- Case Report
Interventional Valve-Under-Valve Implantation
- Oliver T. Reuthebuch,
- Christoph Kaiser,
- Markus Maurer,
- Friedrich Eckstein and
- Martin Grapow
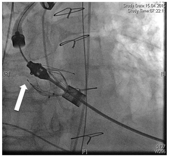
We present a case of false deployment of a self-expandable transcatheter aortic valve implantation (TAVI) prosthesis due to inadvertent and incorrect release of an eyelet in the crown of the valve resulting in a tilted valve. Hence the prosthesis had...

