Next Issue
Volume 15, 02
Previous Issue
Volume 14, 12
 
 
cardiovascmed-logo

Journal Browser

Journal Browser
Cardiovascular Medicine is published by MDPI from Volume 28 Issue 1 (2025). Previous articles were published by another publisher in Open Access under a CC-BY (or CC-BY-NC-ND) licence, and they are hosted by MDPI on mdpi.com as a courtesy and upon agreement with Editores Medicorum Helveticorum (EMH).

Cardiovasc. Med., Volume 15, Issue 1 (01 2012) – 7 articles

  • Issues are regarded as officially published after their release is announced to the table of contents alert mailing list.
  • You may sign up for e-mail alerts to receive table of contents of newly released issues.
  • PDF is the official format for papers published in both, html and pdf forms. To view the papers in pdf format, click on the "PDF Full-text" link, and use the free Adobe Reader to open them.
Order results
Result details
Select all
Export citation of selected articles as:
7 pages, 590 KB  
Review
Pre-Participation Cardiovascular Screening in Athletes: When and How?
by Saqib Ghani and Sanjay Sharma
Cardiovasc. Med. 2012, 15(1), 7; https://doi.org/10.4414/cvm.2012.01636 - 25 Jan 2012
Cited by 1 | Viewed by 163
Abstract
Sudden cardiac death (SCD) in athletes i s a rare but highly tragic event. The majority of SCDs in young athletes are attributable to inherited or congenital cardiac disorders. Athletes harbouring such potentially fatal conditions may remain asymptomatic and sudden death is frequently [...] Read more.
Sudden cardiac death (SCD) in athletes i s a rare but highly tragic event. The majority of SCDs in young athletes are attributable to inherited or congenital cardiac disorders. Athletes harbouring such potentially fatal conditions may remain asymptomatic and sudden death is frequently the first presentation. Most implicated disorders are identifiable during life, and a variety of therapeutic options are available to minimise the risk of SCD. Whereas most health professionals advocate pre-participation cardiovascular screening (PPS) on humanitarian and medical grounds, there is controversy about the most cost-effective method of screening. The American screening model encompasses a cardiovascular health questionnaire and physical examination, while in Italy a mandatory national screening programme is in existence that also incorporates 12-lead ECG. The American model is cheap and pragmatic but has poor sensitivity for the identification of sinister cardiac disorders. In contrast, the Italian model has been shown to exhibit a high sensitivity and specificity for the detection of cardiomyopathies, and has been associated with a dramatic reduction in the incidence of SCD since its inception. However, there are concerns regarding the cost-effectiveness of large-scale ECG screening programmes driven by false positive results and costs of unnecessary additive investigations to confirm or refute the presence of a serious disorder. Nevertheless, major sporting and cardiac organisations have endorsed and advocated the ECGbased screening protocol, which currently remains the most feasible and cost-effective method of pre-participation screening. More efforts are required to address some pertinent issues regarding the universal implementation of PPS programmes. Full article
Show Figures

Figure 1

2 pages, 621 KB  
Interesting Images
Atrioventricular Block in a Smoker
by Haran Burri, Xavier Perret and Robert F. Bonvini
Cardiovasc. Med. 2012, 15(1), 34; https://doi.org/10.4414/cvm.2012.01633 - 25 Jan 2012
Viewed by 76
Abstract
A 53-year-old woman patient presented with multiple episodes of syncope occurring at rest, associated with chest pain [...] Full article
Show Figures

Figure 1

2 pages, 788 KB  
Interesting Images
Unusual Case of Massive ST-Segment Elevation
by Jean-François Sarrazin and Frank Bogun
Cardiovasc. Med. 2012, 15(1), 32; https://doi.org/10.4414/cvm.2012.01634 - 25 Jan 2012
Viewed by 86
Abstract
A 40-year-old man with known severe h ypertension and moderate chronic renal insufficiency initially presented with back and chest pain [...] Full article
Show Figures

Figure 1

2 pages, 788 KB  
Interesting Images
Pseudoinfarction
by Adrian Attinger and Micha T. Maeder
Cardiovasc. Med. 2012, 15(1), 30; https://doi.org/10.4414/cvm.2012.01637 - 25 Jan 2012
Viewed by 90
Abstract
A 66-year-old woman was referred because of suspected acute coronary syndrome (ACS) [...] Full article
Show Figures

Figure 1

4 pages, 505 KB  
Editorial
Mediokratie Oder Die Konstruktion der Wirklichkeit
by Thomas F. Lüscher
Cardiovasc. Med. 2012, 15(1), 3; https://doi.org/10.4414/cvm.2012.01640 - 25 Jan 2012
Viewed by 88
Abstract
Das Problem ist zunächst grundsätzlicher Art: Können wir das Ding-an-sich e rkennen oder sehen wir nur ein Abbild der Wirklichkeit? [...] Full article
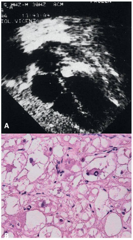
12 pages, 3054 KB  
Proceeding Paper
Prevalence and Pathology of Primary Cardiac Tumours
by Cristina Basso, Stefania Rizzo, Marialuisa Valente and Gaetano Thiene
Cardiovasc. Med. 2012, 15(1), 18; https://doi.org/10.4414/cvm.2012.01638 - 25 Jan 2012
Cited by 22 | Viewed by 591
Abstract
Primary cardiac tumours are rare clinical observations, different from secondary neoplasms (ten times more frequent), and 90% of all primary cardiac tumours are benign. Myxoma is by far the most frequent benign tumour (75%), typically located in the left atrium, and manifests with [...] Read more.
Primary cardiac tumours are rare clinical observations, different from secondary neoplasms (ten times more frequent), and 90% of all primary cardiac tumours are benign. Myxoma is by far the most frequent benign tumour (75%), typically located in the left atrium, and manifests with intra-cavitary obstruction, embolism and constitutional symptoms, but it may also be silent and discovered incidentally by echo. Papillary fibroelastoma is a tumour usually arising on the valvular or mural endocardium, which, although quite small, may become symptomatic through embolic e vents. Typical tumours of the paediatric age group are fibroma, rhabdomyoma and teratoma. Primary malignant neoplasms account for 10% of all primary cardiac tumours and are represented by sarcomas (angiosarcoma, leiomyosarcoma, fibrosarcoma, liposarcoma, rhabdomyosarcoma undifferentiated pleomorphic sarcomas) and primary lymphomas. They usually infiltrate the cardiac walls, but may be also solely intra-cavitary, mimicking myxoma. Non neoplastic masses may consist of thrombi and infections, which again can be identified by a thorough surgical pathology examination. Cardiac non invasive imaging through transthoracic and transesophageal echocardiography easily detects heart masses. Cardiac magnetic resonance imaging a nd computed tomography are helpful complementary investigations, for refining diagnosis and in the post-surgery follow-up. Histology with immuno-histochemistry of any cardiac mass is mandatory for diagnosis, therapy and prognosis. Endomyocardial biopsy m ay be of help for histological investigation without thoracotomy particularly in right sided masses. Full article
Show Figures

Figure 1

4 pages, 501 KB  
Review
Diving and Cardiology
by Martin Kraus and Jürg Wendling
Cardiovasc. Med. 2012, 15(1), 14; https://doi.org/10.4414/cvm.2012.01635 - 25 Jan 2012
Viewed by 117
Abstract
Higher pressure under water and loss of gravity have special physiological effects on the human body and also influence the cardiovascular system. Cardiovascular disease is in addition to other medical problems a risk for diving. A careful examination is necessary for safe diving. [...] Read more.
Higher pressure under water and loss of gravity have special physiological effects on the human body and also influence the cardiovascular system. Cardiovascular disease is in addition to other medical problems a risk for diving. A careful examination is necessary for safe diving. In a cardiovascular evaluation there are three main questions: is there an illness or pathology which may cause either sudden cardiac death, syncope or impaired physical mobility. Full article
Show Figures

Figure 1

Previous Issue
Next Issue
Back to TopTop