Next Article in Journal
Is Stress Relaxation in Sea Cucumber Dermis Chemoelastic?
Previous Article in Journal
Low-Molecular-Weight Fish Collagen Peptide (Valine-Glycine-Proline-Hydroxyproline-Glycine-Proline-Alanine-Glycine) Prevents Osteoarthritis Symptoms in Chondrocytes and Monoiodoacetate-Injected Rats
Previous Article in Special Issue
Synthesis and Evaluation of Marine-Inspired Compounds Result in Hybrids with Antitrypanosomal and Antileishmanial Activities
 
 
Font Type:
Arial Georgia Verdana
Font Size:
Aa Aa Aa
Line Spacing:
Column Width:
Background:
Review

Therapeutic Potential of Marine-Derived Cyclic Peptides as Antiparasitic Agents

by
Ricardo Ribeiro
1,2,†,
Lia Costa
1,†,
Eugénia Pinto
2,3,
Emília Sousa
1,2 and
Carla Fernandes
1,2,*
1
Laboratório de Química Orgânica e Farmacêutica, Departamento de Ciências Químicas, Faculdade de Farmácia, Universidade do Porto, Rua de Jorge Viterbo Ferreira, 228, 4050-313 Porto, Portugal
2
Interdisciplinary Centre of Marine and Environmental Research (CIIMAR), Edifício do Terminal de Cruzeiros do Porto de Leixões, Av. General Norton de Matos s/n, 4050-208 Matosinhos, Portugal
3
Laboratório de Microbiologia, Departamento de Ciências Biológicas, Faculdade de Farmácia, Universidade do Porto, Rua de Jorge Viterbo Ferreira 228, 4050-313 Porto, Portugal
*
Author to whom correspondence should be addressed.
These authors equally contributed to this work.
Mar. Drugs 2023, 21(12), 609; https://doi.org/10.3390/md21120609
Submission received: 2 November 2023 / Revised: 18 November 2023 / Accepted: 23 November 2023 / Published: 25 November 2023
(This article belongs to the Special Issue Marine Antiparasitic Agents)

Abstract

Parasitic diseases still compromise human health. Some of the currently available therapeutic drugs have limitations considering their adverse effects, questionable efficacy, and long treatment, which have encouraged drug resistance. There is an urgent need to find new, safe, effective, and affordable antiparasitic drugs. Marine-derived cyclic peptides have been increasingly screened as candidates for developing new drugs. Therefore, in this review, a systematic analysis of the scientific literature was performed and 25 marine-derived cyclic peptides with antiparasitic activity (125) were found. Antimalarial activity is the most reported (51%), followed by antileishmanial (27%) and antitrypanosomal (20%) activities. Some compounds showed promising antiparasitic activity at the nM scale, being active against various parasites. The mechanisms of action and targets for some of the compounds have been investigated, revealing different strategies against parasites.

Graphical Abstract

1. Introduction

Parasitic diseases affect millions of people around the world, especially in developing countries where sanitary and hygiene conditions are very poor, resulting in a huge mortality rate [1,2]. Despite this, the therapeutic arsenal available to treat this type of disease has been the same for many years, having low effectiveness and many side effects [3]. In addition to all these problems, the resistances acquired by parasites over time are also a huge concern [4]. The therapeutic scenario still remains the same because there is low investment in the development of this class of drugs since these diseases have a higher incidence in poor countries, which are not seen as good markets for the pharmaceutical industry [5]. Fortunately, this reality is changing thanks to the investment of some individuals and organizations for the development of antiparasitic drugs and to the cooperation between industry and academic research groups [6].
The parasitic diseases can be subdivided into two categories: those caused by protozoan parasites, such as malaria (caused by Plasmodium), leishmaniasis (caused by Leishmania), sleeping sickness, Chagas disease (caused by Trypanosoma), and toxoplasmosis (caused by Toxoplasma gondii); and those caused by helminths, such as schistosomiasis (caused by Schistosoma mansoni) and taeniiasis (caused by Taenia solium) [7].
Malaria is a severe infectious disease which is endemic in tropical and subtropical regions [8,9]. It can be caused by four species of the intracellular protozoan parasite from the Plasmodium family, with P. falciparum being the disease’s most dangerous form, and it is transmitted by mosquito bites [10]. According to the World Malaria Report 2022, in 2021, there were 247 million cases and 619,000 deaths from malaria. Moreover, malaria cases have been on the rise since 2016 [11].
Antimalarial drug options are still very limited [12]. One of the oldest drugs is quinine, whose discovery is considered serendipitous. Quinine was isolated from a cinchona tree (Cinchona succirubra), in 1820, by two French chemists. This compound began to be used as an antimalarial and its mechanism of action is still unknown. Quinine has a low therapeutic index and causes many side effects [13]. Subsequently, quinine analogues such as chloroquine, amodiaquine, primaquine, and mefloquine have emerged and are still used in therapy today; we highlight chloroquine, a 4-aminoquinoline derivative of quinine, which was synthesized in 1934 [12]. In 1970, artemisinin was isolated from the plant Artemisia annua and was a very useful compound for the treatment of malaria. In addition, to improve its pharmacokinetic and pharmacodynamic properties, molecular modifications were performed in artemisinin which gave rise to derivatives such as artesunate, arteether, and artemether [14]. All these compounds are still used to treat severe cases of malaria [12]. It is important to note that quinine and artemisinin derivatives are the main drugs currently used to treat malaria [15]. Derivatives of tetracyclines are sometimes used, such as doxycycline, which is used for treatment and prophylaxis in combination with quinine or artesunate, when the treatment with artesunate is not effective [15]. There is also the option of antifolate drugs, which are dihydrofolate reductase inhibitors; however, they are susceptible to rapid development of resistance by the parasite. Therefore, these drugs are used in combination to overcome the resistance issue [12]. The resistance to the few antimalarials available is caused by spontaneous mutations that increase the parasite’s tolerance to the drug [16]. Thus, although there is an urgent need to devise new strategies for developing new drugs that act on already known targets, it is also important to discover new targets.
Currently, several strategies for developing new antimalarials are being explored [17]. For example, via synthesis, Wani et al. [18] obtained a methalocenic analogue of chloroquine, ferroquine, which is in clinical trials for the treatment of uncomplicated malaria [19]. Nature is also an immensely rich source of bioactive compounds, including antimalarials [20,21]. Natural products with antimalarial activity include various classes of compounds, such as alkaloids [22], terpenes [23], biflavonoids [24], lactones [25], coumarins [26], xanthones [27], quinones [28], and peptides [29,30]. Other strategies include the identification of new targets and the design of selective inhibitors for these targets [17] or the repositioning of drugs [31,32].
Leishmaniasis, a disease caused by 20 species of the protozoan parasite Leishmania, is transmitted through the bite of infected female sandflies. The intracellular parasite exists in two morphological forms, non-infectious promastigote and infectious amastigote [33]. This disease has three distinct forms: visceral, cutaneous, and mucocutaneous. Visceral leishmaniasis is the most serious form of the disease and is usually fatal if untreated; cutaneous leishmaniasis is the most common form of the disease and manifests itself through lesions and ulcers on the skin; and mucocutaneous leishmaniasis causes metastasis to the mucosal tissues of the nose and mouth [34]. According to the latest World Health Organization (WHO) report, there are an estimated 1 million new cases of leishmaniasis every year [35]. Leishmaniasis is considered one of the neglected tropical diseases that mostly affects developing countries [36,37].
The drugs currently used to treat leishmaniasis include pentavalent antimonials, amphotericin B, miltefosine, paromomycin, and pentamidine. The latter four are cases of drug repositioning [38]. All of these drugs, without exception, have many side effects and are associated with high toxicity, require long treatments, and are very expensive, and situations of resistance have already been reported [39]. Thus, there is an urgent need to develop new anti-leishmanial drugs with a better safety profile than current drugs, and that are effective against resistant species and affordable [40]. In recent years, several studies have been carried out in this area and different chemical families of compounds for antileishmanial activity have been explored, including benzimidazole derivatives [41], quinalidine derivatives [42], alkylphospholipid analogues [43], coumarins [44], chalcones [45], thienopyridine [46], and peptides [47,48,49].
Trypanosomiasis, a disease caused by trypanosomatids, is on the list of the six most dangerous tropical diseases according to WHO [2,50]. Depending on the parasite responsible for the disease, it is designed by different names: human African trypanosomiasis, also known as sleeping sickness, caused by two subspecies of Trypanosoma brucei (T. b. gambiense and T. b. rhodesiense), and American trypanosomiasis, also known as Chagas disease, caused by Trypanosoma cruzi [51,52].
Human African trypanosomiasis is transmitted to humans by the tsetse fly and is an endemic disease in sub-Saharan. This is a disease that affects people in rural areas and, if left untreated, can be fatal [53]. The drugs eflornithine, melarsoprol, nifurtimox, pentamidine, and suramin are used to treat this disease [54]. Nevertheless, these drugs have several limitations: they are expensive, have high toxicity, low oral bioavailability, and low efficacy, and require very long treatments [55]. Recently, fexinidazole has been approved for the treatment of trypanosomiasis caused by T. b. gambiense and is currently in clinical trials for trypanosomiasis caused by T. b. rhodesiense [56]. It is the first drug administered orally for the treatment of human African trypanosomiasis [57]. Moreover, acoziborole, also known as SCYX-7158, showed activity against T. b. gambiense and T. b. rhodesiense after a single oral administration [58,59]. In clinical trials, it proved to have good efficacy and a good safety profile [60]. Iheyamides A-C, naturally occurring peptides, exhibited antitrypanosomal activities against both T. b. rhodesiense and T. b. brucei (non-human pathogenic subspecies) [61].
American trypanosomiasis is a chronic systemic parasitic infection that is endemic in Latin America and affects poor rural areas [62,63]. This is a disease transmitted through the bite of the triatomine bug. By 2021, it was estimated that around 7 million people were infected and that around 65 million were at risk of infection [50]. The drugs benznidazole and nifurtimox are used to treat this disease [64]. Both drugs have several disadvantages, including adverse effects and their use being limited only to the acute phase of the disease, and resistance to these drugs has already been identified [65]. Trypanocidal drugs with greater efficacy and safety are therefore needed. Some research is underway in this direction. For example, some triazole derivatives used for fungal infections treatment have demonstrated in vitro and in vivo activity against T. cruzi, namely itraconazole [66], voriconazole [67], and ravuconazole [68]. The compound AN15368, which belongs to the oxaborole class of compounds, showed in vitro and in vivo activity against T. cruzi with low toxicity [69].
Toxoplasmosis, a disease caused by the parasite Toxoplasma gondii., is transmitted by eating meat containing T. gondii cysts or drinking water containing oocysts. This disease is found in Asia, Africa, America, and even Europe [70]. Currently, the therapeutic options for toxoplasmosis include the use of antiparasitic and antibacterial drugs. However, these drugs are only effective in acute toxoplasmosis and their use is dependent on factors such as intolerance, resistance, and side effects [71]. There are some compounds being studied that display activity against T. gondii, such as artemisinin derivatives [72], dihydrotriazines [73], fluoroquinolones derivatives [74], N-benzoyl-2-hydroxybenzamides [75], 4-(1H)-quinolones [76], and thiosemicarbazones [77].
The urgent need to develop new antiparasitic drugs is evident for a large number of reasons. Fortunately, academia and even some industries are already aware of the problem that infectious diseases represents and, in this sense, there are already some efforts and advances aimed at finding new effective, safe, cheap, and easy-to-administer drugs to combat what is a major global health problem that mainly affects developing countries. Among the various classes of naturally derived compounds that are being explored as new antiparasitic agents, the marine-derived cyclic peptides are included.

2. Marine-Derived Cyclic Peptides in Drug Discovery

Marine organisms produce a wealth of natural products, creating a universe of unique and novel compounds [78]. Long-term evolution of marine organisms exposed to extreme conditions, such as pressure, temperature, light, and salinity, promote competitive advantages to their producers in their natural environments. Thus, many of the marine products have notable biological activities, including antiparasitic activity [79,80], making them good candidates for drug development [81]. Notable efforts have been carried out to discover new therapeutic entities based on marine natural products or their derivatives and, from 2015 to 2018, 17 clinically available drugs were reported, with 28 drugs in Phase I–III clinical trials [82]. Since then, 68 patents from marine organisms have been filed [83].
Naturally occurring and chemically modified marine peptides are of crucial relevance due to their unique structures, chemical properties, low inherent toxicity, and potential in a myriad of therapeutic areas [84,85], and they continue to fuel the drug pipeline [86]. Proof of this are the diverse examples of approved marine-derived peptides used in therapeutics. Ziconotide (Prialt®, analgesic drug) was the first Food and Drug Administration (FDA)-approved marine-derived peptide, in 2004 [87,88]. Other examples include brentuximab vedotin (Adcetris®), plitidepsin (Aplidin®), polatuzumab vedotin (Polivy®), tisotumab vedotin (TIVDAKTM), and disitamab vedotin (Aidixi®), all anticancer drugs [89]. We highlight that ziconotide and plitidepsin are both cyclic peptides. Marine-derived peptides attract great attention not only for the pharmaceutical field [90,91], but also for the cosmeceutical [92,93] and nutraceutical [94,95] industries.
Diverse marine organisms can produce peptides, such as bacteria [96], cyanobacteria [97], fungi [89,98], sponges [99], algae [100], and tunicates [101]. Some of them are found from symbionts [102] and non-symbiotic microorganisms [103,104]. One type of cyclic peptide often found in marine organisms includes the depsipeptides, molecules where one or more amide groups are replaced by the corresponding ester [105]. Cyclic depsipeptides have also contributed to expand the peptide chemical space [106].
Among the marine-derived peptides, cyclic peptides can offer some advantages compared to linear peptides, which make them attractive molecules to be explored. Most often, they present an increase in binding affinity and selectivity to the protein target [107]. This occurs because the cyclization reduces the spatial vibrations of the peptide molecule, lowering conformational changes, and increases the surface area available for interaction with the biotarget [108]. In addition to molecular recognition considerations, cyclization can also improve the absorption and membrane permeability of peptides because it reduces the energy barrier required for the peptide to adapt to the membrane environment and bind to transport proteins to enter the cell, both by passive diffusion or active transport [109]. Cyclic peptides also present greater metabolic stability, being resistant to the action of exopeptidases, due to the lack of terminal amine and carboxylic acid groups, and that of endopeptidases, by blocking the access to the cleavage site [110]. Structurally, cyclic peptides may comprise unique scaffolds, such as non-proteinogenic amino acids [111], or some structural modifications, including methylation [112], sulfuration [113], lipidation, and acetylation [114]. These characteristics have a key role in the interaction with biotargets [115,116].
Moreover, several synthetic derivatives of marine cyclic peptides and depsipeptides are also reported [117,118]. In fact, these naturally occurring compounds are very interesting models for molecular modifications to obtain more potent derivatives with improved properties and perform structure–activity relationship (SAR) studies [119,120].
Among the broad spectrum of bioactivities of natural and chemically modified marine peptides [121,122], anticancer [123] and antimicrobial [124] peptides are of pivotal relevance because they yield a very high output [125]. This review aims to gather the research findings on this class of marine compounds, particularly regarding their antiparasitic effects, through a comprehensive literature survey.

3. Marine-Derived Cyclic Peptides with Antiparasitic Effects

The research into marine-derived cyclic peptides with antiparasitic effects was designed with the aim of addressing the topic in a comprehensible approach. From this perspective, the research was systematized following the Preferred Reporting Items for Systematic Reviews and Meta-Analyses (PRISMA) protocol [126]. The identification of papers was conducted through a search of the SCOPUS database considering the following keywords or expressions: marine AND (peptide OR cyclic peptide OR cyclopeptide) AND (antiparasitic OR antimalarial OR antileishmanial OR antitrypanosomal).
Inclusion criteria for selection of studies were all works published as original articles. The selection of studies took place in August/September 2023. Exclusion criteria considered the type of publication being removed: review papers, book chapters, conference papers, and short surveys. All the elected studies were published in English and addressed the theme of this research, and excluded the works describing linear peptides, peptides from sources other than marine, or inactive marine-derived cyclic peptides for antiparasitic activity, as well as studies not relevant to the topic. At the end, studies identified via other methods were also included, specifically from citation searching. All data collected were interpreted in a critical and impartial manner and the findings followed the recommendations of PRISMA. The methodological path that led to the selection of 30 scientific articles was outlined according to the flowchart shown in Figure 1.
Through the comprehensive literature survey, 25 marine-derived cyclic peptides with antiparasitic activity (125) were found. In Figure 2, some of the most important landmarks of the history of marine-derived cyclic peptides with antiparasitic activity are summarized. Several marine sources were described, including cyanobacteria, bacteria, sponges, tunicates, fungi, and mollusks, with the marine-derived cyclic peptides from cyanobacteria being the most abundant. The main described antiparasitic activities associated with these peptides were antimalarial, antileishmanial, and antitrypanosomal. As shown in Figure 2, the decade between 2007 and 2017 was a period with significant research in this area.
Table 1 summarizes the marine natural product name, cyclic peptides classification, compound producers, and antiparasitic activities for each compound and their references.
In this section, marine-derived cyclic peptides are organized according to the main antiparasitic activity and, in each subsection, in chronological order of their discovery. Among them, 17 were found to be depsipeptides.

3.1. Malaria

One of the most described antiparasitic activities associated with marine-derived cyclic peptides is antimalarial activity [153]. Among the 25 marine-derived cyclic peptides, 21 peptides (121) exhibited promising results against P. falciparum (Figure 3). Some of them have also demonstrated activity against other parasites, or even displayed other biological activities.
Jasplakinolide (1), also named jaspamide, was isolated from the soft-bodied sponge species Jaspis collected off the shore of the island of Benga, Fiji [127]. This 19-membered macrocyclic depsipeptide, containing a macrolactam joined by a tripeptide unit and a non-peptide polypropionate sector (Figure 3), has been widely studied over the years. Diverse synthetic strategies for its total synthesis and analogs were explored, which were summarized in a recent review [154].
Regarding the biological activities, several studies can be found related to various activities of 1, such as antifungal [155,156], antitumor [157,158,159,160,161], neuroprotective [162], and antiparasitic [128,129,130] activities. Jasplakinolide (1) is a potent inducer of actin polymerization and filament-stabilizing drug [163,164], and this capability is relevant for its biological effects [165,166,167,168,169,170]. Compound 1 dramatically reduces the critical concentration of actin subunits necessary to drive polymerization and stabilizes filaments [163,170].
Regarding antiparasitic activity, it was found that 1 inhibits P. falciparum growth and impairs host cell invasion due to the stabilization of parasite actin filaments, in a time- and concentration-dependent manner. The decrease was remarkable at day 2 at concentrations of 0.3 µM and above, and parasites finally disappeared at day 4 [128]. P. falciparum and other parasites actively invade host cells, using a mechanism that depends on the interaction of the motor protein myosin and actin filaments which serve as tracks [171,172]. Thus, it has been proposed that the unstable nature of apicomplexan actin filaments is essential for parasite survival [171].
By electron cryomicroscopy, the near-atomic structure of jasplakinolide (1)-stabilized P. falciparum actin 1 filaments (PfAct1) was determined. Jasplakinolide (1) binds at regular intervals inside the filament to three adjacent actin subunits, reinforcing filament stability by hydrophobic interactions (Figure 4) [173].
In a previous study, jasplakinolide (1) also drastically decreased the T. gondii motility and host cell invasiveness [129]. Additionally, 1 induced an acrosomal process and allowed better visualization of the actin filaments, revealing the conoid and apical complex as major sites of actin polymerization [174].
Jasplakinolide (1) has also been reported to inhibit both the growth and encystation of Entamoeba histolytica and Entamoeba invadens, inducing the formation of F-actin aggregates [130,131]. Compound 1 inhibited the growth of E. histolytica in a dose-dependent manner, in which 0.1 and 0.3 mM of the drug had a similar inhibitory effect, whereas 0.5, 0.7, and 1 mM inhibited 62, 82, and 100% of control growth, respectively. The inhibition of E. invadens by 1 mM of 1 was 25% [131].
Cyclomarins A–C (24) were isolated from extracts of a cultured marine bacterium Streptomyces sp. CNB-982, collected in the vicinity of San Diego, CA. Cyclomarin A (2) is the major metabolite, while cyclomarins B and C (34) are only produced in lower percentages (2–3%). Cyclomarins A–C (24) are cyclic heptapeptides containing two proteinogenic amino acids, (S)-Ala and (S)-Val), an N-methylated (S)-Leu, in addition to four unusual (S)-amino acids (Figure 3). The planar structure of 24 was elucidated by 1D and 2D nuclear magnetic resonance (NMR) methods, and their stereochemistry was determined by X-ray crystallography of a diacetate derivative of cyclomarin A (2) [132].
Detailed studies at Novartis indicated a strong activity of compound 2 against P. falciparum strain NF54 in a nanomolar range, with a half-maximal inhibitory concentration (IC50) value of 40 nM [133]. By chemical proteomics, the biotarget was identified to be the diadenosine triphosphate hydrolase (PfAp3Aase) of the protozoan parasite, without affecting the human homolog hFHIT. Co-crystallization experiments revealed that one molecule of 2 binds a dimeric PfAp3Aase and prevents the formation of the enzyme–substrate complex (Figure 5) [133]. Cyclomarin C (4) has also been isolated from Streptomyces sp. BCC26924 and exhibited antimalarial activity against the multidrug-resistant P. falciparum K1 strain, with IC50 values of 0.24 µg/mL [134].
In addition to antiparasitic activity, cyclomarin A (2) also displayed significant anti-inflammatory activity in both in vivo and in vitro assays [132] and anti-tuberculosis activity (minimum inhibitory concentration (MIC) of 0.1 μM) by targeting the ClpC1 subunit of the caseinolytic protease [175,176].
Regarding the outstanding biological activities of cyclomarins, it is not surprising that synthetic studies have been performed to obtain these compounds in higher quantity as well as analogues for SAR studies [177,178]. The first report of stereoselective syntheses of four unusual amino acids constituents of cyclomarin A (2) was described by Yokokawa and co-workers [179], in 2002. A few years later, synthetic access to cyclomarin C (4) was achieved and optimized by Yao and co-workers [180,181]. Just over ten years later in 2016, Barbie and Kazmaier [182,183] accomplished the total synthesis of cyclomarin A (1) for the first time. They also reported the total synthesis of cyclomarin C (4), cyclomarin D, and other natural peptides [182]. Regarding the planning of derivatives, the first strategy was via semi-synthesis [176], and then by total synthesis [184]. Some addressed simplified structures, such as deoxycyclomarin C [185].
Venturamides A–B (56) were isolated from the crude organic extract of a Panamanian collection of Oscillatoria sp. from Buenaventura Bay, via an antimalarial bioassay-guided fractionation. Their isolation constitutes the first example of the identification of cyanobacterial peptides with selective antimalarial activity. Venturamides A–B (56) comprise 2,4-disubstituted thiazole units (Figure 3), and their complete structure elucidation was determined via 1D and 2D NMR analyses and Marfey’s method [135]. Venturamides A–B (56) were tested for their antimalarial activity against the W2 chloroquine-resistant strain of the malaria parasite. Compound 5 exhibited an IC50 value of 8.2 µM against P. falciparum, with only mild cytotoxicity to mammalian Vero cells (IC50 value of 86 µM). Compound 6 also displayed effective antimalarial activity against P. falciparum, with an IC50 value of 5.6 µM, and mild cytotoxicity to mammalian Vero cells, with an IC50 value of 56 µM. The positive control, chloroquine, showed IC50 values of 80–100 nM [135]. Liu et al. [186] described the total synthesis of both compounds via an effective one-pot procedure for enantiomerical synthesis of thiazole-containing amino acids.
Symplocamide A (7) (Figure 3) was isolated from the marine cyanobacterium Symploca sp., collected from Sunday Island in Papua New Guinea. The planar structure was elucidated by detailed NMR and MS analysis, and chiral high performance liquid chromatography (HPLC) was the method used for stereochemical elucidation of amino acid residues. Compound 7 was screened against three tropical parasites, specifically malaria, Chagas disease, and leishmaniasis, showing interesting results. An IC50 value of 0.95 µM was obtained regarding the inhibition of W2 P. falciparum, while for both T. cruzi and L. donovani, both IC50 values were higher than 9.5 µM [136]. Symplocamide A (7) is also a potent cancer cell cytotoxin to H-460 lung cancer cells, with an IC50 value of 40 nM, and neuro-2a neuroblastoma cells, with an IC50 value of 29 nM. Compound 7 also inhibits serine proteases with a 200-fold greater inhibition of chymotrypsin over trypsin [136]. The total synthesis of symplocamide A (7) using a solid-phase strategy was reported [187].
Mollamide B (8) (Figure 3) was isolated from the tunicate Didemnum molle, collected from Manado Bay, Indonesia. The planar structure was established using 1D and 2D NMR experiments. The absolute configurations of amino acid residues were assigned by Marfey’s method, while the relative configuration at the thiazoline moiety was determined using molecular modeling coupled with NMR-derived restraints. Mollamide B (8) showed inhibitory activity against P. falciparum, clones D6 and W2, with IC50 values of 2.0 and 21 µg/mL, respectively. Mollamide B (8) also exhibited slight activity against L. donovani, with an IC50 value of 18 µg/mL [137].
The cyclic pentadepsipeptides lagunamides A–B (910) (Figure 3) were isolated from the marine cyanobacteria Lyngbya majuscula obtained from Pulau Hantu Besar, Singapore. Extensive spectroscopic analysis, including 2D NMR experiments, in addition to Marfey’s method and 3JH-H coupling constant values, a modified method based on Mosher’s reagents, and analysis using liquid chromatography–mass spectrometry (LC–MS), allowed the total elucidation of these molecules. Compounds 910 displayed in vitro antimalarial properties, with IC50 values of 0.19 µM and 0.91 µM, respectively, against P. falciparum. Curiously, the only structural difference between these compounds is an additional olefinic group between C40 and C41 in 10. Consequently, this slight structural difference is responsible for an increase in antimalarial activity observed for 9 [138].
In addition to antimalarial activity, lagunamides A–B (910) displayed antiswarming activity when tested at 100 ppm against the Gram-negative bacterial strain Pseudomonas aeruginosa, which exerted 62% for 9 and 56% for 10, compared to control. Compounds 910 also exhibited potent cytotoxic activity against P388 murine leukemia cell lines, with IC50 values of 6.4 and 20.5 nM, respectively [138]. Further studies revealed that 9 exhibited a selective growth inhibitory activity against a panel of cancer cell lines, with IC50 values ranging from 1.6 nM to 6.4 nM [188]. Molecular mechanism studies suggested that the cytotoxic effect of these compounds might be via induction of mitochondrial mediated apoptosis [188,189].
The total synthesis and stereochemical revision of lagunamide A (9) was first described by Dai et al. [190]. Later, Lin and co-workers [191] reported the synthesis of 9 and five analogues. Although the total synthesis of lagunamide B (10) has not yet been described, a synthetic approach toward the total synthesis of a lagunamide B (10) analogue was reported [192].
A cyclic dodecadepsipeptide, valinomycin (11) (Figure 3), was identified from Streptomyces sp. strains isolated from Mediterranean sponges collected by SCUBA diving offshore of Rovinj, Croatia [140]. This was the first report of the isolation of 11 from a marine source [140]. Nevertheless, 11 had already been recovered from various soil-derived actinomycetes, being first reported in 1955 [193]. Over the years, this cyclic depsipeptide has been extensively studied and a wide range of issues were explored, including structural characterization, biogenesis, synthesis, and bioactivity. In a Scopus search (https://www.scopus.com, accessed on 22 October 2023, with the keyword “valinomycin” and searching within “article title”, 717 original articles were found. Recently, a review summarizing all the relevant features concerning this cyclic depsipeptide (11) was published [194]. Considering the subject of this review, it is important to highlight that 11 showed antiparasitic activity against P. falciparum, with an IC50 value of 5.3 ng/mL [139]. Moreover, 11 also exhibited inhibitory activity against both L. major, with an IC50 value lower than 0.11 μM, and T. brucei, with an IC50 of 3.2 nM [140]. Other relevant biological activities have been described for valinomycin [194], such as insecticidal [195], antiviral [196,197], antibacterial [197], antifungal [198], and antitumor [199] activities. Recent studies reported that 11, as a mitophagy activator, also played a positive role in the treatment of Parkinson’s and Alzheimer’s diseases [200,201].
A glyco-hexadepsipeptide-polyketide, mollemycin A (12) (Figure 3), was isolated from a marine-derived Streptomyces sp. (CMB-M0244) collected off South Molle Island, Queensland. The structure of 12 was elucidated by detailed spectroscopic analysis, supported by chemical derivatization and degradation. C3 Marfey’s analysis was performed for stereochemical configuration assignments. Mollemycin A (12) exhibited exceptionally potent and selective growth inhibitory activity against drug-sensitive 3D7 and multidrug-resistant Dd2 clones of P. falciparum, with IC50 values of 7 and 9 nM, respectively. Remarkably, compound 12 exhibited greater activity when compared to the positive control, chloroquine, with IC50 values of 13 nM for 3D7 and 130 nM for Dd2. Moreover, lower cytotoxicity against a mammalian cell line (>20-fold) was observed [141].
Mollemycin A (12) also exhibited exceptionally potent and selective growth inhibitory activity against Gram-positive and Gram-negative bacteria (IC50 = 10–50 nM) [141].
Companeramides A–B (1314) were isolated from a marine cyanobacterial assemblage comprising a small filament Leptolyngbya sp., from a reef pinnacle in Coiba National Park, Panama. Companeramides A–B (1314) contain eight α-amino acid units, a 3-amino-2-methyl-7-octynoic acid, and hydroxy isovaleric acid (Figure 3). Their planar structures were elucidated by NMR spectroscopy and MS. The absolute configurations of the amino and hydroxy acid units in both compounds were determined using a combination of Marfey’s method and chiral HPLC. Companeramides A–B (1314) were tested in vitro against three strains of the malaria parasite P. falciparum, D6, Dd2, and 7G8, showing high antiplasmodial activity, with IC50 values ranging from 0.22 to 0.70 µM for 13 and from 0.57 to 1.10 µM for 14. The positive control, chloroquine, showed IC50 values of 5 to 80 nM [142].
Dudawalamides A–D (1518) were isolated from a Papua New Guinean field collection of the cyanobacterium Moorea producens, by a combination of bioassay-guided and spectroscopic approaches. Experiments using 1D and 2D NMR and MS analysis were performed for planar structure elucidation. Diverse techniques were used for the absolute configuration assignments, namely X-ray crystallography, modified Marfey’s analysis, chiral gas chromatography (GC)-MS, and chiral HPLC. Structurally, they consist of six amino acids and a 2,2-dimethyl-3-hydroxy-7-octynoic acid moiety (Figure 3). Dudawalamides A (15) and D (18) showed the most potent activities against P. falciparum, with IC50 values of 3.6 and 3.5 μM, respectively. Dudawalamides B (16) and C (17) were significantly less potent than 15 and 18 [143]. All exhibited minimal mammalian cell cytotoxicity. Regarding SAR features, it was found that slight changes in configuration and sequence of residues had a significant effect on the bioactivity of these marine cyclic peptides. For example, dudawalamides C (17) and D (18) only differ in one methyl group at one residue, specifically L-Hiva to Dallo-Hmpa; however, the single methyl group and stereochemical inversion resulted in a more than 3-fold difference in their P. falciparum inhibition [143]. It was found that dudawalamide D (18) was also relatively potent against L. donovani (IC50 = 2.6 μM) [143].
Recently, a new cyclic peptide, kakeromamide B (19) (Figure 3), was isolated from an extract of a marine cyanobacterium Moorea producens collected off the Northern Lau Islands of Fiji. The extract showed strong potency against P. falciparum and low toxicity to human liver cells [144]. The stereostructure of kakeromamide B (19) was assigned by different spectroscopic techniques, high-resolution electrospray ionization mass spectrometry (HRESIMS), and Marfey’s analysis. Kakeromamide B (19) exhibited activity against P. falciparum blood-stage and against P. berghei liver schizonts with effective concentration in 50% of population (EC50) values of 0.89 and 1.1 µM, respectively. By a threading-based computational method, FINDSITEcomb2.0, the binding of 19 to potentially druggable proteins of P. falciparum was predicted. Kakeromamide B (19) was predicted to bind to several Plasmodium actin-like proteins and a sortilin protein, suggesting possible interference with parasite invasion of host cells. In a mammalian actin polymerization assay, it was found that 19, in fact, stimulated actin polymerization in a dose-dependent manner [144].
The cyclic depsipeptides ulongamide A (20) and lyngbyabellin A (21) (Figure 3) were also identified from the same antimalarial extract of the Fijian marine cyanobacterium Moorea producens [144]. Ulongamide A (20) was previously isolated from Palauan collections of the marine cyanobacterium Lyngbya sp. [202] and lyngbyabellin A (21) from the marine cyanobacterium Lyngbya majuscula [203]. While 20 exhibited moderate activity against P. falciparum blood-stages with EC50 values of 0.99 µM, 21 was more potent with an EC50 value of 0.15 nM [144].

3.2. Leishmaniasis

Some marine-derived cyclic peptides with antileishmanial activity have already been presented in the previous subsection, as they also exhibited antimalarial activity, namely venturamides A–B (56), symplocamide A (7), mollamide B (8), valinomycin (11), and dudawalamides A–D (1518). In this subsection, two natural products 22 and 23 (Figure 6) are described, which proved to be very promising for the treatment of leishmania and whose mechanism of action has been investigated. In addition, analogues were synthesized with the aim of obtaining more potent compounds and performing SAR studies.
Kahalalide F (22), one of the most widely studied marine-derived peptides [204], was isolated from green alga metabolites that are eaten by the sacoglossan mollusk, Elysia rufescens [146]. Kahalalide F (22) is the most promising compound of the kahalalide family, which includes cyclic depsipeptides with variable size and peptide series, ranging from C31 tripeptide to C75 tridecapeptide containing different fatty acid chains [145]. Kahalalide F (22) comprises 14 residues, 5 of which form a 19-membered ring (Figure 6), and its absolute stereochemistry was accessed after extensive hydrolytic trials, and a combination of acid hydrolysis and hydrazinolysis [205]. Nevertheless, the absolute configurations of some amino acid residues were not consensual [206,207]. Its synthesis has been described by a solid-phase synthetic approach and solution macrocyclization [206,208]. Several new improved synthetic routes were explored based on convergent approaches with distinct orthogonal protection schemes [209]. Considering the high cost in producing analogues via solid-phase synthesis, a degradation and reconstruction approach was explored using natural kahalalide F (22) from a seasonal algal bloom for the generation of semisynthetic libraries [210].
Kahalalide F (22) is notable mainly because its antitumor activity against a panel of human prostate and breast cancer cell lines [211], and several molecular mechanisms can be responsible for its rapid and potent cytotoxicity, including changes in lysosome morphology [212,213], inhibition of the ErbB3 signaling pathways [213,214,215], induction of oncosis [216], and alteration of the cell membrane permeability [217]. Kahalalide F (22) was one of the first generation of drugs from the sea to undergo clinical trials, along with Yondelis, Aplidin, ES285, and Zalypsis [211,218]. Kahalalide F (22) completed its safety evaluation in Phase I clinical trials in patients with various advanced solid tumors [219,220,221]. Unfortunately, in Phase II clinical trials, a lack of efficacy was found [222].
Considering its high potential as a cytotoxic drug candidate, several attempts have been made to modify the structure of kahalalide F (22) to produce analogues with a higher potency, longer half-life, or better delivery [223]. For example, new analogues were synthesized and conjugated in gold nanoparticles with enhanced in vitro antitumor activity [224].
It is important to highlight that kahalalide F (22) and analogues were also tested for other activities, including leishmanicidal activity. A series of analogues were synthetized, preserving the core structure of kahalalide F (22), while changing specific amino acid residues to explore their influence on the biological activity (Figure 7) [147].
All compounds were assayed against promastigote and amastigote stages of Leishmania and, in general, amastigotes were more resistant than promastigotes to kahalalide F (22) and analogues. The concentrations at which the proliferation of the parasites was inhibited by 50% (LC50) were 6.13, 8.31, and 29.53 μM for kahalalide F (22), against L. donovani (promastigote), L. pifanoi (promastigote), and L. pifanoi (amastigote), respectively [147]. Analogue 22c was the most interesting compound, with LC50 values of 3.04, 5.82 and 5.01 μM, against L. donovani, L. pifanoi, and L. pifanoi, respectively. The positive control, amphotericin B, showed LC50 values of 0.08–0.2 μM [147].
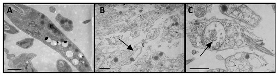
Electron microscopy of L. donovani promastigote parasites treated with 22c evidenced severe morphological damage to the membrane of the parasite, indicating a full permeabilization of the parasite plasma membrane, with the cytoplasm full of vesicles translucent to electrons and large vacuoles (Figure 8). It was found that the permeability alteration of the plasma membrane of the parasite was strongly associated with the lethality of kahalalide F (22) and active analogues, which correlates significantly with their leishmanicidal activity [147].
Regarding SAR features, is important to note that a net cationic character and the maintenance of the configuration of selected residues was required for the leishmanicidal activity [147]. In addition, kahalalide F (22) and some analogues also exhibited antifungal activity against yeasts (Candida albicans and Cryptococcus neoformans) and filamentous fungi (Aspergillus fumigatus and Fusarium spp.), among others [213,225,226].
IB-01212 (23) (Figure 6), a cyclodepsipeptide isolated from the mycelium of the marine fungus Clonostachys sp. ESNA-A009 [148], also showed leishmanicidal activity at a low micromolar range of concentrations on promastigote and amastigote forms of the parasite [149]. The structure of IB-01212 (23) and the configurations of amino acid residues were assigned by spectroscopy techniques and a combination of Marfey and menthol methods [148].
The total synthesis of IB-01212 (23) [227] and analogues [228] was reported by the same research group. Recently, IB-01212 (23) was used as model to investigate a facile synthesis process of N-methylated peptides via simultaneous N-methylation of several peptide bonds in the presence of peptide bonds that were not to be methylated. The aim was to improve the potency and physicochemical properties, especially membrane permeability [229].
Before being studied for Leishmania, IB-01212 (23) and synthetic analogues proved to be highly cytotoxic to different tumor cell lines [148,228]. Regarding leishmanicidal activity, they were demonstrated to be effective on both parasite forms, with LC50 values of 5.9–25.9 μM and 10.5–49.1 μM for amastigotes and promastigotes, respectively. It was found that all were more active on the amastigotes, the pathological form in vertebrates of Leishmania, and IB-01212 (23) exhibited the highest activity on promastigotes [149]. SAR studies revealed that the most active analogue against the amastigote form of the parasite contained a 22-atom cycle, amide and ester bonds, and C-2 asymmetry. The mechanism of action for leishmanicidal activity was associated with the depolarization of the mitochondrial electrochemical gradient, which, in some cases, caused the death of the parasite through an apoptotic-like process [149].

3.3. Trypanosomiasis

The previously described marine-derived cyclic peptides venturamides A–B (56), symplocamide A (7), valinomycin (11), and dudawalamide D (18), in addition to other antiparasitic effects, also exhibited antitrypanosomal activity. In this subsection, two additional compounds (2425) (Figure 9) displaying antitrypanosomal activity are described, which demonstrated activity against the two subspecies of T. brucei (human African trypanosomiasis or sleeping sickness) and/or T. cruzi (American trypanosomiasis or Chagas disease).
Janadolide (24), a cyclic polyketide–peptide hybrid possessing a tert-butyl group (Figure 9), was isolated from an Okeania sp. marine cyanobacteria that was collected at the coast near Janado, Okinawa. The planar structure 24 was determined via spectroscopic analyses, and the absolute configurations of the amino acid residues via chiral LC. Regarding the polyketide moiety, the stereochemical assignment of the two stereogenic centers was performed based on a combination of degradation reactions and spectroscopic analyses. Compound 24 showed strong antitrypanosomal activity against T. b. brucei GUTat 3.1 strain with an IC50 value of 47 nM, without cytotoxicity against human cells (such as MRC-5, HL60, and HeLa cells) at 10 μM. Remarkably, it was found that 24 was more effective than suramin (IC50 value of 1.2 μM), a commonly used therapeutic drug [150]. Two years after its discovery, janadolide (24) was synthetized by Ojima et al. [230]. Moreover, a des-tert-butyl analogue of 24 was also reported but with reduced activity against T. b. brucei [231]. More recently, the total synthesis of 24 along with eight analogues (24ah), bearing a simplified polyketide motif (Figure 10), was described via a solid-phase strategy for the linear peptide precursor and solution macrocyclization [151]. All compounds were tested against the pathogenic STIB 900 strain of T. b. rhodesiense and the Tulahuen C4 strain of T. cruzi, with IC50 values ranging from 33 to 104 μM. None of the compounds displayed cytotoxicity against human L6 cell lines up to a concentration of 100–150 μM [151].
Recently, motobamide (25) (Figure 9) was isolated from a marine cyanobacterium, Leptolyngbya sp., which was collected at Bise, Okinawa Island, Okinawa Prefecture, Japan. The planar structure of 25 was elucidated based on extensive analysis of 1D and 2D NMR and high-resolution (HR) MS spectra. The absolute configurations of all amino acids were assigned by chiral LC analysis, except for a prenyl-tryptophan residue, which was determined by correlations of NOESY and comparison of the calculated and experimental electronic circular dichroism (ECD) spectra. Motobamide (25) was found to inhibit the growth of bloodstream forms of T. b. rhodesiense strains IL-1501, with an IC50 value of 2.3 μM. Additionally, the cytotoxicity of 25 against normal human fibroblasts WI-38 cells was more than 20-fold weaker, with IC50 value of 55 μM [152].

3.4. Final Remarks

From the systematic analysis of the scientific literature, 25 marine-derived cyclic peptides with antiparasitic activity (125) were found. Several marine sources were described, with cyanobacteria being the main resource.
As shown in Figure 11, the most described antiparasitic activity associated with marine-derived cyclic peptides is antimalarial activity (51%) followed by antileishmanial (27%) and antitrypanosomal (20%) activities. It was found that some cyclic peptides were demonstrated to be active against various parasites, such as jasplakinolide (1), venturamides A–B (56), symplocamide A (7), mollamide B (8), valinomycin (11), and dudawalamides A–D (1518).
Regarding the antimalarial activity, several promising cyclic peptides were found, specifically jasplakinolide (1), cyclomarins A–C (24), mollemycin A (12), kakeromamide B (19), and lyngbyabellin A (21). For some of them, the mechanisms of action have been investigated, exposing different strategies against the parasite. The diverse mechanisms of action and targets are summarized in Figure 11.
Concerning the antileishmanial activity, it is important to emphasize the cyclic peptides kahalalide F (22) and IB-01212 (23) which displayed high activity against both promastigote and amastigote stages of Leishmania. In addition, their mechanisms of action have been explored, highlighting different targets and strategies against the parasite (Figure 11).
Valinomycin (11) is highlighted, considering its potent activity against T. brucei.
In addition to antiparasitic effects, some marine-derived cyclic peptides also showed other biological activities, such as anti-inflammatory and anti-tuberculosis (cyclomarin A (2)), antibacterial (mollemycin A (12)), antifungal (jasplakinolide (1), kahalalide F (22)), antitumor (symplocamide A (7)), antiswarming (lagunamides A–B (910)), and antiviral (valinomycin (11)). Moreover, some peptides that are being widely investigated and have demonstrated success for other bioactivities (some of which are already in clinical trials) were subsequently tested for antiparasitic activity. Therefore, exploration of other bioactivities of marine cyclic peptides may constitute a promising route for inspiring the development of new drug molecules.

4. Conclusions

In this review, several promising antiparasitic marine-derived cyclic peptides are described, some of which possess unique structural features and relevant activities, resulting from diverse marine sources. Despite being an inspiring area, the research of marine-derived cyclic peptides in this therapeutic area is still scarce. The data compiled in this study are expected to encourage the broadening and dissemination of information about this class of antiparasitic compounds, in addition to supporting future research to better understand their potential and applicability.

Author Contributions

Conceptualization: C.F.; Data collection and analysis: C.F.; Writing—Original draft preparation: R.R., L.C. and C.F.; Writing—Reviewing and Editing: C.F., E.P. and E.S. All authors have read and agreed to the published version of the manuscript.

Funding

This research was supported by national funds through FCT—Foundation for Science and Technology within the scope of UIDB/04423/2020, UIDP/04423/2020 (Group of Marine Natural Products and Medicinal Chemistry—CIIMAR), and under the projects PTDC/CTA-AMB/0853/2021 and EXPL/CTA-AMB/0810/2021 co-financed by COMPETE 2020, Portugal 2020 and the European Union through the ERDF and by FCT through national funds and structured program of R&D&I ATLANTIDA (NORTE-01-0145-FEDER-000040), supported by NORTE2020, through ERDF.

Institutional Review Board Statement

Not applicable.

Data Availability Statement

Not applicable.

Acknowledgments

R.R. acknowledgement his PhD, BYTPhD program by CIIMAR, grant provided by FCT UI/BD/150912/2021.

Conflicts of Interest

The authors declare no conflict of interest.

References

  1. Renslo, A.R.; McKerrow, J.H. Drug discovery and development for neglected parasitic diseases. Nat. Chem. Biol. 2006, 2, 701–710. [Google Scholar] [CrossRef]
  2. Lee, S.-M.; Kim, M.-S.; Hayat, F.; Shin, D. Recent Advances in the Discovery of Novel Antiprotozoal Agents. Molecules 2019, 24, 3886. [Google Scholar] [CrossRef]
  3. Pink, R.; Hudson, A.; Mouriès, M.-A.; Bendig, M. Opportunities and Challenges in Antiparasitic Drug Discovery. Nat. Rev. Drug Discov. 2005, 4, 727–740. [Google Scholar] [CrossRef] [PubMed]
  4. Picot, S.; Beugnet, F.; Leboucher, G.; Bienvenu, A.-L. Drug resistant parasites and fungi from a one-health perspective: A global concern that needs transdisciplinary stewardship programs. One Health 2022, 14, 100368. [Google Scholar] [CrossRef] [PubMed]
  5. McKerrow, J.H. Designing Drugs for Parasitic Diseases of the Developing World. PLoS Med. 2005, 2, e210. [Google Scholar] [CrossRef] [PubMed][Green Version]
  6. Goupil, L.S.; McKerrow, J.H. Introduction: Drug Discovery and Development for Neglected Diseases. Chem. Rev. 2014, 114, 11131–11137. [Google Scholar] [CrossRef]
  7. Cummings, R.D.; Hokke, C.H.; Haslam, S.M. Parasitic Infections. In Essentials of Glycobiology, 4th ed.; Harbor, C.S., Ed.; Cold Spring Harbor Laboratory Press: New York, NY, USA, 2022. [Google Scholar]
  8. Lacerda, A.F.; Pelegrini, P.B.; de Oliveira, D.M.; Vasconcelos, É.A.R.; Grossi-de-Sá, M.F. Anti-parasitic Peptides from Arthropods and their Application in Drug Therapy. Front. Microbiol. 2016, 7, 91. [Google Scholar] [CrossRef]
  9. Requena-Méndez, A.; Cattaneo, P.; Bogale, R.T.; Marti-Soler, H.; Wångdahl, A.; Buonfrate, D.; Bisoffi, Z.; Färnert, A.; Rodríguez-Cuadrado, A.; Monge-Maillo, B.; et al. Malaria parasite prevalence among migrants: A systematic review and meta-analysis. Clin. Microbiol. Infect. 2023. [Google Scholar] [CrossRef]
  10. White, N.J.; Pukrittayakamee, S.; Hien, T.T.; Faiz, M.A.; Mokuolu, O.A.; Dondorp, A.M. Malaria. Lancet 2014, 383, 723–735. [Google Scholar] [CrossRef]
  11. WHO World Malaria Report 2022. Available online: https://www.who.int/teams/global-malaria-programme/reports/world-malaria-report-2022 (accessed on 5 October 2023).
  12. Bloland, P.B. Drug Resistance in Malaria; WHO: Chamblee, GA, USA, 2011; Volume WHO/CDS/CSR/DRS/2001.4. [Google Scholar]
  13. Achan, J.; Talisuna, A.O.; Erhart, A.; Yeka, A.; Tibenderana, J.K.; Baliraine, F.N.; Rosenthal, P.J.; D’Alessandro, U. Quinine, an old anti-malarial drug in a modern world: Role in the treatment of malaria. Malar. J. 2011, 10, 144. [Google Scholar] [CrossRef]
  14. Guo, Z. Artemisinin anti-malarial drugs in China. Acta Pharm. Sin. B 2016, 6, 115–124. [Google Scholar] [CrossRef] [PubMed]
  15. Talapko, J.; Škrlec, I.; Alebić, T.; Jukić, M.; Včev, A. Malaria: The Past and the Present. Microorganisms 2019, 7, 179. [Google Scholar] [CrossRef] [PubMed]
  16. Menard, D.; Dondorp, A. Antimalarial Drug Resistance: A Threat to Malaria Elimination. Cold Spring Harb. Perspect. Med. 2017, 7, a025619. [Google Scholar] [CrossRef] [PubMed]
  17. Pandey, S.K.; Anand, U.; Siddiqui, W.A.; Tripathi, R. Drug Development Strategies for Malaria: With the Hope for New Antimalarial Drug Discovery-An Update. Adv. Med. 2023, 2023, 5060665. [Google Scholar] [CrossRef]
  18. Wani, W.A.; Jameel, E.; Baig, U.; Mumtazuddin, S.; Hun, L.T. Ferroquine and its derivatives: New generation of antimalarial agents. Eur. J. Med. Chem. 2015, 101, 534–551. [Google Scholar] [CrossRef]
  19. Adoke, Y.; Zoleko-Manego, R.; Ouoba, S.; Tiono, A.B.; Kaguthi, G.; Bonzela, J.E.; Duong, T.T.; Nahum, A.; Bouyou-Akotet, M.; Ogutu, B.; et al. A randomized, double-blind, phase 2b study to investigate the efficacy, safety, tolerability and pharmacokinetics of a single-dose regimen of ferroquine with artefenomel in adults and children with uncomplicated Plasmodium falciparum malaria. Malar. J. 2021, 20, 222. [Google Scholar] [CrossRef]
  20. Tajuddeen, N.; Van Heerden, F.R. Antiplasmodial natural products: An update. Malar. J. 2019, 18, 404. [Google Scholar] [CrossRef]
  21. Ribeiro, G.D.J.G.; Rei Yan, S.L.; Palmisano, G.; Wrenger, C. Plant Extracts as a Source of Natural Products with Potential Antimalarial Effects: An Update from 2018 to 2022. Pharmaceutics 2023, 15, 1638. [Google Scholar] [CrossRef]
  22. Zahari, A.; Cheah, F.K.; Mohamad, J.; Sulaiman, S.N.; Litaudon, M.; Leong, K.H.; Awang, K. Antiplasmodial and antioxidant isoquinoline alkaloids from Dehaasia longipedicellata. Planta Med. 2014, 80, 599–603. [Google Scholar] [CrossRef]
  23. Claudino, V.D.; da Silva, K.C.; Cechinel Filho, V.; Yunes, R.A.; Delle Monache, F.; Giménez, A.; Salamanca, E.; Gutierrez-Yapu, D.; Malheiros, A. Drimanes from Drimys brasiliensis with leishmanicidal and antimalarial activity. Mem. Inst. Oswaldo Cruz 2013, 108, 140–144. [Google Scholar] [CrossRef]
  24. Konziase, B. Protective activity of biflavanones from Garcinia kola against Plasmodium infection. J. Ethnopharmacol. 2015, 172, 214–218. [Google Scholar] [CrossRef] [PubMed]
  25. Du, Y.; Abedi, A.K.; Valenciano, A.L.; Fernández-Murga, M.L.; Cassera, M.B.; Rasamison, V.E.; Applequist, W.L.; Miller, J.S.; Kingston, D.G.I. Isolation of the New Antiplasmodial Butanolide, Malleastrumolide A, from Malleastrum sp. (Meliaceae) from Madagascar. Chem. Biodivers. 2017, 14, e1700331. [Google Scholar] [CrossRef] [PubMed]
  26. Chung, I.M.; Ghimire, B.K.; Kang, E.Y.; Moon, H.I. Antiplasmodial and cytotoxic activity of khellactone derivatives from Angelica purpuraefolia Chung. Phytother. Res. 2010, 24, 469–471. [Google Scholar] [CrossRef] [PubMed]
  27. Upegui, Y.; Robledo, S.M.; Gil Romero, J.F.; Quiñones, W.; Archbold, R.; Torres, F.; Escobar, G.; Nariño, B.; Echeverri, F. In vivo Antimalarial Activity of α-Mangostin and the New Xanthone δ-Mangostin. Phytother. Res. 2015, 29, 1195–1201. [Google Scholar] [CrossRef]
  28. Dai, Y.; Harinantenaina, L.; Bowman, J.D.; Da Fonseca, I.O.; Brodie, P.J.; Goetz, M.; Cassera, M.B.; Kingston, D.G. Isolation of antiplasmodial anthraquinones from Kniphofia ensifolia, and synthesis and structure-activity relationships of related compounds. Bioorg. Med. Chem. 2014, 22, 269–276. [Google Scholar] [CrossRef] [PubMed]
  29. Ibrahim, S.R.M.; Abdallah, H.M.; Elkhayat, E.S.; Al Musayeib, N.M.; Asfour, H.Z.; Zayed, M.F.; Mohamed, G.A. Fusaripeptide A: New antifungal and anti-malarial cyclodepsipeptide from the endophytic fungus Fusarium sp. J. Asian Nat. Prod. Res. 2018, 20, 75–85. [Google Scholar] [CrossRef] [PubMed]
  30. Bracegirdle, J.; Casandra, D.; Rocca, J.R.; Adams, J.H.; Baker, B.J. Highly N-Methylated Peptides from the Antarctic Sponge Inflatella coelosphaeroides Are Active against Plasmodium falciparum. J. Nat. Prod. 2022, 85, 2454–2460. [Google Scholar] [CrossRef]
  31. Parquet, V.; Henry, M.; Wurtz, N.; Dormoi, J.; Briolant, S.; Gil, M.; Baret, E.; Amalvict, R.; Rogier, C.; Pradines, B. Atorvastatin as a potential anti-malarial drug: In vitro synergy in combinational therapy with quinine against Plasmodium falciparum. Malar. J. 2010, 9, 139. [Google Scholar] [CrossRef]
  32. Pongratz, P.; Kurth, F.; Ngoma, G.M.; Basra, A.; Ramharter, M. In vitro activity of antifungal drugs against Plasmodium falciparum field isolates. Wien. Klin. Wochenschr. 2011, 123 (Suppl. 1), 26–30. [Google Scholar] [CrossRef]
  33. Burza, S.; Croft, S.L.; Boelaert, M. Leishmaniasis. Lancet 2018, 392, 951–970. [Google Scholar] [CrossRef]
  34. Piscopo, T.V.; Mallia Azzopardi, C. Leishmaniasis. Postgrad. Med. J. 2007, 83, 649–657. [Google Scholar] [CrossRef] [PubMed]
  35. WHO Leishmaniasis. Available online: https://www.who.int/news-room/fact-sheets/detail/leishmaniasis (accessed on 13 October 2023).
  36. Okwor, I.; Uzonna, J. Social and Economic Burden of Human Leishmaniasis. Am. J. Trop. Med. Hyg. 2016, 94, 489–493. [Google Scholar] [CrossRef] [PubMed]
  37. WHO. Control of the Leishmaniases; World Health Organization: Geneva, Switzerland, 2010. [Google Scholar]
  38. Pradhan, S.; Schwartz, R.A.; Patil, A.; Grabbe, S.; Goldust, M. Treatment options for leishmaniasis. Clin. Exp. Dermatol. 2022, 47, 516–521. [Google Scholar] [CrossRef] [PubMed]
  39. Sangshetti, J.N.; Kalam Khan, F.A.; Kulkarni, A.A.; Arote, R.; Patil, R.H. Antileishmanial drug discovery: Comprehensive review of the last 10 years. RSC Adv. 2015, 5, 32376–32415. [Google Scholar] [CrossRef]
  40. Alvar, J.; Arana, B. Leishmaniasis, Impact and Therapeutic Needs. In Drug Discovery for Leishmaniasis; Rivas, L., Gil, C., Eds.; The Royal Society of Chemistry: London, UK, 2017; p. 402. [Google Scholar]
  41. De Luca, L.; Ferro, S.; Buemi, M.R.; Monforte, A.-M.; Gitto, R.; Schirmeister, T.; Maes, L.; Rescifina, A.; Micale, N. Discovery of benzimidazole-based Leishmania mexicana cysteine protease CPB2.8ΔCTE inhibitors as potential therapeutics for leishmaniasis. Chem. Biol. Drug Des. 2018, 92, 1585–1596. [Google Scholar] [CrossRef] [PubMed]
  42. Stevanović, S.; Perdih, A.; Senćanski, M.; Glišić, S.; Duarte, M.; Tomás, A.M.; Sena, F.V.; Sousa, F.M.; Pereira, M.M.; Solmajer, T. In Silico Discovery of a Substituted 6-Methoxy-quinalidine with Leishmanicidal Activity in Leishmania infantum. Molecules 2018, 23, 772. [Google Scholar] [CrossRef] [PubMed]
  43. Villa-Pulgarín, J.A.; Gajate, C.; Botet, J.; Jimenez, A.; Justies, N.; Varela, M.R.; Cuesta-Marbán, Á.; Müller, I.; Modolell, M.; Revuelta, J.L.; et al. Mitochondria and lipid raft-located FOF1-ATP synthase as major therapeutic targets in the antileishmanial and anticancer activities of ether lipid edelfosine. PLoS Negl. Trop. Dis. 2017, 11, e0005805. [Google Scholar] [CrossRef]
  44. Pierson, J.-T.; Dumètre, A.; Hutter, S.; Delmas, F.; Laget, M.; Finet, J.-P.; Azas, N.; Combes, S. Synthesis and antiprotozoal activity of 4-arylcoumarins. Eur. J. Med. Chem. 2010, 45, 864–869. [Google Scholar] [CrossRef]
  45. Zhai, L.; Blom, J.; Chen, M.; Christensen, S.B.; Kharazmi, A. The antileishmanial agent licochalcone A interferes with the function of parasite mitochondria. Antimicrob. Agents Chemother. 1995, 39, 2742–2748. [Google Scholar] [CrossRef]
  46. Sangshetti, J.N.; Shaikh, R.I.; Khan, F.A.K.; Patil, R.H.; Marathe, S.D.; Gade, W.N.; Shinde, D.B. Synthesis, antileishmanial activity and docking study of N’-substitutedbenzylidene-2-(6,7-dihydrothieno [3,2-c]pyridin-5(4H)-yl)acetohydrazides. Bioorg. Med. Chem. Lett. 2014, 24, 1605–1610. [Google Scholar] [CrossRef]
  47. Ruiz-Santaquiteria, M.; Sánchez-Murcia, P.A.; Toro, M.A.; de Lucio, H.; Gutiérrez, K.J.; de Castro, S.; Carneiro, F.A.C.; Gago, F.; Jiménez-Ruiz, A.; Camarasa, M.-J.; et al. First example of peptides targeting the dimer interface of Leishmania infantum trypanothione reductase with potent in vitro antileishmanial activity. Eur. J. Med. Chem. 2017, 135, 49–59. [Google Scholar] [CrossRef]
  48. Kumar, V.; Chugh, A. Peptide-mediated leishmaniasis management strategy: Tachyplesin emerges as an effective anti-leishmanial peptide against Leishmania donovani. Biochim. Biophys. Acta Biomembr. 2021, 1863, 183629. [Google Scholar] [CrossRef] [PubMed]
  49. Balunas, M.J.; Linington, R.G.; Tidgewell, K.; Fenner, A.M.; Ureña, L.D.; Togna, G.D.; Kyle, D.E.; Gerwick, W.H. Dragonamide E, a modified linear lipopeptide from Lyngbya majuscula with antileishmanial activity. J. Nat. Prod. 2010, 73, 60–66. [Google Scholar] [CrossRef] [PubMed]
  50. Besednova, N.N.; Zaporozhets, T.S.; Andryukov, B.G.; Kryzhanovsky, S.P.; Ermakova, S.P.; Kuznetsova, T.A.; Voronova, A.N.; Shchelkanov, M.Y. Antiparasitic Effects of Sulfated Polysaccharides from Marine Hydrobionts. Mar. Drugs 2021, 19, 637. [Google Scholar] [CrossRef]
  51. WHO. Trypanosomiasis, Human African (Sleeping Sickness). Available online: https://www.who.int/news-room/fact-sheets/detail/trypanosomiasis-human-african-(sleeping-sickness) (accessed on 17 October 2023).
  52. WHO. Human African Trypanosomiasis (Sleeping Sickness). Available online: https://www.who.int/health-topics/human-african-trypanosomiasis#tab=tab_1 (accessed on 17 October 2023).
  53. Sutherland, C.S.; Yukich, J.; Goeree, R.; Tediosi, F. A Literature Review of Economic Evaluations for a Neglected Tropical Disease: Human African Trypanosomiasis (“Sleeping Sickness”). PLOS Negl. Trop. Dis. 2015, 9, e0003397. [Google Scholar] [CrossRef] [PubMed]
  54. WHO. WHO Interim Guidelines for the Treatment of Gambiense Human African Trypanosomiasis. Available online: https://iris.who.int/bitstream/handle/10665/326178/9789241550567-eng.pdf (accessed on 17 October 2023).
  55. Kasozi, K.I.; MacLeod, E.T.; Ntulume, I.; Welburn, S.C. An Update on African Trypanocide Pharmaceutics and Resistance. Front. Vet. Sci. 2022, 9, 828111. [Google Scholar] [CrossRef]
  56. Deeks, E.D. Fexinidazole: First Global Approval. Drugs 2019, 79, 215–220. [Google Scholar] [CrossRef]
  57. Dickie, E.A.; Giordani, F.; Gould, M.K.; Mäser, P.; Burri, C.; Mottram, J.C.; Rao, S.P.S.; Barrett, M.P. New Drugs for Human African Trypanosomiasis: A Twenty First Century Success Story. Trop. Med. Int. Health 2020, 5, 29. [Google Scholar] [CrossRef]
  58. Jacobs, R.T.; Nare, B.; Wring, S.A.; Orr, M.D.; Chen, D.; Sligar, J.M.; Jenks, M.X.; Noe, R.A.; Bowling, T.S.; Mercer, L.T.; et al. SCYX-7158, an Orally-Active Benzoxaborole for the Treatment of Stage 2 Human African Trypanosomiasis. PLOS Negl. Trop. Dis. 2011, 5, e1151. [Google Scholar] [CrossRef]
  59. Tarral, A.; Hovsepian, L.; Duvauchelle, T.; Donazzolo, Y.; Latreille, M.; Felices, M.; Gualano, V.; Delhomme, S.; Valverde Mordt, O.; Blesson, S.; et al. Determination of the Optimal Single Dose Treatment for Acoziborole, a Novel Drug for the Treatment of Human African Trypanosomiasis: First-in-Human Study. Clin. Pharmacokinet. 2023, 62, 481–491. [Google Scholar] [CrossRef]
  60. Kumeso, V.K.B.; Kalonji, W.M.; Rembry, S.; Mordt, O.V.; Tete, D.N.; Prêtre, A.; Delhomme, S.; Kyhi, M.I.W.; Camara, M.; Catusse, J.; et al. Efficacy and safety of acoziborole in patients with human African trypanosomiasis caused by Trypanosoma brucei gambiense: A multicentre, open-label, single-arm, phase 2/3 trial. Lancet Infect. Dis. 2023, 23, 463–470. [Google Scholar] [CrossRef] [PubMed]
  61. Kurisawa, N.; Iwasaki, A.; Jeelani, G.; Nozaki, T.; Suenaga, K. Iheyamides A-C, Antitrypanosomal Linear Peptides Isolated from a Marine Dapis sp. Cyanobacterium. J. Nat. Prod. 2020, 83, 1684–1690. [Google Scholar] [CrossRef] [PubMed]
  62. Hemmige, V.; Tanowitz, H.; Sethi, A. Trypanosoma cruzi infection: A review with emphasis on cutaneous manifestations. Int. J. Dermatol. 2012, 51, 501–508. [Google Scholar] [CrossRef] [PubMed]
  63. Rassi, A., Jr.; Rassi, A.; Marin-Neto, J.A. Chagas disease. Lancet 2010, 375, 1388–1402. [Google Scholar] [CrossRef] [PubMed]
  64. Bern, C.; Montgomery, S.P.; Herwaldt, B.L.; Rassi, A.; Marin-Neto, J.A.; Dantas, R.O.; Maguire, J.H.; Acquatella, H.; Morillo, C.; Kirchhoff, L.V.; et al. Evaluation and Treatment of Chagas Disease in the United StatesA Systematic Review. JAMA 2007, 298, 2171–2181. [Google Scholar] [CrossRef] [PubMed]
  65. García-Huertas, P.; Cardona-Castro, N. Advances in the treatment of Chagas disease: Promising new drugs, plants and targets. Biomed. Pharmacother. 2021, 142, 112020. [Google Scholar] [CrossRef]
  66. Apt, W.; Arribada, A.; Zulantay, I.; Rodríguez, J.; Saavedra, M.; Muñoz, A. Treatment of Chagas’ disease with itraconazole: Electrocardiographic and parasitological conditions after 20 years of follow-up. J. Antimicrob. Chemother. 2013, 68, 2164–2169. [Google Scholar] [CrossRef]
  67. Gulin, J.E.N.; Eagleson, M.A.; Postan, M.; Cutrullis, R.A.; Freilij, H.; Bournissen, F.G.; Petray, P.B.; Altcheh, J. Efficacy of voriconazole in a murine model of acute Trypanosoma cruzi infection. J. Antimicrob. Chemother. 2012, 68, 888–894. [Google Scholar] [CrossRef][Green Version]
  68. Urbina, J.A.; Payares, G.; Sanoja, C.; Lira, R.; Romanha, A.J. In vitro and in vivo activities of ravuconazole on Trypanosoma cruzi, the causative agent of Chagas disease. Int. J. Antimicrob. Agents 2003, 21, 27–38. [Google Scholar] [CrossRef]
  69. Padilla, A.M.; Wang, W.; Akama, T.; Carter, D.S.; Easom, E.; Freund, Y.; Halladay, J.S.; Liu, Y.; Hamer, S.A.; Hodo, C.L.; et al. Discovery of an orally active benzoxaborole prodrug effective in the treatment of Chagas disease in non-human primates. Nat. Microbiol. 2022, 7, 1536–1546. [Google Scholar] [CrossRef]
  70. Furtado, J.M.; Smith, J.R.; Belfort, R.J.; Gattey, D.; Winthrop, K.L. Toxoplasmosis: A Global Threat. J. Glob. Infect. Dis. 2011, 3, 281–284. [Google Scholar] [CrossRef]
  71. Hajj, R.E.; Tawk, L.; Itani, S.; Hamie, M.; Ezzeddine, J.; El Sabban, M.; El Hajj, H. Toxoplasmosis: Current and Emerging Parasite Druggable Targets. Microorganisms 2021, 9, 2531. [Google Scholar] [CrossRef] [PubMed]
  72. D’Angelo, J.G.; Bordón, C.; Posner, G.H.; Yolken, R.; Jones-Brando, L. Artemisinin derivatives inhibit Toxoplasma gondii in vitro at multiple steps in the lytic cycle. J. Antimicrob. Chemother. 2008, 63, 146–150. [Google Scholar] [CrossRef] [PubMed]
  73. Mui, E.J.; Schiehser, G.A.; Milhous, W.K.; Hsu, H.; Roberts, C.W.; Kirisits, M.; Muench, S.; Rice, D.; Dubey, J.P.; Fowble, J.W.; et al. Novel Triazine JPC-2067-B Inhibits Toxoplasma gondii In Vitro and In Vivo. PLOS Negl. Trop. Dis. 2008, 2, e190. [Google Scholar] [CrossRef] [PubMed]
  74. Barbosa, B.F.; Gomes, A.O.; Ferro, E.A.V.; Napolitano, D.R.; Mineo, J.R.; Silva, N.M. Enrofloxacin is able to control Toxoplasma gondii infection in both in vitro and in vivo experimental models. Vet. Parasitol. 2012, 187, 44–52. [Google Scholar] [CrossRef] [PubMed]
  75. Fomovska, A.; Huang, Q.; Bissati, K.E.; Mui, E.J.; Witola, W.H.; Cheng, G.; Zhou, Y.; Sommerville, C.; Roberts, C.W.; Bettis, S.; et al. Novel N-Benzoyl-2-Hydroxybenzamide Disrupts Unique Parasite Secretory Pathway. Antimicrob. Agents Chemother. 2012, 56, 2666–2682. [Google Scholar] [CrossRef] [PubMed]
  76. Hegewald, J.; Gross, U.; Bohne, W. Identification of dihydroorotate dehydrogenase as a relevant drug target for 1-hydroxyquinolones in Toxoplasma gondii. Mol. Biochem. Parasitol. 2013, 190, 6–15. [Google Scholar] [CrossRef] [PubMed]
  77. Tenório, R.P.; Carvalho, C.S.; Pessanha, C.S.; de Lima, J.G.; de Faria, A.R.; Alves, A.J.; de Melo, E.J.T.; Góes, A.J.S. Synthesis of thiosemicarbazone and 4-thiazolidinone derivatives and their in vitro anti-Toxoplasma gondii activity. Bioorganic Med. Chem. Lett. 2005, 15, 2575–2578. [Google Scholar] [CrossRef]
  78. Xing, L.; Wang, Z.; Hao, Y.; Zhang, W. Marine Products as a Promising Resource of Bioactive Peptides: Update of Extraction Strategies and Their Physiological Regulatory Effects. J. Agric. Food Chem. 2022, 70, 3081–3095. [Google Scholar] [CrossRef]
  79. Nweze, J.A.; Mbaoji, F.N.; Li, Y.M.; Yang, L.Y.; Huang, S.S.; Chigor, V.N.; Eze, E.A.; Pan, L.X.; Zhang, T.; Yang, D.F. Potentials of marine natural products against malaria, leishmaniasis, and trypanosomiasis parasites: A review of recent articles. Infect. Dis. Pover. 2021, 10, 9. [Google Scholar] [CrossRef]
  80. Zhang, M.; Zhang, Q.; Zhang, Q.; Cui, X.; Zhu, L. Promising Antiparasitic Natural and Synthetic Products from Marine Invertebrates and Microorganisms. Mar. Drugs 2023, 21, 84. [Google Scholar] [CrossRef]
  81. Karthikeyan, A.; Joseph, A.; Nair, B.G. Promising bioactive compounds from the marine environment and their potential effects on various diseases. J. Genet. Eng. Biotechnol. 2022, 20, 14. [Google Scholar] [CrossRef] [PubMed]
  82. Shinde, P.; Banerjee, P.; Mandhare, A. Marine natural products as source of new drugs: A patent review (2015–2018). Expert Opin. Ther. Pat. 2019, 29, 283–309. [Google Scholar] [CrossRef]
  83. Banerjee, P.; Mandhare, A.; Bagalkote, V. Marine natural products as source of new drugs: An updated patent review (July 2018–July 2021). Expert Opin. Ther. Pat. 2022, 32, 317–363. [Google Scholar] [CrossRef] [PubMed]
  84. Macedo, M.W.F.S.; da Cunha, N.B.; Carneiro, J.A.; da Costa, R.A.; de Alencar, S.A.; Cardoso, M.H.; Franco, O.L.; Dias, S.C. Marine organisms as a rich source of biologically active peptides. Front. Mar. Sci. 2021, 8, 667764. [Google Scholar] [CrossRef]
  85. Bhandari, D.; Rafiq, S.; Gat, Y.; Gat, P.; Waghmare, R.; Kumar, V. A Review on Bioactive Peptides: Physiological Functions, Bioavailability and Safety. Int. J. Pept. Res. Ther. 2020, 26, 139–150. [Google Scholar] [CrossRef]
  86. Wang, L.; Wang, N.; Zhang, W.; Cheng, X.; Yan, Z.; Shao, G.; Wang, X.; Wang, R.; Fu, C. Therapeutic peptides: Current applications and future directions. Signal Transduct. Target. Ther. 2022, 7, 48. [Google Scholar] [CrossRef] [PubMed]
  87. Pope, J.E.; Deer, T.R. Ziconotide: A clinical update and pharmacologic review. Expert Opin. Pharmacother. 2013, 14, 957–966. [Google Scholar] [CrossRef]
  88. McIntosh, M.; Cruz, L.J.; Hunkapiller, M.W.; Gray, W.R.; Olivera, B.M. Isolation and structure of a peptide toxin from the marine snail Conus magus. Arch. Biochem. Biophys. 1982, 218, 329–334. [Google Scholar] [CrossRef]
  89. Ghoran, S.H.; Taktaz, F.; Sousa, E.; Fernandes, C.; Kijjoa, A. Peptides from Marine-Derived Fungi: Chemistry and Biological Activities. Mar. Drugs 2023, 21, 510. [Google Scholar] [CrossRef]
  90. Rangel, M.; José Correia de Santana, C.; Pinheiro, A.; Dos Anjos, L.; Barth, T.; Rodrigues Pires Júnior, O.; Fontes, W.; Castro, M.S. Marine depsipeptides as promising pharmacotherapeutic agents. Curr. Protein Pept. Sci. 2017, 18, 72–91. [Google Scholar] [CrossRef] [PubMed]
  91. Anjum, K.; Abbas, S.Q.; Akhter, N.; Shagufta, B.I.; Shah, S.A.A.; Hassan, S.S.U. Emerging biopharmaceuticals from bioactive peptides derived from marine organisms. Chem. Biol. Drug Des. 2017, 90, 12–30. [Google Scholar] [CrossRef] [PubMed]
  92. Venkatesan, J.; Anil, S.; Kim, S.-K.; Shim, M.S. Marine fish proteins and peptides for cosmeceuticals: A review. Mar. Drugs 2017, 15, 143. [Google Scholar] [CrossRef] [PubMed]
  93. Corinaldesi, C.; Barone, G.; Marcellini, F.; Dell’Anno, A.; Danovaro, R. Marine microbial-derived molecules and their potential use in cosmeceutical and cosmetic products. Mar. Drugs 2017, 15, 118. [Google Scholar] [CrossRef] [PubMed]
  94. Charoensiddhi, S.; Conlon, M.A.; Franco, C.M.; Zhang, W. The development of seaweed-derived bioactive compounds for use as prebiotics and nutraceuticals using enzyme technologies. Trends Food Sci. Technol. 2017, 70, 20–33. [Google Scholar] [CrossRef]
  95. Ghosh, S.; Sarkar, T.; Pati, S.; Kari, Z.A.; Edinur, H.A.; Chakraborty, R. Novel Bioactive Compounds from Marine Sources as a Tool for Functional Food Development. Front. Mar. Sci. 2022, 9, 832957. [Google Scholar] [CrossRef]
  96. Wibowo, J.T.; Bayu, A.; Aryati, W.D.; Fernandes, C.; Yanuar, A.; Kijjoa, A.; Putra, M.Y. Secondary Metabolites from Marine-Derived Bacteria with Antibiotic and Antibiofilm Activities against Drug-Resistant Pathogens. Mar. Drugs 2023, 21, 50. [Google Scholar] [CrossRef]
  97. Milligan, K.E.; Marquez, B.L.; Williamson, R.T.; Gerwick, W.H. Lyngbyabellin B, a toxic and antifungal secondary metabolite from the marine cyanobacterium Lyngbya majuscula. J. Nat. Prod. 2000, 63, 1440–1443. [Google Scholar] [CrossRef]
  98. de Sá, J.D.M.; Kumla, D.; Dethoup, T.; Kijjoa, A. Bioactive Compounds from Terrestrial and Marine-Derived Fungi of the Genus Neosartorya. Molecules 2022, 27, 2351. [Google Scholar] [CrossRef]
  99. Daletos, G.; Kalscheuer, R.; Koliwer-Brandl, H.; Hartmann, R.; De Voogd, N.J.; Wray, V.; Lin, W.; Proksch, P. Callyaerins from the Marine Sponge Callyspongia aerizusa: Cyclic Peptides with Antitubercular Activity. J. Nat. Prod. 2015, 78, 1910–1925. [Google Scholar] [CrossRef]
  100. O’connor, J.; Garcia-Vaquero, M.; Meaney, S.; Tiwari, B.K. Bioactive Peptides from Algae: Traditional and Novel Generation Strategies, Structure-Function Relationships, and Bioinformatics as Predictive Tools for Bioactivity. Mar. Drugs 2022, 20, 317. [Google Scholar] [CrossRef] [PubMed]
  101. Agrawal, S.; Adholeya, A.; Deshmukh, S.K. The pharmacological potential of non-ribosomal peptides from marine sponge and tunicates. Front. Pharmacol. 2016, 7, 333. [Google Scholar] [CrossRef] [PubMed]
  102. Amelia, T.S.M.; Suaberon, F.A.C.; Vad, J.; Fahmi, A.D.M.; Saludes, J.P.; Bhubalan, K. Recent Advances of Marine Sponge-Associated Microorganisms as a Source of Commercially Viable Natural Products. Mar. Biotechnol. 2022, 24, 492–512. [Google Scholar] [CrossRef] [PubMed]
  103. Prompanya, C.; Fernandes, C.; Cravo, S.; Pinto, M.M.M.; Dethoup, T.; Silva, A.M.S.; Kijjoa, A. A new cyclic hexapeptide and a new isocoumarin derivative from the marine sponge-associated fungus Aspergillus similanensis KUFA 0013. Mar. Drugs 2015, 13, 1432–1450. [Google Scholar] [CrossRef] [PubMed]
  104. Zin, W.W.M.; Buttachon, S.; Dethoup, T.; Fernandes, C.; Cravo, S.; Pinto, M.M.M.; Gales, L.; Pereira, J.A.; Silva, A.M.S.; Sekeroglu, N.; et al. New cyclotetrapeptides and a new diketopiperzine derivative from the marine sponge-associated fungus Neosartorya glabra KUFA 0702. Mar. Drugs 2016, 14, 136. [Google Scholar] [CrossRef] [PubMed]
  105. Kang, H.K.; Seo, C.H.; Park, Y. Marine peptides and their anti-infective activities. Mar. Drugs 2015, 13, 618–654. [Google Scholar] [CrossRef] [PubMed]
  106. Muttenthaler, M.; King, G.F.; Adams, D.J.; Alewood, P.F. Trends in peptide drug discovery. Nat. Rev. Drug Discov. 2021, 20, 309–325. [Google Scholar] [CrossRef]
  107. Zorzi, A.; Deyle, K.; Heinis, C. Cyclic peptide therapeutics: Past, present and future. Curr. Opin. Chem. Biol. 2017, 38, 24–29. [Google Scholar] [CrossRef]
  108. Akbarian, M.; Khani, A.; Eghbalpour, S.; Uversky, V.N. Bioactive Peptides: Synthesis, Sources, Applications, and Proposed Mechanisms of Action. Int. J. Mol. Sci. 2022, 23, 1445. [Google Scholar] [CrossRef]
  109. Zhang, H.; Chen, S. Cyclic peptide drugs approved in the last two decades (2001–2021). RSC Chem. Biol. 2022, 3, 18–31. [Google Scholar] [CrossRef]
  110. Choi, J.S.; Joo, S.H. Recent Trends in Cyclic Peptides as Therapeutic Agents and Biochemical Tools. Biomol. Ther. 2020, 28, 18–24. [Google Scholar] [CrossRef] [PubMed]
  111. Pfeifer, V.; Nicholson, G.J.; Ries, J.; Recktenwald, J.; Schefer, A.B.; Shawky, R.M.; Schröder, J.; Wohlleben, W.; Pelzer, S. A polyketide synthase in glycopeptide biosynthesis: The biosynthesis of the non-proteinogenic amino acid (S)-3, 5-dihydroxyphenylglycine. J. Biol. Chem. 2001, 276, 38370–38377. [Google Scholar] [CrossRef] [PubMed]
  112. Jang, J.P.; Nogawa, T.; Futamura, Y.; Shimizu, T.; Hashizume, D.; Takahashi, S.; Jang, J.H.; Ahn, J.S.; Osada, H. Octaminomycins A and B, cyclic octadepsipeptides active against Plasmodium falciparum. J. Nat. Prod. 2017, 80, 134–140. [Google Scholar] [CrossRef] [PubMed]
  113. Fukuhara, K.; Takada, K.; Okada, S.; Matsunaga, S. Nazumazoles A-C, cyclic pentapeptides dimerized through a disulfide bond from the marine sponge theonella swinhoei. Org. Lett. 2015, 17, 2646–2648. [Google Scholar] [CrossRef] [PubMed]
  114. Luo, S.; Krunic, A.; Kang, H.S.; Chen, W.L.; Woodard, J.L.; Fuchs, J.R.; Swanson, S.M.; Orjala, J. Trichormamides A and B with antiproliferative activity from the cultured freshwater cyanobacterium Trichormus sp. UIC 10339. J. Nat. Prod. 2014, 77, 1871–1880. [Google Scholar] [CrossRef] [PubMed]
  115. Raaijmakers, J.M.; de Bruijn, I.; Nybroe, O.; Ongena, M. Natural functions of lipopeptides from Bacillus and Pseudomonas: More than surfactants and antibiotics. FEMS Microbiol. Rev. 2010, 34, 1037–1062. [Google Scholar] [CrossRef] [PubMed]
  116. Sieber, S.A.; Marahiel, M.A. Molecular mechanisms underlying nonribosomal peptide synthesis: Approaches to new antibiotics. Chem. Rev. 2005, 105, 715–738. [Google Scholar] [CrossRef]
  117. Kohli, R.M.; Walsh, C.T.; Burkart, M.D. Biomimetic synthesis and optimization of cyclic peptide antibiotics. Nature 2002, 418, 658–661. [Google Scholar] [CrossRef]
  118. Hamada, Y.; Shioiri, T. Recent Progress of the Synthetic Studies of Biologically Active Marine Cyclic Peptides and Depsipeptides. Chem. Rev. 2005, 105, 4441–4482. [Google Scholar] [CrossRef]
  119. Jing, X.; Jin, K. A gold mine for drug discovery: Strategies to develop cyclic peptides into therapies. Med. Res. Rev. 2020, 40, 753–810. [Google Scholar] [CrossRef]
  120. Gentilucci, L.; de Marco, R.; Cerisoli, L. Chemical modifications designed to improve peptide stability: Incorporation of non-natural amino acids, pseudo-peptide bonds, and cyclization. Curr. Pharm. Des. 2010, 16, 3185–3203. [Google Scholar] [CrossRef] [PubMed]
  121. Ghanbari, R. Review on the Bioactive Peptides from Marine Sources: Indication for Health Effects. Int. J. Pept. Res. Ther. 2019, 25, 1187–1199. [Google Scholar] [CrossRef]
  122. Cunha, S.A.; Pintado, M.E. Bioactive peptides derived from marine sources: Biological and functional properties. Trends Food Sci. Technol. 2022, 119, 348–370. [Google Scholar] [CrossRef]
  123. Kang, H.K.; Choi, M.-C.; Seo, C.H.; Park, Y. Therapeutic properties and biological benefits of marine-derived anticancer peptides. Int. J. Mol. Sci. 2018, 19, 919. [Google Scholar] [CrossRef] [PubMed]
  124. Ribeiro, R.; Pinto, E.; Fernandes, C.; Sousa, E. Marine Cyclic Peptides: Antimicrobial Activity and Synthetic Strategies. Mar. Drugs 2022, 20, 397. [Google Scholar] [CrossRef] [PubMed]
  125. Fernandes, C.; Ribeiro, R.; Pinto, M.; Kijjoa, A. Absolute Stereochemistry Determination of Bioactive Marine-Derived Cyclopeptides by Liquid Chromatography Methods: An Update Review (2018–2022). Molecules 2023, 28, 615. [Google Scholar] [CrossRef] [PubMed]
  126. Page, M.J.; McKenzie, J.E.; Bossuyt, P.M.; Boutron, I.; Hoffmann, T.C.; Mulrow, C.D.; Shamseer, L.; Tetzlaff, J.M.; Akl, E.A.; Brennan, S.E.; et al. The PRISMA 2020 statement: An updated guideline for reporting systematic reviews. Syst. Rev. 2021, 10, 89. [Google Scholar] [CrossRef]
  127. Crews, P.; Manes, L.V.; Boehler, M. Jasplakinolide, a cyclodepsipeptide from the marine sponge, Jaspis sp. Tetrahedron Lett. 1986, 27, 2797–2800. [Google Scholar] [CrossRef]
  128. Mizuno, Y.; Makioka, A.; Kawazu, S.I.; Kano, S.; Kawai, S.; Akaki, M.; Aikawa, M.; Ohtomo, H. Effect of jasplakinolide on the growth, invasion, and actin cytoskeleton of Plasmodium falciparum. Parasitol. Res. 2002, 88, 844–848. [Google Scholar] [CrossRef]
  129. Poupel, O.; Tardieux, I. Toxoplasma gondii motility and host cell invasiveness are drastically impaired by jasplakinolide, a cyclic peptide stabilizing F-actin. Microbes Infect. 1999, 1, 653–662. [Google Scholar] [CrossRef]
  130. Makioka, A.; Kumagai, M.; Ohtomo, H.; Kobayashi, S.; Takeuchi, T. Effect of jasplakinolide on the growth, encystation, and actin cytoskeleton of Entamoeba histolytica and Entamoeba invadens. J. Parasitol. 2001, 87, 399–405. [Google Scholar] [CrossRef] [PubMed]
  131. Makioka, A.; Kumagai, M.; Ohtomo, H.; Kobayashi, S.; Takeuchi, T. Growth inhibition and actin aggregate formation of Entamoeba histolytica by jasplakinolide. Arch. Med. Res. 2000, 31, S145–S146. [Google Scholar] [CrossRef] [PubMed]
  132. Renner, M.K.; Shen, Y.C.; Cheng, X.C.; Jensen, P.R.; Frankmoelle, W.; Kauffman, C.A.; Fenical, W.; Lobkovsky, E.; Clardy, J. Cyclomarins A-C, new antiinflammatory cyclic peptides produced by a marine bacterium (Streptomyces sp.). J. Am. Chem. Soc. 1999, 121, 11273–11276. [Google Scholar] [CrossRef]
  133. Bürstner, N.; Roggo, S.; Ostermann, N.; Blank, J.; Delmas, C.; Freuler, F.; Gerhartz, B.; Hinniger, A.; Hoepfner, D.; Liechty, B.; et al. Gift from Nature: Cyclomarin A Kills Mycobacteria and Malaria Parasites by Distinct Modes of Action. ChemBioChem 2015, 16, 2433–2436. [Google Scholar] [CrossRef] [PubMed]
  134. Intaraudom, C.; Rachtawee, P.; Suvannakad, R.; Pittayakhajonwut, P. Antimalarial and antituberculosis substances from Streptomyces sp. BCC26924. Tetrahedron 2011, 67, 7593–7597. [Google Scholar] [CrossRef]
  135. Linington, R.G.; González, J.; Ureña, L.D.; Romero, L.I.; Ortega-Barría, E.; Gerwick, W.H. Venturamides A and B: Antimalarial constituents of the Panamanian marine cyanobacterium Oscillatoria sp. J. Nat. Prod. 2007, 70, 397–401. [Google Scholar] [CrossRef] [PubMed]
  136. Linington, R.G.; Edwards, D.J.; Shuman, C.F.; McPhail, K.L.; Matainaho, T.; Gerwick, W.H. Symplocamide A, a potent cytotoxin and chymotrypsin inhibitor from the marine cyanobacterium Symploca sp. J. Nat. Prod. 2008, 71, 22–27. [Google Scholar] [CrossRef]
  137. Donia, M.S.; Wang, B.; Dunbar, D.C.; Desai, P.V.; Patny, A.; Avery, M.; Hamann, M.T. Mollamides B and C, Cyclic hexapeptides from the indonesian tunicate Didemnum molle. J. Nat. Prod. 2008, 71, 941–945. [Google Scholar] [CrossRef]
  138. Tripathi, A.; Puddick, J.; Prinsep, M.R.; Rottmann, M.; Tan, L.T. Lagunamides A and B: Cytotoxic and antimalarial cyclodepsipeptides from the marine cyanobacterium Lyngbya majuscula. J. Nat. Prod. 2010, 73, 1810–1814. [Google Scholar] [CrossRef]
  139. Gumila, C.; Ancelin, M.L.; Jeminet, G.; Delort, A.M.; Miquel, G.; Vial, H.J. Differential in vitro activities of ionophore compounds against Plasmodium falciparum and mammalian cells. Antimicrob. Agents Chemother. 1996, 40, 602–608. [Google Scholar] [CrossRef]
  140. Pimentel-Elardo, S.M.; Kozytska, S.; Bugni, T.S.; Ireland, C.M.; Moll, H.; Hentschel, U. Anti-parasitic compounds from Streptomyces sp. strains isolated from Mediterranean sponges. Mar. Drugs 2010, 8, 373–380. [Google Scholar] [CrossRef] [PubMed]
  141. Raju, R.; Khalil, Z.G.; Piggott, A.M.; Blumenthal, A.; Gardiner, D.L.; Skinner-Adams, T.S.; Capon, R.J. Mollemycin A: An antimalarial and antibacterial glyco-hexadepsipeptide- polyketide from an Australian marine-derived Streptomyces sp. (CMB-M0244). Org. Lett. 2014, 16, 1716–1719. [Google Scholar] [CrossRef] [PubMed]
  142. Vining, O.B.; Medina, R.A.; Mitchell, E.A.; Videau, P.; Li, D.; Serrill, J.D.; Kelly, J.X.; Gerwick, W.H.; Proteau, P.J.; Ishmael, J.E. Depsipeptide companeramides from a panamanian marine cyanobacterium associated with the coibamide producer. J. Nat. Prod. 2015, 78, 413–420. [Google Scholar] [CrossRef] [PubMed]
  143. Almaliti, J.; Malloy, K.L.; Glukhov, E.; Spadafora, C.; Gutiérrez, M.; Gerwick, W.H. Dudawalamides A-D, Antiparasitic Cyclic Depsipeptides from the Marine Cyanobacterium Moorea producens. J. Nat. Prod. 2017, 80, 1827–1836. [Google Scholar] [CrossRef] [PubMed]
  144. Sweeney-Jones, A.M.; Gagaring, K.; Antonova-Koch, J.; Zhou, H.; Mojib, N.; Soapi, K.; Skolnick, J.; McNamara, C.W.; Kubanek, J. Antimalarial peptide and polyketide natural products from the Fijian marine cyanobacterium Moorea producens. Mar. Drugs 2020, 18, 167. [Google Scholar] [CrossRef] [PubMed]
  145. Hamann, M.T.; Otto, C.S.; Scheuer, P.J.; Dunbar, D.C. Kahalalides: Bioactive peptides from a marine mollusk Elysia rufescens and its algal diet Bryopsis sp. J. Org. Chem. 1996, 61, 6594–6600. [Google Scholar] [CrossRef]
  146. Hamann, M.T.; Scheuer, P.J. Kahalalide F: A Bioactive Depsipeptide from the Sacoglossan Mollusk Elysia rufescens and the Green Alga Bryopsis sp. J. Am. Chem. Soc. 1993, 115, 5825–5826. [Google Scholar] [CrossRef]
  147. Cruz, L.J.; Luque-Ortega, J.R.; Rivas, L.; Albericio, F. Kahalalide F, an antitumor depsipeptide in clinical trials, and its analogues as effective antileishmanial agents. Mol. Pharm. 2009, 6, 813–824. [Google Scholar] [CrossRef]
  148. Cruz, L.J.; Martínez Insua, M.; Pérez Baz, J.; Trujillo, M.; Rodriguez-Mias, R.A.; Oliveira, E.; Giralt, E.; Albericio, F.; Cañedo, L.M. IB-01212, a new cytotoxic cyclodepsipeptide isolated from the marine fungus Clonostachys sp. ESNA-A009. J. Org. Chem. 2006, 71, 3335–3338. [Google Scholar] [CrossRef]
  149. Luque-Ortega, J.R.; Cruz, L.J.; Albericio, F.; Rivas, L. The antitumoral depsipeptide IB-01212 kills Leishmania through an apoptosis-like process involving intracellular targets. Mol. Pharm. 2010, 7, 1608–1617. [Google Scholar] [CrossRef]
  150. Ogawa, H.; Iwasaki, A.; Sumimoto, S.; Kanamori, Y.; Ohno, O.; Iwatsuki, M.; Ishiyama, A.; Hokari, R.; Otoguro, K.; Omura, S.; et al. Janadolide, a Cyclic Polyketide-Peptide Hybrid Possessing a tert-Butyl Group from an Okeania sp. Marine Cyanobacterium. J. Nat. Prod. 2016, 79, 1862–1866. [Google Scholar] [CrossRef] [PubMed]
  151. Chung, J.H.; Tang, A.H.; Geraghty, K.; Corcilius, L.; Kaiser, M.; Payne, R.J. Total Synthesis and Antitrypanosomal Activity of Janadolide and Simplified Analogues. Org. Lett. 2020, 22, 3089–3093. [Google Scholar] [CrossRef] [PubMed]
  152. Takahashi, H.; Iwasaki, A.; Kurisawa, N.; Suzuki, R.; Jeelani, G.; Matsubara, T.; Sato, T.; Nozaki, T.; Suenaga, K. Motobamide, an Antitrypanosomal Cyclic Peptide from a Leptolyngbya sp. Marine Cyanobacterium. J. Nat. Prod. 2021, 84, 1649–1655. [Google Scholar] [CrossRef] [PubMed]
  153. Fotie, J. The potential of peptides and depsipeptides from terrestrial and marine organisms in the fight against human protozoan diseases. In Bioactive Natural Products: Chemistry and Biology; Wiley Blackwell: Hoboken, NJ, USA, 2015; pp. 279–320. [Google Scholar]
  154. Xu, Y.Y.; Liu, C.; Liu, Z.P. Advances in the total synthesis of cyclodepsipeptide (+)-jasplakinolide (jaspamide) and its analogs. Curr. Org. Synth. 2013, 10, 67–89. [Google Scholar]
  155. Scott, V.R.; Boehme, R.; Matthews, T.R. New class of antifungal agents: Jasplakinolide, a cyclodepsipeptide from the marine sponge, Jaspis species. Antimicrob. Agents Chemother. 1988, 32, 1154–1157. [Google Scholar] [CrossRef]
  156. Zabriskie, T.M.; Ireland, C.M.; Klocke, J.A.; Marcus, A.H.; Molinski, T.F.; Faulkner, D.J.; Xu, C.; Clardy, J.C. Jaspamide, a Modified Peptide from a Jaspis Sponge, with Insecticidal and Antifungal Activity. J. Am. Chem. Soc. 1986, 108, 3123–3124. [Google Scholar] [CrossRef]
  157. Yang, K.; Luo, M.; Li, H.; Abdulrehman, G.; Kang, L. Effects of jasplakinolide on cytotoxicity, cytoskeleton and apoptosis in two different colon cancer cell lines treated with m-THPC-PDT. Photodiagn. Photodyn. Ther. 2021, 35, 102425. [Google Scholar] [CrossRef]
  158. Ali, R.; Mir, H.A.; Hamid, R.; Shah, R.A.; Khanday, F.A.; Bhat, S.S. Jasplakinolide Attenuates Cell Migration by Impeding Alpha-1-syntrophin Protein Phosphorylation in Breast Cancer Cells. Protein J. 2021, 40, 234–244. [Google Scholar] [CrossRef]
  159. Odaka, C.; Sanders, M.L.; Crews, P. Jasplakinolide induces apoptosis in various transformed cell lines by a caspase-3-like protease-dependent pathway. Clin. Diagn. Lab. Immunol. 2000, 7, 947–952. [Google Scholar] [CrossRef]
  160. Takeuchi, H.; Ara, G.; Sausville, E.A.; Teicher, B. Jasplakinolide: Interaction with radiation and hyperthermia in human prostate carcinoma and Lewis lung carcinoma. Cancer Chemother. Pharmacol. 1998, 42, 491–496. [Google Scholar] [CrossRef]
  161. Senderowicz, A.M.J.; Kaur, G.; Sainz, E.; Laing, C.; Inman, W.D.; Rodriguez, J.; Crews, P.; Malspeis, L.; Grever, M.R.; Sausville, E.A.; et al. Jasplakinolide’s inhibition of the growth of prostate carcinoma cells in vitro with disruption of the actin cytoskeleton. J. Natl. Cancer Inst. 1995, 87, 46–51. [Google Scholar] [CrossRef]
  162. Alvarinõ, R.; Alonso, E.; Tabudravu, J.N.; Pérez-Fuentes, N.; Alfonso, A.; Botana, L.M. Tavarua Deoxyriboside A and Jasplakinolide as Potential Neuroprotective Agents: Effects on Cellular Models of Oxidative Stress and Neuroinflammation. ACS Chem. Neurosci. 2021, 12, 150–162. [Google Scholar] [CrossRef] [PubMed]
  163. Bubb, M.R.; Senderowicz, A.M.J.; Sausville, E.A.; Duncan, K.L.K.; Korn, E.D. Jasplakinolide, a cytotoxic natural product, induces actin polymerization and competitively inhibits the binding of phalloidin to F-actin. J. Biol. Chem. 1994, 269, 14869–14871. [Google Scholar] [CrossRef]
  164. Holzinger, A. Jasplakinolide: An actin-specific reagent that promotes actin polymerization. Methods Mol. Biol. 2009, 586, 71–87. [Google Scholar]
  165. Pospich, S.; Merino, F.; Raunser, S. Structural Effects and Functional Implications of Phalloidin and Jasplakinolide Binding to Actin Filaments. Structure 2020, 28, 437–449.e5. [Google Scholar] [CrossRef] [PubMed]
  166. Sun, Z.; Zhang, X.; Hu, L.; Wang, X.; Sun, Z.; Zhao, E.; Wang, J.; Wei, F. F-actin microfilament polymerized by jasplakinolide affects the expression of aquaporin-4 in astrocytic swelling after oxygen-glucose deprivation and reoxygenation. Mater. Express 2020, 10, 563–570. [Google Scholar] [CrossRef]
  167. Zhou, C.; Wang, Y.; Pan, D.; Sun, Y.; Cao, J. The effect of Cytochalasin B and Jasplakinolide on depolymerization of actin filaments in goose muscles during postmortem conditioning. Food Res. Int. 2016, 90, 1–7. [Google Scholar] [CrossRef]
  168. Zhang, X.; Cui, X.; Cheng, L.; Guan, X.; Li, H.; Li, X.; Cheng, M. Actin Stabilization by Jasplakinolide Affects the Function of Bone Marrow-Derived Late Endothelial Progenitor Cells. PLoS ONE 2012, 7, e50899. [Google Scholar] [CrossRef]
  169. Jing, X.; Sun, J.L.; Zhang, X.Y.; Tang, K.X.; Yin, Q.L.; Wu, H.Y.; Wang, J.H.; Wang, J.W.; Cheng, M. Jasplakinolide affects the functions of HUVECs via actin stabilization. Chin. Pharmacol. Bull. 2013, 29, 1079–1083. [Google Scholar]
  170. Bubb, M.R.; Spector, I.; Beyer, B.B.; Fosen, K.M. Effects of jasplakinolide on the kinetics of actin polymerization. An explanation for certain in vivo observations. J. Biol. Chem. 2000, 275, 5163–5170. [Google Scholar] [CrossRef]
  171. Skillman, K.M.; Diraviyam, K.; Khan, A.; Tang, K.; Sept, D.; Sibley, L.D. Evolutionarily divergent, unstable filamentous actin is essential for gliding motility in apicomplexan parasites. PLoS Pathog. 2011, 7, e1002280. [Google Scholar] [CrossRef] [PubMed]
  172. Drewry, L.L.; Sibley, L.D. Toxoplasma actin is required for efficient host cell invasion. mBio 2015, 6, 00557-15. [Google Scholar] [CrossRef] [PubMed]
  173. Pospich, S.; Kumpula, E.P.; Von Der Ecken, J.; Vahokoski, J.; Kursula, I.; Raunser, S. Near-atomic structure of jasplakinolide-stabilized malaria parasite F-actin reveals the structural basis of filament instability. Proc. Natl. Acad. Sci. USA 2017, 114, 10636–10641. [Google Scholar] [CrossRef] [PubMed]
  174. Shaw, M.K.; Tilney, L.G. Induction of an acrosomal process in Toxoplasma gondii: Visualization of actin filaments in a protozoan parasite. Proc. Natl. Acad. Sci. USA 1999, 96, 9095–9099. [Google Scholar] [CrossRef] [PubMed]
  175. Vasudevan, D.; Rao, S.P.S.; Noble, C.G. Structural basis of mycobacterial inhibition by Cyclomarin A. J. Biol. Chem. 2013, 288, 30883–30891. [Google Scholar] [CrossRef] [PubMed]
  176. Schmitt, E.K.; Riwanto, M.; Sambandamurthy, V.; Roggo, S.; Miault, C.; Zwingelstein, C.; Krastel, P.; Noble, C.; Beer, D.; Rao, S.P.S.; et al. The natural product cyclomarin kills Mycobacterium tuberculosis by targeting the ClpC1 subunit of the caseinolytic protease. Angew. Chem. Int. Ed. 2011, 50, 5889–5891. [Google Scholar] [CrossRef]
  177. Kazmaier, U.; Junk, L. Recent developments on the synthesis and bioactivity of ilamycins/rufomycins and cyclomarins, marine cyclopeptides that demonstrate anti-malaria and anti-tuberculosis activity. Mar. Drugs 2021, 19, 446. [Google Scholar] [CrossRef]
  178. Kiefer, A.; Kazmaier, U. Syntheses of Cyclomarins—Interesting Marine Natural Products with Distinct Mode of Action towards Malaria and Tuberculosis. Synthesis 2019, 51, 107–121. [Google Scholar] [CrossRef]
  179. Sugiyama, H.; Shioiri, T.; Yokokawa, F. Syntheses of four unusual amino acids, constituents of cyclomarin A. Tetrahedron Lett. 2002, 43, 3489–3492. [Google Scholar] [CrossRef]
  180. Wen, S.J.; Hu, T.S.; Yao, Z.J. Macrocyclization studies and total synthesis of cyclomarin C, an anti-inflammatory marine cyclopeptide. Tetrahedron 2005, 61, 4931–4938. [Google Scholar] [CrossRef]
  181. Wen, S.J.; Yao, Z.J. Total synthesis of cyclomarin C. Org. Lett. 2004, 6, 2721–2724. [Google Scholar] [CrossRef]
  182. Barbie, P.; Kazmaier, U. Total synthesis of cyclomarins A, C and D, marine cyclic peptides with interesting anti-tuberculosis and anti-malaria activities. Org. Biomol. Chem. 2016, 14, 6036–6054. [Google Scholar] [CrossRef]
  183. Barbie, P.; Kazmaier, U. Total Synthesis of Cyclomarin A, a Marine Cycloheptapeptide with Anti-Tuberculosis and Anti-Malaria Activity. Org. Lett. 2016, 18, 204–207. [Google Scholar] [CrossRef] [PubMed]
  184. Kiefer, A.; Bader, C.D.; Held, J.; Esser, A.; Rybniker, J.; Empting, M.; Müller, R.; Kazmaier, U. Synthesis of New Cyclomarin Derivatives and Their Biological Evaluation towards Mycobacterium tuberculosis and Plasmodium falciparum. Chem. Eur. J. 2019, 25, 8894–8902. [Google Scholar] [CrossRef] [PubMed]
  185. Barbie, P.; Kazmaier, U. Total synthesis of desoxycyclomarin C and the cyclomarazines A and B. Org. Biomol. Chem. 2016, 14, 6055–6064. [Google Scholar] [CrossRef]
  186. Liu, Y.; He, P.; Zhang, Y.; Zhang, X.; Liu, J.; Du, Y. One-pot enantiomeric synthesis of thiazole-containing amino acids: Total synthesis of venturamides A and B. J. Org. Chem. 2018, 83, 3897–3905. [Google Scholar] [CrossRef] [PubMed]
  187. Stolze, S.C.; Meltzer, M.; Ehrmann, M.; Kaiser, M. Solid phase total synthesis of the 3-amino-6-hydroxy-2-piperidone (Ahp) cyclodepsipeptide and protease inhibitor Symplocamide A. Chem. Commun. 2010, 46, 8857–8859. [Google Scholar] [CrossRef] [PubMed]
  188. Tripathi, A.; Fang, W.; Leong, D.T.; Tan, L.T. Biochemical studies of the lagunamides, potent cytotoxic cyclic depsipeptides from the marine cyanobacterium Lyngbya majuscula. Mar. Drugs 2012, 10, 1126–1137. [Google Scholar] [CrossRef]
  189. Huang, X.; Huang, W.; Li, L.; Sun, X.; Song, S.; Xu, Q.; Zhang, L.; Wei, B.G.; Deng, X. Structure Determinants of Lagunamide A for Anticancer Activity and Its Molecular Mechanism of Mitochondrial Apoptosis. Mol. Pharm. 2016, 13, 3756–3763. [Google Scholar] [CrossRef]
  190. Dai, L.; Chen, B.; Lei, H.; Wang, Z.; Liu, Y.; Xu, Z.; Ye, T. Total synthesis and stereochemical revision of lagunamide A. Chem. Commun. 2012, 48, 8697–8699. [Google Scholar] [CrossRef]
  191. Huang, W.; Ren, R.G.; Dong, H.Q.; Wei, B.G.; Lin, G.Q. Diverse synthesis of marine cyclic depsipeptide lagunamide A and its analogues. J. Org. Chem. 2013, 78, 10747–10762. [Google Scholar] [CrossRef] [PubMed]
  192. Pal, S.; Chakraborty, T.K. Toward the total synthesis of a lagunamide B analogue. Tetrahedron Lett. 2014, 55, 3469–3472. [Google Scholar] [CrossRef]
  193. Brockmann, H.; Schmidt-Kastner, G. Valinomycin I, XXVII. Mitteil. über Antibiotica aus Actinomyceten. Chem. Berichte 1955, 88, 57–61. [Google Scholar] [CrossRef]
  194. Huang, S.; Liu, Y.; Liu, W.; Neubauer, P.; Li, J. The nonribosomal peptide valinomycin: From discovery to bioactivity and biosynthesis. Microorganisms 2021, 9, 780. [Google Scholar] [CrossRef] [PubMed]
  195. Heisey, R.M.; Mishra, S.K.; Keller, J.E.; Miller, J.R.; Putnam, A.R.; Huang, J.; D’Silva, T.D.J. Production of valinomycin, an insecticidal antibiotic, by Streptomyces griseus var. flexipertum var. nov. J. Agric. Food Chem. 1988, 36, 1283–1286. [Google Scholar] [CrossRef]
  196. Zhang, D.; Ma, Z.; Chen, H.; Lu, Y.; Chen, X. Valinomycin as a potential antiviral agent against coronaviruses: A review. Biomed. J. 2020, 43, 414–423. [Google Scholar] [CrossRef] [PubMed]
  197. Wibowo, J.T.; Kellermann, M.Y.; Köck, M.; Putra, M.Y.; Murniasih, T.; Mohr, K.I.; Wink, J.; Praditya, D.F.; Steinmann, E.; Schupp, P.J. Anti-Infective and Antiviral Activity of Valinomycin and Its Analogues from a Sea Cucumber-Associated Bacterium, Streptomyces sp. SV 21. Mar. Drugs 2021, 19, 81. [Google Scholar] [CrossRef]
  198. Jeon, C.W.; Kim, D.R.; Kwak, Y.S. Valinomycin, produced by Streptomyces sp. S8, a key antifungal metabolite in large patch disease suppressiveness. World J. Microbiol. Biotechnol. 2019, 35, 128. [Google Scholar] [CrossRef]
  199. Zhang, Q.W.; Baig, M.M.F.A.; Zhang, T.Q.; Zhai, T.T.; Qin, X.; Xia, X.H. Liposomal valinomycin mediated cellular K+ leak promoting apoptosis of liver cancer cells. J. Control. Release 2021, 337, 317–328. [Google Scholar] [CrossRef]
  200. Rakovic, A.; Ziegler, J.; Mårtensson, C.U.; Prasuhn, J.; Shurkewitsch, K.; König, P.; Paulson, H.L.; Klein, C. PINK1-dependent mitophagy is driven by the UPS and can occur independently of LC3 conversion. Cell Death Differ. 2019, 26, 1428–1441. [Google Scholar] [CrossRef]
  201. Xiong, X.; Li, S.; Han, T.L.; Zhou, F.; Zhang, X.; Tian, M.; Tang, L.; Li, Y. Study of mitophagy and ATP-related metabolomics based on β-amyloid levels in Alzheimer’s disease. Exp. Cell Res. 2020, 396, 112266. [Google Scholar] [CrossRef]
  202. Luesch, H.; Williams, P.G.; Yoshida, W.Y.; Moore, R.E.; Paul, V.J. Ulongamides A-F, new β-amino acid-containing cyclodepsipeptides from Palauan collections of the marine cyanobacterium Lyngbya sp. J. Nat. Prod. 2002, 65, 996–1000. [Google Scholar] [CrossRef] [PubMed]
  203. Luesch, H.; Yoshida, W.Y.; Moore, R.E.; Paul, V.J.; Mooberry, S.L. Isolation, structure determination, and biological activity of lyngbyabellin A from the marine cyanobacterium Lyngbya majuscula. J. Nat. Prod. 2000, 63, 611–615. [Google Scholar] [CrossRef] [PubMed]
  204. Gao, J.; Hamann, M.T. Chemistry and biology of kahalalides. Chem. Rev. 2011, 111, 3208–3235. [Google Scholar] [CrossRef] [PubMed]
  205. Goetz, G.; Yoshida, W.Y.; Scheuer, P.J. The absolute stereochemistry of kahalalide F. Tetrahedron 1999, 55, 7739–7746. [Google Scholar] [CrossRef]
  206. López-Macià, A.; Jiménez, J.C.; Royo, M.; Giralt, E.; Albericio, F. Synthesis and structure determination of kahalalide F. J. Am. Chem. Soc. 2001, 123, 11398–11401. [Google Scholar] [CrossRef]
  207. Bonnard, I.; Manzanares, I.; Rinehartt, K.L. Stereochemistry of Kahalalide F. J. Nat. Prod. 2003, 66, 1466–1470. [Google Scholar] [CrossRef] [PubMed]
  208. Jiménez, J.C.; López-Macià, A.; Gracia, C.; Varón, S.; Carrascal, M.; Caba, J.M.; Royo, M.; Francesch, A.M.; Cuevas, C.; Giralt, E.; et al. Structure-activity relationship of Kahalalide F synthetic analogues. J. Med. Chem. 2008, 51, 4920–4931. [Google Scholar] [CrossRef]
  209. Gracia, C.; Isidro-Llobet, A.; Cruz, L.J.; Acosta, G.A.; Álvarez, M.; Cuevas, C.; Giralt, E.; Albericio, F. Convergent approaches for the synthesis of the antitumoral peptide, Kahalalide F. study of orthogonal protecting groups. J. Org. Chem. 2006, 71, 7196–7204. [Google Scholar] [CrossRef]
  210. Wang, B.; Waters, A.L.; Valeriote, F.A.; Hamann, M.T. An efficient and cost-effective approach to kahalalide F N-terminal modifications using a nuisance algal bloom of Bryopsis pennata. Biochim. Biophys. Acta Gen. Subj. 2015, 1850, 1849–1854. [Google Scholar] [CrossRef]
  211. Faircloth, G.; Cuevas, C. Kahalalide F and ES285: Potent anticancer agents from marine molluscs. Prog. Mol. Subcell. Biol. 2006, 43, 363–379. [Google Scholar] [PubMed]
  212. García-Rocha, M.; Bonay, P.; Avila, J. The antitumoral compound Kahalalide F acts on cell lysosomes. Cancer Lett. 1996, 99, 43–50. [Google Scholar] [CrossRef] [PubMed]
  213. Shilabin, A.G.; Kasanah, N.; Wedge, D.E.; Hamann, M.T. Lysosome and HER3 (ErbB3) selective anticancer agent Kahalalide F: Semisynthetic modifications and antifungal lead-exploration studies. J. Med. Chem. 2007, 50, 4340–4350. [Google Scholar] [CrossRef] [PubMed]
  214. Janmaat, M.L.; Rodriguez, J.A.; Jimeno, J.; Kruyt, F.A.E.; Giaccone, G. Kahalalide F induces necrosis-like cell death that involves depletion of ErbB3 and inhibition of Akt signaling. Mol. Pharmacol. 2005, 68, 502–510. [Google Scholar] [CrossRef] [PubMed]
  215. Piggott, A.M.; Karuso, P. Rapid identification of a protein binding partner for the marine natural product kahalalide F by using reverse chemical proteomics. ChemBioChem 2008, 9, 524–530. [Google Scholar] [CrossRef] [PubMed]
  216. Suárez, Y.; González, L.; Cuadrado, A.; Berciano, M.; Lafarga, M.; Muñoz, A. Kahalalide F, a new marine-derived compound, induces oncosis in human prostate and breast cancer cells. Mol. Cancer Ther. 2003, 2, 863–872. [Google Scholar] [PubMed]
  217. Sewell, J.M.; Mayer, I.; Langdon, S.P.; Smyth, J.F.; Jodrell, D.I.; Guichard, S.M. The mechanism of action of Kahalalide F: Variable cell permeability in human hepatoma cell lines. Eur. J. Cancer 2005, 41, 1637–1644. [Google Scholar] [CrossRef]
  218. Rawat, D.S.; Joshi, M.C.; Joshi, P.; Atheaya, H. Marine peptides and related compounds in clinical trial+. Anti-Cancer Agents Med. Chem. 2006, 6, 33–40. [Google Scholar] [CrossRef]
  219. Pardo, B.; Paz-Ares, L.; Tabernero, J.; Ciruelos, E.; García, M.; Salazar, R.; López, A.; Blanco, M.; Nieto, A.; Jimeno, J.; et al. Phase I clinical and pharmacokinetic study of kahalalide F administered weekly as a 1-hour infusion to patients with advanced solid tumors. Clin. Cancer Res. 2008, 14, 1116–1123. [Google Scholar] [CrossRef]
  220. Rademaker-Lakhai, J.M.; Horenblas, S.; Meinhardt, W.; Stokvis, E.; De Reijke, T.M.; Jimeno, J.M.; Lopez-Lazaro, L.; Lopez Martin, J.A.; Beijnen, J.H.; Schellens, J.H.M. Phase I clinical and pharmacokinetic study of Kahalalide F in patients with advanced androgen refractory prostate cancer. Clin. Cancer Res. 2005, 11, 1854–1862. [Google Scholar] [CrossRef]
  221. Salazar, R.; Cortés-Funes, H.; Casado, E.; Pardo, B.; López-Martín, A.; Cuadra, C.; Tabernero, J.; Coronado, C.; García, M.; Soto Matos-Pita, A.; et al. Phase i study of weekly kahalalide F as prolonged infusion in patients with advanced solid tumors. Cancer Chemother. Pharmacol. 2013, 72, 75–83. [Google Scholar] [CrossRef] [PubMed]
  222. Martín-Algarra, S.; Espinosa, E.; Rubió, J.; López, J.J.L.; Manzano, J.L.; Carrión, L.A.; Plazaola, A.; Tanovic, A.; Paz-Ares, L. Phase II study of weekly Kahalalide F in patients with advanced malignant melanoma. Eur. J. Cancer 2009, 45, 732–735. [Google Scholar] [CrossRef] [PubMed]
  223. Wyer, S.; Townsend, D.M.; Ye, Z.; Kourtidis, A.; Choo, Y.M.; de Barros, A.L.B.; Donia, M.S.; Hamann, M.T. Recent advances and limitations in the application of kahalalides for the control of cancer. Biomed. Pharmacother. 2022, 148, 112676. [Google Scholar] [CrossRef]
  224. Hosta, L.; Pla-Roca, M.; Arbiol, J.; López-Iglesias, C.; Samitier, J.; Cruz, L.J.; Kogan, M.J.; Albericio, F. Conjugation of Kahalalide F with gold nanoparticles to enhance in vitro antitumoral activity. Bioconjugate Chem. 2009, 20, 138–146. [Google Scholar] [CrossRef] [PubMed]
  225. Shilabin, A.G.; Hamann, M.T. In vitro and in vivo evaluation of select kahalalide F analogs with antitumor and antifungal activities. Bioorg. Med. Chem. 2011, 19, 6628–6632. [Google Scholar] [CrossRef] [PubMed]
  226. Ciavatta, M.L.; Devi, P.; Carbone, M.; Mathieu, V.; Kiss, R.; Casapullo, A.; Gavagnin, M. Kahalalide F analogues from the mucous secretion of Indian sacoglossan mollusc Elysia ornata. Tetrahedron 2016, 72, 625–631. [Google Scholar] [CrossRef]
  227. Cruz, L.J.; Cuevas, C.; Cañedo, L.M.; Giralt, E.; Albericio, F. Total solid-phase synthesis of marine cyclodepsipeptide IB-01212. J. Org. Chem. 2006, 71, 3339–3344. [Google Scholar] [CrossRef]
  228. Cruz, L.J.; Francesch, A.; Cuevas, C.; Albericio, F. Synthesis and structure-activity relationship of cytotoxic marine cyclodepsipeptide IB-01212 analogues. ChemMedChem 2007, 2, 1076–1084. [Google Scholar] [CrossRef]
  229. Nabika, R.; Oishi, S.; Misu, R.; Ohno, H.; Fujii, N. Synthesis of IB-01212 by multiple N-methylations of peptide bonds. Bioorg. Med. Chem. 2014, 22, 6156–6162. [Google Scholar] [CrossRef]
  230. Ojima, D.; Mine, H.; Iwasaki, A.; Suenaga, K. Total synthesis of janadolide. Tetrahedron Lett. 2018, 59, 1360–1362. [Google Scholar] [CrossRef]
  231. Athawale, P.R.; Jachak, G.R.; Shukla, A.; Shanmugam, D.; Reddy, D.S. Efforts to Access the Potent Antitrypanosomal Marine Natural Product Janadolide: Synthesis of Des-tert-butyl Janadolide and Its Biological Evaluation. ACS Omega 2018, 3, 2383–2389. [Google Scholar] [CrossRef] [PubMed]
Figure 1. Flow diagram of literature search (n = number of scientific articles).
Figure 1. Flow diagram of literature search (n = number of scientific articles).
Marinedrugs 21 00609 g001
Figure 2. Timeline of antiparasitic marine-derived cyclic peptides research.
Figure 2. Timeline of antiparasitic marine-derived cyclic peptides research.
Marinedrugs 21 00609 g002
Figure 3. Structures of cyclic peptides with antimalarial activity (121).
Figure 3. Structures of cyclic peptides with antimalarial activity (121).
Marinedrugs 21 00609 g003
Figure 4. Interaction of jasplakinolide (1) with PfAct1. (A) 1 (yellow) binds noncovalently to three actin subunits (magenta, blue, and cyan). (B) Tilted top view of 1 and amino acids involved in the interaction [173].
Figure 4. Interaction of jasplakinolide (1) with PfAct1. (A) 1 (yellow) binds noncovalently to three actin subunits (magenta, blue, and cyan). (B) Tilted top view of 1 and amino acids involved in the interaction [173].
Marinedrugs 21 00609 g004
Figure 5. Crystal structure of PfAp3Aase in complex with cyclomarin A (2) (PDB ID: 5CS2). Surface representation of the PfAp3Aase homodimer with the two monomers colored in gold and grey with the fitted cyclomarin A molecules shown as a ball-and-stick model in cyan (A) and orange (B) for the two, mutually exclusive orientations [133].
Figure 5. Crystal structure of PfAp3Aase in complex with cyclomarin A (2) (PDB ID: 5CS2). Surface representation of the PfAp3Aase homodimer with the two monomers colored in gold and grey with the fitted cyclomarin A molecules shown as a ball-and-stick model in cyan (A) and orange (B) for the two, mutually exclusive orientations [133].
Marinedrugs 21 00609 g005
Figure 6. Structures of cyclic peptides with leishmanicidal activity (2223).
Figure 6. Structures of cyclic peptides with leishmanicidal activity (2223).
Marinedrugs 21 00609 g006
Figure 7. Rationale for modifications in kahalalide F (22) and structures of synthetic analogues (22ag).
Figure 7. Rationale for modifications in kahalalide F (22) and structures of synthetic analogues (22ag).
Marinedrugs 21 00609 g007
Figure 8. Electron microscopy of L. donovani promastigotes treated with analogue 22c in a concentration that caused 95% lethality (5 µM). (A): control parasites; (B,C): promastigotes treated with 22c. Arrows highlight the formation of large vacuoles inside the parasites (Reprint with permission from [147], Copyright (2009) American Chemical Society).
Figure 8. Electron microscopy of L. donovani promastigotes treated with analogue 22c in a concentration that caused 95% lethality (5 µM). (A): control parasites; (B,C): promastigotes treated with 22c. Arrows highlight the formation of large vacuoles inside the parasites (Reprint with permission from [147], Copyright (2009) American Chemical Society).
Marinedrugs 21 00609 g008
Figure 9. Structures of cyclic peptides with antitrypanosomal activity (2425).
Figure 9. Structures of cyclic peptides with antitrypanosomal activity (2425).
Marinedrugs 21 00609 g009
Figure 10. Rationale for modifications in janadolide (24) and structures of simplified analogues (24ah).
Figure 10. Rationale for modifications in janadolide (24) and structures of simplified analogues (24ah).
Marinedrugs 21 00609 g010
Figure 11. Antiparasitic activities of marine-derived cyclic peptides and their percentages, highlighting the most promising for each activity.
Figure 11. Antiparasitic activities of marine-derived cyclic peptides and their percentages, highlighting the most promising for each activity.
Marinedrugs 21 00609 g011
Table 1. Marine-derived cyclic peptides with antiparasitic effects (125).
Table 1. Marine-derived cyclic peptides with antiparasitic effects (125).
PeptidesTypesSourcesOrganismsCountryAntiparasitic
Activities
Refs.
Jasplakinolide (1)Cyclic tridepsipeptideSpongeJaspis sp.Island of Benga, Fijiactive against P. falciparum, T. gondii, E. histolytica and E. invadens[127,128,129,130,131]
Cyclomarins
A–C (24)
Cyclic heptapeptidesBacteriaStreptomyces sp.United States (San Diego, CA)2: active against P. falciparum
4: active against multidrug-resistant P. falciparum strains
[132,133,134]
Venturamides A–B (56)Cyclic hexapeptidesCyanobacteriaOscillatoria sp.Panamaactive against P. falciparum, T. cruzi, and L. donovani[135]
Symplocamide A (7)Cyclic lipohexadepsipeptideCyanobacteriaSymploca sp.Papua New Guineaactive against P. falciparum, T. cruzi, L. donovani[136]
Mollamide B (8)Cyclic hexapeptideTunicateDidemnum molleManado Bay, Indonesiaactive against P. falciparum clones and L. donovani[137]
Lagunamides A and B (910)Cyclic pentadepsipeptidesCyanobacteriaLyngbya majusculaPulau Hantu Besar, Singaporeactive against P. falciparum[138]
Valinomycin (11)Cyclic dodecadepsipeptideBacteriaStreptomyces sp.Croatiaactive against P. falciparum, T. brucei and L. major[139,140]
Mollemycin A (12)Cyclic glyco-hexadepsipeptide-polyketideBacteriaStreptomyces sp.Australia, South Molle Island, Queenslandactive against P. falciparum[141]
Companeramides A and B (1314)Cyclic octadepsipeptidesCyanobacteriaLeptolyngbya sp.Coiba Island, Panamaactive against P. falciparum[142]
Dudawalamides A–D (1518)Cyclic hexadepsipeptidesCyanobacteriaMoorea producensPapua New Guinean1518: active against P. falciparum and L. donovani
18: active against T. cruzi
[143]
Kakeromamide B (19)Cyclic pentapeptideCyanobacteriaMoorea producensNorthern Lau Islands of Fijiactive against P. falciparum blood-stage and against P. berghei liver schizonts[144]
Ulongamide A (20)Cyclic tetradepsipeptideCyanobacteria(a) Lyngbya sp.
(b) Moorea producens
(a) and (b) Northern Lau Islands of Fijiactive against P. falciparum blood-stages[144]
Lyngbyabellin A (21)Cyclic tetradepsipeptideCyanobacteria(a) Lyngbya majuscula
(b) Moorea producens
(a) Northern Lau Islands of Fiji
(b) Finger’s Reef, Guam
active against P. falciparum blood-stages[144]
Kahalalide F (22)Cyclic dodecadepsipeptideMolluskElysia rufescensO’ahu, Hawaiiactive against L. donovani promastigotes, L. pifanoi promastigotes and amastigotes[145,146,147]
IB-01212 (23)Cyclic octadepsipeptideFungusClonostachys sp. ESNA-A009Japanactive against L. donovani promastigotes and L. pifanoi amastigotes[148,149]
Janadolide (24)Cyclic pentapolyketidepsipeptide hybridCyanobacteriaOkeania sp.Janado, Okinawaactive against T. b. brucei,
T. b. rhodesiense and T. cruzi
[150,151]
Motobamide (25)Cyclic decapeptideCyanobacteriaLeptolyngbya sp.Okinawa Island, Japanactive against bloodstream forms of T. b. rhodesiense[152]
Entamoeba histolytica (E. histolytica), Entamoeba invadens (E. invadens), Leishmania donovani (L. donovani), Leishmania major (L. major), Leishmania pifanoi (L. pifanoi), Plasmodium berghei (P. berghei), Plasmodium falciparum (P. falciparum), Toxoplasma gondii (T. gondii), Trypanosoma brucei (T. brucei), Trypanosoma brucei brucei (T. b. brucei), Trypanosoma brucei rhodesiense (T. b. rhodesiense), Trypanosoma cruzi (T. cruzi).
Disclaimer/Publisher’s Note: The statements, opinions and data contained in all publications are solely those of the individual author(s) and contributor(s) and not of MDPI and/or the editor(s). MDPI and/or the editor(s) disclaim responsibility for any injury to people or property resulting from any ideas, methods, instructions or products referred to in the content.

Share and Cite

MDPI and ACS Style

Ribeiro, R.; Costa, L.; Pinto, E.; Sousa, E.; Fernandes, C. Therapeutic Potential of Marine-Derived Cyclic Peptides as Antiparasitic Agents. Mar. Drugs 2023, 21, 609. https://doi.org/10.3390/md21120609

AMA Style

Ribeiro R, Costa L, Pinto E, Sousa E, Fernandes C. Therapeutic Potential of Marine-Derived Cyclic Peptides as Antiparasitic Agents. Marine Drugs. 2023; 21(12):609. https://doi.org/10.3390/md21120609

Chicago/Turabian Style

Ribeiro, Ricardo, Lia Costa, Eugénia Pinto, Emília Sousa, and Carla Fernandes. 2023. "Therapeutic Potential of Marine-Derived Cyclic Peptides as Antiparasitic Agents" Marine Drugs 21, no. 12: 609. https://doi.org/10.3390/md21120609

APA Style

Ribeiro, R., Costa, L., Pinto, E., Sousa, E., & Fernandes, C. (2023). Therapeutic Potential of Marine-Derived Cyclic Peptides as Antiparasitic Agents. Marine Drugs, 21(12), 609. https://doi.org/10.3390/md21120609

Note that from the first issue of 2016, this journal uses article numbers instead of page numbers. See further details here.

Article Metrics

Back to TopTop