still lacking. Furthermore, several important issues must be solved, such as availability and feasibility within the processing workflow, explainability, liability, and ethics of its application in clinical decision-making. Full article
(This article belongs to the Special Issue Clinical Perspectives in Cardiac Imaging: How to See the Unseen)
Show Figures

Figure 1

24 pages, 3193 KB  
Review
The Role of Impella in Cardiogenic Shock in the Post-DanGer Shock Era
by Kassem Farhat, Sara Pollanen, Rongras Damrongwatanasuk, Laura DiChiacchio, Colby Salerno, Nikhil Sikand, Wissam I. Khalife and Jiun-Ruey Hu
Biomedicines 2025, 13(9), 2198; https://doi.org/10.3390/biomedicines13092198 - 8 Sep 2025
Viewed by 835
Abstract
The microaxial flow pump (mAFP) is a mechanical circulatory support device designed to directly unload the left ventricle, restore cardiac output, and improve systemic perfusion in the setting of cardiogenic shock (CS). CS is a devastating complication of acute myocardial infarction (AMI) and [...] Read more.
The microaxial flow pump (mAFP) is a mechanical circulatory support device designed to directly unload the left ventricle, restore cardiac output, and improve systemic perfusion in the setting of cardiogenic shock (CS). CS is a devastating complication of acute myocardial infarction (AMI) and advanced heart failure, characterized by systemic hypoperfusion and myocardial dysfunction, carrying an in-hospital mortality of 30–50%. However, there has been controversy about whether these theoretical physiological mechanisms behind mAFP translate into actual survival or recovery in this patient population that has historically been difficult to study in prospective trials. The lack of consensus has resulted in differing national guidelines, resource allocation, and clinical decision-making in time-sensitive clinical scenarios. Earlier studies were limited to retrospective analyses and a single small, underpowered randomized trial, none of which showed a mortality benefit. In 2024, the DanGer Shock trial emerged as the first multi-center trial to demonstrate mortality benefit in patients with STEMI complicated by CS treated with Impella CP, albeit at the cost of increased risk of major bleeding, hemolysis, and vascular complications, an effect sustained in the 10 year outcomes published in 2025. In this review, we examine reasons for the differing results of preceding studies and compare how multinational guidelines have reacted to this new evidence. Finally, we provide practical considerations regarding the use, complications, and troubleshooting of this technology, and identify gaps in evidence regarding patient selection and timing of placement. Full article
(This article belongs to the Special Issue Advanced Research on Heart Failure and Heart Transplantation)
Show Figures

Figure 1

14 pages, 1091 KB  
Article
Using Multivariate Adaptive Regression Splines to Estimate Summed Stress Score on Myocardial Perfusion Scintigraphy in Chinese Women with Type 2 Diabetes: A Comparative Study with Multiple Linear Regression
by Chien-Han Yuan, Po-Chun Lee, Sheng-Tang Wu, Chung-Chi Yang, Ta-Wei Chu and Dong-Feng Yeih
Diagnostics 2025, 15(17), 2270; https://doi.org/10.3390/diagnostics15172270 - 8 Sep 2025
Viewed by 436
Abstract
Background: Myocardial perfusion scintigraphy (MPS) is an important tool for evaluating ischemia in diabetic populations. However, applications of advanced predictive models like multivariate adaptive regression splines (MARS) to estimate summed stress scores (SSS) are lacking. Methods: In this study, 1028 diabetic women undergoing [...] Read more.
Background: Myocardial perfusion scintigraphy (MPS) is an important tool for evaluating ischemia in diabetic populations. However, applications of advanced predictive models like multivariate adaptive regression splines (MARS) to estimate summed stress scores (SSS) are lacking. Methods: In this study, 1028 diabetic women undergoing Thallium-201 MPS were analyzed. The dataset was split into training (80%) and testing (20%) subsets. MARS and multiple linear regression (MLR) models were constructed to predict SSS, and their performance was evaluated using root mean square error (RMSE), relative absolute error (RAE), root relative squared error (RRSE), Mean Absolute Percentage Error (MAPE), and Symmetric Mean Absolute Percentage Error (SMAPE). Results: On the testing dataset, the MARS model outperformed the MLR model across all metrics, with an RMSE of 3.25 compared to 3.89 for MLR, an RAE of 0.52 vs. 0.64, and an RRSE of 0.53 vs. 0.67. Similar trends were observed in MAPE (18.7% vs. 22.1%) and SMAPE (17.3% vs. 20.5%). Conclusions: The superior predictive accuracy of the MARS model suggests its potential to enhance non-invasive myocardial risk stratification in diabetic women. Full article
(This article belongs to the Special Issue Metabolic Diseases: Diagnosis, Management, and Pathogenesis)
Show Figures

Figure 1

8 pages, 415 KB  
Case Report
Empowering Early Recovery: The Role of Impella 5.5 in Takotsubo Cardiomyopathy Complicated by Cardiogenic Shock
by Aarti Desai, Jose Ruiz, Anna Shapiro, Rebecca Klingbeil, Archer Martin and Rohan Goswami
J. Clin. Med. 2025, 14(17), 6278; https://doi.org/10.3390/jcm14176278 - 5 Sep 2025
Viewed by 659
Abstract
Introduction: Takotsubo cardiomyopathy (TCM), also known as stress cardiomyopathy or Broken Heart Syndrome, is a reversible, transient state of myocardial dyskinesis and apical ballooning. Infrequently, TCM may progress to severe life-threatening complications such as cardiogenic shock. Early mechanical circulatory support (MCS) is [...] Read more.
Introduction: Takotsubo cardiomyopathy (TCM), also known as stress cardiomyopathy or Broken Heart Syndrome, is a reversible, transient state of myocardial dyskinesis and apical ballooning. Infrequently, TCM may progress to severe life-threatening complications such as cardiogenic shock. Early mechanical circulatory support (MCS) is crucial to myocardial recovery in these cases. We present one of the first cases of TCM successfully treated with the advanced micro-axial minimally invasive Impella 5.5 with SmartAssist MCS device. Case Presentation: A female in her late 70s with a history of hypothyroidism, atrial fibrillation post-ablation, and cholelithiasis was referred to our facility for an elective cholecystectomy. Post-anesthesia induction with propofol 2.1 mg/kg (140 mg bolus), she became bradycardic and hypotensive, eventually leading to asystole, requiring CPR and termination of the procedure. Echocardiography revealed a left ventricular ejection fraction (LVEF) of 24% with mid-ventricular akinesis and apical ballooning with mild mitral regurgitation, suggesting the diagnosis of TCM. Cardiac catheterization showed RA 20 and mean PA 42 mmHg. Lactate was 18.7 mmol/L and LDH 1776 U/L, suggesting progressive shock. Continuous epinephrine 0.1 mcg/kg/min and norepinephrine 0.06 mcg/kg/min were titrated for BP 97/58, and she was initially supported with the Impella CP device. Despite aggressive efforts, rising LDH levels and increased vasopressor needs indicated inadequate organ perfusion, requiring an upgrade to Impella 5.5. Impella 5.5 support for 11 days led to impressive myocardial recovery, leading to reductions, and eventual discontinuation, of inotropes and vasopressors. Post-Impella 5.5 explantation, her LVEF was 59–65% and she was discharged with Mobile Cardiac Outpatient Telemetry (MCOT) monitoring for her arrhythmias and reinitiation of guideline-directed medical therapies (GDMTs) for her comorbidities. Her 2-month follow-up shows sustained LVEF greater than 45% with functional improvements. Conclusions: Early escalation within 24 h of Impella CP to Impella 5.5 provided stabilization of cardiometabolic shock, preventing end-organ damage, allowing recovery of native heart function while maintaining ambulatory status, and allowing for optimizing medical therapy. It presents a safe, minimally invasive, and cost-effective intervention in TCM cases refractory to GDMT or when additional time is needed for decision-making in cases presenting with CS. Full article
(This article belongs to the Section Cardiology)
Show Figures

Figure 1

15 pages, 4052 KB  
Review
Hybrid PET/CT and PET/MR in Coronary Artery Disease: An Update for Clinicians, with Insights into AI-Guided Integration
by Francesco Antonio Veneziano, Flavio Angelo Gioia and Francesco Gentile
J. Cardiovasc. Dev. Dis. 2025, 12(9), 338; https://doi.org/10.3390/jcdd12090338 - 3 Sep 2025
Viewed by 586
Abstract
Imaging techniques such as positron emission tomography/computed tomography (PET/CT) and positron emission tomography/magnetic resonance imaging (PET/MR) have emerged as powerful and versatile tools for the comprehensive assessment of coronary artery disease (CAD). By combining anatomical and functional information in a single examination, these [...] Read more.
Imaging techniques such as positron emission tomography/computed tomography (PET/CT) and positron emission tomography/magnetic resonance imaging (PET/MR) have emerged as powerful and versatile tools for the comprehensive assessment of coronary artery disease (CAD). By combining anatomical and functional information in a single examination, these modalities offer complementary insights that significantly enhance diagnostic accuracy and support clinical decision-making. This is particularly relevant in complex clinical scenarios, such as multivessel disease, balanced ischemia, or suspected microvascular dysfunction, where conventional imaging may be inconclusive. This review aims to provide clinicians with an up-to-date summary of the principles, technical considerations, and clinical applications of hybrid PET/CT and PET/MR in CAD. Here, we describe how these techniques can improve the evaluation of myocardial perfusion, coronary plaque characteristics, and ischemic burden. Advantages such as improved sensitivity, spatial resolution, and quantification capabilities are discussed alongside limitations including cost, radiation exposure, availability, and workflow challenges. A dedicated focus is given to the emerging role of artificial intelligence (AI), which is increasingly being integrated to optimize image acquisition, fusion processes, and interpretation. AI has the potential to streamline hybrid imaging and promote a more personalized and efficient management of CAD. Finally, we outline future directions in the field, including novel radiotracers, automated quantitative tools, and the expanding use of hybrid imaging to guide patient selection and therapeutic decisions, particularly in revascularization strategies. Full article
Show Figures

Figure 1

17 pages, 3016 KB  
Article
Effect of High-Fat Diet on Cardiac Metabolites and Implications for Vulnerability to Ischemia and Reperfusion Injury
by Jihad S. Hawi, Katie L. Skeffington, Megan Young, Massimo Caputo, Raimondo Ascione and M-Saadeh Suleiman
Cells 2025, 14(17), 1329; https://doi.org/10.3390/cells14171329 - 28 Aug 2025
Viewed by 699
Abstract
Previous work has shown that mouse models fed a non-obesogenic high-fat diet have preserved cardiac function and no obesity-associated comorbidities such as diabetes. However, they do suffer increased cardiac vulnerability to ischemic reperfusion (I/R) injury, which has been attributed to changes in Ca [...] Read more.
Previous work has shown that mouse models fed a non-obesogenic high-fat diet have preserved cardiac function and no obesity-associated comorbidities such as diabetes. However, they do suffer increased cardiac vulnerability to ischemic reperfusion (I/R) injury, which has been attributed to changes in Ca2+ handling, oxidative stress, and mitochondrial transition pore activity. However, there have been no studies investigating the involvement of metabolites. Wild-type mice were fed either a control or a non-obesogenic high-fat diet for ~26 weeks. Key cardiac metabolites were extracted from freshly excised hearts and from hearts exposed to 30 min global ischemia followed by 45 min reperfusion. The extracted metabolites were measured using commercially available kits and HPLC. Hemodynamic cardiac function was monitored in Langendorff perfused hearts. Levels of energy-rich phosphates and related metabolites were similar for both hearts fed a control or a high-fat diet. However, the high-fat diet decreased cardiac glycogen and increased cardiac lactate, hypoxanthine, alanine, and taurine levels. Langendorff perfused hearts from the high-fat diet group suffered more ischemic stress during ischemia, as shown by the significantly shorter time needed for onset and for reaching maximal ischemic (rigor) contracture. Following I/R, there was a significant decrease in myocardial adenine nucleotides and a significant increase in the levels of alanine and purines for both groups. Most of the principal amino acids tended to fall during I/R. Hearts from mice fed a high-fat diet showed more changes during I/R in markers of energetics (phosphorylation potential and energy charge), metabolic stress (lactate), and osmotic stress (taurine). This study suggests that cardiac metabolic changes due to high-fat diet feeding, independent of obesity-related comorbidities, are responsible for the marked metabolic changes and the increased vulnerability to I/R. Full article
(This article belongs to the Special Issue Advancements in Cardiac Metabolism)
Show Figures

Graphical abstract

19 pages, 1192 KB  
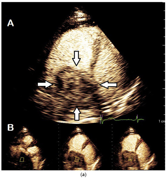
Perspective
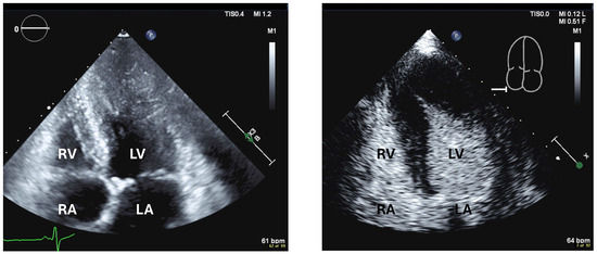
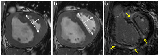
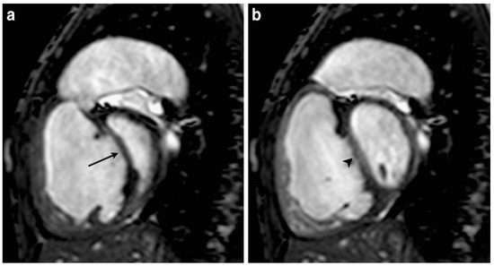
Review of D-Shape Left Ventricle Seen on Magnetic Resonance Imaging (MRI) or Computed Tomography (CT), Similar to the Movahed Sign Seen on Cardiac Gated Single-Photon Emission Computed Tomography (SPECT) as an Indicator for Right Ventricular Overload
by Daniel McCoy and Mohammad Reza Movahed
J. Clin. Med. 2025, 14(17), 6041; https://doi.org/10.3390/jcm14176041 - 26 Aug 2025
Viewed by 717
Abstract
The “Movahed sign” refers to the presence of a D-shaped left ventricle on cross-sectional cardiac imaging due to interventricular septal flattening seen during cardiac gated single-photon emission computed tomography (SPECT) This phenomenon arises from significant right ventricular (RV) pressure or volume overload, which [...] Read more.
The “Movahed sign” refers to the presence of a D-shaped left ventricle on cross-sectional cardiac imaging due to interventricular septal flattening seen during cardiac gated single-photon emission computed tomography (SPECT) This phenomenon arises from significant right ventricular (RV) pressure or volume overload, which pushes the septum toward the left ventricle (LV) and distorts the LV’s normally circular profile into a “D” shape. However, the prevalence and incidence of similar findings during cardiac Magnetic Resonance Imaging (MRI) or computed tomography (CT) are not known. The goal of this study was to perform a literature search focusing on the “Movahed sign” or D-shaped left ventricle in the context of cardiac MRI and CT. Databases searched included PubMed and Google Scholar, and reference lists of relevant articles were reviewed. The echocardiography literature was also consulted for foundational concepts of septal flattening. Key data on pathophysiology, imaging features, clinical correlations, and prognostic significance were extracted. Full article
(This article belongs to the Section Cardiovascular Medicine)
Show Figures

Figure 1

Back to TopTop