Perimyocarditis Associated with Immune Checkpoint Inhibitors: A Case Report and Review of the Literature
Abstract
1. Introduction
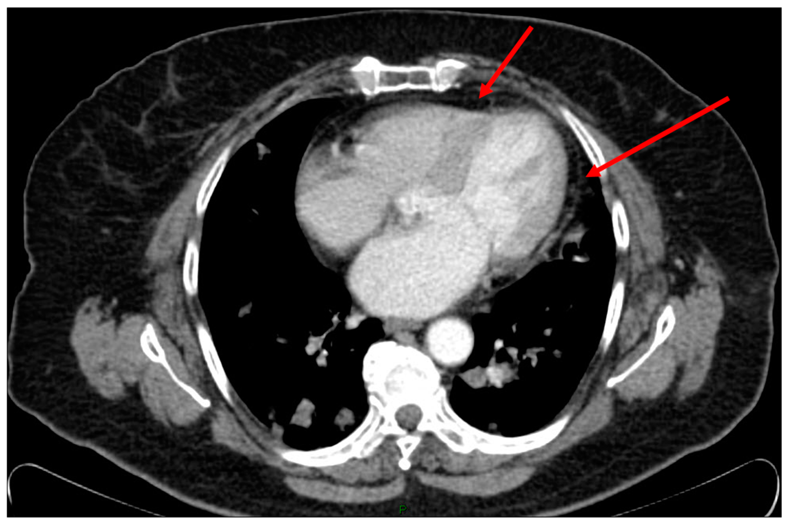
2. Case Study
3. Diagnosis
4. Management and Treatment
5. Types of Cardiac Toxicity Associated with Immune Checkpoint Inhibitors
5.1. Pericarditis
5.2. Myocarditis
5.3. Arrhythmias
5.4. Takotsubo Cardiomyopathy
6. Types of Immune Checkpoint Inhibitors Associated with Cardiac Toxicity
6.1. PD-1 Inhibitors
6.1.1. Pembrolizumab
6.1.2. Nivolumab
6.1.3. Cemiplimab
6.2. Anti CTLA-4
Ipilimumab
6.3. PDL-1 Inhibitors
6.3.1. Durvalumab
6.3.2. Atezolizumab
6.3.3. Avelumab
7. Screening and Surveillance
8. Discussion
9. Conclusions
Author Contributions
Funding
Institutional Review Board Statement
Informed Consent Statement
Data Availability Statement
Acknowledgments
Conflicts of Interest
References
- Shalata, W.; Zolnoorian, J.; Migliozzi, G.; Abu Jama, A.; Dudnik, Y.; Cohen, A.Y.; Meirovitz, A.; Yakobson, A. Long-Lasting Therapeutic Response following Treatment with Pembrolizumab in Patients with Non-Small Cell Lung Cancer: A Real-World Experience. Int. J. Mol. Sci. 2023, 24, 5938. [Google Scholar] [CrossRef]
- Shalata, W.; Yakobson, A.; Weissmann, S.; Oscar, E.; Iraqi, M.; Kian, W.; Peled, N.; Agbarya, A. Crizotinib in MET Exon 14-Mutated or MET-Amplified in Advanced Disease Non-Small Cell Lung Cancer: A Retrospective, Single Institution Experience. Oncology 2022, 100, 467–474. [Google Scholar] [CrossRef]
- Shalata, W.; Yakobson, A.; Dudnik, Y.; Swaid, F.; Ahmad, M.S.; Abu Jama, A.; Cohen, A.Y.; Agbarya, A. Multi-Center Real-World Outcomes of Nivolumab Plus Ipilimumab and Chemotherapy in Patients with Metastatic Non-Small-Cell Lung Cancer. Biomedicines 2023, 11, 2438. [Google Scholar] [CrossRef]
- Johnson, D.B.; Balko, J.M.; Compton, M.L.; Chalkias, S.; Gorham, J.; Xu, Y.; Hicks, M.; Puzanov, I.; Alexander, M.R.; Bloomer, T.L.; et al. Fulminant Myocarditis with Combination Immune Checkpoint Blockade. N. Engl. J. Med. 2016, 375, 1749–1755. [Google Scholar] [CrossRef]
- Nso, N.; Antwi-Amoabeng, D.; Beutler, B.D.; Ulanja, M.B.; Ghuman, J.; Hanfy, A.; Nimo-Boampong, J.; Atanga, S.; Doshi, R.; Enoru, S.; et al. Cardiac adverse events of immune checkpoint inhibitors in oncology patients: A systematic review and meta-analysis. World J. Cardiol. 2020, 12, 584–598. [Google Scholar] [CrossRef]
- Adler, Y.; Charron, P.; Imazio, M.; Badano, L.; Barón-Esquivias, G.; Bogaert, J.; Brucato, A.; Gueret, P.; Klingel, K.; Lionis, C.; et al. 2015 ESC Guidelines for the diagnosis and management of pericardial diseases. Eur. Heart J. 2015, 36, 2921–2964. [Google Scholar] [CrossRef]
- Imazio, M.; Cecchi, E.; Demichelis, B.; Chinaglia, A.; Ierna, S.; Demarie, D.; Ghisio, A.; Pomari, F.; Belli, R.; Trinchero, R. Myopericarditis versus viral or idiopathic acute pericarditis. Heart 2008, 94, 498–501. [Google Scholar] [CrossRef]
- Imazio, M.; Cecchi, E.; Demichelis, B.; Ierna, S.; Demarie, D.; Ghisio, A.; Pomari, F.; Coda, L.; Belli, R.; Trinchero, R.; et al. Indicators of Poor Prognosis of Acute Pericarditis. Circulation 2007, 115, 2739–2744. [Google Scholar] [CrossRef]
- Buiatti, A.; Merlo, M.; Pinamonti, B.; De Biasio, M.; Bussani, R.; Sinagra, G. Clinical presentation and long-term follow-up of perimyocarditis. J. Cardiovasc. Med. 2013, 14, 235–241. [Google Scholar] [CrossRef]
- Betesh-Abay, B.; Shiyovich, A.; Davidian, S.; Gilutz, H.; Shalata, W.; Plakht, Y. The Association between Acute Myocardial Infarction-Related Outcomes and the Ramadan Period: A Retrospective Population-Based Study. J. Clin. Med. 2022, 11, 5145. [Google Scholar] [CrossRef]
- Imazio, M. Pericarditis with troponin elevation. J. Cardiovasc. Med. 2014, 15, 73–77. [Google Scholar] [CrossRef]
- Imazio, M.; Brucato, A.; Spodick, D.H.; Adler, Y. Prognosis of myopericarditis as determined from previously published reports. J. Cardiovasc. Med. 2014, 15, 835–839. [Google Scholar] [CrossRef]
- Imazio, M.; Brucato, A.; Barbieri, A.; Ferroni, F.; Maestroni, S.; Ligabue, G.; Chinaglia, A.; Cumetti, D.; Della Casa, G.; Bonomi, F.; et al. Good Prognosis for Pericarditis with and Without Myocardial Involvement. Circulation 2013, 128, 42–49. [Google Scholar] [CrossRef]
- Shalata, W.; Abu-Salman, A.; Steckbeck, R.; Jacob, B.M.; Massalha, I.; Yakobson, A. Cardiac Toxicity Associated with Immune Checkpoint Inhibitors: A Systematic Review. Cancers 2021, 13, 5218. [Google Scholar] [CrossRef]
- Shalata, W.; Attal, Z.G.; Shhadi, R.; Abu Salman, A.; Abu Jama, A.; Shalata, S.; Halumi, K.; Yakobson, A. Tolerated Re-Challenge of Immunotherapy in a Patient with ICI Associated Myocarditis: A Case Report and Literature Review. Medicina 2023, 59, 1946. [Google Scholar] [CrossRef]
- Upadhrasta, S.; Elias, H.; Patel, K.; Zheng, L. Managing cardiotoxicity associated with immune checkpoint inhibitors. Chronic Dis. Transl. Med. 2019, 5, 6–14. [Google Scholar] [CrossRef]
- Paluri, R.K.; Pulipati, Y.; Regalla, D.K.R. Immune Checkpoint Inhibitors and Their Cardiovascular Adverse Effects. Oncol. Rev. 2023, 17, 11456. [Google Scholar] [CrossRef]
- Ammirati, E.; Frigerio, M.; Adler, E.D.; Basso, C.; Birnie, D.H.; Brambatti, M.; Friedrich, M.G.; Klingel, K.; Lehtonen, J.; Moslehi, J.J.; et al. Management of Acute Myocarditis and Chronic Inflammatory Cardiomyopathy. Circ. Heart Fail. 2020, 13, e007405. [Google Scholar] [CrossRef]
- Shalata, W.; Waichenberg, L.; Massalha, I.; Dudnik, Y.; Rouvinov, K.; Yakobson, A. Pulmonary toxicity following administration of granulocyte colony-stimulating factor during chemotherapy for breast cancer: A case report and literature review. Anticancer. Drugs 2021, 32, 1142–1145. [Google Scholar] [CrossRef]
- Spisarová, M. Immunotherapy-Associated Myocarditis. Klin. Onkol. 2020, 33, 20–22. [Google Scholar] [CrossRef][Green Version]
- Makunts, T.; Saunders, I.M.; Cohen, I.V.; Li, M.; Moumedjian, T.; Issa, M.A.; Burkhart, K.; Lee, P.; Patel, S.P.; Abagyan, R. Myocarditis occurrence with cancer immunotherapy across indications in clinical trial and post-marketing data. Sci. Rep. 2021, 11, 17324. [Google Scholar] [CrossRef]
- Thuny, F.; Naidoo, J.; Neilan, T.G. Cardiovascular complications of immune checkpoint inhibitors for cancer. Eur. Heart J. 2022, 43, 4458–4468. [Google Scholar] [CrossRef]
- Hasson, S.P.; Salwen, B.; Sivan, A.; Shamai, S.; Geva, R.; Merimsky, O.; Raphael, A.; Shmilovich, H.; Moshkovits, Y.; Kapusta, L.; et al. Re-introducing immunotherapy in patients surviving immune checkpoint inhibitors-mediated myocarditis. Clin. Res. Cardiol. 2020, 110, 50–60. [Google Scholar] [CrossRef]
- Raikhelkar, J.; Uriel, N. Immune checkpoint inhibitor myocarditis. Curr. Opin. Cardiol. 2019, 34, 303–306. [Google Scholar] [CrossRef]
- Ganatra, S.; Neilan, T.G. Immune Checkpoint Inhibitor-Associated Myocarditis. Oncologist 2018, 23, 879–886. [Google Scholar] [CrossRef]
- Sobol, I.; Chen, C.L.; Mahmood, S.S.; Borczuk, A.C. Histopathologic Characterization of Myocarditis Associated with Immune Checkpoint Inhibitor Therapy. Arch. Pathol. Lab. Med. 2020, 144, 1392–1396. [Google Scholar] [CrossRef]
- Aurensanz-Clemente, E.; Casares, P.; Muñoz, J.P.; García-Canadilla, P.; Zuccarino, F.; Sanchez-De-Toledo, J. Acute myocarditis with transient myocardial thickening in two oncologic patients treated with anti-GD2 immunotherapy. ESC Heart Fail. 2023, 10, 2090–2093. [Google Scholar] [CrossRef]
- Cheng, F.; Loscalzo, J. Autoimmune Cardiotoxicity of Cancer Immunotherapy. Trends Immunol. 2017, 38, 77–78. [Google Scholar] [CrossRef]
- Hua, X.; Song, J. Immune cell diversity contributes to the pathogenesis of myocarditis. Heart Fail. Rev. 2019, 24, 1019–1030. [Google Scholar] [CrossRef]
- Johnson, D.B.; Menzies, A.M. Combination immunomodulation for immune-checkpoint-inhibitor-associated myocarditis. Nat. Rev. Clin. Oncol. 2023, 20, 427–428. [Google Scholar] [CrossRef]
- Checkpoint Inhibitors May Induce Myocarditis. Cancer Discov. 2018, 8, OF3. [CrossRef] [PubMed]
- Tejtel, S.K.S.; Munoz, F.M.; Al-Ammouri, I.; Savorgnan, F.; Guggilla, R.K.; Khuri-Bulos, N.; Phillips, L.; Engler, R.J. Myocarditis and pericarditis: Case definition and guidelines for data collection, analysis, and presentation of immunization safety data. Vaccine 2022, 40, 1499–1511. [Google Scholar] [CrossRef] [PubMed]
- Hu, J.-R.; Florido, R.; Lipson, E.J.; Naidoo, J.; Ardehali, R.; Tocchetti, C.G.; Lyon, A.R.; Padera, R.F.; Johnson, D.B.; Moslehi, J. Cardiovascular toxicities associated with immune checkpoint inhibitors. Cardiovasc. Res. 2019, 115, 854–868. [Google Scholar] [CrossRef]
- Moslehi, J.J.; Salem, J.-E.; A Sosman, J.; Lebrun-Vignes, B.; Johnson, D.B. Increased reporting of fatal immune checkpoint inhibitor-associated myocarditis. Lancet 2018, 391, 933. [Google Scholar] [CrossRef]
- Palaskas, N.; Lopez-Mattei, J.; Durand, J.B.; Iliescu, C.; Deswal, A. Immune Checkpoint Inhibitor Myocarditis: Pathophysiological Characteristics, Diagnosis, and Treatment. J. Am. Heart Assoc. 2020, 9, e013757. [Google Scholar] [CrossRef]
- Chahine, J.; Collier, P.; Maroo, A.; Tang, W.W.; Klein, A.L. Myocardial and Pericardial Toxicity Associated with Immune Checkpoint Inhibitors in Cancer Patients. JACC Case Rep. 2020, 2, 191–199. [Google Scholar] [CrossRef]
- Escudier, M.; Cautela, J.; Malissen, N.; Ancedy, Y.; Orabona, M.; Pinto, J.; Monestier, S.; Grob, J.-J.; Scemama, U.; Jacquier, A.; et al. Clinical features, management, and outcomes of immune checkpoint inhibitor-related cardiotoxicity. Circulation 2017, 136, 2085–2087. [Google Scholar] [CrossRef]
- Balanescu, D.V.; Donisan, T.; Palaskas, N.L.; Iliescu, C. Emerging Concerns in Cardio-Oncology: Immune Checkpoint Inhibitor Cardiotoxicity—American College of Cardiology. Am. Coll. Cardiol. 2019. Available online: https://www.acc.org/latest-in-cardiology/articles/2019/06/21/08/45/emerging-concerns-in-cardio-oncology (accessed on 30 June 2021).
- Wang, D.Y.; Okoye, G.D.; Neilan, T.G.; Johnson, D.B.; Moslehi, J.J. Cardiovascular Toxicities Associated with Cancer Immunotherapies. Curr. Cardiol. Rep. 2017, 19, 21. [Google Scholar] [CrossRef]
- Li, C.; Bhatti, S.A.; Ying, J. Immune Checkpoint Inhibitors—Associated Cardiotoxicity. Cancers 2022, 14, 1145. [Google Scholar] [CrossRef] [PubMed]
- Zotova, L. Immune Checkpoint Inhibitors-Related Myocarditis: A Review of Reported Clinical Cases. Diagnostics 2023, 13, 1243. [Google Scholar] [CrossRef]
- Gan, L.; Liu, D.; Ma, Y.; Chen, X.; Dai, A.; Zhao, S.; Jin, X.; Gu, G. Cardiotoxicity associated with immune checkpoint inhibitors: Current status and future challenges. Front. Pharmacol. 2022, 13, 962596. [Google Scholar] [CrossRef] [PubMed]
- Cathcart-Rake, E.J.; Sangaralingham, L.R.; Henk, H.J.; Shah, N.D.; Bin Riaz, I.; Mansfield, A.S. A Population-based Study of Immunotherapy-related Toxicities in Lung Cancer. Clin. Lung Cancer 2020, 21, 421–427.e2. [Google Scholar] [CrossRef] [PubMed]
- Hu, Y.-B.; Zhang, Q.; Li, H.J.; Michot, J.M.; Liu, H.B.; Zhan, P.; Lv, T.F.; Song, Y.; Written on behalf of the AME Academic Lung Cancer Cooperation Group. Evaluation of rare but severe immune related adverse effects in PD-1 and PD-L1 inhibitors in non-small cell lung cancer: A meta-analysis. Transl. Lung Cancer Res. 2017, 6, S8–S20. [Google Scholar] [CrossRef]
- D’souza, M.; Nielsen, D.; Svane, I.M.; Iversen, K.; Rasmussen, P.V.; Madelaire, C.; Fosbøl, E.; Køber, L.; Gustafsson, F.; Andersson, C.; et al. The risk of cardiac events in patients receiving immune checkpoint inhibitors: A nationwide Danish study. Eur. Heart J. 2020, 42, 1621–1631. [Google Scholar] [CrossRef] [PubMed]
- Shalata, W.; Yakobson, A.; Cohen, A.Y.; Goldstein, I.; Abu Saleh, O.; Dudnik, Y.; Rouvinov, K. Unexpected Adverse Events of Immune Checkpoint Inhibitors. Life 2023, 13, 1657. [Google Scholar] [CrossRef] [PubMed]
- Yakobson, A.; Rouvinov, K.; Cohen, A.Y.; Goldstein, I.; Abu Saleh, O.; Solomon, A.; Dudnik, Y.; Shalata, W. Carpal Tunnel Syndrome Associated with Immune Checkpoint Inhibitors. J. Pers. Med. 2023, 13, 1340. [Google Scholar] [CrossRef] [PubMed]
- Shalata, W.; Weissmann, S.; Gabay, S.I.; Sheva, K.; Abu Saleh, O.; Abu Jama, A.; Yakobson, A.; Rouvinov, K. A Retrospective, Single-Institution Experience of Bullous Pemphigoid as an Adverse Effect of Immune Checkpoint Inhibitors. Cancers 2022, 14, 5451. [Google Scholar] [CrossRef]
- BC Cancer. Pembrolizumab. Available online: http://www.bccancer.bc.ca/drug-database-site/Drug%20Index/pembrolizumab_monograph.pdf (accessed on 3 June 2021).
- FDA. Highlights of Prescribing Information: Pembrolizumab. Available online: https://www.accessdata.fda.gov/drugsatfda_docs/label/2021/125514s096lbl.pdf (accessed on 3 June 2021).
- BC Cancer. Nivolumab. Available online: http://www.bccancer.bc.ca/drug-database-site/Drug%20Index/nivolumab_monograph.pdf (accessed on 3 June 2021).
- FDA. Highlights of Prescribing Information: Nivolumab. 2021. Available online: https://www.accessdata.fda.gov/drugsatfda_docs/label/2021/125554s090lbl.pdf (accessed on 5 October 2021).
- FDA. Highlights of Prescribing Information: Cemiplimab. Available online: https://www.accessdata.fda.gov/drugsatfda_docs/label/2021/761097s007lbl.pdf (accessed on 16 March 2021).
- Available online: https://pubmed.ncbi.nlm.nih.gov/33877385/ (accessed on 5 June 2021).
- BC Cancer. Ipilimumab. Available online: http://www.bccancer.bc.ca/drug-database-site/Drug%20Index/Ipilimumab_monograph.pdf (accessed on 3 June 2021).
- FDA. Highlights of Prescribing Information: Ipilimumab. Available online: https://www.accessdata.fda.gov/drugsatfda_docs/label/2020/125377s110lbl.pdf (accessed on 3 June 2021).
- FDA. Highlights of Prescribing Information: Durvalumab. Available online: https://www.accessdata.fda.gov/drugsatfda_docs/label/2018/761069s002lbl.pdf (accessed on 6 August 2021).
- BC Cancer. Durvalumab. Available online: http://www.bccancer.bc.ca/drug-database-site/Drug%20Index/Durvalumab_monograph.pdf (accessed on 6 August 2021).
- Mahmood, S.S.; Fradley, M.G.; Cohen, J.V.; Nohria, A.; Reynolds, K.L.; Heinzerling, L.M.; Sullivan, R.J.; Damrongwatanasuk, R.; Chen, C.L.; Gupta, D.; et al. Myocarditis in Patients Treated with Immune Checkpoint Inhibitors. J. Am. Coll. Cardiol. 2018, 71, 1755–1764. [Google Scholar] [CrossRef]
- Waliany, S.; Neal, J.W.; Reddy, S.; Wakelee, H.; Shah, S.A.; Srinivas, S.; Padda, S.K.; Fan, A.C.; Colevas, A.D.; Wu, S.M.; et al. Myocarditis Surveillance with High-Sensitivity Troponin I During Cancer Treatment with Immune Checkpoint Inhibitors. JACC CardioOncol. 2021, 3, 137–139. [Google Scholar] [CrossRef]
- BC Cancer. Atezolizumab. Available online: http://www.bccancer.bc.ca/drug-database-site/Drug%20Index/Atezolizumab_Monograph.pdf (accessed on 6 August 2021).
- FDA. Highlights of Prescribing Information: Atezolizumab. Available online: https://www.accessdata.fda.gov/drugsatfda_docs/label/2021/761034s033s034s035s036s037s038lbl.pdf (accessed on 6 August 2021).
- LiverTox: Clinical and Research Information on Drug-Induced Liver Injury; National Institute of Diabetes and Digestive and Kidney Diseases: Bethesda, MD, USA, 2012.
- Liu, X.; Wu, W.; Fang, L.; Liu, Y.; Chen, W. TNF-α Inhibitors and Other Biologic Agents for the Treatment of Immune Checkpoint Inhibitor-Induced Myocarditis. Front. Immunol. 2022, 13, 922782. [Google Scholar] [CrossRef]
- Lyon, A.R.; López-Fernández, T.; Couch, L.S.; Asteggiano, R.; Aznar, M.C.; Bergler-Klein, J.; Boriani, G.; Cardinale, D.; Cordoba, R.; Cosyns, B.; et al. 2022 ESC Guidelines on cardio-oncology developed in collaboration with the European Hematology Association (EHA), the European Society for Therapeutic Radiology and Oncology (ESTRO) and the International Cardio-Oncology Society (IC-OS). Eur. Heart J. 2022, 43, 4229–4361, Erratum in Eur. Heart J. 2023, 44, 1621. [Google Scholar] [CrossRef]
- Whitman, E.D.; Scherrer, E.; Ou, W.; Krepler, C. Outcomes of retreatment with anti-PD-1 monotherapy after response to first course in patients with cutaneous melanoma. Future Oncol. 2020, 16, 1441–1453. [Google Scholar] [CrossRef]
- Song, W.; Zheng, Y.; Dong, M.; Zhong, L.; Bazoukis, G.; Perone, F.; Li, G.; Ng, C.F.; Baranchuk, A.; Tse, G.; et al. Electrocardiographic Features of Immune Checkpoint Inhibitor-Associated Myocarditis. Curr. Probl. Cardiol. 2023, 48, 101478. [Google Scholar] [CrossRef]
- Baxevanis, C.N. Immune Checkpoint Inhibitors in Cancer Therapy—How Can We Improve Clinical Benefits? Cancers 2023, 15, 881. [Google Scholar] [CrossRef] [PubMed]
- Kennedy, L.B.; Salama, A.K.S. A review of cancer immunotherapy toxicity. CA A Cancer J. Clin. 2020, 70, 86–104. [Google Scholar] [CrossRef] [PubMed]
- Brahmer, J.R.; Abu-Sbeih, H.; Ascierto, P.A.; Brufsky, J.; Cappelli, L.C.; Cortazar, F.B.; E Gerber, D.; Hamad, L.; Hansen, E.; Johnson, D.B.; et al. Society for Immunotherapy of Cancer (SITC) clinical practice guideline on immune checkpoint inhibitor-related adverse events. J. Immunother. Cancer 2021, 9, e002435. [Google Scholar] [CrossRef] [PubMed]
- Chhabra, N.; Kennedy, J. A Review of Cancer Immunotherapy Toxicity: Immune Checkpoint Inhibitors. J. Med. Toxicol. 2021, 17, 411–424. [Google Scholar] [CrossRef] [PubMed]
- Bagchi, S.; Yuan, R.; Engleman, E.G. Immune Checkpoint Inhibitors for the Treatment of Cancer: Clinical Impact and Mechanisms of Response and Resistance. Annu. Rev. Pathol. Mech. Dis. 2021, 16, 223–249. [Google Scholar] [CrossRef] [PubMed]
- Rahman, M.; Behl, T.; Islam, R.; Alam, N.; Islam, M.; Albarrati, A.; Albratty, M.; Meraya, A.M.; Bungau, S.G. Emerging Management Approach for the Adverse Events of Immunotherapy of Cancer. Molecules 2022, 27, 3798. [Google Scholar] [CrossRef] [PubMed]
- FDA. Highlights of Prescribing Information: Avelumab. Available online: https://www.accessdata.fda.gov/drugsatfda_docs/label/2020/125514s096lbl.pdf (accessed on 3 June 2023).
- Chen, D.-Y.; Huang, W.-K.; Wu, V.C.-C.; Chang, W.-C.; Chen, J.-S.; Chuang, C.-K.; Chu, P.-H. Cardiovascular toxicity of immune checkpoint inhibitors in cancer patients: A review when cardiology meets immuno-oncology. J. Formos. Med. Assoc. 2019, 119, 1461–1475. [Google Scholar] [CrossRef]
- Zamorano, J.L.; Lancellotti, P.; Rodriguez Muñoz, D.; Aboyans, V.; Asteggiano, R.; Galderisi, M.; Habib, G.; Lenihan, D.J.; Lip, G.Y.H.; Lyon, A.R.; et al. 2016 ESC Position Paper on cancer treatments and cardiovascular toxicity developed under the auspices of the ESC Committee for Practice Guidelines: The Task Force for cancer treatments and cardiovascular toxicity of the European Society of Cardiology (ESC). Eur. Heart J. 2016, 37, 2768–2801. [Google Scholar] [CrossRef]
- Shalata, W.; Peled, N.; Gabizon, I.; Abu Saleh, O.; Kian, W.; Yakobson, A. Associated Myocarditis: A Predictive Factor for Response? Case Rep. Oncol. 2020, 13, 550–557. [Google Scholar] [CrossRef]
- Puzanov, I.; Diab, A.; Abdallah, K.; Bingham, C.O., 3rd; Brogdon, C.; Dadu, R.; Hamad, L.; Kim, S.; Lacouture, M.E.; LeBoeuf, N.R.; et al. Managing toxicities associated with immune checkpoint inhibitors: Consensus recommendations from the Society for Immunotherapy of Cancer (SITC) Toxicity Management Working Group. J. Immunother. Cancer 2017, 5, 95. [Google Scholar] [CrossRef]
- Lal, J.C.; Brown, S.-A.; Collier, P.; Cheng, F. A retrospective analysis of cardiovascular adverse events associated with immune checkpoint inhibitors. Cardio-Oncology 2021, 7, 19. [Google Scholar] [CrossRef]
- Zarifa, A.; Lopez-Mattei, J.; Palaskas, N.; Iliescu, C.; Durand, J.B.; Kim, P.Y. Immune Checkpoint Inhibitors (ICIs)-Related Cardiotoxicity. Adv. Exp. Med. Biol. 2020, 1244, 277–285. [Google Scholar] [CrossRef]
- Zarifa, A.; Lopez-Mattei, J.; Palaskas, N.L.; Iliescu, C.; Durand, J.B.; Kim, P.Y. Immune Checkpoint Inhibitor (ICI)-Related Cardiotoxicity. Adv. Exp. Med. Biol. 2021, 1342, 377–387. [Google Scholar] [CrossRef] [PubMed]
- Turker, I.; Johnson, D.B. Immune checkpoint inhibitor-related myocarditis: Current understanding and potential diagnostic and therapeutic strategies. Expert Opin. Drug Saf. 2023, 22, 909–919. [Google Scholar] [CrossRef] [PubMed]
- Wang, F.; Liu, Y.; Xu, W.; Zhang, C.; Lv, J.; Ma, S. Fulminant myocarditis induced by immune checkpoint inhibitor nivolumab: A case report and review of the literature. J. Med. Case Rep. 2021, 15, 336. [Google Scholar] [CrossRef] [PubMed]
- Chen, Y.; Jia, Y.; Liu, Q.; Shen, Y.; Zhu, H.; Dong, X.; Huang, J.; Lu, J.; Yin, Q. Myocarditis related to immune checkpoint inhibitors treatment: Two case reports and literature review. Ann. Palliat. Med. 2021, 10, 8512–8517. [Google Scholar] [CrossRef] [PubMed]
- Caforio, A.L.P.; Pankuweit, S.; Arbustini, E.; Basso, C.; Gimeno-Blanes, J.; Felix, S.B.; Fu, M.; Heliö, T.; Heymans, S.; Jahns, R.; et al. Current state of knowledge on aetiology, diagnosis, management, and therapy of myocarditis: A position statement of the European Society of Cardiology Working Group on Myocardial and Pericardial Diseases. Eur. Heart J. 2013, 34, 2636–2648. [Google Scholar] [CrossRef] [PubMed]
- Wu, S.; Yang, Y.-M.; Zhu, J.; Wan, H.-B.; Wang, J.; Zhang, H.; Shao, X.-H. Clinical characteristics and outcomes of patients with myocarditis mimicking ST-segment elevation myocardial infarction. Medicine 2017, 96, e6863. [Google Scholar] [CrossRef]
- Hussain, F.; Moazez, C.; Allen, K.; Hsu, P.; Welch, K.; Febbo, J.; Rehman, M.; Garcia, M. Myocarditis Presenting as ST-Elevation Myocardial Infarction. Cureus 2023, 15, e47883. [Google Scholar] [CrossRef] [PubMed]
- Huttin, O.; Frikha, Z.; Brembilla-Perrot, B.; Sellal, J.-M.; Mandry, D.; Aliot, E.; Juilliere, Y.; Sadoul, N.; Selton-Suty, C. Acute Myocarditis Presenting with Ventricular Arrhythmias: The Role of CMR in the Differential Diagnosis of ARVD. Intern. Med. 2013, 52, 1915–1918. [Google Scholar] [CrossRef] [PubMed]
- Friedrich, M.G.; Sechtem, U.; Schulz-Menger, J.; Holmvang, G.; Alakija, P.; Cooper, L.T.; White, J.A.; Abdel-Aty, H.; Gutberlet, M.; Prasad, S.; et al. Cardiovascular Magnetic Resonance in Myocarditis: A JACC White Paper. J. Am. Coll. Cardiol. 2009, 53, 1475–1487. [Google Scholar] [CrossRef] [PubMed]
- Marcus, F.I.; McKenna, W.J.; Sherrill, D.; Basso, C.; Bauce, B.; Bluemke, D.A.; Calkins, H.; Corrado, D.; Cox, M.G.; Daubert, J.P.; et al. Diagnosis of Arrhythmogenic Right Ventricular Cardiomyopathy/Dysplasia. Circulation 2010, 121, 1533–1541. [Google Scholar] [CrossRef] [PubMed]
- Yakobson, A.; Abu Jama, A.; Abu Saleh, O.; Michlin, R.; Shalata, W. PD-1 Inhibitors in Elderly and Immunocompromised Patients with Advanced or Metastatic Cutaneous Squamous Cell Carcinoma. Cancers 2023, 15, 4041. [Google Scholar] [CrossRef] [PubMed]
- Janzic, U.; Shalata, W.; Szymczak, K.; Dziadziuszko, R.; Jakopovic, M.; Mountzios, G.; Płużański, A.; Araujo, A.; Charpidou, A.; Agbarya, A. Real-World Experience in Treatment of Patients with Non-Small-Cell Lung Cancer with BRAF or cMET Exon 14 Skipping Mutations. Int. J. Mol. Sci. 2023, 24, 12840. [Google Scholar] [CrossRef]
- Yakobson, A.; Neime, A.E.; Abu Saleh, O.; Al Athamen, K.; Shalata, W. Bullous Pemphigoid Occurring after Stopping Imatinib Therapy of CML: Is a Continuation of Post-Treatment Follow-Up Needed? Clin. Pr. 2023, 13, 1082–1089. [Google Scholar] [CrossRef]
- Kuhnly, N.M.M.; Coviello, J.S.D. A case study of myopericarditis due to immune checkpoint inhibitor therapy: Proposed surveillance and management. J. Am. Assoc. Nurse Pr. 2023, 35, 317–321. [Google Scholar] [CrossRef]
- Tan, N.Y.L.; Anavekar, N.S.; Wiley, B.M. Concomitant myopericarditis and takotsubo syndrome following immune checkpoint inhibitor therapy. BMJ Case Rep. 2020, 13, e235265. [Google Scholar] [CrossRef]


Disclaimer/Publisher’s Note: The statements, opinions and data contained in all publications are solely those of the individual author(s) and contributor(s) and not of MDPI and/or the editor(s). MDPI and/or the editor(s) disclaim responsibility for any injury to people or property resulting from any ideas, methods, instructions or products referred to in the content. |
© 2024 by the authors. Licensee MDPI, Basel, Switzerland. This article is an open access article distributed under the terms and conditions of the Creative Commons Attribution (CC BY) license (https://creativecommons.org/licenses/by/4.0/).
Share and Cite
Shalata, W.; Steckbeck, R.; Abu Salman, A.; Abu Saleh, O.; Abu Jama, A.; Attal, Z.G.; Shalata, S.; Alnsasra, H.; Yakobson, A. Perimyocarditis Associated with Immune Checkpoint Inhibitors: A Case Report and Review of the Literature. Medicina 2024, 60, 224. https://doi.org/10.3390/medicina60020224
Shalata W, Steckbeck R, Abu Salman A, Abu Saleh O, Abu Jama A, Attal ZG, Shalata S, Alnsasra H, Yakobson A. Perimyocarditis Associated with Immune Checkpoint Inhibitors: A Case Report and Review of the Literature. Medicina. 2024; 60(2):224. https://doi.org/10.3390/medicina60020224
Chicago/Turabian StyleShalata, Walid, Rachel Steckbeck, Amjad Abu Salman, Omar Abu Saleh, Ashraf Abu Jama, Zoé Gabrielle Attal, Sondos Shalata, Hilmi Alnsasra, and Alexander Yakobson. 2024. "Perimyocarditis Associated with Immune Checkpoint Inhibitors: A Case Report and Review of the Literature" Medicina 60, no. 2: 224. https://doi.org/10.3390/medicina60020224
APA StyleShalata, W., Steckbeck, R., Abu Salman, A., Abu Saleh, O., Abu Jama, A., Attal, Z. G., Shalata, S., Alnsasra, H., & Yakobson, A. (2024). Perimyocarditis Associated with Immune Checkpoint Inhibitors: A Case Report and Review of the Literature. Medicina, 60(2), 224. https://doi.org/10.3390/medicina60020224

