Factors Contributing to Risk of Persistence of Positive and Negative Symptoms in Schizophrenia during Hospitalization
Abstract
1. Introduction
Study Purpose
2. Material and Methods
- -
- another diagnosis, such as schizoaffective disorder or bipolar affective disorder, was established prior to the evaluated hospitalization,
- -
- unavailable neuroimaging scan data.
- demographic data,
- information obtained via standardized history-taking,
- psychopathological symptoms,
- neuroimaging scan analysis for the presence of the CSP.
2.1. Patient Demographic Data
2.2. Number of Hospitalizations
2.3. Comorbidity
2.4. Family History
2.5. Psychopathological Symptom Characteristics
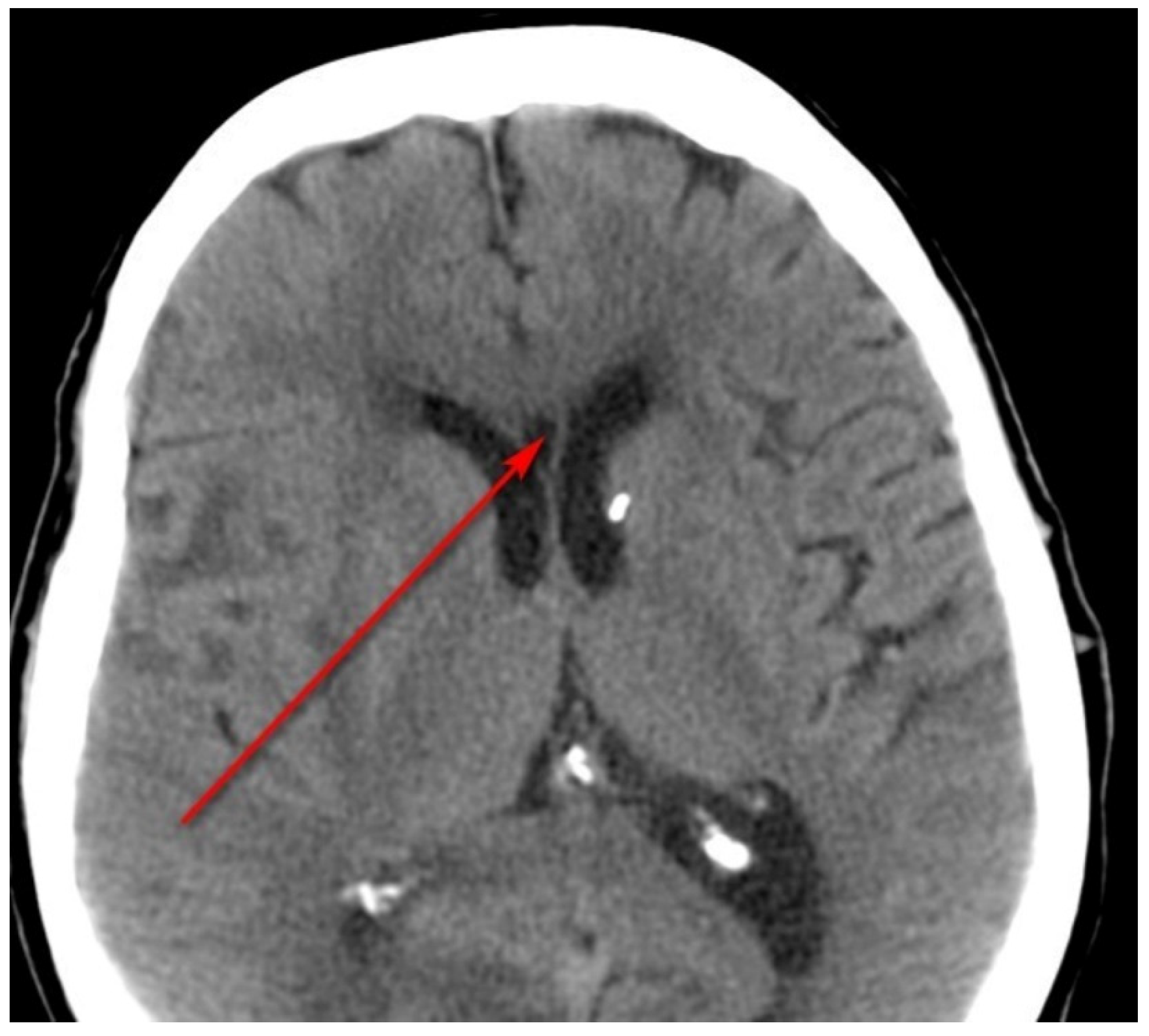
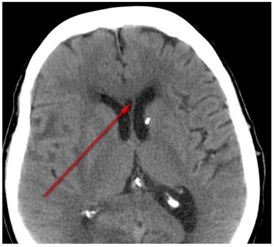
2.6. Neuroimaging Scan Evaluation for the Presence of the CSP
2.7. Statistical Analysis
3. Results
4. Discussion
5. Conclusions
Author Contributions
Funding
Institutional Review Board Statement
Informed Consent Statement
Data Availability Statement
Conflicts of Interest
References
- Weller, M.P. The spectrum of schizophrenia. Postgrad. Med. J. 1987, 63, 1021–1024. [Google Scholar] [CrossRef]
- Tandon, R.; Nasrallah, H.A.; Keshavan, M.S. Schizophrenia, “just the facts” 4. Clinical features and conceptualization. Schizophr. Res. 2009, 110, 1–23. [Google Scholar] [CrossRef]
- DeLisi, L.E.; Sakuma, M.; Tew, W.; Kushner, M.; Hoff, A.L.; Grimson, R. Schizophrenia as a chronic active brain process: A study of progressive brain structural change subsequent to the onset of schizophrenia. Psychiatry Res. 1997, 74, 129–140. [Google Scholar] [CrossRef]
- Ho, B.C.; Andreasen, N.C.; Nopoulos, P.; Arndt, S.; Magnotta, V.; Flaum, M. Progressive structural brain abnormalities and their relationship to clinical outcome: A longitudinal magnetic resonance imaging study early in schizophrenia. Arch. Gen. Psychiatry 2003, 60, 585–594. [Google Scholar] [CrossRef]
- Emsley, R.; Chiliza, B.; Asmal, L. The evidence for illness progression after relapse in schizophrenia. Schizophr. Res. 2013, 148, 117–121. [Google Scholar] [CrossRef] [PubMed]
- Andreasen, N.C.; Liu, D.; Ziebell, S.; Vora, A.; Ho, B.C. Relapse duration, treatment intensity, and brain tissue loss in schizophrenia: A prospective longitudinal MRI study. Am. J. Psychiatry 2013, 170, 609–615. [Google Scholar] [CrossRef]
- Craig, T.J.; Richardson, M.A.; Pass, R.; Bregman, Z. Measurement of mood and affect in schizophrenic inpatients. Am. J. Psychiatry 1985, 142, 1272–1277. [Google Scholar] [CrossRef]
- Foussias, G.; Remington, G. Negative Symptoms in Schizophrenia: Avolition and Occam’s Razor. Schizophr. Bull. 2010, 36, 359–369. [Google Scholar] [CrossRef]
- Sponheim, S.R.; Jung, R.E.; Seidman, L.J.; Mesholam-Gately, R.I.; Manoach, D.S.; O’Leary, D.S.; Ho, B.C.; Andreasen, N.C.; Lauriello, J.; Schulz, S.C. Cognitive deficits in recent-onset and chronic schizophrenia. J. Psychiatr. Res. 2010, 44, 421–428. [Google Scholar] [CrossRef]
- Liddle, P.F. The symptoms of chronic schizophrenia. A re-examination of the positive-negative dichotomy. Br. J. Psychiatry 1987, 151, 145–151. [Google Scholar] [CrossRef]
- Harvey, P.D.; Koren, D.; Reichenberg, A.; Bowie, C.R. Negative symptoms and cognitive deficits: What is the nature of their relationship? Schizophr. Bull. 2006, 32, 250–258. [Google Scholar] [CrossRef]
- Patel, K.R.; Cherian, J.; Gohil, K.; Atkonson, D. Schizophrenia: Overview and Treatment Options. Pharm. Ther. 2014, 39, 638–645. [Google Scholar]
- Jablensky, A. The diagnostic concept of schizophrenia; its history, evolution and future prospects. Dialogues. Clin. Neurosci. 2010, 12, 271–287. [Google Scholar] [CrossRef]
- Andreasen, N.C.; Olsen, S. Negative v positive schizophrenia. Definition and validation. Arch. Gen. Psychiatry 1982, 39, 789–794. [Google Scholar] [CrossRef] [PubMed]
- Tandon, R.; Keshavan, M.S.; Nasrallah, H.A. Schizophrenia, “just the facts” what we know in 2008. 2. Epidemiology and etiology. Schizophr. Res. 2008, 102, 1–18. [Google Scholar] [CrossRef]
- van Os, J.; Kapur, S. Schizophrenia. Lancet 2009, 374, 635–645. [Google Scholar] [CrossRef]
- Andreasen, N.C.; Nopoulos, P.; O’Leary, D.S. Defining the Phenotype of schizophrenia: Cognitive dysmetria and its neural mechanism. Biol. Psychiatry 1999, 46, 908–920. [Google Scholar] [CrossRef]
- Gałecki, P. Schizofrenia, Zaburzenia typu schizofrenii i urojeniowe (F20–F29). In Psychiatria; Gałecki, P., Szulc, A., Eds.; Edra Urban & Partner: Wrocław, Poland, 2018; pp. 157–189. [Google Scholar]
- Rybakowski, J. Etiopatogeneza schizofrenii–stan wiedzy na rok 2021. Psychiatr. Pol. 2021, 55, 261–274. [Google Scholar] [CrossRef]
- Punzi, G.; Bharadwaj, R.; Ursini, G. Neuroepigenetics of Schizophrenia. Prog. Mol. Biol. Transl. Sci. 2018, 158, 195–226. [Google Scholar] [PubMed]
- Panariello, F.; Fanelli, G.; Fabbri, C.; Atti, A.R.; De Ronchi, D.; Serretti, A. Epigenetic Basis of Psychiatric Disorders: A Narrative Review. CNS Neurol. Disord. Drug Targets 2022, 21, 302–315. [Google Scholar] [CrossRef]
- Takahashi, T.; Takayanagi, Y.; Nishikawa, Y.; Nakamura, M.; Komori, Y.; Furuichi, A.; Kido, M.; Sasabayashi, D.; Noguchi, K.; Suzuki, M. Brain neurodevelopmental markers related to the deficit subtype of schizophrenia. Psychiatry Res. Neuroimaging 2017, 266, 10–18. [Google Scholar] [CrossRef]
- Kasai, K.; McCarley, R.W.; Salisbury, D.F.; Onitsuka, T.; Demeo, S.; Yurgelun-Todd, D.; Kikinis, R.; Jolesz, F.A.; Shenton, M.E. Cavum septi pellucidi in first-episode schizophrenia and first-episode affective psychosis: An MRI study. Schizophr. Res. 2004, 71, 65–76. [Google Scholar] [CrossRef]
- Winter, T.C.; Kennedy, A.M.; Byrne, J.; Woodward, P.J. The cavum septi pellucidi: Why is it important? J. Ultrasound Med. 2010, 29, 427–444. [Google Scholar] [CrossRef]
- Barkovich, A.J.; Norman, D. Absence of the septum pellucidum: A useful sign in the diagnosis of congenital brain malformations. AJR Am. J. Roentgenol. 1989, 152, 353–360. [Google Scholar] [CrossRef]
- Witkowski, G. Factors Contributing to Risk of Persistence of Positive and Negative Symptoms in Schizophrenia during Hospitalization. Ph.D. Thesis, Medical University of Warsaw, Warsaw, Poland, 2018. [Google Scholar]
- Bodensteiner, B.; Schaefer, G.B. Wide cavum septum pellucidum: A marker of disturbed brain development. Pediatr. Neurol. 1990, 6, 391–394. [Google Scholar] [CrossRef]
- Wang, L.X.; Li, P.; He, H.; Guo, F.; Tian, P.; Li, C.; Cui, L.B.; Xi, Y.B.; Yin, H. The Prevalence of Cavum Septum Pellucidum in Mental Disorders Revealed by MRI: A Meta-Analysis. J. Neuropsychiatry Clin. Neurosci. 2020, 32, 175–184. [Google Scholar] [CrossRef]
- Charlson, F.J.; Ferrari, A.J.; Santomauro, D.F.; Diminic, S.; Stockings, E.; Scott, J.G.; McGrath, J.J.; Whiteford, H.A. Global Epidemiology and Burden of Schizophrenia: Findings from the Global Burden of Disease Study 2016. Schizophr. Bull. 2018, 44, 1195–1203. [Google Scholar] [CrossRef]
- Laursen, T.M. Causes of premature mortality in schizophrenia: A review of literature published in 2018. Curr. Opin. Psychiatry 2019, 32, 388–393. [Google Scholar] [CrossRef]
- Wciórka, J. Psychozy Schizofreniczne. In Psychiatria Kliniczna, 2nd ed.; Pużyński, S., Rybakowski, J., Wciórka, J., Eds.; Elseviere Urban i Parner: Wrocław, Poland, 2011; Volume 2, pp. 195–265. [Google Scholar]
- Saha, S.; Chant, D.; Welham, J.; McGrath, J. A Systematic Review of the Prevalance of Schizophrenia. PLoS Med. 2005, 2, e141. [Google Scholar] [CrossRef]
- Buckley, P.F.; Miller, B.J.; Lehrer, D.S.; David, J.C. Psychiatric Comorbidities and Schizophrenia. Schizophr. Biull. 2009, 35, 383–402. [Google Scholar] [CrossRef]
- Duman, R.S.; Monteggia, L.M. A neurotrophic model for stress-related mood disorders. Biol. Psychiatry 2006, 59, 1116–1127. [Google Scholar] [CrossRef] [PubMed]
- Perkins, D.O. Predictors of noncompliance in patients with schizophrenia. J. Clin. Psychiatry 2002, 63, 1121–1128. [Google Scholar] [CrossRef] [PubMed]
- Dieset, I.; Andreassen, O.A.; Haukvik, U.K. Somatic Comorbidity in Schizophrenia: Some Possible Biological Mechanisms across the Life Span. Schizophr Bull. 2016, 42, 1316–1319. [Google Scholar] [CrossRef]
- Brady, K.; Sinha, R. Co-occuring mental and substance use disorders: The neurobilogical effects in chronic stress. Am. J. Psychiatry 2005, 162, 1483–1493. [Google Scholar] [CrossRef] [PubMed]
- Kring, A.M.; Gaponigno, J.M. Emotions in Schizophrenia: When Feeling Meets Thinking. Curr. Dir. Psychol. Sci. 2010, 19, 255–259. [Google Scholar] [CrossRef] [PubMed]
- Rakic, P.; Yakovlev, P.I. Development of the corpus callosum and cavum septi in man. J. Comp. Neurol. 1968, 132, 45–72. [Google Scholar] [CrossRef]
- Raybaud, C. The corpus callosum, the other great forebrain commissures, and the septum pellucidum: Anatomy, development, and malformation. Neuroradiology 2010, 52, 447–477. [Google Scholar] [CrossRef]
- Aldur, M.M.; Gürcan, F.; Başar, R.; Akşit, M.D. Frequency of septum pellucidum anomalies in non-psychotic population: A magnetic resonance imaging study. Surg. Radiol. Anat. 1999, 21, 119–123. [Google Scholar] [CrossRef]






| Mean | SD | Median | Range | ||
|---|---|---|---|---|---|
| Minimum | Maximum | ||||
| Patient age (years) | 42.7 | 15.1 | 40.0 | 18.0 | 83.0 |
| Disease duration (years) | 13.6 | 12.6 | 9.0 | 1.0 | 55.0 |
| Duration of evaluated hospitalization (days) | 66.1 | 38.0 | 57.0 | 5.0 | 269.0 |
| Odds Ratios | ||||||
|---|---|---|---|---|---|---|
| Factor | Level-1 | Level-2 | Odds Ratio | 95% Lower Confidence Limit | 95% Upper Confidence Limit | p-Value |
| (Actual) | (Base) | |||||
| Age (years) | x + 10 | x | 1.36 | 1.087 | 1.702 | 0.007 |
| Number of hospitalizations | 1–2 | >6 | 0.27 | 0.118 | 0.616 | 0.002 |
| Number of hospitalizations | 3–6 | >6 | 0.81 | 0.381 | 1.723 | NS |
| Past suicide attempts | 0 | 1 | 0.386 | 0.159 | 0.936 | 0.035 |
| Persistent cavum septi pellucidi | 0 | 1 | 1.319 | 0.612 | 2.84 | NS |
| Mood disorders on admission | L | N | 0.199 | 0.1 | 0.396 | <0.001 |
| Mood disorders on admission | E | N | 0.794 | 0.295 | 2.134 | NS |
| Positive symptoms on admission | 0 | 1 | <0.001 | <0.001 | >999 | NS |
| Negative symptoms on admission | 0 | 1 | 0.198 | 0.084 | 0.463 | <0.001 |
| Other psychopathological symptoms on admission | 0 | 1 | 0.098 | 0.027 | 0.353 | <0.001 |
| Coercion on admission | 0 | 1 | 0.859 | 0.38 | 1.943 | NS |
| Odds Ratios | ||||||
|---|---|---|---|---|---|---|
| Factor | Level-1 | Level-2 | Odds Ratio | 95% Lower Confidence Limit | 95% Upper Confidence Limit | p-Value |
| (Actual) | (Base) | |||||
| Age (years) | x + 10 | x | 1.327 | 1.037 | 1.699 | 0.025 |
| Past suicide attempts | 0 | 1 | 0.19 | 0.037 | 0.965 | 0.045 |
| Persistent cavum septi pellucidi | 0 | 1 | 1.518 | 0.623 | 3.697 | NS |
| Psychomotor agitation on admission | 0 | 1 | 2.064 | 0.938 | 4.538 | NS |
| Negative symptoms on admission | 0 | 1 | 0.002 | <0.001 | 0.036 | <0.001 |
| Other psychopathological symptoms on admission | 0 | 1 | 0.179 | 0.058 | 0.548 | 0.003 |
| Odds Ratios | ||||||
|---|---|---|---|---|---|---|
| Factor | Level-1 | Level-2 | Odds Ratio | 95% Lower Confidence Limit | 95% Upper Confidence Limit | p-Value |
| (Actual) | (Base) | |||||
| Age (years) | x + 10 | x | 1.3 | 1.029 | 1.642 | 0.028 |
| Number of hospitalizations | 1–2 | >6 | 0.163 | 0.067 | 0.394 | <0.001 |
| Number of hospitalizations | 3–6 | >6 | 0.451 | 0.204 | 0.999 | 0.049 |
| Family history of alcohol abuse | 0 | 1 | 0.374 | 0.152 | 0.918 | 0.032 |
| Persistent cavum septi pellucidi | 0 | 1 | 1.39 | 0.638 | 3.028 | NS |
| Affect dysregulation on admission | 0 | 1 | 3.5 | 1.347 | 9.098 | 0.01 |
| Mood disorders on admission | L | N | 0.177 | 0.087 | 0.363 | <0.001 |
| Mood disorders on admission | E | N | 1.086 | 0.464 | 2.542 | NS |
| Anxiety on admission | 0 | 1 | 1.991 | 0.484 | 8.184 | NS |
| Negative symptoms on admission | 0 | 1 | 0.135 | 0.051 | 0.359 | <0.001 |
| Other psychopathological symptoms on admission | 0 | 1 | 0.004 | <0.001 | 0.106 | 0.001 |
Disclaimer/Publisher’s Note: The statements, opinions and data contained in all publications are solely those of the individual author(s) and contributor(s) and not of MDPI and/or the editor(s). MDPI and/or the editor(s) disclaim responsibility for any injury to people or property resulting from any ideas, methods, instructions or products referred to in the content. |
© 2023 by the authors. Licensee MDPI, Basel, Switzerland. This article is an open access article distributed under the terms and conditions of the Creative Commons Attribution (CC BY) license (https://creativecommons.org/licenses/by/4.0/).
Share and Cite
Witkowski, G.; Januszko, P.; Skalski, M.; Mach, A.; Wawrzyniak, Z.M.; Poleszak, E.; Ciszek, B.; Radziwoń-Zaleska, M. Factors Contributing to Risk of Persistence of Positive and Negative Symptoms in Schizophrenia during Hospitalization. Int. J. Environ. Res. Public Health 2023, 20, 4592. https://doi.org/10.3390/ijerph20054592
Witkowski G, Januszko P, Skalski M, Mach A, Wawrzyniak ZM, Poleszak E, Ciszek B, Radziwoń-Zaleska M. Factors Contributing to Risk of Persistence of Positive and Negative Symptoms in Schizophrenia during Hospitalization. International Journal of Environmental Research and Public Health. 2023; 20(5):4592. https://doi.org/10.3390/ijerph20054592
Chicago/Turabian StyleWitkowski, Grzegorz, Piotr Januszko, Michał Skalski, Anna Mach, Zbigniew Maciej Wawrzyniak, Ewa Poleszak, Bogdan Ciszek, and Maria Radziwoń-Zaleska. 2023. "Factors Contributing to Risk of Persistence of Positive and Negative Symptoms in Schizophrenia during Hospitalization" International Journal of Environmental Research and Public Health 20, no. 5: 4592. https://doi.org/10.3390/ijerph20054592
APA StyleWitkowski, G., Januszko, P., Skalski, M., Mach, A., Wawrzyniak, Z. M., Poleszak, E., Ciszek, B., & Radziwoń-Zaleska, M. (2023). Factors Contributing to Risk of Persistence of Positive and Negative Symptoms in Schizophrenia during Hospitalization. International Journal of Environmental Research and Public Health, 20(5), 4592. https://doi.org/10.3390/ijerph20054592

