Expediting the Rehabilitation of Severely Resorbed Ridges Using a Combination of CAD-CAM and Analog Techniques: A Case Report
Abstract
1. Introduction
2. Materials and Methods
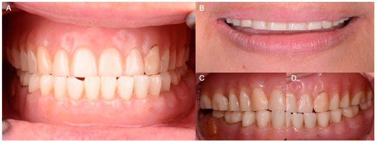
3. Results
4. Discussion
5. Conclusions
Author Contributions
Funding
Institutional Review Board Statement
Informed Consent Statement
Data Availability Statement
Conflicts of Interest
References
- Pham, N.Q.; Gonda, T.; Maeda, Y.; Ikebe, K. Average rate of ridge resorption in denture treatment: A Systematic Review. J Prosthodont. Res. 2021, 65, 429–437. [Google Scholar] [CrossRef] [PubMed]
- Taylor, M.; Masood, M.; Mnatzaganian, G. Longevity of complete dentures: A systematic review and meta-analysis. J. Prosthet. Dent. 2021, 125, 611–619. [Google Scholar] [CrossRef] [PubMed]
- Santos, F.R.S.; Munhoz, M.F.V.; Alves, L.H.T.; Tavares, M.; Paleari, A.G.; Camargos, G.V. Risk factors for mandibular bone resorption in complete denture wearers. Gen. Dent. 2019, 67, 58–62. [Google Scholar] [PubMed]
- Buser, D.; Sennerby, L.; De Bruyn, H. Modern implant dentistry based on osseointegration: 50 years of progress, current trends and open questions. Periodontol. 2000 2017, 73, 7–21. [Google Scholar] [CrossRef] [PubMed]
- Raszewski, Z.; Nowakowska-Toporowska, A.; Nowakowska, D.; Więckiewicz, W. Update on Acrylic Resins Used in Dentistry. Mini-Rev. Med. Chem. 2021, 21, 2130–2137. [Google Scholar] [CrossRef] [PubMed]
- Zafar, M.S. Prosthodontic Applications of Polymethyl Methacrylate (PMMA): An Update. Polymers 2020, 12, 2299. [Google Scholar] [CrossRef] [PubMed]
- Alqutaibi, A.Y.; Baik, A.; Almuzaini, S.A.; Farghal, A.E.; Alnazzawi, A.A.; Borzangy, S.; Aboalrejal, A.N.; AbdElaziz, M.H.; Mahmoud, I.I.; Zafar, M.S. Polymeric Denture Base Materials: A Review. Polymers 2023, 15, 3258. [Google Scholar] [CrossRef]
- John, J.; Gangadhar, S.A.; Shah, I. Flexural strength of heat-polymerized polymethyl methacrylate denture resin reinforced with glass, aramid, or nylon fibers. J. Prosthet. Dent. 2001, 86, 424–427. [Google Scholar] [CrossRef]
- Kelk, P.; Fasth, A.; Holgerson, P.; Sjöström, M. Successful complete oral rehabilitation of a patient with osteopetrosis with extensive pre-treatments, bone grafts, dental implants and fixed bridges: A multidisciplinary case report. BMC Oral Health 2023, 23, 940. [Google Scholar] [CrossRef]
- Prpic, V.; Catic, A.; Kraljevic Simunkovic, S.; Bergman, L.; Cimic, S. The Shear Bond Strength between Milled Denture Base Materials and Artificial Teeth: A Systematic Review. Dent. J. 2023, 11, 66. [Google Scholar] [CrossRef]
- Patil, S.B.; Naveen, B.H.; Patil, N.P. Bonding acrylic teeth to acrylic resin denture bases: A review. Gerodontology 2006, 23, 131–139. [Google Scholar] [CrossRef]
- Jensen, O.T.; Adams, M.W.; Cottam, J.R.; Parel, S.M.; Phillips, W.R. The all on 4 shelf: Mandible. J. Oral Maxillofac. Surg. 2011, 69, 175–181. [Google Scholar] [CrossRef]
- Shi, Y.; Wang, J.; Ma, C.; Shen, J.; Dong, X.; Lin, D. A systematic review of the accuracy of digital surgical guides for dental implantation. Int. J. Implant Dent. 2023, 9, 38. [Google Scholar] [CrossRef]
- Witherington, T.; Cheung, A.; Nagy, L.; Brewer, L. Enhanced Implant Case Planning Using Dual Scan CBCT of an Existing Prosthesis: Report of a Case. J. Oral Implantol. 2017, 43, 381–386. [Google Scholar] [CrossRef]
- Papaspyridakos, P.; Chochlidakis, K.; Kang, K.; Chen, Y.-W.; Alghfeli, A.; Kudara, Y.; Weber, H.-P. Digital Workflow for Implant Rehabilitation with Double Full-Arch Monolithic Zirconia Prostheses. J. Prosthodont. 2020, 29, 460–465. [Google Scholar] [CrossRef] [PubMed]
- Messias, A.; Karasan, D.; Nicolau, P.; Pjetursson, B.E.; Guerra, F. Rehabilitation of full-arch edentulism with fixed or removable dentures retained by root-form dental implants: A systematic review of outcomes and outcome measures used in clinical research in the last 10 years. Clin. Oral Implant. Res. 2023, 34 (Suppl. S25), 38–54. [Google Scholar] [CrossRef] [PubMed]
- Saaedi, T.M.A.S.E.; Thabet, Y.G.; Sabet, M.E. Evaluation of Accuracy and Position of Milled and 3D-Printed Teeth in Digital Complete Dentures. Int. J. Prosthodont. 2023, 36, 781–786. [Google Scholar] [CrossRef] [PubMed]
- Helal, M.A.; Fadl-Alah, A.; Baraka, Y.M.; Gad, M.M.; Emam, A.M. In-vitro comparative evaluation for the surface properties and impact strength of CAD/CAM milled, 3D printed, and polyamide denture base resins. J. Int. Soc. Prev. Community Dent. 2022, 12, 126–131. [Google Scholar] [CrossRef]
- Al-Dwairi, Z.N.; Al Haj Ebrahim, A.A.; Baba, N.Z. A comparison of the surface and mechanical properties of 3D printable denture-base resin material and conventional polymethylmethacrylate (PMMA). J. Prosthodont. 2023, 32, 40–48. [Google Scholar] [CrossRef]
- Feng, Y.; Ma, S.; Zhong, S.; Niu, L.; Feng, Z. A method to improve positioning of denture teeth on denture bases for CAD-CAM complete dentures: A dental technique. J. Prosthet. Dent. 2023. [Google Scholar] [CrossRef] [PubMed]
- Lo Russo, L.; Salamini, A.; Troiano, G.; Guida, L. Digital dentures: A protocol based on intraoral scans. J. Prosthet. Dent. 2021, 125, 597–602. [Google Scholar] [CrossRef] [PubMed]
- Wang, C.; Shi, Y.F.; Xie, P.J.; Wu, J.H. Accuracy of digital complete dentures: A systematic review of in vitro studies. J. Prosthet. Dent. 2021, 125, 249–256. [Google Scholar] [CrossRef] [PubMed]
- Azpiazu-Flores, F.X.; Lee, D.J.; Jurado, C.A.; Afrashtehfar, K.I.; Alhotan, A.; Tsujimoto, A. Full-Mouth Rehabilitation of a Patient with Sjogren’s Syndrome with Maxillary Titanium-Zirconia and Mandibular Monolithic Zirconia Implant Prostheses Fabricated with CAD/CAM Technology: A Clinical Report. J. Funct. Biomater. 2023, 14, 174. [Google Scholar] [CrossRef] [PubMed]
- Gallo, S.; Pascadopoli, M.; Pellegrini, M.; Pulicari, F.; Manfredini, M.; Zampetti, P.; Spadari, F.; Maiorana, C.; Scribante, A. CAD/CAM Abutments versus Stock Abutments: An Update Review. Prosthesis 2022, 4, 468–479. [Google Scholar] [CrossRef]
- Azpiazu-Flores, F.X.; Knobloch, L.A.; Larsen, P.E. Interdisciplinary Management of a Patient with Dentinogenesis Imperfecta Type II Using a Combination of CAD-CAM and Analog Techniques: A Clinical Report. J. Prosthodont. 2022, 31, 647–654. [Google Scholar] [CrossRef] [PubMed]
- Azpiazu-Flores, F.X.; Lee, D.J.; Jurado, C.A.; Nurrohman, H. 3D-Printed Overlay Template for Diagnosis and Planning Complete Arch Implant Prostheses. Healthcare 2023, 11, 1062. [Google Scholar] [CrossRef]
- Ting-shu, S.; Jian, S. Intraoral Digital Impression Technique: A Review. J. Prosthodont. 2015, 24, 313–321. [Google Scholar] [CrossRef]
- Li, H.; Lyu, P.; Wang, Y.; Sun, Y. Influence of object translucency on the scanning accuracy of a powder-free intraoral scanner: A laboratory study. J. Prosthet. Dent. 2017, 117, 93–101. [Google Scholar] [CrossRef]
- Passos, L.; Meiga, S.; Brigagão, V.; Street, A. Impact of different scanning strategies on the accuracy of two current intraoral scanning systems in complete-arch impressions: An in vitro study. Int. J. Comput. Dent. 2019, 22, 307–319. [Google Scholar] [PubMed]
- Joda, T.; Zarone, F.; Ferrari, M. The complete digital workflow in fixed prosthodontics: A systematic review. BMC Oral Health 2017, 17, 124. [Google Scholar] [CrossRef] [PubMed]
- Casucci, A.; Verniani, G.; Barbieri, A.L.; Ricci, N.M.; Ferrari Cagidiaco, E.; Ferrari, M. Flexural Strength Analysis of Different Complete Denture Resin-Based Materials Obtained by Conventional and Digital Manufacturing. Materials 2023, 16, 6559. [Google Scholar] [CrossRef]
- Thu, K.M.; Molinero-Mourelle, P.; Yeung, A.W.K.; Abou-Ayash, S.; Lam, W.Y.H. Which clinical and laboratory procedures should be used to fabricate digital complete dentures? A systematic review. J. Prosthet. Dent. 2023. [Google Scholar] [CrossRef] [PubMed]
- Srinivasan, M.; Kalberer, N.; Fankhauser, N.; Naharro, M.; Maniewicz, S.; Müller, F. CAD-CAM complete removable dental prostheses: A double-blind, randomized, crossover clinical trial evaluating milled and 3D-printed dentures. J. Dent. 2021, 115, 103842. [Google Scholar] [CrossRef] [PubMed]
- AlHelal, A.; AlRumaih, H.S.; Kattadiyil, M.T.; Baba, N.Z.; Goodacre, C.J. Comparison of retention between maxillary milled and conventional denture bases: A clinical study. J. Prosthet. Dent. 2017, 117, 233–238. [Google Scholar] [CrossRef] [PubMed]








Disclaimer/Publisher’s Note: The statements, opinions and data contained in all publications are solely those of the individual author(s) and contributor(s) and not of MDPI and/or the editor(s). MDPI and/or the editor(s) disclaim responsibility for any injury to people or property resulting from any ideas, methods, instructions or products referred to in the content. |
© 2024 by the authors. Licensee MDPI, Basel, Switzerland. This article is an open access article distributed under the terms and conditions of the Creative Commons Attribution (CC BY) license (https://creativecommons.org/licenses/by/4.0/).
Share and Cite
Jurado, C.A.; Azpiazu-Flores, F.X.; Fu, C.-C.; Rojas-Rueda, S.; Guzman-Perez, G.; Floriani, F. Expediting the Rehabilitation of Severely Resorbed Ridges Using a Combination of CAD-CAM and Analog Techniques: A Case Report. Medicina 2024, 60, 260. https://doi.org/10.3390/medicina60020260
Jurado CA, Azpiazu-Flores FX, Fu C-C, Rojas-Rueda S, Guzman-Perez G, Floriani F. Expediting the Rehabilitation of Severely Resorbed Ridges Using a Combination of CAD-CAM and Analog Techniques: A Case Report. Medicina. 2024; 60(2):260. https://doi.org/10.3390/medicina60020260
Chicago/Turabian StyleJurado, Carlos A., Francisco X. Azpiazu-Flores, Chin-Chuan Fu, Silvia Rojas-Rueda, Gerardo Guzman-Perez, and Franciele Floriani. 2024. "Expediting the Rehabilitation of Severely Resorbed Ridges Using a Combination of CAD-CAM and Analog Techniques: A Case Report" Medicina 60, no. 2: 260. https://doi.org/10.3390/medicina60020260
APA StyleJurado, C. A., Azpiazu-Flores, F. X., Fu, C.-C., Rojas-Rueda, S., Guzman-Perez, G., & Floriani, F. (2024). Expediting the Rehabilitation of Severely Resorbed Ridges Using a Combination of CAD-CAM and Analog Techniques: A Case Report. Medicina, 60(2), 260. https://doi.org/10.3390/medicina60020260

