Clinical Outcomes of Monolithic Zirconia Crowns with CAD/CAM Technology. A 1-Year Follow-Up Prospective Clinical Study of 65 Patients
Abstract
1. Introduction
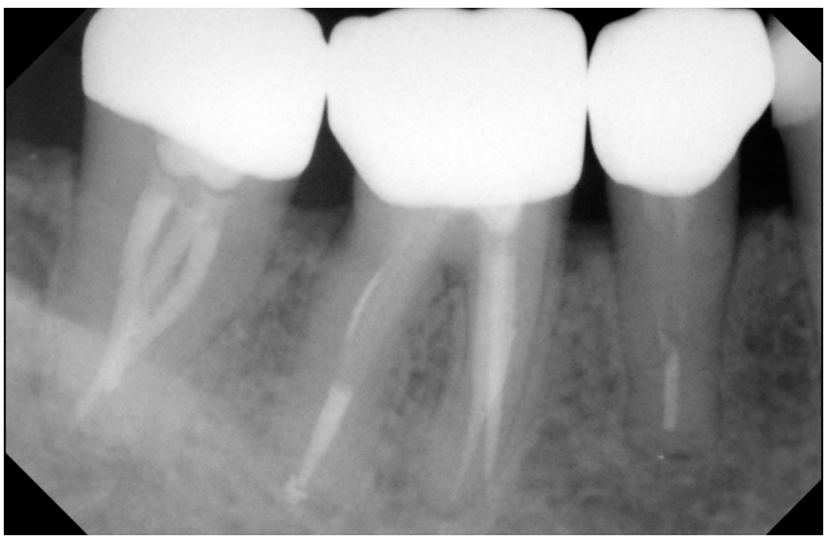
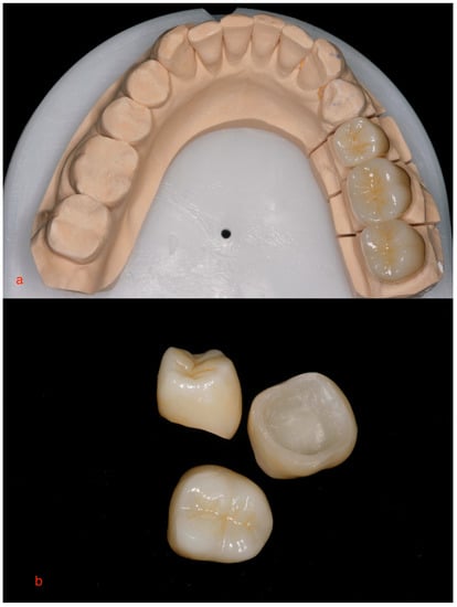
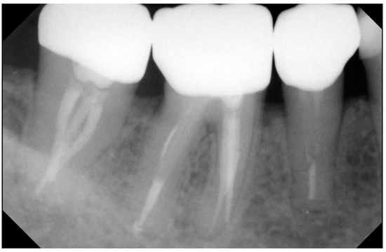
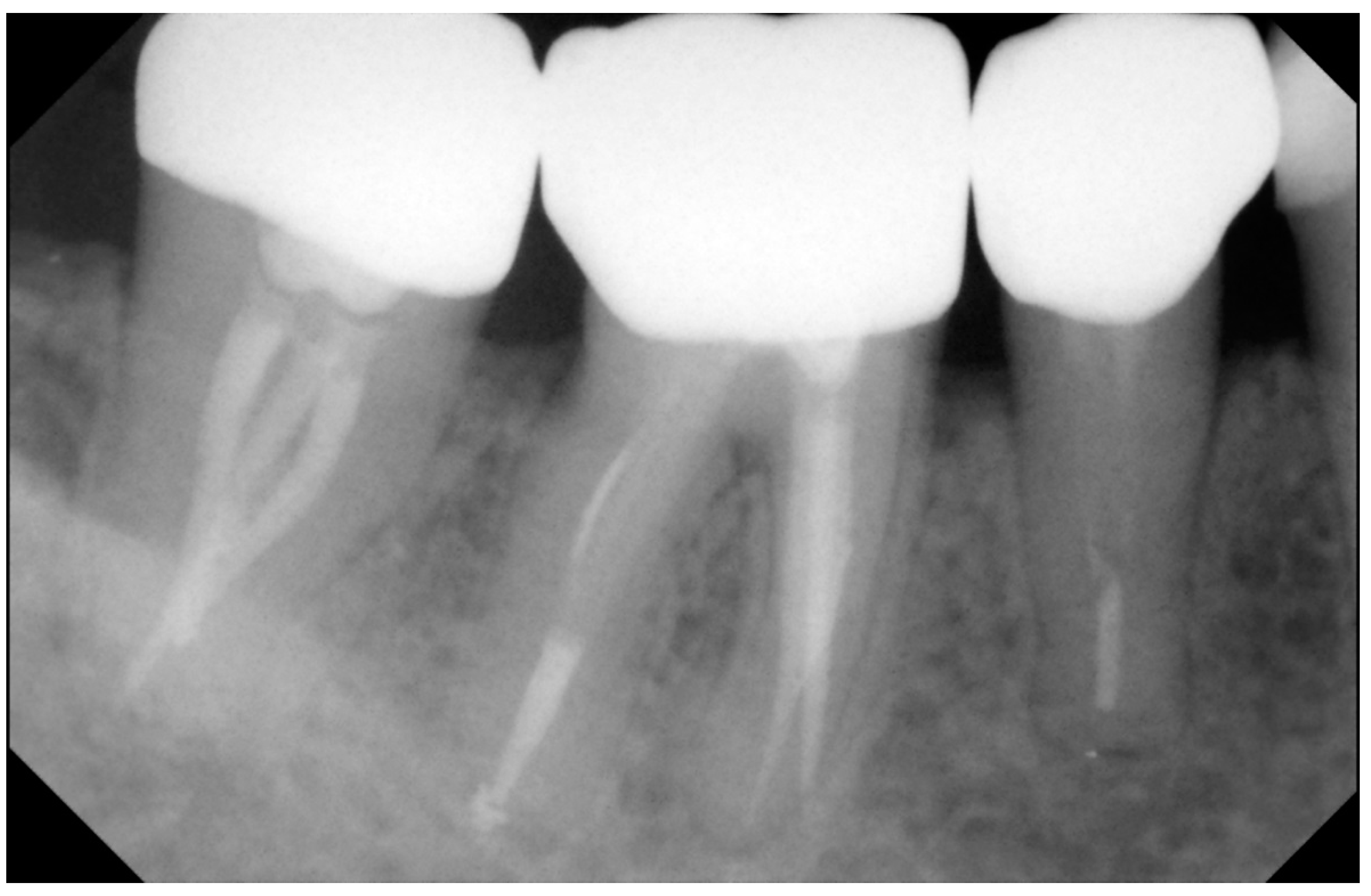
2. Materials and Methods
2.1. Evaluation Procedure
2.2. Study Outcomes
2.3. Statistical Analysis
3. Results
4. Discussion
5. Conclusions
Author Contributions
Funding
Conflicts of Interest
References
- Joda, T.; Zarone, F.; Ferrari, M. The complete digital workflow in fixed prosthodontics: A systematic review. BMC Oral Health 2017, 17, 124. [Google Scholar] [CrossRef] [PubMed]
- Zarone, F.; Ferrari, M.; Mangano, F.G.; Leone, R.; Sorrentino, R. “Digitally Oriented Materials”: Focus on Lithium Disilicate Ceramics. Int. J. Dent. 2016, 2016, 9840594. [Google Scholar] [CrossRef] [PubMed]
- Mangano, F.; Gandolfi, A.; Luongo, G.; Logozzo, S. Intraoral scanners in dentistry: A review of the current literature. BMC Oral Health 2017, 17, 149. [Google Scholar] [CrossRef] [PubMed]
- Pietruski, J.K.; Skurska, A.; Bernaczyk, A.; Milewski, R.; Pietruska, M.J.; Gehrke, P.; Pietruska, M.D. Evaluation of concordance between CAD/CAM and clinical positions of abutment shoulder against mucosal margin: An observational study. BMC Oral Health 2018, 18, 73. [Google Scholar] [CrossRef] [PubMed]
- Covacci, V.; Bruzzese, N.; Maccauro, G.; Andreassi, C.; Ricci, G.A.; Piconi, C.; Marmo, E.; Burger, W.; Cittadini, A. In vitro evaluation of the mutagenic and carcinogenic power of high purity zirconia ceramic. Biomaterials 1999, 20, 371–376. [Google Scholar] [CrossRef]
- Derafshi, R.; Khorshidi, H.; Kalantari, M.; Ghaffarlou, I. Effect of mouthrinses on color stability of monolithic zirconia and feldspathic ceramic: An in vitro study. BMC Oral Health 2017, 17, 129. [Google Scholar] [CrossRef] [PubMed]
- Konstantinidis, I.K.; Jacoby, S.; Rädel, M.; Böning, K. Prospective evaluation of zirconia based tooth- and implant-supported fixed dental prostheses: 3-year results. J. Dent. 2015, 43, 87–93. [Google Scholar] [CrossRef] [PubMed]
- Heintze, S.D.; Rousson, V. Survival of zirconia- and metal-supported fixed dental prostheses: A systematic review. Int. J. Prosthodont. 2010, 23, 493–502. [Google Scholar] [PubMed]
- Fasbinder, D.J.; Dennison, J.B.; Heys, D.; Neiva, G. A clinical evaluation of chairside lithium disilicate CAD/CAM crowns: A two-year report. J. Am. Dent. Assoc. 2010, 141 (Suppl. 2), 10S–14S. [Google Scholar] [CrossRef] [PubMed]
- Marquardt, P.; Strub, J.R. Survival rates of IPS empress 2 all-ceramic crowns and fixed partial dentures: Results of a 5-year prospective clinical study. Quintessence Int. 2006, 37, 253–259. [Google Scholar] [PubMed]
- Passia, N.; Mitsias, M.; Lehmann, F.; Kern, M. Bond strength of a new generation of universal bonding systems to zirconia ceramic. J. Mech. Behav. Biomed. Mater. 2016, 62, 268–274. [Google Scholar] [CrossRef] [PubMed]
- Ferrari, M.; Sorrentino, R.; Cagidiaco, C.; Goracci, C.; Vichi, A.; Gherlone, E.; Zarone, F. Short-term clinical performance of zirconia single crowns with different framework designs: 3-year clinical trial. Am. J. Dent. 2015, 28, 235–240. [Google Scholar] [PubMed]
- Sun, T.; Zhou, S.; Lai, R.; Liu, R.; Ma, S.; Zhou, Z.; Longquan, S. Load-bearing capacity and the recommended thickness of dental monolithic zirconia single crowns. J. Mech. Behav. Biomed. Mater. 2014, 35, 93–101. [Google Scholar] [CrossRef] [PubMed]
- Johansson, C.; Kmet, G.; Rivera, J.; Larsson, C.; Vult Von Steyern, P. Fracture strength of monolithic all-ceramic crowns made of high translucent yttrium oxide-stabilized zirconium dioxide compared to porcelain-veneered crowns and lithium disilicate crowns. Acta Odontol. Scand. 2014, 72, 145–153. [Google Scholar] [CrossRef] [PubMed]
- Nakamura, K.; Harada, A.; Inagaki, R.; Kanno, T.; Niwano, Y.; Milleding, P.; Örtengren, U. Fracture resistance of monolithic zirconia molar crowns with reduced thickness. Acta Odontol. Scand. 2015, 73, 602–608. [Google Scholar] [CrossRef] [PubMed]
- Stober, T.; Bermejo, J.L.; Rammelsberg, P.; Schmitter, M. Enamel wear caused by monolithic zirconia crowns after 6 months of clinical use. J. Oral Rehabil. 2014, 41, 314–322. [Google Scholar] [CrossRef] [PubMed]
- Lobbezoo, F.; Ahlberg, J.; Glaros, A.G.; Kato, T.; Koyano, K.; Lavigne, G.J.; de Leeuw, R.; Manfredini, D.; Svensson, P.; Winocur, E. Bruxism defined and graded: An international consensus. J. Oral Rehabil. 2013, 40, 2–4. [Google Scholar] [CrossRef] [PubMed]
- Sarıkaya, I.; Hayran, Y. Effects of dynamic aging on the wear and fracture strength of monolithic zirconia restorations. BMC Oral Health 2018, 18, 146. [Google Scholar] [CrossRef] [PubMed]
- Worni, A.; Katsoulis, J.; Kolgeci, L.; Worni, M.; Mericske-Stern, R. Monolithic zirconia reconstructions supported by teeth and implants: 1- to 3-year results of a case series. Quintessence Int. 2017, 48, 459–467. [Google Scholar] [PubMed]
- Bömicke, W.; Rammelsberg, P.; Stober, T.; Schmitter, M. Short-Term Prospective. Clinical Evaluation of Monolithic and Partially Veneered Zirconia Single Crowns. J. Esthet. Restor. Dent. 2017, 29, 22–30. [Google Scholar] [CrossRef] [PubMed]
- Hamza, T.A.; Sherif, R.M. In vitro evaluation of marginal discrepancy of monolithic zirconia restorations fabricated with different CAD-CAM systems. J. Prosthet. Dent. 2017, 117, 762–766. [Google Scholar] [CrossRef] [PubMed]
- Kale, E.; Yilmaz, B.; Seker, E.; Özcelik, T.B. Effect of fabrication stages and cementation on the marginal fit of CAD-CAM monolithic zirconia crowns. J. Prosthet. Dent. 2017, 118, 736–741. [Google Scholar] [CrossRef] [PubMed]
- Amer, R.; Kürklü, D.; Johnston, W. Effect of simulated mastication on the surface roughness of three ceramic systems. J. Prosthet. Dent. 2015, 114, 260–265. [Google Scholar] [CrossRef] [PubMed]
- Lawson, N.C.; Bansal, R.; Burgess, J.O. Wear, strength, modulus and hardness of CAD/CAM restorative materials. Dent. Mater. 2016, 32, e275–e283. [Google Scholar] [CrossRef] [PubMed]
- Kim, M.J.; Oh, S.H.; Kim, J.H.; Ju, S.W.; Seo, D.G.; Jun, S.H.; Ahn, J.S.; Ryu, J.J. Wear evaluation of the human enamel opposing different Y-TZP dental ceramics and other porcelains. J. Dent. 2012, 40, 979–988. [Google Scholar] [CrossRef] [PubMed]
- Kontos, L.; Schille, C.; Schweizer, E.; Geis-Gerstorfer, J. Influence of surface treatment on the wear of solid zirconia. Acta Odontol. Scand. 2013, 71, 482–487. [Google Scholar] [CrossRef] [PubMed]
- Paniz, G.; Nart, J.; Gobbato, L.; Chierico, A.; Lops, D.; Michalakis, K. Periodontal response to two different subgingival restorative margin designs: A 12-month randomized clinical trial. Clin. Oral Investig. 2016, 20, 1243–1252. [Google Scholar] [CrossRef] [PubMed]
- Gemalmaz, D.; Ergin, S. Clinical evaluation of all-ceramic crowns. J. Prosthet. Dent. 2002, 87, 189–196. [Google Scholar] [CrossRef] [PubMed]
- Nedelcu, R.; Olsson, P.; Nyström, I.; Thor, A. Finish line distinctness and accuracy in 7 intraoral scanners versus conventional impression: An in vitro descriptive comparison. BMC Oral Health 2018, 18, 27. [Google Scholar] [CrossRef] [PubMed]
- Mangano, F.; Veronesi, G. Digital versus Analog Procedures for the Prosthetic Restoration of Single Implants: A Randomized Controlled Trial with 1 Year of Follow-Up. Biomed. Res. Int. 2018, 2018, 5325032. [Google Scholar] [CrossRef] [PubMed]




| Parameters | Alpha (A) | Bravo (B) | Charlie (C) |
|---|---|---|---|
| Color Match | The restoration appears to match the shade and the translucency of adjacent tooth tissues. (visual inspection) | The restoration does not match the shade and the translucency of adjacent tooth tissues, but the mismatch is within the normal range of the tooth shades. (within normal range: Similar to silicate cement restorations for which dentist did not quite succeed in the matching tooth color by his choice among available silicate cement shades). (visual inspection) | The restoration does not match the shade and the translucency of the adjacent tooth structure, and the mismatch is outside the normal range of the tooth shades and translucency. (visual inspection) |
| Anatomic contour | The restoration is a continuation of existing anatomic form or is slightly flattened. It may be overcontoured. When the side of the explorer is placed tangentially across the restoration, it does not touch two opposing cavosurface line angles at the same time. (visual inspection and explorer) | A surface concavity is evident. When the side of the explorer is placed tangentially across the restoration, it does not touch two opposing cavosurface line angles at the time, but the dentin or base is not exposed. (visual inspection and explorer) | There is a loss of restorative substance such that a surface concanity is evident and the base and/or dentin is exposed. (visual inspection and explorer) |
| Cavosurface marginal discoloration | There is no visual evidence of marginal discoloration different from the color of the restorative material and from the color of the adjacement. (visual inspection) | There is visual evidence of marginal discoloration at the junction of the tooth structure and the restoration, but the discoloration has not penetrated along the restoration in a pulpal direction. (visual inspection) | There is visual evidence of marginal discoloration at the junction of the tooth structure and the restoration that has penetrated along the restoration in a pulpal direction. (visual inspection) |
| Marginal Integrity | The explorer does not catch when drawn across the surface of the restoration toward the tooth, or, if the explorer does not catch, there is no visible crevice along the periphery of the restoration. (visual inspection and explorer) | The explorer catches and there is visible evidence of the crevice, which the explorer penetrates, indicating that the edge of the restoration does not adapt closely to the tooth structure. The dentin and/or the base is not exposed, and the restoration is not mobile. (visual inspection and explorer) | The explorer penetrates crevice defect extended to the dento-enamel junction. (explorer) |
| Secondary caries | The restoration is a continuation of existing anatomic form adjacent to the restoration. (visual inspection) | There is visual evidence of the dark keep discoloration adjacent to the restoration (but not directly associated with cavosurface margins). (visual inspection and explorer) | |
| Surface texture | Surface texture similar to polished enamel as determined by means of a sharp explorer. (explorer) | Surface texture gritty or similar to a surface subjects to a white stone or similar to a composite containing supramicron-sized particles. (explorer) | Surface pitting is sufficiently coarse to inhibit the continuous movement of an explorer across the surface. (explorer) |
| Gross fracture | Restoration is intact and fully retained. | Restoration is partially retained with some portion of the restoration still intact. | Restoration is completely missing. |
| Baseline | 6 Months | 12 Months | |||||||
|---|---|---|---|---|---|---|---|---|---|
| A | B | C | A | B | C | A | B | C | |
| Color match | 87.7% | 12.3% | 0 | 84.6% | 15.4% | 0.0% | 84.6% | 15.4% | 0.0% |
| Marginal discoloration | 95.4% | 4.6% | 0 | 83.1% | 16.88% | 0.02% | 83.1% | 16.88% | 0.02% |
| Secondary caries | 100% | 0.0% | 0 | 100% | 0.0% | 0.0% | 100% | 0.0% | 0.0% |
| Anatomic form | 96.9% | 3.1% | 0 | 96.9% | 3.1% | 0.0% | 92.3% | 7.7% | 0.0% |
| Marginal integrity | 93.8% | 6.2% | 0 | 92.3% | 7.7% | 0.0% | 93.8% | 6.2% | 0.0% |
| Surface texture | 98.5% | 1.5% | 0 | 93.8% | 6.2% | 0.0% | 96.9% | 3.1% | 0.0% |
| Gross fracture | 100% | 0.0% | 0 | 100% | 0.0% | 0.0% | 100% | 0.0% | 0.0% |
| BOP | Baseline | 6 Months | 12 Months |
|---|---|---|---|
| Abutment tooth | 0.0 | 3.62 | 1.8 |
| Control tooth | 7.96 | 6.43 | 3.34 |
| Full-mouth | 6.20 | 5.35 | 3.75 |
| PI | Baseline | 6 Months | 12 Months |
|---|---|---|---|
| Abutment tooth | 3.12 | 9.43 | 6.11 |
| Control tooth | 19.48 | 15.92 | 10.55 |
| Full-mouth | 19.48 | 15.58 | 13.80 |
© 2018 by the authors. Licensee MDPI, Basel, Switzerland. This article is an open access article distributed under the terms and conditions of the Creative Commons Attribution (CC BY) license (http://creativecommons.org/licenses/by/4.0/).
Share and Cite
Konstantinidis, I.; Trikka, D.; Gasparatos, S.; Mitsias, M.E. Clinical Outcomes of Monolithic Zirconia Crowns with CAD/CAM Technology. A 1-Year Follow-Up Prospective Clinical Study of 65 Patients. Int. J. Environ. Res. Public Health 2018, 15, 2523. https://doi.org/10.3390/ijerph15112523
Konstantinidis I, Trikka D, Gasparatos S, Mitsias ME. Clinical Outcomes of Monolithic Zirconia Crowns with CAD/CAM Technology. A 1-Year Follow-Up Prospective Clinical Study of 65 Patients. International Journal of Environmental Research and Public Health. 2018; 15(11):2523. https://doi.org/10.3390/ijerph15112523
Chicago/Turabian StyleKonstantinidis, Ioannis, Dimitra Trikka, Spyridon Gasparatos, and Miltiadis E. Mitsias. 2018. "Clinical Outcomes of Monolithic Zirconia Crowns with CAD/CAM Technology. A 1-Year Follow-Up Prospective Clinical Study of 65 Patients" International Journal of Environmental Research and Public Health 15, no. 11: 2523. https://doi.org/10.3390/ijerph15112523
APA StyleKonstantinidis, I., Trikka, D., Gasparatos, S., & Mitsias, M. E. (2018). Clinical Outcomes of Monolithic Zirconia Crowns with CAD/CAM Technology. A 1-Year Follow-Up Prospective Clinical Study of 65 Patients. International Journal of Environmental Research and Public Health, 15(11), 2523. https://doi.org/10.3390/ijerph15112523

