Predicting the Feasibility of Curative Resection in Low Rectal Cancer: Insights from a Prospective Observational Study on Preoperative Magnetic Resonance Imaging Accuracy
Abstract
1. Introduction
2. Materials and Methods
- −
- Sagittal—this plane is used to locate the tumor and to plan the axial and coronal sequences;
- −
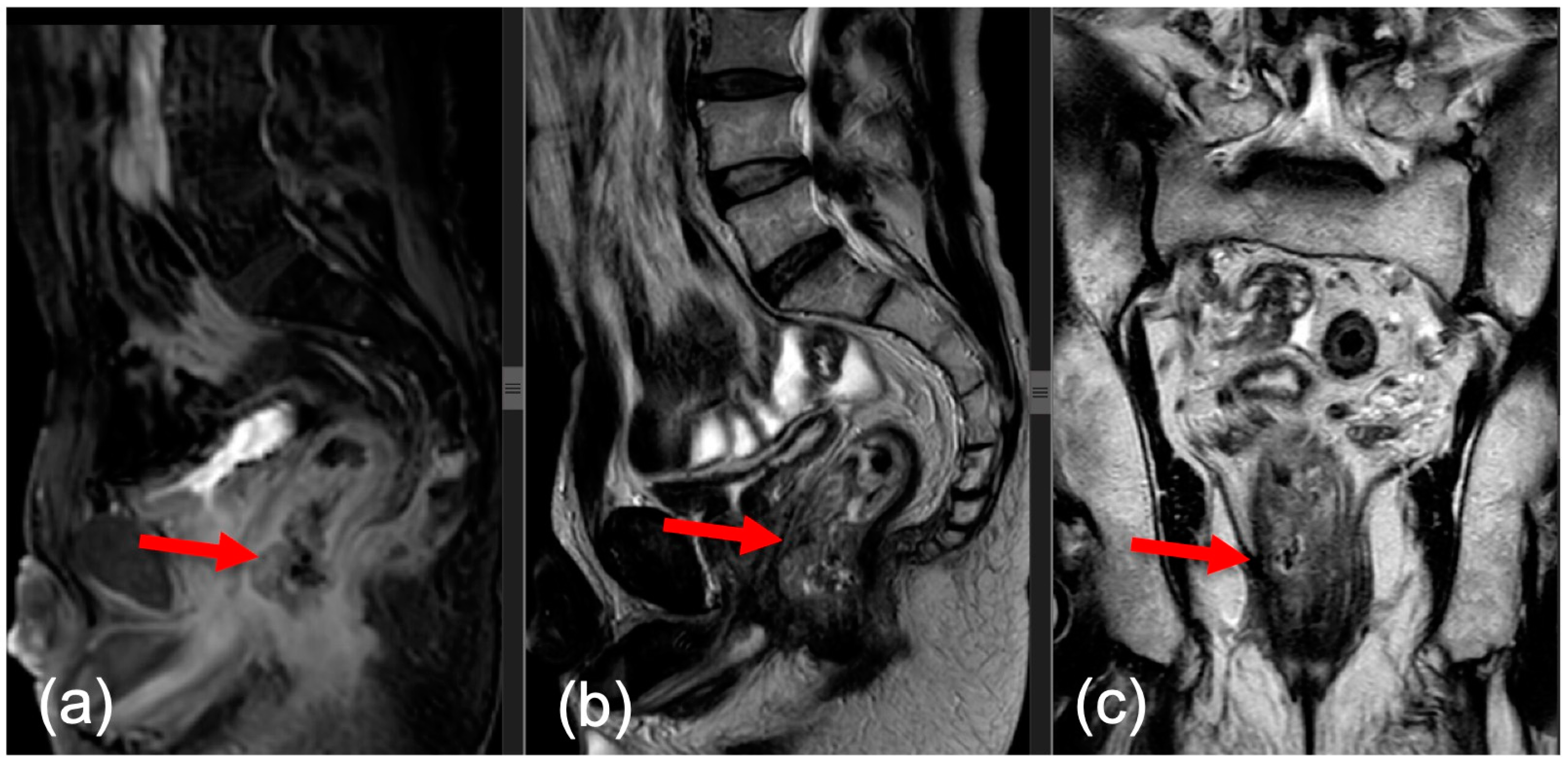
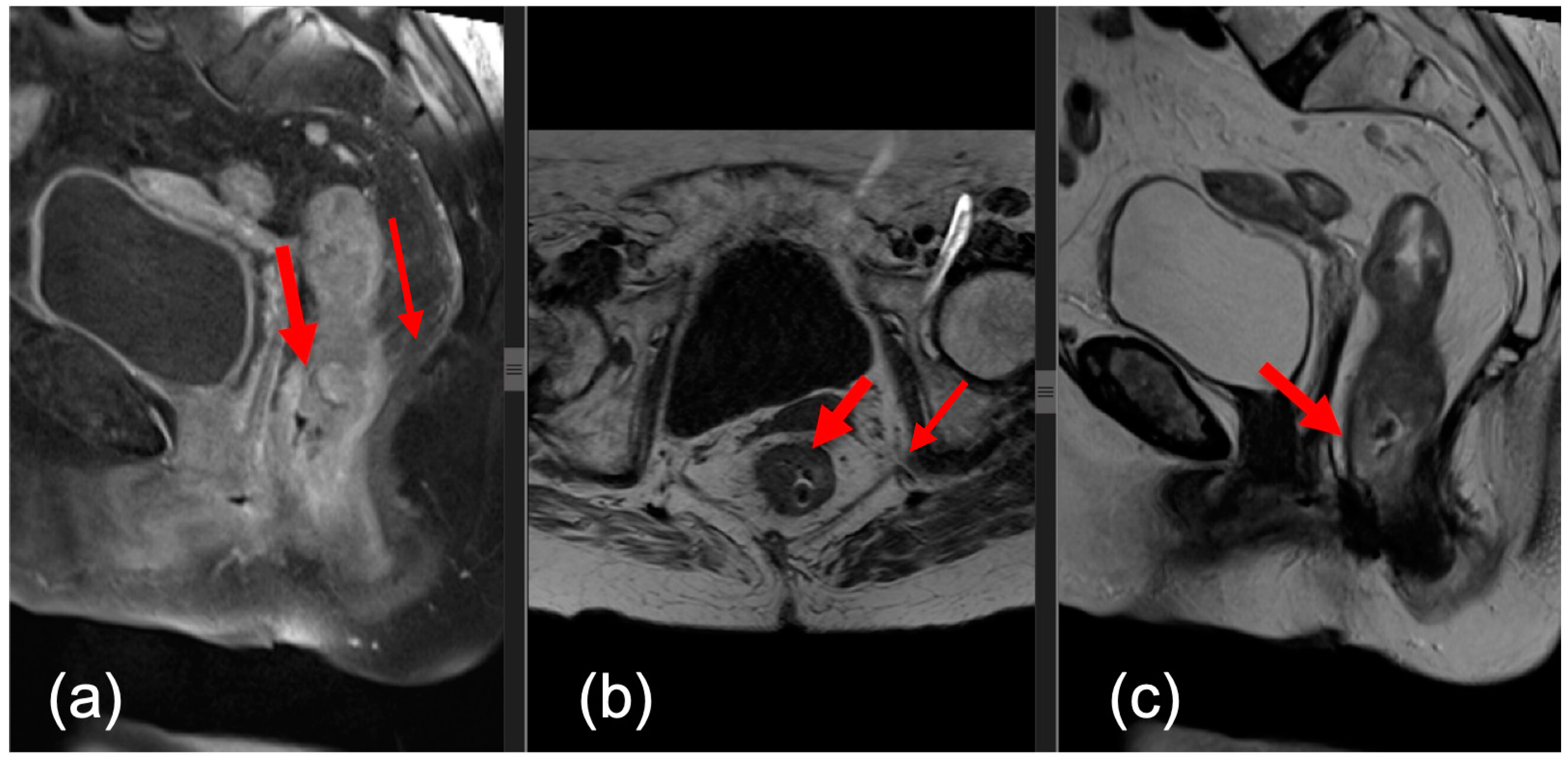
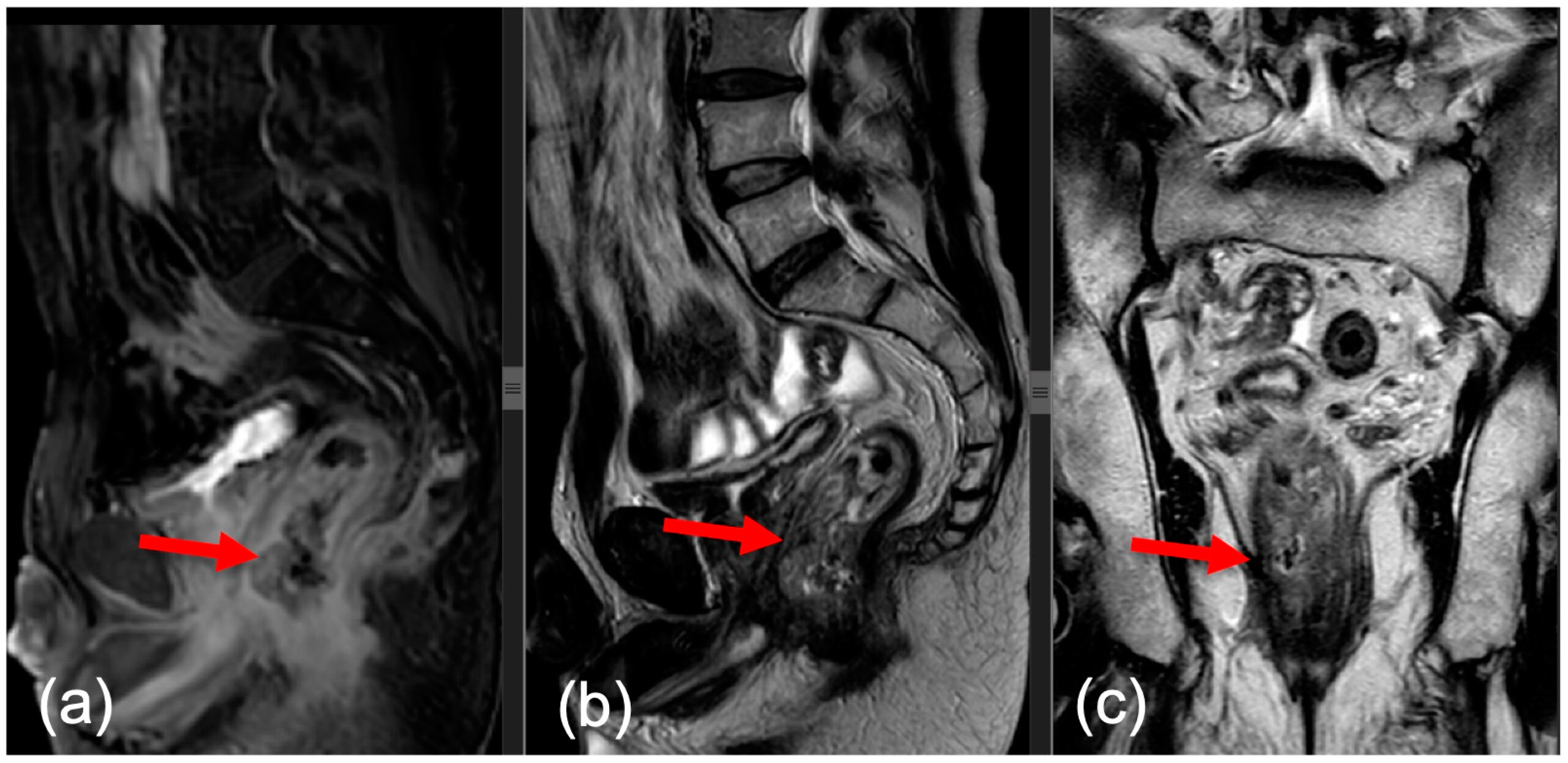
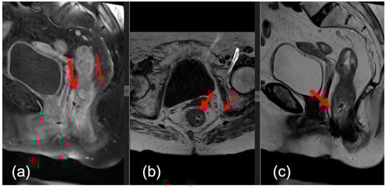
- Axial—the plane is angled perpendicular to the tumor to correctly visualize the extension of the tumor against the rectal wall, as well as the distance between the tumor and the mesorectal fascia (MRF);
- −
- Coronal—the plane is angled parallel to the axis of the tumor, which is perpendicular to the axial series.
3. Results
4. Discussion
5. Conclusions
Author Contributions
Funding
Institutional Review Board Statement
Informed Consent Statement
Data Availability Statement
Conflicts of Interest
References
- Siegel, R.L.; Miller, K.D.; Wagle, N.S.; Jemal, A. Cancer statistics, 2023. CA Cancer J Clin. 2023, 73, 17–48. [Google Scholar] [CrossRef]
- Tamas, K.; Walenkamp, A.M.; de Vries, E.G.; van Vugt, M.A.; Beets-Tan, R.G.; van Etten, B.; De Groot, D.J.A.; Hospers, G.A.P. Rectal and colon cancer: Not just a different anatomic site. Cancer Treat. Rev. 2015, 41, 671–679. [Google Scholar] [CrossRef]
- Ferlay, J.; Shin, H.R.; Bray, F.; Forman, D.; Mathers, C.; Parkin, D.M. Estimates of worldwide burden of cancer in 2008: GLOBOCAN 2008. Int. J. Cancer 2010, 127, 2893–2917. [Google Scholar] [CrossRef]
- Benson, A.B.; Venook, A.P.; Al-Hawary, M.M.; Azad, N.; Chen, Y.J.; Ciombor, K.K.; Cohen, S.; Cooper, H.S.; Deming, D.; Garrido-Laguna, I.; et al. Rectal Cancer, Version 2.2022, NCCN Clinical Practice Guidelines in Oncology. J. Natl. Compr. Canc Netw. 2022, 20, 1139–1167. [Google Scholar] [CrossRef]
- Fowler, K.J.; Kaur, H.; Cash, B.D.; Feig, B.W.; Gage, K.L.; Garcia, E.M.; Hara, A.K.; Herman, J.M.; Kim, D.H.; Lambert, D.L.; et al. ACR Appropriateness Criteria(®) Pretreatment Staging of Colorectal Cancer. J. Am. Coll. Radiol. 2017, 14, S234–S244. [Google Scholar] [CrossRef] [PubMed]
- Keller, D.S.; Berho, M.; Perez, R.O.; Wexner, S.D.; Chand, M. The multidisciplinary management of rectal cancer. Nat. Rev. Gastroenterol. Hepatol. 2020, 17, 414–429. [Google Scholar] [CrossRef]
- Wilkinson, N. Management of Rectal Cancer. Surg. Clin. North. Am. 2020, 100, 615–628. [Google Scholar] [CrossRef] [PubMed]
- Fernandes, M.C.; Gollub, M.J.; Brown, G. The importance of MRI for rectal cancer evaluation. Surg. Oncol. 2022, 43, 01739. [Google Scholar] [CrossRef] [PubMed]
- Kim, S.J.; Lee, Y.J.; Park, M.Y.; Yang, S.Y.; Han, Y.D.; Cho, M.S.; Hur, H.; Lee, K.Y.; Lim, J.S.; Min, B.S. Postchemoradiation magnetic resonance imaging circumferential resection margin predicts treatment failure after multidisciplinary directed sphincter preservation in low rectal cancer. J. Surg. Oncol. 2023, 128, 1365–1371. [Google Scholar] [CrossRef] [PubMed]
- Golfieri, R.; Giampalma, E.; Leo, P.; Colecchia, A.; Selleri, S.; Poggioli, G.; Gandolfi, L.; Gozzetti, G.; Trebbi, F.; Russo, A. Comparison of magnetic resonance (0,5 T), computed tomography, and endorectal ultrasonography in the preoperative staging of neoplasms of the rectum-sigma. Correlation with surgical and anatomopathologic findings. Radiol. Med. 1993, 85, 773–783. [Google Scholar] [PubMed]
- Battersby, N.J.; How, P.; Moran, B.; Stelzner, S.; West, N.P.; Branagan, G.; Strassburg, J.; Quirke, P.; Tekkis, P.; Pedersen, B.G.; et al. Prospective Validation of a Low Rectal Cancer Magnetic Resonance Imaging Staging System and Development of a Local Recurrence Risk Stratification Model: The MERCURY II Study. Ann. Surg. 2016, 263, 751–760. [Google Scholar] [CrossRef] [PubMed]
- Poulsen, L.; Yilmaz, M.K.; Oddershede, L.; Bøgsted, M.; Holt, G.; Eld, M.; Ljungmann, K.; Falkmer, U.G. Is the accuracy of preoperative MRI stage in rectal adenocarcinoma influenced by tumour height? Acta Oncol. 2018, 57, 728–734. [Google Scholar] [CrossRef] [PubMed]
- Longchamp, G.; Meyer, J.; Abbassi, Z.; Sleiman, M.; Toso, C.; Ris, F.; Buchs, N.C. Current Surgical Strategies for the Treatment of Rectal Adenocarcinoma and the Risk of Local Recurrence. Dig. Dis. 2021, 39, 325–333. [Google Scholar] [CrossRef] [PubMed]
- Bahadoer, R.R.; Dijkstra, E.A.; van Etten, B.; Marijnen, C.A.M.; Putter, H.; Kranenbarg, E.M.; Roodvoets, A.G.H.; Nagtegaal, I.D.; Beets-Tan, R.G.H.; Blomqvist, L.K.; et al. Short-course radiotherapy followed by chemotherapy before total mesorectal excision (TME) versus preoperative chemoradiotherapy, TME, and optional adjuvant chemotherapy in locally advanced rectal cancer (RAPIDO): A randomised, open-label, phase 3 trial. Lancet Oncol. 2021, 22, 29–42. [Google Scholar] [CrossRef] [PubMed]
- Okaro, A.C.; Worthington, T.; Stebbing, J.F.; Broughton, M.; Caffarey, S.; Marks, C.G. Curative resection for low rectal adenocarcinoma: Abdomino-perineal vs anterior resection. Colorectal Dis. 2006, 8, 645–649. [Google Scholar] [CrossRef]
- Park, J.S.; Lee, S.M.; Choi, G.S.; Park, S.Y.; Kim, H.J.; Song, S.H.; Min, B.S.; Kim, N.K.; Kim, S.H.; Lee, K.Y. Comparison of Laparoscopic Versus Robot-Assisted Surgery for Rectal Cancers: The COLRAR Randomized Controlled Trial. Ann. Surg. 2023, 278, 31–38. [Google Scholar] [CrossRef]
- Rullier, A.; Gourgou-Bourgade, S.; Jarlier, M.; Bibeau, F.; Chassagne-Clément, C.; Hennequin, C.; Tisseau, L.; Leroux, A.; Ettore, F.; Peoc’h, M.; et al. Predictive factors of positive circumferential resection margin after radiochemotherapy for rectal cancer: The French randomised trial ACCORD12/0405 PRODIGE 2. Eur. J. Cancer. 2013, 49, 82–89. [Google Scholar] [CrossRef]
- Healy, M.A.; Peacock, O.; Hu, C.Y.; Bednarski, B.K.; Tillman, M.M.; Messick, C.; Kaur, H.; Chang, G.J. High Rate of Positive Circumferential Resection Margin in Colon Cancer: A National Appraisal and Call for Action. Ann. Surg. 2022, 276, 1023–1028. [Google Scholar] [CrossRef]
- Hiranyakas, A.; da Silva, G.; Wexner, S.D.; Ho, Y.H.; Allende, D.; Berho, M. Factors influencing circumferential resection margin in rectal cancer. Colorectal Dis. 2013, 15, 298–303. [Google Scholar] [CrossRef]
- Rickles, A.S.; Dietz, D.W.; Chang, G.J.; Wexner, S.D.; Berho, M.E.; Remzi, F.H.; Greene, F.L.; Fleshman, J.W.; Abbas, M.A.; Peters, W.; et al. High Rate of Positive Circumferential Resection Margins Following Rectal Cancer Surgery: A Call to Action. Ann. Surg. 2015, 262, 891–898. [Google Scholar] [CrossRef]
- Nagtegaal, I.D.; Quirke, P. What is the role for the circumferential margin in the modern treatment of rectal cancer? J. Clin. Oncol. 2008, 26, 303–312. [Google Scholar] [CrossRef]
- Smith, N.J.; Barbachano, Y.; Norman, A.R.; Swift, R.I.; Abulafi, A.M.; Brown, G. Prognostic significance of magnetic resonance imaging-detected extramural vascular invasion in rectal cancer. Br. J. Surg. 2008, 95, 229–236. [Google Scholar] [CrossRef]
- Patra, A.; Baheti, A.D.; Ankathi, S.K.; Desouza, A.; Engineer, R.; Ostwal, V.; Ramaswamy, A.; Saklani, A. Can Post-Treatment MRI Features Predict Pathological Circumferential Resection Margin (pCRM) Involvement in Low Rectal Tumors. Indian J. Surg. Oncol. 2020, 11, 720–725. [Google Scholar] [CrossRef] [PubMed]
- Kim, T.H.; Firat, C.; Thompson, H.M.; Gangai, N.; Zheng, J.; Capanu, M.; Bates, D.D.B.; Paroder, V.; García-Aguilar, J.; Shia, J.; et al. Extramural Venous Invasion and Tumor Deposit at Diffusion-weighted MRI in Patients after Neoadjuvant Treatment for Rectal Cancer. Radiology 2023, 308, e230079. [Google Scholar] [CrossRef] [PubMed]
- Siddiqui, M.R.; Simillis, C.; Hunter, C.; Chand, M.; Bhoday, J.; Garant, A.; Vuong, T.; Artho, G.; Rasheed, S.; Tekkis, P.; et al. A meta-analysis comparing the risk of metastases in patients with rectal cancer and MRI-detected extramural vascular invasion (mrEMVI) vs mrEMVI-negative cases. Br. J. Cancer 2017, 116, 1513–1519. [Google Scholar] [CrossRef]
- Van den Broek, J.; van der Wolf, F.; Heijnen, L.; Schreurs, W. The prognostic importance of MRI detected extramural vascular invasion (mrEMVI) in locally advanced rectal cancer. Int. J. Color. Dis. 2020, 351, 849–854. [Google Scholar] [CrossRef] [PubMed]
- Zhang, X.-Y.; Wang, S.; Li, X.-T.; Wang, Y.-P.; Shi, Y.-J.; Wang, L.; Wu, A.-W.; Sun, Y.-S. MRI of extramural venous invasion in locally advanced rectal cancer: Relationship to tumor recurrence and overall survival. Radiology 2018, 289, 677–685. [Google Scholar] [CrossRef]
- Khan, M.A.S.; Ang, C.W.; Hakeem, A.R.; Scott, N.; Saunders, R.N.; Botterill, I. The impact of tumour distance from the anal verge on clinical management and outcomes in patients having a curative resection for rectal cancer. J. Gastrointest. Surg. 2017, 212, 056–065. [Google Scholar] [CrossRef]
- Ju, Y.; Zheng, L.; Qi, W.; Tian, G.; Lu, Y. Development of a joint prediction model based on both the radiomics and clinical factors for preoperative prediction of circumferential resection margin in middle-low rectal cancer using T2WI images. Med. Phys. 2023, 11, 1–15. [Google Scholar] [CrossRef]
- Reif de Paula, T.; Augestad, K.M.; Kiran, R.P.; Keller, D.S. Management of the positive pathologic circumferential resection margin in rectal cancer: A national cancer database (NCDB) study. Eur. J. Surg. Oncol. 2021, 47, 296–303. [Google Scholar] [CrossRef]
- Roscio, F.; Boni, L.; Clerici, F.; Frattini, P.; Cassinotti, E.; Scandroglio, I. Is laparoscopic surgery really effective for the treatment of colon and rectal cancer in very elderly over 80 years old? A prospective multicentric case–control assessment. Surg. Endosc. 2016, 30, 372–382. [Google Scholar] [CrossRef]
- Zeng, W.-G.; Zhou, Z.-X.; Hou, H.-R.; Liang, J.-W.; Zhou, H.-T.; Wang, Z.; Zhang, X.M.; Hu, J.J. Outcome of laparoscopic versus open resection for rectal cancer in elderly patients. J. Surg. Res. 2015, 193, 613–618. [Google Scholar] [CrossRef] [PubMed]
- Roodbeen, S.X.; de Lacy, F.B.; van Dieren, S.; Penna, M.; Ris, F.; Moran, B.; Tekkis, P.; Bemelman, W.A.; Hompes, R. Predictive Factors and Risk Model for Positive Circumferential Resection Margin Rate After Transanal Total Mesorectal Excision in 2653 Patients with Rectal Cancer. Ann. Surg. 2019, 270, 884–891. [Google Scholar] [CrossRef] [PubMed]
- Bordeianou, L.; Maguire, L.H.; Alavi, K.; Sudan, R.; Wise, P.E.; Kaiser, A.M. Sphincter-sparing surgery in patients with low-lying rectal cancer: Techniques, oncologic outcomes, and functional results. J. Gastrointest. Surg. 2014, 18, 1358–1372. [Google Scholar] [CrossRef]
- Herrinton, L.J.; Altschuler, A.; McMullen, C.K.; Bulkley, J.E.; Hornbrook, M.C.; Sun, V.; Wendel, C.S.; Grant, M.; Baldwin, C.M.; Demark-Wahnefried, W.; et al. Conversations for providers caring for patients with rectal cancer: Comparison of long-term patient-centered outcomes for patients with low rectal cancer facing ostomy or sphincter-sparing surgery. CA Cancer J. Clin. 2016, 66, 387–397. [Google Scholar] [CrossRef] [PubMed]
- Bates, D.D.B.; Homsi, M.E.; Chang, K.J.; Lalwani, N.; Horvat, N.; Sheedy, S.P. MRI for Rectal Cancer: Staging, mrCRM, EMVI, Lymph Node Staging and Post-Treatment Response. Clin. Colorectal Cancer 2022, 21, 10–18. [Google Scholar] [CrossRef] [PubMed]
- Shihab, O.C.; How, P.; West, N.; George, C.; Patel, U.; Quirke, P.; Heald, R.J.; Moran, B.J.; Brown, G. Can a novel MRI staging system for low rectal cancer aid surgical planning? Dis. Colon. Rectum 2011, 54, 1260–1264. [Google Scholar] [CrossRef]
- Zhu, H.B.; Wang, L.; Li, Z.Y.; Li, X.T.; Zhang, X.Y.; Sun, Y.S. Sphincter-preserving surgery for low-middle rectal cancer: Can we predict feasibility with high-resolution magnetic resonance imaging? Medicine 2017, 96, e7418. [Google Scholar] [CrossRef]
- Kim, H.J.; Song, J.H.; Ahn, H.S.; Choi, B.H.; Jeong, H.; Choi, H.S.; Lee, Y.H.; Kang, K.M.; Jeong, B.K. Wait and see approach for rectal cancer with a clinically complete response after neoadjuvant concurrent chemoradiotherapy. Int. J. Colorectal Dis. 2017, 32, 723–727. [Google Scholar] [CrossRef]
- Stefanou, A.J.; Dessureault, S.; Sanchez, J.; Felder, S. Clinical Tools for Rectal Cancer Response Assessment following Neoadjuvant Treatment in the Era of Organ Preservation. Cancers 2023, 15, 5535. [Google Scholar] [CrossRef]
- Harabor, V.; Mogos, R.; Nechita, A.; Adam, A.-M.; Adam, G.; Melinte-Popescu, A.-S.; Melinte-Popescu, M.; Stuparu-Cretu, M.; Vasilache, I.-A.; Mihalceanu, E.; et al. Machine Learning Approaches for the Prediction of Hepatitis B and C Seropositivity. Int. J. Environ. Res. Public Health 2023, 20, 2380. [Google Scholar] [CrossRef] [PubMed]
- Melinte-Popescu, A.-S.; Vasilache, I.-A.; Socolov, D.; Melinte-Popescu, M. Predictive Performance of Machine Learning-Based Methods for the Prediction of Preeclampsia—A Prospective Study. J. Clin. Med. 2023, 12, 418. [Google Scholar] [CrossRef] [PubMed]
- Vicoveanu, P.; Vasilache, I.A.; Scripcariu, I.S.; Nemescu, D.; Carauleanu, A.; Vicoveanu, D.; Covali, A.R.; Filip, C.; Socolov, D. Use of a Feed-Forward Back Propagation Network for the Prediction of Small for Gestational Age Newborns in a Cohort of Pregnant Patients with Thrombophilia. Diagnostics 2022, 12, 1009. [Google Scholar] [CrossRef] [PubMed]
- Adam, A.M.; Popa, R.F.; Vaduva, C.; Georgescu, C.V.; Adam, G.; Melinte-Popescu, A.S.; Popa, C.; Socolov, D.; Nechita, A.; Vasilache, I.A.; et al. Pregnancy Outcomes, Immunophenotyping and Immunohistochemical Findings in a Cohort of Pregnant Patients with COVID-19-A Prospective Study. Diagnostics 2023, 13, 1345. [Google Scholar] [CrossRef] [PubMed]
- Zonda, G.I.; Mogos, R.; Melinte-Popescu, A.S.; Adam, A.M.; Harabor, V.; Nemescu, D.; Socolov, D.; Harabor, A.; Melinte-Popescu, M.; Hincu, M.A.; et al. Hematologic Risk Factors for the Development of Retinopathy of Prematurity-A Retrospective Study. Children 2023, 10, 567. [Google Scholar] [CrossRef] [PubMed]
- Melinte-Popescu, A.S.; Popa, R.F.; Harabor, V.; Nechita, A.; Harabor, A.; Adam, A.M.; Vasilache, I.-A.; Melinte-Popescu, M.; Vaduva, C.; Socolov, D. Managing Fetal Ovarian Cysts: Clinical Experience with a Rare Disorder. Medicina 2023, 59, 715. [Google Scholar] [CrossRef]
- Wang, D.; Xu, J.; Zhang, Z.; Li, S.; Zhang, X.; Zhou, Y.; Zhang, X.; Lu, Y. Evaluation of Rectal Cancer Circumferential Resection Margin Using Faster Region-Based Convolutional Neural Network in High-Resolution Magnetic Resonance Images. Dis. Colon. Rectum 2020, 63, 143–151. [Google Scholar] [CrossRef]
- Xu, J.H.; Zhou, X.M.; Ma, J.L.; Liu, S.S.; Zhang, M.S.; Zheng, X.F.; Zhang, X.Y.; Liu, G.W.; Zhang, X.X.; Lu, Y.; et al. [Application of convolutional neural network to risk evaluation of positive circumferential resection margin of rectal cancer by magnetic resonance imaging]. Zhonghua Wei Chang. Wai Ke Za Zhi 2020, 23, 572–577. [Google Scholar]
- Sugimoto, K.; Takahashi, H.; Ii, Y.; Irie, T.; Kawaguchi, M.; Kobari, A.; Amemiya, K.; Tsuchiya, Y.; Motegi, S.; Tsukamoto, R.; et al. Positive Circumferential Resection Margin in Rectal Cancer Is a Robust Predictor of Poor Long-term Prognosis with Clinicopathological Bias Between Groups Compensated by Propensity-score Matching Analysis. Anticancer Res. 2023, 43, 3623–3630. [Google Scholar] [CrossRef]
- Liu, Q.; Luo, D.; Cai, S.; Li, Q.; Li, X. Circumferential resection margin as a prognostic factor after rectal cancer surgery: A large population-based retrospective study. Cancer Med. 2018, 7, 3673–3681. [Google Scholar] [CrossRef] [PubMed]
- Detering, R.; Rutgers, M.L.W.; Bemelman, W.A.; Hompes, R.; Tanis, P.J. Prognostic importance of circumferential resection margin in the era of evolving surgical and multidisciplinary treatment of rectal cancer: A systematic review and meta-analysis. Surgery 2021, 170, 412–431. [Google Scholar] [CrossRef] [PubMed]
- Hamabe, A.; Ishii, M.; Kamoda, R.; Sasuga, S.; Okuya, K.; Okita, K.; Akizuki, E.; Sato, Y.; Miura, R.; Onodera, K.; et al. Artificial intelligence-based technology for semi-automated segmentation of rectal cancer using high-resolution MRI. PLoS ONE 2022, 17, e0269931. [Google Scholar] [CrossRef] [PubMed]
- Wang, P.P.; Deng, C.L.; Wu, B. Magnetic resonance imaging-based artificial intelligence model in rectal cancer. World J. Gastroenterol. 2021, 27, 2122–2130. [Google Scholar] [CrossRef] [PubMed]






| Variable | pCRM Positive (Group 1, n = 9 Patients) | pCRM Negative (Group 2, n = 103 Patients) | p Value |
|---|---|---|---|
| Age, years (mean ± SD) | 68.61 ± 9.45 | 61.33 ± 12.30 | 0.03 |
| Gender (n/%) | Male = 6 (66.67%) Female = 3 (33.33%) | Male = 64 (62.14%) Female = 39 (37.86%) | 0.07 |
| Medium (n/%) | Urban = 5 (55.5%) Rural = 4 (44.4%) | Urban = 42 (40.78%) Rural = 61 (59.2%) | 0.74 |
| BMI, kg/m2 (mean ± SD) | 24.10 ± 3.82 | 24.14 ± 3.9 | 0.89 |
| Smoking (n/%) | Yes = 2 (22.22%) | Yes = 15 (14.56%) | 0.53 |
| Positive mCRM (n/%) | Yes = 6 (66.67%) | Yes = 20 (19.42%) | 0.001 |
| Positive EMVI (n/%) | Yes = 7 (77.78%) | Yes = 13 (12.62%) | <0.001 |
| Location (n/%) | Anterior = 5 (55.56%) Other = 4 (44.44%) | Anterior = 20 (19.42%) Other = 83 (80.58%) | 0.01 |
| Distance from anal verge (n/%) | <4 cm = 5 (55.56%) >4 cm = 4 (44.44%) | <4 cm = 40 (38.83%) >4 cm = 63 (61.17%) | 0.32 |
| Predictor | RR | Standard Error | 95% CI (Lower Bound and Upper Bound) | p Value |
|---|---|---|---|---|
| mCRM | 2.78 | 1.32 | 1.09–7.05 | 0.03 |
| mrEMVI | 40.97 | 28.46 | 10.49–59.89 | <0.001 |
| Anterior location | 1.54 | 0.46 | 0.44–3.48 | <0.001 |
| Less than 4 cm from anal verge | 0.78 | 0.37 | 0.30–1.98 | 0.609 |
| Index Test | Se (%) | SP (%) | NPV (%) | AUC | Accuracy |
|---|---|---|---|---|---|
| mCRM | 66.67 | 80.58 | 96.51 | 0.736 | 79.46 |
| mrEMVI | 77.78 | 87.38 | 97.83 | 0.825 | 86.61 |
| Anterior location | 44.44 | 80.58 | 94.32 | 0.625 | 77.68 |
| Less than 4 cm from anal verge | 66.67 | 61.17 | 95.45 | 0.639 | 61.61 |
| mCRM+ mrEMVI (model 1) | 55.56 | 87.50 | 95.79 | 0.7153 | 84.96 |
| mCRM+ anterior location (model 2) | 44.44 | 80.77 | 94.38 | 0.626 | 77.88 |
| mCRM+ < 4 cm from anal verge (model 3) | 55.56 | 81.73 | 95.51 | 0.686 | 79.65 |
| mrEMVI+ anterior location (model 4) | 44.44 | 87.50 | 94.79 | 0.659 | 84.07 |
| mrEMVI+ < 4 cm from anal verge (model 5) | 55.56 | 88.46 | 95.83 | 0.720 | 85.84 |
| mCRM+ mrEMVI+ anterior location (model 6) | 44.44 | 88.46 | 94.85 | 0.664 | 84.96 |
| mrEMVI+ anterior location+ < 4 cm from anal verge (model 7) | 55.56 | 88.46 | 95.83 | 0.720 | 85.84 |
| mCRM+ mrEMVI+ anterior location+ < 4 cm from anal verge (model 8) | 66.67 | 88.46 | 96.84 | 0.775 | 86.73 |
Disclaimer/Publisher’s Note: The statements, opinions and data contained in all publications are solely those of the individual author(s) and contributor(s) and not of MDPI and/or the editor(s). MDPI and/or the editor(s) disclaim responsibility for any injury to people or property resulting from any ideas, methods, instructions or products referred to in the content. |
© 2024 by the authors. Licensee MDPI, Basel, Switzerland. This article is an open access article distributed under the terms and conditions of the Creative Commons Attribution (CC BY) license (https://creativecommons.org/licenses/by/4.0/).
Share and Cite
Volovat, C.-C.; Scripcariu, D.-V.; Boboc, D.; Volovat, S.-R.; Vasilache, I.-A.; Lupascu-Ursulescu, C.; Gheorghe, L.; Baean, L.-M.; Volovat, C.; Scripcariu, V. Predicting the Feasibility of Curative Resection in Low Rectal Cancer: Insights from a Prospective Observational Study on Preoperative Magnetic Resonance Imaging Accuracy. Medicina 2024, 60, 330. https://doi.org/10.3390/medicina60020330
Volovat C-C, Scripcariu D-V, Boboc D, Volovat S-R, Vasilache I-A, Lupascu-Ursulescu C, Gheorghe L, Baean L-M, Volovat C, Scripcariu V. Predicting the Feasibility of Curative Resection in Low Rectal Cancer: Insights from a Prospective Observational Study on Preoperative Magnetic Resonance Imaging Accuracy. Medicina. 2024; 60(2):330. https://doi.org/10.3390/medicina60020330
Chicago/Turabian StyleVolovat, Cristian-Constantin, Dragos-Viorel Scripcariu, Diana Boboc, Simona-Ruxandra Volovat, Ingrid-Andrada Vasilache, Corina Lupascu-Ursulescu, Liliana Gheorghe, Luiza-Maria Baean, Constantin Volovat, and Viorel Scripcariu. 2024. "Predicting the Feasibility of Curative Resection in Low Rectal Cancer: Insights from a Prospective Observational Study on Preoperative Magnetic Resonance Imaging Accuracy" Medicina 60, no. 2: 330. https://doi.org/10.3390/medicina60020330
APA StyleVolovat, C.-C., Scripcariu, D.-V., Boboc, D., Volovat, S.-R., Vasilache, I.-A., Lupascu-Ursulescu, C., Gheorghe, L., Baean, L.-M., Volovat, C., & Scripcariu, V. (2024). Predicting the Feasibility of Curative Resection in Low Rectal Cancer: Insights from a Prospective Observational Study on Preoperative Magnetic Resonance Imaging Accuracy. Medicina, 60(2), 330. https://doi.org/10.3390/medicina60020330

