Prevalence and Pathology of Primary Cardiac Tumours
Abstract
Introduction
Epidemiology
Primary benign cardiac tumours
Myxoma
Papillary fibroelastoma
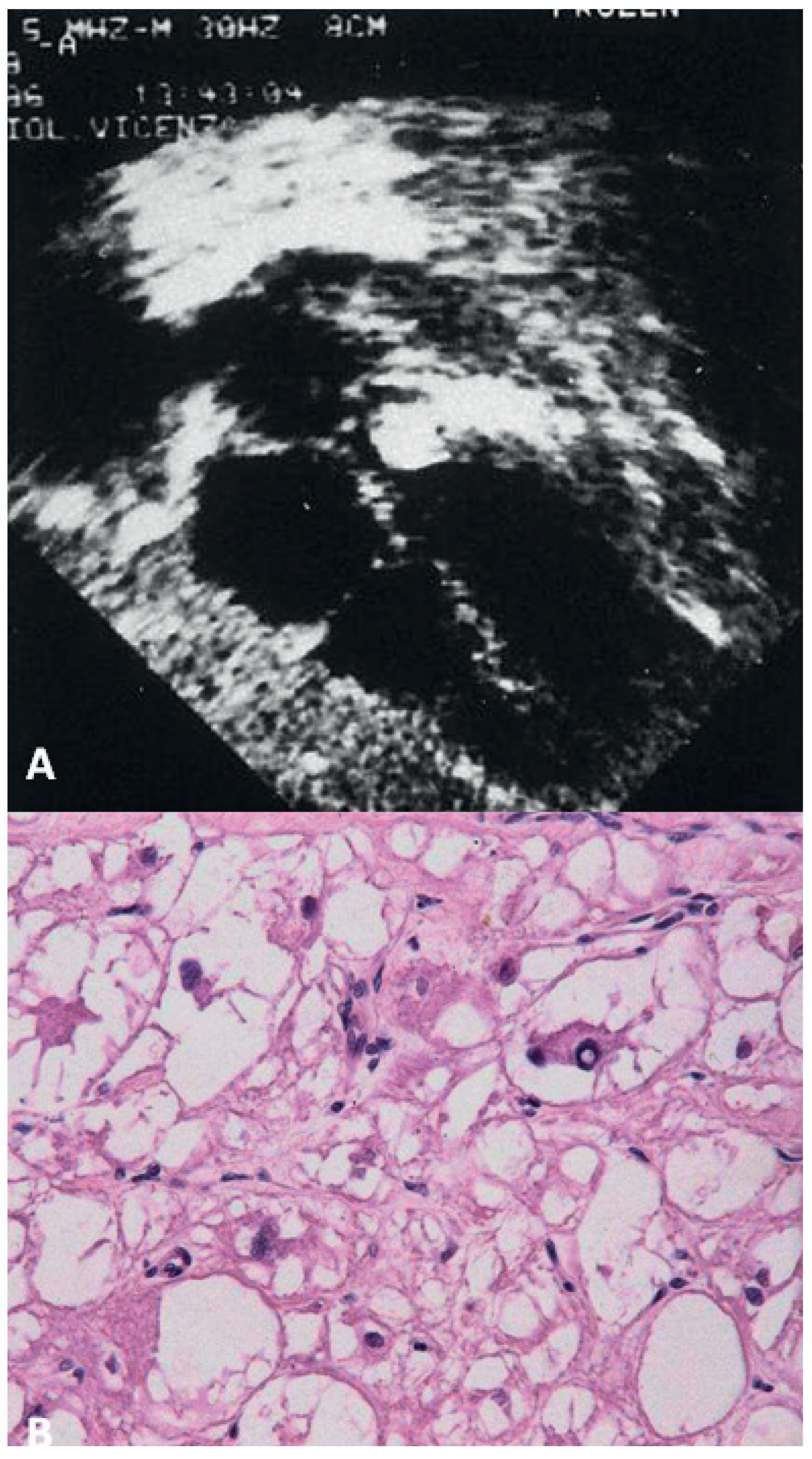
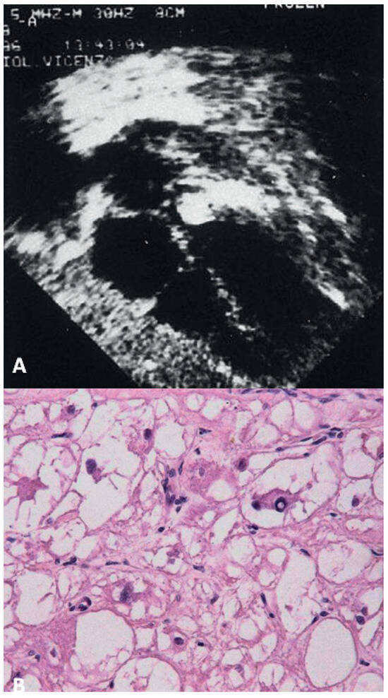
Lipoma
Haemangioma
Rhabdomyoma
Fibroma
Cystic tumour of the atrioventricular (AV) node
Intracardiac blood cyst
Primary malignant cardiac tumours
Angiosarcoma
Malignant pleomorphic fibrous histiocytoma (MFH) / undifferentiated pleomorphic sarcoma
Leiomyosarcoma
Fibrosarcoma
Rhabdomyosarcoma
Liposarcoma
Cardiac lymphoma
Tumours of the pericardium
Pericardial cyst
Teratoma
Malignant mesothelioma
Conclusions
Funding/potential competing interests
References
- Thiene, G.; Valente, M.; Lombardi, M.; Basso, C. Tumours of the Heart. In ESC Textbook of Cardiovascular Medicine; Camm, J.A., Luscher, T.F., Serruys, P.V., Eds.; University Press: Oxford, 2009. [Google Scholar]
- Mahaim, I. Les Tumeurs et les Polypes du Coeur: Etude Anatomoclinique; Masson: Paris, 1945. [Google Scholar]
- Goldberg, H.P.; Glenn, F.; Dotter, C.T.; Steinberg, I. Myxoma of the left atrium: Diagnosis made during life with operative and post-mortem findings. Circulation 1952, 6, 762–767. [Google Scholar] [CrossRef]
- Elbardissi, A.W.; Dearani, J.A.; Daly, R.C.; Mullany, C.J.; Orszulak, T.A.; Puga, F.J.; et al. Survival after resection of primary cardiac tumors: a 48-year experience. Circulation 2008, 118, S7–15. [Google Scholar] [CrossRef]
- Lymburner, R.M. Tumours of the heart: histopathological and clinical study. Can Med Assoc J. 1934, 30, 368–373. [Google Scholar]
- Butany, J.; Nair, V.; Naseemuddin, A.; Nair, G.M.; Catton, C.; Yau, T. Cardiac tumours: Diagnosis and management. Lancet Oncol. 2005, 6, 219–228. [Google Scholar] [CrossRef]
- Travis, W.T.; Brambilla, E.; Muller-Hermelink, H.K.; Harris, C.C. (Eds.) Pathology and genetics of tumours of the lung, pleura and heart. In World Health Organisation Classification of Tumours; IARC: Lyon, 2004. [Google Scholar]
- Reynen, K. Frequency of primary tumors of the heart. Am J Cardiol. 1996, 77, 107. [Google Scholar] [CrossRef]
- Burke, A.; Virmani, R. Tumors of the heart and great vessels. In Atlas of Tumor Pathology 3rd Series, 1st ed.; A med Forces Institute of Pathology: Washington, DC, USA, 1996; pp. 47–54. [Google Scholar]
- Miller, D.V.; Tazelaar, H.D. Cardiovascular pseudoneoplasms. Arch Pathol Lab Med. 2010, 134, 362–368. [Google Scholar] [CrossRef]
- Freedom, R.M.; Lee, K.J.; MacDonald, C.; Taylor, G. Selected aspects of cardiac tumors in infancy and childhood. Pediatr Cardiol. 2000, 21, 299–316. [Google Scholar] [CrossRef]
- Song, Y.; Hu, R.; Yao, Q. Pathological analysis of 268 cases of tumors in the heart and the pericardium. J SUN Yat-Sen-Univ 2003, 24, 197–201. [Google Scholar]
- Roberts, W.C. Primary and secondary neoplasms of the heart. Am J Cardiol. 1997, 80, 671–682. [Google Scholar] [CrossRef] [PubMed]
- Bussani, R.; De-Giorgio, F.; Abbate, A.; Silvestri, F. Cardiac metastasis. J Clin Pathol. 2007, 60, 27–34. [Google Scholar] [CrossRef] [PubMed]
- Hanfling, S.M. Metastatic cancer to the heart. Review of the literature and report of 127 cases. Circulation 1960, 22, 474–483. [Google Scholar] [CrossRef]
- Thomas-de-Montpréville, V.; Nottin, R.; Dulmet, E.; Serraf, A. Heart tumors in children and adults: clinicopathological study of 59 patients from a surgical center. Cardiovasc Pathol. 2007, 16, 22–28. [Google Scholar] [CrossRef]
- Basso, C.; Valente, M.; Poletti, A.; Casarotto, D.; Thiene, G. Surgical pathology of primary cardiac and pericardial tumors. Eur J Cardiothorac Surg. 1997, 12, 730–738. [Google Scholar] [CrossRef]
- Reynen, K. Cardiac myxomas. N Engl J Med. 1995, 33, 1610–1617. [Google Scholar] [CrossRef]
- Basso, C.; Valente, M.; Casarotto, D.; Thiene, G. Cardiac lithomyxoma. Am J Cardiol. 1997, 80, 1249–1251. [Google Scholar] [CrossRef]
- Burke, A.P.; Virmani, R. Cardiac myxoma: a clinicopathologic study. Am J Clin Pathol. 1993, 100, 671–680. [Google Scholar] [CrossRef] [PubMed]
- Basson, C.T.; MacRae, C.A.; Korf, B.; Merliss, A. Genetic Heterogeneity of familial atrial myxoma syndromes (Carney complex). Am J Cardiol. 1997, 79, 994–995. [Google Scholar] [CrossRef] [PubMed]
- Casey, M.; Vaughan, C.J.; He, J.; Hatcher, C.J.; Winter, J.M.; Weremowicz, S.; et al. Mutations in the protein kinase A R1alpha regulatory subunit cause familial cardiac myxomas and Carney complex. J Clin Invest. 2000, 106, R31–R38. [Google Scholar] [CrossRef] [PubMed]
- Bjessmo, S.; Ivert, T. Cardiac myxoma: 40 years’ experience in 63 patients. Ann Thorac Surg. 1997, 63, 697–700. [Google Scholar] [CrossRef]
- Centofanti, P.; Di Rosa, E.; Deorsola, L.; Dato, G.M.; Patanè, F.; La Torre, M.; et al. Primary cardiac tumors: Early and late results of surgical treatment in 91 patients. Ann Thorac Surg. 1999, 68, 1236–1241. [Google Scholar] [CrossRef]
- Valente, M. Structural profile of cardiac myxoma. Appl Pathol. 1983, 1, 251–263. [Google Scholar]
- Rickelt, S.; Rizzo, S.; Doerflinger, Y.; Zentgraf, H.; Basso, C.; Gerosa, G.; Thiene, G.; et al. A novel kind of tumor type-characteristic junction: plakophilin-2 as a major protein of adherens junctions in cardiac myxomata. Mod Pathol. 2010, 23, 1429–1437. [Google Scholar] [CrossRef]
- Padalino, M.A.; Basso, C.; Moreolo, G.S.; Thiene, G.; Stellin, G. Left atrial myxoma in a child: case report and review of the literature. Cardiovasc Pathol. 3002, 12, 233–236. [Google Scholar] [CrossRef]
- Edwards, F.H.; Hale, D.; Cohen, A.; Thompson, L.; Pezzella, A.T.; Virmani, R. Primary cardiac valve tumors. Ann Thorac Surg. 1991, 52, 1127–1131. [Google Scholar] [CrossRef] [PubMed]
- Sun, J.P.; Asher, C.R.; Yang, X.S.; Cheng, G.G.; Scalia, G.M.; Massed, A.G.; et al. Clinical and echocardiographic characteristics of papillary fibroelastomas: a retrospective and prospective study in 162 patients. Circulation 2001, 103, 2687–2693. [Google Scholar] [CrossRef] [PubMed]
- Basso, C.; Bottio, T.; Valente, M.; Bonato, R.; Casarotto, D.; Thiene, G. Primary cardiac valve tumours. Heart 2003, 89, 1259–1260. [Google Scholar] [CrossRef]
- Gowda, R.M.; Khan, I.A.; Nair, C.K.; Mehta, N.J.; Vasavada, B.C.; Sacchi, T.J. Cardiac papillary fibroelastoma: a comprehensive analysis of 725 cases. Am Heart J. 2003, 146, 404–410. [Google Scholar] [CrossRef]
- Valente, M.; Basso, C.; Thiene, G.; Bressan, M.; Stritoni, P.; Cocco, P.; Fasoli, G. Fibroelastic papilloma: a not-so-benign cardiac tumor. Cardiovasc Pathol. 1992, 1, 161–166. [Google Scholar] [CrossRef] [PubMed]
- Klarich, K.W.; Enriquez-Sarano, M.; Gura, G.M.; Edwards, W.D.; Tajik, A.J.; Seward, J.B. Papillary fibroelastoma: echocardiographic characteristics for diagnosis and pathologic correlation. J Am Coll Cardiol. 1997, 30, 784–790. [Google Scholar] [CrossRef]
- Bottio, T.; Pittarello, D.; Bonato, R.; Thiene, G.; Gerosa, G.; Casarotto, D.; Basso, C. Echocardiographic diagnosis of aortic valve papillary fibroelastoma. Tex Heart Inst J. 2004, 322–323. [Google Scholar]
- Cunningham, K.S.; Veinot, J.P.; Feindel, C.M.; Butany, J. Fatty lesions of the atria and interatrial septum. Hum Pathol. 2006, 37, 1245–1251. [Google Scholar] [CrossRef] [PubMed]
- Basso, C.; Barbazza, R.; Thiene, G. Lipomatous Hypertrophy of the Atrial Septum. Circulation 1998, 97, 1423. [Google Scholar] [CrossRef][Green Version]
- O’Connor, S.; Recavarren, R.; Nichols, L.C.; Parwani, A.V. Lipomatous hypertrophy of the interatrial septum: an overview. Arch Pathol Lab Med. 2006, 130, 397–399. [Google Scholar] [CrossRef] [PubMed]
- Brizard, C.; Latremouille, C.; Jebara, V.A.; Acar, C.; Fabiani, J.N.; Carpentier, A.F. Cardiac hemangiomas. Ann Thorac Surg. 1993, 56, 390–394. [Google Scholar] [CrossRef] [PubMed]
- Kipfer, B.; Englberger, L.; Stauffer, E.; Carrel, T. Rare presentation of cardiac hemangiomas. Ann Thorac Surg. 2000, 70, 977–979. [Google Scholar] [CrossRef]
- Burke, A.; Johns, J.P.; Virmani, R. Hemangiomas of the heart: a clinicopathologic study of ten cases. Am J Cardiovasc Pathol. 1990, 3, 283–290. [Google Scholar]
- Palmer, T.E.; Tresch, D.D.; Bonchek, L.I. Spontaneous resolution of a large, cavernous hemangioma of the heart. Am J Cardiol. 1986, 58, 184–185. [Google Scholar] [CrossRef]
- Chang, J.S.; Young, M.L.; Lue, H.C. Infantile cardiac hemangioendothelioma. Pediatr Cardiol. 1992, 13, 52–55. [Google Scholar] [CrossRef]
- Uzun, O.; Wilson, D.G.; Vujanic, G.M.; Parsons, J.M.; De Giovanni, J.V. Cardiac tumours in children. Orphanet J Rare Dis. 2007, 2, 11. [Google Scholar] [CrossRef]
- Chan, H.S.L.; Sonley, M.J.; Moes, C.A.F.; Daneman, A.; Smith, C.R.; Martin, D.J. Primary and secondary tumors of childhood involving the heart, pericardium and great vessels. A report of 75 cases and review of the literature. Cancer 1985, 56, 825–836. [Google Scholar] [CrossRef]
- Beghetti, M.; Gow, R.M.; Haney, I.; Maswon, J.; Williams, W.G.; Freedom, R.M. Pediatric primary benign cardiac tumors: a 15-year review. Am Heart J. 1997, 134, 1107–1114. [Google Scholar] [PubMed]
- Becker Anton, E. Primary heart tumors in the pediatric age group: a review of salient pathologic features relevant for clinicians. Pediatr Cardiol. 2000, 21, 317–323. [Google Scholar] [CrossRef] [PubMed]
- Padalino, M.A.; Basso, C.; Milanesi, O.; Vida, V.L.; Moreolo, G.S.; Thiene, G.; Stellin, G. Surgically treated primary cardiac tumors in early infancy and childhood. J Thorac Cardiovasc Surg. 2005, 129, 1358–1363. [Google Scholar] [CrossRef] [PubMed]
- Nir, A.; Tajik, J.; Freeman, W.K.; et al. Tuberous sclerosis and cardiac rhabdomyoma. Am J Cardiol. 1995, 76, 419–421. [Google Scholar] [CrossRef]
- De Dominicis, E.; Frigiola, A.; Thiene, G.; Menicanti, L.; Bozzola, L.; Finocchi, G. Subaortic stenosis by solitary rhabdomyoma. Successful excision in an infant following 2D echocardiogram and doppler diagnosis. Chest 1989, 95, 470–472. [Google Scholar]
- Burke, A.P.; Rosada-de Christenson, M.L.; Templeton, P.A.; Virmani, R. Cardiac fibroma: clinicopathologic correlates and surgical treatment. J Thorac Cardiovasc Surg. 1994, 108, 862–870. [Google Scholar] [CrossRef]
- Padalino, M.A.; Basso, C.; Thiene, G.; Stellin, G. Images in cardiovascular medicine: Giant right ventricular fibroma in an infant. Circulation 2002, 106, 386. [Google Scholar] [CrossRef]
- Davies, B.; Oppido, G.; Brizard, C.P. Surgical management of symptomatic cardiac fibromas in children. J Thorac Cardiovasc Surg. 2007, 133, 254–255. [Google Scholar] [CrossRef][Green Version]
- Valente, M.; Cocco, P.; Thiene, G.; et al. Cardiac fibroma and heart transplantation. J Thorac Cardiovasc Surg. 1993, 106, 1208–1212. [Google Scholar] [CrossRef]
- Armstrong, H.; Monckeberg, J.G. Herzblock bedingt durch primaren Herz tumor, bei einem 5-jahrigen kind. Dtsch Arch Klin Med. 1911, 102, 144–166. [Google Scholar]
- Cameselle-Teijeiro, J.; Abdulkader, I.; Soares, P.; Alfonsín-Barreiro, N.; Moldes-Boullosa, J.; Sobrinho-Simões, M. Cystic tumor of the atrioventricular node of the heart appears to be the heart equivalent of the solid cell nests (ultimobranchial rests) of the thyroid. Am J Clin Pathol. 2005, 123, 369–375. [Google Scholar] [CrossRef] [PubMed]
- Burke, A.P.; Anderson, P.G.; Virmani, R.; James, T.N.; Herrera, G.A.; Ceballos, R. Tumor of the atrioventricular nodal region: a clinical and immunohistochemical study. Arch Pathol Lab Med. 1990, 114, 1057–1062. [Google Scholar]
- Cameselle-Teijeiro, J.; Santías, R.R.; Nallib, I.A.; Forteza, J.; Barreiro, N.A. Cystic tumor of the atrioventricular node: a rare cardiac pseudoneoplastic lesion. Arch Pathol Lab Med. 2010, 134, 1584–1586. [Google Scholar] [CrossRef] [PubMed]
- Evans, C.A.; Suvarna, S.K. Cystic atrioventricular node tumour: not a mesothelioma. J Clin Pathol. 2005, 58, 1232. [Google Scholar]
- Patel, J.; Sheppard, M.N. Cystic tumour of the atrioventricular node: three cases of sudden death. Int J Legal Med. 2011, 125, 139–142. [Google Scholar] [CrossRef] [PubMed]
- Veinot, J.P. Cardiac tumors of adipocytes and cystic tumor of the atrioventricular node. Semin Diagn Pathol. 2008, 25, 29–38. [Google Scholar] [CrossRef]
- Sharma, G.M.; Linden, D.; Schultz, D.S.; Inamdar, K.V. Cystic tumor of the atrioventricular node: an unexpected finding in an explanted heart. Cardiovasc Pathol. 2010, 19, e75–e78. [Google Scholar] [CrossRef]
- Paniagua, J.R.; Sadaba, J.R.; Davidson, L.A.; Munsch, C.M. Cystic tumour of the atrioventricular nodal region: report of a case successfully treated with surgery. Heart 2000, 83, E6. [Google Scholar] [CrossRef]
- McAllister, H.A., Jr. Primary tumors and cysts of the heart and pericardium. Curr Probl Cardiol. 1979, 4, 1–51. [Google Scholar] [CrossRef]
- Gallucci, V.; Stritoni, P.; Fasoli, G.; Thiene, G. Giant blood cyst of tricuspid valve. Successful excision in an infant. Br Heart J. 1976, 38, 990–992. [Google Scholar] [CrossRef]
- Kim, C.H.; Dancer, J.Y.; Coffey, D.; Zhai, Q.J.; Reardon, M.; Ayala, A.G.; Ro, J.Y. Clinicopathologic study of 24 patients with primary cardiac sarcomas: a 10-year single institution experience. Hum Pathol. 2008, 39, 933–938. [Google Scholar] [CrossRef]
- Burke, A.P.; Cowan, D.; Virmani, R. Primary sarcomas of the heart. Cancer 1992, 69, 387–395. [Google Scholar] [CrossRef] [PubMed]
- Putnam JBJr Sweeney, M.S.; Colon, R.; Lanza, L.A.; Frazier, O.H.; Cooley, D.A. Primary cardiac sarcomas. Ann Thorac Surg. 1991, 51, 906–910. [Google Scholar] [CrossRef]
- Truong, P.T.; Jones, S.O.; Martens, B.; Alexander, C.; Paquette, M.; Joe, H.; et al. Treatment and outcomes in adult patients with primary cardiac sarcoma: the British Columbia Cancer Agency experience. Ann Surg Oncol. 2009, 16, 3358–3365. [Google Scholar] [CrossRef]
- Shanmugam, G. Primary cardiac sarcoma. Eur J Cardiothorac Surg. 2006, 29, 925–932. [Google Scholar] [CrossRef]
- Orlandi, A.; Ferlosio, A.; Roselli, M.; Chiariello, L.; Spagnoli, L.G. Cardiac sarcomas: an update. J Thorac Oncol. 2010, 5, 1483–1489. [Google Scholar] [CrossRef]
- Kurian, K.K.; Weisshaar, D.; Parekh, H.; et al. Primary angiosarcoma: case report and review of the literature. Cardiovasc. Pathol. 2006, 15, 110–112. [Google Scholar] [CrossRef] [PubMed]
- Poletti, A.; Cocco, P.; Valente, M.; Fasoli, G.; Chioin, R.; Thiene, G. In vivo diagnosis of cardiac angiosarcoma by endomyocardial biopsy. Cardiovasc Pathol. 1993, 2, 89–91. [Google Scholar] [CrossRef] [PubMed]
- Mazzola, A.; Spano, J.P.; Valente, M.; Gregorini, R.; Villani, C.; Di Eusanio, M.; et al. Leiomyosarcoma of the left atrium mimicking a left atrial myxoma. J Thorac Cardiovasc Surg. 2006, 131, 224–226. [Google Scholar] [CrossRef]
- Mazzucco, A.; Luciani, G.B.; Bertolini, P.; Faggian, G.; Morando, G.; Ghimenton, C. Primary leiomyosarcoma of the pulmonary artery: diagnostic and surgical implications. Ann Thorac Surg. 1994, 57, 222–225. [Google Scholar] [CrossRef]
- Van Veer, H.; Meuris, B.; Verbeken, E.; Herijgers, P. Primary atrial fibrosarcoma of the heart. Cardiovasc Pathol. 2008, 17, 325–328. [Google Scholar]
- Basso, C.; Stefani, A.; Calabrese, F.; Fasoli, G.; Valente, M. Primary atrial fibrosarcoma diagnosed by endocardial biopsy. Am Heart J. 1996, 131, 399–402. [Google Scholar] [CrossRef] [PubMed]
- Petrich, A.; Cho, S.I.; Billett, H. Primary cardiac lymphoma: an analysis of presentation, treatment, and outcome patterns. Cancer 2011, 117, 581–589. [Google Scholar] [CrossRef] [PubMed]
- Warren, W.H. Malignancies involving the pericardium. Semin Thorac Cardiovasc Surg. 2000, 12, 119–129. [Google Scholar] [CrossRef] [PubMed]
- Luk, A.; Ahn, E.; Vaideeswar, P.; Butany, J.W. Pericardial tumors. Semin Diagn Pathol. 2008, 25, 47–53. [Google Scholar] [CrossRef]
- Bendek, M.; Ferenc, M.; Freudenberg, N. Post-irradiation pericardial malignant mesothelioma: an autopsy case and review of the literature. Cardiovasc Pathol. 2010, 19, 377–379. [Google Scholar]
![]() |









© 2012 by the author. Attribution - Non-Commercial - NoDerivatives 4.0.
Share and Cite
Basso, C.; Rizzo, S.; Valente, M.; Thiene, G. Prevalence and Pathology of Primary Cardiac Tumours. Cardiovasc. Med. 2012, 15, 18. https://doi.org/10.4414/cvm.2012.01638
Basso C, Rizzo S, Valente M, Thiene G. Prevalence and Pathology of Primary Cardiac Tumours. Cardiovascular Medicine. 2012; 15(1):18. https://doi.org/10.4414/cvm.2012.01638
Chicago/Turabian StyleBasso, Cristina, Stefania Rizzo, Marialuisa Valente, and Gaetano Thiene. 2012. "Prevalence and Pathology of Primary Cardiac Tumours" Cardiovascular Medicine 15, no. 1: 18. https://doi.org/10.4414/cvm.2012.01638
APA StyleBasso, C., Rizzo, S., Valente, M., & Thiene, G. (2012). Prevalence and Pathology of Primary Cardiac Tumours. Cardiovascular Medicine, 15(1), 18. https://doi.org/10.4414/cvm.2012.01638

